CONTENTS
• Introduction
• Terminology and definitions
• Why teeth get impacted?
• Indications and contraindications
• Development of mandibular third molar
• Classifications of impacted mandibular
third molar teeth
• Radiographical investigation
CONTENTS
• Surgical anatomy
• Instrument tray setup
• Operative procedure of Impacted Lower
Third Molar
• Surgical Removal of Impacted Maxillary
Third Molar
• Postoperative Care and Instructions
CONTENTS
• Drug Therapy
• Complications of Impaction Surgery
• Ectopic Teeth and Unusual Cases
• Recent Advances and the Future of Third
Molars
Introduction
• Although the scope of oral and maxillofacial surgery
has expanded in many directions recently, the
mainstay of practice remains dentoalveolar surgery.
• The atraumatic removal of impacted teeth is one of
the most commonly performed surgical procedures
in the specialty of oral and maxillofacial surgery.
• Berge T.I and Gilhuus-Moe O.T (1993) showed that
there is a four fold increase in the incidence of
complications when the surgery was performed by
the general practitioner as compared that
performed by the oral surgeon.
• This difference in complication rates may be
attributed to inadequate surgical training and lack of
experience of the former.
• A thorough theoretical knowledge and
adequate clinical training is essential to
perform the surgery successfully.
Definitions
• The term impaction is derived from Latin word
'impactus’.
• Impactus means, “An organ or structure which
because of an abnormal mechanical condition
has been prevented from assuming its normal
position.”
Mead (1954 ) An impacted tooth as a tooth that is
prevented from erupting into position
because of malposition, lack of space,
or other impediments.
Rounds (1962) A precise definition of impaction as
the condition in which a tooth is
embedded in the alveolus so that its
further eruption is prevented.
Definitions
Archer (1975) A tooth which is completely or
partially unerupted and is
positioned against another tooth,
bone or soft tissue so that its further
eruption is unlikely, described
according to its anatomic position.
Andreasen et al
(1997)
A cessation of the eruption of a tooth
caused by a clinically or radiographically
detectable physical barrier in the eruption
path or by an ectopic position of the tooth.
WHO (2007) An impacted teeth is any tooth that is
prevented from reaching its normal
position in the mouth by tissue, bone or
another tooth.
Terminology
Why teeth get impacted?
The third molars or the wisdom teeth normally
erupt last, between 18 and 25 years of age.
John hunter (1771) is one of the early authors
who noted “want of room in the jaws for these
late teeth” and he also suggested as a cause that
“the jaws had left off growing”.
A number of theories has been put forward to
explain the incident of impaction. The most
commonly accepted ones are the following:
– Phylogenic theory (Nodine 1943)
– Mendelian theory
– Orthodontic theory(Durbeck 1881)
– Endocrinal theory
– Anthropological theory (Mac Gregor 1985)
1) Phylogenic theory (Nodine):-
 This theory motivated from Lamarck’s disuse theory.
 According to his theory if the particular body part is
not used it will disappeared.
 Due to changing nutritional habits of our civilization,
use of large powerful jaws have been practically
eliminated.
 Thus, over centuries the mandible and maxilla
decreased in size leaving insufficient room for third
molars.
Small Jaws
And Large
Teeth
Small Jaws And
Small Teeth
Large Jaws And
Large Teeth
Large Jaws
And Small
Teeth
Small Jaws
And Small
Teeth
Large Jaws
And Large
Teeth
2) Mendelian theory :
3) Orthodontic theory:-
Growth of the jaw
Movement of teeth
Forward direction
Acute infections,
Fever,
Severe trauma
Retardation of forward
growth
Normally
4) Endocrinal theory:
Increase or decrease in growth hormone
secretion may affect the size of the jaws.
5) Anthropological theory (Mac Gregor 1985)
According to this theory human beings alone underwent
a period of evolution in which the brain greatly
expanded in size and the jaw had to become narrower.
 Mandibular 3rd molars
 Maxillary 3rd molars
 Maxillary cuspid
 Mandibular bicuspids
 Maxillary bicuspids
 Mandibular canine
 Maxillary central and lateral incisors
FREQUENCY OF IMPACTION
Causes
In 1930 Berger lists the causes of impaction:
Local causes
Systemic causes
Local Causes
1. Irregularity in the position and pressure of an
adjacent tooth.
2. The density of the overlying or surrounding bone.
3. Long continued chronic inflammation with increase
in density of the overlying mucous membrane.
4. Lack of space due to under developed jaws.
5. Unduly long retention of the primary tooth.
6. Premature loss of primary tooth.
7. Acquired diseases such as necrosis due to infection or
abscess
Systemic Causes
i. Prenatal causes
ii. Post natal causes
iii. Rare conditions
I. Prenatal causes: • Hereditary
• Miscegenation
II. Post natal causes : • Rickets
• Anemia
• Congenital Syphilis
• Tuberculosis
• Endocrine Dysfunction
• Malnutrition.
III. Rare conditions: • Cleidocranial dysplasia
• Oxycephaly
• Progeria
• Achondroplasia
• Cleft palate.
Indications
• There are two types of indications for removing
impacted teeth
I. Therapeutic indications
II. Prophylactic indication
Therapeutic indications
• Recurrent or severe pericoronitis.
• Periodontal disease with a pocket depth of 5 mm or
more distal to the second molar.
• Non-restorable caries in the third molar.
• Resorption of the third molar or adjacent tooth.
• Apical periodontitis.
• Cysts or tumors associated with the third molar (or
adjacent tooth).
• When required for orthognatic surgery.
• Removal of third molar in a fracture line.
Prophylactic indication
• Prophylactic removal of a non-erupted tooth is by
definition a surgical intervention to prevent future
disease.
• This practice is often referred to as “removal of
asymptomatic third molars”. It is important to define
this subject more precisely.
Prophylactic indications for medically
needful
• Prior to radiation therapy for head and neck
malignancies;
• Prior to organ transplantation;
• Chemotherapy;
• Bisphosphonate therapy.
Prophylactic indication for surgical
reasons-
• The presence of a third molar in a fracture line.
• Prior to orthognatic surgery.
• When a third molar may be considered for
autogenous transplantation, usually to a first molar
region.
• When the third molar region is involved in tumor
• Resection or jaw reconstruction surgery.
NICE Guidelines for the Removal of
Wisdom Teeth
(1) The routine practice of prophylactic removal of
pathology-free impacted third molars should be
discontinued in the National Health Service.
(2) Surgical removal of impacted third molars should be
limited to those with evidence of pathology, such as
the following:
a.Unrestorable caries
b.Fracture of tooth
c.Non-treatable pulpal and/or periapical pathology
d. Pathology of follicle including cyst/tumour
e. Cellulitis or abscess formation
f. Osteomyelitis
g. Tooth/teeth impeding surgery, e.g. reconstructive
jaw surgery, preprosthetic/implant surgery,
orthognathic surgery.
(3) Specific attention is drawn to plaque formation and
pericoronitis. Plaque formation is a risk factor but is
not itself an indication for surgery. The degree to
which the severity of recurrence rate of pericoronitis
should influence the decision for surgical removal of a
third molar remains unclear.
• The evidence suggests that a first episode of
pericoronitis, unless particularly severe, should not be
considered an indication for surgery.
• Second or subsequent episodes should be considered
as an appropriate indication for surgery.
Contraindications
•Extremes of Age
•Surgical Damage to adjacent Structures
•Compromised Medical Status
•Prosthetic considerations
•Socioeconomic reasons
Mandibular 3rd molar
Development of mandibular third
molar
 Third molars are the only teeth that develop
entirely after birth.
The stages of the development and eruption of mandibular
third molar according to the years :
Tooth germ visible 9 yrs
Cusp mineralization 11 yrs
Crown formation 14 yrs
Roots formed (apex open) 18 yrs
Eruption 18-24 yrs
Classifications
• George Winter’s classification (1926)
• Pell & Gregory’s classification (1933)
• Killey & Kay’s classification (1979)
• Combined ADA & AAOMS classification of
procedural terminology
George Winter’s classification (1926)
Based on the relationship of the long axis of the
impacted tooth in relation to the long axis of
the 2nd molar
i. Mesioangular
ii. Vertical
iii. Horizontal
iv. Distoangular
v. Buccoangular
vi. Linguoangular
vii. Transverse
viii. Inverted
WINTER’S SUB CLASSES
• The angle between the occlusal plane or line
parallel to it and the longitudinal axis of the
impacted third molar, in turn, allowed objective
classification of the third molars within the
Winter subclasses as follows
Third molars with
negative angles
(-0°)
Inverted
Third molars with an
angle between 0° to
30°
Horizontal
Third molars with an
angle between 31°
to 60°
Mesioangular
Third molars with
an angle between
61° to 90°
Vertical
Third molars with
an angle (-90°)
Distoangular
Pell & Gregory’s classification (1933)
• Analysis of the potential anatomic problems
involved preparatory to the removal of lower
3rd molar
1. Relation of the tooth to the ramus of the
mandible
2. Relative depth of the third molar in bone
Relation of the tooth to the ramus of the mandible
 Class I
Relative depth of the third molar in bone
I. Position A
II. Position B
III. Position C
Relation of the tooth to the ramus of the mandible
 Class II
Relative depth of the third molar in bone
I. Position A
II. Position B
III. Position C
Relation of the tooth to the ramus of the mandible
 Class III
Relative depth of the third molar in bone
I. Position A
II. Position B
III. Position C
3. The position of the tooth in relation to the
long axis of the second molar
i. Vertical
ii. Horizontal
iii. Inverted
iv. Mesioangular
v. Distoangular
Killey & Kay’s classification (1979)
a) Based on angulation and position: Same as
Winter’s classification
b) Based on the state of eruption:
Completely eruption
Partially erupted
Unerupted
c) Based on roots:
1) Number of roots - Fused roots
Two roots
Multiple roots
2) Root pattern - Surgically favorable
-Surgically unfavorable
Based on clinical and radiographic
interpretation of the tissue overlying the
impacted teeth.
Combined ADA & AAOMS
classification of procedural
terminology
 07220-Soft tissue impaction
 07230-Partial bony impaction
 07240-Complete bony impaction
 07241-Complete bony impaction with unusual
surgical complications
Recent advances in classification
• Quek et al. (2003) classification of impaction
• Operative Classification (2010)
• Classification of impacted mandibular third
molars on cone-beam CT images (2015)
Quek et al. (2003) classification of
impaction
 Vertical impaction (10° to -10°)
 Mesioangular impaction (11° to 79°)
 Horizontal impaction (80° to 100°)
 Distoangular impaction ( -11° to -79°)
 Others (111° to -80°)
Quek et al. (2003) classification of impaction, a system of
measurement , using protector.
Operative Classification of Impacted
Molars (2010)
• The mandibular third molar is classified
according to its position relative to the
mandibular canal using a standard
panoramic x-ray.
• There are 3 major types of third molar
positions.
TMC I Roots of the third molar above the
mandibular canal
TMC IIa Mandibular third molar roots are in
relation to the mandibular canal
TMC IIb More than a third of the molar roots
are in relation to the mandibular
canal
TMC III All third molars roots are localized
below the mandibular canal
TMC I TMC II a
TMC IIITMC IIb
Classification of impacted mandibular
third molars on cone-beam CT images
Maglione M. et al (2015) introduce a new
radiological classification that could be normally used
in clinical practice to assess the relationship between
an impacted third molar and mandibular canal on
cone beam CT (CBCT) images.
Class O: The mandibular
canal is not visible on the
images (plexiform canal).
Class 1: The mandibular canal runs apically or buccally
with respect to the tooth but without touching it (the
cortical limitations of the canal are not interrupted).
1A: The distance IAN and tooth
is greater than 2 mm.
1B: The distance IAN and tooth is
less than 2 mm
Class 2: The mandibular canal runs lingually with
respect to the tooth but without touching it (the
cortical limitations of the canal are not interrupted).
2B: The distance IAN
and tooth is less than 2
mm.
2A: The distance IAN and
tooth is greater than 2
mm.
Class 3: The mandibular canal runs apical or buccal
touching the tooth.
3A: In the point of
contact the
mandibular canal
shows a preserved
diameter.
3B: In the point of
contact the mandibular
canal shows an
interruption of the
corticalization.
Class 4: The mandibular canal runs lingually touching
the tooth.
4A: In the point of
contact the mandibular
canal shows a preserved
diameter.
4B: In the point of
contact the mandibular
canal shows an
interruption of the
corticalization.
Class 5: The mandibular canal runs between the roots
but without touching them
5A: The distance IAN
and tooth is greater
than 2 mm.
5B:The distance IAN and
tooth is less than 2 mm.
Class6: The mandibular canal runs between the roots
touching them.
6A: In the point of
contact the
mandibular canal
shows a preserved
diameter.
6B: In the point of
contact the
mandibular canal
shows an interruption
of the corticalization.
Class 7: The mandibular canal runs between fused roots
Difficulty index
• WHARFE assessment - Macgregor 1985
• Pederson’s scale ,1988
• Parant scale
Criteria Category Score
Winters
Classifications
Horizontal 2
Distoangular 3
Mesioangular 1
Vertical 0
Height of
mandible (mm)
1-30 0
31-34 1
35-39 2
Angulation of 3rd
molar (degrees)
1-59 0
60-69 1
70-79 2
80-89 3
90+ 4
WHARFE’S ASSESSMENT by McGregor 1985
Root shape &
development
Complex 3 (more than 2/3 complete)
Unfavourable curvature 2 (less than1/3 complete)
Favourable curvature 1
Follicles Normal 0
Possibly enlarged 1
Enlarged 2
Impaction relieved 3
Path of exit Space available 0
Distal cusps covered 1
Mesial cusps also
covered
2
Both covered 3
TOTAL 33
Difficulty index for removal of third molar
(PEDERSON’S SCALE, 1988)
ANGULATION/SPATIAL
RELATIONSHIP
Mesioangular 1
Horizontal/Transverse 2
Vertical 3
Distoangular 4
DEPTH
Level A 1
Level B 2
Level C 3
Difficulty index for removal of third molar
(PEDERSON’S SCALE, 1988)
RAMUS RELATIONSHIP
Class I 1
Class II 2
Class III 3
Pederson’s Difficulty index
Very difficult : 7 to 10
Moderately difficult : 5 to 7
Minimally difficult : 3 to 4
Modified Pederson’s Difficulty index
Very difficult = 7–10
Moderately difficult = 5–6
Slightly difficult = 3-4
Parant scale
Easy I Extraction requiring forceps only
Easy II Extraction requiring ostectomy
Difficult III Extraction requiring osteotomy and
coronal section
Difficult IV Complex extraction ( root resection)
Recent advance in grade of difficulty
• Kharma’s scale ,2014
Difficulty index for removal of third molar (Kharma
scale ,2014)
ANGULATION/SPATIAL
RELATIONSHIP
Mesioangular 0
Horizontal/Transverse 1
Vertical 2
Distoangular 3
DEPTH
Level A: high occlusal 1
Level B: medium occlusal 2
Level C: deep occlusal 3
ROOTS FORM
Convergent 0
Divergent 1
Bulbous 2
RAMUS RELATIONSHIP
Class I: Sufficient Space 0
Class II: Reduced Space 1
Class III: No Space 2
Modified Difficulty index (According to the
kharma’s scale)
Very difficult 7–10
Moderately difficult 5–6
Slightly difficult 3-4
Easy 1-2
Surgical anatomy of mandibular 3rd
molar
Occlusal view Coronal section
Vitals structure surrounds mandibular 3rd
molar
i. Bone trajectories of mandible
ii. Lingual plate
iii. Musculature
iv. Neurovascular Bundle
v. Retromolar triangle
vi. Facial artery and vein
vii. Lingual nerve
viii.Mylohyoid nerve
ix. Long buccal nerve
Bone trajectories of mandible
(Grain of mandible)
• A line of stress extends from one condyle to the
other passing along the symphysis.
• A no: of trajectories radiate down below the
roots of teeth
Surgical implication
– Importance lies in use of chisel for
bone removal.
– Buccal horizontal cut may extend
from 1st molar till distal to 3rd
molar till ramus and cause
fracture.
– To prevent from such incident
vertical stop cut need to be placed
mesial and distal to the 3rd molar
• The Lingual Plate is the side
of the lower jaw tooth socket
nearest the tongue.
• In the region of the lower
3rd molar.
• The Lingual Plate can often
be very thin.
Lingual plate
 Surgical implications
• Because of the extreme thinness of the lingual plate
the apices of lower third molar frequently perforates it.
• Attempted elevation of fractured roots may lead to
their displacement through the thin lingual cortex into
the 'lingual pouch'.
• Difficulty will be
experienced in retrieving
such dislodged root
fragments.
• Rarely the whole tooth
may be pushed into the
lingual pouch. Whole tooth displaced into
lingual pouch
under the mylohyoid
muscle
Musculature
The various muscles surrounding the third molar
region are:
• Buccinator - Anteriorly
• Temporalis - Distally
• Masseter - Laterally
• Medial Pterygoid And Mylohyoid - Medially
Buccinator
―This horseshoe-shaped muscle forms the musculature
of the cheek. It is inserted along the external oblique
ridge and continues along the pterygomandibular
raphe.
―It is attached to the maxilla at the level of the apices
of molar roots.
Surgical implication
―During surgical removal deeply seated impacted
tooth require detachment of this muscle
– Lead to postoperative swelling, trismus & pain.
• Temporalis
― This fan-shaped muscle is inserted on the coronoid
process and anterior border of mandible.
―Two tendons can be noticed where the muscle
attaches to the anterior border of mandible.
Outer tendon.
Inner tendon.
―The outer tendon is inserted to the anterior border
of coronoid process.
―The inner tendon is attached to the temporal crest of
mandible.
―The retromolar fossa is found in between these
tendons.
• Surgical implication
―During buccal approach for the removal of third
molars, the outer tendon has to be sectioned to
enable reflection of the flap.
― This in turn will help to remove adequate bone from
the buccal and distal side.
Masseter
―This muscle is inserted into the lateral side of the
ramus from the coronoid process up to the angle.
―Rarely involved in third molar surgery.
―Postoperative edema may involve posteriorly to the
muscle leading to trismus and pain.
Medial pterygoid
―This is inserted on the medial aspect of mandible
in the angle region.
―Not directly involved in third molar surgery.
―But during lingual approach postoperative edema
involve this muscle which can lead to trismus due to
secondary involvement of the muscle
Mylohyoid
―This muscle is inserted on the mylohyoid line from
canine to the third molar region.
―During lingual approach this muscle can partly sever
may lead to transient swallowing difficulty.
―Postoperative infection can spread to sublingual /
submandibular space through this muscle breakage.
Neurovascular Bundle
 The neurovascular bundle contains the inferior alveolar
artery, vein and nerve enclosed in a fascial sheath.
 The radiographic evaluation of the relationship of the
mandibular canal and roots of the third molar forms an
important part of the preoperative assessment.
The inferior alveolar canal deroofed as part of a marginal
mandibular resection showing neurovascular vessels in
third molar region. The vein (V) lies superiorly, and the
artery (A) lies lingually and superiorly. The inferior
alveolar nerve (N) lies below.
Retromolar triangle
• Depressed roughened area –
bounded by buccal & lingual crest.
• Lateral to this – retromolar fossa.
• Through this branches of retromolar
nutrient vessels emerges and supply
temporalis tendon, buccinator
muscle and adjacent alveolus
Surgical implication
–If the distal incision is extended on ramus
instead of extending over cheek – cause
injury to retromolar nutrient vessels – lead
to rapid bleeding.
Facial artery and vein
–Cross the inferior border of mandible anterior to
masseter muscle near to 2nd molar
Surgical implication
Injury may occur due to
slippage of the BP blade
while making vertical
realising incision.
It is better to start incision
from buccal sulcus then
extend upward to the tooth.
Lingual nerve
• The lingual nerve lies on the
medial aspect of the third molar.
• Frequently lingual nerve courses
submucosally in contact with
the periosteum covering the
lingual wall of the third molar
socket or it may run below and
behind the tooth.
• Lingual version of distoangular impacted lower
3rd molar
– Root of few distoangular 3rd molar directed
lingually – lingual version – increase the
vulnerability with lingual nerve
• Lingual plate deficiency
– Root Apices of third molar penetrate the lingual
plate – deflected into lingual pouch – injure the
lingual nerve
Four anatomical risk of lingual nerve
( Len Tolstunov 2007)
• High lateral position of lingual nerve
– Lingual nerve can be in full contact with lingual plate
/ above the lingual plate – increase vulnerability of
lingual nerve
• Local chronic inflammatory condition
– Long standing pericoronal infection lead to scaring
of lingual nerve with lingual plate
– If lingual plate is deficient then its tend to attached
with the 3rd molar tooth
Mylohyoid nerve
• This nerve leaves IAN before entering mandibular canal
• Then penetrate the sphenomandibular ligament.
Surgical implication
• In 16% of cases this nerve present in too close
proximity of canal
• Damage may take place during lingual approach
for removing 3rd molar tooth.
Long buccal nerve
• Emerges through the buccinator and passes
anteriorly on its outer surface
Surgical implication
 During wide opening of mouth it lies above the
retro molar fossa region.
 Injury is rare but can occur if incision is placed too
laterally into the buccal mucosa.
RADIOLOGY
Background
• The operation of removing a lower third molar
can have serious complications if it is not
planned with some care.
• All features like size, shape, position of the
tooth and consistency of bone can all be
demonstrated on a radiograph.
Background
• The discovery of X-rays in1895 was a very
important step in treatment planning for third
molar surgery.
• According to Sonnabend (1973) the first
dental radiograph was taken by Professor
Giesel of Berlein only two weeks after
Rontgen’s discover.
• Morton (1896),the first American to take intraoral
radiograph.
• One year later Dr. William Jarvie of New York was
saying how useful it would be, according to him ‘ In
cases of impacted third molars we could get to know
the exact location of the roots’.
• In 1913, father of exodontia G.B Winter, provided the
guidelines to make proper radiograph of impacted 3rd
molars.
• The first publication of his findings appeared in
'Dental Items of Interest' under the title of
'Exodontia', a term which he himself has coined.
• A revised and much enlarged second edition was
printed in 1926 and the title was changed to 'The
Impacted Mandibular Third Molar'.
• In this book content 200 pages on the radiography of
lower third molars related to their extraction and no-
one could write again on the subject without
referring to Winter’s classifications.
Radiolographs
OrthopantamographIntraoral periapical
Radiolographs
Linear cross sectional
tomography
Lateral oblique view
Radiographs of third molars must
show
• Access
• Position & depth of impacted tooth
• Root pattern of impacted teeth
• Shape of crown
• Texture of investing bone
• Relation to inferior alveolar canal
• Position & root pattern of second molar
( 1926 )
• Assessment of depth of tooth in alveolar bone
• Using roots of 2nd molar as a guide
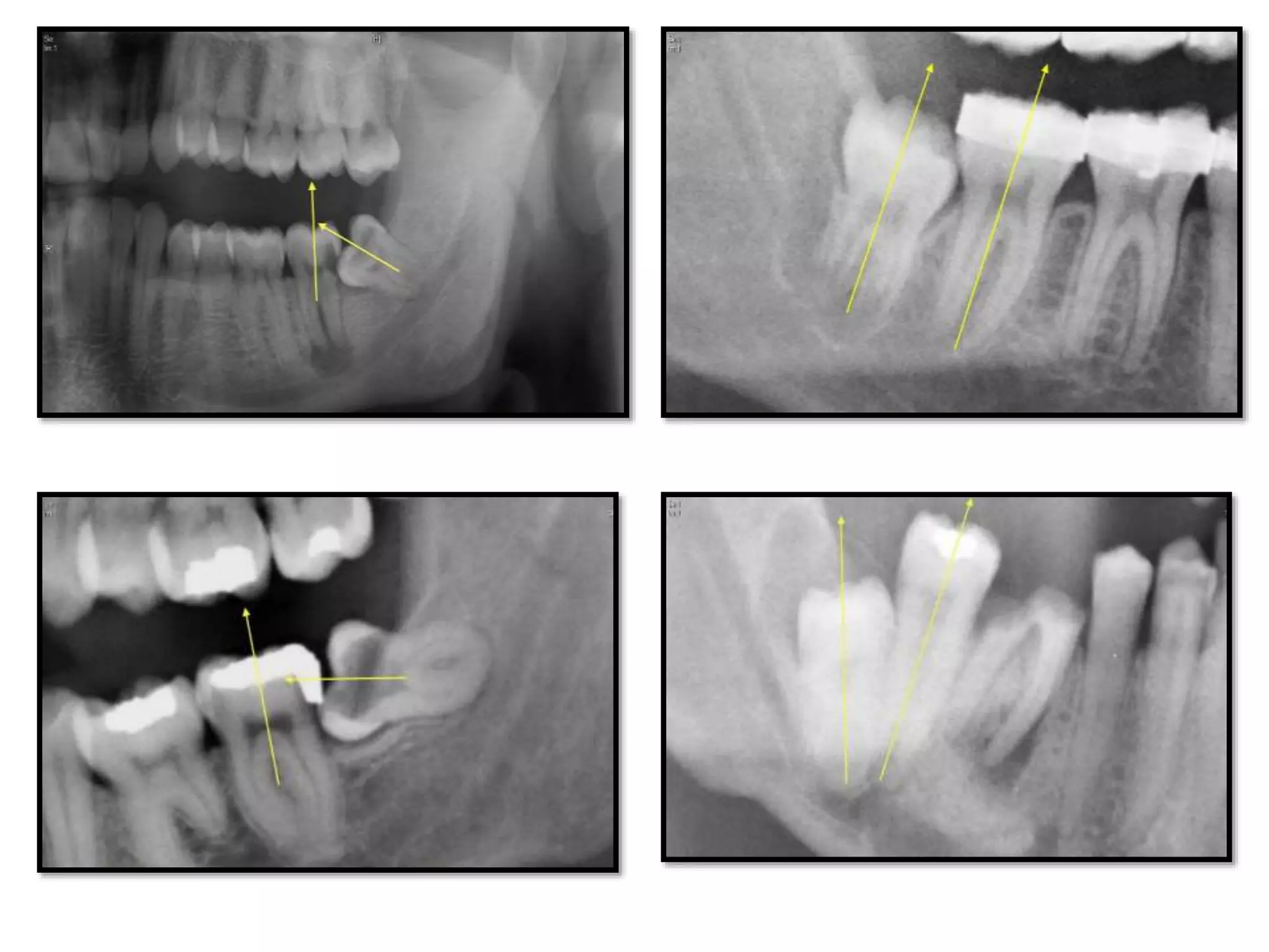
Winter’s WAR line
Position And Depth Of Impacted Tooth
• White Line
• Provide information
regarding the depth
& inclination
Amber Line
• Indicate the margin of
the alveolar bone
enclosing the teeth.
• One must
differentiate between
external oblique ridge
and bone lying distal
to impacted tooth.
• Red Line
– Provides information about
depth at which elevator
should be applied
– Longer the line difficult to
remove/access the tooth
– Length : difficulty :: 1 : 3
Rood criteria
• In 1990, Rood and Shehab , in a literature
review, collected seven radiographic indicators
of a close relationship between the lower 3rd
molar and the inferior alveolar canal.
Darkening of root Deflection of root
Related to Root
Narrowing of root Bifid root apex
Related to Root
Diversion of canal
Interruption in white line of canal.
Narrowing of canal
Related to inferior alveolar canal
Use of CT scan
• Helps to show relationship of root apices with
inferior dental canal.
• Useful to predict the bone density of mandible
Use of CBCT
• When OPG suggest close relationship between root
apex and madibular canal
• Information about distance between IAN & lower
tooth root
• Prediction for risk of damage of IAN.
Advantages :
Radiation exposure 10 times less than regular
CT scan
• Required less time(10-40 sec) than
conventional CT
• Price is comparatively less than CT scan
(<50%)
• OPG is a good method for preoperative evaluation of
surgical lower 3rd molar extraction.
• The absence of radiographic signs associated with a
relationship between the lower 3rd molar and the
canal indicates a minimum risk of nerve damage.
Thank you

THIRD MOLAR IMPACTION (BASIC)

  • 2.
    CONTENTS • Introduction • Terminologyand definitions • Why teeth get impacted? • Indications and contraindications • Development of mandibular third molar • Classifications of impacted mandibular third molar teeth • Radiographical investigation
  • 3.
    CONTENTS • Surgical anatomy •Instrument tray setup • Operative procedure of Impacted Lower Third Molar • Surgical Removal of Impacted Maxillary Third Molar • Postoperative Care and Instructions
  • 4.
    CONTENTS • Drug Therapy •Complications of Impaction Surgery • Ectopic Teeth and Unusual Cases • Recent Advances and the Future of Third Molars
  • 5.
    Introduction • Although thescope of oral and maxillofacial surgery has expanded in many directions recently, the mainstay of practice remains dentoalveolar surgery. • The atraumatic removal of impacted teeth is one of the most commonly performed surgical procedures in the specialty of oral and maxillofacial surgery.
  • 6.
    • Berge T.Iand Gilhuus-Moe O.T (1993) showed that there is a four fold increase in the incidence of complications when the surgery was performed by the general practitioner as compared that performed by the oral surgeon. • This difference in complication rates may be attributed to inadequate surgical training and lack of experience of the former.
  • 7.
    • A thoroughtheoretical knowledge and adequate clinical training is essential to perform the surgery successfully.
  • 8.
    Definitions • The termimpaction is derived from Latin word 'impactus’. • Impactus means, “An organ or structure which because of an abnormal mechanical condition has been prevented from assuming its normal position.”
  • 9.
    Mead (1954 )An impacted tooth as a tooth that is prevented from erupting into position because of malposition, lack of space, or other impediments. Rounds (1962) A precise definition of impaction as the condition in which a tooth is embedded in the alveolus so that its further eruption is prevented.
  • 10.
    Definitions Archer (1975) Atooth which is completely or partially unerupted and is positioned against another tooth, bone or soft tissue so that its further eruption is unlikely, described according to its anatomic position.
  • 11.
    Andreasen et al (1997) Acessation of the eruption of a tooth caused by a clinically or radiographically detectable physical barrier in the eruption path or by an ectopic position of the tooth. WHO (2007) An impacted teeth is any tooth that is prevented from reaching its normal position in the mouth by tissue, bone or another tooth.
  • 12.
  • 13.
    Why teeth getimpacted? The third molars or the wisdom teeth normally erupt last, between 18 and 25 years of age. John hunter (1771) is one of the early authors who noted “want of room in the jaws for these late teeth” and he also suggested as a cause that “the jaws had left off growing”.
  • 14.
    A number oftheories has been put forward to explain the incident of impaction. The most commonly accepted ones are the following: – Phylogenic theory (Nodine 1943) – Mendelian theory – Orthodontic theory(Durbeck 1881) – Endocrinal theory – Anthropological theory (Mac Gregor 1985)
  • 15.
    1) Phylogenic theory(Nodine):-  This theory motivated from Lamarck’s disuse theory.  According to his theory if the particular body part is not used it will disappeared.
  • 16.
     Due tochanging nutritional habits of our civilization, use of large powerful jaws have been practically eliminated.  Thus, over centuries the mandible and maxilla decreased in size leaving insufficient room for third molars.
  • 17.
    Small Jaws And Large Teeth SmallJaws And Small Teeth Large Jaws And Large Teeth Large Jaws And Small Teeth Small Jaws And Small Teeth Large Jaws And Large Teeth 2) Mendelian theory :
  • 18.
    3) Orthodontic theory:- Growthof the jaw Movement of teeth Forward direction Acute infections, Fever, Severe trauma Retardation of forward growth Normally
  • 19.
    4) Endocrinal theory: Increaseor decrease in growth hormone secretion may affect the size of the jaws.
  • 20.
    5) Anthropological theory(Mac Gregor 1985) According to this theory human beings alone underwent a period of evolution in which the brain greatly expanded in size and the jaw had to become narrower.
  • 22.
     Mandibular 3rdmolars  Maxillary 3rd molars  Maxillary cuspid  Mandibular bicuspids  Maxillary bicuspids  Mandibular canine  Maxillary central and lateral incisors FREQUENCY OF IMPACTION
  • 23.
    Causes In 1930 Bergerlists the causes of impaction: Local causes Systemic causes
  • 24.
    Local Causes 1. Irregularityin the position and pressure of an adjacent tooth. 2. The density of the overlying or surrounding bone. 3. Long continued chronic inflammation with increase in density of the overlying mucous membrane.
  • 25.
    4. Lack ofspace due to under developed jaws. 5. Unduly long retention of the primary tooth. 6. Premature loss of primary tooth. 7. Acquired diseases such as necrosis due to infection or abscess
  • 26.
    Systemic Causes i. Prenatalcauses ii. Post natal causes iii. Rare conditions
  • 27.
    I. Prenatal causes:• Hereditary • Miscegenation II. Post natal causes : • Rickets • Anemia • Congenital Syphilis • Tuberculosis • Endocrine Dysfunction • Malnutrition.
  • 28.
    III. Rare conditions:• Cleidocranial dysplasia • Oxycephaly • Progeria • Achondroplasia • Cleft palate.
  • 29.
    Indications • There aretwo types of indications for removing impacted teeth I. Therapeutic indications II. Prophylactic indication
  • 30.
    Therapeutic indications • Recurrentor severe pericoronitis. • Periodontal disease with a pocket depth of 5 mm or more distal to the second molar. • Non-restorable caries in the third molar. • Resorption of the third molar or adjacent tooth.
  • 31.
    • Apical periodontitis. •Cysts or tumors associated with the third molar (or adjacent tooth). • When required for orthognatic surgery. • Removal of third molar in a fracture line.
  • 32.
    Prophylactic indication • Prophylacticremoval of a non-erupted tooth is by definition a surgical intervention to prevent future disease. • This practice is often referred to as “removal of asymptomatic third molars”. It is important to define this subject more precisely.
  • 33.
    Prophylactic indications formedically needful • Prior to radiation therapy for head and neck malignancies; • Prior to organ transplantation; • Chemotherapy; • Bisphosphonate therapy.
  • 34.
    Prophylactic indication forsurgical reasons- • The presence of a third molar in a fracture line. • Prior to orthognatic surgery. • When a third molar may be considered for autogenous transplantation, usually to a first molar region.
  • 35.
    • When thethird molar region is involved in tumor • Resection or jaw reconstruction surgery.
  • 36.
    NICE Guidelines forthe Removal of Wisdom Teeth
  • 37.
    (1) The routinepractice of prophylactic removal of pathology-free impacted third molars should be discontinued in the National Health Service.
  • 38.
    (2) Surgical removalof impacted third molars should be limited to those with evidence of pathology, such as the following: a.Unrestorable caries b.Fracture of tooth c.Non-treatable pulpal and/or periapical pathology d. Pathology of follicle including cyst/tumour
  • 39.
    e. Cellulitis orabscess formation f. Osteomyelitis g. Tooth/teeth impeding surgery, e.g. reconstructive jaw surgery, preprosthetic/implant surgery, orthognathic surgery.
  • 40.
    (3) Specific attentionis drawn to plaque formation and pericoronitis. Plaque formation is a risk factor but is not itself an indication for surgery. The degree to which the severity of recurrence rate of pericoronitis should influence the decision for surgical removal of a third molar remains unclear.
  • 41.
    • The evidencesuggests that a first episode of pericoronitis, unless particularly severe, should not be considered an indication for surgery. • Second or subsequent episodes should be considered as an appropriate indication for surgery.
  • 42.
    Contraindications •Extremes of Age •SurgicalDamage to adjacent Structures •Compromised Medical Status •Prosthetic considerations •Socioeconomic reasons
  • 43.
  • 44.
    Development of mandibularthird molar  Third molars are the only teeth that develop entirely after birth.
  • 45.
    The stages ofthe development and eruption of mandibular third molar according to the years : Tooth germ visible 9 yrs Cusp mineralization 11 yrs Crown formation 14 yrs Roots formed (apex open) 18 yrs Eruption 18-24 yrs
  • 47.
    Classifications • George Winter’sclassification (1926) • Pell & Gregory’s classification (1933) • Killey & Kay’s classification (1979) • Combined ADA & AAOMS classification of procedural terminology
  • 48.
    George Winter’s classification(1926) Based on the relationship of the long axis of the impacted tooth in relation to the long axis of the 2nd molar i. Mesioangular ii. Vertical iii. Horizontal iv. Distoangular v. Buccoangular vi. Linguoangular vii. Transverse viii. Inverted
  • 50.
    WINTER’S SUB CLASSES •The angle between the occlusal plane or line parallel to it and the longitudinal axis of the impacted third molar, in turn, allowed objective classification of the third molars within the Winter subclasses as follows
  • 51.
    Third molars with negativeangles (-0°) Inverted Third molars with an angle between 0° to 30° Horizontal Third molars with an angle between 31° to 60° Mesioangular
  • 52.
    Third molars with anangle between 61° to 90° Vertical Third molars with an angle (-90°) Distoangular
  • 53.
    Pell & Gregory’sclassification (1933) • Analysis of the potential anatomic problems involved preparatory to the removal of lower 3rd molar 1. Relation of the tooth to the ramus of the mandible 2. Relative depth of the third molar in bone
  • 54.
    Relation of thetooth to the ramus of the mandible  Class I Relative depth of the third molar in bone I. Position A II. Position B III. Position C
  • 55.
    Relation of thetooth to the ramus of the mandible  Class II Relative depth of the third molar in bone I. Position A II. Position B III. Position C
  • 56.
    Relation of thetooth to the ramus of the mandible  Class III Relative depth of the third molar in bone I. Position A II. Position B III. Position C
  • 57.
    3. The positionof the tooth in relation to the long axis of the second molar i. Vertical ii. Horizontal iii. Inverted iv. Mesioangular v. Distoangular
  • 58.
    Killey & Kay’sclassification (1979) a) Based on angulation and position: Same as Winter’s classification b) Based on the state of eruption: Completely eruption Partially erupted Unerupted
  • 59.
    c) Based onroots: 1) Number of roots - Fused roots Two roots Multiple roots 2) Root pattern - Surgically favorable -Surgically unfavorable
  • 60.
    Based on clinicaland radiographic interpretation of the tissue overlying the impacted teeth. Combined ADA & AAOMS classification of procedural terminology
  • 61.
     07220-Soft tissueimpaction  07230-Partial bony impaction  07240-Complete bony impaction  07241-Complete bony impaction with unusual surgical complications
  • 62.
    Recent advances inclassification • Quek et al. (2003) classification of impaction • Operative Classification (2010) • Classification of impacted mandibular third molars on cone-beam CT images (2015)
  • 63.
    Quek et al.(2003) classification of impaction  Vertical impaction (10° to -10°)  Mesioangular impaction (11° to 79°)  Horizontal impaction (80° to 100°)  Distoangular impaction ( -11° to -79°)  Others (111° to -80°)
  • 64.
    Quek et al.(2003) classification of impaction, a system of measurement , using protector.
  • 65.
    Operative Classification ofImpacted Molars (2010) • The mandibular third molar is classified according to its position relative to the mandibular canal using a standard panoramic x-ray. • There are 3 major types of third molar positions.
  • 66.
    TMC I Rootsof the third molar above the mandibular canal TMC IIa Mandibular third molar roots are in relation to the mandibular canal TMC IIb More than a third of the molar roots are in relation to the mandibular canal TMC III All third molars roots are localized below the mandibular canal
  • 67.
  • 68.
  • 69.
    Classification of impactedmandibular third molars on cone-beam CT images Maglione M. et al (2015) introduce a new radiological classification that could be normally used in clinical practice to assess the relationship between an impacted third molar and mandibular canal on cone beam CT (CBCT) images.
  • 70.
    Class O: Themandibular canal is not visible on the images (plexiform canal).
  • 71.
    Class 1: Themandibular canal runs apically or buccally with respect to the tooth but without touching it (the cortical limitations of the canal are not interrupted). 1A: The distance IAN and tooth is greater than 2 mm. 1B: The distance IAN and tooth is less than 2 mm
  • 72.
    Class 2: Themandibular canal runs lingually with respect to the tooth but without touching it (the cortical limitations of the canal are not interrupted). 2B: The distance IAN and tooth is less than 2 mm. 2A: The distance IAN and tooth is greater than 2 mm.
  • 73.
    Class 3: Themandibular canal runs apical or buccal touching the tooth. 3A: In the point of contact the mandibular canal shows a preserved diameter. 3B: In the point of contact the mandibular canal shows an interruption of the corticalization.
  • 74.
    Class 4: Themandibular canal runs lingually touching the tooth. 4A: In the point of contact the mandibular canal shows a preserved diameter. 4B: In the point of contact the mandibular canal shows an interruption of the corticalization.
  • 75.
    Class 5: Themandibular canal runs between the roots but without touching them 5A: The distance IAN and tooth is greater than 2 mm. 5B:The distance IAN and tooth is less than 2 mm.
  • 76.
    Class6: The mandibularcanal runs between the roots touching them. 6A: In the point of contact the mandibular canal shows a preserved diameter. 6B: In the point of contact the mandibular canal shows an interruption of the corticalization.
  • 77.
    Class 7: Themandibular canal runs between fused roots
  • 78.
    Difficulty index • WHARFEassessment - Macgregor 1985 • Pederson’s scale ,1988 • Parant scale
  • 79.
    Criteria Category Score Winters Classifications Horizontal2 Distoangular 3 Mesioangular 1 Vertical 0 Height of mandible (mm) 1-30 0 31-34 1 35-39 2 Angulation of 3rd molar (degrees) 1-59 0 60-69 1 70-79 2 80-89 3 90+ 4 WHARFE’S ASSESSMENT by McGregor 1985
  • 80.
    Root shape & development Complex3 (more than 2/3 complete) Unfavourable curvature 2 (less than1/3 complete) Favourable curvature 1 Follicles Normal 0 Possibly enlarged 1 Enlarged 2 Impaction relieved 3 Path of exit Space available 0 Distal cusps covered 1 Mesial cusps also covered 2 Both covered 3 TOTAL 33
  • 81.
    Difficulty index forremoval of third molar (PEDERSON’S SCALE, 1988) ANGULATION/SPATIAL RELATIONSHIP Mesioangular 1 Horizontal/Transverse 2 Vertical 3 Distoangular 4 DEPTH Level A 1 Level B 2 Level C 3
  • 82.
    Difficulty index forremoval of third molar (PEDERSON’S SCALE, 1988) RAMUS RELATIONSHIP Class I 1 Class II 2 Class III 3
  • 83.
    Pederson’s Difficulty index Verydifficult : 7 to 10 Moderately difficult : 5 to 7 Minimally difficult : 3 to 4
  • 84.
    Modified Pederson’s Difficultyindex Very difficult = 7–10 Moderately difficult = 5–6 Slightly difficult = 3-4
  • 85.
    Parant scale Easy IExtraction requiring forceps only Easy II Extraction requiring ostectomy Difficult III Extraction requiring osteotomy and coronal section Difficult IV Complex extraction ( root resection)
  • 86.
    Recent advance ingrade of difficulty • Kharma’s scale ,2014
  • 87.
    Difficulty index forremoval of third molar (Kharma scale ,2014) ANGULATION/SPATIAL RELATIONSHIP Mesioangular 0 Horizontal/Transverse 1 Vertical 2 Distoangular 3 DEPTH Level A: high occlusal 1 Level B: medium occlusal 2 Level C: deep occlusal 3
  • 88.
    ROOTS FORM Convergent 0 Divergent1 Bulbous 2 RAMUS RELATIONSHIP Class I: Sufficient Space 0 Class II: Reduced Space 1 Class III: No Space 2
  • 89.
    Modified Difficulty index(According to the kharma’s scale) Very difficult 7–10 Moderately difficult 5–6 Slightly difficult 3-4 Easy 1-2
  • 90.
    Surgical anatomy ofmandibular 3rd molar Occlusal view Coronal section
  • 91.
    Vitals structure surroundsmandibular 3rd molar i. Bone trajectories of mandible ii. Lingual plate iii. Musculature iv. Neurovascular Bundle v. Retromolar triangle vi. Facial artery and vein vii. Lingual nerve viii.Mylohyoid nerve ix. Long buccal nerve
  • 92.
    Bone trajectories ofmandible (Grain of mandible) • A line of stress extends from one condyle to the other passing along the symphysis.
  • 93.
    • A no:of trajectories radiate down below the roots of teeth
  • 94.
    Surgical implication – Importancelies in use of chisel for bone removal. – Buccal horizontal cut may extend from 1st molar till distal to 3rd molar till ramus and cause fracture. – To prevent from such incident vertical stop cut need to be placed mesial and distal to the 3rd molar
  • 95.
    • The LingualPlate is the side of the lower jaw tooth socket nearest the tongue. • In the region of the lower 3rd molar. • The Lingual Plate can often be very thin. Lingual plate
  • 96.
     Surgical implications •Because of the extreme thinness of the lingual plate the apices of lower third molar frequently perforates it. • Attempted elevation of fractured roots may lead to their displacement through the thin lingual cortex into the 'lingual pouch'.
  • 97.
    • Difficulty willbe experienced in retrieving such dislodged root fragments. • Rarely the whole tooth may be pushed into the lingual pouch. Whole tooth displaced into lingual pouch under the mylohyoid muscle
  • 98.
    Musculature The various musclessurrounding the third molar region are: • Buccinator - Anteriorly • Temporalis - Distally • Masseter - Laterally • Medial Pterygoid And Mylohyoid - Medially
  • 99.
    Buccinator ―This horseshoe-shaped muscleforms the musculature of the cheek. It is inserted along the external oblique ridge and continues along the pterygomandibular raphe. ―It is attached to the maxilla at the level of the apices of molar roots.
  • 100.
    Surgical implication ―During surgicalremoval deeply seated impacted tooth require detachment of this muscle – Lead to postoperative swelling, trismus & pain.
  • 101.
    • Temporalis ― Thisfan-shaped muscle is inserted on the coronoid process and anterior border of mandible. ―Two tendons can be noticed where the muscle attaches to the anterior border of mandible. Outer tendon. Inner tendon.
  • 102.
    ―The outer tendonis inserted to the anterior border of coronoid process. ―The inner tendon is attached to the temporal crest of mandible. ―The retromolar fossa is found in between these tendons.
  • 103.
    • Surgical implication ―Duringbuccal approach for the removal of third molars, the outer tendon has to be sectioned to enable reflection of the flap. ― This in turn will help to remove adequate bone from the buccal and distal side.
  • 104.
    Masseter ―This muscle isinserted into the lateral side of the ramus from the coronoid process up to the angle. ―Rarely involved in third molar surgery. ―Postoperative edema may involve posteriorly to the muscle leading to trismus and pain.
  • 105.
    Medial pterygoid ―This isinserted on the medial aspect of mandible in the angle region. ―Not directly involved in third molar surgery. ―But during lingual approach postoperative edema involve this muscle which can lead to trismus due to secondary involvement of the muscle
  • 106.
    Mylohyoid ―This muscle isinserted on the mylohyoid line from canine to the third molar region. ―During lingual approach this muscle can partly sever may lead to transient swallowing difficulty. ―Postoperative infection can spread to sublingual / submandibular space through this muscle breakage.
  • 107.
    Neurovascular Bundle  Theneurovascular bundle contains the inferior alveolar artery, vein and nerve enclosed in a fascial sheath.  The radiographic evaluation of the relationship of the mandibular canal and roots of the third molar forms an important part of the preoperative assessment.
  • 108.
    The inferior alveolarcanal deroofed as part of a marginal mandibular resection showing neurovascular vessels in third molar region. The vein (V) lies superiorly, and the artery (A) lies lingually and superiorly. The inferior alveolar nerve (N) lies below.
  • 109.
    Retromolar triangle • Depressedroughened area – bounded by buccal & lingual crest. • Lateral to this – retromolar fossa. • Through this branches of retromolar nutrient vessels emerges and supply temporalis tendon, buccinator muscle and adjacent alveolus
  • 110.
    Surgical implication –If thedistal incision is extended on ramus instead of extending over cheek – cause injury to retromolar nutrient vessels – lead to rapid bleeding.
  • 111.
    Facial artery andvein –Cross the inferior border of mandible anterior to masseter muscle near to 2nd molar
  • 112.
    Surgical implication Injury mayoccur due to slippage of the BP blade while making vertical realising incision. It is better to start incision from buccal sulcus then extend upward to the tooth.
  • 113.
    Lingual nerve • Thelingual nerve lies on the medial aspect of the third molar. • Frequently lingual nerve courses submucosally in contact with the periosteum covering the lingual wall of the third molar socket or it may run below and behind the tooth.
  • 115.
    • Lingual versionof distoangular impacted lower 3rd molar – Root of few distoangular 3rd molar directed lingually – lingual version – increase the vulnerability with lingual nerve • Lingual plate deficiency – Root Apices of third molar penetrate the lingual plate – deflected into lingual pouch – injure the lingual nerve Four anatomical risk of lingual nerve ( Len Tolstunov 2007)
  • 116.
    • High lateralposition of lingual nerve – Lingual nerve can be in full contact with lingual plate / above the lingual plate – increase vulnerability of lingual nerve • Local chronic inflammatory condition – Long standing pericoronal infection lead to scaring of lingual nerve with lingual plate – If lingual plate is deficient then its tend to attached with the 3rd molar tooth
  • 117.
    Mylohyoid nerve • Thisnerve leaves IAN before entering mandibular canal • Then penetrate the sphenomandibular ligament.
  • 118.
    Surgical implication • In16% of cases this nerve present in too close proximity of canal • Damage may take place during lingual approach for removing 3rd molar tooth.
  • 119.
    Long buccal nerve •Emerges through the buccinator and passes anteriorly on its outer surface
  • 120.
    Surgical implication  Duringwide opening of mouth it lies above the retro molar fossa region.  Injury is rare but can occur if incision is placed too laterally into the buccal mucosa.
  • 121.
  • 122.
    Background • The operationof removing a lower third molar can have serious complications if it is not planned with some care. • All features like size, shape, position of the tooth and consistency of bone can all be demonstrated on a radiograph.
  • 123.
    Background • The discoveryof X-rays in1895 was a very important step in treatment planning for third molar surgery.
  • 124.
    • According toSonnabend (1973) the first dental radiograph was taken by Professor Giesel of Berlein only two weeks after Rontgen’s discover.
  • 125.
    • Morton (1896),thefirst American to take intraoral radiograph. • One year later Dr. William Jarvie of New York was saying how useful it would be, according to him ‘ In cases of impacted third molars we could get to know the exact location of the roots’.
  • 126.
    • In 1913,father of exodontia G.B Winter, provided the guidelines to make proper radiograph of impacted 3rd molars. • The first publication of his findings appeared in 'Dental Items of Interest' under the title of 'Exodontia', a term which he himself has coined.
  • 127.
    • A revisedand much enlarged second edition was printed in 1926 and the title was changed to 'The Impacted Mandibular Third Molar'.
  • 128.
    • In thisbook content 200 pages on the radiography of lower third molars related to their extraction and no- one could write again on the subject without referring to Winter’s classifications.
  • 129.
  • 130.
  • 131.
    Radiographs of thirdmolars must show • Access • Position & depth of impacted tooth • Root pattern of impacted teeth • Shape of crown • Texture of investing bone • Relation to inferior alveolar canal • Position & root pattern of second molar
  • 132.
    ( 1926 ) •Assessment of depth of tooth in alveolar bone • Using roots of 2nd molar as a guide Winter’s WAR line
  • 133.
    Position And DepthOf Impacted Tooth • White Line • Provide information regarding the depth & inclination
  • 134.
    Amber Line • Indicatethe margin of the alveolar bone enclosing the teeth. • One must differentiate between external oblique ridge and bone lying distal to impacted tooth.
  • 135.
    • Red Line –Provides information about depth at which elevator should be applied – Longer the line difficult to remove/access the tooth – Length : difficulty :: 1 : 3
  • 136.
    Rood criteria • In1990, Rood and Shehab , in a literature review, collected seven radiographic indicators of a close relationship between the lower 3rd molar and the inferior alveolar canal.
  • 137.
    Darkening of rootDeflection of root Related to Root
  • 138.
    Narrowing of rootBifid root apex Related to Root
  • 139.
    Diversion of canal Interruptionin white line of canal. Narrowing of canal Related to inferior alveolar canal
  • 140.
    Use of CTscan • Helps to show relationship of root apices with inferior dental canal. • Useful to predict the bone density of mandible
  • 141.
  • 142.
    • When OPGsuggest close relationship between root apex and madibular canal • Information about distance between IAN & lower tooth root • Prediction for risk of damage of IAN.
  • 143.
    Advantages : Radiation exposure10 times less than regular CT scan • Required less time(10-40 sec) than conventional CT • Price is comparatively less than CT scan (<50%)
  • 144.
    • OPG isa good method for preoperative evaluation of surgical lower 3rd molar extraction. • The absence of radiographic signs associated with a relationship between the lower 3rd molar and the canal indicates a minimum risk of nerve damage.
  • 145.

Editor's Notes

  • #12 Lytle (1979) Impacted tooth is one that has failed to erupt into normal functional position beyond the time usually expected for such appearance. Eruption is prevented by adjacent hard or soft tissue including tooth, bone or dense soft tissue.
  • #18 Heredity is most common cause. The hereditary transmission of small jaws and large teeth from parents to siblings.
  • #21 A branch of physical anthropology concerned with the  origin, evolution, and development of the dentitions of  primates , especially humans, and to the relationship  between primates' dentition and their physical, social,  and cultural relationships.
  • #24 Impaction may also be found where no local predisposing conditions are present.
  • #25 Impaction may also be found where no local predisposing conditions are present.
  • #26 Impaction may also be found where no local predisposing conditions are present.
  • #37 The National Institute of Clinical Excellence (NICE) of England in March 2000
  • #38 The National Institute of Clinical Excellence (NICE) of England in March 2000
  • #43 Healing Longer recovery periods Difficult - more densely calcified bone Bone removal is more due to reduced PDL space If benefits healing than complication, don’t extract – Can be used as abutment
  • #49 Mesioangular – Most common type(43%) because mandibular third molars follow an mesial inclination while eruption, least difficult to remove but most damaging Vertical - 2nd most common type(38%) Horizontal - 3% Distoangular - Most difficult to remove (6%) Buccoangular Linguoangular Transverse Inverted
  • #58 They may also occur in a) buccal deflection b) Lingual deflection c) torsion
  • #66 The present classification is a simple and easy-to-apply method for the surgical management of third mandibular molars and can be extended for any ectopic or impacted mandibular tooth.
  • #91 The lower third molar tooth is situated at the distal end of the body of the mandible where it meets a relatively thin ramus. The tooth is embedded between the thick buccal alveolar bone and a thin lingual cortical plate
  • #110 Most prevalent types of retromolar triangles, according to Suazo et al.,2007 Tapering form 9.16%; Drop form 10.83%; Triangular form 80%.
  • #111 Most prevalent types of retromolar triangles, according to Suazo et al.,2007 Tapering form 9.16%; Drop form 10.83%; Triangular form 80%.
  • #115 Because of lingual retromolar anatomy, the surgeon must take into consideration the proximity of the lingual nerve to the third molar region. Damage to this nerve with its intimate relationship with the chorda tympani may result in loss of taste and lingual salivary gland secretion, in addition to loss of sensation in the anterior two-thirds of the tongue on the affected side. By averaging data from several recent studies, the mean vertical distance of the nerve from the distolingual alveolar crest in the region of the mandibular third molar was found to be about 4.45 mm, and the average horizontal distance of the nerve to the lingual cortex was 2.18 mm.
  • #127 How exactly the radiographs that were available were used in the planning of extractions is not stated in the early literature.
  • #130 A diagnostic technique for determining the buccolingual relationship of impacted mandibular third molar and inferior alveolar neurovascular bundle
  • #131 A diagnostic technique for determining the buccolingual relationship of impacted mandibular third molar and inferior alveolar neurovascular bundle