Epilepsy Syndromes
Epilepsy is a disease of the brain
defined by any of the following
conditions
• At least two unprovoked (or reflex) seizures
occurring >24 h apart
• One unprovoked (or reflex) seizure and a
probability of further seizures similar to the general
recurrence risk (at least 60%) after two unprovoked
seizures, occurring over the next 10 years
• Diagnosis of an epilepsy syndrome
Syndromes in Neonates
A. Self-Limited Epilepsy Syndromes
1. Self-Limited (Familial) Neonatal Epilepsy
2. Benign Neonatal Seizures
B. Developmental and Epileptic Encephalopathies (DEE)
1. Early-Infantile Developmental and Epileptic
Encephalopathy (Ohtahara syndrome and Early
Myoclonic Encephalopathy (EME))
Self-Limited (Familial) Neonatal
Epilepsy
Benign Familial Neonatal Epilepsy
Benign Neonatal Seizures
Age of onset days 2 and 3 fifth-day fits
Seizures • Focal clonic or focal tonic seizures
• may alternate sides
• may evolve to bilateral tonic-clonic seizure
unifocal clonic and rarely focal tonic
EEG minor non-specific abnormalities such as mild
discontinuity or slowing
EEG background may be normal or
nonspecific, an ictal pattern called theta
pointu alternant
Development
at onset
normal
Neurological
exam
Imaging To exclude structural lesion
Other studies –
genetics, etc
AD mutations of the KCNQ2 gene including hypoglycemia, sepsis, and
meningitis, are excluded.
treatment Short term of BZD, phenytoin
Long Term
outcome
Seizures typically remit by 6 months of age, the
majority ceasing by 6 weeks of age
events tend to dissipate after 2 days.
Other self limited in neonate or at
infantile
1. Self-Limited (Familial) Neonatal-Infantile Epilepsy
(1 day to 23 months)
• Focal seizures are mandatory for diagnosis
• usually remit within 1 year
Early-Infantile Developmental and
Epileptic Encephalopathy
Early-onset Epileptic Encephalopathies
(Ohtahara syndrome)
early myoclonic encephalopathy
Age of onset neonatal period (Birth to 3 months)
Seizures Tonic and/or myoclonic seizures myoclonic and/or tonic seizures
EEG persistent burst-suppression pattern
during both the awake and sleep states
burst-suppression pattern during the sleep
Development at
onset
developmental impairment
Neurological
exam
Imaging MRI is not required but for exclude structural causes
Other studies –
genetics, etc
structural malformations > metabolic
disorders
metabolic disorders>structural
malformations
treatment • etiology-specific treatment is available (eg, hemispherectomy for
hemimegalencephaly or pyridoxine for pyridoxine dependency)
• West syndrome with infantile spasms or Lennox-Gastaut syndrome
Long Term
outcome
Syndromes in Infancy
A. Self-Limited Epilepsy Syndromes
1. Benign Myoclonic Epilepsy in Infancy
2. Genetic Epilepsy with Febrile Seizures Plus (GEFS+)
spectrum: including Febrile Seizures Plus
B. Developmental and Epileptic Encephalopathies (DEE)
1. Epilepsy of Infancy with Migrating Focal Seizures (EIMFS)
2. Infantile Spasms Syndrome
3. Dravet Syndrome
4. Etiology-Specific Syndromes
Benign Myoclonic Epilepsy in Infancy
Age of onset 4 months and 3 years of age
Seizures myoclonic seizures that triggered by sensory stimuli,
whether tactile, auditory, or photic
may be very subtle, especially at onset, with brief
head nods or eye rolling
EEG 3 Hz to 4 Hz generalized spike- or polyspike
Development at onset
Neurological exam
Imaging
Other studies – genetics,
etc
treatment
Long Term outcome Generalized tonic-clonic seizures may be seen later in
childhood
Genetic Epilepsy with Febrile Seizures Plus (GEFS+)
spectrum: including Febrile Seizures Plus
Age of onset infancy or childhood (6 month-6 years)
Seizures simple febrile seizures to mixed febrile and afebrile
seizures that may be prolonged, focal, or occur in
clusters
generalized and focal seizures
EEG
Development at onset
Neurological exam
Imaging
Other studies – genetics,
etc
SCN1A gene
treatment sodium channel blockers such as may be deleterious
otherwise pharmacoresponsive epilepsy that typically
remits by adolescenc
Long Term outcome
Epilepsy of Infancy With Migrating Focal Seizures
Age of onset before 12 months
Seizures focal seizures with multiple topographic origins that
migrate within and between cerebral hemispheres
have a “ping-pong” or migratory quality
EEG Ictal recording shows a migrating pattern
Development at onset Developmental plateauing or regression with frequent
seizures
Neurological exam
Imaging diagnosis to exclude a causal structural etiology
Other studies – genetics,
etc
SCN1A or KCNT1
treatment AEDs, the ketogenic diet, and vagal nerve stimulation
Long Term outcome Neurodevelopmental delay (rare and poor prognosis
syndrome)
West Syndrome
Epilepsy of Infantile Spasms Syndrome
Age of onset 1-24 months
Seizures Clusters of flexor, extensor or mixed epileptic spasms
EEG hypsarrhythmia, multifocal or focal epileptiform
discharges
Development at onset Psychomotor retardation
Neurological exam
Imaging MRI is not required for diagnosis but is strongly
recommended to exclude structural causes
Other studies – genetics,
etc
Some genetic disorders have a strong association with
infantile spasms (eg, tuberous sclerosis complex and
Down syndrome)
treatment adrenocorticotropic hormone (ACTH), prednisolone,
or the g-aminobutyric (GABA)-transaminase inhibitor
vigabatrin
Long Term outcome A high risk exists that patients will develop cognitive
impairment, autism spectrum disorder, and chronic
epilepsy, including Lennox-Gastaut syndrome
Severe Myoclonic Epilepsy of Infancy (Dravet Syndrome)
Age of onset 1-20 months
Seizures hemiclonic seizures febrile seizures and go on to have
recurrent febrile and afebrile myoclonic, focal, and
generalized (atypical absence and convulsive) seizures
The hemiclonic seizures aspect alternates sides
EEG
Development at onset cognitive decline and motor deficits
Neurological exam
Imaging MRI is not required for diagnosis but is strongly
recommended to exclude structural causes
Other studies – genetics,
etc
sodium channel gene SCN1A
treatment valproate, clobazamas well as the ketogenic diet
Long Term outcome Drug resistant epilepsy Intellectual disability
status epilepticus as well as sudden unexpected death
in epilepsy (SUDEP)
Etiology-Specific Syndromes
1. KCNQ2-DEE
2. Early-onset Vitamin-dependent
3. CDKL5-DEE
4. PCDH19 Clustering Epilepsy
5. Glucose Transporter 1 Deficiency Syndrome
6. Sturge-Weber syndrome
7. Gelastic Seizures with Hypothalamic Hamartoma
(gelastic or dacrystic)
• Focal clonic or focal tonic
• Epileptic encephalopathy
• Pharmacoresistant
Epilepsy Syndromes with Onset
in Childhood
• (1) Self-Limited Focal Epilepsies of Childhood
• (2) Idiopathic Generalized Epilepsy Syndromes
• (2) Genetic Generalized Epilepsies
• (3) Developmental and/or Epileptic
Encephalopathies of Childhood.
• Self-Limited Focal Epilepsies of Childhood
1) Self-Limited Epilepsy with Centrotemporal Spikes
(SeLECTS) (rolandic epilepsy)
2) Self-Limited Epilepsy with Autonomic Seizures
(SeLEAS) (Panayiotopoulos syndrome)
3) Childhood Occipital Visual Epilepsy (COVE) (Gastaut
type)
4) Photosensitive Occipital Lobe Epilepsy (POLE)
Self-Limited Epilepsy with Centrotemporal Spikes (SeLECTS) (rolandic epilepsy)
Age of onset 3 to 11 years
Seizures • Focal seizures wakefulness or sleep and/or
nocturnal: paresthesia on one side of the tongue or
mouth, followed by dysarthria or gagging-type
noises, jerking of the ipsilateral face, and excessive
drooling.
• focal to bilateral tonic clonic seizures in sleep only
EEG High amplitude, centrotemporal biphasic spike-wave
discharge
Development at onset
Neurological exam
Imaging
Other studies – genetics,
etc
treatment pharmacoresponsive epilepsy (carbamazepine,
oxcarbazepine, levetiracetam, lamotrigine, and
valproate)
Remission by mid to late adolescence
Long Term outcome
Self-Limited Epilepsy with Autonomic Seizures (SeLEAS) (Panayiotopoulos
syndrome)
Age of onset between 3 and 6 years of age
Seizures Focal autonomic seizures, with or without impaired
awareness during sleep.
Autonomic symptoms often involve prominent
retching and vomiting, but may also include malaise,
pallor, flushing, abdominal pain, pupillary or
cardiorespiratory changes
EEG High amplitude, focal or multifocal discharges which
increase in drowsiness and sleep
with the occipital regions involved in about half of
recordings
Development at onset
Neurological exam
Imaging
Other studies – genetics,
etc
treatment Remission by early to mid adolescence
No developmental regression
Long Term outcome
Childhood Occipital Visual Epilepsy (COVE) (Gastaut type)
Age of onset 6 and 11 years
Seizures Focal sensory visual seizures with elementary visual
phenomena (multicolored circles), with or without
impaired awareness, and with or without motor signs
(deviation of the eyes or turning of the head) with
postictal migrain.
EEG Occipital spikes or spikes-and-wave discharges (awake
or sleep).
fixation off phenomenon: precipitated by eye closure
and attenuated by eye opening
Development at onset
Neurological exam
Imaging
Other studies – genetics,
etc
treatment
Long Term outcome
Photosensitive Occipital Lobe Epilepsy (POLE)
Age of onset 4 and 17
Seizures Focal sensory visual seizures, which may evolve to
bilateral tonic-clonic seizures.
Seizures are triggered by photic stimuli, such as
flickering sunlight
EEG normal. Interictal occipital spike or spike
Development at onset
Neurological exam
Imaging
Other studies – genetics,
etc
treatment
Long Term outcome variable
• Idiopathic Generalized Epilepsy Syndromes
1. Childhood Absence Epilepsy
Childhood Absence Epilepsy
Age of onset 4-10 years girl more
Seizures • typical absence seizure, meaning abrupt impairment of
consciousness, often with associated behavioral arrest,
staring, eye fluttering, or automatisms
• At least daily to multiple per day but may be under-
recognized by family
• Typical duration 3-20 seconds
EEG generalized 3 Hz to 4 Hz spike-and-wave
IPS triggers generalized spike-wave in 15%
hyperventilation
Development at onset Typically normal, but may have
learning difficulties or ADHD
Neurological exam NAD
Imaging NAD
Other studies – genetics, etc
treatment • ethosuximide, valproic acid,
• epilepsy is associated with seizure freedom and long-term
remission in up to 75% of patients
Long Term outcome
• The Genetic Generalized Epilepsy Syndromes of
Childhood
1. Epilepsy with Myoclonic Absence (Tassinari
Syndrome)
2. Epilepsy with Eyelid Myoclonia (Jeavons
Syndrome)
Epilepsy with Myoclonic Absence (Tassinari Syndrome)
Age of onset 1 to 12 years, and males predominate
Seizures prominent rhythmic myoclonic or clonic activity
during absence seizures
EEG generalized 3 Hz spike-and-wave
Development at onset
Neurological exam intellectual disability may preset
Imaging May needed
Other studies – genetics polygenic
treatment Remission in approximately 40% of patients..
Prognosis is variable
Long Term outcome
Epilepsy with Eyelid Myoclonia (Jeavons Syndrome)
Age of onset 2 to 14 years, female predominate2:1
Seizures triad of frequent eyelid myoclonia, with or without
absences, induced by eye closure and photic
stimulation. Eyelid myoclonia is often most prominent
on awakening
Additional generalized tonic-clonic
EEG EEG is similar to the generalized 3 to 6 Hz polyspike
and wave complex
Development at onset
Neurological exam intellectual disability may preset
Imaging May needed
Other studies – genetics,
etc
Polygenic or monogenic
treatment • Remission in not rule
• .Prognosis is variable
Long Term outcome
• Developmental and/or Epileptic Encephalopathies of
Childhood.
1. Myoclonic-Atonic Epilepsy(Doose syndrome).
2. Lennox-Gastaut syndrome
3. Developmental and Epileptic Encephalopathy with
Spike-Wave Activation in Sleep.
4. Febrile Infection-Related Epilepsy Syndrome (FIRES)
5. Hemiconvulsion Hemiplegia-Epilepsy (HHE) syndrome
Myoclonic-Atonic Epilepsy (Doose syndrome)
Age of onset 2-6 years. Boys are more commonly affected
Seizures Myoclonic followed by atonic seizures
other seizure types occur, including absence, tonic-
clonic, and tonic as well as myoclonic or
nonconvulsive status epilepticus
EEG Generalized 3-6 Hz spikewave or polyspike-andslow-
wave discharges
Development at onset
Neurological exam intellectual disability may preset
Imaging May needed
Other studies – genetics,
etc
Polygenic or monogenic as SCN1A
treatment • Remission in not rule
• Prognosis is variable
• AED, ketogenic diet
• Vagus nerve stimulation corpus callosotomy
unclear role
Long Term outcome
Lennox-Gastaut syndrome
Age of onset < 18 years
Seizures Tonic seizures In addition
Atypical absences • Atonic • Myoclonic • Focal
impaired awareness • Generalized tonic clonic •
Nonconvulsive status epilepticus • Epileptic spasms
EEG slow spike-wave <2.5 Hz
Generalized paroxysmal fast activity in sleep
Development at onset Usually mentally retarded
Neurological exam
Imaging
Other studies – genetics,
etc
Usually structural lesions, (eg, focal cortical dysplasia,
subcortical band heterotopia, perisylvian
polymicrogyria) as well as phakomatoses (eg, tuberous
sclerosis complex, hypomelanosis of Ito), meningitis or
encephalitis, hypoxic-ischemic encephalopathy, and
genetic epilepsies
treatment Drug resistant epilepsy
Long Term outcome Poor
• Acquired Epileptic Aphasia (Landau-Kleffner
Syndrome)
Developmental and Epileptic Encephalopathy with Spike-Wave Activation in Sleep.
(D/EE-SWAS)
Age of onset 2 and 12 years
Seizures electroclinical syndrome
mixed generalized seizures,
cognitive deterioration
No seizure specific according to etiology.
EEG Continuous, slow (<2 HZ spike-wave in >50% of non-REM
sleep)
Development at onset Cognitive, behavioral or motor regression or plateauing
temporally related to SWAS on EEG
Neurological exam
Imaging
Other studies – genetics, etc malformations such as bilateral perisylvian
polymicrogyria are associated with this syndrome
treatment valproate, levetiracetam, benzodiazepines, corticosteroids, or
other antiseizure medicines. Epilepsy surgery may be
indicated if the patient has a resectable lesion.
Long Term outcome Remission of SWAS pattern on EEG by mid adolescence,
although EEG often remains abnormal
Febrile Infection-Related Epilepsy Syndrome (FIRES)
Age of onset a rare syndrome, which is likely under-recognized,
Seizures 2 week of febrile illness ----focal multifocal evolve to bilateral
tonic clonic seizure
Within tow week progress to super refractory seizure
EEG Slowing of the background
with multifocal discharges
Development at onset
Neurological exam
Acute encephalopathy with onset of frequent seizures
Imaging Approximately one third may show bilateral T2 hyperintense
affect temboral lobe, basal ganglia and thalmi
Other studies – genetics, etc
treatment
Long Term outcome Poor mortality is approximately 10%
Hemiconvulsion Hemiplegia-Epilepsy (HHE) syndrome
Age of onset less than 4 years of age
Seizures • Acute stage: Episode of febrile,---- hemiclonic status
epilepticus-----permanent hemiparesis
• Chronic stage: After a variable time<3 years unilateral
focal motor or focal to bilateral tonic clonic seizures
appear
EEG • Acute: Slowing of background activity over the affected
• chronic : hemisphere Focal or multifocal epileptiform
discharges over the affected hemisphere in the chronic
phase
Development at onset
Neurological exam
Imaging • Acute: hyperintensity subcortical region of the affected
hemisphere, often with severe edema.
• chronic stage: there is atrophy of the affected hemisphere
Other studies – genetics, etc
treatment Drug-resistant epilepsy Permanent focal motor deficit
Long Term outcome
ILAE Classification and Definition of Epilepsy
Syndromes with Onset at a Variable Age
I. generalized epilepsy syndromes, with presumed
polygenic etiologies
II. focal epilepsy syndromes with genetic, structural
or genetic-structural etiologies
III. generalized and focal epilepsy syndrome with
polygenic etiology
IV. a specific group of developmental and/or
epileptic encephalopathies
V. etiology-specific epilepsy
generalized epilepsy syndromes, with presumed
polygenic etiologies
1. juvenile absence epilepsy
2. juvenile myoclonic epilepsy
3. epilepsy with generalized tonic-clonic seizures
alone
generalized epilepsy syndromes, with presumed
polygenic etiologies
juvenile absence epilepsy juvenile myoclonic
epilepsy
epilepsy with generalized
tonic-clonic seizures alone
Adolescent or early adulthood
At 15 12-18 5-40
absence myoclonic seizure generalized tonic-clonic
seizures 2hours after
awakening, trigger by
sleep deprivation
3-5.5 Hz generalized spike-wave
Normal development
Pharmacoresponsive but complete remission may not occur
ethosuximide, valproate
or lamotrigine
Valproate, Levetiracetam or lamotrigine
• focal epilepsy syndromes with genetic, structural or
genetic-structural etiologies
1. sleep related hypermotor epilepsy
2. familial focal epilepsy with variable foci
3. epilepsy with auditory features
• focal epilepsy syndromes with genetic, structural or
genetic-structural etiologies
sleep related hypermotor
epilepsy
familial focal epilepsy with
variable foci
epilepsy with auditory
features
At adolescent but may in childhood or adulthood
Night focal seizure
(hyperkinetic-tonic or
dystonic)
Day time focal seizure
(motor, autonomic or
cognitive)
Focal auditory
If unilateral have
lateralization value
EEG non specific EEG non specific show intermittent
midtemporal slowing
MRI may Normal or focal cortical dysplasia
Normal development
KCNT1 mutations of the
mechanistic target of
rapamycin (mTOR)
pathway inhibitor gene
LGI AD mutation in half of
cases
Pharmacoresponsive but may need polytheraby also may be refractory
• generalized and focal epilepsy syndrome with
polygenic etiology
1. reading-induced seizures
Reflex Epilepsies
Now Epilepsy with reading-induced seizures
Age of onset late teens,
Male more than female 2:1
Seizures reflex myoclonic seizures affecting orofacial
muscles triggered by reading
if reading continues these may worsen and a
generalized tonicclonic seizure may occur
EEG NAD
Development at onset
Neurological exam
Imaging MRI is required for diagnosis to exclude a
structural cause.
Other studies – genetics, etc
treatment good response to specific ASM
With good remission
Long Term outcome
• a specific group of developmental and/or epileptic
encephalopathies
Progressive Myoclonus Epilepsies
Age of onset Up to 50 Yrs
Seizures myoclonus (cortical and subcortical)
Generalized tonic-clonic seizures can
also occur.
EEG generalized spike- or polyspike-and-
wave
Development at onset Progressive cognitive decline,
progressive cerebellar signs
Neurological exam
Imaging
Other studies – genetics, etc
treatment Poor tend to pharmacoresistant
Long Term outcome
Unverricht-Lundborg disease • AR
• point mutations in the cystatin B gene
• onset is between 6 and 16 years a
Lafora body disease • AR
• NHLRC1 encodes for laforin
• vision loss may present
• intracellular neuronal inclusions that are positive
using histologic periodic acid-Schiff staining.
MERRF • mitochondrial disorder
• Second decade
• Vision and hearing loss may affected
• Muscle biopsy reveals so-called ragged red fibers
on Gomori trichrome staining
Neuronal ceroid lipofuscinoses
lysosomal storage diseases
• AR
• range from infantile to adolescent and adult onset
• vision loss, pyramidal and extrapyramidal
dysfunction, and seizures
sialdosis • red spots (cherry-red macules)
Etiology-specific epilepsy
• Mesial Temporal Lobe Epilepsy With Hippocampal
Sclerosis
• Rasmussen encephalitis
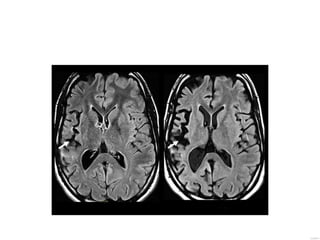
Mesial Temporal Lobe Epilepsy With Hippocampal Sclerosis
Age of onset early childhood but is frequently in adolescence or early
adulthood
Seizures Focal aware or impaired awareness seizures with initial
semiology referable to medial temporal lobe
EEG 5 Hz to 9 Hz theta to alpha frequency range, maximally present at
the anterior temporal region
Development at onset
Neurological exam
Imaging Hippocampal sclerosis (unilateral or
bilateral) on MRI
Other studies – genetics
Treatment Long Term
outcome
unlikely to respond to antiseizure
medicines
• autonomic or abdominal auras behavioral
arrest Automatisms accompany these events,
such as lip smacking, swallowing, chewing, or picking
• dystonic posturing of the upper extremity
contralateral to the temporal lobe focus
• “ictal speech,” meaning the patient has the ability to
speak during the seizure, lateralizes the seizure focus
to the nondominant (usually right)
• Postictal nose wiping is done by the hand ipsilateral to
the focus
Rasmussen encephalitis
Age of onset children, adolescents and young adults
Seizures Focal/hemispheric seizures which often increase in
frequency over weeks to month
epilepsia partialis continua
EEG Hemispheric slowing and interictal discharges
Development at onset
Neurological exam immune-mediated epilepsy
progressive neurological impairment (hemiparesis,
homonymous hemianopia, cognitive impairment)
Imaging Progressive hemiatrophy
Other studies – genetics, etc
treatment Drug resistant epilepsy Progressive neurological
Deficits
hemispherectomy are the only known
Long Term outcome
Epilepsy Syndromes
Epilepsy Syndromes

Epilepsy Syndromes

  • 1.
  • 2.
    Epilepsy is adisease of the brain defined by any of the following conditions • At least two unprovoked (or reflex) seizures occurring >24 h apart • One unprovoked (or reflex) seizure and a probability of further seizures similar to the general recurrence risk (at least 60%) after two unprovoked seizures, occurring over the next 10 years • Diagnosis of an epilepsy syndrome
  • 4.
    Syndromes in Neonates A.Self-Limited Epilepsy Syndromes 1. Self-Limited (Familial) Neonatal Epilepsy 2. Benign Neonatal Seizures B. Developmental and Epileptic Encephalopathies (DEE) 1. Early-Infantile Developmental and Epileptic Encephalopathy (Ohtahara syndrome and Early Myoclonic Encephalopathy (EME))
  • 5.
    Self-Limited (Familial) Neonatal Epilepsy BenignFamilial Neonatal Epilepsy Benign Neonatal Seizures Age of onset days 2 and 3 fifth-day fits Seizures • Focal clonic or focal tonic seizures • may alternate sides • may evolve to bilateral tonic-clonic seizure unifocal clonic and rarely focal tonic EEG minor non-specific abnormalities such as mild discontinuity or slowing EEG background may be normal or nonspecific, an ictal pattern called theta pointu alternant Development at onset normal Neurological exam Imaging To exclude structural lesion Other studies – genetics, etc AD mutations of the KCNQ2 gene including hypoglycemia, sepsis, and meningitis, are excluded. treatment Short term of BZD, phenytoin Long Term outcome Seizures typically remit by 6 months of age, the majority ceasing by 6 weeks of age events tend to dissipate after 2 days.
  • 6.
    Other self limitedin neonate or at infantile 1. Self-Limited (Familial) Neonatal-Infantile Epilepsy (1 day to 23 months) • Focal seizures are mandatory for diagnosis • usually remit within 1 year
  • 8.
    Early-Infantile Developmental and EpilepticEncephalopathy Early-onset Epileptic Encephalopathies (Ohtahara syndrome) early myoclonic encephalopathy Age of onset neonatal period (Birth to 3 months) Seizures Tonic and/or myoclonic seizures myoclonic and/or tonic seizures EEG persistent burst-suppression pattern during both the awake and sleep states burst-suppression pattern during the sleep Development at onset developmental impairment Neurological exam Imaging MRI is not required but for exclude structural causes Other studies – genetics, etc structural malformations > metabolic disorders metabolic disorders>structural malformations treatment • etiology-specific treatment is available (eg, hemispherectomy for hemimegalencephaly or pyridoxine for pyridoxine dependency) • West syndrome with infantile spasms or Lennox-Gastaut syndrome Long Term outcome
  • 10.
    Syndromes in Infancy A.Self-Limited Epilepsy Syndromes 1. Benign Myoclonic Epilepsy in Infancy 2. Genetic Epilepsy with Febrile Seizures Plus (GEFS+) spectrum: including Febrile Seizures Plus B. Developmental and Epileptic Encephalopathies (DEE) 1. Epilepsy of Infancy with Migrating Focal Seizures (EIMFS) 2. Infantile Spasms Syndrome 3. Dravet Syndrome 4. Etiology-Specific Syndromes
  • 11.
    Benign Myoclonic Epilepsyin Infancy Age of onset 4 months and 3 years of age Seizures myoclonic seizures that triggered by sensory stimuli, whether tactile, auditory, or photic may be very subtle, especially at onset, with brief head nods or eye rolling EEG 3 Hz to 4 Hz generalized spike- or polyspike Development at onset Neurological exam Imaging Other studies – genetics, etc treatment Long Term outcome Generalized tonic-clonic seizures may be seen later in childhood
  • 13.
    Genetic Epilepsy withFebrile Seizures Plus (GEFS+) spectrum: including Febrile Seizures Plus Age of onset infancy or childhood (6 month-6 years) Seizures simple febrile seizures to mixed febrile and afebrile seizures that may be prolonged, focal, or occur in clusters generalized and focal seizures EEG Development at onset Neurological exam Imaging Other studies – genetics, etc SCN1A gene treatment sodium channel blockers such as may be deleterious otherwise pharmacoresponsive epilepsy that typically remits by adolescenc Long Term outcome
  • 15.
    Epilepsy of InfancyWith Migrating Focal Seizures Age of onset before 12 months Seizures focal seizures with multiple topographic origins that migrate within and between cerebral hemispheres have a “ping-pong” or migratory quality EEG Ictal recording shows a migrating pattern Development at onset Developmental plateauing or regression with frequent seizures Neurological exam Imaging diagnosis to exclude a causal structural etiology Other studies – genetics, etc SCN1A or KCNT1 treatment AEDs, the ketogenic diet, and vagal nerve stimulation Long Term outcome Neurodevelopmental delay (rare and poor prognosis syndrome)
  • 16.
    West Syndrome Epilepsy ofInfantile Spasms Syndrome Age of onset 1-24 months Seizures Clusters of flexor, extensor or mixed epileptic spasms EEG hypsarrhythmia, multifocal or focal epileptiform discharges Development at onset Psychomotor retardation Neurological exam Imaging MRI is not required for diagnosis but is strongly recommended to exclude structural causes Other studies – genetics, etc Some genetic disorders have a strong association with infantile spasms (eg, tuberous sclerosis complex and Down syndrome) treatment adrenocorticotropic hormone (ACTH), prednisolone, or the g-aminobutyric (GABA)-transaminase inhibitor vigabatrin Long Term outcome A high risk exists that patients will develop cognitive impairment, autism spectrum disorder, and chronic epilepsy, including Lennox-Gastaut syndrome
  • 19.
    Severe Myoclonic Epilepsyof Infancy (Dravet Syndrome) Age of onset 1-20 months Seizures hemiclonic seizures febrile seizures and go on to have recurrent febrile and afebrile myoclonic, focal, and generalized (atypical absence and convulsive) seizures The hemiclonic seizures aspect alternates sides EEG Development at onset cognitive decline and motor deficits Neurological exam Imaging MRI is not required for diagnosis but is strongly recommended to exclude structural causes Other studies – genetics, etc sodium channel gene SCN1A treatment valproate, clobazamas well as the ketogenic diet Long Term outcome Drug resistant epilepsy Intellectual disability status epilepticus as well as sudden unexpected death in epilepsy (SUDEP)
  • 20.
    Etiology-Specific Syndromes 1. KCNQ2-DEE 2.Early-onset Vitamin-dependent 3. CDKL5-DEE 4. PCDH19 Clustering Epilepsy 5. Glucose Transporter 1 Deficiency Syndrome 6. Sturge-Weber syndrome 7. Gelastic Seizures with Hypothalamic Hamartoma (gelastic or dacrystic) • Focal clonic or focal tonic • Epileptic encephalopathy • Pharmacoresistant
  • 21.
    Epilepsy Syndromes withOnset in Childhood • (1) Self-Limited Focal Epilepsies of Childhood • (2) Idiopathic Generalized Epilepsy Syndromes • (2) Genetic Generalized Epilepsies • (3) Developmental and/or Epileptic Encephalopathies of Childhood.
  • 22.
    • Self-Limited FocalEpilepsies of Childhood 1) Self-Limited Epilepsy with Centrotemporal Spikes (SeLECTS) (rolandic epilepsy) 2) Self-Limited Epilepsy with Autonomic Seizures (SeLEAS) (Panayiotopoulos syndrome) 3) Childhood Occipital Visual Epilepsy (COVE) (Gastaut type) 4) Photosensitive Occipital Lobe Epilepsy (POLE)
  • 23.
    Self-Limited Epilepsy withCentrotemporal Spikes (SeLECTS) (rolandic epilepsy) Age of onset 3 to 11 years Seizures • Focal seizures wakefulness or sleep and/or nocturnal: paresthesia on one side of the tongue or mouth, followed by dysarthria or gagging-type noises, jerking of the ipsilateral face, and excessive drooling. • focal to bilateral tonic clonic seizures in sleep only EEG High amplitude, centrotemporal biphasic spike-wave discharge Development at onset Neurological exam Imaging Other studies – genetics, etc treatment pharmacoresponsive epilepsy (carbamazepine, oxcarbazepine, levetiracetam, lamotrigine, and valproate) Remission by mid to late adolescence Long Term outcome
  • 25.
    Self-Limited Epilepsy withAutonomic Seizures (SeLEAS) (Panayiotopoulos syndrome) Age of onset between 3 and 6 years of age Seizures Focal autonomic seizures, with or without impaired awareness during sleep. Autonomic symptoms often involve prominent retching and vomiting, but may also include malaise, pallor, flushing, abdominal pain, pupillary or cardiorespiratory changes EEG High amplitude, focal or multifocal discharges which increase in drowsiness and sleep with the occipital regions involved in about half of recordings Development at onset Neurological exam Imaging Other studies – genetics, etc treatment Remission by early to mid adolescence No developmental regression Long Term outcome
  • 27.
    Childhood Occipital VisualEpilepsy (COVE) (Gastaut type) Age of onset 6 and 11 years Seizures Focal sensory visual seizures with elementary visual phenomena (multicolored circles), with or without impaired awareness, and with or without motor signs (deviation of the eyes or turning of the head) with postictal migrain. EEG Occipital spikes or spikes-and-wave discharges (awake or sleep). fixation off phenomenon: precipitated by eye closure and attenuated by eye opening Development at onset Neurological exam Imaging Other studies – genetics, etc treatment Long Term outcome
  • 28.
    Photosensitive Occipital LobeEpilepsy (POLE) Age of onset 4 and 17 Seizures Focal sensory visual seizures, which may evolve to bilateral tonic-clonic seizures. Seizures are triggered by photic stimuli, such as flickering sunlight EEG normal. Interictal occipital spike or spike Development at onset Neurological exam Imaging Other studies – genetics, etc treatment Long Term outcome variable
  • 29.
    • Idiopathic GeneralizedEpilepsy Syndromes 1. Childhood Absence Epilepsy
  • 30.
    Childhood Absence Epilepsy Ageof onset 4-10 years girl more Seizures • typical absence seizure, meaning abrupt impairment of consciousness, often with associated behavioral arrest, staring, eye fluttering, or automatisms • At least daily to multiple per day but may be under- recognized by family • Typical duration 3-20 seconds EEG generalized 3 Hz to 4 Hz spike-and-wave IPS triggers generalized spike-wave in 15% hyperventilation Development at onset Typically normal, but may have learning difficulties or ADHD Neurological exam NAD Imaging NAD Other studies – genetics, etc treatment • ethosuximide, valproic acid, • epilepsy is associated with seizure freedom and long-term remission in up to 75% of patients Long Term outcome
  • 32.
    • The GeneticGeneralized Epilepsy Syndromes of Childhood 1. Epilepsy with Myoclonic Absence (Tassinari Syndrome) 2. Epilepsy with Eyelid Myoclonia (Jeavons Syndrome)
  • 33.
    Epilepsy with MyoclonicAbsence (Tassinari Syndrome) Age of onset 1 to 12 years, and males predominate Seizures prominent rhythmic myoclonic or clonic activity during absence seizures EEG generalized 3 Hz spike-and-wave Development at onset Neurological exam intellectual disability may preset Imaging May needed Other studies – genetics polygenic treatment Remission in approximately 40% of patients.. Prognosis is variable Long Term outcome
  • 34.
    Epilepsy with EyelidMyoclonia (Jeavons Syndrome) Age of onset 2 to 14 years, female predominate2:1 Seizures triad of frequent eyelid myoclonia, with or without absences, induced by eye closure and photic stimulation. Eyelid myoclonia is often most prominent on awakening Additional generalized tonic-clonic EEG EEG is similar to the generalized 3 to 6 Hz polyspike and wave complex Development at onset Neurological exam intellectual disability may preset Imaging May needed Other studies – genetics, etc Polygenic or monogenic treatment • Remission in not rule • .Prognosis is variable Long Term outcome
  • 36.
    • Developmental and/orEpileptic Encephalopathies of Childhood. 1. Myoclonic-Atonic Epilepsy(Doose syndrome). 2. Lennox-Gastaut syndrome 3. Developmental and Epileptic Encephalopathy with Spike-Wave Activation in Sleep. 4. Febrile Infection-Related Epilepsy Syndrome (FIRES) 5. Hemiconvulsion Hemiplegia-Epilepsy (HHE) syndrome
  • 37.
    Myoclonic-Atonic Epilepsy (Doosesyndrome) Age of onset 2-6 years. Boys are more commonly affected Seizures Myoclonic followed by atonic seizures other seizure types occur, including absence, tonic- clonic, and tonic as well as myoclonic or nonconvulsive status epilepticus EEG Generalized 3-6 Hz spikewave or polyspike-andslow- wave discharges Development at onset Neurological exam intellectual disability may preset Imaging May needed Other studies – genetics, etc Polygenic or monogenic as SCN1A treatment • Remission in not rule • Prognosis is variable • AED, ketogenic diet • Vagus nerve stimulation corpus callosotomy unclear role Long Term outcome
  • 39.
    Lennox-Gastaut syndrome Age ofonset < 18 years Seizures Tonic seizures In addition Atypical absences • Atonic • Myoclonic • Focal impaired awareness • Generalized tonic clonic • Nonconvulsive status epilepticus • Epileptic spasms EEG slow spike-wave <2.5 Hz Generalized paroxysmal fast activity in sleep Development at onset Usually mentally retarded Neurological exam Imaging Other studies – genetics, etc Usually structural lesions, (eg, focal cortical dysplasia, subcortical band heterotopia, perisylvian polymicrogyria) as well as phakomatoses (eg, tuberous sclerosis complex, hypomelanosis of Ito), meningitis or encephalitis, hypoxic-ischemic encephalopathy, and genetic epilepsies treatment Drug resistant epilepsy Long Term outcome Poor
  • 42.
    • Acquired EpilepticAphasia (Landau-Kleffner Syndrome)
  • 43.
    Developmental and EpilepticEncephalopathy with Spike-Wave Activation in Sleep. (D/EE-SWAS) Age of onset 2 and 12 years Seizures electroclinical syndrome mixed generalized seizures, cognitive deterioration No seizure specific according to etiology. EEG Continuous, slow (<2 HZ spike-wave in >50% of non-REM sleep) Development at onset Cognitive, behavioral or motor regression or plateauing temporally related to SWAS on EEG Neurological exam Imaging Other studies – genetics, etc malformations such as bilateral perisylvian polymicrogyria are associated with this syndrome treatment valproate, levetiracetam, benzodiazepines, corticosteroids, or other antiseizure medicines. Epilepsy surgery may be indicated if the patient has a resectable lesion. Long Term outcome Remission of SWAS pattern on EEG by mid adolescence, although EEG often remains abnormal
  • 45.
    Febrile Infection-Related EpilepsySyndrome (FIRES) Age of onset a rare syndrome, which is likely under-recognized, Seizures 2 week of febrile illness ----focal multifocal evolve to bilateral tonic clonic seizure Within tow week progress to super refractory seizure EEG Slowing of the background with multifocal discharges Development at onset Neurological exam Acute encephalopathy with onset of frequent seizures Imaging Approximately one third may show bilateral T2 hyperintense affect temboral lobe, basal ganglia and thalmi Other studies – genetics, etc treatment Long Term outcome Poor mortality is approximately 10%
  • 46.
    Hemiconvulsion Hemiplegia-Epilepsy (HHE)syndrome Age of onset less than 4 years of age Seizures • Acute stage: Episode of febrile,---- hemiclonic status epilepticus-----permanent hemiparesis • Chronic stage: After a variable time<3 years unilateral focal motor or focal to bilateral tonic clonic seizures appear EEG • Acute: Slowing of background activity over the affected • chronic : hemisphere Focal or multifocal epileptiform discharges over the affected hemisphere in the chronic phase Development at onset Neurological exam Imaging • Acute: hyperintensity subcortical region of the affected hemisphere, often with severe edema. • chronic stage: there is atrophy of the affected hemisphere Other studies – genetics, etc treatment Drug-resistant epilepsy Permanent focal motor deficit Long Term outcome
  • 47.
    ILAE Classification andDefinition of Epilepsy Syndromes with Onset at a Variable Age I. generalized epilepsy syndromes, with presumed polygenic etiologies II. focal epilepsy syndromes with genetic, structural or genetic-structural etiologies III. generalized and focal epilepsy syndrome with polygenic etiology IV. a specific group of developmental and/or epileptic encephalopathies V. etiology-specific epilepsy
  • 48.
    generalized epilepsy syndromes,with presumed polygenic etiologies 1. juvenile absence epilepsy 2. juvenile myoclonic epilepsy 3. epilepsy with generalized tonic-clonic seizures alone
  • 49.
    generalized epilepsy syndromes,with presumed polygenic etiologies juvenile absence epilepsy juvenile myoclonic epilepsy epilepsy with generalized tonic-clonic seizures alone Adolescent or early adulthood At 15 12-18 5-40 absence myoclonic seizure generalized tonic-clonic seizures 2hours after awakening, trigger by sleep deprivation 3-5.5 Hz generalized spike-wave Normal development Pharmacoresponsive but complete remission may not occur ethosuximide, valproate or lamotrigine Valproate, Levetiracetam or lamotrigine
  • 51.
    • focal epilepsysyndromes with genetic, structural or genetic-structural etiologies 1. sleep related hypermotor epilepsy 2. familial focal epilepsy with variable foci 3. epilepsy with auditory features
  • 52.
    • focal epilepsysyndromes with genetic, structural or genetic-structural etiologies sleep related hypermotor epilepsy familial focal epilepsy with variable foci epilepsy with auditory features At adolescent but may in childhood or adulthood Night focal seizure (hyperkinetic-tonic or dystonic) Day time focal seizure (motor, autonomic or cognitive) Focal auditory If unilateral have lateralization value EEG non specific EEG non specific show intermittent midtemporal slowing MRI may Normal or focal cortical dysplasia Normal development KCNT1 mutations of the mechanistic target of rapamycin (mTOR) pathway inhibitor gene LGI AD mutation in half of cases Pharmacoresponsive but may need polytheraby also may be refractory
  • 54.
    • generalized andfocal epilepsy syndrome with polygenic etiology 1. reading-induced seizures
  • 55.
    Reflex Epilepsies Now Epilepsywith reading-induced seizures Age of onset late teens, Male more than female 2:1 Seizures reflex myoclonic seizures affecting orofacial muscles triggered by reading if reading continues these may worsen and a generalized tonicclonic seizure may occur EEG NAD Development at onset Neurological exam Imaging MRI is required for diagnosis to exclude a structural cause. Other studies – genetics, etc treatment good response to specific ASM With good remission Long Term outcome
  • 56.
    • a specificgroup of developmental and/or epileptic encephalopathies
  • 57.
    Progressive Myoclonus Epilepsies Ageof onset Up to 50 Yrs Seizures myoclonus (cortical and subcortical) Generalized tonic-clonic seizures can also occur. EEG generalized spike- or polyspike-and- wave Development at onset Progressive cognitive decline, progressive cerebellar signs Neurological exam Imaging Other studies – genetics, etc treatment Poor tend to pharmacoresistant Long Term outcome
  • 58.
    Unverricht-Lundborg disease •AR • point mutations in the cystatin B gene • onset is between 6 and 16 years a Lafora body disease • AR • NHLRC1 encodes for laforin • vision loss may present • intracellular neuronal inclusions that are positive using histologic periodic acid-Schiff staining. MERRF • mitochondrial disorder • Second decade • Vision and hearing loss may affected • Muscle biopsy reveals so-called ragged red fibers on Gomori trichrome staining Neuronal ceroid lipofuscinoses lysosomal storage diseases • AR • range from infantile to adolescent and adult onset • vision loss, pyramidal and extrapyramidal dysfunction, and seizures sialdosis • red spots (cherry-red macules)
  • 59.
    Etiology-specific epilepsy • MesialTemporal Lobe Epilepsy With Hippocampal Sclerosis • Rasmussen encephalitis
  • 60.
    Mesial Temporal LobeEpilepsy With Hippocampal Sclerosis Age of onset early childhood but is frequently in adolescence or early adulthood Seizures Focal aware or impaired awareness seizures with initial semiology referable to medial temporal lobe EEG 5 Hz to 9 Hz theta to alpha frequency range, maximally present at the anterior temporal region Development at onset Neurological exam Imaging Hippocampal sclerosis (unilateral or bilateral) on MRI Other studies – genetics Treatment Long Term outcome unlikely to respond to antiseizure medicines
  • 61.
    • autonomic orabdominal auras behavioral arrest Automatisms accompany these events, such as lip smacking, swallowing, chewing, or picking • dystonic posturing of the upper extremity contralateral to the temporal lobe focus • “ictal speech,” meaning the patient has the ability to speak during the seizure, lateralizes the seizure focus to the nondominant (usually right) • Postictal nose wiping is done by the hand ipsilateral to the focus
  • 62.
    Rasmussen encephalitis Age ofonset children, adolescents and young adults Seizures Focal/hemispheric seizures which often increase in frequency over weeks to month epilepsia partialis continua EEG Hemispheric slowing and interictal discharges Development at onset Neurological exam immune-mediated epilepsy progressive neurological impairment (hemiparesis, homonymous hemianopia, cognitive impairment) Imaging Progressive hemiatrophy Other studies – genetics, etc treatment Drug resistant epilepsy Progressive neurological Deficits hemispherectomy are the only known Long Term outcome