Presented by
Dr: Raiesa Mohammed Hashem
Lecturer of fixed prosthodontics
Fixed Partial Denture
ď‚´
Component Parts
1- Retainers
ď‚´
2- Pontic
ď‚´
3- Connectors
Definition:
Retainer: The artificial restoration rebuilding prepared
abutment tooth and by which the pontic is attached to the
abutment.
Requirements of ideal retainer
ď‚´
1- Provide retention and resistance to displacing forces
ď‚´
2- provide maximum esthetics
3- provide minimum tooth reduction with maximum strength
ď‚´
3-Should resist tarnish and corrosion
ď‚´
4- Biologically accepted to surrounding tissue
ď‚´
5- Maximum protection of the tooth against: pulp affection,
periodontal problems, fracture and caries
6-Easily constructed
Classification of Retainers
1- According to the site
ď‚´
1- Extra-coronal
ď‚´
a- Complete coverage
-
- Full metal
-
- veneered
-
- full veneered
All ceramic
b- Partial coverage
- Half crown
- Âľ
- 7/8
- Macboyl
- Pinledge
- Resin bonded retainer
- laminates
2-Intra - coronal
ď‚´
- Inlay
ď‚´
- Onlay
3- Intra-radicular
Post crown
2-According to mode of retention
ď‚´
1- Encircling the preparation
ď‚´
full metal retainers
ď‚´
veneered, full veneered
ď‚´
all ceramic retainers
ď‚´
2- post in root canal
ď‚´
3- grooves 3l4 1l2 7l8 retainers
ď‚´
4- pins pinledge retainer
ď‚´
6- combined means modified 3l4
Resin-bonded retainers
7- Using surface treatment and adhesive and
adhesive resin
3-According to material used
ď‚´
1- Metallic: full metal
ď‚´
2-Non metallic: all ceramic
ď‚´
3- Combined: veneered full veneered
retainers
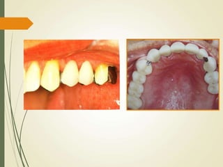
Complete coverage versus partial coverage
ď‚´
Complete coverage retainers
ď‚´
Advantages:
ď‚´
1- More resistance to deformation
ď‚´
2- more retentive
ď‚´
3- less possibility of debonding
ď‚´
4- performable in long span FPD
1- Possibility to endanger the pulp.
2- Cannot detect vitality of the pulp or x-ray examination.
3- poor supportive tissue response.
4-tooth preparation is more arduous
5- poor esthetics full metal restricted to posterior teeth
6- accumulate more plaque =gingivitis+ increased pocket depth
but still the patient should practice meticulous oral hygiene
Disadvantages:
Advantages
ď‚´
1-Conservative tooth prep.
ď‚´
2-Good esthetics
ď‚´
3-Biocompatability with supporting tissues
ď‚´
4-Accessibility of margins for finishing +cleaning
ď‚´
5- Diminished hydraulic pressure = complete seating of
casting during cementation
ď‚´
6- Pulp testing can be done
Partial coverage retainers
1- Less retentive than complete coverage restoration.
ď‚´
2-Some limited metal display
ď‚´
3- Difficult preparation
ď‚´
4- Margins liable to caries
Disadvantages
Factors affecting selection of retainers
1- Retention
2- Abutment condition
3-Esthetics
4-Oral hygiene and caries index.
5- Age of the patient
6- Type of occlusion
7- Existing caries
8-length of edentulous span
1-Retention
The retainer must be self retentive, this means that it
must properly fit to the abutments.
This can be achieved by proper selection of:
- the type of retainer
- proper preparation
- proper construction
- good selection of cement
A-Amount of remaining tooth structure influence retentive properties of
retainers
B- Teeth with extensive defective restoration or fractures ==intentional
endo ttt +post +core==retentive form for abutment
C- Crown lengthening when caries,restortion, or fracture tooth present.
D- Crown morphology +quantity of sound enamel+dentin
eg resin bonded bridge ===intact enamel to be etched.
Factors affecting retention of the retainer
2-Abutments condition
Full coverage retainer indicated in cases:
1- Abutment with short,malaligned and tapered clinical crown
2-Carious or fractured abutment
3- Active caries and poor oral hygiene
4- Endodontically treated abutments
While partial coverage retainer indicated in cases
1- Intact or minimally restored abutment
2-Average or exceed average crown length
3-Normal anatomic clinical crown without excessive cervical
constriction
4- Adequate labiolingual, incisogingival, and mesiodistal thickness.
5- Good axial inclination.
3-Esthetics
ď‚´
- partial coverage gives the best esthetic appearance because of
preservation of natural labial enamel.
ď‚´
- Full veneered crown is indicated to avoid any metal showing in the
mouth.
ď‚´
- Using precision attachment instead of extracoronal clasps enhance
both esthetics and psychological condition of the patient.
ď‚´
- Sub gingival finishing line gives better esthetics in anterior and
premolars areas
4- Oral hygiene, caries indices:
Patient with poor oral hygiene:
1- periodontal problems and calculus formation.
2- high caries index
3- no periodic examination.
So full coverage is indicated.
Patient with good oral hygiene:
Low caries index
Periodic examination
So partial coverage can be used.
5- Age of patient
ď‚´
Patients under 18 year not indicated for fixed
prosthodontics?
ď‚´
Due to:
A- large pulp size +high pulp horns==pulp exposure.
B- high gingival attachment.== normal gingival recession.(passive
eruption)=margin of restoration exposed ==poor esthetics
6- Type of occlusion
- In case of normal bite, partial coverage can be used.
-In case of abnormal bite: deep bite, cross bite, bruxism,
clenching:
SO complete coverage is indicated
RPD and C.D exert less forces on the opposing arch than the
natural teeth.
So in case of natural dentition strong retainer with added means of
retention
While in case of partial denture or bridge: no need for added
means of retention.
a- simple proximal caries ==partial veneers 3l4
b – MO OR MOD caries == inlay retainer. or full
veneer retainer
7- Existing caries
ď‚´
8-Length of edentulous span
ď‚´
Increased span length == retentive + strong
retainers ==full veneer retainer
RETAINERS USED FOR FIXED PROSTHODONTICS.ppt

RETAINERS USED FOR FIXED PROSTHODONTICS.ppt

  • 2.
    Presented by Dr: RaiesaMohammed Hashem Lecturer of fixed prosthodontics
  • 3.
  • 4.
  • 5.
  • 6.
    Definition: Retainer: The artificialrestoration rebuilding prepared abutment tooth and by which the pontic is attached to the abutment.
  • 7.
    Requirements of idealretainer ď‚´ 1- Provide retention and resistance to displacing forces ď‚´ 2- provide maximum esthetics 3- provide minimum tooth reduction with maximum strength ď‚´ 3-Should resist tarnish and corrosion ď‚´ 4- Biologically accepted to surrounding tissue ď‚´ 5- Maximum protection of the tooth against: pulp affection, periodontal problems, fracture and caries 6-Easily constructed
  • 8.
    Classification of Retainers 1-According to the site ď‚´ 1- Extra-coronal ď‚´ a- Complete coverage - - Full metal - - veneered - - full veneered All ceramic
  • 9.
    b- Partial coverage -Half crown - Âľ - 7/8 - Macboyl - Pinledge - Resin bonded retainer - laminates
  • 10.
    2-Intra - coronal ď‚´ -Inlay ď‚´ - Onlay
  • 11.
  • 12.
    2-According to modeof retention ď‚´ 1- Encircling the preparation ď‚´ full metal retainers ď‚´ veneered, full veneered ď‚´ all ceramic retainers ď‚´ 2- post in root canal ď‚´ 3- grooves 3l4 1l2 7l8 retainers ď‚´ 4- pins pinledge retainer ď‚´ 6- combined means modified 3l4
  • 13.
    Resin-bonded retainers 7- Usingsurface treatment and adhesive and adhesive resin
  • 14.
    3-According to materialused ď‚´ 1- Metallic: full metal ď‚´ 2-Non metallic: all ceramic ď‚´ 3- Combined: veneered full veneered retainers
  • 15.
    Complete coverage versuspartial coverage ď‚´ Complete coverage retainers ď‚´ Advantages: ď‚´ 1- More resistance to deformation ď‚´ 2- more retentive ď‚´ 3- less possibility of debonding ď‚´ 4- performable in long span FPD
  • 16.
    1- Possibility toendanger the pulp. 2- Cannot detect vitality of the pulp or x-ray examination. 3- poor supportive tissue response. 4-tooth preparation is more arduous 5- poor esthetics full metal restricted to posterior teeth 6- accumulate more plaque =gingivitis+ increased pocket depth but still the patient should practice meticulous oral hygiene Disadvantages:
  • 17.
    Advantages ď‚´ 1-Conservative tooth prep. ď‚´ 2-Goodesthetics ď‚´ 3-Biocompatability with supporting tissues ď‚´ 4-Accessibility of margins for finishing +cleaning ď‚´ 5- Diminished hydraulic pressure = complete seating of casting during cementation ď‚´ 6- Pulp testing can be done Partial coverage retainers
  • 18.
    1- Less retentivethan complete coverage restoration. ď‚´ 2-Some limited metal display ď‚´ 3- Difficult preparation ď‚´ 4- Margins liable to caries Disadvantages
  • 19.
    Factors affecting selectionof retainers 1- Retention 2- Abutment condition 3-Esthetics 4-Oral hygiene and caries index. 5- Age of the patient 6- Type of occlusion 7- Existing caries 8-length of edentulous span
  • 20.
    1-Retention The retainer mustbe self retentive, this means that it must properly fit to the abutments. This can be achieved by proper selection of: - the type of retainer - proper preparation - proper construction - good selection of cement
  • 21.
    A-Amount of remainingtooth structure influence retentive properties of retainers B- Teeth with extensive defective restoration or fractures ==intentional endo ttt +post +core==retentive form for abutment C- Crown lengthening when caries,restortion, or fracture tooth present. D- Crown morphology +quantity of sound enamel+dentin eg resin bonded bridge ===intact enamel to be etched. Factors affecting retention of the retainer
  • 22.
    2-Abutments condition Full coverageretainer indicated in cases: 1- Abutment with short,malaligned and tapered clinical crown 2-Carious or fractured abutment 3- Active caries and poor oral hygiene 4- Endodontically treated abutments While partial coverage retainer indicated in cases 1- Intact or minimally restored abutment 2-Average or exceed average crown length 3-Normal anatomic clinical crown without excessive cervical constriction 4- Adequate labiolingual, incisogingival, and mesiodistal thickness. 5- Good axial inclination.
  • 23.
    3-Esthetics ď‚´ - partial coveragegives the best esthetic appearance because of preservation of natural labial enamel. ď‚´ - Full veneered crown is indicated to avoid any metal showing in the mouth. ď‚´ - Using precision attachment instead of extracoronal clasps enhance both esthetics and psychological condition of the patient. ď‚´ - Sub gingival finishing line gives better esthetics in anterior and premolars areas
  • 25.
    4- Oral hygiene,caries indices: Patient with poor oral hygiene: 1- periodontal problems and calculus formation. 2- high caries index 3- no periodic examination. So full coverage is indicated. Patient with good oral hygiene: Low caries index Periodic examination So partial coverage can be used.
  • 26.
    5- Age ofpatient ď‚´ Patients under 18 year not indicated for fixed prosthodontics? ď‚´ Due to: A- large pulp size +high pulp horns==pulp exposure. B- high gingival attachment.== normal gingival recession.(passive eruption)=margin of restoration exposed ==poor esthetics
  • 27.
    6- Type ofocclusion - In case of normal bite, partial coverage can be used. -In case of abnormal bite: deep bite, cross bite, bruxism, clenching: SO complete coverage is indicated RPD and C.D exert less forces on the opposing arch than the natural teeth. So in case of natural dentition strong retainer with added means of retention While in case of partial denture or bridge: no need for added means of retention.
  • 28.
    a- simple proximalcaries ==partial veneers 3l4 b – MO OR MOD caries == inlay retainer. or full veneer retainer 7- Existing caries
  • 29.
    ď‚´ 8-Length of edentulousspan ď‚´ Increased span length == retentive + strong retainers ==full veneer retainer