Clinical case I
Chief complaint
• 34 year old male known C13 claims
  compliance to medication presented to ER
  with c/c/o One episode of fits this morning
HPI
• One of his family member witnesses the
  episode and stated it as “ Jerky movements of
  all four limbs and patient was confused for
  one hour after the episode . Denies any
  sphincter incontinence”.
• Patient was also complaining of diffuse
  headache.
• Denies any neck stiffness/ vomitings.
Past medical history
• Diagnosed with C13 5 years ago
• From a different parish hospital.
• Patient is on ZIDOLAM-N ,BACTRIM
  DS,Vitamin B pills.

• AH: No known drug allergies
• SH: Not a smoker .but a social drinker.
Examination
• Patient is in nil CPD
• M/M: Pink, moist, anicteric, acyanotic,afebrile.
• Neuro: Drowsy ,arousable
          alert,orient*3
          Pupils- NSRL . CN II-XII - Intact
          Power 5/5 in all extremities
          Plantars- flexor
          Cerebellar – Normal exam
Examination
•   Cardiac: s1 s2 + Mo JVP<-> No pedal edema
•   Respiratory- Unremarkable
•   Abdominal : Soft ,nontender,no organomegaly
•   Vitals:
       BP: 134/80 mmhg
       PR:70 bpm
       RR: 20 /min
Provisional diagnosis
• Patient was admitted to hospital with
  following provisional diagnosis in view of his
  C13 status

• GTCS for evaluation
   Toxoplasmosis
   Cns lymphoma
Investigations


•   Blood work up
•   Imaging
•   CXR
•   Urinalysis
Blood work up
• Hb: 11.0
• PCV:0.44
• WBC: 3.6 (44% poly,37%lymp,10%mono
  ,8%Eosino)
• Platelets- 357
• U&E,LFT- WNL
CT Brain contast


• Two ring enhancing lesions highly suggestive
  of toxoplasmosis
Management
•   Sulfadiazine 1 gram Q 6 hrly
•   Pyrimethamine 75 mg OD
•   Leucovorin 10 mg OD
•   Dilantin 300 mg noct
•   ZIDOLAM -N BD
Management
• Patient was treated for 2 weeks as inpatient
  and advised to do repeat CT scan to see the
  lesions
• Due to financial constraints we were not able
  to repeat the study.
• Eventually patient was discharged on oral
  medication for 4 weeks
Follow up
• Patient was advised to come for ward review
  in 4 weeks
• Patient was never compliant to his medication
  as an out patient and admitted twice in next 6
  months with recurrent seizure episode.
• No repeat CT scan was done all the while.
Challenges in management
• Few medications were available that too for
  limited time periods
• Not able to trace his CD 4 count through out
  the clinical encounter as patient is from
  different parish region
• Failed in counseling the patient regarding
  adherence to medication
Toxoplasma
Toxoplasma
• The word Toxoplasma originated from the Greek word toxon,
  which meant "bow." This became the basis for the Latin word
  toxicum, which meant "poison." The original Greek meaning is
  the one used for the word Toxoplasma, meaning "bow shaped
  organism.

• The word gondii is the name of a North African desert rodent
  which is related to the organism that T. gondii was originally
  found in.
Toxoplasmosis
• Toxoplasmosis is the leading cause of focal central
  nervous system (CNS) disease in AIDS.

• CNS toxoplasmosis in HIV-infected patients is usually
  a complication of the late phase of the disease.

• Typically, lesions are found in the brain and their
  effects dominate the clinical presentation.
Toxoplasmosis

• Rarely, intraspinal lesions need to be considered
  in the differential diagnosis of myelopathy.


• The decision to treat a patient for CNS
  toxoplasmosis is usually empiric. Primary therapy
  is followed by long-term suppressive therapy,
  which is continued until antiretroviral therapy can
  raise CD4+ counts above 200 cells/µL.
Life cycle
• The only known definitive hosts for Toxoplasma gondii are members
  of family Felidae (domestic cats and their relatives).

• Unsporulated oocysts are shed in the cat’s feces . Although oocysts
  are usually only shed for 1-2 weeks, large numbers may be shed.
  Oocysts take 1-5 days to sporulate in the environment and become
  infective. Intermediate hosts in nature (including birds and rodents)
  become infected after ingesting soil, water or plant material
  contaminated with oocysts .
• Oocysts transform into tachyzoites shortly after ingestion. These
  tachyzoites localize in neural and muscle tissue and develop into
  tissue cyst bradyzoites .

•    Cats become infected after consuming intermediate hosts
    harboring tissue cysts . Cats may also become infected directly by
    ingestion of sporulated oocysts. Animals bred for human
    consumption and wild game may also become infected with tissue
    cysts after ingestion of sporulated oocysts in the environment .
Humans can become infected by any of several routes:


• Eating undercooked meat of animals harboring tissue cysts .
• Consuming food or water contaminated with cat feces or by
  contaminated environmental samples (such as fecal-contaminated
  soil or changing the litter box of a pet cat) .
• Blood transfusion or organ transplantation .
• Transplacentally from mother to fetus .
• In the human host, the parasites form tissue cysts, most commonly
  in skeletal muscle, myocardium, brain, and eyes; these cysts may
  remain throughout the life of the host. Diagnosis is usually achieved
  by serology, although tissue cysts may be observed in stained
  biopsy specimens .
• Diagnosis of congenital infections can be achieved by detecting T.
  gondii DNA in amniotic fluid using molecular methods such as PCR .
Pathophysiology
• CNS toxoplasmosis results from infection by the
  intracellular parasite Toxoplasma gondii.

• It is almost always due to reactivation of old CNS lesions or
  to hematogenous spread of a previously acquired infection.

• Occasionally, it results from primary infection.

• CNS disease occurs during advanced HIV infection when
  CD4+ counts are less than 200 cells/µL. The greatest risk is
  in patients with CD4+ counts below 50 cells/µL.
Epidemiology
• Clinical CNS toxoplasmosis occurs in 3-15% of patients with
  AIDS in the United States. Some clinically silent lesions
  come to diagnosis only at autopsy. Clinical CNS
  toxoplasmosis occurs in as many as 50-75% of patients in
  some European countries and in Africa.


• In 5% of patients, CNS toxoplasmosis is the presenting
  opportunistic infection of AIDS. The incidence rate has
  decreased due to the use of highly active antiretroviral
  therapy (HAART) and prophylaxis against Pneumocystis
  jiroveci infections with trimethoprim-sulfamethoxazole,
  which is also effective against toxoplasmosis.
Clinical Presentation

• CNS toxoplasmosis begins with constitutional
  symptoms and headache. Later, confusion and
  drowsiness, seizures, focal weakness, and language
  disturbance develop. Without treatment, patients
  progress to coma in days to weeks.

• On physical examination, personality and mental status
  changes may be observed. Seizures, hemiparesis,
  hemianopia, aphasia, ataxia, and cranial nerve palsies
  may be evident. Occasionally, symptoms and signs of a
  radiculomyelopathy predominate.
Differential Diagnosis

• CNS Lymphoma in HIV
• Mycobacterial infection (eg, tuberculous abscess,
  tuberculoma)
• Fungal infection (eg, cryptococcosis, candidiasis)
• Chagas disease
• Bacterial abscess (eg, Nocardia)
• Neurosyphilis
• Cardioembolic Stroke
• Cytomegalovirus Encephalitis in HIV
• Progressive Polyradiculopathy in HIV
• Vacuolar Myelopathy in HIV
• Progressive Multifocal Leukoencephalopathy
Serologic studies
• Serologic studies in patients with CNS toxoplasmosis may
  demonstrate rising titers of anti-toxoplasma
  immunoglobulin G (IgG) antibodies. An immunoglobulin M
  (IgM) antibody response is seen in cases of newly acquired
  toxoplasmosis or Toxoplasma encephalitis.

• However, anti-Toxoplasmagondii IgG detection may be
  unreliable in immunodeficient individuals who fail to
  produce significant titers of specific antibodies. In one
  study, 16% of patients with a clinical diagnosis and 22% of
  patients with a histologic diagnosis of toxoplasmosis had
  undetectable anti-T gondii IgG levels. Causes of false-
  negative results also include recent infection and
  insensitive assays
Definitive diagnosis
• Definitive diagnosis of CNS toxoplasmosis requires the following[1] :
• Compatible clinical findings
• Identification of one or more mass lesions by CT, MRI, or other
  radiographic testing
• Detection of T gondii in a clinical sample
• Detection of T gondii DNA on polymerase chain reaction (PCR)
  testing of cerebrospinal fluid (CSF) samples may facilitate the
  diagnosis and follow-up of toxoplasmosis in patients with AIDS.[2] In
  a study using the B1 gene, rapid PCR showed a sensitivity of 83.3%
  and specificity of 95.7%.[3]
• CSF findings may also include elevated protein and variable glucose
  and WBC counts. The presence of Epstein-Barr virus DNA in the CSF
  favors the diagnosis of lymphoma.
• Lumbar puncture may be contraindicated because of increased
  intracranial pressure, however. For many clinicians, therefore, CNS
  toxoplasmosis is an empiric diagnosis that relies on clinical and
  radiographic improvement in response to specific anti-T gondii
  therapy. In patients who fail to respond to specific therapy, brain
  biopsy can be used to secure a clinical sample for testing.[1
Imaging
• A brain CT scan or MRI with and without contrast is
  indicated for all patients presenting with altered
  mental status, headaches, seizures, or focal neurologic
  signs. MRI clearly is the superior technique but is not
  available universally.
• Single or multiple hypodense or hypointense lesions in
  white matter and basal ganglia with mass effects may
  be observed on CT or MRI scans. Lesions may enhance
  in a homogeneous or ring pattern with contrast (see
  the images below). Imaging studies may be normal in
  diffuse toxoplasmosis.
T1-weighted axial brain magnetic resonance image at
the level of the basal ganglia in a 24-year-old man with
human immunodeficiency virus infection. The image
shows hypointense lesions in the region of the thalami
(arrows) caused by toxoplasmosis
T1-weighted axial brain magnetic resonance image at the
level of the upper lateral ventricles in a 24-year-old man
with human immunodeficiency virus infection (same
patient as in the previous image). The image shows a
hypointense mass compressing the right lateral ventricle
(arrow)
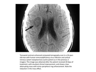
Transaxial contrast-enhanced computed tomography scan in a 24-year-
old man with human immunodeficiency virus infection and central
nervous system toxoplasmosis (same patient as in the previous 2
images). This image was obtained after the patient received 20 days of
treatment, with resultant clinical improvement, and shows a low-
attenuating mass with minor peripheral ring enhancement. Note the
reduction in the mass effect.
Immunohistochemical or immunofluorescent techniques
can detect the Toxoplasma gondii parasite.
Imaging
• Single lesions favor the diagnosis of
  lymphoma over that of toxoplasmosis.
  However, while multiple lesions are more
  common than single lesions in toxoplasmosis,
  in one study 27% of patients had a single
  lesion on CT scan. In the same study, 14% had
  a single lesion on MRI. MRI is more sensitive
  than CT scan in detecting multiple lesions.
Imaging
• If the initial imaging study is normal or shows atrophy
  or focal signal abnormalities (but no mass lesion),
  diagnostic consideration should be given to
  meningitides, AIDS dementia complex, or progressive
  multifocal leukoencephalopathy.


• If imaging shows one or more focal mass lesions with
  impending herniation, an open biopsy with
  decompression is indicated. Treatment for lymphoma,
  toxoplasmosis, or other opportunistic infections and
  neoplasms is initiated, depending on biopsy results.
Scintigraphy
• Where available, thallium-201 single-photon
  emission computed tomography (201 TI SPECT) or 18-
  fluorodeoxyglucose positron emission tomography
  (18FDG-PET) may be useful in distinguishing between
  lymphoma and toxoplasmosis. Lymphoma shows an
  increased uptake as compared with toxoplasmosis.
  These tests have high specificity but low sensitivity.
Brain Biopsy

Indications for brain biopsy include either of
  the following:
• Single mass lesion and negative serologic
  results
• No response to 14 days of empiric therapy
• Diagnostic yield of stereotactic biopsies
  increases with the number of specimens
  obtained.
Toxoplasma gondii abscesses are seen on this
brain slice.
Congenital toxoplasmosis

•   Anemia               •   Intracranial calcifications†
                         •   Jaundice
•   Chorioretinitis†     •   Learning disabilities
•   Convulsions          •   Lymphadenopathy
•   Deafness             •   Maculopapular rash
                         •   Mental retardation
•   Fever
                         •   Microcephaly
•   Growth retardation   •   Spasticity and palsies
•   Hepatomegaly         •   Splenomegaly
•   Hydrocephalus†       •   Thrombocytopenia
                         •   Visual impairment
Treatment
• Primary therapy is given for 6 weeks, followed by
  long-term suppressive therapy at reduced doses,
  with the duration determined by response to highly
  active antiretroviral therapy (HAART). The long-term
  suppressive therapy can be discontinued in patients
  with persistent elevation of CD4+ counts greater than
  200 cells/µL and resolution of lesions on MRI.
Prevention

• To prevent primary toxoplasmosis, patients should
  avoid eating undercooked meat and should wash their
  hands carefully after contact with soil or cats. Patients
  who are seropositive for Toxoplasma should be started
  on prophylaxis against CNS toxoplasmosis if their CD4+
  count drops below 100 cells/μL.[1]


• The preferred prophylactic regimen is one double-
  strength tablet of trimethoprim-sulfamethoxazole
  (TMP-SMZ) daily, which also provides prophylaxis
  against Pneumocystis jiroveci pneumonia (PCP).[1]

Toxoplasmosis

  • 1.
  • 2.
    Chief complaint • 34year old male known C13 claims compliance to medication presented to ER with c/c/o One episode of fits this morning
  • 3.
    HPI • One ofhis family member witnesses the episode and stated it as “ Jerky movements of all four limbs and patient was confused for one hour after the episode . Denies any sphincter incontinence”. • Patient was also complaining of diffuse headache. • Denies any neck stiffness/ vomitings.
  • 4.
    Past medical history •Diagnosed with C13 5 years ago • From a different parish hospital. • Patient is on ZIDOLAM-N ,BACTRIM DS,Vitamin B pills. • AH: No known drug allergies • SH: Not a smoker .but a social drinker.
  • 5.
    Examination • Patient isin nil CPD • M/M: Pink, moist, anicteric, acyanotic,afebrile. • Neuro: Drowsy ,arousable alert,orient*3 Pupils- NSRL . CN II-XII - Intact Power 5/5 in all extremities Plantars- flexor Cerebellar – Normal exam
  • 6.
    Examination • Cardiac: s1 s2 + Mo JVP<-> No pedal edema • Respiratory- Unremarkable • Abdominal : Soft ,nontender,no organomegaly • Vitals: BP: 134/80 mmhg PR:70 bpm RR: 20 /min
  • 7.
    Provisional diagnosis • Patientwas admitted to hospital with following provisional diagnosis in view of his C13 status • GTCS for evaluation Toxoplasmosis Cns lymphoma
  • 8.
    Investigations • Blood work up • Imaging • CXR • Urinalysis
  • 9.
    Blood work up •Hb: 11.0 • PCV:0.44 • WBC: 3.6 (44% poly,37%lymp,10%mono ,8%Eosino) • Platelets- 357 • U&E,LFT- WNL
  • 10.
    CT Brain contast •Two ring enhancing lesions highly suggestive of toxoplasmosis
  • 11.
    Management • Sulfadiazine 1 gram Q 6 hrly • Pyrimethamine 75 mg OD • Leucovorin 10 mg OD • Dilantin 300 mg noct • ZIDOLAM -N BD
  • 12.
    Management • Patient wastreated for 2 weeks as inpatient and advised to do repeat CT scan to see the lesions • Due to financial constraints we were not able to repeat the study. • Eventually patient was discharged on oral medication for 4 weeks
  • 13.
    Follow up • Patientwas advised to come for ward review in 4 weeks • Patient was never compliant to his medication as an out patient and admitted twice in next 6 months with recurrent seizure episode. • No repeat CT scan was done all the while.
  • 14.
    Challenges in management •Few medications were available that too for limited time periods • Not able to trace his CD 4 count through out the clinical encounter as patient is from different parish region • Failed in counseling the patient regarding adherence to medication
  • 15.
  • 16.
    Toxoplasma • The wordToxoplasma originated from the Greek word toxon, which meant "bow." This became the basis for the Latin word toxicum, which meant "poison." The original Greek meaning is the one used for the word Toxoplasma, meaning "bow shaped organism. • The word gondii is the name of a North African desert rodent which is related to the organism that T. gondii was originally found in.
  • 17.
    Toxoplasmosis • Toxoplasmosis isthe leading cause of focal central nervous system (CNS) disease in AIDS. • CNS toxoplasmosis in HIV-infected patients is usually a complication of the late phase of the disease. • Typically, lesions are found in the brain and their effects dominate the clinical presentation.
  • 18.
    Toxoplasmosis • Rarely, intraspinallesions need to be considered in the differential diagnosis of myelopathy. • The decision to treat a patient for CNS toxoplasmosis is usually empiric. Primary therapy is followed by long-term suppressive therapy, which is continued until antiretroviral therapy can raise CD4+ counts above 200 cells/µL.
  • 19.
  • 21.
    • The onlyknown definitive hosts for Toxoplasma gondii are members of family Felidae (domestic cats and their relatives). • Unsporulated oocysts are shed in the cat’s feces . Although oocysts are usually only shed for 1-2 weeks, large numbers may be shed. Oocysts take 1-5 days to sporulate in the environment and become infective. Intermediate hosts in nature (including birds and rodents) become infected after ingesting soil, water or plant material contaminated with oocysts . • Oocysts transform into tachyzoites shortly after ingestion. These tachyzoites localize in neural and muscle tissue and develop into tissue cyst bradyzoites . • Cats become infected after consuming intermediate hosts harboring tissue cysts . Cats may also become infected directly by ingestion of sporulated oocysts. Animals bred for human consumption and wild game may also become infected with tissue cysts after ingestion of sporulated oocysts in the environment .
  • 22.
    Humans can becomeinfected by any of several routes: • Eating undercooked meat of animals harboring tissue cysts . • Consuming food or water contaminated with cat feces or by contaminated environmental samples (such as fecal-contaminated soil or changing the litter box of a pet cat) . • Blood transfusion or organ transplantation . • Transplacentally from mother to fetus . • In the human host, the parasites form tissue cysts, most commonly in skeletal muscle, myocardium, brain, and eyes; these cysts may remain throughout the life of the host. Diagnosis is usually achieved by serology, although tissue cysts may be observed in stained biopsy specimens . • Diagnosis of congenital infections can be achieved by detecting T. gondii DNA in amniotic fluid using molecular methods such as PCR .
  • 23.
    Pathophysiology • CNS toxoplasmosisresults from infection by the intracellular parasite Toxoplasma gondii. • It is almost always due to reactivation of old CNS lesions or to hematogenous spread of a previously acquired infection. • Occasionally, it results from primary infection. • CNS disease occurs during advanced HIV infection when CD4+ counts are less than 200 cells/µL. The greatest risk is in patients with CD4+ counts below 50 cells/µL.
  • 24.
    Epidemiology • Clinical CNStoxoplasmosis occurs in 3-15% of patients with AIDS in the United States. Some clinically silent lesions come to diagnosis only at autopsy. Clinical CNS toxoplasmosis occurs in as many as 50-75% of patients in some European countries and in Africa. • In 5% of patients, CNS toxoplasmosis is the presenting opportunistic infection of AIDS. The incidence rate has decreased due to the use of highly active antiretroviral therapy (HAART) and prophylaxis against Pneumocystis jiroveci infections with trimethoprim-sulfamethoxazole, which is also effective against toxoplasmosis.
  • 25.
    Clinical Presentation • CNStoxoplasmosis begins with constitutional symptoms and headache. Later, confusion and drowsiness, seizures, focal weakness, and language disturbance develop. Without treatment, patients progress to coma in days to weeks. • On physical examination, personality and mental status changes may be observed. Seizures, hemiparesis, hemianopia, aphasia, ataxia, and cranial nerve palsies may be evident. Occasionally, symptoms and signs of a radiculomyelopathy predominate.
  • 26.
    Differential Diagnosis • CNSLymphoma in HIV • Mycobacterial infection (eg, tuberculous abscess, tuberculoma) • Fungal infection (eg, cryptococcosis, candidiasis) • Chagas disease • Bacterial abscess (eg, Nocardia) • Neurosyphilis • Cardioembolic Stroke • Cytomegalovirus Encephalitis in HIV • Progressive Polyradiculopathy in HIV • Vacuolar Myelopathy in HIV • Progressive Multifocal Leukoencephalopathy
  • 27.
    Serologic studies • Serologicstudies in patients with CNS toxoplasmosis may demonstrate rising titers of anti-toxoplasma immunoglobulin G (IgG) antibodies. An immunoglobulin M (IgM) antibody response is seen in cases of newly acquired toxoplasmosis or Toxoplasma encephalitis. • However, anti-Toxoplasmagondii IgG detection may be unreliable in immunodeficient individuals who fail to produce significant titers of specific antibodies. In one study, 16% of patients with a clinical diagnosis and 22% of patients with a histologic diagnosis of toxoplasmosis had undetectable anti-T gondii IgG levels. Causes of false- negative results also include recent infection and insensitive assays
  • 28.
    Definitive diagnosis • Definitivediagnosis of CNS toxoplasmosis requires the following[1] : • Compatible clinical findings • Identification of one or more mass lesions by CT, MRI, or other radiographic testing • Detection of T gondii in a clinical sample • Detection of T gondii DNA on polymerase chain reaction (PCR) testing of cerebrospinal fluid (CSF) samples may facilitate the diagnosis and follow-up of toxoplasmosis in patients with AIDS.[2] In a study using the B1 gene, rapid PCR showed a sensitivity of 83.3% and specificity of 95.7%.[3] • CSF findings may also include elevated protein and variable glucose and WBC counts. The presence of Epstein-Barr virus DNA in the CSF favors the diagnosis of lymphoma. • Lumbar puncture may be contraindicated because of increased intracranial pressure, however. For many clinicians, therefore, CNS toxoplasmosis is an empiric diagnosis that relies on clinical and radiographic improvement in response to specific anti-T gondii therapy. In patients who fail to respond to specific therapy, brain biopsy can be used to secure a clinical sample for testing.[1
  • 29.
    Imaging • A brainCT scan or MRI with and without contrast is indicated for all patients presenting with altered mental status, headaches, seizures, or focal neurologic signs. MRI clearly is the superior technique but is not available universally. • Single or multiple hypodense or hypointense lesions in white matter and basal ganglia with mass effects may be observed on CT or MRI scans. Lesions may enhance in a homogeneous or ring pattern with contrast (see the images below). Imaging studies may be normal in diffuse toxoplasmosis.
  • 30.
    T1-weighted axial brainmagnetic resonance image at the level of the basal ganglia in a 24-year-old man with human immunodeficiency virus infection. The image shows hypointense lesions in the region of the thalami (arrows) caused by toxoplasmosis
  • 31.
    T1-weighted axial brainmagnetic resonance image at the level of the upper lateral ventricles in a 24-year-old man with human immunodeficiency virus infection (same patient as in the previous image). The image shows a hypointense mass compressing the right lateral ventricle (arrow)
  • 32.
    Transaxial contrast-enhanced computedtomography scan in a 24-year- old man with human immunodeficiency virus infection and central nervous system toxoplasmosis (same patient as in the previous 2 images). This image was obtained after the patient received 20 days of treatment, with resultant clinical improvement, and shows a low- attenuating mass with minor peripheral ring enhancement. Note the reduction in the mass effect.
  • 33.
    Immunohistochemical or immunofluorescenttechniques can detect the Toxoplasma gondii parasite.
  • 34.
    Imaging • Single lesionsfavor the diagnosis of lymphoma over that of toxoplasmosis. However, while multiple lesions are more common than single lesions in toxoplasmosis, in one study 27% of patients had a single lesion on CT scan. In the same study, 14% had a single lesion on MRI. MRI is more sensitive than CT scan in detecting multiple lesions.
  • 35.
    Imaging • If theinitial imaging study is normal or shows atrophy or focal signal abnormalities (but no mass lesion), diagnostic consideration should be given to meningitides, AIDS dementia complex, or progressive multifocal leukoencephalopathy. • If imaging shows one or more focal mass lesions with impending herniation, an open biopsy with decompression is indicated. Treatment for lymphoma, toxoplasmosis, or other opportunistic infections and neoplasms is initiated, depending on biopsy results.
  • 36.
    Scintigraphy • Where available,thallium-201 single-photon emission computed tomography (201 TI SPECT) or 18- fluorodeoxyglucose positron emission tomography (18FDG-PET) may be useful in distinguishing between lymphoma and toxoplasmosis. Lymphoma shows an increased uptake as compared with toxoplasmosis. These tests have high specificity but low sensitivity.
  • 37.
    Brain Biopsy Indications forbrain biopsy include either of the following: • Single mass lesion and negative serologic results • No response to 14 days of empiric therapy • Diagnostic yield of stereotactic biopsies increases with the number of specimens obtained.
  • 38.
    Toxoplasma gondii abscessesare seen on this brain slice.
  • 39.
    Congenital toxoplasmosis • Anemia • Intracranial calcifications† • Jaundice • Chorioretinitis† • Learning disabilities • Convulsions • Lymphadenopathy • Deafness • Maculopapular rash • Mental retardation • Fever • Microcephaly • Growth retardation • Spasticity and palsies • Hepatomegaly • Splenomegaly • Hydrocephalus† • Thrombocytopenia • Visual impairment
  • 41.
    Treatment • Primary therapyis given for 6 weeks, followed by long-term suppressive therapy at reduced doses, with the duration determined by response to highly active antiretroviral therapy (HAART). The long-term suppressive therapy can be discontinued in patients with persistent elevation of CD4+ counts greater than 200 cells/µL and resolution of lesions on MRI.
  • 42.
    Prevention • To preventprimary toxoplasmosis, patients should avoid eating undercooked meat and should wash their hands carefully after contact with soil or cats. Patients who are seropositive for Toxoplasma should be started on prophylaxis against CNS toxoplasmosis if their CD4+ count drops below 100 cells/μL.[1] • The preferred prophylactic regimen is one double- strength tablet of trimethoprim-sulfamethoxazole (TMP-SMZ) daily, which also provides prophylaxis against Pneumocystis jiroveci pneumonia (PCP).[1]