Chair:- Prof. Dr. C Jayakumar
Presented by:- Dr Shybin Usman
   Maya
   31 years old
   Housewife
   2 Children
   Referred from local hospital
   c/o fever of 1 month duration
   Treatment till then unsuccessful
   Common infective causes ruled out
   Next line of workup started
   Pt had :-
     Arthritis
     Oral ulcers
     Serositis (pleural and pericardial effusions)
     Anaemia + High LDH + DCT positivity
     Anti ds-DNA positivity
Systemic Lupus
 Erythematosus
   Started on steroids
   Pt afebrile by end of 1st week
   General condition improved
   New c/o cough and recurrence of fever
   Pt in 2nd week as IP
   Lt sided chest pain
   Scanty expectoration
   Pt on steroids
   New onset cough and pleuritic pain
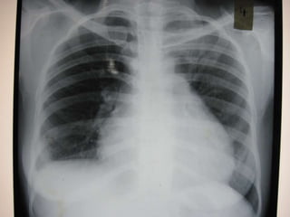
   New patches on chest X-Ray
   First suspect:-
       INFECTIVE AETIOLOGY
   Added antibiotics
   CT chest taken
   Consolidation with air bronchogram in the
    apicoposterior segment of left upperlobe
   Minimal right pleural effusion with basal
    atelectasis
   Moderate pericardial effusion
   After 2 weeks of antibiotic therapy
   Bouts of fever persisting
   Cough persisting
   Chest pain has become right sided
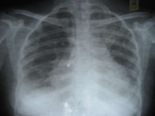
   Repeat chest X-Ray
   Suspicion shifted to the next accused:-

            Lupus Pneumonitis
   Steroid dose hiked
   Fever disappears
   Cough subsides
   Chest pain subsides
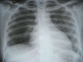
   Chest X-Ray repeated after 1 week
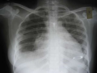
   Pt discharged
   Repeat chest X-Ray @ 2 weeks follow-up
An overview
   Common
   Pleurisy in 33%
   Pleural thickening
   Effusions :-
       Small, bilateral
       Exudate
       ANA, anti ds-DNA & LE cells in fluid
   Dyspnoea with lung volume loss
   CXR –
       Small clear lung fields
       Bilateral high diaphragm
   Theories –
       Diaphragmatic dysfunction
       Multiple small infarcts (due to vasculitis)
   Dramatic and severe complication
   10% patients
   SLE flare associated
   Fever, dyspnoea, hypoxemia
   Haemoptysis rare
   Tachypnea, crackles (fine/coarse)
   CXR – Diffuse infiltrates (mimic ARDS)
   Diffuse alveolar inflammation, vasculitis and
    haemorrhage
Lupus Pneumonitis     Acute Infection
      CRP                ↑                   ↑↑
   CO Transfer          ↑/↓                   N
      BAL        Haemosiderin laden   Infective Organism
                   macrophages



Definitive investigation :- Open-lung biopsy
   Rx :-
       High dose Steroids / Immunosuppressants
   Mortality ≈ 50%
   Atelectasis (rarely clinically significant)
   Bronchiolitis obliterans
   Interstitial fibrosis (rare)
   Restrictive PFT
   Thromboembolism
The phantom menace

The phantom menace

  • 1.
    Chair:- Prof. Dr.C Jayakumar Presented by:- Dr Shybin Usman
  • 2.
    Maya  31 years old  Housewife  2 Children
  • 3.
    Referred from local hospital  c/o fever of 1 month duration  Treatment till then unsuccessful  Common infective causes ruled out  Next line of workup started
  • 4.
    Pt had :-  Arthritis  Oral ulcers  Serositis (pleural and pericardial effusions)  Anaemia + High LDH + DCT positivity  Anti ds-DNA positivity
  • 5.
  • 6.
    Started on steroids  Pt afebrile by end of 1st week  General condition improved
  • 7.
    New c/o cough and recurrence of fever  Pt in 2nd week as IP  Lt sided chest pain  Scanty expectoration
  • 10.
    Pt on steroids  New onset cough and pleuritic pain  New patches on chest X-Ray  First suspect:-  INFECTIVE AETIOLOGY  Added antibiotics  CT chest taken
  • 13.
    Consolidation with air bronchogram in the apicoposterior segment of left upperlobe  Minimal right pleural effusion with basal atelectasis  Moderate pericardial effusion
  • 14.
    After 2 weeks of antibiotic therapy  Bouts of fever persisting  Cough persisting  Chest pain has become right sided  Repeat chest X-Ray
  • 16.
    Suspicion shifted to the next accused:- Lupus Pneumonitis
  • 17.
    Steroid dose hiked  Fever disappears  Cough subsides  Chest pain subsides  Chest X-Ray repeated after 1 week
  • 19.
    Pt discharged  Repeat chest X-Ray @ 2 weeks follow-up
  • 21.
  • 22.
    Common  Pleurisy in 33%  Pleural thickening  Effusions :-  Small, bilateral  Exudate  ANA, anti ds-DNA & LE cells in fluid
  • 23.
    Dyspnoea with lung volume loss  CXR –  Small clear lung fields  Bilateral high diaphragm  Theories –  Diaphragmatic dysfunction  Multiple small infarcts (due to vasculitis)
  • 24.
    Dramatic and severe complication  10% patients  SLE flare associated  Fever, dyspnoea, hypoxemia  Haemoptysis rare  Tachypnea, crackles (fine/coarse)  CXR – Diffuse infiltrates (mimic ARDS)  Diffuse alveolar inflammation, vasculitis and haemorrhage
  • 25.
    Lupus Pneumonitis Acute Infection CRP ↑ ↑↑ CO Transfer ↑/↓ N BAL Haemosiderin laden Infective Organism macrophages Definitive investigation :- Open-lung biopsy
  • 26.
    Rx :-  High dose Steroids / Immunosuppressants  Mortality ≈ 50%
  • 27.
    Atelectasis (rarely clinically significant)  Bronchiolitis obliterans  Interstitial fibrosis (rare)  Restrictive PFT  Thromboembolism