Page 1
Page 2
INTRODUCTION
• Diseases and conditions of diverse etiology &
prognosis may manifests in the oral cavity as fluid-
filled blisters, which according to their size may
further be distinguished as vesicle or bullae.
• Blister: It is a fluid filled cavity formed within or
beneath the epidermis. It consists of tissue fluid,
plasma & variety of components of inflammatory
cells.
They are classified as depending on their size as :
1) Vesicle
2) Bullae
Page 3
Vesicle: Elevated blister like lesions containing clear
fluid that are less than 1cm in diameter
Bullae: Elevated blister like lesion containing clear
fluid that are more than 1cm in diameter
Vesiculobullous lesions are distinct group of
disorders characterized by formation of vesicle or
bullae.2 These lesions are confined to stratified
squamous epithelium involve skin, oral & other
mucosa like nasal, ocular, genital mucosa.
Page 4
Page 5
Page 6
CLASSIFICATION OF VESICULOBULLOUS
LESIONS
I. According to: Fitzpatrick’s Clinical Dermatology,
5th Edition
I. According to anatomical plane:
A. Intra epidermal blister granular layer
i. Pemphigus foliaceous
ii. Frictional blisters
iii. Staphylococcus scalded skin syndrome
B. Spinous layer
i. Eczematous dermatitis
ii. Secondary to heat & cold
iii. Herpes virus infection
iv. Familial benign pemphigus
Page 7
C. Suprabasal
I.Pemphigus vulgaris
II.Pemphigus vegetans
III.Darier’s disease
D. Basal layer
i.Erythema multiforme
ii.Toxic epidermal necrolysis
iii.Lupus erythemtosis
iv.Lichen plannus
v.Epidermolysis bullosa simplex
II. Dermal- epidermal junction zone:
A.Lamina lucida
i.Bullous pemphigoid
ii.Cicatrical pemphigoid
iii.Epidermolysis bullosa junctional
B. Below basal lamina
i.Erythema multiforme
ii.Epidermolysis bullosa dystrophica
Page 8
II. According to: J.V.Soames and J.C.Southam Oral Pathology, Fourth Edition
Intraepithelial Vesiculobullous Diseases:
A. Acantholytic Lesions:
(a) Pemphigus Vulgaris
(b) Paraneoplastic pemphigus and other variants
(c) Darier’s Disease
B. Non-acantholytic Lesions:
(a) Viral infections of the oral mucosa
Subepithelial Vesiculobullous Diseases:
(a)Erythema Multiforme
(b)Pemphigoid
(c)Mucous membrane pemphgoid
(d)Dermatitis herpetiformis and linear IgA
disease
(e) Epidermolysis Bullosa
(f)Angina bullosa haemorrhagica (oral blood
blisters)
(g)Bullous lichen planus
Page 9
III. According to: Joseph, Regezi and James.J. Sciubba Oral
Pathology, Third Edition
A.Viral diseases
1.Herpes Simplex Infections
2.Varicella-Zoster Infections
3.Hand Foot and Mouth Disease
4.Herpangina
5.Measeles
B. Conditions associated with
immunologic defects:
1.Pemphigus Vulgaris
2.Cicatricial Pemphigoid
3.Bullous Pemphigoid
4.Dermatitis Herpetiformis
C. Heriditary diseases:
1.Epidermolysis Bullosa
Page 10
IV. According to Cawson’s Oral Pathology & Oral Medicine;
Seventh Edition
Infective
1. Primary herpetic stomatitis
2. Herpes labialis
3. Herpes zoster and chicken pox
4. Hand foot and mouth disease
Non-infective
1. Pemphigus Vulgaris
2. Mucous membrane pemphigoid
3. Linear IgA disease
4. Dermatitis herpetiformis
5. Bullous erythema multiforme
Page 11
V. According to, Martin S.Greenberg, Burket;
Tenth Edition
The patients with acute multiple lesions:
1.Herpes virus infections
2.Primary herpes simplex virus infections
3.Coxsackie virus infections
4.Varicella zoster virus infection
5.Erythema multiforme
6.Contact allergic stomatitis
7.Oral ulcers secondary to cancer chemotherapy
8.Acute necrotizing ulcerative gingivitis
Page 12
The patients with chronic multiple lesions:
1.Pemphigus
2.Sub epithelial bullous dermatoses
3.Herpes simplex virus infection in
immunosuppressed patients
The patients with single ulcers:
1.Histoplasmosis
2.Blastomycosis
3.Mucormycosis
The patients with recurring oral ulcers:
1.Recurrent apthous stomatitis
2.Behcet’s syndrome
3.Recurrent herpes simplex virus infection
Page 13
PEMPHIGUS
INTRODUCTION
•Pemphigus (from the Greek pemphix, meaning bubble or blister) is a
blistering disease involving the skin and mucous membrane.
•Pemphigus is a group of potentially life threatening autoimmune disease
characterized by mucocutaneous / & or mucosal blistering affecting the
skin & oral mucosa & may also affects the mucosa of the nose,
conjunctiva, genitals, oesophagus, pharynx & larynx.
Page 14
• Pemphigus affects 0.1- 0.5 patients per 1,00,000 population per year.
• Pemphigus is a group of diseases associated with intraepithelial blistering.
• Oral lesions are commonly seen with pemphigus vulgaris and
paraneoplastic pemphigus.
• The autoimmune process is directed against keratinocyte desmosomal
components resulting in loss of intercellular adhesion and the formation of
cutaneous and mucosal blisters.
Page 15
HISTORY
Pemphigus, derived from the term “pemphigoides
pyertoi” used by Hippocrates (460-370 BC) to describe
fever associated with blisters, refers to a group of
autoimmune intraepidermal bullous diseases of the skin
and mucous membranes.
Page 16
CLASSIFICATION
Pemphigus can be divided into 5 types:
1.Pemphigus vulgaris, with its reactive state, pemphigus vegetans.
2.Pemphigus foliaceus, with its lupus variant, pemphigus
erythematous, and its endemic variant, fogo selvage.
3.Drug induced pemphigus
4.Ig A pemphigus
5.Paraneoplastic pemphigus
Page 17
PEMPHIGUS VULGARIS
INTRODUCTION
•Pemphigus Vulgaris (PV) is an autoimmune blistering disease, though
rare, can cause serious involvement of mucocutaneous tissues and even
death. It characteristically involves oral mucosa more than the skin and
in most of the cases, oral lesions precede cutaneous lesions.
Page 18
HISTORICAL PERSPECTIVE
In 1777, McBride was the 1st author to definitely
report a case of pemphigus vulgaris as a disease he
called morbus vesicularis.
Shelley and Crissey expressed the belief that Robert
Willian in 1808 was the earliest to record an accurate
description of pemphigus under the name
pompholyx diutinus.
Nikolsky first described the sign that bears his
name in 1896.
Page 19
POSSIBLE ETIOLOGICAL FACTORS4
Pemphigus vulgaris is caused by autoantibodies against epithelial
intercellular components, especially cadherins, and particularly desmogleins
(Dsg 3 mainly but also Dsg1 in PV, Dsg 1 in PF), and, though the precise
initiating environmental or lifestyle factor is usually unclear, there is a
genetic basis to many cases.
Viruses
Herpes virus DNA has been detected, by polymerase chain
reaction, in peripheral blood mononuclear cells and skin
lesions of patients with pemphigus. Human herpes virus 8
(HHV-8) DNA was detected in lesions of patients with PV.
Page 20
Diet
Garlic in particular may cause occasional cases of
pemphigus.
Drugs
Traditionally, drugs that are capable of inducing
pemphigus are divided into two main groups according to
their chemical structure:
Drugs containing a sulfhydryl radical (thiol drugs or SH
drugs), such as penicillamine and captopril.
 Nonthiol or other drugs, the latter often sharing an active
amide group in their molecule and other ACE inhibitors are
occasionally implicated.
Page 21
Other factors
Lower numbers of smoker patients with PV, higher exposure
rates to pesticides, and a higher number of female patients
who had been pregnant point the contribution of estrogens in
the disease process.
Association with other disorders
Pemphigus vulgaris may occasionally be associated with
other autoimmune disorders, such as rheumatoid arthritis,
myasthenia gravis, lupus erythematosus, or pernicious
anemia
Page 31
PATHOGENESIS
Page 32
• Formation of autoantibodies [bind to keratinocyte surface mol
(Dsg I & III)] (IgG) & complement in the body
• Deposition of IgG & complement against antigenic component
of desmosomes of skin & epithelium
Initiation of Ag-Ab rxn
• Activation of tissue plasminogen
• Production of proteolytic enzyme-plasmin
Formation of intraepithelial bullae
Suprabasillar split in the epithelium
Dissolution & destruction of
desmosomes
Loss of intercellular bridges (acantholysis)
& accumulation of fluids
Page 33
CLINICAL FEATURES72
•It affects all the races, with an equal gender
predilection.
•The mean age group approximately 50 – 60
years of age.
•Vesicle or bullae, vary in size from a few mm to
few cm.
•These lesions contain a thin watery fluid shortly
after development, but this may become purulent
or sanguineous.
Page 34
 Bullae rupture to leaves a raw eroded area
 Characteristic sign of the disease Nikolsky sign:
when oblique pressure is applied to apparently
unaffected skin focal areas of epithelium strip
off.
 Nikolsky sign, results from the upper layer of the
skin pulling away from the basal layer i.e.
perivascular edema which disrupts dermal
epidermal junction.
Page 35
Courtesy: Lever’s Histopathology of Skin, 2nd edition
Page 36
Oral Manifestations.
80-90% patients with pemphigus vulgaris develop
oral lesions sometime during the course of the
disease, and, in 60% of cases, oral lesions may
preceed cutaneous lesions by months.
The oral lesions may begin as the classic bulla on
a noninflammed base; more frequently, the
clinician sees shallow irregular ulcers because the
bullae rupture rapidly.
Page 37
 Most commonly the lesions start on the buccal mucosa, often in areas of
trauma along the occlusal plane. The palate and gingiva are other
common sites of involvement.
General Dentistry, September/October 2007 ;55 (5)
Page 38
• A thin layer of epithelium peels away in an irregular
pattern, leaving a denuded base. The edges of the lesion
continue to extend peripherally over a period of weeks
until they involve large portions of the oral mucosa.
 Erosions may spread to involve larynx with
subsequent hoarseness. Patient is often unable to eat
or drink adequately.
Page 39
 Microscopically, formation of a vesicle or bullae intraepithelially, just
above basal layer producing distinctive ‘suprabasilar split’.
HISTOLOGIC FINDINGS
Page 40
 Prevesicular edema appears to weaken this junction & intracellular
bridges between epithelial cells disappear resulting in loss of
cohesiveness or acantholysis, & because of this, clumps of epithelial cells
are found lying free within vesicular space called as Tzank cells and
characterized particularly by degenerative chages which include swelling
of nuclei & hyperchromatic staining.
Page 41
 These changes are particularly obvious in cytologic smears taken from early,
freshly & opened vesicles. Such smears form the basis for rapid
supplemental test for pemphigus, the ‘Tzank test’.
 Fluids in most vesicles, particularly those more than a day or two, contains
variable numbers of polymorphonuclear leukocytes and lymphocytes.
Page 42
Antibodies as IgG deposits along
the desmosomes between epidermal cells, a
pattern reminiscent of chicken wire
Page 43
DIFFERENTIAL DIAGNOSIS
•Dermatitis herpetiformis,
•Bullous pemphigoid,
•Impetigo,
•Burns,
•Bullous drug eruptions,
•Erythema multiforme and Stevens-Johnson syndrome.
Page 44
MANAGEMENT
Systemic application of steroids is the first-line treatment.
0.5 mg to 1.0 mg prednisolone per 1 kg of body weight per day
is administered..
Immunosuppressants (mycophenolate mofetil,
cyclophosphamide, azathioprine, methotrexate and
cyclosporine) may be used.
Antibiotic application, fluid replacement and nutrition
management are conducted supplementarily.
Page 45
PEMPHIGUS VEGETANS
INTRODUCTION
•Pemphigus vegetans is a rare variant of pemphigus vulgaris
and is characterized by vegetating plaques in the flexural
regions.73
•It accounts for approximately 1 to 2 % of all cases of
Pemphigus vulgaris.74
Page 46
• Pemphigus vegetans is characterized by fungoid
vegetation, called hypertrophic papillated plaques, which
form on the erosions after the bullae have been ruptured.
• However, overall tendency for bullae formation is less in
Pemphigus vegetans than it is in Pemphigus vulgaris.
Page 47
HISTORY
Pemphigus vegetans, also called pyodermites vegetantes, was first
described as a variant of Pemphigus vulgaris by Neumann in 1876.76
Hallopeau described a second variant as “verrucous, cobblestoned plaques”
13 years later in Paris.77
SUBTYPES
Broadly classified into 2 subtypes based on the initial
clinical picture and disease course78:
1.Neumann type
2. Hallopeau type.
Page 48
CLINICAL FEATURES
The mean age of onset is 40 to 50 years.
Lesions predominantly involve the intertriginous areas
(groin/axilla), scalp, face, and mucous membranes78.
The Neumann type usually begins with flaccid bullae and
erosions, has a worst response to therapy and a poor prognosis,
similar to pemphigus vulgaris.79
Hallopeau type usually begins with grouped pustules and has a
excellent response to therapy with long remission being
observed.80
Page 49
 Both the types develop hyperpigmented vegetative plaques with pustules and
hypertrophic granulation at the periphery.
In the intertriginous area – right
groin –brown papillomatous,
erosive vegetations.
Pustules on the surface and the
peripheral blistering
corresponding to the histological
finding of intraepithelial
abscesses.
Courtesy:JDDG; 2010 • 8:179–183
Page 50
 Pemphigus vegetans has been reported in
paraneoplastic syndrome (5 to 12% of cases)
 It has also been associated with drugs like captopril,
penicillamine, and intranasal heroin, although the exact
causative pathophysiology is unknown.
Page 51
ORAL MANIFESTATIONS
Oral involvement is seen in mostly all the cases.
A characteristic feature of Pemphigus vegetans is
cerebriform tongue with a pattern of sulci and gyri on
the dorsum of tongue.81
In pemphigus vegetans of Neumann type the
vermillion border of the lip is frequently affected and
deep fissures may form between the vegetations.82
In the Hallopeau type, the vermillion border of the
lips also frequently shows papillomatous hyperplasia
(Lever, 1953)
Page 52Courtesy:JDDG; 2010 • 8:179–183
Page 53
HISTOLOGICAL FEATURES
Early lesions will show suprabasal acantholysis.
Additionally, the Hallopeau type exhibits eosinophilic
intraepidermal microabscesses.
Neumann type shows intraepidermal vesicles.
These characteristics differ from those of Pemphigus
vulgaris in that Pemphigus vegetans is associated with an
increased eosinophilic response, formation of
microabscesses, and a greater extent of vesiculation.
Late lesions exhibit papillomatosis and hyperkeratosis
with no eosinophilic microabscesses.
Page 54
Hyperplastic epidermis, eosinphilic spongiosis and
intraepithelial abscesses stuffed with eosinophils.
Eosinophils also dominated the dense inflammatory
infiltrate in the oedematous papillary dermis.
Courtesy:JDDG; 2010 • 8:179–183
Page 55
TREATMENT
Treatment is normally accomplished with systemic
steroids and immunosuppressant such as azathioprine,
mycophenolate mofetil, or cyclosporine.
There are also reports on the successful use of dapsone
and retinoids.
TNF-blockers have also been used in therapy-
refractory patients.
In milder cases, local antiseptic therapy and topical
steroids seem to be sufficient.
Page 56
PEMPHIGUS FOLIACEUS (SUPERFICIAL PEMPHIGUS,
FOGO SELVAGEM)
INTRODUCTION
 Pemphigus foliaceus (PF) is generally a benign variety of pemphigus.
 It is an autoimmune disease that is characterised by loss of intracellular
cohesion of keratinocytes in upper parts of the epidermis, either in the
granular layer (acantholysis) and blister formation within the epidermis83
 Brazilian pemphigus [fogo selvagem (FS) or Brazilian
wildfire] is a mild endemic form of pemphigus foliaceus
found in tropical regions, particularly in Brazil, that is
often in children and frequently in family groups72.
Page 57
HISTORY
The first mention of ‘pemphigus brasiliensis’ was recorded by
Sauvages in 1874 in his Nosolpgia Methodica referring to an
observation made by a Father Bougeant who was working as a
missionary in Brazil in 1730
Pemphigus foliaceus is the most common autoimmune skin
disease and was first described by Barnick and Gutzeit (1891).
Oral lesions are rare in PF according to Perry and Brunsting
(1965) in their extensive study of this form of disease.
Page 58
SUBTYPES
I.Pemphigus foliaceus comprises of two major categories:
(i)sporadic form
(ii)endemic pemphigus foliaceus also known as fogo selvagem
(wild fire)
II. According to Shafer’s Textbook of Oral Pathology, Fifth
Edition, there are six subtypes:72
(i)Pemphigus erythematosus (PE)
(ii)Pemphigus herpetiformis (PH)
(iii) Endemic pemphigus foliaceus (EPF)
(iv)Immunoglobulin A (IgA) pemphigus
(v) Paraneoplastic pemphigus foliaceus (PNPF)
(vi) Drug induced pemphigus foliaceus
Page 59
ETIOLOGY AND PATHOGENESIS
In human beings desmoglein I, glycoprotein, expressed
mainly in the granular layer of epidermis detected as major
pemphigus foliaceus antigen.84
Other precipitating factors include medications and
ultraviolet light radiation.
It was suggested that both the factors enhanced autoantibody
epidermal binding and preferential neutrophil adhesion to UV-
irradiated epidermis which contribute to acantholysis.72
Page 62
CLINICAL PRESENTATION
•Pemphigus foliaceus (PF) or superficial pemphigus affects
persons in 5th to 7th decade of life. It is characterized by
superficial blisters that rupture and leave shallow erosions.
•Lesions favor seborrhagic areas (face and upper trunk) and
almost never occur on the oral mucosa.
•Patients present with scaly-crusted erythematous patches having
superficial blisters (vesicles and bullae) or pustules.
•Blisters rupture and dry to leave masses of flakes or scales
suggestive of an exfoliative dermatitis or eczema.
Page 63
Courtesy:DermNet NZ.com
Page 64
• The disease may originate in this form or from one of the other types
of pemphigus.
• Pemphigus erythematosus is a variant of pemphigus foliaceus with
some clinical and immunological features of lupus erythematosus.
• The cutaneous lesions occur in a 'butterfly' distribution on the face as
well as in the usual areas.
• Pemphigus herpetiformis combines the clinical features of dermatitis
herpetiformis with the immunofluorescence findings of pemphigus.
Page 65
• In drug-induced pemphigus, causative drugs commonly
contain true thiol or sulphur groups examples including
D-penicillamine, captopril, pyritinol and piroxicam.
Penicillins, pyrazolones and several other medications
have also been implicated.
• Prodromal, non-specific, morbilliform, urticarial, annular
or toxic erythematous eruptions often precede the
development of pemphigus lesions.
Page 66
• Oral lesions are uncommon.
• In IgA pemphigus, flat pustules arise on an erythematous base
and have a tendency to confluence, forming annular and circinate
patterns.
• Mucosal lesions are rare.
Page 68
HISTOPATHOLOGY
•Pemphigus foliaceus begins as acantholysis of the upper dermis. It
usually enlarges and detaches without bullae formation, though a bullae
may form showing acantholysis at both the roof and the floor.
•Most established lesions may have acantholysis and mild to
moderate papillomatosis. Hyperkeratosis and parakeratosis may also
be evident, with dyskeratotic cells within the granular layer.
Page 69
Superficial acantholysis of the granular
layer. (H&E, original magnification x40)
Courtesy: http://www.hindawi.com
Page 72
DIFFERENTIAL DIAGNOSIS
•IgA pemphigus,
•Subcorneal pustular dermatosis,
•Pustular psoriasis,
•Reiter’s syndrome,
•Pustular drug reaction,
•Bullous impetigo,
•Staphylococcal scalded skin syndrome,
•Pustular fungal infection.
Page 73
TREATMENT
•Therapy for PF is usually less aggressive because of their low
morbidity and mortality rates.
•Nonsteroidal treatment of pemphigus is possible. Mestinon may
also be used to slow down the progression of the disease
•Mild or localized disease should initially treated with topical and
intralesional therapy.
Page 74
• The next step in therapy is the use of low-dose
corticosteroids and/or immunosuppressants.
• Moderate to severe disease may require admission to
hospital for stabilization and initiation of therapy with
moderate doses of corticosteroids, usually in
combination with topical measures and
immunosuppressive agents, dapsone or tetracyclines.
Page 75
IgA PEMPHIGUS
INTRODUCTION
IgA pemphigus is a newly characterized group of autoimmune
intraepidermal blistering diseases presenting with a vesiculopustular
eruption, neutrophil infiltration, acantholysis, and in vivo– bound and
circulating IgA autoantibodies that target cell surface components of
the epidermis.
Page 79
CLINICAL FEATURES
IgA pemphigus usually occurs in middle-aged or elderly
persons, although occasional reported in childhood
The disease has an average age at onset of approximately 48
years (range, 5-92 years).
IgA pemphigus clinically present with flaccid vesicles or
pustules or both on erythematous or normal skin..
Page 80
 The pustules tend to coalesce to form an annular
or circinate pattern with crusts in the central
area.5
 The sites of predilection are the axillary and
groin areas, but the submammary area, trunk,
proximal extremities, and lower aspect of the
abdomen are commonly involved.
 Pruritus is also a significant symptom that may
interfere with the patient’s daily activities.
Page 81
Diffuse erythematous papules and
plaques with mild desquamation over
trunk and limbs, more prominent on
axilla and groins.
Page 82
HISTOPATHOLOGY
Histopathologic examination of the two IgA pemphigus types
documents the level of intraepidermal pustule or blister formation.
In the SPD type of IgA pemphigus, pustules are located
subcorneally in the upper epidermis
Subcorneal neutrophillic bullae with sparse to moderate
eosinophills & acantholytic cells.
In the IEN type, suprabasilar pustules in the lower or entire
epidermis are present. There is an accompanying superficial
acantholysis that is frequently sparse, as well as a significant
neutrophil infiltration
Page 83
IgA pemphigus.Subcorneal blister with
neutrophil infiltration.(H&E stain; original
magnificationX100)
Page 84
DIFFERENTIAL DIAGNOSIS
Subcorneal pustular dermatosis, Dermatitis herpetiformis,
Pemphigus foliaceus, Pemphigus herpetiformis, Linear IgA bullous
dermatosis
TREATMENT
•As for treatment, dapsone is the firstline drug of choice for IgA
pemphigus. The initial dosage is 50-100 mg daily.
•Systemic steroid and retinoid acid (acitretin or isotretinoin) are
alternatives when dapsone can not be used.
•
Page 85
PARANEOPLASTIC PEMPHIGUS
INTRODUCTION
Paraneoplastic pemphigus (PNP), an autoimmune blistering
and erosive mucocutaneous disease, is an extremely rare but
severe subset of pemphigus.88
Paraneoplastic disorders can be broadly defined as those that
are caused by a remote effect of a cancer, not by direct tumor
infiltration or tissue damage caused by metastases.
These remote effects can be due to secretion of biologically
active peptides or, in some cases, by immunologic effects of the
tumor on the resident immune system.32
Page 86
 Recent work has suggested that the condition should be renamed
paraneoplastic autoimmune multiorgan syndrome, because the antigens
that are the target of autoantibodies in the presence of a malignancy are
not limited to the skin but are found in many organs of the body.89
HISTORY
PNP was first described by Anhalt et al. in 1990 and
proposed a set of criteria in order to arrive at the
diagnosis.29
Page 87
 The proposed criteria for the diagnosis of paraneoplastic
pemphigus are31:
1. Painful mucocutaneous erosions, sometimes with a skin
eruption that eventually result in blisters and erosions, in
the setting of confirmed or occult malignancy.
2. Histopathological features such as acantholysis,
keratinocyte necrosis and interface dermatitis.
3. Direct immunofluorescence (DIF) typically reveals IgG and
complement (C3) within the epidermal intercellular spaces
as well as at the epidermal basement membrane.
Page 88
4. Indirect immunofluorescence (IDIF) observation of circulating antibody
specific for stratified squamous or transitional epithelia (transional
epithelium) is found
5. Immunoprecipitation of a complex of proteins with typical molecular
weights
 In 1997, it was reported that 80% of all cases of PNP are
linked to three neoplasms: non-Hodgkin’s lymphoma,
chronic lymphocytic leukaemia and Castleman’s disease.
Page 92
CLINICAL FEATURES
The mean age of onset is 60 years. Patient ranging from from 7-76 years
have been reported.
Both sexes have equal predilection.
Generally, patients with PNP mostly have had associated with malignant
tumors.
Mucous membrane lesions of the oral cavity are usually florid, and can
involve the oropharynx, nasopharynx, tongue, and vermilion of the lips, in
addition to the conjunctiva of the eye, genital region, and esophagus.
Page 93
Skin lesions
Cutaneous lesions are polymorphic, occurring after the onset
of oral lesions.
Blisters often erupt in waves, affecting the upper trunk, head,
neck, and proximal extremities.94
Intact blisters are rarely found and they often develop as
erosive lesions. Tense blisters with surrounding erythema are
more frequently seen on extremities than on other areas.
•The other main type of lesions seen in PNP is lichenoid
eruption commonly seen on the trunk and extremities.
Page 94
Erythematous keratotic lesions on
palms and soles.
Paraneoplastic pemphigus / paraneoplastic
autoimmune multiorgan syndrome:
pemphigus-like erosive crusted lesions
 Skin eruptions may also be psoriasiform,
vegetative or pustular lesions.
Page 96
Oral Manifestations
 The lesions are more extensive than the mucosal lesions seen in
pemphigus vulgaris and are more likely to involve the lateral
borders of the tongue and extend onto the vermilion of the lips.
 The eruption can assume a wide variety of morphologies, including
morbilliform, urticarial, bullous, papulosquamous or erythema
multiform-like lesions.
 Some complain of pain and pruritis.
 Erosions can occur in the buccal, labial, gingival and
lingual mucosa.
Page 97
Erosive, mucosal eruptions affecting the oral cavity.
Page 98
HISTOLOGICAL FEATURES
Oral and cutaneous lesions show epidermal necrolysis,
suprabasal acantholysis, dyskeratotic keratinocytes, vacuolar
interface dermatitis and lymphocytic infiltration.
Oral mucosal lesions show greatest acantholysis, while some
skin lesion don’t show acantholysis.
A distinctive feature is dyskeratosis. Dyskeratotic keratinocytes
are found at all levels in the epidermis, especially within the
zones of acantholysis, and can be found in cutaneous adnexa.
Page 99
 The presence of dyskeratosis in the suprabasal acantholytic bullous
disorder is clue to the presence of paraneoplastic pemphigus.
 Perivascular infiltration predominantly of lymphocytes is common,
but without vasculitis.
 Melanin containing macrophages may also present.
Courtesy: dermaamin.com
Page 100
Page 101
TREATMENT
Initial care is aimed at treating superinfection, if present.
Warm compress, nonadherent wound dressings, and topical
antibiotic ointments are helpful.72
Early detection and complete resection of the tumor are
essential for the treatment of the disease.
During the operation, it is important to block the blood supply
of the tumor first and to avoid squeezing the tumor.
Page 102
 I.V. immunoglobulin before, during and after the
operation in a total dose of 1–2 g/kg is recommended
to block the circulating autoantibodies released from
the tumor.
 Cutaneous lesions usually remit or remarkably
improve within 6–11 weeks, but recovery from
mucosal lesions is much slower and may take half a
year.
 The titer of serum autoantibody decreases
significantly within 6–8 weeks.
 The prognosis of paraneoplastic pemphigus is poor.
Page 103
PEMPHIGOID
Introduction
•Pemphigoid is a group of immune-mediated blistering diseases
characterized by the production of autoantibodies to various components of
hemidesmosomes and epithelial basement membrane.
•These structures mediate the attachment between epithelium and the
underlying connective tissue. They are damaged in the pemphigoid group of
diseases, resulting in the formation of subepithelial vesicles.
The term “Pemphigoid” is used because clinically it
often appears similar to pemphigus.
Page 104
CLASSIFICATION
According to Soames JV and Southam, they are divided
clinically into 2 types:
(1) those involving skin alone, or with only minimal
mucosal involvement, referred to as bullous pemphigoid
(BP);
(2) those involving mucosa alone, or with only minimal skin
involvement, referred to as mucous membrane pemphigoid
(MMP).
Page 105
Bullous Pemphigoid
 Bullous pemphigoid (BP) is an autoimmune disorder induced by
autoantibodies against components of the skin basement
membrane zone.
 It is most prevalent in the elderly & also called as parapemphigus.
 It is subepidermal blistering skin disease characterized by large
tense blisters with immunopathological findings of linear deposits
of C3 and IgG at the basement membrane zone.
Page 107
PATHOPHYSIOLOGY
 Bullous pemphigoid and its closely related mucosal
counterpart, MMP, share similar etiopathogenesis.
 A difference from MMP is that titers of circulating
autoantibodies to basement membrane zone antigens are
usually detectable in bullous pemphigoid.
 The pathogenesis of BP is characterized by tissue bound
circulating IgG autoantibodies against two components of
hemidesmosome of stratified epithelia, BP 230 kD (BPAg1)
and BP 180 kD (BPAg2, COL17).
Page 108
 BPAg1 (cytoplasmic protein involved in the anchorage of
intermediate filaments to the cytoskeleton) and BPAg2
(transmembrane adhesion molecule with several collagenous
extracellular domains).
 Antibodies to BPAg2 is important in subepidermal blister formation.
BPAg1 may have a secondary role, and its exact function in the
pathogenesis is not fully defined.
Page 111
CLINICAL FEATURES
•Seen primarily in elders, with the peak incidence in the 7th-
8th decades ((Fitzpatrick et al.) with average onset of 65 years.
The age of onset in childhood BP varied from 2.5 months to
14 years.
Childhood BP often follows a benign course, with disease
duration of <1 year.
Lesions appear on the skin, although concomitant lesions of
mucous membranes occur in almost one third of the patients.
There is no known ethnic, racial, or sexual predilection.
Page 112
 Skin lesions are characterized by non specific rash, commonly in the
lower abdomen, inner or anterior thighs and flexor forearms, although
they may occur anywhere.
 Although tense vesicles and bullae are typically noted, they are often
preceded by or associated with an erythematous papular eruption.
 The vesicle or bullae are thick-walled and are usually filled with clear
fluid but may be hemorrhagic.
Page 113
Tense blisters on erythematous base Blisters and crusts on the hands
Page 114
 In some patients, blisters arise after persistent urticarial lesions, and in
some, urticarial lesions are the sole manifestations of the disease.
 The bullae usually heal with post-inflammatory pigmentary changes and
there is no scarring or milia formation.
Blisters due to persistent
urticarial lesions
Page 115
ORAL MANIFESTATIONS
Oral and ocular mucosal involvement rarely occurs
Oral mucosal lesions of bullous pemphigoid cannot be
distinguished from MMP.
Vesicles or bullae and area of erosions and ulceration may be noted
mainly on the attached gingiva.
 Other areas of involvement may include soft palate,
buccal mucosa and floor of the mouth.
Page 116
Erosions on attached gingiva
 Involvement of gingival lesions are exceedingly
painful, with erythema and desquamation due to
minor frictional trauma.
Page 117
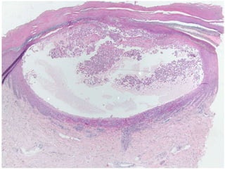
HISTOPATHOLOGIC FEATURES
Bullae are subepithelial, non-specific and similar to those of MMP.
 The inflammatory infiltrate is typically polymorphous, with
an eosinophilic predominance.
 Mast cells and basophils may be prominent early in the
disease course.
 Electron microscope shows basement membrane attached to
the connective tissue rather than overlying separated
epithelium.
 Tzanck smear shows only inflammatory cells.
Page 118
Page 119
DIFFERENTIAL DIAGNOSIS
Erythema multiformae
Dermatitis herpetiformis
Porphyria cutanea tarda
Polymorphous light eruption
Page 120
MANAGEMENT
Systemic corticosteroids are generally used to control the
disease. Antibiotics (tetracycline and erythromycin) have also
been of use.
Oral prednisolone doses range from 0.3 to 1.25 mg/kg body
weight/day, which usually controls disease within 1–2 weeks;
the dose is then progressively tapered.
Page 121
MUCOUS MEMBRANE PEMPHIGOID
INTRODUCTION
•Mucous membrane pemphigoid (MMP) is a chronic
autoimmune subepithelial blistering disease primarily affecting
mucous membrane resulting in mucosal ulceration and
subsequent scaring. This is also known as ‘Cicatricial
Pemphigoid’.
•It resembles bullous pemphigoid & oral cavity and
conjunctivas are favored sites, although pharyngeal, anal and
vaginal lesions are present in one half of the patients.
Page 122
• The term “Cicatricial” is derived from the word Cicatrix, meaning
“Scar”.
• When the conjunctival mucosa is affected, the scaring that results
is the most significant aspect of this disorder because it invariably
results in blindness unless the condition is recognized and treated.
Page 126
PATHOGENESIS
The primary lesion of MMP occurs when auto-antibodies
directed against proteins in basement membrane zone, acting
with complement (C3) and neutrophils, causing subepithelial
split & vesicle formation.
Antigens associated with MMP are frequently present in
lamina lucida of basement membrane, but recent research has
demonstrated that identical antigen is not involved in all cases,
and lamina densa may be the primary site of involvement in
some cases.
Page 127
 Antibodies in MMP, usually IgG or IgA or both class,
are directed against proteins of the basement
membrane complex.
 Immunoglobulins activate complement which attracts
leukocytes.
 These white blood cells, primarily neutrophils, release
proteolytic enzymes that cleave fibrils in the basement
membrane zone, resulting in blister formation.
Page 128
 The major antigens involved in oral MMP are believed to be
BP180, 10,11 and laminin 5, 12,13.
 Consequently, the epithelium is poorly anchored to the
connective tissue and separates, allowing a subepithelial blister
to form.
Page 129
CLINICAL FEATURES
Cicatrical pemphigoid usually affects older adults, with an average
age of 40-50 years at the onset of the disease.
Females are affected more frequently than males by a 2:1 ratio.
Oral lesions are seen in most patients but other sites such as
conjunctival, nasal, esophageal, laryngeal and vaginal mucosa as well
as the skin may be involved.
Page 130
• Ocular involvement is the most serious
complication following the initial
conjuctivitis, adhesion between palpebral &
bulbar conjuctivae (symblepharon) resulting
in obliteration of the palpebral fissure,
opacity of the cornea & complete blindness.
Page 131
Oral Lesions:
The oral lesions of pemphigoid begin as vesicles or bullae. The bullae are
rarely seen because the blisters are fragile and short lived.
Most consistent oral lesions are involving gingivae although other sites in
oral cavity can be involved.
Page 132
 Pemphigoid blister forms in a subepithelial location, producing a
thicker, stronger roof than the intraepithelial blister. Therefore, may
persist for 24-48 hrs before rupturing & desquamation.
 Mucous membrane pemphigoid is one of the main causes of
desquamative gingivitis (DG). Indeed, DG is the main oral feature of
MMP and may be the presenting feature.
• Desquamating lesions rupture leaving raw eroded
areas, bleeding surfaces.
• Gingiva manifest erythema for weeks even after
original erosions are healed.
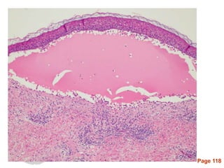
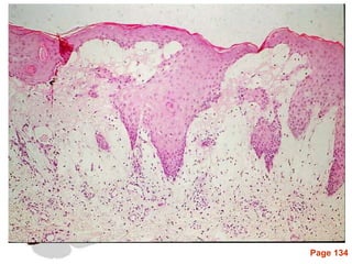
Page 133
HISTOPATHOLOGIC FINDINGS
• The histologic findings are non-specific.
• Vesicles & bullae are subepidermal rather than suprabasilar.
• There is no evidence of acantholysis.
• Basement membrane detach with the epithelium from the
underlying connective tissue.
• There is non-specific inflammatory infiltrate in the connective
tissue, mainly plasma cells, lymphocytes and eosinophils.
Page 134
Page 135
Linear Deposits Of IgG And/Or C3
At The BMZ By DIF.
Page 136
DIFFERENTIAL DIAGNOSIS
• Pemphigus vulgaris
• Bullous pemphigoid
• Erosive lichen planus
• Bullous erythema multiformae
Page 137
TREATMENT
• The main treatments, are immunosuppressive and include the
systemic and topical coticosteroids in various forms.
Page 138
ERYTHEMA MULTIFORMAE
 Erythema multiforme (EM) is an acute, self-limited, dermatitis
characterized by a distinctive clinical eruption manifested as the target or
iris lesion.
 EM includes wide range of clinical expression from
EM minor followed by EM major characterized by
mucosal erosions of raised atypical target lesions on
extremities and/or face to fulminatingly severe
Stevens-Johnson syndrome [SJS] with mucosal
erosions plus widespread distribution of flat atypical
targets or purpuric macules and toxic epidermal
necrolysis [TEN].
Page 141
VARIANT AUTHOR
Erythema multiforme
minor
Hebra
Erythema multiforme
major
Thomas
Stevens-Johnson
syndrome
Stevens and
Johnson
Toxic epidermal
necrolysis
Lyell
Oral erythema multiforme Kennett
CLASSIFICATION
Page 142
ETIOLOGY
Viral infections:
AIDS, Adenovirus, Coxsackie virus, Epstein-Barr virus, Hepatitis A,
B, and C, Herpes simplex 1 and 2, Herpes zoster, Influenza type A,
Mumps, Poliomyelitis,
Bacterial infections:
B-hemolytic streptococci, Diphtheria, Mycobacteria, Mycoplasma
pneumonia, Typhoid fever,
Other conditions like malignancy, radiation
therapy and recent vaccination may be
common precipitating factors.
Page 143
Fungal infections:
Coccidioidomycosis, Dermatophytosis, Histoplasmosis,
Protozoal infections:
Malaria, Trichomonasis
Drug therapy causes of erythema multiforme
 Penicillins, Arsenic, Barbiturates, Bromides, Carbamazepine,
Cephalosporins, Co-trimazole, Cyclophosphamide,
Diclofenac, Digitalis, Ethambutol, Fluoquinolones, Gold salts,
Hydralazine, Ibuprofen, Iodides, Naproxen, Nitrogen mustard,
Penicillin, Phenobarbital, Phenylbutazone, Phenytoin,
Rifampin, Salicylates, Sulfasalazine, Tolbutamide,
Vancomycin etc.
Page 144
C/F
 Frequently in children and young adults, in 2nd to 4th decade of life
and is rare after age 50 years with a male predilection.
 It has an acute or even an explosive onset; generalized symptoms
such as fever and malaise appear in severe cases.
 The disease may be asymptomatic and in less than
24 hours have extensive lesions of skin and mucosa
characteristics of vividly erythematous, discrete
macules, papules or occasionally vesicles or bullae
in a rather symmetrical patterns commonly over the
hands and arms, feet and legs, face and neck.
Page 145
 A concentric ring like appearance of the lesions, resulting from
varying shades of erythema, occur in some cases and has given
rise to the term ‘target lesions’ or ‘bull’s eye’.
 They are common in hands, wrists and ankles and mucous
membrane, involving oral cavity.
Page 146
EM minor
 Skin involvement consists of typical target lesions that are individual
lesions less than 3 cm in diameter with a regular round shape; well-
defined border & blisters may be present.
 Skin lesions are usually present on the acral extensor surfaces.
 EM minor represents localized eruption of skin with minimal to nil
mucous membrane involvement.
Page 147
EM major
Erythema multiforme major is also an acute, self-
limited reaction pattern that may be episodic or
recurrent.
EM major has a mucocutaneous pattern.
Skin involvement is similar to EM minor but may be
more extensive showing raised atypical lesion.
Involvement of one or more mucous membranes
almost exclusively limited to the oral cavity is typical.
Mucosal disease may be the most prominent element
of the disease.
Page 148
ORAL MANIFESTATIONS
 Oral involvement is seen in 40% to 60% of patients
 Lesions typically seen in the anterior part of the mouth, on
nonkeratinized mucosa and less frequently on the gingivae.
 Lesions appear clinically as erythematous macule that evolve into
numerous small-grouped vesicles that rupture, leaving superficial
erosions covered by a fibrinous pseudomembrane.
 Oral lesions usually occur simultaneously with skin lesions but may
precede or follow the onset of cutaneous lesions.
Page 149
Erythema multiforme: multiple erosions on the lips and tongue.
Page 150
Stevens- Johnson syndrome
•The more severe vesiculobullous forms of the disease,
Stevens-Johnson syndrome(SJS) and TEN, have a
significant mortality rate.
EM is classified as Stevens-Johnson syndrome when the
generalized vesicles and bullae involve the skin, mouth,
eyes, and genitals.
It commences with the abrupt occurrence of fever, malaise,
photophobia and eruptions of the oral mucosa, genitalia and
skin.
Page 151
 Cutaneous manifestations in this mucocutaneous-ocular
disease are hemorrhagic often vesicular or bullous.
 Early skin lesions, includes erythema and macules,
which have a tendency to rapid coalescence.
 In a second phase, large areas of epidermal detachment
develop.
 The Nikolsky sign is positive if mechanical pressure
induces epidermal detachment.
 Genital lesions are comprised of nonspecific
urethritis, balanitis and vaginal ulcers. Vaginal
lesions are associated with stricture formation.
Page 152
 Ocular involvement at the onset of disease is
frequent consisting of photophobia, and can range
from acute conjunctivitis, eyelid edema, erythema,
crusts, and ocular discharge, to conjunctival
membrane or pseduomembrane formation or corneal
erosion, and, in severe cases, symblepharon, and
corneal ulceration.
 Blindness can result from bacterial infection.
Page 153
 Oral lesions may be extremely severe and painful that
mastication is impossible. Mucosal bullae rupture leaving
surface covered with thick white or yellow exudate.
 Erosion of pharynx are also common. Lip exhibit
ulceration with bloody encrustation which are painful.
 The oral lesions may be the chief complaint of the patient
and can be mistaken for acute necrotizing ulcerative
gingivostomatitis.
 The mucosal involvement is more severe and extensive
than EM major.
 Healing usually taking place within 2-3 weeks.
Page 154
Page 155
Toxic Epidermal Necrolysis
Toxic Epidermal Necrolysis (TEN) also known as Lyell’s
Syndrome (LS), a rare condition, causing a widespread
life threatening muco-cutaneous disease resulting from
idiosyncratic reaction to drugs.
•It is considered by many to be the severe form of Steven
Johnson syndrome (SJS). Both LS and SJS present with
muco-cutaneous involvement and are precipitated by
similar agents.
•Oral erosions may occur.
Page 156
•Large sheets of skin peels off
giving appearance of scalded burns
Courtesy: sunnybrook.ca
Page 157
HISTOLOGIC FINDINGS
•Microscopic appearance of erythema multiformae is not
diagnostic.
•Cutaneous or mucosal lesion exhibit intracellular edema of
spinous layer of epithelium & edema of connective tissue
which may produce subepidermal vesicle.
•Zone of liquefaction degeneration in upper layers of
epithelium, intraepithelial vesicle formation & thinning or
absence of basement membrane can be seen.
•Dilatation of superficial capillaries & lymphatic vessels in
uppermost layer of connective tissue is prominent with varying
inflammatory cells (neutrophils & eosinophils).
Page 158
Courtesy: medscape.org
Page 159
TREATMENT
•Oral histamines, analgesics, local skin care & soothing
mouth-washes, topical steroids are choice of treatment.
•Oral antacids helpful in oral ulcers.
Liquid antiseptics, like 0.05 % chlorhexidine, during
bathing is preferable.
Page 160
BULLOUS LUPUS ERYTHEMATOUS (BLE)
INTRODUCTION
Bullous lupus erythematosus (BLE) is a rare variant of lupus
erythematosus (LE) characterised by presence of vesicles, bullae,
and papules which may range from 3-40 mm in diameter.
It is a widespresd nonscaring vesiculobullous eruption.
The skin lesions usually appear in areas exposed to the sun.
BLE appears mostly in association with systemic LE (SLE).
Page 161
PATHOGENESIS
The pathogenesis of BLE is not yet understood.
It is believed that autoantibodies directed against basement
membrane proteins, especially collagen type VII.
Associations with human leukocyte antigens (HLA)-A1, -B8,
-DR2, -DR3, and -DQ1 are known.
Page 162
CLINICAL FEATURES
Most patients have been young black women, but all ages
and races and both genders are affected.
Flexural and extensor skin surfaces and mucosal surface of
the mouth and pharynx may be affected.
Typical clinical features include a widespread, nonscarring
vesiculobullous eruption that occurs on, but is not limited
to, sun exposed skin.
Page 163
 Erythematous macules and plaques and blisters
arising on erythematous skin are often present.
Page 164
 Blisters may be large and tense like those in bullous
pemphigoid or small and grouped like those in dermatitis
herpetiformis.
Widespread cutaneous macular and vesiculobullous eruptions were seen
in areas exposed to sunlight (face, neck, and lower arms).
Page 165
HISTOLOGIC FEATURES
The histology of early lesions shows dermal – epidermal
separation at the basement membrane and neutrophils in the
upper dermis beneath the basement membrane.
 A subepidermal blister with dermal inflammatory
characterized by neutrophillic papillary microabscesses like
dermatitis herpetiformis.
Leukocytes accumulate around upper dermal blood vessels;
and in some cases, the features of necrotizing vasculitis
including leukocytoclasis, erythrocyte extravasation , and
vessel necrosis are present.
Page 166
Histological examination of lesional
skin demonstrates subepidermal
blistering with a dense, primarily
neutrophilic, inflammatory infiltrate
in the upper dermis. (H&E,
magnification 10x40)
• Importantly, the histologic features of primary lupus
lesions such as epidermal atrophy, basal keratinocyte
vacuolization, basement membrane thickening, and
chronic inflammation are absent.
Page 167
TREATMENT
Most patient with bullous SLE respond to dapsone
Response is usually dramatic, with cessation of new lesion
within 24 to 48 hours after administering the drugs , and
healing of old lesions within several days.
Small doses (25to 50 mg every day) may be effective.
Patients who do not respond to dapsone may benefit from
a trial of predenisone or combination prednisone and a
second immunosuppressive / anti-inflammatory agent such
as azathionprine, cyclophosphamide, or cyclosporine.
Page 168
BULLOUS LICHEN PLANUS AND LICHEN PLANUS
PEMPHIGOID
INTRODUCTION
•Lichen planus is a relatively common dermatological
disorder occurring on skin and oral mucous membrane.
•Bullous or vesicular lesions are an unusual manifestation of
lichen planus.
•In bullous lichen planus, the severity of basal degeneration
and separation at the junction results in clinically evident
vesiculation.
Page 169
• It has been suggested that bullous lichen planus
represents a variant of lichen planus, and that lichen
planus pemphigoides represents the coexistence of
lichen planus and bullous pemphigoid.
• Lichen Planus Pemphigoides (LPP) is a rare bullous
disease. It is necessary to distinguish bullous lichen
planus form LPP.
Page 170
HISTORY
•The strange name of the condition was provided by the British
physician Erasmus Wilson, who first described it in 1869.
•In 1892, Kaposi described the first case of bullous lichen
planus under the term lichen rubber pemphigoides.
Page 171
ETIOLOGY
Current data suggest that OLP is a T cell-mediated autoimmune
disease in which auto-cytotoxic CD8+ T cells trigger apoptosis
of oral epithelial cells. However, the precise cause of OLP is
unknown.
The etiology of oral lichen planus is based on the presence of an
infiltrate of mononuclear cells in the superficial lamina propria,
which disrupts the epithelium with the degeneration of basal
epithelial cells and the basement membrane.
Page 172
• The immunological events may begin with an external or
internal antigen that alters the basal epithelial cells, rendering
them susceptible to a cell mediated immune response
• Activation of antigen presenting Langerhans Cells,
immunocompetent keratinocytes, CD4+ T-helper-inducer cells,
CD8+ T-suppressor-cytotoxic cells
• Production of cytokines including chemokines such as
interleukin-2, interferon gamma & tumor necrosis factor- beta
within epithelium & within infiltrate by activated leucocytes.
Page 173
Activation of cytotoxic T cells by antigen presented by MHC 1 on basal keratinocyte,
Activation of T helper cells from antigen presented by langerhans cells and in turn
activation of cytotoxic T cells by Interleukin 2 and interferon gamma and request for
cytotoxic activity (RCA) receptors
Page 174
• LPP is usually idiopathic, but has been reported
after treatment with multiple drugs including
Cinnarizine, Captopril, Ramipril, Simvastatin,
Furosmide, antituberculous medications.
• It is also associated with internal malignancy.
Page 175
CLINICAL FEATURES
Lichen Planus Pemphigoides (LPP) is a rare bullous
disease. It may occur at any age, and the incidence of LPP
disease is greater in male, (male to female ratio 3:2)
Review of recent literature suggests that LPP has a mean
age of about 48 years.
The distribution of the blisters shows a marked predilection
for the distal extremities.
Page 176
Courtesy: toufiq.medinfo24.com
Page 177
 Bullous lichen planus may be confused clinically with
other subepidermal bullous dermatoses.
 In bullous lichen planus, small blisters arise on existing,
often long established lesions of lichen planus whereas in
lichen planus pemphigoides the lichen planus is usually
acute and generalized, and is followed by the sudden
appearance of large bullae on both involved and
uninvolved skin.
Page 178
ORAL MAIFESTATIONS
This form is seen most often on the buccal mucosa followed by
the tongue.
The bullous form consists of vesicles ranging from a few
millimeters in diameter to much larger vesicles. Because of the
fragility of the vesicles, this form is not often seen when in the
vesicle stage, but is usually discovered after vesicles have
already ruptured.
 This form is often associated with striated or keratotic
component.
Page 179
 Eating and speaking will usually cause the vesicles to
rupture soon after forming.
Bullous form of lichen planus
Characteristic white interlacing striae seen
with oral lichen planus present on the
buccal mucosa.
Page 180
HISTOLOGIC FINDINGS
Biopsies for bullae reveal a histologic appearance similar
to that of bullous pemphigoid: a subepidermal split with an
infiltrate in which eosinophills are prominent.
The blister of bullous lichen planus was a subepidermal
bulla showing degeneration of the epidermal basal layer
and other features of lichen planus, whereas in lichen
planus pemphigoides the bulla was similar to that of
bullous pemphigoid with rather more neutrophils than are
usually seen.
Page 181
Histopathology view showed subepidermal blister
with inflammatory cells in BLP (H&Ex10).
Page 182
DIFFERENTIAL DIAGNOSIS
•Oral lesions bear superficial resemblance to lichenoid reaction
•Pemphigus
•Pemphigoid
•Erythema multiformae
•Recurrent apthous
•Bullous lupus erythematosus
Page 183
TREATMENT
•Principal aim of current OLP therapy are resolution
of oral mucous lesions, reduction of the risk of oral
cancer and maintenance of good oral hygiene.
•The cutaneous lesions mostly clear with a low dose
of prednisolone. Other treatment options include
topical corticosteroids, dapsone and azathioprine.
Page 184
EPIDERMOLYSIS BULLOSA
INTRODUCTION
• Epidermolysis bullosa (EB) is an encompassing term for a
large group of clinically similar disease having common
separation of epithelium from the underlying connective
tissue and formation of large blisters that frequently result in
extensive and often immobilizing scar formation.
Page 185
A typical noninflammatory blister
arising in the skin of a patient with EB.
 The disease was 1st described by Von Hebra in 1870.
•It is a generalized desquamative condition of skin and
mucosa with associated scarring, contractures, and
dental defects that occur in three main hereditary
forms in children and one acquired form in adults.
Page 186
CLASSIFICATION
1.Epidermolysis Bullosa Simplex (EBS):
Intraepidermal skin separation
a.Generalized Form
b. Localized Form
2. Junctional epidermolysis bullosa
Skin separation in the lamina lucida or central
basement membrane
(Epidermolysis bullosa latalis, junctional bullous
epidermatosis, Herlitz’s disease)
Page 187
4. Epidermolysis bullosa acquista (acquired) –
Similar to dystrophic form of disease but usually with an adult onset.
3. Epidermolysis Bullosa dystrophic
Sublamina densa basement membrane zone separation
a. Dominant
b. Recessive
Page 188
PATHOGENESIS
Mutations of structural proteins of the epidermis
EBS
Associated with the mutation of genes coding for Intraepidermal
tonofilaments-keratins (K) 5 and 14.
Dystrophic Epidermiolysis Bullosa (DEB)
 Mutation of gene coding for sublamina densa-anchoring
fibrils, collagen VII (COL7A1).
Page 189
Junctional Epidermiolysis Bullosa (JEB)
It has high molecular etiology and represents collection
of different disease.
These disease cause blistering in the lamina lucida and
variable hemidesmosomal abnormalities.
More than one half of JEB are caused by one or two
recurrent nonsense mutations in the LAMB3 gene, which
is helpful for mutational analysis and prenatal testing.
Intralamina lucida-anchoring filaments and
hemidesmosome, laminin 5, BP Ag 2, α6 β4 integrin.
Page 190
Epidermolysis bullosa acquista (acquired)
In skin and mucosa, anchoring fibrils composed of
type VII collagen are important constituents of the
complex adherence system of epithelium to dermis.
They attach the lamina densa portion of the
basement membrane to the underlying dermis.
The attachment of autoantibodies to type VII
collagen triggers a complement mediated
inflammatory reaction that can result in severe
damage to the anchoring fibrils.
Page 191
Page 192
Page 193
CLINICAL FEATURES
EPIDERMOLYSIS BULLOSA SIMPLEX.
Epidermolysis bullosa simplex (EBS) is a collection of
keratin disorders characterized by intraepidermal
blistering with relatively mild internal involvement.
Lesions typically heal without scarring. Most
commonly, these diseases are dominantly inherited, but
recessively inherited cases have been reported.
Page 194
• Localized form or mild form EBS ( Weber-Cockayne
syndrome) is familial occur early in the childhood & is
commonly recurrent.
• Bullae only develops on the hands & feet & are related to
frictional trauma & tend to exacerbate in hot weather.
• There is no scarring upon healing.
Page 195
Generalized form or severe form:
 It is inherited as an autosomal dominant characteristics.
 Usually, a generalized onset of blisters occurs at or shortly after
birth.
 Formation of vesicles or bullae chiefly on hands, feet, sites of
friction or trauma and extremities are the most common sites of
involvement.
 Blisters heal within 2-10 days with no scarring or permanent
pigmentation
 Palmoplantar hyperkeratosis and erosions are
common, especially in Koebner epidermolysis
bullosa simplex.
Page 196
Koebner epidermolysis bullosa
simplex
ORAL MANIFESTATIONS
Bullae of oral cavity have been reported in
occasional cases of generalized epidermiolysis
bullosa simplex.
Teeth are not affected
Page 197
HISTOLOGIC FEATURE
In EBS, vesicles and bullae develop as a result of destruction
of basal and suprabasal cells so that some nuclei may persist
on the floor of the blister.
The individual cell become edematous and show dissolution
of organelles and tonofibrils with displacement of the nucleus
to upper end of the cell.
The PAS (Periodic acid-Sciff)-positive basement membrane
remains on the dermal side of the separation.
The elastic, preelastic and oxytalan fibres in the connective
tissue are normal.
Page 198
JUNCTIONAL EPIDERMOLYSIS BULLOSA (JEB)
JBE is a severe form of EB inherited as an autosomal
recessive trait.
SUBTYPES
Herlitz or junctional epidermolysis bullosa letalis
Nonlethal subtype termed junctional epidermolysis
bullosa mitis
Generalized benign type termed generalized
atrophic benign epidermolysis bullosa.
Page 199
3 criteria have been established in this form of
diagnosis:
1. Onset of birth
2. Absence of scarring, milia or pigmentation
3. Death within 3 months of age
Lethal type, JEB
 Hemorrhagic blisters and loss of
nails, large blisters of the face,
trunk and extremities and atrophy
are common.
Page 200
ORAL MANIFESTATIONS
Intraorally, large, fragile, hemorrhagic blisters of palate and
crusted granular, hemorrhagic lesions are present in perioral
and perinasal locations.
As they are extremely fragile, produce feeding problems.
Similar lesions occur in the upper respiratory tract,
bronchioles & esophagus.
Severe disturbances in enamel and dentin formation of the
deciduous teeth also occur Erupted teeth present hypoplastic
and severly pitted enamel that rapidly develops caries.
Page 201
HISTOLOGIC FEATURES
The microscopic changes, including the location of the bullous
cleavage, appear similar and probably identical to those occurring in
dystrophic recessive disease.
Courtesy:
neoreviews.aappublications.
org
Page 202
DYSTROPHIC EPIDERMOLYSIS BULLOSA,
DOMINANT
This form of the disease may have onset in infancy or it may
be delayed puberty.
With increasing age, an evolution to localized blistering is
present.
 A common variant described by Cockayne-Touraine has an
acral distribution and minimal oral or tooth involvement.
Another variant described by Pasini features more extensive
blistering, scar like papules on the trunk (termed albopapuloid
lesions).
Page 203
 Blisters commonly develop on the ankles, knees, elbow, feet and
head.
 Healing results in scarring which is sometimes keloidal in type.
 Dystrophic and absent nails are common and milia are commonly
present.
 Palmer-planter-keratoderma with hyperhidrosis also may
occur as well as ichthyosis and sometimes hypertrichosis.
Page 204
Page 205
ORAL MANIFESTATIONS
Bullae of the oral cavity occur in about 20% of cases.
Andreasen has described oral milia.
Teeth are unaffected.
HISTOLOGIC MANIFESTATIONS
In epidermolysis bullosa dystrophic dominant form,
bullae develop as a result of separation through very thin,
irregular PAS positive basement membrane becomes
divided.
The basal layer appears normal, although flattened on the
roof of the blister and the underlying tissue shows absence
of elastic and oxytalan fibers.
Page 206
DYSTROPHIC EPIDERMOLYSIS BULLOSA,
RECESSIVE
 This disease ranges from mild to severe in presentation.
 A localized form, termed recessively inherited
epidermolysis bullosa mitis, involves acral areas and nails
but shows little mucosal involvement.
 Severe recessively inherited epidermolysis bullosa, as
described by Hallopeau-Siemens, shows generalized
blistering at birth and subsequent extensive dystrophic
scarring that is most prominent on the acral surfaces.
Page 207
 This can produce pseudosyndactyly (mitten-hand
deformity) of the hands and feet.
 Nails and teeth also are affected. Involvement of internal
mucosa can result in esophageal strictures and webs, and
corneal scarring.
 Malabsorption commonly results in anemia resulting from
lack of iron absorption, and overall malnutrition may
cause failure to thrive.
Page 208
Dystrophic EB-Hallopeau-Siemens
Page 209
 Ectodermal dysplasia-skin fragility syndrome is a rare
disorder characterized by skin erosions, skin fragility and
peeling beginning at birth or infancy accompanied by
alopecia, palmoplantar keratoderma, painful fissures, and
nail dystrophy.
 Patients with severe recessively inherited epidermolysis bullosa
who survive to childhood are at significant risk of developing
aggressive SCC in areas of chronic erosions.
Page 210
ORAL MANIFESTATIONS
Oral bullae are common and preceded by appearance of white
spots or patches on the oral mucous membrane and
development of localized area of inflammation.
The bullae are painful, especially when they rupture or when
the epithelium desquamates.
Scar formation often results in obliteration of sulci and
restriction of tongue.
Page 211
 Hoarseness and dysphagia may occur as a result of bullae of the
larynx and pharynx.
 Esophageal involvement may produce serious strictures.
 Dental defects have also been described consisting of rudimentary
teeth, congenitally absent teeth, hypoplastic teeth and crowns
denuded of enamel.
Page 212
HISTOLOGIC MANIFESTATIONS
The separation and bullae formation occur
immediately beneath the poorly defined PAS positive
basement membrane which remains attached to the roof
of the blister in case of EBD-recessive.
Here, fragments of basement membrane may adhere to
the dermis but basal layer of cells is normal.
The pre-elastic and oxytalan fibers in connective
tissue are increased in number.
Page 213
MANAGEMENT
Large blisters can be pricked and the blister fluid
should be allowed to release. Dressing to minimize the
reaction may be helpful. The super infections can be
treated with appropriate local or systemic antibiotics.
Corticosteroids have sometimes been found effective.
For oral lesions avoid harsh mouthwashes containing
alcohol.
Normal saline rinses can help gently clean the
mucosal surfaces.
Page 214
REFERENCES
1. Burkit’s Oral Medicine, Diagnosis and Treatment. ‘Ulcerative, Vesicular
and Bullous lesions’. Page 50-85, 10th Edition
2. S. Sangeetha et al. The molecular aspects of oral mucocutaneous diseases:
A review. International Journal of Genetics and Molecular Biology 2011;
3(10): 141-148.
3. S.K. Padmakumar et al. A more common mucocutaneous lesion:
Pemphigus. Journal of Oral & Maxillofacial Pathology 2011;2(2):178-180
4. Crispian Scully et al. Pemphigus Vulgaris: Update on Etiopathogenesis,
Oral Manifestations and Management. Critical Reviews in Oral Biology &
Medicine 2002;13(5):397-408
5. C Scully et al. Epithelial biology. Oral Diseases 2005;11:58-71
Page 215
6. Fitzpatrick’s Clinical Dermatology, 5th Edition
7. Soames JV and Southam JC Textbook of Oral Pathology, Fourth Edition,
Page 173-186,
8. Regezi, Oral Pathology Clinical Pathologic Correlations. ‘Vesiculobullous
Diseases’. Page 1-21, Fourth Edition
9. Eversole LR, Clinical Outline of Oral Pathology,Diagnosis and Treatment.
‘Vesiculobullous and Desquamative Lesions’. Page 90-107, Third Edition
10. Cawson’s Essentials of Oral Pathology and Oral Medicine. ‘Diseases of
the oral mucosa: Non infective stomatitis’. Page 192-215, Seventh Edition
11. Saraf Sanjay, Textbook of Oral Pathology. ‘Dermatological Disorders’.
Page 411-443, First Edition
Page 216
12. Shafer’s Textbook of Oral Pathology. ‘Diseases of the skin’. Page 1099-
1163, Fifth Edition
13. Neville, Oral and Maxillofacial Pathology. ‘Dermatological Disorders’.
Page 643-705, Second Edition
14. Dermatology Clinics of North America, 10th Edition
Page 217

vesiculobullous lesions

  • 1.
  • 2.
    Page 2 INTRODUCTION • Diseasesand conditions of diverse etiology & prognosis may manifests in the oral cavity as fluid- filled blisters, which according to their size may further be distinguished as vesicle or bullae. • Blister: It is a fluid filled cavity formed within or beneath the epidermis. It consists of tissue fluid, plasma & variety of components of inflammatory cells. They are classified as depending on their size as : 1) Vesicle 2) Bullae
  • 3.
    Page 3 Vesicle: Elevatedblister like lesions containing clear fluid that are less than 1cm in diameter Bullae: Elevated blister like lesion containing clear fluid that are more than 1cm in diameter Vesiculobullous lesions are distinct group of disorders characterized by formation of vesicle or bullae.2 These lesions are confined to stratified squamous epithelium involve skin, oral & other mucosa like nasal, ocular, genital mucosa.
  • 4.
  • 5.
  • 6.
    Page 6 CLASSIFICATION OFVESICULOBULLOUS LESIONS I. According to: Fitzpatrick’s Clinical Dermatology, 5th Edition I. According to anatomical plane: A. Intra epidermal blister granular layer i. Pemphigus foliaceous ii. Frictional blisters iii. Staphylococcus scalded skin syndrome B. Spinous layer i. Eczematous dermatitis ii. Secondary to heat & cold iii. Herpes virus infection iv. Familial benign pemphigus
  • 7.
    Page 7 C. Suprabasal I.Pemphigusvulgaris II.Pemphigus vegetans III.Darier’s disease D. Basal layer i.Erythema multiforme ii.Toxic epidermal necrolysis iii.Lupus erythemtosis iv.Lichen plannus v.Epidermolysis bullosa simplex II. Dermal- epidermal junction zone: A.Lamina lucida i.Bullous pemphigoid ii.Cicatrical pemphigoid iii.Epidermolysis bullosa junctional B. Below basal lamina i.Erythema multiforme ii.Epidermolysis bullosa dystrophica
  • 8.
    Page 8 II. Accordingto: J.V.Soames and J.C.Southam Oral Pathology, Fourth Edition Intraepithelial Vesiculobullous Diseases: A. Acantholytic Lesions: (a) Pemphigus Vulgaris (b) Paraneoplastic pemphigus and other variants (c) Darier’s Disease B. Non-acantholytic Lesions: (a) Viral infections of the oral mucosa Subepithelial Vesiculobullous Diseases: (a)Erythema Multiforme (b)Pemphigoid (c)Mucous membrane pemphgoid (d)Dermatitis herpetiformis and linear IgA disease (e) Epidermolysis Bullosa (f)Angina bullosa haemorrhagica (oral blood blisters) (g)Bullous lichen planus
  • 9.
    Page 9 III. Accordingto: Joseph, Regezi and James.J. Sciubba Oral Pathology, Third Edition A.Viral diseases 1.Herpes Simplex Infections 2.Varicella-Zoster Infections 3.Hand Foot and Mouth Disease 4.Herpangina 5.Measeles B. Conditions associated with immunologic defects: 1.Pemphigus Vulgaris 2.Cicatricial Pemphigoid 3.Bullous Pemphigoid 4.Dermatitis Herpetiformis C. Heriditary diseases: 1.Epidermolysis Bullosa
  • 10.
    Page 10 IV. Accordingto Cawson’s Oral Pathology & Oral Medicine; Seventh Edition Infective 1. Primary herpetic stomatitis 2. Herpes labialis 3. Herpes zoster and chicken pox 4. Hand foot and mouth disease Non-infective 1. Pemphigus Vulgaris 2. Mucous membrane pemphigoid 3. Linear IgA disease 4. Dermatitis herpetiformis 5. Bullous erythema multiforme
  • 11.
    Page 11 V. Accordingto, Martin S.Greenberg, Burket; Tenth Edition The patients with acute multiple lesions: 1.Herpes virus infections 2.Primary herpes simplex virus infections 3.Coxsackie virus infections 4.Varicella zoster virus infection 5.Erythema multiforme 6.Contact allergic stomatitis 7.Oral ulcers secondary to cancer chemotherapy 8.Acute necrotizing ulcerative gingivitis
  • 12.
    Page 12 The patientswith chronic multiple lesions: 1.Pemphigus 2.Sub epithelial bullous dermatoses 3.Herpes simplex virus infection in immunosuppressed patients The patients with single ulcers: 1.Histoplasmosis 2.Blastomycosis 3.Mucormycosis The patients with recurring oral ulcers: 1.Recurrent apthous stomatitis 2.Behcet’s syndrome 3.Recurrent herpes simplex virus infection
  • 13.
    Page 13 PEMPHIGUS INTRODUCTION •Pemphigus (fromthe Greek pemphix, meaning bubble or blister) is a blistering disease involving the skin and mucous membrane. •Pemphigus is a group of potentially life threatening autoimmune disease characterized by mucocutaneous / & or mucosal blistering affecting the skin & oral mucosa & may also affects the mucosa of the nose, conjunctiva, genitals, oesophagus, pharynx & larynx.
  • 14.
    Page 14 • Pemphigusaffects 0.1- 0.5 patients per 1,00,000 population per year. • Pemphigus is a group of diseases associated with intraepithelial blistering. • Oral lesions are commonly seen with pemphigus vulgaris and paraneoplastic pemphigus. • The autoimmune process is directed against keratinocyte desmosomal components resulting in loss of intercellular adhesion and the formation of cutaneous and mucosal blisters.
  • 15.
    Page 15 HISTORY Pemphigus, derivedfrom the term “pemphigoides pyertoi” used by Hippocrates (460-370 BC) to describe fever associated with blisters, refers to a group of autoimmune intraepidermal bullous diseases of the skin and mucous membranes.
  • 16.
    Page 16 CLASSIFICATION Pemphigus canbe divided into 5 types: 1.Pemphigus vulgaris, with its reactive state, pemphigus vegetans. 2.Pemphigus foliaceus, with its lupus variant, pemphigus erythematous, and its endemic variant, fogo selvage. 3.Drug induced pemphigus 4.Ig A pemphigus 5.Paraneoplastic pemphigus
  • 17.
    Page 17 PEMPHIGUS VULGARIS INTRODUCTION •PemphigusVulgaris (PV) is an autoimmune blistering disease, though rare, can cause serious involvement of mucocutaneous tissues and even death. It characteristically involves oral mucosa more than the skin and in most of the cases, oral lesions precede cutaneous lesions.
  • 18.
    Page 18 HISTORICAL PERSPECTIVE In1777, McBride was the 1st author to definitely report a case of pemphigus vulgaris as a disease he called morbus vesicularis. Shelley and Crissey expressed the belief that Robert Willian in 1808 was the earliest to record an accurate description of pemphigus under the name pompholyx diutinus. Nikolsky first described the sign that bears his name in 1896.
  • 19.
    Page 19 POSSIBLE ETIOLOGICALFACTORS4 Pemphigus vulgaris is caused by autoantibodies against epithelial intercellular components, especially cadherins, and particularly desmogleins (Dsg 3 mainly but also Dsg1 in PV, Dsg 1 in PF), and, though the precise initiating environmental or lifestyle factor is usually unclear, there is a genetic basis to many cases. Viruses Herpes virus DNA has been detected, by polymerase chain reaction, in peripheral blood mononuclear cells and skin lesions of patients with pemphigus. Human herpes virus 8 (HHV-8) DNA was detected in lesions of patients with PV.
  • 20.
    Page 20 Diet Garlic inparticular may cause occasional cases of pemphigus. Drugs Traditionally, drugs that are capable of inducing pemphigus are divided into two main groups according to their chemical structure: Drugs containing a sulfhydryl radical (thiol drugs or SH drugs), such as penicillamine and captopril.  Nonthiol or other drugs, the latter often sharing an active amide group in their molecule and other ACE inhibitors are occasionally implicated.
  • 21.
    Page 21 Other factors Lowernumbers of smoker patients with PV, higher exposure rates to pesticides, and a higher number of female patients who had been pregnant point the contribution of estrogens in the disease process. Association with other disorders Pemphigus vulgaris may occasionally be associated with other autoimmune disorders, such as rheumatoid arthritis, myasthenia gravis, lupus erythematosus, or pernicious anemia
  • 22.
  • 23.
    Page 32 • Formationof autoantibodies [bind to keratinocyte surface mol (Dsg I & III)] (IgG) & complement in the body • Deposition of IgG & complement against antigenic component of desmosomes of skin & epithelium Initiation of Ag-Ab rxn • Activation of tissue plasminogen • Production of proteolytic enzyme-plasmin Formation of intraepithelial bullae Suprabasillar split in the epithelium Dissolution & destruction of desmosomes Loss of intercellular bridges (acantholysis) & accumulation of fluids
  • 24.
    Page 33 CLINICAL FEATURES72 •Itaffects all the races, with an equal gender predilection. •The mean age group approximately 50 – 60 years of age. •Vesicle or bullae, vary in size from a few mm to few cm. •These lesions contain a thin watery fluid shortly after development, but this may become purulent or sanguineous.
  • 25.
    Page 34  Bullaerupture to leaves a raw eroded area  Characteristic sign of the disease Nikolsky sign: when oblique pressure is applied to apparently unaffected skin focal areas of epithelium strip off.  Nikolsky sign, results from the upper layer of the skin pulling away from the basal layer i.e. perivascular edema which disrupts dermal epidermal junction.
  • 26.
    Page 35 Courtesy: Lever’sHistopathology of Skin, 2nd edition
  • 27.
    Page 36 Oral Manifestations. 80-90%patients with pemphigus vulgaris develop oral lesions sometime during the course of the disease, and, in 60% of cases, oral lesions may preceed cutaneous lesions by months. The oral lesions may begin as the classic bulla on a noninflammed base; more frequently, the clinician sees shallow irregular ulcers because the bullae rupture rapidly.
  • 28.
    Page 37  Mostcommonly the lesions start on the buccal mucosa, often in areas of trauma along the occlusal plane. The palate and gingiva are other common sites of involvement. General Dentistry, September/October 2007 ;55 (5)
  • 29.
    Page 38 • Athin layer of epithelium peels away in an irregular pattern, leaving a denuded base. The edges of the lesion continue to extend peripherally over a period of weeks until they involve large portions of the oral mucosa.  Erosions may spread to involve larynx with subsequent hoarseness. Patient is often unable to eat or drink adequately.
  • 30.
    Page 39  Microscopically,formation of a vesicle or bullae intraepithelially, just above basal layer producing distinctive ‘suprabasilar split’. HISTOLOGIC FINDINGS
  • 31.
    Page 40  Prevesicularedema appears to weaken this junction & intracellular bridges between epithelial cells disappear resulting in loss of cohesiveness or acantholysis, & because of this, clumps of epithelial cells are found lying free within vesicular space called as Tzank cells and characterized particularly by degenerative chages which include swelling of nuclei & hyperchromatic staining.
  • 32.
    Page 41  Thesechanges are particularly obvious in cytologic smears taken from early, freshly & opened vesicles. Such smears form the basis for rapid supplemental test for pemphigus, the ‘Tzank test’.  Fluids in most vesicles, particularly those more than a day or two, contains variable numbers of polymorphonuclear leukocytes and lymphocytes.
  • 33.
    Page 42 Antibodies asIgG deposits along the desmosomes between epidermal cells, a pattern reminiscent of chicken wire
  • 34.
    Page 43 DIFFERENTIAL DIAGNOSIS •Dermatitisherpetiformis, •Bullous pemphigoid, •Impetigo, •Burns, •Bullous drug eruptions, •Erythema multiforme and Stevens-Johnson syndrome.
  • 35.
    Page 44 MANAGEMENT Systemic applicationof steroids is the first-line treatment. 0.5 mg to 1.0 mg prednisolone per 1 kg of body weight per day is administered.. Immunosuppressants (mycophenolate mofetil, cyclophosphamide, azathioprine, methotrexate and cyclosporine) may be used. Antibiotic application, fluid replacement and nutrition management are conducted supplementarily.
  • 36.
    Page 45 PEMPHIGUS VEGETANS INTRODUCTION •Pemphigusvegetans is a rare variant of pemphigus vulgaris and is characterized by vegetating plaques in the flexural regions.73 •It accounts for approximately 1 to 2 % of all cases of Pemphigus vulgaris.74
  • 37.
    Page 46 • Pemphigusvegetans is characterized by fungoid vegetation, called hypertrophic papillated plaques, which form on the erosions after the bullae have been ruptured. • However, overall tendency for bullae formation is less in Pemphigus vegetans than it is in Pemphigus vulgaris.
  • 38.
    Page 47 HISTORY Pemphigus vegetans,also called pyodermites vegetantes, was first described as a variant of Pemphigus vulgaris by Neumann in 1876.76 Hallopeau described a second variant as “verrucous, cobblestoned plaques” 13 years later in Paris.77 SUBTYPES Broadly classified into 2 subtypes based on the initial clinical picture and disease course78: 1.Neumann type 2. Hallopeau type.
  • 39.
    Page 48 CLINICAL FEATURES Themean age of onset is 40 to 50 years. Lesions predominantly involve the intertriginous areas (groin/axilla), scalp, face, and mucous membranes78. The Neumann type usually begins with flaccid bullae and erosions, has a worst response to therapy and a poor prognosis, similar to pemphigus vulgaris.79 Hallopeau type usually begins with grouped pustules and has a excellent response to therapy with long remission being observed.80
  • 40.
    Page 49  Boththe types develop hyperpigmented vegetative plaques with pustules and hypertrophic granulation at the periphery. In the intertriginous area – right groin –brown papillomatous, erosive vegetations. Pustules on the surface and the peripheral blistering corresponding to the histological finding of intraepithelial abscesses. Courtesy:JDDG; 2010 • 8:179–183
  • 41.
    Page 50  Pemphigusvegetans has been reported in paraneoplastic syndrome (5 to 12% of cases)  It has also been associated with drugs like captopril, penicillamine, and intranasal heroin, although the exact causative pathophysiology is unknown.
  • 42.
    Page 51 ORAL MANIFESTATIONS Oralinvolvement is seen in mostly all the cases. A characteristic feature of Pemphigus vegetans is cerebriform tongue with a pattern of sulci and gyri on the dorsum of tongue.81 In pemphigus vegetans of Neumann type the vermillion border of the lip is frequently affected and deep fissures may form between the vegetations.82 In the Hallopeau type, the vermillion border of the lips also frequently shows papillomatous hyperplasia (Lever, 1953)
  • 43.
  • 44.
    Page 53 HISTOLOGICAL FEATURES Earlylesions will show suprabasal acantholysis. Additionally, the Hallopeau type exhibits eosinophilic intraepidermal microabscesses. Neumann type shows intraepidermal vesicles. These characteristics differ from those of Pemphigus vulgaris in that Pemphigus vegetans is associated with an increased eosinophilic response, formation of microabscesses, and a greater extent of vesiculation. Late lesions exhibit papillomatosis and hyperkeratosis with no eosinophilic microabscesses.
  • 45.
    Page 54 Hyperplastic epidermis,eosinphilic spongiosis and intraepithelial abscesses stuffed with eosinophils. Eosinophils also dominated the dense inflammatory infiltrate in the oedematous papillary dermis. Courtesy:JDDG; 2010 • 8:179–183
  • 46.
    Page 55 TREATMENT Treatment isnormally accomplished with systemic steroids and immunosuppressant such as azathioprine, mycophenolate mofetil, or cyclosporine. There are also reports on the successful use of dapsone and retinoids. TNF-blockers have also been used in therapy- refractory patients. In milder cases, local antiseptic therapy and topical steroids seem to be sufficient.
  • 47.
    Page 56 PEMPHIGUS FOLIACEUS(SUPERFICIAL PEMPHIGUS, FOGO SELVAGEM) INTRODUCTION  Pemphigus foliaceus (PF) is generally a benign variety of pemphigus.  It is an autoimmune disease that is characterised by loss of intracellular cohesion of keratinocytes in upper parts of the epidermis, either in the granular layer (acantholysis) and blister formation within the epidermis83  Brazilian pemphigus [fogo selvagem (FS) or Brazilian wildfire] is a mild endemic form of pemphigus foliaceus found in tropical regions, particularly in Brazil, that is often in children and frequently in family groups72.
  • 48.
    Page 57 HISTORY The firstmention of ‘pemphigus brasiliensis’ was recorded by Sauvages in 1874 in his Nosolpgia Methodica referring to an observation made by a Father Bougeant who was working as a missionary in Brazil in 1730 Pemphigus foliaceus is the most common autoimmune skin disease and was first described by Barnick and Gutzeit (1891). Oral lesions are rare in PF according to Perry and Brunsting (1965) in their extensive study of this form of disease.
  • 49.
    Page 58 SUBTYPES I.Pemphigus foliaceuscomprises of two major categories: (i)sporadic form (ii)endemic pemphigus foliaceus also known as fogo selvagem (wild fire) II. According to Shafer’s Textbook of Oral Pathology, Fifth Edition, there are six subtypes:72 (i)Pemphigus erythematosus (PE) (ii)Pemphigus herpetiformis (PH) (iii) Endemic pemphigus foliaceus (EPF) (iv)Immunoglobulin A (IgA) pemphigus (v) Paraneoplastic pemphigus foliaceus (PNPF) (vi) Drug induced pemphigus foliaceus
  • 50.
    Page 59 ETIOLOGY ANDPATHOGENESIS In human beings desmoglein I, glycoprotein, expressed mainly in the granular layer of epidermis detected as major pemphigus foliaceus antigen.84 Other precipitating factors include medications and ultraviolet light radiation. It was suggested that both the factors enhanced autoantibody epidermal binding and preferential neutrophil adhesion to UV- irradiated epidermis which contribute to acantholysis.72
  • 51.
    Page 62 CLINICAL PRESENTATION •Pemphigusfoliaceus (PF) or superficial pemphigus affects persons in 5th to 7th decade of life. It is characterized by superficial blisters that rupture and leave shallow erosions. •Lesions favor seborrhagic areas (face and upper trunk) and almost never occur on the oral mucosa. •Patients present with scaly-crusted erythematous patches having superficial blisters (vesicles and bullae) or pustules. •Blisters rupture and dry to leave masses of flakes or scales suggestive of an exfoliative dermatitis or eczema.
  • 52.
  • 53.
    Page 64 • Thedisease may originate in this form or from one of the other types of pemphigus. • Pemphigus erythematosus is a variant of pemphigus foliaceus with some clinical and immunological features of lupus erythematosus. • The cutaneous lesions occur in a 'butterfly' distribution on the face as well as in the usual areas. • Pemphigus herpetiformis combines the clinical features of dermatitis herpetiformis with the immunofluorescence findings of pemphigus.
  • 54.
    Page 65 • Indrug-induced pemphigus, causative drugs commonly contain true thiol or sulphur groups examples including D-penicillamine, captopril, pyritinol and piroxicam. Penicillins, pyrazolones and several other medications have also been implicated. • Prodromal, non-specific, morbilliform, urticarial, annular or toxic erythematous eruptions often precede the development of pemphigus lesions.
  • 55.
    Page 66 • Orallesions are uncommon. • In IgA pemphigus, flat pustules arise on an erythematous base and have a tendency to confluence, forming annular and circinate patterns. • Mucosal lesions are rare.
  • 56.
    Page 68 HISTOPATHOLOGY •Pemphigus foliaceusbegins as acantholysis of the upper dermis. It usually enlarges and detaches without bullae formation, though a bullae may form showing acantholysis at both the roof and the floor. •Most established lesions may have acantholysis and mild to moderate papillomatosis. Hyperkeratosis and parakeratosis may also be evident, with dyskeratotic cells within the granular layer.
  • 57.
    Page 69 Superficial acantholysisof the granular layer. (H&E, original magnification x40) Courtesy: http://www.hindawi.com
  • 58.
    Page 72 DIFFERENTIAL DIAGNOSIS •IgApemphigus, •Subcorneal pustular dermatosis, •Pustular psoriasis, •Reiter’s syndrome, •Pustular drug reaction, •Bullous impetigo, •Staphylococcal scalded skin syndrome, •Pustular fungal infection.
  • 59.
    Page 73 TREATMENT •Therapy forPF is usually less aggressive because of their low morbidity and mortality rates. •Nonsteroidal treatment of pemphigus is possible. Mestinon may also be used to slow down the progression of the disease •Mild or localized disease should initially treated with topical and intralesional therapy.
  • 60.
    Page 74 • Thenext step in therapy is the use of low-dose corticosteroids and/or immunosuppressants. • Moderate to severe disease may require admission to hospital for stabilization and initiation of therapy with moderate doses of corticosteroids, usually in combination with topical measures and immunosuppressive agents, dapsone or tetracyclines.
  • 61.
    Page 75 IgA PEMPHIGUS INTRODUCTION IgApemphigus is a newly characterized group of autoimmune intraepidermal blistering diseases presenting with a vesiculopustular eruption, neutrophil infiltration, acantholysis, and in vivo– bound and circulating IgA autoantibodies that target cell surface components of the epidermis.
  • 62.
    Page 79 CLINICAL FEATURES IgApemphigus usually occurs in middle-aged or elderly persons, although occasional reported in childhood The disease has an average age at onset of approximately 48 years (range, 5-92 years). IgA pemphigus clinically present with flaccid vesicles or pustules or both on erythematous or normal skin..
  • 63.
    Page 80  Thepustules tend to coalesce to form an annular or circinate pattern with crusts in the central area.5  The sites of predilection are the axillary and groin areas, but the submammary area, trunk, proximal extremities, and lower aspect of the abdomen are commonly involved.  Pruritus is also a significant symptom that may interfere with the patient’s daily activities.
  • 64.
    Page 81 Diffuse erythematouspapules and plaques with mild desquamation over trunk and limbs, more prominent on axilla and groins.
  • 65.
    Page 82 HISTOPATHOLOGY Histopathologic examinationof the two IgA pemphigus types documents the level of intraepidermal pustule or blister formation. In the SPD type of IgA pemphigus, pustules are located subcorneally in the upper epidermis Subcorneal neutrophillic bullae with sparse to moderate eosinophills & acantholytic cells. In the IEN type, suprabasilar pustules in the lower or entire epidermis are present. There is an accompanying superficial acantholysis that is frequently sparse, as well as a significant neutrophil infiltration
  • 66.
    Page 83 IgA pemphigus.Subcornealblister with neutrophil infiltration.(H&E stain; original magnificationX100)
  • 67.
    Page 84 DIFFERENTIAL DIAGNOSIS Subcornealpustular dermatosis, Dermatitis herpetiformis, Pemphigus foliaceus, Pemphigus herpetiformis, Linear IgA bullous dermatosis TREATMENT •As for treatment, dapsone is the firstline drug of choice for IgA pemphigus. The initial dosage is 50-100 mg daily. •Systemic steroid and retinoid acid (acitretin or isotretinoin) are alternatives when dapsone can not be used. •
  • 68.
    Page 85 PARANEOPLASTIC PEMPHIGUS INTRODUCTION Paraneoplasticpemphigus (PNP), an autoimmune blistering and erosive mucocutaneous disease, is an extremely rare but severe subset of pemphigus.88 Paraneoplastic disorders can be broadly defined as those that are caused by a remote effect of a cancer, not by direct tumor infiltration or tissue damage caused by metastases. These remote effects can be due to secretion of biologically active peptides or, in some cases, by immunologic effects of the tumor on the resident immune system.32
  • 69.
    Page 86  Recentwork has suggested that the condition should be renamed paraneoplastic autoimmune multiorgan syndrome, because the antigens that are the target of autoantibodies in the presence of a malignancy are not limited to the skin but are found in many organs of the body.89 HISTORY PNP was first described by Anhalt et al. in 1990 and proposed a set of criteria in order to arrive at the diagnosis.29
  • 70.
    Page 87  Theproposed criteria for the diagnosis of paraneoplastic pemphigus are31: 1. Painful mucocutaneous erosions, sometimes with a skin eruption that eventually result in blisters and erosions, in the setting of confirmed or occult malignancy. 2. Histopathological features such as acantholysis, keratinocyte necrosis and interface dermatitis. 3. Direct immunofluorescence (DIF) typically reveals IgG and complement (C3) within the epidermal intercellular spaces as well as at the epidermal basement membrane.
  • 71.
    Page 88 4. Indirectimmunofluorescence (IDIF) observation of circulating antibody specific for stratified squamous or transitional epithelia (transional epithelium) is found 5. Immunoprecipitation of a complex of proteins with typical molecular weights  In 1997, it was reported that 80% of all cases of PNP are linked to three neoplasms: non-Hodgkin’s lymphoma, chronic lymphocytic leukaemia and Castleman’s disease.
  • 72.
    Page 92 CLINICAL FEATURES Themean age of onset is 60 years. Patient ranging from from 7-76 years have been reported. Both sexes have equal predilection. Generally, patients with PNP mostly have had associated with malignant tumors. Mucous membrane lesions of the oral cavity are usually florid, and can involve the oropharynx, nasopharynx, tongue, and vermilion of the lips, in addition to the conjunctiva of the eye, genital region, and esophagus.
  • 73.
    Page 93 Skin lesions Cutaneouslesions are polymorphic, occurring after the onset of oral lesions. Blisters often erupt in waves, affecting the upper trunk, head, neck, and proximal extremities.94 Intact blisters are rarely found and they often develop as erosive lesions. Tense blisters with surrounding erythema are more frequently seen on extremities than on other areas. •The other main type of lesions seen in PNP is lichenoid eruption commonly seen on the trunk and extremities.
  • 74.
    Page 94 Erythematous keratoticlesions on palms and soles. Paraneoplastic pemphigus / paraneoplastic autoimmune multiorgan syndrome: pemphigus-like erosive crusted lesions  Skin eruptions may also be psoriasiform, vegetative or pustular lesions.
  • 75.
    Page 96 Oral Manifestations The lesions are more extensive than the mucosal lesions seen in pemphigus vulgaris and are more likely to involve the lateral borders of the tongue and extend onto the vermilion of the lips.  The eruption can assume a wide variety of morphologies, including morbilliform, urticarial, bullous, papulosquamous or erythema multiform-like lesions.  Some complain of pain and pruritis.  Erosions can occur in the buccal, labial, gingival and lingual mucosa.
  • 76.
    Page 97 Erosive, mucosaleruptions affecting the oral cavity.
  • 77.
    Page 98 HISTOLOGICAL FEATURES Oraland cutaneous lesions show epidermal necrolysis, suprabasal acantholysis, dyskeratotic keratinocytes, vacuolar interface dermatitis and lymphocytic infiltration. Oral mucosal lesions show greatest acantholysis, while some skin lesion don’t show acantholysis. A distinctive feature is dyskeratosis. Dyskeratotic keratinocytes are found at all levels in the epidermis, especially within the zones of acantholysis, and can be found in cutaneous adnexa.
  • 78.
    Page 99  Thepresence of dyskeratosis in the suprabasal acantholytic bullous disorder is clue to the presence of paraneoplastic pemphigus.  Perivascular infiltration predominantly of lymphocytes is common, but without vasculitis.  Melanin containing macrophages may also present. Courtesy: dermaamin.com
  • 79.
  • 80.
    Page 101 TREATMENT Initial careis aimed at treating superinfection, if present. Warm compress, nonadherent wound dressings, and topical antibiotic ointments are helpful.72 Early detection and complete resection of the tumor are essential for the treatment of the disease. During the operation, it is important to block the blood supply of the tumor first and to avoid squeezing the tumor.
  • 81.
    Page 102  I.V.immunoglobulin before, during and after the operation in a total dose of 1–2 g/kg is recommended to block the circulating autoantibodies released from the tumor.  Cutaneous lesions usually remit or remarkably improve within 6–11 weeks, but recovery from mucosal lesions is much slower and may take half a year.  The titer of serum autoantibody decreases significantly within 6–8 weeks.  The prognosis of paraneoplastic pemphigus is poor.
  • 82.
    Page 103 PEMPHIGOID Introduction •Pemphigoid isa group of immune-mediated blistering diseases characterized by the production of autoantibodies to various components of hemidesmosomes and epithelial basement membrane. •These structures mediate the attachment between epithelium and the underlying connective tissue. They are damaged in the pemphigoid group of diseases, resulting in the formation of subepithelial vesicles. The term “Pemphigoid” is used because clinically it often appears similar to pemphigus.
  • 83.
    Page 104 CLASSIFICATION According toSoames JV and Southam, they are divided clinically into 2 types: (1) those involving skin alone, or with only minimal mucosal involvement, referred to as bullous pemphigoid (BP); (2) those involving mucosa alone, or with only minimal skin involvement, referred to as mucous membrane pemphigoid (MMP).
  • 84.
    Page 105 Bullous Pemphigoid Bullous pemphigoid (BP) is an autoimmune disorder induced by autoantibodies against components of the skin basement membrane zone.  It is most prevalent in the elderly & also called as parapemphigus.  It is subepidermal blistering skin disease characterized by large tense blisters with immunopathological findings of linear deposits of C3 and IgG at the basement membrane zone.
  • 85.
    Page 107 PATHOPHYSIOLOGY  Bullouspemphigoid and its closely related mucosal counterpart, MMP, share similar etiopathogenesis.  A difference from MMP is that titers of circulating autoantibodies to basement membrane zone antigens are usually detectable in bullous pemphigoid.  The pathogenesis of BP is characterized by tissue bound circulating IgG autoantibodies against two components of hemidesmosome of stratified epithelia, BP 230 kD (BPAg1) and BP 180 kD (BPAg2, COL17).
  • 86.
    Page 108  BPAg1(cytoplasmic protein involved in the anchorage of intermediate filaments to the cytoskeleton) and BPAg2 (transmembrane adhesion molecule with several collagenous extracellular domains).  Antibodies to BPAg2 is important in subepidermal blister formation. BPAg1 may have a secondary role, and its exact function in the pathogenesis is not fully defined.
  • 87.
    Page 111 CLINICAL FEATURES •Seenprimarily in elders, with the peak incidence in the 7th- 8th decades ((Fitzpatrick et al.) with average onset of 65 years. The age of onset in childhood BP varied from 2.5 months to 14 years. Childhood BP often follows a benign course, with disease duration of <1 year. Lesions appear on the skin, although concomitant lesions of mucous membranes occur in almost one third of the patients. There is no known ethnic, racial, or sexual predilection.
  • 88.
    Page 112  Skinlesions are characterized by non specific rash, commonly in the lower abdomen, inner or anterior thighs and flexor forearms, although they may occur anywhere.  Although tense vesicles and bullae are typically noted, they are often preceded by or associated with an erythematous papular eruption.  The vesicle or bullae are thick-walled and are usually filled with clear fluid but may be hemorrhagic.
  • 89.
    Page 113 Tense blisterson erythematous base Blisters and crusts on the hands
  • 90.
    Page 114  Insome patients, blisters arise after persistent urticarial lesions, and in some, urticarial lesions are the sole manifestations of the disease.  The bullae usually heal with post-inflammatory pigmentary changes and there is no scarring or milia formation. Blisters due to persistent urticarial lesions
  • 91.
    Page 115 ORAL MANIFESTATIONS Oraland ocular mucosal involvement rarely occurs Oral mucosal lesions of bullous pemphigoid cannot be distinguished from MMP. Vesicles or bullae and area of erosions and ulceration may be noted mainly on the attached gingiva.  Other areas of involvement may include soft palate, buccal mucosa and floor of the mouth.
  • 92.
    Page 116 Erosions onattached gingiva  Involvement of gingival lesions are exceedingly painful, with erythema and desquamation due to minor frictional trauma.
  • 93.
    Page 117 HISTOPATHOLOGIC FEATURES Bullaeare subepithelial, non-specific and similar to those of MMP.  The inflammatory infiltrate is typically polymorphous, with an eosinophilic predominance.  Mast cells and basophils may be prominent early in the disease course.  Electron microscope shows basement membrane attached to the connective tissue rather than overlying separated epithelium.  Tzanck smear shows only inflammatory cells.
  • 94.
  • 95.
    Page 119 DIFFERENTIAL DIAGNOSIS Erythemamultiformae Dermatitis herpetiformis Porphyria cutanea tarda Polymorphous light eruption
  • 96.
    Page 120 MANAGEMENT Systemic corticosteroidsare generally used to control the disease. Antibiotics (tetracycline and erythromycin) have also been of use. Oral prednisolone doses range from 0.3 to 1.25 mg/kg body weight/day, which usually controls disease within 1–2 weeks; the dose is then progressively tapered.
  • 97.
    Page 121 MUCOUS MEMBRANEPEMPHIGOID INTRODUCTION •Mucous membrane pemphigoid (MMP) is a chronic autoimmune subepithelial blistering disease primarily affecting mucous membrane resulting in mucosal ulceration and subsequent scaring. This is also known as ‘Cicatricial Pemphigoid’. •It resembles bullous pemphigoid & oral cavity and conjunctivas are favored sites, although pharyngeal, anal and vaginal lesions are present in one half of the patients.
  • 98.
    Page 122 • Theterm “Cicatricial” is derived from the word Cicatrix, meaning “Scar”. • When the conjunctival mucosa is affected, the scaring that results is the most significant aspect of this disorder because it invariably results in blindness unless the condition is recognized and treated.
  • 99.
    Page 126 PATHOGENESIS The primarylesion of MMP occurs when auto-antibodies directed against proteins in basement membrane zone, acting with complement (C3) and neutrophils, causing subepithelial split & vesicle formation. Antigens associated with MMP are frequently present in lamina lucida of basement membrane, but recent research has demonstrated that identical antigen is not involved in all cases, and lamina densa may be the primary site of involvement in some cases.
  • 100.
    Page 127  Antibodiesin MMP, usually IgG or IgA or both class, are directed against proteins of the basement membrane complex.  Immunoglobulins activate complement which attracts leukocytes.  These white blood cells, primarily neutrophils, release proteolytic enzymes that cleave fibrils in the basement membrane zone, resulting in blister formation.
  • 101.
    Page 128  Themajor antigens involved in oral MMP are believed to be BP180, 10,11 and laminin 5, 12,13.  Consequently, the epithelium is poorly anchored to the connective tissue and separates, allowing a subepithelial blister to form.
  • 102.
    Page 129 CLINICAL FEATURES Cicatricalpemphigoid usually affects older adults, with an average age of 40-50 years at the onset of the disease. Females are affected more frequently than males by a 2:1 ratio. Oral lesions are seen in most patients but other sites such as conjunctival, nasal, esophageal, laryngeal and vaginal mucosa as well as the skin may be involved.
  • 103.
    Page 130 • Ocularinvolvement is the most serious complication following the initial conjuctivitis, adhesion between palpebral & bulbar conjuctivae (symblepharon) resulting in obliteration of the palpebral fissure, opacity of the cornea & complete blindness.
  • 104.
    Page 131 Oral Lesions: Theoral lesions of pemphigoid begin as vesicles or bullae. The bullae are rarely seen because the blisters are fragile and short lived. Most consistent oral lesions are involving gingivae although other sites in oral cavity can be involved.
  • 105.
    Page 132  Pemphigoidblister forms in a subepithelial location, producing a thicker, stronger roof than the intraepithelial blister. Therefore, may persist for 24-48 hrs before rupturing & desquamation.  Mucous membrane pemphigoid is one of the main causes of desquamative gingivitis (DG). Indeed, DG is the main oral feature of MMP and may be the presenting feature. • Desquamating lesions rupture leaving raw eroded areas, bleeding surfaces. • Gingiva manifest erythema for weeks even after original erosions are healed.
  • 106.
    Page 133 HISTOPATHOLOGIC FINDINGS •The histologic findings are non-specific. • Vesicles & bullae are subepidermal rather than suprabasilar. • There is no evidence of acantholysis. • Basement membrane detach with the epithelium from the underlying connective tissue. • There is non-specific inflammatory infiltrate in the connective tissue, mainly plasma cells, lymphocytes and eosinophils.
  • 107.
  • 108.
    Page 135 Linear DepositsOf IgG And/Or C3 At The BMZ By DIF.
  • 109.
    Page 136 DIFFERENTIAL DIAGNOSIS •Pemphigus vulgaris • Bullous pemphigoid • Erosive lichen planus • Bullous erythema multiformae
  • 110.
    Page 137 TREATMENT • Themain treatments, are immunosuppressive and include the systemic and topical coticosteroids in various forms.
  • 111.
    Page 138 ERYTHEMA MULTIFORMAE Erythema multiforme (EM) is an acute, self-limited, dermatitis characterized by a distinctive clinical eruption manifested as the target or iris lesion.  EM includes wide range of clinical expression from EM minor followed by EM major characterized by mucosal erosions of raised atypical target lesions on extremities and/or face to fulminatingly severe Stevens-Johnson syndrome [SJS] with mucosal erosions plus widespread distribution of flat atypical targets or purpuric macules and toxic epidermal necrolysis [TEN].
  • 112.
    Page 141 VARIANT AUTHOR Erythemamultiforme minor Hebra Erythema multiforme major Thomas Stevens-Johnson syndrome Stevens and Johnson Toxic epidermal necrolysis Lyell Oral erythema multiforme Kennett CLASSIFICATION
  • 113.
    Page 142 ETIOLOGY Viral infections: AIDS,Adenovirus, Coxsackie virus, Epstein-Barr virus, Hepatitis A, B, and C, Herpes simplex 1 and 2, Herpes zoster, Influenza type A, Mumps, Poliomyelitis, Bacterial infections: B-hemolytic streptococci, Diphtheria, Mycobacteria, Mycoplasma pneumonia, Typhoid fever, Other conditions like malignancy, radiation therapy and recent vaccination may be common precipitating factors.
  • 114.
    Page 143 Fungal infections: Coccidioidomycosis,Dermatophytosis, Histoplasmosis, Protozoal infections: Malaria, Trichomonasis Drug therapy causes of erythema multiforme  Penicillins, Arsenic, Barbiturates, Bromides, Carbamazepine, Cephalosporins, Co-trimazole, Cyclophosphamide, Diclofenac, Digitalis, Ethambutol, Fluoquinolones, Gold salts, Hydralazine, Ibuprofen, Iodides, Naproxen, Nitrogen mustard, Penicillin, Phenobarbital, Phenylbutazone, Phenytoin, Rifampin, Salicylates, Sulfasalazine, Tolbutamide, Vancomycin etc.
  • 115.
    Page 144 C/F  Frequentlyin children and young adults, in 2nd to 4th decade of life and is rare after age 50 years with a male predilection.  It has an acute or even an explosive onset; generalized symptoms such as fever and malaise appear in severe cases.  The disease may be asymptomatic and in less than 24 hours have extensive lesions of skin and mucosa characteristics of vividly erythematous, discrete macules, papules or occasionally vesicles or bullae in a rather symmetrical patterns commonly over the hands and arms, feet and legs, face and neck.
  • 116.
    Page 145  Aconcentric ring like appearance of the lesions, resulting from varying shades of erythema, occur in some cases and has given rise to the term ‘target lesions’ or ‘bull’s eye’.  They are common in hands, wrists and ankles and mucous membrane, involving oral cavity.
  • 117.
    Page 146 EM minor Skin involvement consists of typical target lesions that are individual lesions less than 3 cm in diameter with a regular round shape; well- defined border & blisters may be present.  Skin lesions are usually present on the acral extensor surfaces.  EM minor represents localized eruption of skin with minimal to nil mucous membrane involvement.
  • 118.
    Page 147 EM major Erythemamultiforme major is also an acute, self- limited reaction pattern that may be episodic or recurrent. EM major has a mucocutaneous pattern. Skin involvement is similar to EM minor but may be more extensive showing raised atypical lesion. Involvement of one or more mucous membranes almost exclusively limited to the oral cavity is typical. Mucosal disease may be the most prominent element of the disease.
  • 119.
    Page 148 ORAL MANIFESTATIONS Oral involvement is seen in 40% to 60% of patients  Lesions typically seen in the anterior part of the mouth, on nonkeratinized mucosa and less frequently on the gingivae.  Lesions appear clinically as erythematous macule that evolve into numerous small-grouped vesicles that rupture, leaving superficial erosions covered by a fibrinous pseudomembrane.  Oral lesions usually occur simultaneously with skin lesions but may precede or follow the onset of cutaneous lesions.
  • 120.
    Page 149 Erythema multiforme:multiple erosions on the lips and tongue.
  • 121.
    Page 150 Stevens- Johnsonsyndrome •The more severe vesiculobullous forms of the disease, Stevens-Johnson syndrome(SJS) and TEN, have a significant mortality rate. EM is classified as Stevens-Johnson syndrome when the generalized vesicles and bullae involve the skin, mouth, eyes, and genitals. It commences with the abrupt occurrence of fever, malaise, photophobia and eruptions of the oral mucosa, genitalia and skin.
  • 122.
    Page 151  Cutaneousmanifestations in this mucocutaneous-ocular disease are hemorrhagic often vesicular or bullous.  Early skin lesions, includes erythema and macules, which have a tendency to rapid coalescence.  In a second phase, large areas of epidermal detachment develop.  The Nikolsky sign is positive if mechanical pressure induces epidermal detachment.  Genital lesions are comprised of nonspecific urethritis, balanitis and vaginal ulcers. Vaginal lesions are associated with stricture formation.
  • 123.
    Page 152  Ocularinvolvement at the onset of disease is frequent consisting of photophobia, and can range from acute conjunctivitis, eyelid edema, erythema, crusts, and ocular discharge, to conjunctival membrane or pseduomembrane formation or corneal erosion, and, in severe cases, symblepharon, and corneal ulceration.  Blindness can result from bacterial infection.
  • 124.
    Page 153  Orallesions may be extremely severe and painful that mastication is impossible. Mucosal bullae rupture leaving surface covered with thick white or yellow exudate.  Erosion of pharynx are also common. Lip exhibit ulceration with bloody encrustation which are painful.  The oral lesions may be the chief complaint of the patient and can be mistaken for acute necrotizing ulcerative gingivostomatitis.  The mucosal involvement is more severe and extensive than EM major.  Healing usually taking place within 2-3 weeks.
  • 125.
  • 126.
    Page 155 Toxic EpidermalNecrolysis Toxic Epidermal Necrolysis (TEN) also known as Lyell’s Syndrome (LS), a rare condition, causing a widespread life threatening muco-cutaneous disease resulting from idiosyncratic reaction to drugs. •It is considered by many to be the severe form of Steven Johnson syndrome (SJS). Both LS and SJS present with muco-cutaneous involvement and are precipitated by similar agents. •Oral erosions may occur.
  • 127.
    Page 156 •Large sheetsof skin peels off giving appearance of scalded burns Courtesy: sunnybrook.ca
  • 128.
    Page 157 HISTOLOGIC FINDINGS •Microscopicappearance of erythema multiformae is not diagnostic. •Cutaneous or mucosal lesion exhibit intracellular edema of spinous layer of epithelium & edema of connective tissue which may produce subepidermal vesicle. •Zone of liquefaction degeneration in upper layers of epithelium, intraepithelial vesicle formation & thinning or absence of basement membrane can be seen. •Dilatation of superficial capillaries & lymphatic vessels in uppermost layer of connective tissue is prominent with varying inflammatory cells (neutrophils & eosinophils).
  • 129.
  • 130.
    Page 159 TREATMENT •Oral histamines,analgesics, local skin care & soothing mouth-washes, topical steroids are choice of treatment. •Oral antacids helpful in oral ulcers. Liquid antiseptics, like 0.05 % chlorhexidine, during bathing is preferable.
  • 131.
    Page 160 BULLOUS LUPUSERYTHEMATOUS (BLE) INTRODUCTION Bullous lupus erythematosus (BLE) is a rare variant of lupus erythematosus (LE) characterised by presence of vesicles, bullae, and papules which may range from 3-40 mm in diameter. It is a widespresd nonscaring vesiculobullous eruption. The skin lesions usually appear in areas exposed to the sun. BLE appears mostly in association with systemic LE (SLE).
  • 132.
    Page 161 PATHOGENESIS The pathogenesisof BLE is not yet understood. It is believed that autoantibodies directed against basement membrane proteins, especially collagen type VII. Associations with human leukocyte antigens (HLA)-A1, -B8, -DR2, -DR3, and -DQ1 are known.
  • 133.
    Page 162 CLINICAL FEATURES Mostpatients have been young black women, but all ages and races and both genders are affected. Flexural and extensor skin surfaces and mucosal surface of the mouth and pharynx may be affected. Typical clinical features include a widespread, nonscarring vesiculobullous eruption that occurs on, but is not limited to, sun exposed skin.
  • 134.
    Page 163  Erythematousmacules and plaques and blisters arising on erythematous skin are often present.
  • 135.
    Page 164  Blistersmay be large and tense like those in bullous pemphigoid or small and grouped like those in dermatitis herpetiformis. Widespread cutaneous macular and vesiculobullous eruptions were seen in areas exposed to sunlight (face, neck, and lower arms).
  • 136.
    Page 165 HISTOLOGIC FEATURES Thehistology of early lesions shows dermal – epidermal separation at the basement membrane and neutrophils in the upper dermis beneath the basement membrane.  A subepidermal blister with dermal inflammatory characterized by neutrophillic papillary microabscesses like dermatitis herpetiformis. Leukocytes accumulate around upper dermal blood vessels; and in some cases, the features of necrotizing vasculitis including leukocytoclasis, erythrocyte extravasation , and vessel necrosis are present.
  • 137.
    Page 166 Histological examinationof lesional skin demonstrates subepidermal blistering with a dense, primarily neutrophilic, inflammatory infiltrate in the upper dermis. (H&E, magnification 10x40) • Importantly, the histologic features of primary lupus lesions such as epidermal atrophy, basal keratinocyte vacuolization, basement membrane thickening, and chronic inflammation are absent.
  • 138.
    Page 167 TREATMENT Most patientwith bullous SLE respond to dapsone Response is usually dramatic, with cessation of new lesion within 24 to 48 hours after administering the drugs , and healing of old lesions within several days. Small doses (25to 50 mg every day) may be effective. Patients who do not respond to dapsone may benefit from a trial of predenisone or combination prednisone and a second immunosuppressive / anti-inflammatory agent such as azathionprine, cyclophosphamide, or cyclosporine.
  • 139.
    Page 168 BULLOUS LICHENPLANUS AND LICHEN PLANUS PEMPHIGOID INTRODUCTION •Lichen planus is a relatively common dermatological disorder occurring on skin and oral mucous membrane. •Bullous or vesicular lesions are an unusual manifestation of lichen planus. •In bullous lichen planus, the severity of basal degeneration and separation at the junction results in clinically evident vesiculation.
  • 140.
    Page 169 • Ithas been suggested that bullous lichen planus represents a variant of lichen planus, and that lichen planus pemphigoides represents the coexistence of lichen planus and bullous pemphigoid. • Lichen Planus Pemphigoides (LPP) is a rare bullous disease. It is necessary to distinguish bullous lichen planus form LPP.
  • 141.
    Page 170 HISTORY •The strangename of the condition was provided by the British physician Erasmus Wilson, who first described it in 1869. •In 1892, Kaposi described the first case of bullous lichen planus under the term lichen rubber pemphigoides.
  • 142.
    Page 171 ETIOLOGY Current datasuggest that OLP is a T cell-mediated autoimmune disease in which auto-cytotoxic CD8+ T cells trigger apoptosis of oral epithelial cells. However, the precise cause of OLP is unknown. The etiology of oral lichen planus is based on the presence of an infiltrate of mononuclear cells in the superficial lamina propria, which disrupts the epithelium with the degeneration of basal epithelial cells and the basement membrane.
  • 143.
    Page 172 • Theimmunological events may begin with an external or internal antigen that alters the basal epithelial cells, rendering them susceptible to a cell mediated immune response • Activation of antigen presenting Langerhans Cells, immunocompetent keratinocytes, CD4+ T-helper-inducer cells, CD8+ T-suppressor-cytotoxic cells • Production of cytokines including chemokines such as interleukin-2, interferon gamma & tumor necrosis factor- beta within epithelium & within infiltrate by activated leucocytes.
  • 144.
    Page 173 Activation ofcytotoxic T cells by antigen presented by MHC 1 on basal keratinocyte, Activation of T helper cells from antigen presented by langerhans cells and in turn activation of cytotoxic T cells by Interleukin 2 and interferon gamma and request for cytotoxic activity (RCA) receptors
  • 145.
    Page 174 • LPPis usually idiopathic, but has been reported after treatment with multiple drugs including Cinnarizine, Captopril, Ramipril, Simvastatin, Furosmide, antituberculous medications. • It is also associated with internal malignancy.
  • 146.
    Page 175 CLINICAL FEATURES LichenPlanus Pemphigoides (LPP) is a rare bullous disease. It may occur at any age, and the incidence of LPP disease is greater in male, (male to female ratio 3:2) Review of recent literature suggests that LPP has a mean age of about 48 years. The distribution of the blisters shows a marked predilection for the distal extremities.
  • 147.
  • 148.
    Page 177  Bullouslichen planus may be confused clinically with other subepidermal bullous dermatoses.  In bullous lichen planus, small blisters arise on existing, often long established lesions of lichen planus whereas in lichen planus pemphigoides the lichen planus is usually acute and generalized, and is followed by the sudden appearance of large bullae on both involved and uninvolved skin.
  • 149.
    Page 178 ORAL MAIFESTATIONS Thisform is seen most often on the buccal mucosa followed by the tongue. The bullous form consists of vesicles ranging from a few millimeters in diameter to much larger vesicles. Because of the fragility of the vesicles, this form is not often seen when in the vesicle stage, but is usually discovered after vesicles have already ruptured.  This form is often associated with striated or keratotic component.
  • 150.
    Page 179  Eatingand speaking will usually cause the vesicles to rupture soon after forming. Bullous form of lichen planus Characteristic white interlacing striae seen with oral lichen planus present on the buccal mucosa.
  • 151.
    Page 180 HISTOLOGIC FINDINGS Biopsiesfor bullae reveal a histologic appearance similar to that of bullous pemphigoid: a subepidermal split with an infiltrate in which eosinophills are prominent. The blister of bullous lichen planus was a subepidermal bulla showing degeneration of the epidermal basal layer and other features of lichen planus, whereas in lichen planus pemphigoides the bulla was similar to that of bullous pemphigoid with rather more neutrophils than are usually seen.
  • 152.
    Page 181 Histopathology viewshowed subepidermal blister with inflammatory cells in BLP (H&Ex10).
  • 153.
    Page 182 DIFFERENTIAL DIAGNOSIS •Orallesions bear superficial resemblance to lichenoid reaction •Pemphigus •Pemphigoid •Erythema multiformae •Recurrent apthous •Bullous lupus erythematosus
  • 154.
    Page 183 TREATMENT •Principal aimof current OLP therapy are resolution of oral mucous lesions, reduction of the risk of oral cancer and maintenance of good oral hygiene. •The cutaneous lesions mostly clear with a low dose of prednisolone. Other treatment options include topical corticosteroids, dapsone and azathioprine.
  • 155.
    Page 184 EPIDERMOLYSIS BULLOSA INTRODUCTION •Epidermolysis bullosa (EB) is an encompassing term for a large group of clinically similar disease having common separation of epithelium from the underlying connective tissue and formation of large blisters that frequently result in extensive and often immobilizing scar formation.
  • 156.
    Page 185 A typicalnoninflammatory blister arising in the skin of a patient with EB.  The disease was 1st described by Von Hebra in 1870. •It is a generalized desquamative condition of skin and mucosa with associated scarring, contractures, and dental defects that occur in three main hereditary forms in children and one acquired form in adults.
  • 157.
    Page 186 CLASSIFICATION 1.Epidermolysis BullosaSimplex (EBS): Intraepidermal skin separation a.Generalized Form b. Localized Form 2. Junctional epidermolysis bullosa Skin separation in the lamina lucida or central basement membrane (Epidermolysis bullosa latalis, junctional bullous epidermatosis, Herlitz’s disease)
  • 158.
    Page 187 4. Epidermolysisbullosa acquista (acquired) – Similar to dystrophic form of disease but usually with an adult onset. 3. Epidermolysis Bullosa dystrophic Sublamina densa basement membrane zone separation a. Dominant b. Recessive
  • 159.
    Page 188 PATHOGENESIS Mutations ofstructural proteins of the epidermis EBS Associated with the mutation of genes coding for Intraepidermal tonofilaments-keratins (K) 5 and 14. Dystrophic Epidermiolysis Bullosa (DEB)  Mutation of gene coding for sublamina densa-anchoring fibrils, collagen VII (COL7A1).
  • 160.
    Page 189 Junctional EpidermiolysisBullosa (JEB) It has high molecular etiology and represents collection of different disease. These disease cause blistering in the lamina lucida and variable hemidesmosomal abnormalities. More than one half of JEB are caused by one or two recurrent nonsense mutations in the LAMB3 gene, which is helpful for mutational analysis and prenatal testing. Intralamina lucida-anchoring filaments and hemidesmosome, laminin 5, BP Ag 2, α6 β4 integrin.
  • 161.
    Page 190 Epidermolysis bullosaacquista (acquired) In skin and mucosa, anchoring fibrils composed of type VII collagen are important constituents of the complex adherence system of epithelium to dermis. They attach the lamina densa portion of the basement membrane to the underlying dermis. The attachment of autoantibodies to type VII collagen triggers a complement mediated inflammatory reaction that can result in severe damage to the anchoring fibrils.
  • 162.
  • 163.
  • 164.
    Page 193 CLINICAL FEATURES EPIDERMOLYSISBULLOSA SIMPLEX. Epidermolysis bullosa simplex (EBS) is a collection of keratin disorders characterized by intraepidermal blistering with relatively mild internal involvement. Lesions typically heal without scarring. Most commonly, these diseases are dominantly inherited, but recessively inherited cases have been reported.
  • 165.
    Page 194 • Localizedform or mild form EBS ( Weber-Cockayne syndrome) is familial occur early in the childhood & is commonly recurrent. • Bullae only develops on the hands & feet & are related to frictional trauma & tend to exacerbate in hot weather. • There is no scarring upon healing.
  • 166.
    Page 195 Generalized formor severe form:  It is inherited as an autosomal dominant characteristics.  Usually, a generalized onset of blisters occurs at or shortly after birth.  Formation of vesicles or bullae chiefly on hands, feet, sites of friction or trauma and extremities are the most common sites of involvement.  Blisters heal within 2-10 days with no scarring or permanent pigmentation  Palmoplantar hyperkeratosis and erosions are common, especially in Koebner epidermolysis bullosa simplex.
  • 167.
    Page 196 Koebner epidermolysisbullosa simplex ORAL MANIFESTATIONS Bullae of oral cavity have been reported in occasional cases of generalized epidermiolysis bullosa simplex. Teeth are not affected
  • 168.
    Page 197 HISTOLOGIC FEATURE InEBS, vesicles and bullae develop as a result of destruction of basal and suprabasal cells so that some nuclei may persist on the floor of the blister. The individual cell become edematous and show dissolution of organelles and tonofibrils with displacement of the nucleus to upper end of the cell. The PAS (Periodic acid-Sciff)-positive basement membrane remains on the dermal side of the separation. The elastic, preelastic and oxytalan fibres in the connective tissue are normal.
  • 169.
    Page 198 JUNCTIONAL EPIDERMOLYSISBULLOSA (JEB) JBE is a severe form of EB inherited as an autosomal recessive trait. SUBTYPES Herlitz or junctional epidermolysis bullosa letalis Nonlethal subtype termed junctional epidermolysis bullosa mitis Generalized benign type termed generalized atrophic benign epidermolysis bullosa.
  • 170.
    Page 199 3 criteriahave been established in this form of diagnosis: 1. Onset of birth 2. Absence of scarring, milia or pigmentation 3. Death within 3 months of age Lethal type, JEB  Hemorrhagic blisters and loss of nails, large blisters of the face, trunk and extremities and atrophy are common.
  • 171.
    Page 200 ORAL MANIFESTATIONS Intraorally,large, fragile, hemorrhagic blisters of palate and crusted granular, hemorrhagic lesions are present in perioral and perinasal locations. As they are extremely fragile, produce feeding problems. Similar lesions occur in the upper respiratory tract, bronchioles & esophagus. Severe disturbances in enamel and dentin formation of the deciduous teeth also occur Erupted teeth present hypoplastic and severly pitted enamel that rapidly develops caries.
  • 172.
    Page 201 HISTOLOGIC FEATURES Themicroscopic changes, including the location of the bullous cleavage, appear similar and probably identical to those occurring in dystrophic recessive disease. Courtesy: neoreviews.aappublications. org
  • 173.
    Page 202 DYSTROPHIC EPIDERMOLYSISBULLOSA, DOMINANT This form of the disease may have onset in infancy or it may be delayed puberty. With increasing age, an evolution to localized blistering is present.  A common variant described by Cockayne-Touraine has an acral distribution and minimal oral or tooth involvement. Another variant described by Pasini features more extensive blistering, scar like papules on the trunk (termed albopapuloid lesions).
  • 174.
    Page 203  Blisterscommonly develop on the ankles, knees, elbow, feet and head.  Healing results in scarring which is sometimes keloidal in type.  Dystrophic and absent nails are common and milia are commonly present.  Palmer-planter-keratoderma with hyperhidrosis also may occur as well as ichthyosis and sometimes hypertrichosis.
  • 175.
  • 176.
    Page 205 ORAL MANIFESTATIONS Bullaeof the oral cavity occur in about 20% of cases. Andreasen has described oral milia. Teeth are unaffected. HISTOLOGIC MANIFESTATIONS In epidermolysis bullosa dystrophic dominant form, bullae develop as a result of separation through very thin, irregular PAS positive basement membrane becomes divided. The basal layer appears normal, although flattened on the roof of the blister and the underlying tissue shows absence of elastic and oxytalan fibers.
  • 177.
    Page 206 DYSTROPHIC EPIDERMOLYSISBULLOSA, RECESSIVE  This disease ranges from mild to severe in presentation.  A localized form, termed recessively inherited epidermolysis bullosa mitis, involves acral areas and nails but shows little mucosal involvement.  Severe recessively inherited epidermolysis bullosa, as described by Hallopeau-Siemens, shows generalized blistering at birth and subsequent extensive dystrophic scarring that is most prominent on the acral surfaces.
  • 178.
    Page 207  Thiscan produce pseudosyndactyly (mitten-hand deformity) of the hands and feet.  Nails and teeth also are affected. Involvement of internal mucosa can result in esophageal strictures and webs, and corneal scarring.  Malabsorption commonly results in anemia resulting from lack of iron absorption, and overall malnutrition may cause failure to thrive.
  • 179.
  • 180.
    Page 209  Ectodermaldysplasia-skin fragility syndrome is a rare disorder characterized by skin erosions, skin fragility and peeling beginning at birth or infancy accompanied by alopecia, palmoplantar keratoderma, painful fissures, and nail dystrophy.  Patients with severe recessively inherited epidermolysis bullosa who survive to childhood are at significant risk of developing aggressive SCC in areas of chronic erosions.
  • 181.
    Page 210 ORAL MANIFESTATIONS Oralbullae are common and preceded by appearance of white spots or patches on the oral mucous membrane and development of localized area of inflammation. The bullae are painful, especially when they rupture or when the epithelium desquamates. Scar formation often results in obliteration of sulci and restriction of tongue.
  • 182.
    Page 211  Hoarsenessand dysphagia may occur as a result of bullae of the larynx and pharynx.  Esophageal involvement may produce serious strictures.  Dental defects have also been described consisting of rudimentary teeth, congenitally absent teeth, hypoplastic teeth and crowns denuded of enamel.
  • 183.
    Page 212 HISTOLOGIC MANIFESTATIONS Theseparation and bullae formation occur immediately beneath the poorly defined PAS positive basement membrane which remains attached to the roof of the blister in case of EBD-recessive. Here, fragments of basement membrane may adhere to the dermis but basal layer of cells is normal. The pre-elastic and oxytalan fibers in connective tissue are increased in number.
  • 184.
    Page 213 MANAGEMENT Large blisterscan be pricked and the blister fluid should be allowed to release. Dressing to minimize the reaction may be helpful. The super infections can be treated with appropriate local or systemic antibiotics. Corticosteroids have sometimes been found effective. For oral lesions avoid harsh mouthwashes containing alcohol. Normal saline rinses can help gently clean the mucosal surfaces.
  • 185.
    Page 214 REFERENCES 1. Burkit’sOral Medicine, Diagnosis and Treatment. ‘Ulcerative, Vesicular and Bullous lesions’. Page 50-85, 10th Edition 2. S. Sangeetha et al. The molecular aspects of oral mucocutaneous diseases: A review. International Journal of Genetics and Molecular Biology 2011; 3(10): 141-148. 3. S.K. Padmakumar et al. A more common mucocutaneous lesion: Pemphigus. Journal of Oral & Maxillofacial Pathology 2011;2(2):178-180 4. Crispian Scully et al. Pemphigus Vulgaris: Update on Etiopathogenesis, Oral Manifestations and Management. Critical Reviews in Oral Biology & Medicine 2002;13(5):397-408 5. C Scully et al. Epithelial biology. Oral Diseases 2005;11:58-71
  • 186.
    Page 215 6. Fitzpatrick’sClinical Dermatology, 5th Edition 7. Soames JV and Southam JC Textbook of Oral Pathology, Fourth Edition, Page 173-186, 8. Regezi, Oral Pathology Clinical Pathologic Correlations. ‘Vesiculobullous Diseases’. Page 1-21, Fourth Edition 9. Eversole LR, Clinical Outline of Oral Pathology,Diagnosis and Treatment. ‘Vesiculobullous and Desquamative Lesions’. Page 90-107, Third Edition 10. Cawson’s Essentials of Oral Pathology and Oral Medicine. ‘Diseases of the oral mucosa: Non infective stomatitis’. Page 192-215, Seventh Edition 11. Saraf Sanjay, Textbook of Oral Pathology. ‘Dermatological Disorders’. Page 411-443, First Edition
  • 187.
    Page 216 12. Shafer’sTextbook of Oral Pathology. ‘Diseases of the skin’. Page 1099- 1163, Fifth Edition 13. Neville, Oral and Maxillofacial Pathology. ‘Dermatological Disorders’. Page 643-705, Second Edition 14. Dermatology Clinics of North America, 10th Edition
  • 188.