Control of Breathing RESPIRATORY CENTRE (Medulla) MEDULLARY & CAROTID  CHEMORECEPTORS Higher Control  Centres  RESPIRATORY REFLEXES DRUG EFFECTS e.g. OPIATES &  CAFFEINE CRANIAL & SPINAL MOTOR NEURONES STRETCH &  PROPRIOCEPTORS LUNGS & CHEST WALL INSPIRATION
Chemoreceptors Medulla Oblongata and Carotid Body Respond to changes in pH, CO 2  and O 2 Resetting of carotid chemoreceptors occurs at birth in response to oxygenation Not essential at initiation of respiration but used for control of breathing  Responses are weak in the immediate newborn period and in preterm babies
Response to Hypoxia Breathing  Efforts + - Time in Minutes Older Infant Fetus Preterm baby Term baby 5 mins
Respiratory Reflexes Hering-Breuer reflexes Lung inflation  -> inhibition of breathing Prolonged inhalation -> expiratory muscle contraction Rapid deflation -> prolonged inspiratory response Head’s paradoxical reflex Rapid inflation  -> diaphragmatic contraction (sigh) Intercostal phrenic inhibitory reflex Chest wall distortion  -> shallow inspiratory efforts Irritant reflexes Upper airway reflexes Nasal irritation/ suction  -> apnoea Liquid in larynx -> apnoea
Lung Mechanics Total lung capacity Tidal volume Functional residual capacity Vital capacity Inspiratory & expiratory reserve volumes Residual volume
Definitions Tidal volume = volume of gas each breath 5 - 7 mL/Kg in babies  Minute volume = vol. of gas each minute 200 – 400 mL/kg/min Minute volume = Tidal volume x resp. rate PaCO2 inversely    MV PaCO2  ↓  by  ↑ tidal volume or ↑ resp. rate Dead Space = Vol. of lung not involved in ventilation (eg, airways and ET tubes)
Compliance Compliance is a measure of the distensibility of the lung Compliance =  Change in Volume (L)   Change in Pressure (cm H 2 O) Lung disease decreases compliance RDS (Alveolar collapse) TTN (Fluid in insterstitium) BPD (Lung fibrosis) Pneumothorax (Lung compression) Surfactant improves compliance  (beware over distension)
Airways Resistance Measure of the pressure gradient needed for gas to flow through a tube Airway resistance =  Pressure difference (R AW ) Gas flow Poiseuilles’ equation R AW     airway length R AW     1/ radius 4 Small & long ET tubes Subglottic stenosis
Work of Breathing Energy required to produce change in lung volume Increases with decreased compliance Increases with increased resistance If energy required to breath exceeds capacity to supply oxygen to provide that energy then respiratory failure develops requiring mechanical ventilation
Pressure Volume Curves (Lung hysteresis loops) PRESSURE VOLUME INSP EXP
Pressure Volume Curves (Lung hysteresis loops) PRESSURE VOLUME LOW COMPLIANCE HIGH  COMPLIANCE
Pressure Volume Curves (Lung hysteresis loops) PRESSURE VOLUME LOWER RESISTANCE HIGHER RESISTANCE
Questions on Anatomy & Physiology ?
Neonatal respiratory disease Aims:- Overview of neonatal respiratory disease Pathophysiology Clinical presentation Aetiology X-ray appearances Treatments
Hyaline membrane disease Clinical:- Usually preterm Tachypnoea > 60 Indrawing/ retraction/ recession Grunting Nasal flaring Cyanosis in air Presents within a few hours of life
 
HMD - Aetiology Surfactant deficiency Structurally immature lungs
HMD - Treatment Oxygen CPAP Mechanical ventilation Surfactant replacement
TTN Clinical:- Usually close to term Tachypnoea 100-120/min Overinflated chest No grunting/ retraction Settles within 24-48 hours
TTN - Aetiology Delayed fetal lung fluid clearance Caesarean section - no squeeze of thorax at birth Mum not in labour - no catecholamine surge to promote absorption of fetal lung fluid
 
TTN - treatment Prevention - avoid early elective caesarean sections at term Oxygen supplementation and IV fluids until resolution
Airleak Syndromes Pneumothorax Pneumomediatinum Pneumopericardium Pulmonary interstitial emphysema
Pneumothorax Clinical:- May be asymptomatic May be life threatening Sudden deterioration in gas exchange Poor colour Hypotension and tachycardia Unilateral overexpanded thorax
 
Pneumothorax - aetiology Uneven alveolar ventilation Air trapping and high pressure swings Tracking of air from pulmonary interstitial emphysema
Pneumothorax - predisposing factors Spontaneous in 1% of all babies Increases with mechanical ventilation Increased x 4 with HMD Increased x 16 with CPAP Increased x 34 with IPPV
Pneumothorax - prevention Early surfactant therapy Avoid overdistension Volume guarantee Low PIP Short inspiratory time Faster ventilation rates - entrainment HFOV Trigger ventilation - no proven benefit Paralysis - no proven benefit
Pneumothorax - Treatment None if asymptomatic Nitrogen washout technique - high FiO2 in term babies only Chest drain if tension pneumothorax or on mechanical ventilation Emergency needle thoracocentesis
Pulmonary interstitial emphysema Mainly occurs in preterm babies ventilated for HMD Gas trapping in perivascular sheaths Increased incidence at lower gestations
 
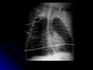
PIE - Clinical features Severe hypoxaemia and CO2 retention Deteriorating clinical condition X- Ray Overinflation with gross cystic changes
PIE - Treatment Lower PEEP and PIP Paralysis High rate low pressure ventilation ? HFOV ? Selective bronchial intubation
Persistent pulmonary hypertension of the newborn Clinical features Severe hypoxaemia (cyanosed in 100% O2) No severe lung disease Evidence of R to L shunt (pre vs. postductal) Structurally normal heart
PPHN - Aetiology and predisposing factors Failure of NO synthase Asphyxia/ acidosis Infection Diaphragmatic hernia Alveolar capillary dysplasia Meconium aspiration syndrome
PPHN - treatment Minimal handling Inotropic support Ventilation - maintain low normal CO2 Paralysis Hyperventilation - ? Risk of PVL HFOV Nitric Oxide Pulmonary vasodilators  Tolazoline/ Prostacyclin/ MgSO4
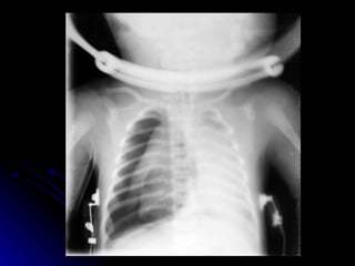
Meconium aspiration syndrome Clinical: Meconium passage prior to delivery Meconium in pharynx and trachea Respiratory distress post delivery  with typical X-ray changes
 
 
MAS - Aetiology Asphyxia and intrauterine stress Passage of meconium + gasping movements Inhalation usually prior to delivery
MAS - effects of meconium Ball valve effect - air trapping Chemical irritation and pneumonitis Superinfection with bacteria Surfactant inhibition
MAS - Management Prevention in delivery suite Minimal handling Maintain normoxaemia May need ventilation + ? Paralysis Surfactant lavage Antibiotics
Pulmonary haemorrhage Clinical Sudden deterioration Copious bloody secretions from airway Hypotension Pallor Hypoxaemia
 
 
Pulmonary haemorrhage -Aetiology Usually preterm HMD with PDA Post surfactant therapy Coagulopathy Congestive cardiac failure
Pulmonary haemorrhage - Treatment Ventilation with high PEEP Surfactant Indomethacin for PDA Treat coagulopathy
Chronic lung disease Clinical Protracted respiratory insufficiency and oxygen requirement beyond 28th day or 36th week post conceptional age Very preterm with early ventilation for HMD
CLD - Aetiology Ventilation Oxygen toxicity PROM Chorioamnionitis Inflammation Proteolytic enzymes
CLD - prevention Minimise ventilation and oxygen exposure HFOV Early surfactant Corticosteroids  Early extubation
CLD treatment Minimise ongoing barotrauma Nutrition Permissive hypercapnia Diuretics Bronchodilators Corticosteroids - controversial Home oxygen therapy
Summary Knowledge of respiratory anatomy Physiology of adaptation at birth Surfactant Gas exchange Gas transport Lung mechanics Application of knowledge to the clinical management of babies with respiratory disease

10. Lung Physiology And Image

  • 1.
    Control of BreathingRESPIRATORY CENTRE (Medulla) MEDULLARY & CAROTID CHEMORECEPTORS Higher Control Centres RESPIRATORY REFLEXES DRUG EFFECTS e.g. OPIATES & CAFFEINE CRANIAL & SPINAL MOTOR NEURONES STRETCH & PROPRIOCEPTORS LUNGS & CHEST WALL INSPIRATION
  • 2.
    Chemoreceptors Medulla Oblongataand Carotid Body Respond to changes in pH, CO 2 and O 2 Resetting of carotid chemoreceptors occurs at birth in response to oxygenation Not essential at initiation of respiration but used for control of breathing Responses are weak in the immediate newborn period and in preterm babies
  • 3.
    Response to HypoxiaBreathing Efforts + - Time in Minutes Older Infant Fetus Preterm baby Term baby 5 mins
  • 4.
    Respiratory Reflexes Hering-Breuerreflexes Lung inflation -> inhibition of breathing Prolonged inhalation -> expiratory muscle contraction Rapid deflation -> prolonged inspiratory response Head’s paradoxical reflex Rapid inflation -> diaphragmatic contraction (sigh) Intercostal phrenic inhibitory reflex Chest wall distortion -> shallow inspiratory efforts Irritant reflexes Upper airway reflexes Nasal irritation/ suction -> apnoea Liquid in larynx -> apnoea
  • 5.
    Lung Mechanics Totallung capacity Tidal volume Functional residual capacity Vital capacity Inspiratory & expiratory reserve volumes Residual volume
  • 6.
    Definitions Tidal volume= volume of gas each breath 5 - 7 mL/Kg in babies Minute volume = vol. of gas each minute 200 – 400 mL/kg/min Minute volume = Tidal volume x resp. rate PaCO2 inversely  MV PaCO2 ↓ by ↑ tidal volume or ↑ resp. rate Dead Space = Vol. of lung not involved in ventilation (eg, airways and ET tubes)
  • 7.
    Compliance Compliance isa measure of the distensibility of the lung Compliance = Change in Volume (L) Change in Pressure (cm H 2 O) Lung disease decreases compliance RDS (Alveolar collapse) TTN (Fluid in insterstitium) BPD (Lung fibrosis) Pneumothorax (Lung compression) Surfactant improves compliance (beware over distension)
  • 8.
    Airways Resistance Measureof the pressure gradient needed for gas to flow through a tube Airway resistance = Pressure difference (R AW ) Gas flow Poiseuilles’ equation R AW  airway length R AW  1/ radius 4 Small & long ET tubes Subglottic stenosis
  • 9.
    Work of BreathingEnergy required to produce change in lung volume Increases with decreased compliance Increases with increased resistance If energy required to breath exceeds capacity to supply oxygen to provide that energy then respiratory failure develops requiring mechanical ventilation
  • 10.
    Pressure Volume Curves(Lung hysteresis loops) PRESSURE VOLUME INSP EXP
  • 11.
    Pressure Volume Curves(Lung hysteresis loops) PRESSURE VOLUME LOW COMPLIANCE HIGH COMPLIANCE
  • 12.
    Pressure Volume Curves(Lung hysteresis loops) PRESSURE VOLUME LOWER RESISTANCE HIGHER RESISTANCE
  • 13.
    Questions on Anatomy& Physiology ?
  • 14.
    Neonatal respiratory diseaseAims:- Overview of neonatal respiratory disease Pathophysiology Clinical presentation Aetiology X-ray appearances Treatments
  • 15.
    Hyaline membrane diseaseClinical:- Usually preterm Tachypnoea > 60 Indrawing/ retraction/ recession Grunting Nasal flaring Cyanosis in air Presents within a few hours of life
  • 16.
  • 17.
    HMD - AetiologySurfactant deficiency Structurally immature lungs
  • 18.
    HMD - TreatmentOxygen CPAP Mechanical ventilation Surfactant replacement
  • 19.
    TTN Clinical:- Usuallyclose to term Tachypnoea 100-120/min Overinflated chest No grunting/ retraction Settles within 24-48 hours
  • 20.
    TTN - AetiologyDelayed fetal lung fluid clearance Caesarean section - no squeeze of thorax at birth Mum not in labour - no catecholamine surge to promote absorption of fetal lung fluid
  • 21.
  • 22.
    TTN - treatmentPrevention - avoid early elective caesarean sections at term Oxygen supplementation and IV fluids until resolution
  • 23.
    Airleak Syndromes PneumothoraxPneumomediatinum Pneumopericardium Pulmonary interstitial emphysema
  • 24.
    Pneumothorax Clinical:- Maybe asymptomatic May be life threatening Sudden deterioration in gas exchange Poor colour Hypotension and tachycardia Unilateral overexpanded thorax
  • 25.
  • 26.
    Pneumothorax - aetiologyUneven alveolar ventilation Air trapping and high pressure swings Tracking of air from pulmonary interstitial emphysema
  • 27.
    Pneumothorax - predisposingfactors Spontaneous in 1% of all babies Increases with mechanical ventilation Increased x 4 with HMD Increased x 16 with CPAP Increased x 34 with IPPV
  • 28.
    Pneumothorax - preventionEarly surfactant therapy Avoid overdistension Volume guarantee Low PIP Short inspiratory time Faster ventilation rates - entrainment HFOV Trigger ventilation - no proven benefit Paralysis - no proven benefit
  • 29.
    Pneumothorax - TreatmentNone if asymptomatic Nitrogen washout technique - high FiO2 in term babies only Chest drain if tension pneumothorax or on mechanical ventilation Emergency needle thoracocentesis
  • 30.
    Pulmonary interstitial emphysemaMainly occurs in preterm babies ventilated for HMD Gas trapping in perivascular sheaths Increased incidence at lower gestations
  • 31.
  • 32.
    PIE - Clinicalfeatures Severe hypoxaemia and CO2 retention Deteriorating clinical condition X- Ray Overinflation with gross cystic changes
  • 33.
    PIE - TreatmentLower PEEP and PIP Paralysis High rate low pressure ventilation ? HFOV ? Selective bronchial intubation
  • 34.
    Persistent pulmonary hypertensionof the newborn Clinical features Severe hypoxaemia (cyanosed in 100% O2) No severe lung disease Evidence of R to L shunt (pre vs. postductal) Structurally normal heart
  • 35.
    PPHN - Aetiologyand predisposing factors Failure of NO synthase Asphyxia/ acidosis Infection Diaphragmatic hernia Alveolar capillary dysplasia Meconium aspiration syndrome
  • 36.
    PPHN - treatmentMinimal handling Inotropic support Ventilation - maintain low normal CO2 Paralysis Hyperventilation - ? Risk of PVL HFOV Nitric Oxide Pulmonary vasodilators Tolazoline/ Prostacyclin/ MgSO4
  • 37.
    Meconium aspiration syndromeClinical: Meconium passage prior to delivery Meconium in pharynx and trachea Respiratory distress post delivery with typical X-ray changes
  • 38.
  • 39.
  • 40.
    MAS - AetiologyAsphyxia and intrauterine stress Passage of meconium + gasping movements Inhalation usually prior to delivery
  • 41.
    MAS - effectsof meconium Ball valve effect - air trapping Chemical irritation and pneumonitis Superinfection with bacteria Surfactant inhibition
  • 42.
    MAS - ManagementPrevention in delivery suite Minimal handling Maintain normoxaemia May need ventilation + ? Paralysis Surfactant lavage Antibiotics
  • 43.
    Pulmonary haemorrhage ClinicalSudden deterioration Copious bloody secretions from airway Hypotension Pallor Hypoxaemia
  • 44.
  • 45.
  • 46.
    Pulmonary haemorrhage -AetiologyUsually preterm HMD with PDA Post surfactant therapy Coagulopathy Congestive cardiac failure
  • 47.
    Pulmonary haemorrhage -Treatment Ventilation with high PEEP Surfactant Indomethacin for PDA Treat coagulopathy
  • 48.
    Chronic lung diseaseClinical Protracted respiratory insufficiency and oxygen requirement beyond 28th day or 36th week post conceptional age Very preterm with early ventilation for HMD
  • 49.
    CLD - AetiologyVentilation Oxygen toxicity PROM Chorioamnionitis Inflammation Proteolytic enzymes
  • 50.
    CLD - preventionMinimise ventilation and oxygen exposure HFOV Early surfactant Corticosteroids Early extubation
  • 51.
    CLD treatment Minimiseongoing barotrauma Nutrition Permissive hypercapnia Diuretics Bronchodilators Corticosteroids - controversial Home oxygen therapy
  • 52.
    Summary Knowledge ofrespiratory anatomy Physiology of adaptation at birth Surfactant Gas exchange Gas transport Lung mechanics Application of knowledge to the clinical management of babies with respiratory disease