TUTORIAL SKENARIO 5
BLOK 8
Vina Widya Putri
J2A017017
KLASIFIKASI MALOKLUSI (OLEH DEWEY
& BERDASARKAN ANGLE, TERMASUK
RELASI MOLAR SATU PERMANEN)
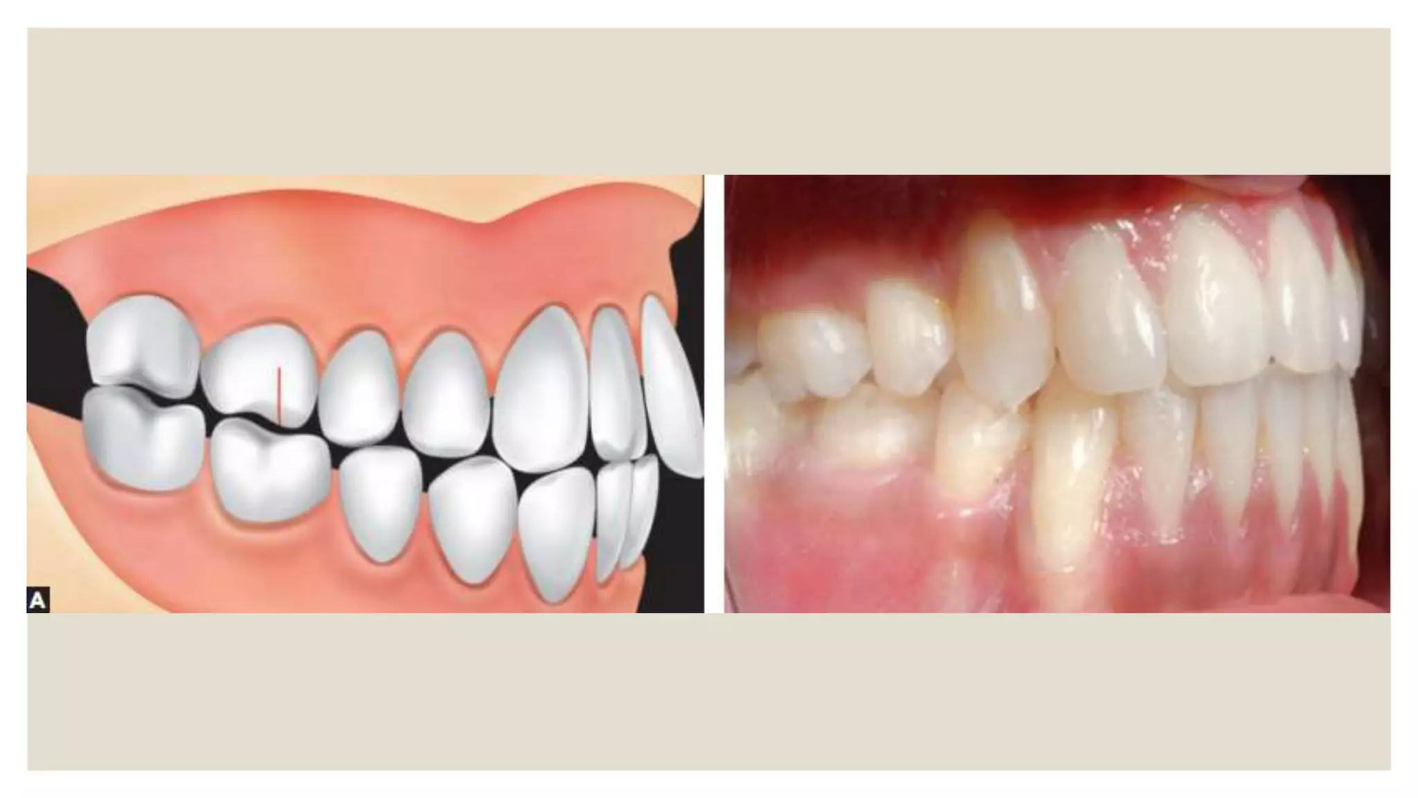
RELASI MOLAR
A. Kelas I
Cusp Mesiobukal gigi Molar satu Permanen Maksila beroklusi pada Mesiobukal
developmental groove dari gigi Molar satu Permanen Mandibular
B. Kelas II
Cusp Distobukal gigi Molar satu Permanen Maksila beroklusi pada Mesiobukal
developmental groove dari gigi Molar satu Permanen Mandibular
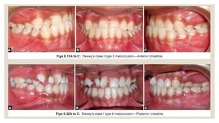
C. Kelas III
Cusp Mesiobukal gigi Molar satu Permanen Maksila beroklusi pada Interdental antara
gigi Molar satu&dua Permanen Mandibular
Menurut Edward H. Angle (1898)
Ia mengklasifikasikan Maloklusi berdasarkan hubungan Anteroposterior dari gigi. Ia
angka romawi (I,II,III) untuk menunjukkan kelas utama dan angka Arabic (1,2) untuk menunjukan
division.
A. Kelas I
Cusp Mesiobukal gigi Molar satu Permanen Maksila beroklusi pada Mesiobukal developmental
groove dari gigi Molar satu Permanen Mandibular
Gambaran Klinis:
• Ekstraoral
Bentuk kepala Mesocephalic, Bentuk wajah Mesoprosopic, Profil wajah Lurus/Orthognathic,
Pembagian wajah lurus, Nasolabial angle normal, Bibir kompeten
• Intraoral
Relasi Molar, Kaninus, Insisivus yaitu Kelas I, Bisa terdapat spacing pada lengkung gigi, Crowding,
Rotasi, Gigi hilang, Bimaxillary Protrusion, Midline Diastema
B. Kelas II
Berdasarkan Jenis:
 Division 1 Maloklusi
Dicirikan dengan relasi molar kelas dua pada kedua sisi dengan proklinasi/protrusi pada anterior
maksila
Gambaran Klinis
• Ekstraoral
Profil Wajah Convex, Sudut Nasolabial menurun/berkurang, Bibir inkompeten, Sulkus Mentolabial
dalam, Mentalis Hiperaktif
• Intraoral
Relasi Molar dan Kaninus kelas II pada sisi kanan&kiri dari lengkung, Relasi Insisivus kelas II Division
1 dari hubungan Insisif, Lengkung maksila berbentuk ‘V’, Anterior Maksila Proklinasi/Protrusi,
Overjet meningkat, Overbite meningkat
 Division 2 Maloklusi
Dicirikan dengan relasi molar kelas dua dengan retroklinasi/retrusi pada anterior maksila
Gambaran Klinis
• Ekstraoral
Profil Wajah Convex, Sudut Nasolabial meningkat/bertambah, Bibir inkompeten, Sulkus
Mentolabial dalam, Mentalis Hiperaktif
• Intraoral
Relasi Molar dan Kaninus kelas II pada sisi kanan&kiri dari lengkung, Relasi Insisivus kelas II
Division 2 pada sisi kanan&kiri, Lengkung maksila berbentuk ‘U’, Anterior Maksila Crowded,
Overjet menurun, Overbite meningkat
Berdasarkan Subdivision:
 Subdivision 1
Kondisi dimana terdapat relasi molar kelas II pada satu sisi lengkung gigi dan relasi molar
kelas I pada sisi lain dari lengkung gigi diikuti proklinasi Anterior Maksila
 Subdivision 2
Kondisi dimana terdapat relasi molar kelas II pada satu sisi lengkung gigi dan relasi molar
kelas I pada sisi lain dari lengkung gigi diikuti retroklinasi Anterior Maksila
C. Kelas III
Cusp Mesiobukal gigi Molar satu Permanen Maksila beroklusi pada Interdental antara gigi Molar
satu&dua Permanen Mandibular
Gambaran Klinis
• Ekstra Oral
Profil wajah Concave, Bibirnya bisa saja inkompeten, Sulcus Mentolabial dangkal, Pembagian Wajah
Anterior
• Intra Oral
Relasi Molar, Insisivus, Kaninus kelas III, Overjet Terbalik, Lengkung Maksila Retrusi, Lengkung
Mandibula Protrusi
Berdasarkan Jenis:
 True Kelas III
Terjadi karena adanya hubungan yang tidak baik dari lengkung gigi atau struktur skeletal dari
Maksila yang mana alami retrusi dan mandibula mengalami protrusi
 Pseudo Kelas III
Ditandai dengan maloklusi kelas III yang terutama disebabkan oleh kebiasaan. Biasa disebut
juga dengan maloklusi Habitual atau maloklusi Postural.
Berdasarkan Subdivision:
 Kelas III Subdivision
Kondisi dimana terdapat hubungan Molar kelas 3 pada satu sisi lengkung gigi dan relasi molar
kelas I pada sisi lain dari lengkung gigi
Klasifikasi menurut Dewey
Dewey memodifikasi Klasifikasi oleh Angel mengenai maloklusi pada Kelas I dan kelas
III.
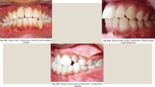
 Kelas I
Dibagi menjadi 5 jenis:
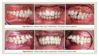
1) Tipe 1, Crowding pada segmen anterior
2) Tipe 2, Proklinasi pada gigi anterior
3) Tipe 3, Crossbite anterior
4) Tipe 4, Crossbite posterior
5) Tipe 5, Mesial drifting dari gigi Molar
 Kelas II
Dibagi menjadi 3 jenis:
1) Tipe 1, terdapat Overlapping pada insisivus
2) Tipe 2, terdapat hubungan insisivus edge-to-edge
3) Tipe 3, terdapat crossbite pada insisivus
DEFINISI CROSSBITE ANTERIOR &
POSTERIOR
Crossbite adalah suatu kondisi dimana satu atau lebih gigi secara tidak normal
mengalami malposisi bukal/lingual/labial dengan mengacu pada gigi lawannya.
Crossbite Anterior
Merupakan suatu kondisi yang mana satu atau lebih gigi desisui/permanen insisivus
maksila lebih ke lingual (linguoversi) daripada insisivus mandibular.
Crossbite Posterior
Merupakan suatu kondisi dimana terdapat hubungan abnormal transversal antara gigi
posterior maksila dan mandibular.
GAMBARAN KLINIS CROSSBITE
ANTERIOR & POSTERIOR
Crossbite Anterior
Berdasarkan jumlah gigi yang terlibat:
 Single tooth Crossbite
Suatu kondisi dimana terdapat tumpang tindih(overlapping) dari salah satu gigi anterior
mandibula terhadap salah satu gigi anterior maksila
 Segmental anterior Crossbite
Suatu kondisi dimana terdapat tumpang tindih(overlapping) dari kelompok gigi anterior
mandibula terhadap sekelompok gigi maksila
Berdasarkan Struktur yang terlibat:
 Dental Crossbite
Merupakan crossbite yang terbatas pada gigi saja, kebanyakan terjadi pada satu gigi
Penyebab:
- Anomali pada jumlah Gigi (Supernumerary teeth, Missing teeth)
- Anomali pada bentuk Gigi
- Anomali pada ukuran Gigi (Microdontia, Macrodontia)
- Persistence dari gigi desidui
 Functional Crossbite
Dapat mengarah pada maloklusi pseudo kelas III
Penyebab:
- Premature loss
- Bad Habit, seperti memindahkan mandibular ke depan sehingga mencapai intracuspasi maksimum
 Skeletal Crossbite
Merupakan crossbite yang meliputi struktur skeletal, berupa lengkung maksila dan mandibular.
Terjadi karena adanya ketidaksesuaian/kesenjangan pada maksila (retrusi), mandibular (protrusi),
ataupun kombinasi keduanya.
Penyebab:
- Bad Habit (Menghisap jempol, bernapas melalui mulut)
- Trauma saat lahir (ankilosis dari TMJ oleh cedera forseps selama proses melahirkan)
Posterior Crossbite
Berdasarkan jumlah gigi yang terlibat:
 Single tooth Posterior Crossbite
Suatu kondisi dimana terdapat tumpang tindih(overlapping) dari salah satu gigi
posterior mandibula terhadap salah satu gigi anterior maksila
 Segmental Posterior Crossbite
Suatu kondisi dimana terdapat tumpang tindih(overlapping) dari kelompok gigi
posterior mandibula terhadap sekelompok gigi maksila
Berdasarkan ada atau tidaknya crossbite posterior pada kedua sisi lengkung gigi:
 Unilateral Crossbite
kondisi di mana terdapat crossbite posterior pada salah satu sisi lengkung gigi
 Bilateral Posterior Crossbite
kondisi di mana terdapat crossbite posterior pada kedua sisi lengkung gigi
Berdasarkan jangkauan/banyaknya crossbite posterior:
 Simple Posterior Crossbite
Kondisi di mana cusp buccal dari satu atau lebih gigi posterior maksila oklusi ke arah lingual dari cusp
bukal gigi mandibula
 Buccal non-occlusion (Scissor bite)
Cusp palatal dari gigi maksila posterior saat oklusi terletak ke arah bukal dari gigi mandibular posterior
 Lingual non-occlusion
Gigi maksila posterior terletak sepenuhnya di palatal dari aspek lingual gigi mandibular posterior.
Cthnya yaitu cusp bukal gigi maksila posterior terletak palatal/lingual dari cusp lingual gigi posterior
mandibular
Berdasarkan Struktur yang terlibat:
 Dental Crossbite
Merupakan crossbite yang terbatas pada gigi saja
Penyebab:
- Anomali pada jumlah Gigi (Supernumerary teeth, Missing teeth)
- Anomali pada bentuk Gigi
- Anomali pada ukuran Gigi (Microdontia, Macrodontia)
 Functional Crossbite
Dapat mengarah pada maloklusi pseudo kelas III
Penyebab:
- Premature loss
- Bad Habit, seperti memindahkan mandibular ke depan sehingga mencapai intracuspasi maksimum
 Skeletal Crossbite
Merupakan crossbite yang meliputi struktur skeletal, berupa lengkung maksila dan mandibular.
Protrusi mandibular, retrusi maksila, ataupun kombinasi keduanya dapat sebabkan Skeletal Crossbite
Penyebab:
- Bad Habit (Menghisap jempol, bernapas melalui mulut)
- Trauma saat lahir (ankilosis dari TMJ oleh cedera forseps selama proses melahirkan)
APA JENIS KEBIASAAN BURUK YANG
DAPAT SEBABKAN CROSSBITE?
JELASKAN PATOFISIOLOGINYA!
Salah satu kebiasaan yang dapat menyebabkan crossbite(posterior) ialah dummy-suckers karena
peningkatan aktivitas pipi dikombinasikan dengan kurangnya dukungan lingual terhadap gigi molar
dan kaninus maksila desidui saat lidah dipaksa ke belakang dan kebawah selama menghisap, atau
bisa juga dikarenakan posisi lidah yang kebawah menyebabkan pelebaran lengkung gigi yang
mengarah pada terjadinya crossbite pada gigi desidui. Hal ini berkaitan erat dengan durasi
(intensiveness) dari kebiasaan tersebut.
The effect of dummy-sucking on the occlusion: a review, Erik Larsson
PERAWATAN UNTUK CROSSBITE (MASA
GIGI DESIDUI, BERCAMPUR,
PERMANEN)
Perawatan Crossbite Anterior pada masa pra-remaja
 Tongue Blade
 Catlan’s appliance atau Lower Anterior Inclined Plane
 Removable Orthodontics Appliances, seperti:
1) Alat Ortho Lepasan dengan Double cantilever spring atau “Z” spring
2) Alat Ortho Lepasan dengan Expansion Screw
 Orthopedic Appliances, seperti:
1) Face mask serta dengan RME(Rapid Maxillary Expansion)
2) Chin cup appliance
 Myofunctional Appliance, seperti:
1) Frankel III appliance
Perawatan Crossbite Anterior pada Remaja & Dewasa
 Removable orthodontic appliances, seperti:
1) Removable orthodontic appliances dengan expansion screw (mini expansion screw or
medium expansion screw)
 Fixed orthodontic appliances
Tongue Blade
Digunakan untuk perawatan terhadap crossbite anterior, dengan meletakkan tongue blade dari kayu
tsb di belakang gigi yang alami crossbite pada sudut sekitar 60 derajat terhadap occlusal plane.
Pasien tersebut harus memberikan tekanan dengan menggigit Tongue Blade tsb menggunakan gigi
pada mandibular sebagai fulcrum(titik tumpu) dalam waktu 5-10 menit. Dalam sehari sebaiknya
digunakan selama total 1-2 jam. Dalam 10-14 hari biasanya sudah terlihat crossbite yang berkurang.
Catlan’s Appliance atau Lower Anterior Inclined Plane
Digunakan untuk memberikan ruang yang cukup pada lengkung untuk penyelarasan gigi maksila
yang alami crossbite dan untuk crossbite pada gigi Insisivus maksila yang mengarah ke palatum. Alat
ini terbuat dari resin akrilik atau logam cor yang disemen ke gigi Insisivus mandibular yang didesain
sedemikian rupa membentuk sudut 45 derajat terhadap Maksila Occlusal Plane.
Removable Orthodontics Appliances (Alat Ortho Lepasan), seperti:
1) Alat Ortho Lepasan dengan Double cantilever spring atau “Z” spring
Digunakan untuk anterior crossbite pada single tooth atau dua gigi anterior
2) Alat Ortho Lepasan dengan Expansion Screw
Digunakan untuk mengkoreksi crossbite pada single tooth atau segmental teeth
Orthopedic Appliances, seperti:
1) Face mask(Reversed Headgear) serta dengan RME(Rapid Maxillary Expansion)
Digunakan untuk perawatan crossbite anterior skeletal selama masa pertumbuhan, sebelum
pertumbuhan rahang terhenti. Alat ini membantu protrusi maksila yang mengalami retrusi, sehingga
menormalkan kembali struktur skeletal.
1) Chin cup appliance
Digunakan untuk menngarahkan kembali pertumbuhan dari mandibular untuk cegah atau
memperbaiki crossbite anterior karena pertumbuhan mandibular yang terlalu cepat. Alat ini cenderung
merotasikan mandibular ke arah posterior dan inferior.
Myofunctional Appliance, seperti:
1) Frankel III appliance
Untuk memperbaiki perkembangan Kelas III dari tulang rahang dalam hubungannya
dengan Crossbite anterior
Removable orthodontic appliances, seperti:
1) Removable orthodontic appliances dengan expansion screw (mini expansion screw or
medium expansion screw)
Mini Expansion screw digunakan untuk memperbaiki crossbite anterior yang melibatkan 1-2
gigi, sedangkan Medium Expansion Screw digunakan untuk memperbaiki crossbite anterior
yang melibatkan 4-6 gigi
Fixed orthodontic appliances
Untuk memperbaiki crossbite anterior yang melibatkan single tooth atau segmental teeth
AYAT / HADIST TERKAIT
At-Tin ayat 4:

Tutorial Maloklusi & Crossbite

  • 1.
    TUTORIAL SKENARIO 5 BLOK8 Vina Widya Putri J2A017017
  • 2.
    KLASIFIKASI MALOKLUSI (OLEHDEWEY & BERDASARKAN ANGLE, TERMASUK RELASI MOLAR SATU PERMANEN) RELASI MOLAR A. Kelas I Cusp Mesiobukal gigi Molar satu Permanen Maksila beroklusi pada Mesiobukal developmental groove dari gigi Molar satu Permanen Mandibular B. Kelas II Cusp Distobukal gigi Molar satu Permanen Maksila beroklusi pada Mesiobukal developmental groove dari gigi Molar satu Permanen Mandibular C. Kelas III Cusp Mesiobukal gigi Molar satu Permanen Maksila beroklusi pada Interdental antara gigi Molar satu&dua Permanen Mandibular
  • 4.
    Menurut Edward H.Angle (1898) Ia mengklasifikasikan Maloklusi berdasarkan hubungan Anteroposterior dari gigi. Ia angka romawi (I,II,III) untuk menunjukkan kelas utama dan angka Arabic (1,2) untuk menunjukan division. A. Kelas I Cusp Mesiobukal gigi Molar satu Permanen Maksila beroklusi pada Mesiobukal developmental groove dari gigi Molar satu Permanen Mandibular Gambaran Klinis: • Ekstraoral Bentuk kepala Mesocephalic, Bentuk wajah Mesoprosopic, Profil wajah Lurus/Orthognathic, Pembagian wajah lurus, Nasolabial angle normal, Bibir kompeten • Intraoral Relasi Molar, Kaninus, Insisivus yaitu Kelas I, Bisa terdapat spacing pada lengkung gigi, Crowding, Rotasi, Gigi hilang, Bimaxillary Protrusion, Midline Diastema
  • 6.
    B. Kelas II BerdasarkanJenis:  Division 1 Maloklusi Dicirikan dengan relasi molar kelas dua pada kedua sisi dengan proklinasi/protrusi pada anterior maksila Gambaran Klinis • Ekstraoral Profil Wajah Convex, Sudut Nasolabial menurun/berkurang, Bibir inkompeten, Sulkus Mentolabial dalam, Mentalis Hiperaktif • Intraoral Relasi Molar dan Kaninus kelas II pada sisi kanan&kiri dari lengkung, Relasi Insisivus kelas II Division 1 dari hubungan Insisif, Lengkung maksila berbentuk ‘V’, Anterior Maksila Proklinasi/Protrusi, Overjet meningkat, Overbite meningkat
  • 8.
     Division 2Maloklusi Dicirikan dengan relasi molar kelas dua dengan retroklinasi/retrusi pada anterior maksila Gambaran Klinis • Ekstraoral Profil Wajah Convex, Sudut Nasolabial meningkat/bertambah, Bibir inkompeten, Sulkus Mentolabial dalam, Mentalis Hiperaktif • Intraoral Relasi Molar dan Kaninus kelas II pada sisi kanan&kiri dari lengkung, Relasi Insisivus kelas II Division 2 pada sisi kanan&kiri, Lengkung maksila berbentuk ‘U’, Anterior Maksila Crowded, Overjet menurun, Overbite meningkat
  • 9.
    Berdasarkan Subdivision:  Subdivision1 Kondisi dimana terdapat relasi molar kelas II pada satu sisi lengkung gigi dan relasi molar kelas I pada sisi lain dari lengkung gigi diikuti proklinasi Anterior Maksila  Subdivision 2 Kondisi dimana terdapat relasi molar kelas II pada satu sisi lengkung gigi dan relasi molar kelas I pada sisi lain dari lengkung gigi diikuti retroklinasi Anterior Maksila
  • 10.
    C. Kelas III CuspMesiobukal gigi Molar satu Permanen Maksila beroklusi pada Interdental antara gigi Molar satu&dua Permanen Mandibular Gambaran Klinis • Ekstra Oral Profil wajah Concave, Bibirnya bisa saja inkompeten, Sulcus Mentolabial dangkal, Pembagian Wajah Anterior • Intra Oral Relasi Molar, Insisivus, Kaninus kelas III, Overjet Terbalik, Lengkung Maksila Retrusi, Lengkung Mandibula Protrusi
  • 11.
    Berdasarkan Jenis:  TrueKelas III Terjadi karena adanya hubungan yang tidak baik dari lengkung gigi atau struktur skeletal dari Maksila yang mana alami retrusi dan mandibula mengalami protrusi  Pseudo Kelas III Ditandai dengan maloklusi kelas III yang terutama disebabkan oleh kebiasaan. Biasa disebut juga dengan maloklusi Habitual atau maloklusi Postural. Berdasarkan Subdivision:  Kelas III Subdivision Kondisi dimana terdapat hubungan Molar kelas 3 pada satu sisi lengkung gigi dan relasi molar kelas I pada sisi lain dari lengkung gigi
  • 12.
    Klasifikasi menurut Dewey Deweymemodifikasi Klasifikasi oleh Angel mengenai maloklusi pada Kelas I dan kelas III.  Kelas I Dibagi menjadi 5 jenis: 1) Tipe 1, Crowding pada segmen anterior 2) Tipe 2, Proklinasi pada gigi anterior 3) Tipe 3, Crossbite anterior 4) Tipe 4, Crossbite posterior 5) Tipe 5, Mesial drifting dari gigi Molar
  • 16.
     Kelas II Dibagimenjadi 3 jenis: 1) Tipe 1, terdapat Overlapping pada insisivus 2) Tipe 2, terdapat hubungan insisivus edge-to-edge 3) Tipe 3, terdapat crossbite pada insisivus
  • 18.
    DEFINISI CROSSBITE ANTERIOR& POSTERIOR Crossbite adalah suatu kondisi dimana satu atau lebih gigi secara tidak normal mengalami malposisi bukal/lingual/labial dengan mengacu pada gigi lawannya. Crossbite Anterior Merupakan suatu kondisi yang mana satu atau lebih gigi desisui/permanen insisivus maksila lebih ke lingual (linguoversi) daripada insisivus mandibular. Crossbite Posterior Merupakan suatu kondisi dimana terdapat hubungan abnormal transversal antara gigi posterior maksila dan mandibular.
  • 19.
    GAMBARAN KLINIS CROSSBITE ANTERIOR& POSTERIOR Crossbite Anterior Berdasarkan jumlah gigi yang terlibat:  Single tooth Crossbite Suatu kondisi dimana terdapat tumpang tindih(overlapping) dari salah satu gigi anterior mandibula terhadap salah satu gigi anterior maksila  Segmental anterior Crossbite Suatu kondisi dimana terdapat tumpang tindih(overlapping) dari kelompok gigi anterior mandibula terhadap sekelompok gigi maksila
  • 20.
    Berdasarkan Struktur yangterlibat:  Dental Crossbite Merupakan crossbite yang terbatas pada gigi saja, kebanyakan terjadi pada satu gigi Penyebab: - Anomali pada jumlah Gigi (Supernumerary teeth, Missing teeth) - Anomali pada bentuk Gigi - Anomali pada ukuran Gigi (Microdontia, Macrodontia) - Persistence dari gigi desidui  Functional Crossbite Dapat mengarah pada maloklusi pseudo kelas III Penyebab: - Premature loss - Bad Habit, seperti memindahkan mandibular ke depan sehingga mencapai intracuspasi maksimum
  • 21.
     Skeletal Crossbite Merupakancrossbite yang meliputi struktur skeletal, berupa lengkung maksila dan mandibular. Terjadi karena adanya ketidaksesuaian/kesenjangan pada maksila (retrusi), mandibular (protrusi), ataupun kombinasi keduanya. Penyebab: - Bad Habit (Menghisap jempol, bernapas melalui mulut) - Trauma saat lahir (ankilosis dari TMJ oleh cedera forseps selama proses melahirkan)
  • 22.
    Posterior Crossbite Berdasarkan jumlahgigi yang terlibat:  Single tooth Posterior Crossbite Suatu kondisi dimana terdapat tumpang tindih(overlapping) dari salah satu gigi posterior mandibula terhadap salah satu gigi anterior maksila  Segmental Posterior Crossbite Suatu kondisi dimana terdapat tumpang tindih(overlapping) dari kelompok gigi posterior mandibula terhadap sekelompok gigi maksila
  • 23.
    Berdasarkan ada atautidaknya crossbite posterior pada kedua sisi lengkung gigi:  Unilateral Crossbite kondisi di mana terdapat crossbite posterior pada salah satu sisi lengkung gigi  Bilateral Posterior Crossbite kondisi di mana terdapat crossbite posterior pada kedua sisi lengkung gigi
  • 24.
    Berdasarkan jangkauan/banyaknya crossbiteposterior:  Simple Posterior Crossbite Kondisi di mana cusp buccal dari satu atau lebih gigi posterior maksila oklusi ke arah lingual dari cusp bukal gigi mandibula  Buccal non-occlusion (Scissor bite) Cusp palatal dari gigi maksila posterior saat oklusi terletak ke arah bukal dari gigi mandibular posterior  Lingual non-occlusion Gigi maksila posterior terletak sepenuhnya di palatal dari aspek lingual gigi mandibular posterior. Cthnya yaitu cusp bukal gigi maksila posterior terletak palatal/lingual dari cusp lingual gigi posterior mandibular
  • 25.
    Berdasarkan Struktur yangterlibat:  Dental Crossbite Merupakan crossbite yang terbatas pada gigi saja Penyebab: - Anomali pada jumlah Gigi (Supernumerary teeth, Missing teeth) - Anomali pada bentuk Gigi - Anomali pada ukuran Gigi (Microdontia, Macrodontia)  Functional Crossbite Dapat mengarah pada maloklusi pseudo kelas III Penyebab: - Premature loss - Bad Habit, seperti memindahkan mandibular ke depan sehingga mencapai intracuspasi maksimum
  • 26.
     Skeletal Crossbite Merupakancrossbite yang meliputi struktur skeletal, berupa lengkung maksila dan mandibular. Protrusi mandibular, retrusi maksila, ataupun kombinasi keduanya dapat sebabkan Skeletal Crossbite Penyebab: - Bad Habit (Menghisap jempol, bernapas melalui mulut) - Trauma saat lahir (ankilosis dari TMJ oleh cedera forseps selama proses melahirkan)
  • 27.
    APA JENIS KEBIASAANBURUK YANG DAPAT SEBABKAN CROSSBITE? JELASKAN PATOFISIOLOGINYA! Salah satu kebiasaan yang dapat menyebabkan crossbite(posterior) ialah dummy-suckers karena peningkatan aktivitas pipi dikombinasikan dengan kurangnya dukungan lingual terhadap gigi molar dan kaninus maksila desidui saat lidah dipaksa ke belakang dan kebawah selama menghisap, atau bisa juga dikarenakan posisi lidah yang kebawah menyebabkan pelebaran lengkung gigi yang mengarah pada terjadinya crossbite pada gigi desidui. Hal ini berkaitan erat dengan durasi (intensiveness) dari kebiasaan tersebut. The effect of dummy-sucking on the occlusion: a review, Erik Larsson
  • 28.
    PERAWATAN UNTUK CROSSBITE(MASA GIGI DESIDUI, BERCAMPUR, PERMANEN) Perawatan Crossbite Anterior pada masa pra-remaja  Tongue Blade  Catlan’s appliance atau Lower Anterior Inclined Plane  Removable Orthodontics Appliances, seperti: 1) Alat Ortho Lepasan dengan Double cantilever spring atau “Z” spring 2) Alat Ortho Lepasan dengan Expansion Screw  Orthopedic Appliances, seperti: 1) Face mask serta dengan RME(Rapid Maxillary Expansion) 2) Chin cup appliance  Myofunctional Appliance, seperti: 1) Frankel III appliance
  • 29.
    Perawatan Crossbite Anteriorpada Remaja & Dewasa  Removable orthodontic appliances, seperti: 1) Removable orthodontic appliances dengan expansion screw (mini expansion screw or medium expansion screw)  Fixed orthodontic appliances
  • 30.
    Tongue Blade Digunakan untukperawatan terhadap crossbite anterior, dengan meletakkan tongue blade dari kayu tsb di belakang gigi yang alami crossbite pada sudut sekitar 60 derajat terhadap occlusal plane. Pasien tersebut harus memberikan tekanan dengan menggigit Tongue Blade tsb menggunakan gigi pada mandibular sebagai fulcrum(titik tumpu) dalam waktu 5-10 menit. Dalam sehari sebaiknya digunakan selama total 1-2 jam. Dalam 10-14 hari biasanya sudah terlihat crossbite yang berkurang. Catlan’s Appliance atau Lower Anterior Inclined Plane Digunakan untuk memberikan ruang yang cukup pada lengkung untuk penyelarasan gigi maksila yang alami crossbite dan untuk crossbite pada gigi Insisivus maksila yang mengarah ke palatum. Alat ini terbuat dari resin akrilik atau logam cor yang disemen ke gigi Insisivus mandibular yang didesain sedemikian rupa membentuk sudut 45 derajat terhadap Maksila Occlusal Plane.
  • 31.
    Removable Orthodontics Appliances(Alat Ortho Lepasan), seperti: 1) Alat Ortho Lepasan dengan Double cantilever spring atau “Z” spring Digunakan untuk anterior crossbite pada single tooth atau dua gigi anterior 2) Alat Ortho Lepasan dengan Expansion Screw Digunakan untuk mengkoreksi crossbite pada single tooth atau segmental teeth
  • 32.
    Orthopedic Appliances, seperti: 1)Face mask(Reversed Headgear) serta dengan RME(Rapid Maxillary Expansion) Digunakan untuk perawatan crossbite anterior skeletal selama masa pertumbuhan, sebelum pertumbuhan rahang terhenti. Alat ini membantu protrusi maksila yang mengalami retrusi, sehingga menormalkan kembali struktur skeletal. 1) Chin cup appliance Digunakan untuk menngarahkan kembali pertumbuhan dari mandibular untuk cegah atau memperbaiki crossbite anterior karena pertumbuhan mandibular yang terlalu cepat. Alat ini cenderung merotasikan mandibular ke arah posterior dan inferior.
  • 33.
    Myofunctional Appliance, seperti: 1)Frankel III appliance Untuk memperbaiki perkembangan Kelas III dari tulang rahang dalam hubungannya dengan Crossbite anterior
  • 34.
    Removable orthodontic appliances,seperti: 1) Removable orthodontic appliances dengan expansion screw (mini expansion screw or medium expansion screw) Mini Expansion screw digunakan untuk memperbaiki crossbite anterior yang melibatkan 1-2 gigi, sedangkan Medium Expansion Screw digunakan untuk memperbaiki crossbite anterior yang melibatkan 4-6 gigi
  • 35.
    Fixed orthodontic appliances Untukmemperbaiki crossbite anterior yang melibatkan single tooth atau segmental teeth
  • 36.
    AYAT / HADISTTERKAIT At-Tin ayat 4: