THIRD MOLAR SURGERY
DR JACOB JOHN PLACKAL
RESIDENT,KVGDC
• HEY!
U CAME TO THE RIGHT PLACE 
GO THROUGH THIS AND HELP YOURSELF.
DISCLAIMER:SOME OF THE SLIDES BELONG TO THE BEAUTIFUL
PEOPLE WHO WERE KIND ENOUGH TO UPLOAD IT HERE.
CONTENTS
• Introduction
• Definition
• Theories of impaction
• Clinical & radiological assessment
• Classification
• Etiology
• Indications and contraindications
• Frequency
• Surgical anatomy
• Management
• Complications
• Recent advances
HISTORICAL BACKGROUND ON
THE CRITERIA FOR REMOVAL OF
THIRD MOLAR
• In 1979, a consensus development
conference practicing dentists and
scientists, on third molar removal was
sponsored by national institute of health,
USA.
J oral surgery…vol38,march 1980
INTRODUCTION
The third molar has been the
most widely discussed tooth in
the dental literature, and the
debatable question “….. to
extract or not to extract” seems
set to run into the next century.
- Faiez N. Hattab, JOMS, 57:
389-391 (1999)
DEFINITION
The term impaction is of latin origin from
the term “IMPACTUS” used to designate
an organ or structure which because of
an abnormal mechanical condition has
been prevented from assuming its
normal position.
Rounds (1962) :- “The condition in which
a tooth is embedded in the alveolus so
that its further eruption is prevented.”
Alling :- An impacted tooth is a
tooth that is completely / partially
unerupted at its chronological age
and is positioned against a
physical barrier, such as another
tooth, bone / soft tissue, so that
its further eruption is unlikely
described according to its
anatomic position.
• WHO :- An impacted tooth is the one
that is unable to fully erupt in its
normal functional occlusion / location
by its expected age of eruption,
because it is blocked by overlying soft
tissue or bone or another tooth.
CAUSES OF IMPACTION
• BERGER (1939) CLASSIFIED CAUSES OF
IMPACTION IN TWO MAJOR
CATEGORIES :
• Local causes
• Systemic causes
LOCAL CAUSES
1) Lack of space due to underdeveloped jaw.
2) Long retention of primary teeth.
3) Premature loss of primary teeth.
4) Irregularity in position and pressure of an adjacent
teeth.
5) The density of overlying and surrounding bone
6) Long continued chronic inflammation with resultant
increase in density of the overlying mucous membrane.
7) Acquired diseases such as necrosis due to infection
and abscess.
8) Inflammatory changes in the bone due to
SYSTEMIC CAUSES:
A. PRENATAL CAUSE
1. HEREDITY
2. MISCEGENATION
B. POSTNATAL CAUSE (CONDITION WHICH MAY INTERFERE WITH THE
DEVELOPMENT OF CHILD )
1. RICKETS
2. ANEMIA
3. CONGENITAL SYPHILIS
4. TUBERCULOSIS
5. ENDOCRINAL DYSFUNCTIONS
6. MALNUTRITION
C. RARE CONDITIONS
1. CLEIDOCRANIAL DYSOSTOSIS
2. OXYCEPHALY ( “ STEEPLE HEAD” )
3. PROGERIA
4. ACHONDROPLASIA
5. CLEFT PALATE
THEORIES OF IMPACTION
BY DURBECK
• Mendelian theory
• Phylogenic theory
• Orthodontic theory
• Endocrinal theory
• Pathological theory
THE MENDELIAN THEORY
• Heredity is the most common etiologic factor in
impaction.
• The transmission of small jaws from one parent and
large teeth from the other would likely result in
insufficient space for the teeth and instances of
impaction.
THE PHYLOGENIC THEORY
• Over centuries maxilla and mandible have decreased
in size leaving insufficient room for 3rd molars.
• Congenitally missing 3rd molars in some individuals
supports the view that the 3rd molar is a vestigial
THE ENDOCRINE THEORY
• Endocrinal disorders of thyroid, parathyroid,
pituitary glands cause primary retention of the
teeth.
• This is due to lack of osteoclastic activity which
does not provide resorption of the bone overlying
the developing tooth.
PATHOLOGICAL THEORY
• Chronic infections affecting an individual may bring
the condensation of osseous tissue further
THE ORTHODONTIC THEORY
• The normal growth of the jaw and the
movement of teeth are in a forward direction,
anything that interferences with such a
development causes impaction.
• Forward movement is usually retarded by
dense bone that can be produced by many
pathologic conditions including acute
infection, severe trauma, malocclusion, local
inflammation of the periodontal membrane.
ASSESSMENT OF
IMPACTION
•Preoperative assessment
• Clinical assessment
• General
• Local
• Radiological assessment
Factors to be kept in mind
• Extremes of age
>25yrs risk of complications
(J Oral Maxillofac Surg 2007; 65: 1977-
1983)
• Compromised medical status
• Excessive risk of damage to adjacent vital
structures
• Availability of space
• Uncontrolled active pericoronal infection
• Questionable Status of future of Second
molar
CLINICAL ASSESSMENT
• General assessment
• Age
• General examination
• Medical risk
Factors to be considered in clinical
assessment
• Complaint : pain, exclude other causes such
as TMJ disorder, pulpitis/ abscess of other
teeth.
• Previous medical history.
• Dental history: difficult extractions,
postoperative infection, bleeding, etc.
• Extra-oral features: facial form,
lymphadenopathy, lower lip is tested for
paresthesia, swelling.
LOCAL ASSESSMENT
• Intra oral examination
• Mouth opening
• Size of tongue
• Extensibility of lips and cheeks
• Status of dentition
• Lymph nodes
• Assessment of impacted teeth in
particular
ASSESSMENT OF IMPACTED TEETH
• Crown visible ?
• Position and occlusal relation of opposing
tooth
• Distal of second molar for pocket formation
• External oblique ridge
• Distance between distal surface of second
molar and anterior border of ramus
• Condition of soft tissue
RADIOGRAPHIC ASSESSMENT
• Radiographic views
• Intraoral periapical
• Orthopantamograph
• Occlusal
• Linear cross sectional tomography
A diagnostic technique for determining
the buccolingual relationship of impacted
mandibular third molar and inferior
alveolar neurovascular bundle
• Modified linear cross sectional
tomography
INTERPRETATION OF THE
STANDARDIZED INTRAORAL
RADIOGRAPH
ACCESS
Ease of access to the
site of operation may
be determined by
noting the inclination
of the radio-opaque
line cast by the
external oblique ridge.
If this line is vertical
access is poor, whilst
if it is horizontal
access is excellent.
ROOT MORPHOLOGY
• The fused, conical roots are easier to remove
than widely separate roots.
• Severely curved or dilacerated roots are more
difficult to remove than straight or slightly curved
roots.
• The direction of the tooth root curvature is also
important
• The total width of the roots in mesiodistal
direction should be compared with the width of
the tooth at the cervical line. If the width is
greater, the extraction will be more difficult.
• Optimal time for removal of an impacted
teeth is when the root is 1/3 to 2/3 formed.
In this case roots are blunt and almost
never fracture.
• If the root development is insufficient, the
tooth is more difficulty to remove, because it
tends to roll in its crypt like a ball in socket,
which prevent easy elevation.
SIZE OF FOLLICULAR SAC
• If the follicular size is wide, much less
bone must be removed.
• Young patient are more likely to have
large follicle.
• The narrow or nonexistent follicular space
require creation of space, which increases
both difficulty of procedure and the time
require to remove the tooth.
DENSITY OF SURROUNDING BONE
• Patients who are 18 years of age or
younger have bone densities favorable for
tooth removal. The bone is less dense, is
more likely to pliable, and expands and
bends somewhat which allows the socket
to be expanded by elevators or tooth
itself.
• Patients who are older than age 25 have
denser bone and thus decreased flexibility
and ability to expand.
SHAPE OF CROWN
• The teeth with large square
crowns and prominent cusps
are more difficult to remove
then teeth with small conical
crowns and flat cusps.
• Crown and cusps are of especial importance
when the ‘line of withdrawal’ of third molar is
completely obstructed.
• It is characterized by the cusps of the third
molars superimposed upon the distal surface of
the second molar in the standard radiograph.
• The sectioning of the impacted tooth require to
avoid damage or displacement of 2nd molar
from the socket.
RADIOLOGICAL PREDICTION OF INFERIOR
ALVEOLAR NERVE INJURY
• According to J. P. Rood, B. A. A.
Nooraldeen shehab,
• Diversion of mandibular canal
• Darkening of root
• Interruption of white lines
• Narrowing of roots
• Deflection of roots
• Narrowing of mandibular canal
• Dark and bifid root
BR JR OF ORAL AND MAXILLOFACIAL SURGERY 1990; 28: 20-25
J ORAL MAXILLOFAC SURG 2003; 61: 417- 421
J ORAL MAXILLOFAC SURG 2005; 63: 3-7
CORRELATION BETWEEN
RADIOGRAPHIC SIGNS OF
THIRD MOLAR PROXIMITY
WITH INFERIOR ALVEOLAR
NERVE AND POSTOPERATIVE
OCCURRENCE OF
NEUROSENSORY DISORDERS.
A PROSPECTIVE, DOUBLE-
BLIND STUDY1 (Fabio et al)
Acta cir.
Bras. Vol.28 no.3 são
paulo mar. 2013
There is no positive
correlation between
presence of radiographic
signs of 3ms with IAN
proximity and
postoperative
neurosensory disorders
occurrence.
POSITION OF ROOT TO INFERIOR ALVEOLAR CANAL
Panoramic radiographic findings as predictors of mandibular
nerve exposure following third molar extraction: Digital
versus conventional radiographic techniques
Oral Surg Oral Med Oral Pathol Oral Radiol Endod 2009;107: e36-e40)
The imaging technique does not modify the relationship
between high-risk
panoramic radiographic signs and MN exposure.
LOCALIZATION OF IMPACTED THIRD MOLAR
USING RADIOGRAPHS
• Periapical x-rays- frank’s tube shift technique
• Vertical tube shift technique
• For separating horizontally oriented objects
• For determining bucco-lingual position of
third molar apices that super impose the
mandibular canal
CLARK’S HORIZONTAL TUBE
SHIFT
• For separating
superimposed
objects with
vertical long axis
• For buccal / lingual
localization of
impacted third
molar from roots of
erupted teeth
INDICATIONS FOR THERAPY FOR
THIRD MOLARS
1. Pericoronitis prevention or treatment
2. Management of unexplained pain
3. Prevention of caries
4. Root resorption of adjacent teeth
5. Orthodontic considerations
6. Teeth under dental prosthesis
7. Preparation for orthognathic surgery
8. Prevention of odontogenic cysts and tumours
9. Prevention of jaw fracture
PERICORONITIS- PREVENTION OR TREATMENT
• Usually mandibular – partially erupt
• Microbes : peptostreptococcus,
fusobacterium, and bacteroides
(porphyromonas)
• Initial treatment :
I. Débridement
Ii. Disinfection with irrigation solution
(hydrogen peroxide or chlorhexidine)
Iii. Surgical management – extract
opposing max 3rd molar.
Iv. Severe cases with systemic effect –
antibiotic
PREVENTION OF DENTAL DISEASE
• DISTAL CERVICAL CARIES is a late
phenomenon and has been
reported only in association with
impacted third molars. The early or
prophylactic removal of a partially
erupted mesio-angular third molar
could prevent distal cervical caries
forming in the mandibular second
molar.
DISTAL CERVICAL CARIES IN THE MANDIBULAR
SECOND MOLAR: AN INDICATION FOR THE
PROPHYLACTIC REMOVAL OF THE THIRD
MOLAR?
LOUIS W. MCARDLE∗, TARA F. RENTON
ORTHODONTIC
CONSIDERATIONS
Obstruction of orthodontic treatment
Crowding of mandibular incisors
Interference with orthognathic surgery
PREVENTION OF ODONTOGENIC CYSTS
AND TUMORS
• Follicular sac  cystic degeneration 
dentigerous cyst  odontogenic tumor
(rare)
ROOT RESORPTION OF ADJACENT
TEETH
• Misaligned erupting teeth may resorb the
roots of adjacent teeth just like
succedaneous teeth resorb the roots of
primary teeth during normal eruption.
• Most cases - adjacent tooth recalcified
(deposition of a cementum over the resorbed
area) & formation of 2o dentin.
• If severe resorption & the mandibular 3rd
molar displaces significantly into the roots of
the second molar  remove.
TEETH UNDER DENTAL
PROSTHESES
• Removable tissue borne prosthesis – is
constructed on a ridge where an impacted
tooth is covered by only soft tissue or 1 or 2
mm of bone  overlying bone resorbed,
mucosa perforate & the area become painful
and inflamed. So ----> extract!
• In older patients with tooth- or implant-
borne fixed prostheses asymptomatic deeply
impacted teeth can be safely left in place.
PREVENTION OF JAW FRACTURE
• Patients engage in contact sports (football, rugby,
martial arts) & noncontact sports (basketball) 
remove to prevent jaw fracture
• An impacted third molar - resistance to fracture
in mandible  common site for fracture
• Increased complications in the treatment of the
fracture.Do pathologies associated with impacted lower third molars justify
prophylactic removal? A critical review of the literature.
Oral Surg Oral Med Oral Pathol Oral Radiol Endod 2006;102:448-52
States that risk of condylar fractures is more in patients without impacted
lower third molar. Condylar fractures are comparatively difficult to treat as
compared to angle fracture. Thus, risk of angle fractures should not be
considered as an indication.
MANAGEMENT OF UNEXPLAINED
PAIN
• Jaw pain in the area of an impacted third
molar but no clinical or radiographic signs of
pathology.
• The surgeon must make sure that all other
sources of pain are ruled out before
suggesting surgical removal of the third
molar.
• Patient must be informed that removal of the
third molar may not relieve the pain
completely
CONTRAINDICATION
• Extremes of age
• Compromised medical status.
• Possible excessive damage to adjacent
structures.
• 3m would be expected to erupt successfully&
have a functional role in dentition.
• No h/o or e/o pertinent local/systemic
pathology.
• Prosthetic considerations : where used as an
abutment for fpd.
• Socioeconomic reason.
FREQUENCY OF IMPACTION
• Mandibular 3rd molar
• Maxillary 3rd molar
• Maxillary canine
• Mandibular pre-molar
• Mandibular canines
• Maxillary premolars
• Maxillary lateral incisors
• Maxillary central incisors
MANDIBULAR THIRD
MOLAR
ORDER OF FREQUENCY OF MANDIBULAR
3M IMPACTION
• Mesioangular – 43%
• Vertical – 38%
• Distoangular – 6%
• Horizontal – 3%
SURGICAL ANATOMY
• Location: lower 3rd molar is
situated at the distal end of the
body of the mandible where it
meets a relatively thin ramus.
• Embedded b/w thick buccal
alveolar bone buttressed by
external oblique ridge & the
narrow inner cortical plate.
• Ramus offset by 20°
• Retro molar triangle- depressed
roughened area post. To 3rd
molar
MUSCLES:
• Vestibule is formed by the attachment of buccinator buccally and
mylohyoid lingually.
• Along the anterior border of the ramus - tendinous insertion of
temporalis excessive stripping of these muscle will cause hematoma,
pain and trismus.
• Lingual pouch – perforation of roots along the lingual cortical plate.
- May cause # of lingual cortical plate
Arteries
• Facial artery & facial vein run in close
approximation with lower 2nd molar near the
anterior border of masseter.
• Mandibular vessels in retro molar triangle which
supply temporalis tendon.
• Hemorrhage can occur during surgical removal of
Inferior Alveolar Nerve
• Lies just below the roots of mandibular
molars but slightly buccally placed in
inferior dental canal.
•In case of deep seated impaction special care
should be taken to protect this neurovascular
bundle during bone drilling & tooth sectioning.
•Calcification of inferior alveolar canal is completed
before the roots of 3rd molar are formed. Thus
growing roots may impinge upon the canal or get
deflected. So blind elevation is not advisable.
On average(Based on studies of
pogrel 1995, holzle 2001, behnia
2000)
Horizontal
distance : 0.6mm
medial to
mandible
Vertical Distance :
2.3 mm below
alveolar crest
Lingual
Nerve
Lingual nerve was observed at or above the
crest of the lingual plate in about 17% of
cases. Distances ranging from 2mm above the
crest to 1 mm below the crest.
The direct contact of lingual nerve with
lingual plate in retromolar triangle was noted
in about 50-62 % of cases. With horizontal
distances ranging from 0 mm to 7mm
Lingual Nerve
The retromolar fossa is a
triangular area posterior
to the third mandibular
tooth (mcminn, 1992).
• An opening called the
retromolar foramen (rmf)
is known to be present in
this area (ossenberg,
1987).
Some researchers suggest
that the contents of this
canal originate from the
mandibular neurovascular
bundle before it enters the
mandibular canal,
• While others suggest that
these elements arise from
the neurovascular bundle
in the mandibular canal
and lie in the buccal
region.
Possible hemorrhage of
the vascular contents of
the neurovascular
bundle in this canal or
nerve injury during
surgical extraction of the
impacted mandibular
third molars or during
sagittal split ramus
osteotomies, could
adversely effect
outcome.
Retromolar foramen in the retromolar triangle of the left side (black
arrow).
Bilecenoglu and Tuncer.
Clinical and Anatomical Study of Retromolar Foramen and Canal.
J Oral Maxillofac Surg 2006.
MAXILLARY THIRD
MOLAR
SURGICAL ANATOMY
APPROPRIATE TIMING FOR REMOVAL
OF IMPACTED TEETH
• The most suitable time to do so is when the patient is young,
thus avoiding the aforementioned complications and
undesirable situations that could get worse with time.
• It is easier to remove bone from these patients compared to
older patients, whose bone is usually dense and hard.
• Younger patients generally deal with the overall surgical
procedure and stress well, and present fewer complications and
faster postsurgical wound healing compared with older patients
ASSESSMENT OF MANDIBULAR THIRD
MOLAR IMPACTION
WINTER’S WAR LINES
• White line of winter is drawn along the
occlusal surfaces of the erupted
mandibular molars and extended
posteriorly over the third molar region, the
axial inclination of the impacted tooth is
immediately apparent.
• The relationship of the occlusal surface of
the impacted tooth to those of the erupted
molars may also be estimated by the use
of white line and this provide an indication
of the depth at which the tooth lying in
the mandible.
 Amber line – is drawn from the surface
of the bone lying distally to the third
molar to the crest of the interdental
septum between the first and second
molar.
 When drawing these line it is essential
to differentiate between the external
oblique ridge and cast by the bone
lying distal to the tooth.
 The amber line indicate the margin of
alveolar bone enclosing the tooth.
• Red line – is used to measure the depth at
which the impacted tooth lies within the
mandible. It is perpendicular drop from the
‘amber line’ to an imaginary ‘point of application’
for an elevator.
• The length of red line increases by 1 mm, the
extraction become 3 times more difficult.
• With the solitary exception of distoangular
impaction, the amelocemental junction on the
mesial surface of the impacted tooth is used for
this purpose.
• As a general rule any tooth with a red line 5 mm
or more in length is better removed under an
endotracheal anesthetic.
WINTER CLASSIFICATION (1926)
ACCORDING TO THE POSITION OF THE
IMPACTED 3RD MOLAR TO THE LONG AXIS
OF THE SECOND MOLAR.
• VERTICAL
• MESIOANGULAR
• HORIZONTAL
• DISTOANGULAR
• BUCCOANGULAR
• LINGUOANGULAR
• INVERTED
The angle between the occlusal plane or a line
parallel to the latter and the longitudinal axis of the
molar.
• Molars with a negative angle (<0) were considered
to be inverted,
• Molars with an angle between 0 and 30 were
considered to be horizontal,
• Molars with an angle between 31 and 60 were
considered to be mesioangular,
• Molars with an angle between 61 and 90 were
considered to be vertical,
• Molars with an angle >90 were considered to be
PELL AND GREGORY’S CLASSIFICATION
(1933)
1. AVAILABILITY OF SPACE BETWEEN 2ND
MOLAR AND RAMUS (HORIZONTAL
PLANE)
2. RELATIVE DEPTH OF 3RD MOLAR
(VERTICAL PLANE)
3. LONG AXIS OF IMPACTED TOOTH IN RELATION TO
THE LONG AXIS OF THE 2ND MOLAR. (WINTER
CLASSIFICATION)
ADA CODE ON PROCEDURES &
NOMENCLATURES
Describes the amount of soft and hard tissue over the
coronal surface of an impacted tooth
• Soft tissue impactions
• Complete bony impactions
• Partial bony impactions
Combined ADA & AAOMS classification of
procedural terminology
07220:- overlying soft tissue
07230:- partially bony impacted
07240:- completely bony
07241:- completely bony, with unusual surgical
complications
WHARFE’S ASSESSMENT
RADIOGRAPHIC
CHARECTERISTICS
CATEGORY SCORE
WINTERS
CLASSIFICATION
Horizontal
Distoangular
Mesioangular
Vertical
2
2
1
0
HEIGHT OF THE
MANDIBLE
1-30mm
31-34mm
35-39mm
0
1
2
ANGULATION OF THE
THIRD MOLAR
1˚- 50˚
60˚- 69˚
70˚- 79˚
80˚- 89˚
90˚+
0
1
2
3
4
ROOT SHAPE
Complex
Favorable curvature
Unfavorable curvature
1
2
3
FOLLICLE
Normal
possibly enlarged
enlarged
impaction
relieved
0
-1
-2
-3
PATH OF EXIT
Space available
Distal cusps
covered
Mesial cusps
covered
Both covered
0
1
2
3
TOTAL 33
DIFFICULTY INDEX FOR REMOVAL OF IMPACTED
MAND THIRD MOLARS - PEDERSEN 1988
CLASSIFICATION DIFFICULTY INDEX VALUE
ANGULATION
Mesioangular 1
Horizontal / transverse 2
Vertical 3
Distoangular 4
DEPTH
Level A 1
Level B 2
Level C 3
RAMUS RELATIONSHIP / SPACE AVAILABLE
 Class I 1
 Class II 2
 Class III 3
• DIFFICULTY INDEX
• VERY DIFFICULT : 7 TO 10
• MODERATELY DIFFICULT : 5 TO 7
• MINIMALLY DIFFICULT : 3 TO 4
NEW INDEX SCORE
A COMPREHENSIVE PROFORMA FOR EVALUATION OF MANDIBULAR THIRD MOLAR
IMPACTIONS
SUVY MANUEL • L. K. SUREJ KUMAR • MATHEW P. VARGHESE
J. MAXILLOFAC. ORAL SURG.
DOI 10.1007/S12663-013-0543-2
RELATIONSHIP TO THE INFERIOR ALVEOLAR CANAL (HOWE & POYNTON -1960 , ROOD &
SHEHAB 1990)
RELATED BUT NOT INVOLVING THE CANAL
• SEPARATED
• ADJACENT
• SUPERIMPOSED
RELATED TO CHANGES IN THE CANAL
• DARKENING OF THE ROOT
• DARK & BIFID ROOT
• NARROWING OF THE ROOT
• DEFLECTED ROOT
RELATED WITH CHANGES IN THE CANAL
• INTERRUPTION OF LINES
• CONVERGING CANAL
• DIVERTED CANALS
Modified Parant Scale (1997)
Easy I - extraction requiring forceps only
Easy II-extraction requiring osteotomy only
Hard
III -
extractions requiring osteotomy and coronal
section
Difficult IV - complex extractions (requiring root
resection)
A COMPREHENSIVE PROFORMA FOR EVALUATION OF MANDIBULAR THIRD MOLAR IMPACTIONS
SUVY MANUEL • L. K. SUREJ KUMAR • MATHEW P. VARGHESE
J. MAXILLOFAC. ORAL SURG.
DOI 10.1007/S12663-013-0543-2
ASSESSMENT OF MAXILLARY
THIRD MOLAR
RELATIONSHIP OF MAXILLARY 3RD
MOLAR TO SINUS
CLASSIFICATION
BASED ON DEPTH
PRE-OP MANAGEMENT
• THOROUGH REVIEW OF MEDICAL
HISTORY.
• GOOD QUALITY DIAGNOSTIC X-
RAYS
• CBCT IF INDICATED
ROLE OF CBCT IN DIAGNOSIS
CBCT is required in the preoperative assessment of IMTM when darkening of
the roots and interruption of the white line are observed on panoramic images.
• REVIEW ALL RISKS OF PROCEDURES.
• REVIEW ALL POST SURGICAL HOME CARE
INSTRUCTIONS.
• REVIEW SURGICAL PROCEDURE UTILIZING
TEACHING AIDS.
• DISCUSS AND EVALUATE NEED FOR SEDATION.
• GIVE PATIENT PRESCRIPTIONS FOR ANALGESICS
AND ANTIBIOTICS
ANTIBIOTIC PROPHYLAXIS IN THIRD MOLAR SURGERY: A
RANDOMIZED DOUBLE-BLIND PLACEBO-CONTROLLED CLINICAL
TRIAL USING SPLIT-MOUTH TECHNIQUE.
INT. J. ORAL MAXILLOFAC. SURG. 2010; 39: 107–114
EFFECTIVENESS OF ANTIBIOTIC PROPHYLAXIS IN THIRD MOLAR
SURGERY: A META-ANALYSIS OF RANDOMIZED CONTROLLED
CLINICAL TRIALS
YAN-FANG REN, DDS, PHD, MPH* AND
HANS S. MALMSTROM, DDS†
J ORAL MAXILLOFAC SURG. 2007 OCT;65(10):1909-21.
Systemic antibiotics given before the
surgery were effective in reducing the
frequencies of AO and wound infection
after third molar surgery.
Authors recommend that antibiotic
prophylaxis should not be
administered routinely when third
molars are removed in non immune-
• Swelling and pain following third molar surgery are
the most common findings in our study. Neither
correlates with the postoperative antibiotic regime
• Postoperative antibiotics for 3 days are required in
distoangular, horizontal impactions, in difficult
impaction (covered by bone), and in cases where
the duration of surgery exceeds 30 min to reduce
the incidence of alveolar osteitis
• Decision for postoperative antibiotic regime should
be made according to tooth position, the bone
surrounding the tooth, the presence or absence of
pathology, and the estimated duration of surgery.
ANTIBIOTICS IN THIRD MOLAR EXTRACTION; ARE THEY
REALLY NECESSARY: A NON-INFERIORITY RANDOMIZED
CONTROLLED TRIAL
NATL J MAXILLOFAC SURG. 2014 JUL-DEC; 5(2): 166–171.
PREEMPTIVE ANALGESIA IN THIRD
MOLAR IMPACTION SURGERY
RAKESH SHAH, AMIT MAHAJAN, NAVIN SHAH, ASHISH P.
DADHANIA
NATIONAL JOURNAL OF MAXILLOFACIAL SURGERY | VOL 3 |
ISSUE 2 | JUL-DEC 2012
Use of diclofenac sodium orally in 50 mg dose one
Hour preoperatively as preemptive analgesic agent
Is economical, effective, easy and safe method of
postoperative pain control in mandibular third
molar impaction surgery cases
SURGICAL MANAGEMENT OF IMPACTED TOOTH
• Anaesthesia
• Incision & elevation of mucoperiosteal flap
• Removal of overlying bone
• Delivery of sectioned tooth
• Smoothening & debridement of socket.
• Hemostasis
• Wound closure
• Post-op follow up
•INCISION & MUCOPERIOSTEAL
FLAP
 Incision – 3 parts
Factors Governing
Planning of Incision
John tomes (1849) – first to describe surgical
access
BUCCAL VS LINGUAL APPROACH
Criteria
Access
Operating time
Technique
Bone removal
Postoperative pain
Postoperative edema
Dry socket
SOME COMMON INCISIONS AND
FLAPS USED IN THIRD MOLAR
SURGERY
• Ward’s incision and Modified Ward’s incision
• Comma shaped incision.
• S -shaped incision
• Szmyd and modified Szmyd incision
• Envelope flap
• Triangular Flap
• Berwick’s tongue shaped flap.
INCISION-FLAP DESIGN
WARD’S INCISION
MODIFIED WARD’S INCISION
COMMA SHAPED INCISION
ENVELOPE FLAP
SZMYD INCISION(1971)
TRIANGULAR FLAP
• PALATAL DIAGONAL FLAP - DR. LEE
DARICHUK (2005)
• Gives excellent unrestricted access to the maxillary
tuberosity region. The Laster and the Minnesota
cheek retractors both provide good access to the
tuberosity region and prevents displacement of
tooth
OUTLINE OF INCISION
OF THE VESTIBULAR
TONGUE-SHAPED FLAP
DESCRIBED BY BERWICK
PEDICLE FLAP
LINGUALLY BASED TRIANGULAR
FLAP
FLAP
INCISIONS AND FLAP DESIGNS
Review of flap design influence on the
health of the periodontium after
mandibular third molar surgery.
Oral Surg Oral Med Oral Pathol Oral
Radiol Endod 2007;104:18-23
Flap design does not have a
lasting effect on the periodontal
condition post extraction.
BONE REMOVAL
Aim
• To expose the crown by removing the bone overlying it.
• To remove the bone obstructing the pathway for removal
of the impacted tooth.
Types
• By consecutive sweeping action of bur(in layers).
• By chisel or osteotomy cut(in sections).
How much bone has to be removed?
CHISEL VS BUR
CRITERIA CHISEL & MALLET BUR
TECHNIQUE Difficult Easy
PT’S ACCEPTANCE Not tolerated well ↓
L.A
Tolerated well ↓ L.A
CHANCE OF # OF
BONE
High Low
BONE HEALING Good Delayed
CRITERIA CHISEL & MALLET BUR
POST-OP EDEMA Less More
DRY SOCKET Incidence is less Very high
POST-OP INFECTION Less More
ADV/DISADV -Difficult to remove
deeply buried
impaction
-Impaction in
edentulous jaws & in
elderly pts.
-Bone removal is less
predictable.
-Relatively easy to
remove
• POSTAGE AND STAMP TECHNIQUE.
Bone Removal Techniques
MOORE/GILLBE COLLAR TECHNIQUE
LATERAL TREPHINATION TECH(BOWDLER HENRY)
• It is the removal of a tooth that has one third or
less of root formation and also has a
radiographically discernible periodontal
ligament
• Employed to remove any partially formed
unerupted third molar that has not breached
the hard & soft tissues overlying it.
Advantages
• Bone healing is excellent and here is no loss of
alveolar bone around 2nd molar.
CORONECTOMY (PARTIAL TOOTH REMOVAL, PARTIAL
ODONTECTOMY OR INTENTIONAL ROOT RETENTION)
Angle of the bur at approximately 45° and lingual retractor protecting the lingual
nerve (arrow). Shaded area of root on buccal side to be removed secondarily.
Pogrel, Lee, and Muff. Coronectomy. J Oral Maxillofac Surg 2004
A.CORONECTOM
Y OF AN
IMPACTED 3RD
MOLAR WITH
NERVE
INVOLVEMENT.
B. ONE YEAR
LATER SHOWS
BONE
FORMATION AS
WELL AS ROOT
MIGRATION.
THE BUCCAL LID APPROACH FOR REMOVAL OF
IMPACTED MANDIBULAR MOLARS—WHEN, HOW AND
WHY?
OPEN JOURNAL OF STOMATOLOGY, 2017, 7, 81-90
FARES KABLAN et al
LINGUAL GUTTERING TECHNIQUE FOR REMOVAL OF IMPACTED
MANDIBULAR THIRD MOLARS
TEJRAJ P KALE,1 VIKRAM S PANDIT,2 SHANKARGOUDA PATIL,3 VIVEK
PAWAR,4 AND NISHA SHETTY5
J INT ORAL HEALTH. 2014 JUL-AUG; 6(4): 9–11
TWO-STAGE METHOD FOR THE EXTRACTION OF A HORIZONTALLY
IMPACTED LOWER THIRD MOLAR YASUTAKA KUBOTA, SHOJI OKA,
YOSHIE YAHARA AND KANEMITSU SHIRASUNA
ORAL SCIENCE INTERNATIONAL, NOVEMBER 2008, P.73-77
COPYRIGHT © 2008, JAPANESE STOMATOLOGY SOCIETY. ALL RIGHTS
RESERVED
CHISEL TECHNIQUE THROUGH BUCCAL
APPROACH
LINGUAL SPLIT BONE TECH (SIR WILLIAM KELSEY FRY)
Popularized by T. Ward
Advantages
• Quick & clean
• Reduces the size of blood clot by means of
saucerization of socket.
Disadvantages
• Only suitable for young adults therefore elastic bone
is required
• More chances of getting post operating lingual nerve
paraesthesia
• Patients inconvenience.
Lingual split-bone technique.
A. Outline of the incision, B. Reflection of the flap & creation of an anterior
vertical stop, C. Removal of buccal plate to expose the crown. D, Placement
of a chisel to section the lingual cortex, E. Elevation of tooth, F. Wound
closure
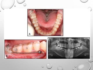
Uprighting mesially impacted lower third molars
with skeletal anchorage
Manuel et al
jco,july 2016
• An orthodontic mini-implant is inserted interproximally on
the buccal side of the alveolar ridge, with the exact
location determined by clinical and radiographic
assessment of the available space.
• With direct anchorage from the mini-implants, there is no
risk of anchorage loss or undesired tooth movement.
Extraction and associated risks such as nerve damage,
TMD, and improper wound healing are avoided.
ORTHODONTIC EXTRACTION OF
THIRD MOLAR
TOOTH SECTIONING – WHEN?
DELIVERY OF SECTIONED TOOTH
Luxation of the distal segment of the tooth with rotation of
the elevator distally.
DELIVERY OF SECTIONED TOOTH
Luxation of the impacted tooth in the distal direction, after
creating a pathway for removal.
ADVANTAGES OF TOOTH DIVISION( PELL AND
GREGORY,1942)
• Bone removal is eliminated or considerably reduced,
resulting in less postoperative pain and swelling.
• Less chances of damage to the adjacent tooth
because no effort is made to force the impacted
tooth past the convexity of 2nd molar, which would
tend to elevate it out of the socket.
• The risk of fracture of the reduced, since most
fractures occurs from the forced elevation.
• The danger of injury to IAN, which frequently follows
heavy leverage forcing the apex of the tooth down
into the canal, is greatly lessened.
RECENT ADVANCES
Use of erbium (er):yag laser
M.Abu-serriah / A.Ayoub : bjoms 2004; 42: 203-
208]
Advantages
• Less stressful
• Less unpleasant
• No vibrations & sound
• Sharp clean cut through the bone & tooth
• Can used anxious patients
Disadvantages
• Compensate for tactile feedback compare to
bur.
• Trismus is more
• Time consuming
• Costly
USE OF ENDOSCOPIC APPROACH FOR ECTOPIC
MANDIBULAR 3RD MOLAR (BJOMS 2003; OCT. 41: 340-
42)
Advantages
• Less tissue damage
• Clear magnified visualization of operative
field
• More conservative surgery with precise
dissection.
Disadvantages
• Costly
• Need basic equipments
• Good eye coordination and training
DEBRIDEMENT OF WOUND & CLOSURE
• Thorough debridement of the socket by
periapical curette
• Smoothening of sharp bony margins by
• Bone file / round burs
• Thorough irrigation of the socket
• POVIDONE IODINE solution / saline
• Initial wound closure is achieved by
• Just distal to 2nd molar
• Posterior relieving incision
• Inter dental area mesial to 2nd molar
• 3-4 sutures are usually sufficient
ASSESSMENT OF THE EFFECT OF WOUND CLOSURE
TECHNIQUE ON POSTOPERATIVE SEQUELE AND
COMPLICATIONS AFTER IMPACTED MANDIBULAR THIRD
MOLAR EXTRACTION E. O. ANIGHORO1 , O. M.
GBOTOLORUN2*, R. A. ADEWOLE2 , G. T. AROTIBA2 , O. A.
EFFIOM3
OPEN JOURNAL OF STOMATOLOGY, 2013, 3, 527-532
Wound closure methods have little or no
effect on the rate of complications after the
third molar removal.
POST OPERATIVE INSTRUCTIONS
• Pressure pack
• Ice application
• Soft diet –1st two days
• 1st dose of analgesic should be taken before the
anesthetic effect of LA wears off.
• Avoid gargling / spitting / smoking / drinking with
straw.
• Warm water saline gargling after 24 hrs + mouth
wash regularly thereafter.
COMPLICATIONS(COMMON AND
DURING MANDIBULAR THIRD
MOLAR SURGERY)Intra operative
1. During incision
a. Hemorrhage
B. Injury to lingual nerve
2. During bone removal
A. Damage to second molar
B. Slipping of bur into soft tissue & causing
injury
C. Extra oral/ mucosal burns
D. Fracture of the mandible when using chisel &
mallet
E. Subcutaneous emphysema
3. During elevation or tooth removal
A. Luxation of neighboring tooth/ fractured
restoration
B. Soft tissue injury due to slipping of
elevator
C. Injury to inferior alveolar neurovascular
bundle
D. Fracture of mandible
E. Forcing tooth root into submandibular
space or
inferior alveolar nerve canal
F. Breakage of instruments
G. TMJ dislocation
Nerve Injuries
• 0.6-5% of all the third molar surgeries are
involved with nerve damages of which 0.2% are
irreversible
• Ian: immediate disturbance - 4-5% (1.3-7.8%)
Permanent disturbances - <1% (0-2.2%)
• Lingual n: immediate - 0.2-22%
Permanent - 0-2%
Buccal nerve injury-very rare
• 96% IAN injuries show spontaneous recovery
within 9 months, better than lingual nerve which
is about 87%
• Beyond 2yrs recovery is unlikely
• Less chances of lingual nerve regeneration compare to
inferior alveolar nerve –
Morphological difference
In addition, the presence of a range of functionally
Distinct nerve fibre types in this nerve
(Mechanosensitive, thermosensitive,
Gustatory, vasomotor and secretomotor)
May make successful regeneration of the axons back to
the correct receptor/effector and location less likely
TOOTH DISPLACEMENT IN
LINGUAL POUCH
COMPLICATIONS OF MAXILLARY THIRD
MOLAR SURGERY
Fracture of maxillary tuberosity – if the operator
anticipates such a fracture, avoiding reflection of
the periosteum will preserve the blood supply
and will provide the best chance of survival
postoperatively.
Oroantral fistula
Displacement into maxillary sinus
• If entire tooth is displaced it should be removed
as early as possible to prevent infection.
• According to pogrel (1990) initial attempt
should be with a suction at the opening, if
it fails irrigate with saline again use
suction. If again fails place the patient on
antibiotics and nasal decongestants and
plan Caldwell Luc approach.
DISLODGED INTO INFRATEMPORAL FOSSA
• The tooth should be removed as early as
possible to avoid infection.
• Put an incision and try to retrieve with a
haemostat or Allis forceps. If it is not
possible wait till fibrosis occurs and tooth
become stable. And place the patient under
antibiotic coverage.
• Damage to adjacent 2nd molar-during bone
removal and elevation.
• Prolapse of buccal fat pad
POST-OPERATIVE
• IMMEDIATE
• Pain
• Hemorrhage
• Swelling
• Trismus
• Paraesthesia
• LATE
• Infection
• Dry socket
• Osteomyelitis
• Secondary
hemorrhage
• Pain in TMJ
DRY SOCKET
• 20% of extraction of mandibular 3rd molar
• 2% of routine extraction
• Moderate-severe pain develops generally on
3rd/4th day.(With no signs of infection)
• Dull aching pain usually radiates to ear
• Empty socket
• Bad odour & taste
• Etiology - unknown
 Possibly excessive fibrinolytic activity
 Subclinical infection
Management
• Gentle irrigation with warm saline followed by superficial
suctioning.
• Pack iodoform gauze socked with medications change
every day for 3-6 days.
• Intra-alveolar medicaments
-With eugenol
-Topical LA
-Antifibrinolytic agents.
• Analgesics.
CONTROVERSIES
General vs. Local anaesthesia
Surgical removal of wisdom tooth can be done
under local anaesthesia or general
anaesthesia. The decision to use either
anaesthesia depends on the condition of the
wisdom tooth and the judgment of the
operating dental surgeon.
INDICATION FOR GENERAL
ANAESTHESIA
• Allergy to local anaesthesia.
• Medically compromised patients.
• Uncooperative patients.
• Patients with need of a comprehensive dental
treatment.
• The use of preoperative corticosteroids to minimize
swelling, trismus and pain has gained wide acceptance in
the practice of oral and maxillofacial surgery.
• Steroids act by interfering with capillary vasodilation,
leukocyte migration, phagocytosis, cytokine production
and prostaglandin inhibition.
USE OF STEROIDS
IMPACTED TEETH AS POTENTIAL
SOURCE OF INFECTION
Prior to administration of radiotherapy:-
• Teeth at risk of infection which could
result in osteoradionecrosis or
endocarditis should be removed.
Cardiac patients :-
• Cardiac patients with valvular disease or
those who have undergone valve
replacement have evidence of molar
periodontal defects and inflammatory
mediators in their crevicular fluid; should
ASYMPTOMATIC IMPACTED
TOOTH
• “IF IMPACTED TEETH ARE LEFT IN THE ALVEOLAR
PROCESS, IT IS HIGHLY PROBABLE THAT ONE OR MORE OF
A NUMBER OF PROBLEMS WILL RESULT”.
(PETERSON’S CONTEMPORARY ORAL AND MAXILLOFACIAL
SURGERY )
• NATIONAL INSTITUTES OF HEALTH CONSENSUS
DEVELOPMENT CONFERENCE: REMOVAL OF THIRD
MOLARS ALSO SUPPORTED THAT “ THIRD MOLARS
SHOULD BE REMOVED IN THE YOUNGER AGE PATIENT
BECAUSE THERE IS LESS TRANSITORY OR PERMANENT
MORBIDITY,” AND LESS ANAESTHETIC RISK.
TO RETAIN OR TO REMOVE
RISKS AND BENEFITS OF REMOVAL OF IMPACTED THIRD MOLARS A
CRITICAL REVIEW OF THE LITERATURE P. MERCIER, D. PRECIOUS
DEPARTMENTS OF ORAL AND MAXILLOFACIAL SURGERY, ST, MARY'S
HOSPITAL, MONTREAL, AND DALHOUSIE UNIVERSITY, HALIFAX, CANADA P.
MERCIER, 1). PRECIOUS." J. ORAL MAXILLOFAC. SURG. 1992; 21:17 27.
• The best general approach is to remove, on the
basis of clinical judgement, some teeth before
the age of 14 and others before the age of 22,
when chances of eruption are minimal. The best
strategy after this age is periodic examination of
a patient who has been fully informed of the
relevant risks and benefits. Ultimately, as in
every treatment decision, the surgeon must
weigh the facts and put the interests of the
patient above all else. This is our professional
responsibility.
PROPHYLACTIC EXTRACTION OF THIRD
MOLARS: EVIDENCE-BASED DENTISTRY
COSTA RICAN JOURNAL,2016
• There is a lack of reliable evidence to support the
prophylactic removal of disease-free itm in
adolescents and young adults. As routine
procedure, this treatment is unjustifiable.
• A more suitable strategy is the active and careful
monitoring, at regular intervals, of asymptomatic
itm, based on clinical experience.
• Each case of itm should be carefully and individually
assessed, estimating the balance between risk,
benefit, and cost.
• The patient’s perspectives and values must be taken
SURGICAL REMOVAL VERSUS
RETENTION FOR THE MANAGEMENT
OF ASYMPTOMATIC DISEASE-FREE
IMPACTED WISDOM TEETH
COCHRANE JOURNAL,2016
• In light of the lack of available evidence, patient
values should be considered and clinical
expertise used when treatment decisions are
made with patients who have asymptomatic
disease free impacted wisdom teeth. If the
decision is made to retain asymptomatic
disease-free impacted wisdom teeth, clinical
assessment at regular intervals is advisable to
prevent undesirable outcomes.
Year : 2017 | Volume : 29 | Issue : 1 | Page : 20-24
Predicting pathology in impacted mandibular third molars
Aveek Mukherji, Mohit Pal Singh, Prashant Nahar, Bhuvaneshwari S Balaji, Hemant Mathur, Saurabh Goel
Department of Oral Medicine and Radiology, Pacific Dental College and Hospital, Debari, Rajasthan, India
Asymptomatic patients who
decide to retain their third
molars should have periodic
clinical and radiographic
examinations to detect any
disease before it becomes
symptomatic.
CONCLUSION
• All patients with impacted third molars should
be evaluated and treatment planned should
be based on their individual presentation, and
should not be subjected to a ‘‘standardized
generic treatment protocol.’’
“Bone & soft tissues
belongs to the patient
and only the tooth
belong to the
surgeon”
REFERENCES• EVIDENCED-BASED DECISION MAKING: THE THIRD MOLAR;
DENT CLIN N AM 53 (2009) 77–96.
• DO PATHOLOGIES ASSOCIATED WITH IMPACTED LOWER
THIRD MOLARS JUSTIFY PROPHYLACTIC REMOVAL? A
CRITICAL REVIEW OF THE LITERATURE
WASIU LANRE ADEYEMO, BDS, FMCDS,A LAGOS, NIGERIA
(ORAL SURG ORAL MED ORAL PATHOL ORAL RADIOL ENDOD 2006;102:448-52)
• ORAL MAXILLOFACIAL SURG CLIN N AM 19 (2007)
• FACTORS INFLUENCING THE PROPHYLACTIC REMOVAL OF
ASYMPTOMATIC IMPACTED LOWER THIRD MOLARS.
N. ALMENDROS-MARQUE´S, E. ALAEJOS-ALGARRA, M. QUINTEROS-BORGARELLO, L.
BERINI-AYTE´S, C. GAY-ESCODA:
( INT. J. ORAL MAXILLOFAC. SURG. 2008; 37: 29–35)
REFERENCE
S
• ANDREASEN, PETERSON, LASKIN : TEXTBOOK AND
COLOR ATLAS OF TOOTH IMPACTIONS,1997,
MUNKSGAARD
• PETERSON, ELLIS, HUPP, TUCKER : CONTEMPORARY
ORAL AND MAXILLOFACIAL SURGERY ED 2, 1993,
MOSBY-YEAR BOOK.
• ALLING, HELFRICK, ALLING : IMPACTED TEETH, 1993,
MOSBY-YEAR BOOK.
• DANIEL M. LASKIN :ORAL AND MAXILLOFACIAL
SURGERY VOL 2 ORAL SURGERY, 2003, C.V.MOSBY
COMPANY.
• KILLEY AND KAY’S OUTLINE O ORAL SURGERY, PART I,
ED 2, 1987, IOP PUBLISHING COMPANY.
• NEELIMA ANIL MALIK: TEXT BOOK OF ORAL AND
MAXILLOFACIAL SURGERY
• MINOR ORAL SURGERY - GEOFFREY L. HOWE
• TEXT BOOK OF ORAL AND MAXILLOFACIAL SURGEY-
SRINIVASAN
• TEXTBOOK OF ORAL AND MAXILLOFACIAL SURGEY
- KILLEY & KAY
THANK YOU………

Third molar surgery

  • 1.
    THIRD MOLAR SURGERY DRJACOB JOHN PLACKAL RESIDENT,KVGDC
  • 2.
    • HEY! U CAMETO THE RIGHT PLACE  GO THROUGH THIS AND HELP YOURSELF. DISCLAIMER:SOME OF THE SLIDES BELONG TO THE BEAUTIFUL PEOPLE WHO WERE KIND ENOUGH TO UPLOAD IT HERE.
  • 3.
    CONTENTS • Introduction • Definition •Theories of impaction • Clinical & radiological assessment • Classification • Etiology • Indications and contraindications • Frequency • Surgical anatomy • Management • Complications • Recent advances
  • 4.
    HISTORICAL BACKGROUND ON THECRITERIA FOR REMOVAL OF THIRD MOLAR • In 1979, a consensus development conference practicing dentists and scientists, on third molar removal was sponsored by national institute of health, USA. J oral surgery…vol38,march 1980
  • 5.
    INTRODUCTION The third molarhas been the most widely discussed tooth in the dental literature, and the debatable question “….. to extract or not to extract” seems set to run into the next century. - Faiez N. Hattab, JOMS, 57: 389-391 (1999)
  • 6.
    DEFINITION The term impactionis of latin origin from the term “IMPACTUS” used to designate an organ or structure which because of an abnormal mechanical condition has been prevented from assuming its normal position. Rounds (1962) :- “The condition in which a tooth is embedded in the alveolus so that its further eruption is prevented.”
  • 7.
    Alling :- Animpacted tooth is a tooth that is completely / partially unerupted at its chronological age and is positioned against a physical barrier, such as another tooth, bone / soft tissue, so that its further eruption is unlikely described according to its anatomic position.
  • 8.
    • WHO :-An impacted tooth is the one that is unable to fully erupt in its normal functional occlusion / location by its expected age of eruption, because it is blocked by overlying soft tissue or bone or another tooth.
  • 9.
    CAUSES OF IMPACTION •BERGER (1939) CLASSIFIED CAUSES OF IMPACTION IN TWO MAJOR CATEGORIES : • Local causes • Systemic causes
  • 10.
    LOCAL CAUSES 1) Lackof space due to underdeveloped jaw. 2) Long retention of primary teeth. 3) Premature loss of primary teeth. 4) Irregularity in position and pressure of an adjacent teeth. 5) The density of overlying and surrounding bone 6) Long continued chronic inflammation with resultant increase in density of the overlying mucous membrane. 7) Acquired diseases such as necrosis due to infection and abscess. 8) Inflammatory changes in the bone due to
  • 11.
    SYSTEMIC CAUSES: A. PRENATALCAUSE 1. HEREDITY 2. MISCEGENATION B. POSTNATAL CAUSE (CONDITION WHICH MAY INTERFERE WITH THE DEVELOPMENT OF CHILD ) 1. RICKETS 2. ANEMIA 3. CONGENITAL SYPHILIS 4. TUBERCULOSIS 5. ENDOCRINAL DYSFUNCTIONS 6. MALNUTRITION C. RARE CONDITIONS 1. CLEIDOCRANIAL DYSOSTOSIS 2. OXYCEPHALY ( “ STEEPLE HEAD” ) 3. PROGERIA 4. ACHONDROPLASIA 5. CLEFT PALATE
  • 12.
    THEORIES OF IMPACTION BYDURBECK • Mendelian theory • Phylogenic theory • Orthodontic theory • Endocrinal theory • Pathological theory
  • 13.
    THE MENDELIAN THEORY •Heredity is the most common etiologic factor in impaction. • The transmission of small jaws from one parent and large teeth from the other would likely result in insufficient space for the teeth and instances of impaction. THE PHYLOGENIC THEORY • Over centuries maxilla and mandible have decreased in size leaving insufficient room for 3rd molars. • Congenitally missing 3rd molars in some individuals supports the view that the 3rd molar is a vestigial
  • 14.
    THE ENDOCRINE THEORY •Endocrinal disorders of thyroid, parathyroid, pituitary glands cause primary retention of the teeth. • This is due to lack of osteoclastic activity which does not provide resorption of the bone overlying the developing tooth. PATHOLOGICAL THEORY • Chronic infections affecting an individual may bring the condensation of osseous tissue further
  • 15.
    THE ORTHODONTIC THEORY •The normal growth of the jaw and the movement of teeth are in a forward direction, anything that interferences with such a development causes impaction. • Forward movement is usually retarded by dense bone that can be produced by many pathologic conditions including acute infection, severe trauma, malocclusion, local inflammation of the periodontal membrane.
  • 16.
    ASSESSMENT OF IMPACTION •Preoperative assessment •Clinical assessment • General • Local • Radiological assessment
  • 17.
    Factors to bekept in mind • Extremes of age >25yrs risk of complications (J Oral Maxillofac Surg 2007; 65: 1977- 1983) • Compromised medical status • Excessive risk of damage to adjacent vital structures • Availability of space • Uncontrolled active pericoronal infection • Questionable Status of future of Second molar
  • 18.
    CLINICAL ASSESSMENT • Generalassessment • Age • General examination • Medical risk
  • 19.
    Factors to beconsidered in clinical assessment • Complaint : pain, exclude other causes such as TMJ disorder, pulpitis/ abscess of other teeth. • Previous medical history. • Dental history: difficult extractions, postoperative infection, bleeding, etc. • Extra-oral features: facial form, lymphadenopathy, lower lip is tested for paresthesia, swelling.
  • 20.
    LOCAL ASSESSMENT • Intraoral examination • Mouth opening • Size of tongue • Extensibility of lips and cheeks • Status of dentition • Lymph nodes • Assessment of impacted teeth in particular
  • 21.
    ASSESSMENT OF IMPACTEDTEETH • Crown visible ? • Position and occlusal relation of opposing tooth • Distal of second molar for pocket formation • External oblique ridge • Distance between distal surface of second molar and anterior border of ramus • Condition of soft tissue
  • 22.
    RADIOGRAPHIC ASSESSMENT • Radiographicviews • Intraoral periapical • Orthopantamograph • Occlusal • Linear cross sectional tomography A diagnostic technique for determining the buccolingual relationship of impacted mandibular third molar and inferior alveolar neurovascular bundle • Modified linear cross sectional tomography
  • 23.
  • 24.
    ACCESS Ease of accessto the site of operation may be determined by noting the inclination of the radio-opaque line cast by the external oblique ridge. If this line is vertical access is poor, whilst if it is horizontal access is excellent.
  • 25.
    ROOT MORPHOLOGY • Thefused, conical roots are easier to remove than widely separate roots. • Severely curved or dilacerated roots are more difficult to remove than straight or slightly curved roots. • The direction of the tooth root curvature is also important • The total width of the roots in mesiodistal direction should be compared with the width of the tooth at the cervical line. If the width is greater, the extraction will be more difficult.
  • 26.
    • Optimal timefor removal of an impacted teeth is when the root is 1/3 to 2/3 formed. In this case roots are blunt and almost never fracture. • If the root development is insufficient, the tooth is more difficulty to remove, because it tends to roll in its crypt like a ball in socket, which prevent easy elevation.
  • 27.
    SIZE OF FOLLICULARSAC • If the follicular size is wide, much less bone must be removed. • Young patient are more likely to have large follicle. • The narrow or nonexistent follicular space require creation of space, which increases both difficulty of procedure and the time require to remove the tooth.
  • 28.
    DENSITY OF SURROUNDINGBONE • Patients who are 18 years of age or younger have bone densities favorable for tooth removal. The bone is less dense, is more likely to pliable, and expands and bends somewhat which allows the socket to be expanded by elevators or tooth itself. • Patients who are older than age 25 have denser bone and thus decreased flexibility and ability to expand.
  • 29.
    SHAPE OF CROWN •The teeth with large square crowns and prominent cusps are more difficult to remove then teeth with small conical crowns and flat cusps.
  • 30.
    • Crown andcusps are of especial importance when the ‘line of withdrawal’ of third molar is completely obstructed. • It is characterized by the cusps of the third molars superimposed upon the distal surface of the second molar in the standard radiograph. • The sectioning of the impacted tooth require to avoid damage or displacement of 2nd molar from the socket.
  • 31.
    RADIOLOGICAL PREDICTION OFINFERIOR ALVEOLAR NERVE INJURY • According to J. P. Rood, B. A. A. Nooraldeen shehab, • Diversion of mandibular canal • Darkening of root • Interruption of white lines • Narrowing of roots • Deflection of roots • Narrowing of mandibular canal • Dark and bifid root BR JR OF ORAL AND MAXILLOFACIAL SURGERY 1990; 28: 20-25 J ORAL MAXILLOFAC SURG 2003; 61: 417- 421 J ORAL MAXILLOFAC SURG 2005; 63: 3-7
  • 32.
    CORRELATION BETWEEN RADIOGRAPHIC SIGNSOF THIRD MOLAR PROXIMITY WITH INFERIOR ALVEOLAR NERVE AND POSTOPERATIVE OCCURRENCE OF NEUROSENSORY DISORDERS. A PROSPECTIVE, DOUBLE- BLIND STUDY1 (Fabio et al) Acta cir. Bras. Vol.28 no.3 são paulo mar. 2013 There is no positive correlation between presence of radiographic signs of 3ms with IAN proximity and postoperative neurosensory disorders occurrence.
  • 33.
    POSITION OF ROOTTO INFERIOR ALVEOLAR CANAL
  • 36.
    Panoramic radiographic findingsas predictors of mandibular nerve exposure following third molar extraction: Digital versus conventional radiographic techniques Oral Surg Oral Med Oral Pathol Oral Radiol Endod 2009;107: e36-e40) The imaging technique does not modify the relationship between high-risk panoramic radiographic signs and MN exposure.
  • 37.
    LOCALIZATION OF IMPACTEDTHIRD MOLAR USING RADIOGRAPHS • Periapical x-rays- frank’s tube shift technique • Vertical tube shift technique • For separating horizontally oriented objects • For determining bucco-lingual position of third molar apices that super impose the mandibular canal
  • 38.
    CLARK’S HORIZONTAL TUBE SHIFT •For separating superimposed objects with vertical long axis • For buccal / lingual localization of impacted third molar from roots of erupted teeth
  • 39.
    INDICATIONS FOR THERAPYFOR THIRD MOLARS 1. Pericoronitis prevention or treatment 2. Management of unexplained pain 3. Prevention of caries 4. Root resorption of adjacent teeth 5. Orthodontic considerations 6. Teeth under dental prosthesis 7. Preparation for orthognathic surgery 8. Prevention of odontogenic cysts and tumours 9. Prevention of jaw fracture
  • 40.
    PERICORONITIS- PREVENTION ORTREATMENT • Usually mandibular – partially erupt • Microbes : peptostreptococcus, fusobacterium, and bacteroides (porphyromonas) • Initial treatment : I. Débridement Ii. Disinfection with irrigation solution (hydrogen peroxide or chlorhexidine) Iii. Surgical management – extract opposing max 3rd molar. Iv. Severe cases with systemic effect – antibiotic
  • 41.
    PREVENTION OF DENTALDISEASE • DISTAL CERVICAL CARIES is a late phenomenon and has been reported only in association with impacted third molars. The early or prophylactic removal of a partially erupted mesio-angular third molar could prevent distal cervical caries forming in the mandibular second molar. DISTAL CERVICAL CARIES IN THE MANDIBULAR SECOND MOLAR: AN INDICATION FOR THE PROPHYLACTIC REMOVAL OF THE THIRD MOLAR? LOUIS W. MCARDLE∗, TARA F. RENTON
  • 42.
    ORTHODONTIC CONSIDERATIONS Obstruction of orthodontictreatment Crowding of mandibular incisors Interference with orthognathic surgery
  • 43.
    PREVENTION OF ODONTOGENICCYSTS AND TUMORS • Follicular sac  cystic degeneration  dentigerous cyst  odontogenic tumor (rare)
  • 44.
    ROOT RESORPTION OFADJACENT TEETH • Misaligned erupting teeth may resorb the roots of adjacent teeth just like succedaneous teeth resorb the roots of primary teeth during normal eruption. • Most cases - adjacent tooth recalcified (deposition of a cementum over the resorbed area) & formation of 2o dentin. • If severe resorption & the mandibular 3rd molar displaces significantly into the roots of the second molar  remove.
  • 45.
    TEETH UNDER DENTAL PROSTHESES •Removable tissue borne prosthesis – is constructed on a ridge where an impacted tooth is covered by only soft tissue or 1 or 2 mm of bone  overlying bone resorbed, mucosa perforate & the area become painful and inflamed. So ----> extract! • In older patients with tooth- or implant- borne fixed prostheses asymptomatic deeply impacted teeth can be safely left in place.
  • 46.
    PREVENTION OF JAWFRACTURE • Patients engage in contact sports (football, rugby, martial arts) & noncontact sports (basketball)  remove to prevent jaw fracture • An impacted third molar - resistance to fracture in mandible  common site for fracture • Increased complications in the treatment of the fracture.Do pathologies associated with impacted lower third molars justify prophylactic removal? A critical review of the literature. Oral Surg Oral Med Oral Pathol Oral Radiol Endod 2006;102:448-52 States that risk of condylar fractures is more in patients without impacted lower third molar. Condylar fractures are comparatively difficult to treat as compared to angle fracture. Thus, risk of angle fractures should not be considered as an indication.
  • 47.
    MANAGEMENT OF UNEXPLAINED PAIN •Jaw pain in the area of an impacted third molar but no clinical or radiographic signs of pathology. • The surgeon must make sure that all other sources of pain are ruled out before suggesting surgical removal of the third molar. • Patient must be informed that removal of the third molar may not relieve the pain completely
  • 48.
    CONTRAINDICATION • Extremes ofage • Compromised medical status. • Possible excessive damage to adjacent structures. • 3m would be expected to erupt successfully& have a functional role in dentition. • No h/o or e/o pertinent local/systemic pathology. • Prosthetic considerations : where used as an abutment for fpd. • Socioeconomic reason.
  • 49.
    FREQUENCY OF IMPACTION •Mandibular 3rd molar • Maxillary 3rd molar • Maxillary canine • Mandibular pre-molar • Mandibular canines • Maxillary premolars • Maxillary lateral incisors • Maxillary central incisors
  • 50.
  • 51.
    ORDER OF FREQUENCYOF MANDIBULAR 3M IMPACTION • Mesioangular – 43% • Vertical – 38% • Distoangular – 6% • Horizontal – 3%
  • 52.
    SURGICAL ANATOMY • Location:lower 3rd molar is situated at the distal end of the body of the mandible where it meets a relatively thin ramus. • Embedded b/w thick buccal alveolar bone buttressed by external oblique ridge & the narrow inner cortical plate. • Ramus offset by 20° • Retro molar triangle- depressed roughened area post. To 3rd molar
  • 53.
    MUSCLES: • Vestibule isformed by the attachment of buccinator buccally and mylohyoid lingually. • Along the anterior border of the ramus - tendinous insertion of temporalis excessive stripping of these muscle will cause hematoma, pain and trismus. • Lingual pouch – perforation of roots along the lingual cortical plate. - May cause # of lingual cortical plate
  • 54.
    Arteries • Facial artery& facial vein run in close approximation with lower 2nd molar near the anterior border of masseter. • Mandibular vessels in retro molar triangle which supply temporalis tendon. • Hemorrhage can occur during surgical removal of
  • 55.
    Inferior Alveolar Nerve •Lies just below the roots of mandibular molars but slightly buccally placed in inferior dental canal. •In case of deep seated impaction special care should be taken to protect this neurovascular bundle during bone drilling & tooth sectioning. •Calcification of inferior alveolar canal is completed before the roots of 3rd molar are formed. Thus growing roots may impinge upon the canal or get deflected. So blind elevation is not advisable.
  • 56.
    On average(Based onstudies of pogrel 1995, holzle 2001, behnia 2000) Horizontal distance : 0.6mm medial to mandible Vertical Distance : 2.3 mm below alveolar crest Lingual Nerve
  • 57.
    Lingual nerve wasobserved at or above the crest of the lingual plate in about 17% of cases. Distances ranging from 2mm above the crest to 1 mm below the crest. The direct contact of lingual nerve with lingual plate in retromolar triangle was noted in about 50-62 % of cases. With horizontal distances ranging from 0 mm to 7mm Lingual Nerve
  • 58.
    The retromolar fossais a triangular area posterior to the third mandibular tooth (mcminn, 1992). • An opening called the retromolar foramen (rmf) is known to be present in this area (ossenberg, 1987).
  • 59.
    Some researchers suggest thatthe contents of this canal originate from the mandibular neurovascular bundle before it enters the mandibular canal, • While others suggest that these elements arise from the neurovascular bundle in the mandibular canal and lie in the buccal region.
  • 60.
    Possible hemorrhage of thevascular contents of the neurovascular bundle in this canal or nerve injury during surgical extraction of the impacted mandibular third molars or during sagittal split ramus osteotomies, could adversely effect outcome. Retromolar foramen in the retromolar triangle of the left side (black arrow). Bilecenoglu and Tuncer. Clinical and Anatomical Study of Retromolar Foramen and Canal. J Oral Maxillofac Surg 2006.
  • 61.
  • 62.
  • 63.
    APPROPRIATE TIMING FORREMOVAL OF IMPACTED TEETH • The most suitable time to do so is when the patient is young, thus avoiding the aforementioned complications and undesirable situations that could get worse with time. • It is easier to remove bone from these patients compared to older patients, whose bone is usually dense and hard. • Younger patients generally deal with the overall surgical procedure and stress well, and present fewer complications and faster postsurgical wound healing compared with older patients
  • 64.
    ASSESSMENT OF MANDIBULARTHIRD MOLAR IMPACTION
  • 65.
  • 66.
    • White lineof winter is drawn along the occlusal surfaces of the erupted mandibular molars and extended posteriorly over the third molar region, the axial inclination of the impacted tooth is immediately apparent. • The relationship of the occlusal surface of the impacted tooth to those of the erupted molars may also be estimated by the use of white line and this provide an indication of the depth at which the tooth lying in the mandible.
  • 67.
     Amber line– is drawn from the surface of the bone lying distally to the third molar to the crest of the interdental septum between the first and second molar.  When drawing these line it is essential to differentiate between the external oblique ridge and cast by the bone lying distal to the tooth.  The amber line indicate the margin of alveolar bone enclosing the tooth.
  • 68.
    • Red line– is used to measure the depth at which the impacted tooth lies within the mandible. It is perpendicular drop from the ‘amber line’ to an imaginary ‘point of application’ for an elevator. • The length of red line increases by 1 mm, the extraction become 3 times more difficult. • With the solitary exception of distoangular impaction, the amelocemental junction on the mesial surface of the impacted tooth is used for this purpose. • As a general rule any tooth with a red line 5 mm or more in length is better removed under an endotracheal anesthetic.
  • 69.
    WINTER CLASSIFICATION (1926) ACCORDINGTO THE POSITION OF THE IMPACTED 3RD MOLAR TO THE LONG AXIS OF THE SECOND MOLAR. • VERTICAL • MESIOANGULAR • HORIZONTAL • DISTOANGULAR • BUCCOANGULAR • LINGUOANGULAR • INVERTED
  • 70.
    The angle betweenthe occlusal plane or a line parallel to the latter and the longitudinal axis of the molar. • Molars with a negative angle (<0) were considered to be inverted, • Molars with an angle between 0 and 30 were considered to be horizontal, • Molars with an angle between 31 and 60 were considered to be mesioangular, • Molars with an angle between 61 and 90 were considered to be vertical, • Molars with an angle >90 were considered to be
  • 71.
    PELL AND GREGORY’SCLASSIFICATION (1933) 1. AVAILABILITY OF SPACE BETWEEN 2ND MOLAR AND RAMUS (HORIZONTAL PLANE)
  • 72.
    2. RELATIVE DEPTHOF 3RD MOLAR (VERTICAL PLANE)
  • 73.
    3. LONG AXISOF IMPACTED TOOTH IN RELATION TO THE LONG AXIS OF THE 2ND MOLAR. (WINTER CLASSIFICATION)
  • 74.
    ADA CODE ONPROCEDURES & NOMENCLATURES Describes the amount of soft and hard tissue over the coronal surface of an impacted tooth • Soft tissue impactions • Complete bony impactions • Partial bony impactions Combined ADA & AAOMS classification of procedural terminology 07220:- overlying soft tissue 07230:- partially bony impacted 07240:- completely bony 07241:- completely bony, with unusual surgical complications
  • 75.
  • 76.
    ANGULATION OF THE THIRDMOLAR 1˚- 50˚ 60˚- 69˚ 70˚- 79˚ 80˚- 89˚ 90˚+ 0 1 2 3 4 ROOT SHAPE Complex Favorable curvature Unfavorable curvature 1 2 3
  • 77.
    FOLLICLE Normal possibly enlarged enlarged impaction relieved 0 -1 -2 -3 PATH OFEXIT Space available Distal cusps covered Mesial cusps covered Both covered 0 1 2 3 TOTAL 33
  • 78.
    DIFFICULTY INDEX FORREMOVAL OF IMPACTED MAND THIRD MOLARS - PEDERSEN 1988 CLASSIFICATION DIFFICULTY INDEX VALUE ANGULATION Mesioangular 1 Horizontal / transverse 2 Vertical 3 Distoangular 4 DEPTH Level A 1 Level B 2 Level C 3 RAMUS RELATIONSHIP / SPACE AVAILABLE  Class I 1  Class II 2  Class III 3
  • 79.
    • DIFFICULTY INDEX •VERY DIFFICULT : 7 TO 10 • MODERATELY DIFFICULT : 5 TO 7 • MINIMALLY DIFFICULT : 3 TO 4
  • 80.
  • 81.
    A COMPREHENSIVE PROFORMAFOR EVALUATION OF MANDIBULAR THIRD MOLAR IMPACTIONS SUVY MANUEL • L. K. SUREJ KUMAR • MATHEW P. VARGHESE J. MAXILLOFAC. ORAL SURG. DOI 10.1007/S12663-013-0543-2 RELATIONSHIP TO THE INFERIOR ALVEOLAR CANAL (HOWE & POYNTON -1960 , ROOD & SHEHAB 1990) RELATED BUT NOT INVOLVING THE CANAL • SEPARATED • ADJACENT • SUPERIMPOSED RELATED TO CHANGES IN THE CANAL • DARKENING OF THE ROOT • DARK & BIFID ROOT • NARROWING OF THE ROOT • DEFLECTED ROOT RELATED WITH CHANGES IN THE CANAL • INTERRUPTION OF LINES • CONVERGING CANAL • DIVERTED CANALS
  • 82.
    Modified Parant Scale(1997) Easy I - extraction requiring forceps only Easy II-extraction requiring osteotomy only Hard III - extractions requiring osteotomy and coronal section Difficult IV - complex extractions (requiring root resection) A COMPREHENSIVE PROFORMA FOR EVALUATION OF MANDIBULAR THIRD MOLAR IMPACTIONS SUVY MANUEL • L. K. SUREJ KUMAR • MATHEW P. VARGHESE J. MAXILLOFAC. ORAL SURG. DOI 10.1007/S12663-013-0543-2
  • 83.
  • 84.
    RELATIONSHIP OF MAXILLARY3RD MOLAR TO SINUS CLASSIFICATION
  • 86.
  • 88.
    PRE-OP MANAGEMENT • THOROUGHREVIEW OF MEDICAL HISTORY. • GOOD QUALITY DIAGNOSTIC X- RAYS • CBCT IF INDICATED
  • 89.
    ROLE OF CBCTIN DIAGNOSIS CBCT is required in the preoperative assessment of IMTM when darkening of the roots and interruption of the white line are observed on panoramic images.
  • 91.
    • REVIEW ALLRISKS OF PROCEDURES. • REVIEW ALL POST SURGICAL HOME CARE INSTRUCTIONS. • REVIEW SURGICAL PROCEDURE UTILIZING TEACHING AIDS. • DISCUSS AND EVALUATE NEED FOR SEDATION. • GIVE PATIENT PRESCRIPTIONS FOR ANALGESICS AND ANTIBIOTICS
  • 92.
    ANTIBIOTIC PROPHYLAXIS INTHIRD MOLAR SURGERY: A RANDOMIZED DOUBLE-BLIND PLACEBO-CONTROLLED CLINICAL TRIAL USING SPLIT-MOUTH TECHNIQUE. INT. J. ORAL MAXILLOFAC. SURG. 2010; 39: 107–114 EFFECTIVENESS OF ANTIBIOTIC PROPHYLAXIS IN THIRD MOLAR SURGERY: A META-ANALYSIS OF RANDOMIZED CONTROLLED CLINICAL TRIALS YAN-FANG REN, DDS, PHD, MPH* AND HANS S. MALMSTROM, DDS† J ORAL MAXILLOFAC SURG. 2007 OCT;65(10):1909-21. Systemic antibiotics given before the surgery were effective in reducing the frequencies of AO and wound infection after third molar surgery. Authors recommend that antibiotic prophylaxis should not be administered routinely when third molars are removed in non immune-
  • 93.
    • Swelling andpain following third molar surgery are the most common findings in our study. Neither correlates with the postoperative antibiotic regime • Postoperative antibiotics for 3 days are required in distoangular, horizontal impactions, in difficult impaction (covered by bone), and in cases where the duration of surgery exceeds 30 min to reduce the incidence of alveolar osteitis • Decision for postoperative antibiotic regime should be made according to tooth position, the bone surrounding the tooth, the presence or absence of pathology, and the estimated duration of surgery. ANTIBIOTICS IN THIRD MOLAR EXTRACTION; ARE THEY REALLY NECESSARY: A NON-INFERIORITY RANDOMIZED CONTROLLED TRIAL NATL J MAXILLOFAC SURG. 2014 JUL-DEC; 5(2): 166–171.
  • 94.
    PREEMPTIVE ANALGESIA INTHIRD MOLAR IMPACTION SURGERY RAKESH SHAH, AMIT MAHAJAN, NAVIN SHAH, ASHISH P. DADHANIA NATIONAL JOURNAL OF MAXILLOFACIAL SURGERY | VOL 3 | ISSUE 2 | JUL-DEC 2012 Use of diclofenac sodium orally in 50 mg dose one Hour preoperatively as preemptive analgesic agent Is economical, effective, easy and safe method of postoperative pain control in mandibular third molar impaction surgery cases
  • 95.
    SURGICAL MANAGEMENT OFIMPACTED TOOTH • Anaesthesia • Incision & elevation of mucoperiosteal flap • Removal of overlying bone • Delivery of sectioned tooth • Smoothening & debridement of socket. • Hemostasis • Wound closure • Post-op follow up
  • 96.
  • 97.
    Factors Governing Planning ofIncision John tomes (1849) – first to describe surgical access
  • 98.
    BUCCAL VS LINGUALAPPROACH Criteria Access Operating time Technique Bone removal Postoperative pain Postoperative edema Dry socket
  • 99.
    SOME COMMON INCISIONSAND FLAPS USED IN THIRD MOLAR SURGERY • Ward’s incision and Modified Ward’s incision • Comma shaped incision. • S -shaped incision • Szmyd and modified Szmyd incision • Envelope flap • Triangular Flap • Berwick’s tongue shaped flap.
  • 100.
  • 101.
  • 102.
  • 104.
  • 105.
  • 106.
    • PALATAL DIAGONALFLAP - DR. LEE DARICHUK (2005) • Gives excellent unrestricted access to the maxillary tuberosity region. The Laster and the Minnesota cheek retractors both provide good access to the tuberosity region and prevents displacement of tooth
  • 107.
    OUTLINE OF INCISION OFTHE VESTIBULAR TONGUE-SHAPED FLAP DESCRIBED BY BERWICK
  • 108.
  • 109.
  • 110.
  • 111.
    INCISIONS AND FLAPDESIGNS Review of flap design influence on the health of the periodontium after mandibular third molar surgery. Oral Surg Oral Med Oral Pathol Oral Radiol Endod 2007;104:18-23 Flap design does not have a lasting effect on the periodontal condition post extraction.
  • 112.
    BONE REMOVAL Aim • Toexpose the crown by removing the bone overlying it. • To remove the bone obstructing the pathway for removal of the impacted tooth. Types • By consecutive sweeping action of bur(in layers). • By chisel or osteotomy cut(in sections). How much bone has to be removed?
  • 113.
    CHISEL VS BUR CRITERIACHISEL & MALLET BUR TECHNIQUE Difficult Easy PT’S ACCEPTANCE Not tolerated well ↓ L.A Tolerated well ↓ L.A CHANCE OF # OF BONE High Low BONE HEALING Good Delayed
  • 114.
    CRITERIA CHISEL &MALLET BUR POST-OP EDEMA Less More DRY SOCKET Incidence is less Very high POST-OP INFECTION Less More ADV/DISADV -Difficult to remove deeply buried impaction -Impaction in edentulous jaws & in elderly pts. -Bone removal is less predictable. -Relatively easy to remove
  • 115.
    • POSTAGE ANDSTAMP TECHNIQUE. Bone Removal Techniques
  • 116.
  • 117.
    LATERAL TREPHINATION TECH(BOWDLERHENRY) • It is the removal of a tooth that has one third or less of root formation and also has a radiographically discernible periodontal ligament • Employed to remove any partially formed unerupted third molar that has not breached the hard & soft tissues overlying it. Advantages • Bone healing is excellent and here is no loss of alveolar bone around 2nd molar.
  • 120.
    CORONECTOMY (PARTIAL TOOTHREMOVAL, PARTIAL ODONTECTOMY OR INTENTIONAL ROOT RETENTION) Angle of the bur at approximately 45° and lingual retractor protecting the lingual nerve (arrow). Shaded area of root on buccal side to be removed secondarily. Pogrel, Lee, and Muff. Coronectomy. J Oral Maxillofac Surg 2004
  • 121.
    A.CORONECTOM Y OF AN IMPACTED3RD MOLAR WITH NERVE INVOLVEMENT. B. ONE YEAR LATER SHOWS BONE FORMATION AS WELL AS ROOT MIGRATION.
  • 122.
    THE BUCCAL LIDAPPROACH FOR REMOVAL OF IMPACTED MANDIBULAR MOLARS—WHEN, HOW AND WHY? OPEN JOURNAL OF STOMATOLOGY, 2017, 7, 81-90 FARES KABLAN et al
  • 125.
    LINGUAL GUTTERING TECHNIQUEFOR REMOVAL OF IMPACTED MANDIBULAR THIRD MOLARS TEJRAJ P KALE,1 VIKRAM S PANDIT,2 SHANKARGOUDA PATIL,3 VIVEK PAWAR,4 AND NISHA SHETTY5 J INT ORAL HEALTH. 2014 JUL-AUG; 6(4): 9–11
  • 126.
    TWO-STAGE METHOD FORTHE EXTRACTION OF A HORIZONTALLY IMPACTED LOWER THIRD MOLAR YASUTAKA KUBOTA, SHOJI OKA, YOSHIE YAHARA AND KANEMITSU SHIRASUNA ORAL SCIENCE INTERNATIONAL, NOVEMBER 2008, P.73-77 COPYRIGHT © 2008, JAPANESE STOMATOLOGY SOCIETY. ALL RIGHTS RESERVED
  • 127.
    CHISEL TECHNIQUE THROUGHBUCCAL APPROACH
  • 128.
    LINGUAL SPLIT BONETECH (SIR WILLIAM KELSEY FRY) Popularized by T. Ward Advantages • Quick & clean • Reduces the size of blood clot by means of saucerization of socket. Disadvantages • Only suitable for young adults therefore elastic bone is required • More chances of getting post operating lingual nerve paraesthesia • Patients inconvenience.
  • 129.
    Lingual split-bone technique. A.Outline of the incision, B. Reflection of the flap & creation of an anterior vertical stop, C. Removal of buccal plate to expose the crown. D, Placement of a chisel to section the lingual cortex, E. Elevation of tooth, F. Wound closure
  • 130.
    Uprighting mesially impactedlower third molars with skeletal anchorage Manuel et al jco,july 2016 • An orthodontic mini-implant is inserted interproximally on the buccal side of the alveolar ridge, with the exact location determined by clinical and radiographic assessment of the available space. • With direct anchorage from the mini-implants, there is no risk of anchorage loss or undesired tooth movement. Extraction and associated risks such as nerve damage, TMD, and improper wound healing are avoided.
  • 133.
  • 134.
  • 139.
    DELIVERY OF SECTIONEDTOOTH Luxation of the distal segment of the tooth with rotation of the elevator distally.
  • 140.
    DELIVERY OF SECTIONEDTOOTH Luxation of the impacted tooth in the distal direction, after creating a pathway for removal.
  • 141.
    ADVANTAGES OF TOOTHDIVISION( PELL AND GREGORY,1942) • Bone removal is eliminated or considerably reduced, resulting in less postoperative pain and swelling. • Less chances of damage to the adjacent tooth because no effort is made to force the impacted tooth past the convexity of 2nd molar, which would tend to elevate it out of the socket. • The risk of fracture of the reduced, since most fractures occurs from the forced elevation. • The danger of injury to IAN, which frequently follows heavy leverage forcing the apex of the tooth down into the canal, is greatly lessened.
  • 142.
    RECENT ADVANCES Use oferbium (er):yag laser M.Abu-serriah / A.Ayoub : bjoms 2004; 42: 203- 208] Advantages • Less stressful • Less unpleasant • No vibrations & sound • Sharp clean cut through the bone & tooth • Can used anxious patients Disadvantages • Compensate for tactile feedback compare to bur. • Trismus is more • Time consuming • Costly
  • 143.
    USE OF ENDOSCOPICAPPROACH FOR ECTOPIC MANDIBULAR 3RD MOLAR (BJOMS 2003; OCT. 41: 340- 42) Advantages • Less tissue damage • Clear magnified visualization of operative field • More conservative surgery with precise dissection. Disadvantages • Costly • Need basic equipments • Good eye coordination and training
  • 144.
    DEBRIDEMENT OF WOUND& CLOSURE • Thorough debridement of the socket by periapical curette • Smoothening of sharp bony margins by • Bone file / round burs • Thorough irrigation of the socket • POVIDONE IODINE solution / saline • Initial wound closure is achieved by • Just distal to 2nd molar • Posterior relieving incision • Inter dental area mesial to 2nd molar • 3-4 sutures are usually sufficient
  • 145.
    ASSESSMENT OF THEEFFECT OF WOUND CLOSURE TECHNIQUE ON POSTOPERATIVE SEQUELE AND COMPLICATIONS AFTER IMPACTED MANDIBULAR THIRD MOLAR EXTRACTION E. O. ANIGHORO1 , O. M. GBOTOLORUN2*, R. A. ADEWOLE2 , G. T. AROTIBA2 , O. A. EFFIOM3 OPEN JOURNAL OF STOMATOLOGY, 2013, 3, 527-532 Wound closure methods have little or no effect on the rate of complications after the third molar removal.
  • 146.
    POST OPERATIVE INSTRUCTIONS •Pressure pack • Ice application • Soft diet –1st two days • 1st dose of analgesic should be taken before the anesthetic effect of LA wears off. • Avoid gargling / spitting / smoking / drinking with straw. • Warm water saline gargling after 24 hrs + mouth wash regularly thereafter.
  • 147.
    COMPLICATIONS(COMMON AND DURING MANDIBULARTHIRD MOLAR SURGERY)Intra operative 1. During incision a. Hemorrhage B. Injury to lingual nerve 2. During bone removal A. Damage to second molar B. Slipping of bur into soft tissue & causing injury C. Extra oral/ mucosal burns D. Fracture of the mandible when using chisel & mallet E. Subcutaneous emphysema
  • 149.
    3. During elevationor tooth removal A. Luxation of neighboring tooth/ fractured restoration B. Soft tissue injury due to slipping of elevator C. Injury to inferior alveolar neurovascular bundle D. Fracture of mandible E. Forcing tooth root into submandibular space or inferior alveolar nerve canal F. Breakage of instruments G. TMJ dislocation
  • 150.
  • 151.
    • 0.6-5% ofall the third molar surgeries are involved with nerve damages of which 0.2% are irreversible • Ian: immediate disturbance - 4-5% (1.3-7.8%) Permanent disturbances - <1% (0-2.2%) • Lingual n: immediate - 0.2-22% Permanent - 0-2% Buccal nerve injury-very rare • 96% IAN injuries show spontaneous recovery within 9 months, better than lingual nerve which is about 87% • Beyond 2yrs recovery is unlikely
  • 152.
    • Less chancesof lingual nerve regeneration compare to inferior alveolar nerve – Morphological difference In addition, the presence of a range of functionally Distinct nerve fibre types in this nerve (Mechanosensitive, thermosensitive, Gustatory, vasomotor and secretomotor) May make successful regeneration of the axons back to the correct receptor/effector and location less likely
  • 153.
  • 154.
    COMPLICATIONS OF MAXILLARYTHIRD MOLAR SURGERY Fracture of maxillary tuberosity – if the operator anticipates such a fracture, avoiding reflection of the periosteum will preserve the blood supply and will provide the best chance of survival postoperatively. Oroantral fistula Displacement into maxillary sinus • If entire tooth is displaced it should be removed as early as possible to prevent infection.
  • 155.
    • According topogrel (1990) initial attempt should be with a suction at the opening, if it fails irrigate with saline again use suction. If again fails place the patient on antibiotics and nasal decongestants and plan Caldwell Luc approach.
  • 156.
    DISLODGED INTO INFRATEMPORALFOSSA • The tooth should be removed as early as possible to avoid infection. • Put an incision and try to retrieve with a haemostat or Allis forceps. If it is not possible wait till fibrosis occurs and tooth become stable. And place the patient under antibiotic coverage.
  • 157.
    • Damage toadjacent 2nd molar-during bone removal and elevation. • Prolapse of buccal fat pad
  • 158.
    POST-OPERATIVE • IMMEDIATE • Pain •Hemorrhage • Swelling • Trismus • Paraesthesia • LATE • Infection • Dry socket • Osteomyelitis • Secondary hemorrhage • Pain in TMJ
  • 159.
    DRY SOCKET • 20%of extraction of mandibular 3rd molar • 2% of routine extraction • Moderate-severe pain develops generally on 3rd/4th day.(With no signs of infection) • Dull aching pain usually radiates to ear • Empty socket • Bad odour & taste • Etiology - unknown  Possibly excessive fibrinolytic activity  Subclinical infection
  • 160.
    Management • Gentle irrigationwith warm saline followed by superficial suctioning. • Pack iodoform gauze socked with medications change every day for 3-6 days. • Intra-alveolar medicaments -With eugenol -Topical LA -Antifibrinolytic agents. • Analgesics.
  • 161.
    CONTROVERSIES General vs. Localanaesthesia Surgical removal of wisdom tooth can be done under local anaesthesia or general anaesthesia. The decision to use either anaesthesia depends on the condition of the wisdom tooth and the judgment of the operating dental surgeon.
  • 162.
    INDICATION FOR GENERAL ANAESTHESIA •Allergy to local anaesthesia. • Medically compromised patients. • Uncooperative patients. • Patients with need of a comprehensive dental treatment.
  • 163.
    • The useof preoperative corticosteroids to minimize swelling, trismus and pain has gained wide acceptance in the practice of oral and maxillofacial surgery. • Steroids act by interfering with capillary vasodilation, leukocyte migration, phagocytosis, cytokine production and prostaglandin inhibition. USE OF STEROIDS
  • 164.
    IMPACTED TEETH ASPOTENTIAL SOURCE OF INFECTION Prior to administration of radiotherapy:- • Teeth at risk of infection which could result in osteoradionecrosis or endocarditis should be removed. Cardiac patients :- • Cardiac patients with valvular disease or those who have undergone valve replacement have evidence of molar periodontal defects and inflammatory mediators in their crevicular fluid; should
  • 165.
    ASYMPTOMATIC IMPACTED TOOTH • “IFIMPACTED TEETH ARE LEFT IN THE ALVEOLAR PROCESS, IT IS HIGHLY PROBABLE THAT ONE OR MORE OF A NUMBER OF PROBLEMS WILL RESULT”. (PETERSON’S CONTEMPORARY ORAL AND MAXILLOFACIAL SURGERY ) • NATIONAL INSTITUTES OF HEALTH CONSENSUS DEVELOPMENT CONFERENCE: REMOVAL OF THIRD MOLARS ALSO SUPPORTED THAT “ THIRD MOLARS SHOULD BE REMOVED IN THE YOUNGER AGE PATIENT BECAUSE THERE IS LESS TRANSITORY OR PERMANENT MORBIDITY,” AND LESS ANAESTHETIC RISK.
  • 166.
    TO RETAIN ORTO REMOVE
  • 167.
    RISKS AND BENEFITSOF REMOVAL OF IMPACTED THIRD MOLARS A CRITICAL REVIEW OF THE LITERATURE P. MERCIER, D. PRECIOUS DEPARTMENTS OF ORAL AND MAXILLOFACIAL SURGERY, ST, MARY'S HOSPITAL, MONTREAL, AND DALHOUSIE UNIVERSITY, HALIFAX, CANADA P. MERCIER, 1). PRECIOUS." J. ORAL MAXILLOFAC. SURG. 1992; 21:17 27. • The best general approach is to remove, on the basis of clinical judgement, some teeth before the age of 14 and others before the age of 22, when chances of eruption are minimal. The best strategy after this age is periodic examination of a patient who has been fully informed of the relevant risks and benefits. Ultimately, as in every treatment decision, the surgeon must weigh the facts and put the interests of the patient above all else. This is our professional responsibility.
  • 168.
    PROPHYLACTIC EXTRACTION OFTHIRD MOLARS: EVIDENCE-BASED DENTISTRY COSTA RICAN JOURNAL,2016 • There is a lack of reliable evidence to support the prophylactic removal of disease-free itm in adolescents and young adults. As routine procedure, this treatment is unjustifiable. • A more suitable strategy is the active and careful monitoring, at regular intervals, of asymptomatic itm, based on clinical experience. • Each case of itm should be carefully and individually assessed, estimating the balance between risk, benefit, and cost. • The patient’s perspectives and values must be taken
  • 169.
    SURGICAL REMOVAL VERSUS RETENTIONFOR THE MANAGEMENT OF ASYMPTOMATIC DISEASE-FREE IMPACTED WISDOM TEETH COCHRANE JOURNAL,2016 • In light of the lack of available evidence, patient values should be considered and clinical expertise used when treatment decisions are made with patients who have asymptomatic disease free impacted wisdom teeth. If the decision is made to retain asymptomatic disease-free impacted wisdom teeth, clinical assessment at regular intervals is advisable to prevent undesirable outcomes.
  • 170.
    Year : 2017| Volume : 29 | Issue : 1 | Page : 20-24 Predicting pathology in impacted mandibular third molars Aveek Mukherji, Mohit Pal Singh, Prashant Nahar, Bhuvaneshwari S Balaji, Hemant Mathur, Saurabh Goel Department of Oral Medicine and Radiology, Pacific Dental College and Hospital, Debari, Rajasthan, India Asymptomatic patients who decide to retain their third molars should have periodic clinical and radiographic examinations to detect any disease before it becomes symptomatic.
  • 171.
    CONCLUSION • All patientswith impacted third molars should be evaluated and treatment planned should be based on their individual presentation, and should not be subjected to a ‘‘standardized generic treatment protocol.’’ “Bone & soft tissues belongs to the patient and only the tooth belong to the surgeon”
  • 172.
    REFERENCES• EVIDENCED-BASED DECISIONMAKING: THE THIRD MOLAR; DENT CLIN N AM 53 (2009) 77–96. • DO PATHOLOGIES ASSOCIATED WITH IMPACTED LOWER THIRD MOLARS JUSTIFY PROPHYLACTIC REMOVAL? A CRITICAL REVIEW OF THE LITERATURE WASIU LANRE ADEYEMO, BDS, FMCDS,A LAGOS, NIGERIA (ORAL SURG ORAL MED ORAL PATHOL ORAL RADIOL ENDOD 2006;102:448-52) • ORAL MAXILLOFACIAL SURG CLIN N AM 19 (2007) • FACTORS INFLUENCING THE PROPHYLACTIC REMOVAL OF ASYMPTOMATIC IMPACTED LOWER THIRD MOLARS. N. ALMENDROS-MARQUE´S, E. ALAEJOS-ALGARRA, M. QUINTEROS-BORGARELLO, L. BERINI-AYTE´S, C. GAY-ESCODA: ( INT. J. ORAL MAXILLOFAC. SURG. 2008; 37: 29–35) REFERENCE S
  • 173.
    • ANDREASEN, PETERSON,LASKIN : TEXTBOOK AND COLOR ATLAS OF TOOTH IMPACTIONS,1997, MUNKSGAARD • PETERSON, ELLIS, HUPP, TUCKER : CONTEMPORARY ORAL AND MAXILLOFACIAL SURGERY ED 2, 1993, MOSBY-YEAR BOOK. • ALLING, HELFRICK, ALLING : IMPACTED TEETH, 1993, MOSBY-YEAR BOOK. • DANIEL M. LASKIN :ORAL AND MAXILLOFACIAL SURGERY VOL 2 ORAL SURGERY, 2003, C.V.MOSBY COMPANY. • KILLEY AND KAY’S OUTLINE O ORAL SURGERY, PART I, ED 2, 1987, IOP PUBLISHING COMPANY. • NEELIMA ANIL MALIK: TEXT BOOK OF ORAL AND MAXILLOFACIAL SURGERY
  • 174.
    • MINOR ORALSURGERY - GEOFFREY L. HOWE • TEXT BOOK OF ORAL AND MAXILLOFACIAL SURGEY- SRINIVASAN • TEXTBOOK OF ORAL AND MAXILLOFACIAL SURGEY - KILLEY & KAY
  • 175.