Al-Quds University
        School of Medicine



       Microbiology

             SSPE


Prepared by : LAYTH HUSSEIN

     Autumn semester-2012
 Subacute Sclerosing Panencephalitis (SSPE) is
a serious disorder of the central nervous system.

 It is a slow virus infection caused by defective
                   measles virus.

    Dawson, Pette and Doring, Greenfield.

(SSPE) is a progressive, debilitating, and deadly
                 brain disorder.
SSPE has been reported from all parts of the
world.

IN US (one per million) childhood population. IN
INDIA (21 per million) ,in comparison with (2.4 per
million) in the Middle East.

 Primary measles infection at an early age (<2
years), which is followed, after a latent period of
6–8 years .

male/female ratio 3:1. not for measles.

Widespread immunization has produced greater
than 90% reduction in the incidence of SSPE
Measles is caused by an RNA virus, which belongs to the
marbillivirus.

Despite the long interval between the acute infection and
symptoms of SSPE, there is evidence that measles virus infection
of brain occurs soon after the acute infection with subsequent
spread throughout the brain.

Measles virus is thought to reach the brain through infection of
cerebral endothelial cells OR by circulating inflammatory cells.

Recently, a trans-synaptic transmission of virus has been
suggested.

extensive mutations (SLOW) in viral genome-that encodes the
envelop proteins. (still UNCLEAR).

may include several immunological factors. For example, in
tissue culture, the addition of antibodies against measles virus
may alter the pattern of viral gene expression .
The defective virus:

A virus that by mutation has lost the ability to be replicated in the
host cell without the aid of a helper virus. The virus particles
(virions) contain all the viral structural components; they can
attach, penetrate, and release their nucleic acid (RNA; DNA) within
the host cell. However, since the mutation has destroyed an
essential function, new virions will not be made unless the cell was
simultaneously infected with the helper virus, which can provide
the missing function. Only then will the cell produce a mixed
population of new helper and defective viruses.

The most important group of defective viruses are deletion
mutants. They are derived from their homologous nondefective
(wild-type) virus through errors in the nucleic acid replication that
result in the deletion of a fragment in the
newly synthesized molecules.
Signs

Parents and teachers may notice progressive
deterioration in scholastic performance.

 mild intellectual deterioration and behavioral
changes.

Myoclonic jerks initially involve the head and
subsequently trunk and limbs. Muscular contraction
is followed by 1–2 seconds of relaxation.

Papillo-oedema,Papillitis,Optic atrophy, blindness.

Seizures ,Unsteady gait.
diagnosis

There may be a history of measles in an unvaccinated child. A
physical examination may reveal:
Damage to the optic nerve, which is responsible for
sight
Damage to the retina, the part of the eye that
receives light
Muscle twitching
Poor performance on motor (movement)
coordination tests.
The following tests may be performed:
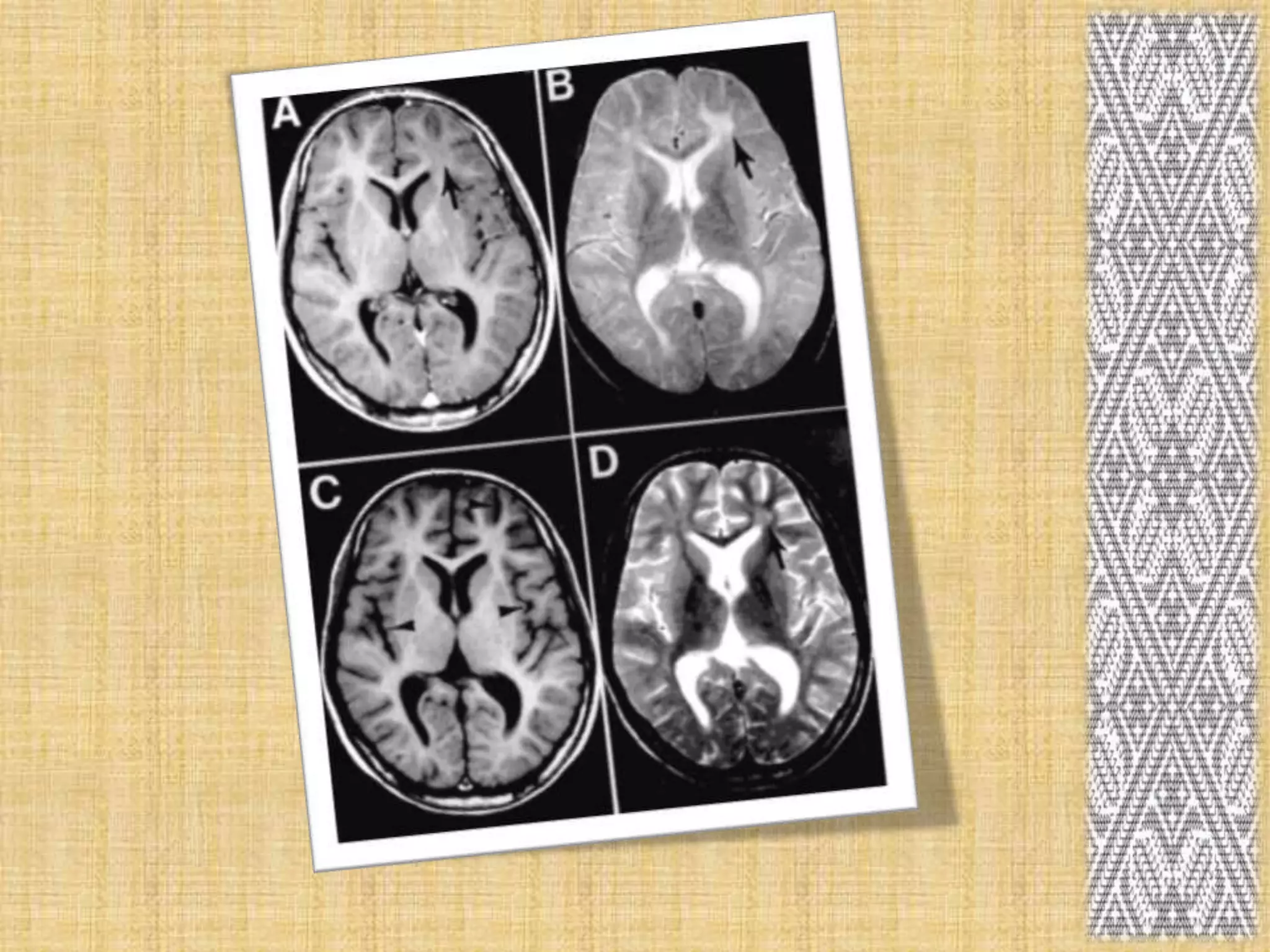
Electroencephalogram (EEG).
Brain MRI.
ELIZA.
Spinal tap.
Expectations (prognosis)
Persons with this disease
frequently die 1 to 2 years
after diagnosis, but some
may survive for longer
periods. The condition is
always deadly.
Treatment
Prevention is the corner stone-Immunization
against measles is the only known prevention
for SSPE. The measles vaccine has been highly
effective in reducing the numbers of affected
children.

Combination of intraventricular interferon alfa
plus oral Isoprinosine is the best effective
treatment available.
A 10 years old male, was diagnosed of
dawson’s disease. The best to be
prescribed in this case is :

1-colchecine.
2-penicillin.
3- Isoprinosine.
4-interferon alpha.
5-3+4

SSPE

  • 1.
    Al-Quds University School of Medicine Microbiology SSPE Prepared by : LAYTH HUSSEIN Autumn semester-2012
  • 3.
     Subacute SclerosingPanencephalitis (SSPE) is a serious disorder of the central nervous system. It is a slow virus infection caused by defective measles virus.  Dawson, Pette and Doring, Greenfield. (SSPE) is a progressive, debilitating, and deadly brain disorder.
  • 5.
    SSPE has beenreported from all parts of the world. IN US (one per million) childhood population. IN INDIA (21 per million) ,in comparison with (2.4 per million) in the Middle East.  Primary measles infection at an early age (<2 years), which is followed, after a latent period of 6–8 years . male/female ratio 3:1. not for measles. Widespread immunization has produced greater than 90% reduction in the incidence of SSPE
  • 6.
    Measles is causedby an RNA virus, which belongs to the marbillivirus. Despite the long interval between the acute infection and symptoms of SSPE, there is evidence that measles virus infection of brain occurs soon after the acute infection with subsequent spread throughout the brain. Measles virus is thought to reach the brain through infection of cerebral endothelial cells OR by circulating inflammatory cells. Recently, a trans-synaptic transmission of virus has been suggested. extensive mutations (SLOW) in viral genome-that encodes the envelop proteins. (still UNCLEAR). may include several immunological factors. For example, in tissue culture, the addition of antibodies against measles virus may alter the pattern of viral gene expression .
  • 7.
    The defective virus: Avirus that by mutation has lost the ability to be replicated in the host cell without the aid of a helper virus. The virus particles (virions) contain all the viral structural components; they can attach, penetrate, and release their nucleic acid (RNA; DNA) within the host cell. However, since the mutation has destroyed an essential function, new virions will not be made unless the cell was simultaneously infected with the helper virus, which can provide the missing function. Only then will the cell produce a mixed population of new helper and defective viruses. The most important group of defective viruses are deletion mutants. They are derived from their homologous nondefective (wild-type) virus through errors in the nucleic acid replication that result in the deletion of a fragment in the newly synthesized molecules.
  • 8.
    Signs Parents and teachersmay notice progressive deterioration in scholastic performance.  mild intellectual deterioration and behavioral changes. Myoclonic jerks initially involve the head and subsequently trunk and limbs. Muscular contraction is followed by 1–2 seconds of relaxation. Papillo-oedema,Papillitis,Optic atrophy, blindness. Seizures ,Unsteady gait.
  • 9.
    diagnosis There may bea history of measles in an unvaccinated child. A physical examination may reveal: Damage to the optic nerve, which is responsible for sight Damage to the retina, the part of the eye that receives light Muscle twitching Poor performance on motor (movement) coordination tests. The following tests may be performed: Electroencephalogram (EEG). Brain MRI. ELIZA. Spinal tap.
  • 14.
    Expectations (prognosis) Persons withthis disease frequently die 1 to 2 years after diagnosis, but some may survive for longer periods. The condition is always deadly.
  • 15.
    Treatment Prevention is thecorner stone-Immunization against measles is the only known prevention for SSPE. The measles vaccine has been highly effective in reducing the numbers of affected children. Combination of intraventricular interferon alfa plus oral Isoprinosine is the best effective treatment available.
  • 16.
    A 10 yearsold male, was diagnosed of dawson’s disease. The best to be prescribed in this case is : 1-colchecine. 2-penicillin. 3- Isoprinosine. 4-interferon alpha. 5-3+4