‫الرحيم‬ ‫الرحمن‬ ‫ال‬ ‫بسم‬
Clinical Presentation of
Tuberculosis
Dr. Ramadan Fouad Arafa
MBBCh, MSc, MRCP
Physician, Fujairah Hospital
Introduction
• TB is one of the world’s deadliest diseases
• 1/3 of the world’s population is infected with TB.
• In 2011, nearly 9 million people around the world
became sick with TB disease. There were around
1.4 million TB-related deaths worldwide.
• Over 95% of TB deaths occur in low- and middle-
income countries, and it is among the top three
causes of death for women aged 15 to 44.
• TB is a leading killer of HIV infected people.
• A total of 9,945 TB cases (a rate of 3.2 cases per
100,000 persons) were reported in US in 2012.
• The TB death rate dropped 41% between 1990
and 2011.
• An estimated 20 million lives saved through use
of DOTS and the Stop TB Strategy recommended
by WHO.
• Early diagnosis and prompt effective therapy form
the key elements of the TB control programme.
• Delay in diagnosis results in increased infectivity
in the community and it is estimated that an
untreated smear-positive patient can infect 20
contacts before being diagnosed.
Situation in UAE 2011
New cases No. % Retreatment No. %
Smear-positive 46 45 Relapse 0 0
Smear-negative 25 24 Treatment after
failure
0 0
Smear not done 2 2 Treatment after
default
3 100
Extrapulmonary 30 29
Total treatment 103 Total retreatment 3 100
Total new and
relapse
103 Total cases
notified
106
Factors affecting transmission of TB
1. Degree of infectiousness of the case:
a. Smear positive sputum:
Pts with cavitatory lesions are more infectious
TB with HIV is less infectious
20 cases may be infected from smear positive sputum
case before the index case is diagnosed.
b. Smear negative / culture + ve cases
Less infectious
Responsible for up to 20% of transmission of TB
c. Sputum – ve / culture –ve:
not infectious
2. Duration of the contact with the index case
3. Shared environment:
Class mates
Office workers
Sharing living or bed room
Crowding in poorly ventilated rooms is one of the
most important factors affecting TB transmission.
Risk factors for active TB
Primary TB:
• less transmissible even if severe and
disseminated.
• 10% of 1ry TB will develop active TB in their life
time.
• 50% of them will be in first year after infection
• Reinfection
• HIV
• Age: late adolescents and early adults, 25-34 y
and old age.
Risk factors for active TB
Factor RR /Odds
Recent infection 12.9
Fibrotic lesions (spontaneously healed) 2 - 20
Comorbidities
HIV -----------------------------------------
Silicosis -----------------------------------
CRF / HD ----------------------------------
DM ----------------------------------------
IV drug use -------------------------------
Immunosuppressive treatment ------
Gastrectomy -------------------------
Jejunoileal bypass ---------------------
Posttransplant period -------------------
21 - 30
30
10 - 25
2- 4
10- 30
10
2- 5
30- 60
20 - 70
Tobacco smoking 2 - 3
Malnutrition and severe underweight 2
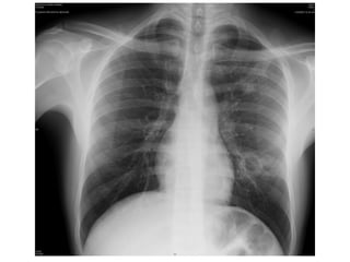
Case I
• A 35 year old housemaid,
• C/O chest pain with deep breathing with
blood stained sputum for last 2 weeks
• DM II +ve
• CXR
Case 2
• Mr V from Philippines was admitted in August
2013
• Fever
• Chest pain in Lt upper part of chest
• Pain is more with breathing
• Lost weight
• Productive cough
• Occasional hemoptysis
• Febrile 39.5 ⁰
• HR 112 bpm
• RR 22 breaths/min
• Chest : left bronchial breath sounds, pleural rub
• CVS and abdomen: Unremarkable
• CXR
• CBC
• Electrolytes
• Sputum AFB +ve
• PCR for MTB + ve
Case 3
• A 70 year old lady, local
• Admitted with hemoptysis for 1 day
• She has similar attack 4-5 months ago in KSA,
was diagnosed as URTI
• No fever, chest pain, loss of weight, anorexia
or night sweats
• No contact with chesty patients
Clinical manifestations of TB
Primary TB
•Asymptomatic
•Fever
•Pleurisy
•More in children
•CXR: middle and lower zones infiltrates
•Hilar and paratracheal lymphadenopathy
•Erythema nodosum
•Pleural reaction
• In patients with impaired cell mediated immunity,
primary PTB progress rapidly to clinical illness.
• Pleural effusion presents in 2/3 of cases.
• Primary lesion enlarges and undergoes cavitation
(progressive primary TB).
• Hilar or paratracheal lymphadenopathy
• Enlarged LN may compress bronchi
• Lymph nodes may also rupture into the airway with
development of pneumonia
• Bronchiectasis.
• Hematogenous dissemination
POSTPRIMARY (ADULT-TYPE) DISEASE
• Reactivation of LTBI
• Re-infection
• Apical and posterior segments of the upper lobes
• The superior segments of the lower lobes are also
more frequently involved.
• It ranges from small infiltrates to extensive
cavitary disease.
• Cavitation results in satellite lesions within the
lungs that may in turn undergo cavitation.
• Massive involvement may cause pneumonia.
• Most patients respond to treatment, with
defervescence, decreasing cough, weight gain,
and a general improvement in well-being
within several weeks.
Symptoms of PTB
• Nonspecific and insidious
• Diurnal fever and night sweats, weight loss,
anorexia, general malaise, and weakness.
• Cough.
• Hemoptysis develops in 20–30% of cases
• Dyspnea, ARDS, and chest pain
Gray zone cases
• Typical symptoms with normal CXR
• CXR finding is asymptomatic patient
• Symptoms and CXR findings with no sputum
production
• Symptoms and CXR finding with negative AFB
smear
• Exudative pleural effusion with negative
smear
• Suspected TB meningitis. What to do?
Diagnosis of TB
• High index of suspicion
• Not difficult with high risk cases
• The longer the delay, the more typical CXR
findings
• Immunosuppressed patients always present with
atypical findings.
Diagnosis
• Sputum smear for
AFB x 2 times
• Sputum culture
Diagnosis
• Collection of specimens
Proper 2 sputum specimens
In sterile universal container or wide
mouthed screw-capped container
Sent for microscopy & culture
Sputum collection
• Sputum induction
–With 5ml of 3% saline given through nebulizer
–Order for sputum culture
• Gastric aspiration
• Bronchoscopy
–On high suspicion for PTB
Sputum exam
• Storage & transportation
Should be examined in maximum 5-7 days
If a delay to send the specimen to lab is
unavoidable, it should be stored in a
refrigerator until sent in a cool box
Other tests
• IGRA
• NAAT
• Tuberculin skin test
• Chest X-ray
• CBC, ESR
• For EPTB: appropriate sampling
IGRA Testing
• IGRAs are used as aids in diagnosing TB infection
• Neither IGRA nor TST can distinguish LTBI from active TB.
• IGRA sensitivity 81% (100% in some studies)
• IGRA specificity 99%
• No cross reaction after BCG or non-TB Mycobacteria
• Persons with a +ve IGRA result should be evaluated for
the likelihood of TB infection, for risks for progression to
active TB, and for symptoms and signs of active TB.
NAAT
• Approved by WHO for smear +ve cases.
• Not recommended for smear negative cases.
• An automated molecular test for the detection of
M.TB and resistance to rifampicin
• Sensitivity for TB was 98.2% for smear + ve
sputum sample and 72.5% for smear -ve sputum
Automated liquid cultures
• Automated liquid cultures are more sensitive
than solid cultures
• Time to detection is more rapid than solid
cultures
• It can be used to detect Rifampicin resistance.
Tuberculin skin testing
• most widely used in screening
• limited value in the diagnosis of active TB.
• Low sensitivity and specificity.
• False-negative reactions are common
• Positive reactions are obtained in BCG –
vaccinated persons and LTBI.
Three cutoff points of clinical significance:
• Larger than or equal to 5 mm
Close contacts to persons with newly diagnosed TB
Persons with HIV infection
Patients with organ transplant
Patients taking the equivalent of more than 15 mg/d
of prednisone for one month or more
Patients with fibrotic lesions on chest radiography
• Larger than or equal to 10 mm
Patients with medical conditions that increase the
risk of TB
Recent converter - At least 10-mm increase in skin
test in past 2 years (regardless of age)
 Recent immigrants (within 5 y) from a high-
prevalence country
Children younger than 4 years exposed to adults at
high risk for TB
Residents and employees of facilities for long-term
care, including correctional institutions, nursing
homes, homeless shelters, and mental institutions
• Larger than or equal to 15 mm - Persons
with none of the above
Case definitions
• Tuberculosis suspect.
Symptoms suggestive of PTB:
• productive cough
• other respiratory symptoms
• constitutional symptoms
Symptoms related to EPTB involvement
• Definite Case of TB:
Positive AFB smear, culture, histologic
features or by newer methods as NAAT
No therapeutic trial to diagnose TB
PTB: one or more sputum sample +ve for AFB
Definitions … continued
• NEW CASE: A patient who has never had
treatment for TB or who has taken ATT < 1month.
• RE-TREATMENT CASE: A patient previously
treated for TB, who
–is started on a re-treatment regimen after
previous treatment has failed (treatment after
failure),
–who returns to treatment having previously
defaulted, or
–who was previously declared cured or
treatment completed and is diagnosed with
bacteriologically positive (sputum smear or
culture) TB (relapse).
Pulmonary TB
• TB involving the lung parenchyma.
• Miliary TB is classified as pulmonary TB
• TB intrathoracic lymphadenopathy, or TB pleural
effusion, without radiographic abnormalities in the
lungs, constitutes a case of extrapulmonary TB.
• A patient with both pulmonary and extrapulmonary
TB should be classified as a case of pulmonary TB.
Extrapulmonary tuberculosis (EPTB)
• TB involving organs other than the lungs, e.g.
pleura, lymph nodes, abdomen, genitourinary
tract, skin, joints and bones, meninges.
• Diagnosis should be based on same criteria of
definite PTB.
• Sputum smear negative PTB:
Diagnostic criteria should include:
1.at least 2 sputum smear -ve for AFB;
2. and CXR consistent with active PTB; AND
3. a decision by a clinician to treat with a full course
of ATT and either:
— laboratory or strong clinical evidence of HIV infection or:
— if HIV-negative (or unknown HIV status living in an area
of low HIV prevalence), no improvement to AB (excluding
ATT, fluoroquinolones and aminoglycosides).
• Pulmonary TB cases without smear results
are no longer classified as smear- negative
(smear not done or Unknwon).
• In settings with an HIV prevalence >1% in
pregnant women or ≥5% in TB patients, sputum
culture should be performed in patients who
are sputum smear-negative to confirm the
diagnosis of TB.
TB 2013_Diagnosis and clinical presentation

TB 2013_Diagnosis and clinical presentation

  • 1.
  • 2.
    Clinical Presentation of Tuberculosis Dr.Ramadan Fouad Arafa MBBCh, MSc, MRCP Physician, Fujairah Hospital
  • 4.
    Introduction • TB isone of the world’s deadliest diseases • 1/3 of the world’s population is infected with TB. • In 2011, nearly 9 million people around the world became sick with TB disease. There were around 1.4 million TB-related deaths worldwide. • Over 95% of TB deaths occur in low- and middle- income countries, and it is among the top three causes of death for women aged 15 to 44.
  • 5.
    • TB isa leading killer of HIV infected people. • A total of 9,945 TB cases (a rate of 3.2 cases per 100,000 persons) were reported in US in 2012. • The TB death rate dropped 41% between 1990 and 2011. • An estimated 20 million lives saved through use of DOTS and the Stop TB Strategy recommended by WHO.
  • 6.
    • Early diagnosisand prompt effective therapy form the key elements of the TB control programme. • Delay in diagnosis results in increased infectivity in the community and it is estimated that an untreated smear-positive patient can infect 20 contacts before being diagnosed.
  • 7.
    Situation in UAE2011 New cases No. % Retreatment No. % Smear-positive 46 45 Relapse 0 0 Smear-negative 25 24 Treatment after failure 0 0 Smear not done 2 2 Treatment after default 3 100 Extrapulmonary 30 29 Total treatment 103 Total retreatment 3 100 Total new and relapse 103 Total cases notified 106
  • 8.
    Factors affecting transmissionof TB 1. Degree of infectiousness of the case: a. Smear positive sputum: Pts with cavitatory lesions are more infectious TB with HIV is less infectious 20 cases may be infected from smear positive sputum case before the index case is diagnosed. b. Smear negative / culture + ve cases Less infectious Responsible for up to 20% of transmission of TB c. Sputum – ve / culture –ve: not infectious
  • 9.
    2. Duration ofthe contact with the index case 3. Shared environment: Class mates Office workers Sharing living or bed room Crowding in poorly ventilated rooms is one of the most important factors affecting TB transmission.
  • 10.
    Risk factors foractive TB Primary TB: • less transmissible even if severe and disseminated. • 10% of 1ry TB will develop active TB in their life time. • 50% of them will be in first year after infection • Reinfection • HIV • Age: late adolescents and early adults, 25-34 y and old age.
  • 11.
    Risk factors foractive TB Factor RR /Odds Recent infection 12.9 Fibrotic lesions (spontaneously healed) 2 - 20 Comorbidities HIV ----------------------------------------- Silicosis ----------------------------------- CRF / HD ---------------------------------- DM ---------------------------------------- IV drug use ------------------------------- Immunosuppressive treatment ------ Gastrectomy ------------------------- Jejunoileal bypass --------------------- Posttransplant period ------------------- 21 - 30 30 10 - 25 2- 4 10- 30 10 2- 5 30- 60 20 - 70 Tobacco smoking 2 - 3 Malnutrition and severe underweight 2
  • 12.
    Case I • A35 year old housemaid, • C/O chest pain with deep breathing with blood stained sputum for last 2 weeks • DM II +ve • CXR
  • 14.
    Case 2 • MrV from Philippines was admitted in August 2013 • Fever • Chest pain in Lt upper part of chest • Pain is more with breathing • Lost weight • Productive cough • Occasional hemoptysis
  • 15.
    • Febrile 39.5⁰ • HR 112 bpm • RR 22 breaths/min • Chest : left bronchial breath sounds, pleural rub • CVS and abdomen: Unremarkable • CXR • CBC • Electrolytes • Sputum AFB +ve • PCR for MTB + ve
  • 17.
    Case 3 • A70 year old lady, local • Admitted with hemoptysis for 1 day • She has similar attack 4-5 months ago in KSA, was diagnosed as URTI • No fever, chest pain, loss of weight, anorexia or night sweats • No contact with chesty patients
  • 19.
    Clinical manifestations ofTB Primary TB •Asymptomatic •Fever •Pleurisy •More in children •CXR: middle and lower zones infiltrates •Hilar and paratracheal lymphadenopathy •Erythema nodosum •Pleural reaction
  • 20.
    • In patientswith impaired cell mediated immunity, primary PTB progress rapidly to clinical illness. • Pleural effusion presents in 2/3 of cases. • Primary lesion enlarges and undergoes cavitation (progressive primary TB). • Hilar or paratracheal lymphadenopathy • Enlarged LN may compress bronchi • Lymph nodes may also rupture into the airway with development of pneumonia • Bronchiectasis. • Hematogenous dissemination
  • 21.
    POSTPRIMARY (ADULT-TYPE) DISEASE •Reactivation of LTBI • Re-infection • Apical and posterior segments of the upper lobes • The superior segments of the lower lobes are also more frequently involved. • It ranges from small infiltrates to extensive cavitary disease. • Cavitation results in satellite lesions within the lungs that may in turn undergo cavitation. • Massive involvement may cause pneumonia.
  • 22.
    • Most patientsrespond to treatment, with defervescence, decreasing cough, weight gain, and a general improvement in well-being within several weeks.
  • 23.
    Symptoms of PTB •Nonspecific and insidious • Diurnal fever and night sweats, weight loss, anorexia, general malaise, and weakness. • Cough. • Hemoptysis develops in 20–30% of cases • Dyspnea, ARDS, and chest pain
  • 24.
    Gray zone cases •Typical symptoms with normal CXR • CXR finding is asymptomatic patient • Symptoms and CXR findings with no sputum production • Symptoms and CXR finding with negative AFB smear • Exudative pleural effusion with negative smear • Suspected TB meningitis. What to do?
  • 25.
    Diagnosis of TB •High index of suspicion • Not difficult with high risk cases • The longer the delay, the more typical CXR findings • Immunosuppressed patients always present with atypical findings.
  • 26.
    Diagnosis • Sputum smearfor AFB x 2 times • Sputum culture
  • 27.
    Diagnosis • Collection ofspecimens Proper 2 sputum specimens In sterile universal container or wide mouthed screw-capped container Sent for microscopy & culture
  • 28.
    Sputum collection • Sputuminduction –With 5ml of 3% saline given through nebulizer –Order for sputum culture • Gastric aspiration • Bronchoscopy –On high suspicion for PTB
  • 31.
    Sputum exam • Storage& transportation Should be examined in maximum 5-7 days If a delay to send the specimen to lab is unavoidable, it should be stored in a refrigerator until sent in a cool box
  • 32.
    Other tests • IGRA •NAAT • Tuberculin skin test • Chest X-ray • CBC, ESR • For EPTB: appropriate sampling
  • 33.
    IGRA Testing • IGRAsare used as aids in diagnosing TB infection • Neither IGRA nor TST can distinguish LTBI from active TB. • IGRA sensitivity 81% (100% in some studies) • IGRA specificity 99% • No cross reaction after BCG or non-TB Mycobacteria • Persons with a +ve IGRA result should be evaluated for the likelihood of TB infection, for risks for progression to active TB, and for symptoms and signs of active TB.
  • 34.
    NAAT • Approved byWHO for smear +ve cases. • Not recommended for smear negative cases. • An automated molecular test for the detection of M.TB and resistance to rifampicin • Sensitivity for TB was 98.2% for smear + ve sputum sample and 72.5% for smear -ve sputum
  • 35.
    Automated liquid cultures •Automated liquid cultures are more sensitive than solid cultures • Time to detection is more rapid than solid cultures • It can be used to detect Rifampicin resistance.
  • 36.
    Tuberculin skin testing •most widely used in screening • limited value in the diagnosis of active TB. • Low sensitivity and specificity. • False-negative reactions are common • Positive reactions are obtained in BCG – vaccinated persons and LTBI.
  • 37.
    Three cutoff pointsof clinical significance: • Larger than or equal to 5 mm Close contacts to persons with newly diagnosed TB Persons with HIV infection Patients with organ transplant Patients taking the equivalent of more than 15 mg/d of prednisone for one month or more Patients with fibrotic lesions on chest radiography
  • 38.
    • Larger thanor equal to 10 mm Patients with medical conditions that increase the risk of TB Recent converter - At least 10-mm increase in skin test in past 2 years (regardless of age)  Recent immigrants (within 5 y) from a high- prevalence country Children younger than 4 years exposed to adults at high risk for TB Residents and employees of facilities for long-term care, including correctional institutions, nursing homes, homeless shelters, and mental institutions
  • 39.
    • Larger thanor equal to 15 mm - Persons with none of the above
  • 40.
  • 41.
    • Tuberculosis suspect. Symptomssuggestive of PTB: • productive cough • other respiratory symptoms • constitutional symptoms Symptoms related to EPTB involvement
  • 42.
    • Definite Caseof TB: Positive AFB smear, culture, histologic features or by newer methods as NAAT No therapeutic trial to diagnose TB PTB: one or more sputum sample +ve for AFB
  • 43.
    Definitions … continued •NEW CASE: A patient who has never had treatment for TB or who has taken ATT < 1month. • RE-TREATMENT CASE: A patient previously treated for TB, who –is started on a re-treatment regimen after previous treatment has failed (treatment after failure), –who returns to treatment having previously defaulted, or –who was previously declared cured or treatment completed and is diagnosed with bacteriologically positive (sputum smear or culture) TB (relapse).
  • 44.
    Pulmonary TB • TBinvolving the lung parenchyma. • Miliary TB is classified as pulmonary TB • TB intrathoracic lymphadenopathy, or TB pleural effusion, without radiographic abnormalities in the lungs, constitutes a case of extrapulmonary TB. • A patient with both pulmonary and extrapulmonary TB should be classified as a case of pulmonary TB.
  • 45.
    Extrapulmonary tuberculosis (EPTB) •TB involving organs other than the lungs, e.g. pleura, lymph nodes, abdomen, genitourinary tract, skin, joints and bones, meninges. • Diagnosis should be based on same criteria of definite PTB.
  • 46.
    • Sputum smearnegative PTB: Diagnostic criteria should include: 1.at least 2 sputum smear -ve for AFB; 2. and CXR consistent with active PTB; AND 3. a decision by a clinician to treat with a full course of ATT and either: — laboratory or strong clinical evidence of HIV infection or: — if HIV-negative (or unknown HIV status living in an area of low HIV prevalence), no improvement to AB (excluding ATT, fluoroquinolones and aminoglycosides).
  • 47.
    • Pulmonary TBcases without smear results are no longer classified as smear- negative (smear not done or Unknwon). • In settings with an HIV prevalence >1% in pregnant women or ≥5% in TB patients, sputum culture should be performed in patients who are sputum smear-negative to confirm the diagnosis of TB.

Editor's Notes

  • #5 In poor countries, LRTI is the first leading cause of death, followed by HIV, diarrheal diseases, then IHD
  • #21 In young children with immature CMI and in persons with impaired immunity (e.g., those with malnutrition or HIV infection), primary pulmonary TB may progress rapidly to clinical illness. The initial lesion increases in size and can evolve in different ways. Pleural effusion, which is found in up to two-thirds of cases, results from the penetration of bacilli into the pleural space from an adjacent subpleural focus. In severe cases, the primary site rapidly enlarges, its central portion undergoes necrosis, and cavitation develops (progressive primary TB). TB in young children is almost invariably accompanied by hilar or paratracheal lymphadenopathy due to the spread of bacilli from the lung parenchyma through lymphatic vessels. Enlarged lymph nodes may compress bronchi, causing total obstruction with distal collapse, partial obstruction with large-airway wheezing, or a ballvalve effect with segmental/lobar hyperinflation. Lymph nodes may also rupture into the airway with development of pneumonia, often including areas of necrosis and cavitation, distal to the obstruction. Bronchiectasis may develop in any segment/lobe damaged by progressive caseating pneumonia. Occult hematogenous dissemination commonly follows primary infection. However, in the absence of a sufficient acquired immune response, which usually contains the infection, disseminated or miliary disease may result. Small granulomatous lesions develop in multiple organs and may cause locally progressive disease or result in tuberculous meningitis; this is a particular concern in very young children and immunocompromised persons (e.g., patients with HIV infection).
  • #22 Massive involvement of pulmonary segments or lobes, with coalescence of lesions, produces caseating pneumonia. While up to one-third of untreated patients reportedly succumb to severe pulmonary TB within a few months after onset (the classic &amp;quot;galloping consumption&amp;quot; of the past), others may undergo a process of spontaneous remission or proceed along a chronic, progressively debilitating course
  • #24 Up to 90% of cases, cough is initially nonproductive and limited to the morning and subsequently accompanied by the production of purulent sputum, sometimes with blood streaking
  • #26 Suspect if has S&amp;S S/O PTB like persistent cough, SOB, chest pain, back pain, hemoptysis, anorexia, fever, loss of weight…….High risk: homeless, alcoholic, who presents with symptoms and typical CXR
  • #27 The optimum number of sputum specimens to establish a diagnosis has been evaluated. The first specimen was found positive in 83–87% of all patients in whom AFB are ultimately detected; the second specimen was positive in an additional 10–12% and the third specimen in a further 3–5%. On this basis, WHO recommends the microscopic examination of two sputum specimens (formerly three). A reduction in the number of specimens examined for screening TB suspects from three to two was recommended by WHO and endorsed by the Strategic Technical and Advisory Group for Tuberculosis in June 2007.
  • #39 Patients with medical conditions that increase the risk of TB (eg, diabetes mellitus, hematologic malignancies, carcinoma of the head and neck, intravenous drug use [known to be HIV-negative], end-stage renal disease, silicosis, malnutrition, jejunoileal bypass, gastrectomy)