K.POORNIMA
CRI
AUGUST 2014-15
Committee on hospital oral surgery
service
Oral surgery glossary
American society of oral surgeons 1971
Archer, 5th Edition
“An impacted tooth is one
that is erupted, partially
erupted or unerupted and
will not eventually assume
a normal relationship
with other teeth and
tissues”
Fonseca R,
Text book of
Oral
and
maxillofacial
surgery,
Vol I, 2000
ORDER OF FREQUENCY
According to Archer
Fonseca 2nd Edition – oral and maxillofacial
surgery
Peterson’s - Contemporary oral and
maxillofacial Surgery 5th Edition
Hand book of third molar surgery – George
Dimitroulis 1st Edition
Text book and colour atlas of tooth impactions
– Andreasen, Peterson, Laskin, 1st Edition
OMFS clinics of North America 2007
BUT, According to...
 Pericoronitis
 Cyst
 Tumours
 Caries
 Orthognathic surgery preparation
 Pre radiation prophylaxis
 Resorption of adjacent tooth
 Persistent facial pain of unknown
origin
 Wisdom tooth in line of fracture
 Active periodontal disease in the
adjacent teeth
Symptomatic causes for mandibular 3rd molar
removal
Pain Over eruption
Erupting
towards cheek
If it aggravates
pericoronitis in
lower 3rd molar
Full upper
denture
It is the duty of the surgeon to explain
the patient, the need for removal of
upper 3rd molar, when lower 3rd molar
extraction is planned
Based on space available distal to second
molar and ramus of mandible
Class I
Sufficient amount of space
between the ramus & the
distal of the second molar
for the accommodation of
the mesiodistal diameter of
the crown of the third
molar.
Class II
The space between the
ramus & the distal of the
second molar less than the
mesiodistal diameter of the
crown of the third molar.
Class III
All or most of the
third molar within
the ramus.
2nd molar
3rd molar
2nd molar
3rd molar2nd molar
3rd molar
According to relative depth of third
molar in bone
Position A
The highest portion of the tooth is
on a level with or above the occlusal plane.
Position B
The highest portion of the tooth is below the
occlusal plane, but above the cervical line of
the second molar.
Position C
The highest portion of the tooth is
below the cervical line of the second molar.
3 2 1
3 2 1
3
2 1
According to long axis of impacted teeth in
relation to long axis of 2nd molar
1. Mesioangular
2. Distoangular
3. Vertical
4. Horizontal
5. Buccoangular
6. Linguoangular
7. Inverted
3rd
3rd 2nd 2nd
3rd
3rd 2nd 3rd 2nd 2nd
3rd
3rd
2nd
2nd
Class II position A Horizontally
impacted 48
a>b : mesioangular
a=b: vertical
a<b: distoangular
3rd molar 2nd 1st
3rd molar 2nd 1st
3rd molar 2nd 1st
History
EXAMINATION
Clinical
Extraoral
Intraoral
Radiographs
Decision
IOPA
OPG
Do we need
both??
ADVANTAGES
Determine bone height distal to
second molar, detect caries , root
contour and exact bone texture
Clear cut features of the area of
interest
DISADVANTAGES
Non standardized radiography
Relation to vital structures cannot
be determined
More patient exposure, when
multiple regions are required.
Ideal IOPA for impacted
mandibular 3rd molar
Buccal and lingual cusps of
erupted 2nd molar must be
superimposed
Area of contact of 1st and 2nd
molar must not show over lap and
enamel cap of 2nd molar should be
clearly visible
Film must be far enough back in
the mouth to show only the distal
root of the first molar
Whole of 3rd molar must be seen
The upper anterior corner of
the film packet is gripped
with a Worth film holder
and then inserted on the
lingual side of the
mandibular teeth, with its
anterior edge in line with
the mesial surface of the
first permanent
mandibular molar
In cases in which clinical
examination has revealed
the mandibular third
molar to be horizontally
impacted, the film
packet should be
inserted more posteriorly
so that the root apices
can be examined
The X-ray tube is positioned so that the central ray
will be parallel to the occlusal surface of the second
molar and pass through the distal cusps of the second
molar at right angles to the film packet
Type of impaction
MESIOANGULAR HORIZONTAL
VERTICAL DISTOANGULAR
PARTIALLY INSIDE
COMPLETELY INSIDE
..???
WHITE LINE
When the white line is drawn along the occlusal
surfaces of the erupted mandibular molars and
extended posteriorly over the third molar region,
the axial inclination of the impacted tooth is
immediately apparent.
Provides an INDICATIONof the depth at
which the tooth is lying in the mandible
AMBER LINE
Imaginary line drawn from the surface of the bone lying distally
to the third molar to the crest of the interdental septum between
first and second molar
When soft tissues are reflected, only that portion of the tooth
shown on the film to be lying above and in front of the
amber line will be visible, remainder of the tooth will be
enclosed within the alveolar bone
RED LINE
Perpendicular dropped from the amber line
to an imaginary ‘point of application’ for an
elevator.
Used to measure the depth at which the
impacted tooth lies within the mandible.
With the solitary exception of disto-angular
impactions, the amelocemental junction on the
mesial surface of the impacted tooth is used for
this purpose
Longer red
line
More difficult
extraction
White line-Provides
an indication of the
depth of the tooth
Amber line- Estimate
the alveolar bone
covering the
impacted tooth
Red line- Assess
depth of tooth in the
bone
ANATOMY OF THE TOOTH
CROWN
LARGE OR SMALL
BULBOUS OR NORMAL
ANY FUSION WITH SECOND MOLAR
Completely formed roots
Incompletely formed roots
Size of
follicular sac
More follicle Less alveolar bone Easy removal
Young patients-
Elastic, cancellous
Old- Dense, sclerotic
Darkening of root Deflection of root
Dark and bifid apexNarrowing of root
Diversion of canal Narrowing of canalInterruption of white
line of the canal
A MICROSCOPE is not
always better than a
TELESCOPE
Identify the presence of third molars
Locate unusual position
Facilitate establishing their angulation
Show the vertical relationship to the second
molar
Identify caries and dentoalveolar bone loss
Detect the location of the inferior alveolar canal
Detect bone pathology
Establish the height of the mandible
Show the relationship of upper third
molars and the maxillary sinus
Identify the structural stability of the
second molar
Locate the relationship of root apices with
dense bone
Detect dilacerated roots
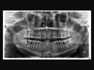
N
SP
P
PP
NP
E
OP
E
GP
CS
1. Mandibular condyle.
2. Neck of mandibular
condyle.
3. Coronoid process of mandible.
4. Ghost image, posterior aspect of
inferior border of left side of mandible.
5. Inferior alveolar (mandibular) canal.
6. Inferior border of mandible.
7. Superimposed shadow of
cervical vertebrae.
8. Mental foramen.
9. Submandibular fossa (lingual
salivary gland depression).
10. Mandibular angle.
11. External oblique ridge.
12. Sigmoid notch.
If patient’s chin is tilted downward
If patient’s chin is tilted upwards
This should be done in a quiet, darkened
room
At least two good, evenly-lit viewing boxes
are required
A bright light illuminator is required for
relatively over-exposed areas
Mounted in holder
Appropriate size of viewbox to
accommodate film
Magnifying glass-detailed examination of
small regions
Place a tracing sheet over the OPG film and stick its
upper borders.
Using a ruler and pencil draw a scale in the upper left
corner of the film, and trace the same in the tracing sheet.
This helps in accurate positioning of the tracing sheet.
Trace the outline of the mandible including condylar
and coronoid processes, ramus, external oblique
ridge, inferior alveolar canal, mental foramen and 1st,
2nd and 3rd molars.
While tracing the teeth, the crown, roots, pulp
chamber and root canals should be traced
clearly.
coronoid and condylar
process
ramus
Lower border of mandible
scale
Midline between the
upper central incisors
Exact teeth
outline
Inferior alveolar canal
Mental
foramen
Fiducial horizontal line
W Winter’s classification
H Height of the mandible
A Angulation of 2nd molar
R Root shape and
development
F Follicle
E Path of Exit
SCORES
a (mesioangular)=1 b(distoangular)=2
c(vertical)=0 d(horizontal)=2
WINTER’S CLASSIFICATION
SCORES
1-30 mm= 0 31-34mm=1 35-39mm=2
Measured from distal profile of the amelocemental
junction of second molar to the nearest point on the lower
border of the jaw
HEIGHT OF MANDIBLE
SCORES
Angle in degrees: 1-59=0 60-69=1 70-79=2 80-89=3 90+=4
The angle of second molar is that made by the long axis of
the tooth to a fiducial horizontal line (drawn parallel to
lower edge of OPG image)
ANGULATION OF SECOND MOLAR
Completely formed roots provides the clear point
of elevation. Point of elevation will be difficult in
incompletely formed roots
SCORES
a. Less than 1/3rd complete =2
b. 1/3rd to 2/3rd complete =1
c. More than 2/3rd complete
Complex =3
Unfavourable curve=2
Favourable curve =1
ROOT SHAPE AND DEVELOPMENT
SCORES
Normal=0 Possibly enlarged= -1
Enlarged= -2 Impaction relieved= -3
Enlarged
Widened follicular sac makes the tooth to slip during elevation
SIZE OF FOLLICLE
SCORES
Space=0 Distal cusp covered=1
Mesial cusp covered=2 All covered=3
The tooth is imagined to be rotated about MIDPOINT and the
point at which the shadow of the coronoid process crosses
the crown is noted
PATH OF EXIT
Midpoint
Shadow of
coronoid
process
Complete range of
manifestation is
not taken into
account.
Follicle can be
obliterated by
resorption of the
crown and
enostosis and this
would make the
tooth extremely
difficult to remove.
Extremely deep
teeth, those with
florid root shapes
are extremes which
are also excluded.
Details of the
surgical technique
are not related to
the radiological
features.
We can assess the difficulties with WAR lines, WHARFE
assessment and PEDERSON’S difficulty index to some
extent.
As a beginner it gives an idea about the level of difficulty.
But the surgeon should not rely entirely on the radiograph,
as the difficulty may vary during the procedure.
Wharfe2

Wharfe2

  • 1.
  • 3.
    Committee on hospitaloral surgery service Oral surgery glossary American society of oral surgeons 1971 Archer, 5th Edition
  • 4.
    “An impacted toothis one that is erupted, partially erupted or unerupted and will not eventually assume a normal relationship with other teeth and tissues” Fonseca R, Text book of Oral and maxillofacial surgery, Vol I, 2000
  • 5.
  • 6.
    Fonseca 2nd Edition– oral and maxillofacial surgery Peterson’s - Contemporary oral and maxillofacial Surgery 5th Edition Hand book of third molar surgery – George Dimitroulis 1st Edition Text book and colour atlas of tooth impactions – Andreasen, Peterson, Laskin, 1st Edition OMFS clinics of North America 2007 BUT, According to...
  • 8.
     Pericoronitis  Cyst Tumours  Caries  Orthognathic surgery preparation  Pre radiation prophylaxis  Resorption of adjacent tooth  Persistent facial pain of unknown origin  Wisdom tooth in line of fracture  Active periodontal disease in the adjacent teeth Symptomatic causes for mandibular 3rd molar removal
  • 9.
    Pain Over eruption Erupting towardscheek If it aggravates pericoronitis in lower 3rd molar Full upper denture
  • 10.
    It is theduty of the surgeon to explain the patient, the need for removal of upper 3rd molar, when lower 3rd molar extraction is planned
  • 12.
    Based on spaceavailable distal to second molar and ramus of mandible Class I Sufficient amount of space between the ramus & the distal of the second molar for the accommodation of the mesiodistal diameter of the crown of the third molar. Class II The space between the ramus & the distal of the second molar less than the mesiodistal diameter of the crown of the third molar. Class III All or most of the third molar within the ramus. 2nd molar 3rd molar 2nd molar 3rd molar2nd molar 3rd molar
  • 13.
    According to relativedepth of third molar in bone Position A The highest portion of the tooth is on a level with or above the occlusal plane. Position B The highest portion of the tooth is below the occlusal plane, but above the cervical line of the second molar. Position C The highest portion of the tooth is below the cervical line of the second molar. 3 2 1 3 2 1 3 2 1
  • 14.
    According to longaxis of impacted teeth in relation to long axis of 2nd molar 1. Mesioangular 2. Distoangular 3. Vertical 4. Horizontal 5. Buccoangular 6. Linguoangular 7. Inverted 3rd 3rd 2nd 2nd 3rd 3rd 2nd 3rd 2nd 2nd 3rd 3rd 2nd 2nd
  • 15.
    Class II positionA Horizontally impacted 48
  • 16.
    a>b : mesioangular a=b:vertical a<b: distoangular 3rd molar 2nd 1st 3rd molar 2nd 1st 3rd molar 2nd 1st
  • 17.
  • 19.
  • 20.
    ADVANTAGES Determine bone heightdistal to second molar, detect caries , root contour and exact bone texture Clear cut features of the area of interest DISADVANTAGES Non standardized radiography Relation to vital structures cannot be determined More patient exposure, when multiple regions are required.
  • 21.
    Ideal IOPA forimpacted mandibular 3rd molar Buccal and lingual cusps of erupted 2nd molar must be superimposed Area of contact of 1st and 2nd molar must not show over lap and enamel cap of 2nd molar should be clearly visible Film must be far enough back in the mouth to show only the distal root of the first molar Whole of 3rd molar must be seen
  • 22.
    The upper anteriorcorner of the film packet is gripped with a Worth film holder and then inserted on the lingual side of the mandibular teeth, with its anterior edge in line with the mesial surface of the first permanent mandibular molar
  • 23.
    In cases inwhich clinical examination has revealed the mandibular third molar to be horizontally impacted, the film packet should be inserted more posteriorly so that the root apices can be examined
  • 24.
    The X-ray tubeis positioned so that the central ray will be parallel to the occlusal surface of the second molar and pass through the distal cusps of the second molar at right angles to the film packet
  • 26.
    Type of impaction MESIOANGULARHORIZONTAL VERTICAL DISTOANGULAR
  • 27.
  • 29.
  • 31.
    WHITE LINE When thewhite line is drawn along the occlusal surfaces of the erupted mandibular molars and extended posteriorly over the third molar region, the axial inclination of the impacted tooth is immediately apparent. Provides an INDICATIONof the depth at which the tooth is lying in the mandible
  • 32.
    AMBER LINE Imaginary linedrawn from the surface of the bone lying distally to the third molar to the crest of the interdental septum between first and second molar When soft tissues are reflected, only that portion of the tooth shown on the film to be lying above and in front of the amber line will be visible, remainder of the tooth will be enclosed within the alveolar bone
  • 33.
    RED LINE Perpendicular droppedfrom the amber line to an imaginary ‘point of application’ for an elevator. Used to measure the depth at which the impacted tooth lies within the mandible. With the solitary exception of disto-angular impactions, the amelocemental junction on the mesial surface of the impacted tooth is used for this purpose
  • 34.
  • 35.
    White line-Provides an indicationof the depth of the tooth Amber line- Estimate the alveolar bone covering the impacted tooth Red line- Assess depth of tooth in the bone
  • 36.
    ANATOMY OF THETOOTH CROWN LARGE OR SMALL BULBOUS OR NORMAL ANY FUSION WITH SECOND MOLAR
  • 37.
  • 40.
    Size of follicular sac Morefollicle Less alveolar bone Easy removal
  • 41.
  • 43.
    Darkening of rootDeflection of root
  • 44.
    Dark and bifidapexNarrowing of root
  • 45.
    Diversion of canalNarrowing of canalInterruption of white line of the canal
  • 47.
    A MICROSCOPE isnot always better than a TELESCOPE
  • 50.
    Identify the presenceof third molars Locate unusual position Facilitate establishing their angulation Show the vertical relationship to the second molar Identify caries and dentoalveolar bone loss Detect the location of the inferior alveolar canal Detect bone pathology
  • 51.
    Establish the heightof the mandible Show the relationship of upper third molars and the maxillary sinus Identify the structural stability of the second molar Locate the relationship of root apices with dense bone Detect dilacerated roots
  • 53.
  • 55.
    1. Mandibular condyle. 2.Neck of mandibular condyle. 3. Coronoid process of mandible. 4. Ghost image, posterior aspect of inferior border of left side of mandible. 5. Inferior alveolar (mandibular) canal. 6. Inferior border of mandible.
  • 56.
    7. Superimposed shadowof cervical vertebrae. 8. Mental foramen. 9. Submandibular fossa (lingual salivary gland depression). 10. Mandibular angle. 11. External oblique ridge. 12. Sigmoid notch.
  • 57.
    If patient’s chinis tilted downward
  • 58.
    If patient’s chinis tilted upwards
  • 60.
    This should bedone in a quiet, darkened room At least two good, evenly-lit viewing boxes are required A bright light illuminator is required for relatively over-exposed areas Mounted in holder Appropriate size of viewbox to accommodate film Magnifying glass-detailed examination of small regions
  • 61.
    Place a tracingsheet over the OPG film and stick its upper borders. Using a ruler and pencil draw a scale in the upper left corner of the film, and trace the same in the tracing sheet. This helps in accurate positioning of the tracing sheet.
  • 63.
    Trace the outlineof the mandible including condylar and coronoid processes, ramus, external oblique ridge, inferior alveolar canal, mental foramen and 1st, 2nd and 3rd molars. While tracing the teeth, the crown, roots, pulp chamber and root canals should be traced clearly.
  • 64.
    coronoid and condylar process ramus Lowerborder of mandible scale Midline between the upper central incisors
  • 65.
  • 66.
  • 67.
  • 69.
    W Winter’s classification HHeight of the mandible A Angulation of 2nd molar R Root shape and development F Follicle E Path of Exit
  • 70.
    SCORES a (mesioangular)=1 b(distoangular)=2 c(vertical)=0d(horizontal)=2 WINTER’S CLASSIFICATION
  • 71.
    SCORES 1-30 mm= 031-34mm=1 35-39mm=2 Measured from distal profile of the amelocemental junction of second molar to the nearest point on the lower border of the jaw HEIGHT OF MANDIBLE
  • 72.
    SCORES Angle in degrees:1-59=0 60-69=1 70-79=2 80-89=3 90+=4 The angle of second molar is that made by the long axis of the tooth to a fiducial horizontal line (drawn parallel to lower edge of OPG image) ANGULATION OF SECOND MOLAR
  • 73.
    Completely formed rootsprovides the clear point of elevation. Point of elevation will be difficult in incompletely formed roots SCORES a. Less than 1/3rd complete =2 b. 1/3rd to 2/3rd complete =1 c. More than 2/3rd complete Complex =3 Unfavourable curve=2 Favourable curve =1 ROOT SHAPE AND DEVELOPMENT
  • 74.
    SCORES Normal=0 Possibly enlarged=-1 Enlarged= -2 Impaction relieved= -3 Enlarged Widened follicular sac makes the tooth to slip during elevation SIZE OF FOLLICLE
  • 75.
    SCORES Space=0 Distal cuspcovered=1 Mesial cusp covered=2 All covered=3 The tooth is imagined to be rotated about MIDPOINT and the point at which the shadow of the coronoid process crosses the crown is noted PATH OF EXIT Midpoint Shadow of coronoid process
  • 79.
    Complete range of manifestationis not taken into account. Follicle can be obliterated by resorption of the crown and enostosis and this would make the tooth extremely difficult to remove. Extremely deep teeth, those with florid root shapes are extremes which are also excluded. Details of the surgical technique are not related to the radiological features.
  • 81.
    We can assessthe difficulties with WAR lines, WHARFE assessment and PEDERSON’S difficulty index to some extent. As a beginner it gives an idea about the level of difficulty. But the surgeon should not rely entirely on the radiograph, as the difficulty may vary during the procedure.