Introduction to fixed prosthodontics
•
Presented by
•
Dr: Raiesa Mohamed Hashem
•
Lecturer of fixed prosthodontics
Terminology & classification
*Terminology
*prothesis
Artificial replacement of any body part.
Dental prothesis
Removalble
prothesis
Fixed
prothesis
It is the field concerned with the restoration
or the replacement of missing teeth and
surrounding structure by artificial substitute
that are removable.
Removable prosthodontics
Fixed prosthodontics:
it is a branch of dentistry concerned with the
restoration or the replacement of the tooth or teeth
by artificial substitute that are not removable from
the tooth
Advantages of replacing missing teeth
-Function
-Esthetics
-Occlusal stability
Other Advantages
-Speech
-Periodontal splinting
-Orthodontic retention
-Restoring occlusal vertical dimension
Prothetic options for missing tooth
1- implant
2- fixed partial denture(bridge)
3- removable
Fixed prosthodontics:
Crown bridge
Crown : is an artificial
restoration of the coronal
portion of the natural
tooth.
Crown
1- clinical crown
2- anatomical crown
3- radiographic crown
4- artificial crown
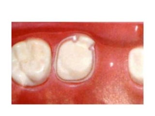
A)Full coverage crown:
It is an extra coronal restoration
that covers all the surfaces of
the prepared clinical crown
Types of crowns:
*full veneer metal
crown: it is a full
metal cast crown
that covers all the
coronal tooth
surface.
*Jacket crown: it is a
non metallic, full
coverage restoration
(porcelain) that rebuilds
the prepared clinical
crown of the anterior
teeth and restores it
esthetically and
functionally.
* Veneered crown: it is
a full cast crown having
porcelain or acrylic facing
on the labial or buccal
surface.
* full veneered crown: it
is a full cast crown having
all surfaces covered with
porcelain.
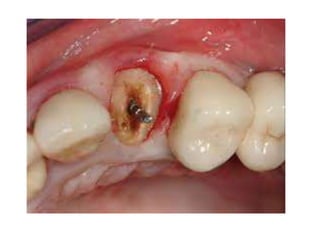
Post crown: it is an artificial
restoration of the coronal
portion of the natural tooth
maintained in position mainly
by post inserted in the
prepared root canal.
•Temporary crown: it is a
crown made and used
temporally in the protection of
the prepared tooth until the
final restoration is completed
and cemented
B-partial coverage
crown
Partial-coverage crown is an
extracoronal restoration that
covers only part of the
clinical crown.
* Three-quarter
crown: it is a partial
veneer crown in
which the buccal
surface is left
uncovered.
* Reverse Three-quarter crown:
it is a modified type of Three-
quarter crown where the lingual
surface is unprepared instead of
buccal surface.
* One half crown: it is a
modified type of Three-quarter
crown involving one proximal
surface and nearly those half of
buccal and lingual surfaces
adjacent to it and most of /or all
the occlusal surface.
• Seven eight crown : it is a
partial coverage crown
covering all the surfaces of the
crown except the mesio –
buccal cast .
• * Mac Boyle retainer : it is a
modified type of Three-quarter
crown with retention derived
from grooves at the labial line
angles instead of the proximal
surfaces.
• * Pinledge retainer : it is a
modified form of partial
veneer crown using
dowel Pins in the coronal
portion of the tooth as
means of retention .
Other Types of Prosthetics fixed
to a single tooth :
• Laminates : are thin facings of
ceramic fixed directly to teeth
using resin cement.
* Inlay retainer : is a metallic or
ceramic retainer that restores the
proximal and occlusal surfaces but
does not protect or cover the cusps
entirely.
*Onlay retainer : It is a modified
MOD inlay with cusp overlays on the
occlusal surface protecting the integrity
of the remaining tooth structure .
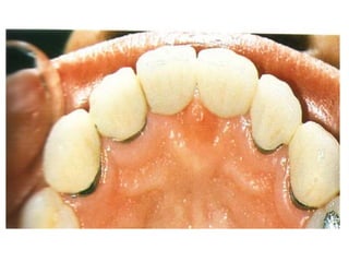
Bridge: (fixed prosthesis)
(fixed partial denture): is a non
movable prosthesis which is
rigidly attached to one or more
abutment teeth to replace one or
more lost missing teeth.
Component Parts of bridge
Abutment tooth Retainer
Pontic
Connector
* Abutment tooth: is the
natural tooth which supports
and retain the bridge at one
or both teeth.
* Pier abutment: is an isolated
abutment tooth, where the anterior and
posterior adjacent teeth to it are missing.
* Pontic: is that part of the
bridge which act the actual
substitute for the lost tooth and
is suspended between the
retainers replacing the lost
natural tooth functionally and
esthetically.
* Retainer: The artificial
restoration rebuilding
prepared abutment tooth
and by which the pontic is
attached to the abutment.
* Connector: is that part of the
bridge uniting the pontic (s) with the
retainer(s), so that to join the component
parts of the bridge.
1-Rigid connector: soldered type
joint
2-Non Rigid connector: a Brocken-
stress or dove tialed occlusal or
subocclusal rest allowing for some
individual movement of the abutment
teeth.
* Fixed fixed bridge: is a
bridge where the retainer and
pontic s are all solder together
and the bridge is cemented at
both ends to the abutment teeth.
Types of bridges
* Fixed supported bridge :
is a bridge which is not actually joined
to one of the terminal abutment teeth
but is connected to it by means of a non
– rigid connector allowing some
individual movement of the abutment
teeth.
* Cantilever bridge ( fixed
free bridge ) : is a bridge
where the pontic is fixed to and
drives its support from one or
double retainers at one end only
while the other end
unsupported.
* Spring Cantilever bridge
: is Cantilever bridge where the
pontic is at the end of slightly
curved resilient arm driving its
support from an abutment
remote from the edentulous
space.
* Removable bridge , precision
attachment bridge : is a bridge
where each retainer consists of 2
parts , one fixed to the abutment
tooth and one soldered to the pontic
and the bridge can removed by the
patient for cleaning purpose.
* Temporary bridge: is a
bridge made and used for the
protection of the prepared teeth,
tissue control and maintenance of
the space till completion and
cementation of the bridge.
* Resin bonded retainer: is a
restoration consisting of one or two
pontics supported by thin metal or
ceramic retainers placed lingually and
proximally on the abutment teeth.
These prosthesis rely in part on
adhesive bonding between etched
enamel and the metal or ceramic
retainers.
* Implant supported fixed
prosthesis: are surgically placed
implant within bone and projected
though the mucosa, on which the
abutment are screw retained , fixed
partial denture the constructed on
the abutment
* Simple bridge: is a one single
type bridge which may be fixed ,fixed
free, cantilever or spring cantilever.
* Compound bridge: is a
combination type bridge composed
of two or more of the simple types
All ceramic bridge: is a bridge
made entirely of ceramics.
* Complex bridge: is a bridge that extends at
one of its terminal beyond the canine.
* Unilateral bridge: is a bridge consisting of 2 or
3 anterior teeth that doesn't cross the midline.
* Bilateral bridge: is a bridge consisting of 3 or 4
teeth which involves teeth on both sides of the
midline.
Classification
1- Crowns
A- according no of covered
surfaces
1- full coverage
2- partial coverage
1- full coverage :classified
according retention
A- Encircling the preparation.(full
metal veneer, veneered, full
veneered, spring cantilever)
B-Post in the root canal. (post
crown)
C- Combination.(post jacket
crown)
2- partial coverage:
Classified according to method of
retention
1- grooves (3l4, 1l2, 7l8, mac –Boyle
etainers)
2- pins (pinledge retainer)
3- combined means ( pin modified 3l4)
2-According to material used:
1- Metallic:
A- high noble alloy
B- noble alloy
C- predominantly base metal.
2-Non metallic:
A-ceramic jacket crown
B- acrylic jacket crwon (temporarily)
3- Combined
-Veneered
-Full veneered
2- Bridges
1- According to retention
1- simple bridges:
a-fixed fixed
b-fixed supported
C-cantilever
D-spring cantilever
E-removable
2- compound bridges: more than one type of
the above
2-According to material used:
1- Metallic:
A- high noble alloy
B- noble alloy
C- predominantly base metal.
2-Non metallic:
A-all ceramic
B- all acrylic
3- Combined
Ceramo-metallic bridges
3-According to site
A- anterior: unilateral or bilateral
B- posterior.
C- complex(passing the canine line)

terminology.pptx

  • 2.
    Introduction to fixedprosthodontics
  • 3.
    • Presented by • Dr: RaiesaMohamed Hashem • Lecturer of fixed prosthodontics Terminology & classification
  • 4.
    *Terminology *prothesis Artificial replacement ofany body part. Dental prothesis Removalble prothesis Fixed prothesis
  • 5.
    It is thefield concerned with the restoration or the replacement of missing teeth and surrounding structure by artificial substitute that are removable. Removable prosthodontics
  • 6.
    Fixed prosthodontics: it isa branch of dentistry concerned with the restoration or the replacement of the tooth or teeth by artificial substitute that are not removable from the tooth
  • 7.
    Advantages of replacingmissing teeth -Function -Esthetics -Occlusal stability Other Advantages -Speech -Periodontal splinting -Orthodontic retention -Restoring occlusal vertical dimension
  • 9.
    Prothetic options formissing tooth 1- implant 2- fixed partial denture(bridge) 3- removable
  • 10.
    Fixed prosthodontics: Crown bridge Crown: is an artificial restoration of the coronal portion of the natural tooth.
  • 11.
    Crown 1- clinical crown 2-anatomical crown 3- radiographic crown 4- artificial crown
  • 13.
    A)Full coverage crown: Itis an extra coronal restoration that covers all the surfaces of the prepared clinical crown Types of crowns:
  • 14.
    *full veneer metal crown:it is a full metal cast crown that covers all the coronal tooth surface.
  • 15.
    *Jacket crown: itis a non metallic, full coverage restoration (porcelain) that rebuilds the prepared clinical crown of the anterior teeth and restores it esthetically and functionally.
  • 16.
    * Veneered crown:it is a full cast crown having porcelain or acrylic facing on the labial or buccal surface.
  • 18.
    * full veneeredcrown: it is a full cast crown having all surfaces covered with porcelain.
  • 20.
    Post crown: itis an artificial restoration of the coronal portion of the natural tooth maintained in position mainly by post inserted in the prepared root canal.
  • 23.
    •Temporary crown: itis a crown made and used temporally in the protection of the prepared tooth until the final restoration is completed and cemented
  • 24.
    B-partial coverage crown Partial-coverage crownis an extracoronal restoration that covers only part of the clinical crown.
  • 25.
    * Three-quarter crown: itis a partial veneer crown in which the buccal surface is left uncovered.
  • 26.
    * Reverse Three-quartercrown: it is a modified type of Three- quarter crown where the lingual surface is unprepared instead of buccal surface.
  • 27.
    * One halfcrown: it is a modified type of Three-quarter crown involving one proximal surface and nearly those half of buccal and lingual surfaces adjacent to it and most of /or all the occlusal surface.
  • 29.
    • Seven eightcrown : it is a partial coverage crown covering all the surfaces of the crown except the mesio – buccal cast .
  • 31.
    • * MacBoyle retainer : it is a modified type of Three-quarter crown with retention derived from grooves at the labial line angles instead of the proximal surfaces.
  • 32.
    • * Pinledgeretainer : it is a modified form of partial veneer crown using dowel Pins in the coronal portion of the tooth as means of retention .
  • 34.
    Other Types ofProsthetics fixed to a single tooth : • Laminates : are thin facings of ceramic fixed directly to teeth using resin cement.
  • 36.
    * Inlay retainer: is a metallic or ceramic retainer that restores the proximal and occlusal surfaces but does not protect or cover the cusps entirely.
  • 37.
    *Onlay retainer :It is a modified MOD inlay with cusp overlays on the occlusal surface protecting the integrity of the remaining tooth structure .
  • 40.
    Bridge: (fixed prosthesis) (fixedpartial denture): is a non movable prosthesis which is rigidly attached to one or more abutment teeth to replace one or more lost missing teeth.
  • 42.
    Component Parts ofbridge Abutment tooth Retainer Pontic Connector
  • 43.
    * Abutment tooth:is the natural tooth which supports and retain the bridge at one or both teeth.
  • 44.
    * Pier abutment:is an isolated abutment tooth, where the anterior and posterior adjacent teeth to it are missing.
  • 45.
    * Pontic: isthat part of the bridge which act the actual substitute for the lost tooth and is suspended between the retainers replacing the lost natural tooth functionally and esthetically.
  • 46.
    * Retainer: Theartificial restoration rebuilding prepared abutment tooth and by which the pontic is attached to the abutment.
  • 47.
    * Connector: isthat part of the bridge uniting the pontic (s) with the retainer(s), so that to join the component parts of the bridge. 1-Rigid connector: soldered type joint 2-Non Rigid connector: a Brocken- stress or dove tialed occlusal or subocclusal rest allowing for some individual movement of the abutment teeth.
  • 48.
    * Fixed fixedbridge: is a bridge where the retainer and pontic s are all solder together and the bridge is cemented at both ends to the abutment teeth. Types of bridges
  • 50.
    * Fixed supportedbridge : is a bridge which is not actually joined to one of the terminal abutment teeth but is connected to it by means of a non – rigid connector allowing some individual movement of the abutment teeth.
  • 53.
    * Cantilever bridge( fixed free bridge ) : is a bridge where the pontic is fixed to and drives its support from one or double retainers at one end only while the other end unsupported.
  • 55.
    * Spring Cantileverbridge : is Cantilever bridge where the pontic is at the end of slightly curved resilient arm driving its support from an abutment remote from the edentulous space.
  • 57.
    * Removable bridge, precision attachment bridge : is a bridge where each retainer consists of 2 parts , one fixed to the abutment tooth and one soldered to the pontic and the bridge can removed by the patient for cleaning purpose.
  • 59.
    * Temporary bridge:is a bridge made and used for the protection of the prepared teeth, tissue control and maintenance of the space till completion and cementation of the bridge.
  • 61.
    * Resin bondedretainer: is a restoration consisting of one or two pontics supported by thin metal or ceramic retainers placed lingually and proximally on the abutment teeth. These prosthesis rely in part on adhesive bonding between etched enamel and the metal or ceramic retainers.
  • 63.
    * Implant supportedfixed prosthesis: are surgically placed implant within bone and projected though the mucosa, on which the abutment are screw retained , fixed partial denture the constructed on the abutment
  • 65.
    * Simple bridge:is a one single type bridge which may be fixed ,fixed free, cantilever or spring cantilever.
  • 66.
    * Compound bridge:is a combination type bridge composed of two or more of the simple types
  • 67.
    All ceramic bridge:is a bridge made entirely of ceramics.
  • 68.
    * Complex bridge:is a bridge that extends at one of its terminal beyond the canine. * Unilateral bridge: is a bridge consisting of 2 or 3 anterior teeth that doesn't cross the midline. * Bilateral bridge: is a bridge consisting of 3 or 4 teeth which involves teeth on both sides of the midline.
  • 69.
    Classification 1- Crowns A- accordingno of covered surfaces 1- full coverage 2- partial coverage
  • 70.
    1- full coverage:classified according retention A- Encircling the preparation.(full metal veneer, veneered, full veneered, spring cantilever) B-Post in the root canal. (post crown) C- Combination.(post jacket crown)
  • 71.
    2- partial coverage: Classifiedaccording to method of retention 1- grooves (3l4, 1l2, 7l8, mac –Boyle etainers) 2- pins (pinledge retainer) 3- combined means ( pin modified 3l4)
  • 72.
    2-According to materialused: 1- Metallic: A- high noble alloy B- noble alloy C- predominantly base metal. 2-Non metallic: A-ceramic jacket crown B- acrylic jacket crwon (temporarily) 3- Combined -Veneered -Full veneered
  • 73.
    2- Bridges 1- Accordingto retention 1- simple bridges: a-fixed fixed b-fixed supported C-cantilever D-spring cantilever E-removable 2- compound bridges: more than one type of the above
  • 74.
    2-According to materialused: 1- Metallic: A- high noble alloy B- noble alloy C- predominantly base metal. 2-Non metallic: A-all ceramic B- all acrylic 3- Combined Ceramo-metallic bridges
  • 75.
    3-According to site A-anterior: unilateral or bilateral B- posterior. C- complex(passing the canine line)