Download free for 30 days
Sign in
Upload
Language (EN)
Support
Business
Mobile
Social Media
Marketing
Technology
Art & Photos
Career
Design
Education
Presentations & Public Speaking
Government & Nonprofit
Healthcare
Internet
Law
Leadership & Management
Automotive
Engineering
Software
Recruiting & HR
Retail
Sales
Services
Science
Small Business & Entrepreneurship
Food
Environment
Economy & Finance
Data & Analytics
Investor Relations
Sports
Spiritual
News & Politics
Travel
Self Improvement
Real Estate
Entertainment & Humor
Health & Medicine
Devices & Hardware
Lifestyle
Change Language
Language
English
Español
Português
Français
Deutsche
Cancel
Save
Submit search
EN
Uploaded by
財團法人風濕病基金會台灣抗風濕病聯盟
PPTX, PDF
1,718 views
類風溼性關節炎知多少 曹彥博醫師
AI-enhanced description
類風濕性關節炎是一種全身性疾病,常見於中年以上女性,其特征為對稱性關節發炎並影響生活質量。診斷依賴於類風濕因子和ccp抗體,並需結合影像學檢查和多面向評估來確定嚴重性。治療需定期追蹤與用藥調整。
Health & Medicine
◦
Read more
0
Save
Share
Embed
Embed presentation
Download
Downloaded 10 times
1
/ 21
2
/ 21
3
/ 21
4
/ 21
5
/ 21
6
/ 21
7
/ 21
8
/ 21
9
/ 21
10
/ 21
11
/ 21
12
/ 21
13
/ 21
14
/ 21
15
/ 21
16
/ 21
17
/ 21
18
/ 21
19
/ 21
20
/ 21
21
/ 21
More Related Content
PPT
20150627 ra衛教
by
財團法人風濕病基金會台灣抗風濕病聯盟
PPTX
類風濕性關節炎 衛教Slide
by
財團法人風濕病基金會台灣抗風濕病聯盟
PDF
Ra的藥物治療 蕭凱鴻
by
財團法人風濕病基金會台灣抗風濕病聯盟
PPTX
類風濕關節炎簡介
by
財團法人風濕病基金會台灣抗風濕病聯盟
PPT
2015.04.25. 劉峰誠.為甚麼持續治療很重要
by
財團法人風濕病基金會台灣抗風濕病聯盟
PPTX
類風濕性關節炎之關節外的秘密
by
財團法人風濕病基金會台灣抗風濕病聯盟
PPT
類風濕性關節炎 陳明翰
by
財團法人風濕病基金會台灣抗風濕病聯盟
PPT
類風濕性關節炎的認識與治療20130331
by
財團法人風濕病基金會台灣抗風濕病聯盟
20150627 ra衛教
by
財團法人風濕病基金會台灣抗風濕病聯盟
類風濕性關節炎 衛教Slide
by
財團法人風濕病基金會台灣抗風濕病聯盟
Ra的藥物治療 蕭凱鴻
by
財團法人風濕病基金會台灣抗風濕病聯盟
類風濕關節炎簡介
by
財團法人風濕病基金會台灣抗風濕病聯盟
2015.04.25. 劉峰誠.為甚麼持續治療很重要
by
財團法人風濕病基金會台灣抗風濕病聯盟
類風濕性關節炎之關節外的秘密
by
財團法人風濕病基金會台灣抗風濕病聯盟
類風濕性關節炎 陳明翰
by
財團法人風濕病基金會台灣抗風濕病聯盟
類風濕性關節炎的認識與治療20130331
by
財團法人風濕病基金會台灣抗風濕病聯盟
What's hot
PPT
類風濕關節炎二.三事
by
財團法人風濕病基金會台灣抗風濕病聯盟
PPT
類風濕性關節炎五心集治療
by
財團法人風濕病基金會台灣抗風濕病聯盟
PDF
Ra患者的運動該怎麼做
by
財團法人風濕病基金會台灣抗風濕病聯盟
PPT
(ra)免疫調節劑的最新發展
by
財團法人風濕病基金會台灣抗風濕病聯盟
PPTX
Ra 衛教
by
財團法人風濕病基金會台灣抗風濕病聯盟
PPTX
簡報
by
財團法人風濕病基金會台灣抗風濕病聯盟
PPTX
類風濕性關節炎治療策略管理
by
財團法人風濕病基金會台灣抗風濕病聯盟
PDF
運動這樣做有效嗎
by
財團法人風濕病基金會台灣抗風濕病聯盟
PPT
乾癬性關節炎治療
by
財團法人風濕病基金會台灣抗風濕病聯盟
PPTX
莊主任1030130
by
財團法人風濕病基金會台灣抗風濕病聯盟
PPT
僵直性脊椎炎關節外的表現
by
財團法人風濕病基金會台灣抗風濕病聯盟
PPT
20130504_RA病友會_類風溼性關節炎的新治療
by
Kailen Tsai
PPTX
類風濕性關節炎用藥與治療新趨勢
by
財團法人風濕病基金會台灣抗風濕病聯盟
PDF
認識風濕免疫疾病
by
財團法人風濕病基金會台灣抗風濕病聯盟
PPTX
As治療的新進展 吳建陞醫師
by
財團法人風濕病基金會台灣抗風濕病聯盟
PDF
發炎性關節炎 類風濕性關節炎和僵直性脊椎炎 20120223 1.2
by
財團法人風濕病基金會台灣抗風濕病聯盟
PDF
基金會衛教20160813 sle-3
by
財團法人風濕病基金會台灣抗風濕病聯盟
PPTX
僵直性脊椎炎 2013.03.31
by
財團法人風濕病基金會台灣抗風濕病聯盟
PPTX
周昌德教授開場
by
財團法人風濕病基金會台灣抗風濕病聯盟
PPTX
2015 11-07 saturday seminar ra
by
財團法人風濕病基金會台灣抗風濕病聯盟
類風濕關節炎二.三事
by
財團法人風濕病基金會台灣抗風濕病聯盟
類風濕性關節炎五心集治療
by
財團法人風濕病基金會台灣抗風濕病聯盟
Ra患者的運動該怎麼做
by
財團法人風濕病基金會台灣抗風濕病聯盟
(ra)免疫調節劑的最新發展
by
財團法人風濕病基金會台灣抗風濕病聯盟
Ra 衛教
by
財團法人風濕病基金會台灣抗風濕病聯盟
簡報
by
財團法人風濕病基金會台灣抗風濕病聯盟
類風濕性關節炎治療策略管理
by
財團法人風濕病基金會台灣抗風濕病聯盟
運動這樣做有效嗎
by
財團法人風濕病基金會台灣抗風濕病聯盟
乾癬性關節炎治療
by
財團法人風濕病基金會台灣抗風濕病聯盟
莊主任1030130
by
財團法人風濕病基金會台灣抗風濕病聯盟
僵直性脊椎炎關節外的表現
by
財團法人風濕病基金會台灣抗風濕病聯盟
20130504_RA病友會_類風溼性關節炎的新治療
by
Kailen Tsai
類風濕性關節炎用藥與治療新趨勢
by
財團法人風濕病基金會台灣抗風濕病聯盟
認識風濕免疫疾病
by
財團法人風濕病基金會台灣抗風濕病聯盟
As治療的新進展 吳建陞醫師
by
財團法人風濕病基金會台灣抗風濕病聯盟
發炎性關節炎 類風濕性關節炎和僵直性脊椎炎 20120223 1.2
by
財團法人風濕病基金會台灣抗風濕病聯盟
基金會衛教20160813 sle-3
by
財團法人風濕病基金會台灣抗風濕病聯盟
僵直性脊椎炎 2013.03.31
by
財團法人風濕病基金會台灣抗風濕病聯盟
周昌德教授開場
by
財團法人風濕病基金會台灣抗風濕病聯盟
2015 11-07 saturday seminar ra
by
財團法人風濕病基金會台灣抗風濕病聯盟
Viewers also liked
PDF
類風濕性關節炎面面觀
by
財團法人風濕病基金會台灣抗風濕病聯盟
PPTX
類風濕性關節炎之關節外的秘密
by
財團法人風濕病基金會台灣抗風濕病聯盟
PPT
類風濕關節炎治療V2.0
by
財團法人風濕病基金會台灣抗風濕病聯盟
PPTX
照護Sle患者經驗分享(張于慧)2016.08.13
by
財團法人風濕病基金會台灣抗風濕病聯盟
PPTX
保密防跌-蔡長祐執行長
by
財團法人風濕病基金會台灣抗風濕病聯盟
PPT
更年期到了 骨鬆跟著來怎麼辦
by
財團法人風濕病基金會台灣抗風濕病聯盟
PPT
Sle 衛教講座 chen
by
arthritisfoundweb
PPTX
關節靈活動一動
by
財團法人風濕病基金會台灣抗風濕病聯盟
PPT
8.自體免疫疾病治療新進展2009
by
netnk
PPT
紅斑性狼瘡大哉問
by
arthritisfoundweb
PPTX
Ra osteoporosis ccl 20161105
by
財團法人風濕病基金會台灣抗風濕病聯盟
PPTX
周昌德主任結語
by
財團法人風濕病基金會台灣抗風濕病聯盟
PPTX
講座 紅斑性狼瘡日常飲食照護0726提供
by
arthritisfoundweb
PPTX
達標治療多重要20160730 ccl
by
財團法人風濕病基金會台灣抗風濕病聯盟
類風濕性關節炎面面觀
by
財團法人風濕病基金會台灣抗風濕病聯盟
類風濕性關節炎之關節外的秘密
by
財團法人風濕病基金會台灣抗風濕病聯盟
類風濕關節炎治療V2.0
by
財團法人風濕病基金會台灣抗風濕病聯盟
照護Sle患者經驗分享(張于慧)2016.08.13
by
財團法人風濕病基金會台灣抗風濕病聯盟
保密防跌-蔡長祐執行長
by
財團法人風濕病基金會台灣抗風濕病聯盟
更年期到了 骨鬆跟著來怎麼辦
by
財團法人風濕病基金會台灣抗風濕病聯盟
Sle 衛教講座 chen
by
arthritisfoundweb
關節靈活動一動
by
財團法人風濕病基金會台灣抗風濕病聯盟
8.自體免疫疾病治療新進展2009
by
netnk
紅斑性狼瘡大哉問
by
arthritisfoundweb
Ra osteoporosis ccl 20161105
by
財團法人風濕病基金會台灣抗風濕病聯盟
周昌德主任結語
by
財團法人風濕病基金會台灣抗風濕病聯盟
講座 紅斑性狼瘡日常飲食照護0726提供
by
arthritisfoundweb
達標治療多重要20160730 ccl
by
財團法人風濕病基金會台灣抗風濕病聯盟
More from 財團法人風濕病基金會台灣抗風濕病聯盟
PPTX
As衛教 new20150919
by
財團法人風濕病基金會台灣抗風濕病聯盟
PPT
僵直性脊椎炎衛教_郭佑民醫師
by
財團法人風濕病基金會台灣抗風濕病聯盟
PDF
痛風
by
財團法人風濕病基金會台灣抗風濕病聯盟
PPTX
As 僵直性 楊森-104.9.19
by
財團法人風濕病基金會台灣抗風濕病聯盟
PPT
乾癬性關節炎治療
by
財團法人風濕病基金會台灣抗風濕病聯盟
PPTX
Current diagnosis and management of PAH from cardiologist point of view
by
財團法人風濕病基金會台灣抗風濕病聯盟
PPTX
20161029 as 李肇中物理治療師
by
財團法人風濕病基金會台灣抗風濕病聯盟
PPTX
Pulmonary arterial hypertension in rheumatic diseases
by
財團法人風濕病基金會台灣抗風濕病聯盟
PPTX
如何建立您與As的良性互動 20150919
by
財團法人風濕病基金會台灣抗風濕病聯盟
PPTX
風濕病知多少
by
財團法人風濕病基金會台灣抗風濕病聯盟
PPTX
New ulmonary arterial hypertension in rheumatic diseases
by
財團法人風濕病基金會台灣抗風濕病聯盟
As衛教 new20150919
by
財團法人風濕病基金會台灣抗風濕病聯盟
僵直性脊椎炎衛教_郭佑民醫師
by
財團法人風濕病基金會台灣抗風濕病聯盟
痛風
by
財團法人風濕病基金會台灣抗風濕病聯盟
As 僵直性 楊森-104.9.19
by
財團法人風濕病基金會台灣抗風濕病聯盟
乾癬性關節炎治療
by
財團法人風濕病基金會台灣抗風濕病聯盟
Current diagnosis and management of PAH from cardiologist point of view
by
財團法人風濕病基金會台灣抗風濕病聯盟
20161029 as 李肇中物理治療師
by
財團法人風濕病基金會台灣抗風濕病聯盟
Pulmonary arterial hypertension in rheumatic diseases
by
財團法人風濕病基金會台灣抗風濕病聯盟
如何建立您與As的良性互動 20150919
by
財團法人風濕病基金會台灣抗風濕病聯盟
風濕病知多少
by
財團法人風濕病基金會台灣抗風濕病聯盟
New ulmonary arterial hypertension in rheumatic diseases
by
財團法人風濕病基金會台灣抗風濕病聯盟
類風溼性關節炎知多少 曹彥博醫師
1.
類風溼性關節炎知多少 曹彥博
2.
想想看… • 當初是怎麼發現自己可能是類風溼性關節炎? • 類風溼性關節炎帶來什麼影響? •
你如何和它一起生活?
3.
類風溼性關節炎 • 對稱性的關節發炎 • 關節的軟骨和骨頭因為發炎被破壞 •
造成生活品質下降
4.
退化性關節炎 類風溼性關節炎
5.
類風溼性關節炎 • 全世界盛行率:1% (0.3%-1.5%) •
女多於男 • 中年以上好發
6.
為什麼會有類風溼性關節炎
7.
發生原因 • 基因 • 環境 •
感染 • 很多時候,找不到確切的原因
8.
如何診斷類風溼性關節炎
9.
類風濕因子/CCP抗體 • 類風濕因子(RF)和CCP抗體是用來診斷類風溼性 關節炎的重要指標 • CCP抗體比類風濕因子更能預測未來疾病嚴重度
10.
1987年診斷條件 • 晨間僵硬 • 至少超過三個關節區影響 •
手部關節炎 • 對稱性關節炎 • 類風濕結節 • 類風濕因子陽性 • 影像學證據
11.
2010年診斷條件 • 關節侵犯多寡 • RF或CCP抗體 •
發炎指數 • 症狀持續6周 0, 2, 3, 5 0, 2, 3 0, 1 0, 1 滿分10分 超過6分可以診斷
12.
嚴重度如何評估
13.
多面向的評估 • 疼痛、腫脹的關節 • 發炎指數 •
自我健康感受 • 身體其他器官、功能的影響性
15.
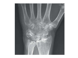
評估疾病的新工具 • X光 • 超音波 •
核磁共振
16.
類風溼性關節炎的表現
18.
肌肉/骨骼 • 骨質疏鬆 • 肌肉疼痛 •
肌少症
19.
其他影響 • 肺臟:纖維化、 積水 • 心臟:心律不整、 心血管疾病 •
造血功能:貧血 • 合併乾燥症
20.
小總結 • 類風溼性關節炎是全身性的疾病 • 診斷方式有新的改變 •
多方面評估 • 定期追蹤用藥
21.
謝謝聆聽!
Download