Dr. Parag Moon
Senior Resident, Neurology
GMC Kota
 2 forms of encephalitis.
 Acute post infections measles encephalitis
 0.1 % of immunocompetent pt.
 20 % mortality rate
 Measles virus induced pathological immune
mediated "post-infectious" encephalitis
 Not by direct invasion
 Measles virus in immunocompetent patients
causes SSPE
 In immunocompromized patients it causes
Measles Inclusion Body Encephalitis
 Viral etiology proposed by Dawson in 1933
and 1934-Subacute inclusion body
encephalitis
 Subacute sclerosing leukoencephalitis –Van
Bogaert, 1945
 SSPE was coined by Greenfield in 1950
 Very high titers of anti- measles antibodies in
the blood and CSF of all patients-Connolly et
al. in 1967
 Annual incidence of 21 per million population
in India
 History of primary measles infection at an
early age (<2 years)
 Latent period of 6–8 years
 Measles under age of 1 year carry a risk of 16
times greater than those at age 5 years or
later
 Male/female ratio 3:1
 Higher among rural children, with two or
more siblings, with mental retardation
 More common in children with lower birth
order, overcrowded environments
 RNA virus belongs to marbillivirus subgroup
of paramyxoviruses
 Measles virus infection of brain occurs soon
after the acute infection
 Virus reaches through infection of cerebral
endothelial cells or by circulating
inflammatory cells
 Type II transmembrane protein H mediates
virus cell attachment by binding to the cell
surface protein CD46
 Exact factors and influences that allow
measles infection to persist are unclear
 Addition of antibodies against measles virus
may alter pattern of viral gene expression
 Apoptosis of various cell types either as a
direct effect of viral infection or of cytokine
mediated responses
 Results in oligodendroglial and neuronal cell
death in SSPE
 Early stages-mild inflammation of meninges and
brain parenchyma involving cortical and
subcortical grey matter as well as white matter
 Later stages-gross examination reveals mild to
moderate atrophy of cerebral cortex
 Parieto-occipital region-most severely affected
 Subsequently pathological involvement spreads
to the anterior portions of cerebral hemispheres,
subcortical structures, brainstem, and spinal cord
 Focal or diffuse perivascular infiltrates of
lymphocytes, plasma cells, and phagocytes in
meninges and brain parenchyma
 Inclusion bodies seen within both nucleus
and cytoplasm of neurons and glial cells.
 Cowdry type-A eosinophilic inclusion bodies
seen in neurons and oligodendroglia
 Another Cowdry type-B inclusion bodies
almost always present in the brainstem
 These nuclear inclusions correspond to viral
particles and contain viral antigens
 Neurofibrillary tangles may be seen within
neurons and oligodendrocytes
 Cells containing tangles often contain the
viral genome
 Inflammatory cell infiltrate in brain tissue in
perivascular cells are predominantly CD4+ T
cells, with B cells seen more frequently in
parenchymal inflammatory infiltrate
 Initial symptoms noted between 8-11 years
of age, 6-7 years after measles infection
 Initial symptoms subtle, mild intellectual
deterioration and behavioural changes
 Progressive deterioration in scholastic
performance
 Periodic stereotyped myoclonic jerks
 Initially involve head and subsequently trunk and
limbs
 Muscular contraction followed by 1–2 seconds of
relaxation associated with decrease in muscle
action potential or complete electrical silence
 Do not interfere with consciousness
 Exaggerated by excitement
 May disappear during sleep
 Difficulty in gait, periodic dropping of the head,
and falling
 Pyramidal and extrapyramidal signs
 Ataxia, dystonia, and dyskinesia
 Generalised tonic-clonic seizures and partial
seizures
 Catatonia
 Depression
 Papillo-oedema.
 Papillitis.
 Optic atrophy.
 Macular or perimacular chorioretinitis.
 Cortical blindness.
 Anton’s syndrome
 Advanced stages patients become
quadriparetic, spasticity increases, and
myoclonus may decrease or disappear.
 Autonomic failure with loss of
thermoregulation
 Progressive deterioration of sensorium to a
comatose state ->vegetative.
 Decerebrate and decorticate rigidity
 Breathing->noisy and irregular.
 Death due to hyperpyrexia, cardiovascular
collapse, or hypothalamic disturbances
 Above 18 years of age
 Uncommon, between 1– 1.75% and 2.6%
 Measles exposure usually either earlier (younger
than 3 years old) or later (after 9 years)
 Unusually long measles to SSPE intervals from 14
to 22 years.
 Presents with either cognitive or behavioral
changes and/or ophthalmic symptoms
 Myoclonus may be absent
 Progressive and fatal in majority
 Higher rate of spontaneous remission as
compared with childhood-onset SSPE
 Rapidly progress during pregnancy
 Due to immunological and hormonal
alterations of pregnancy
 Associated with death of child in utero, or in
the immediate peripartum period
 Cortical blindness reported as most common
presenting manifestation
 Characteristic myoclonus may not be
apparent
 Clinical picture resembles that of eclampsia
 Most of survive for 1–3 years after diagnosis,
with a mean survival of about 18 months.
 Disease rapidly evolves leading to death within
three months
 Approximately 10% of patients had fulminant
course.
 Various stages of disease cannot be recognised.
 Several factors such as exposure to measles at an
early age, viral virulence, impaired host defence
mechanisms, and concurrent infections with
other viruses
i. Personality changes accompanied by school
failure and bizarre behavior
ii. Axial (Especially characteristic rapid neck
flexion) massive myoclonus causing frequent
and violent falls
iii. Generalized rigidity with extrapyramidal
features and progressive unresponsiveness
iv. Minimal conscious state progressing to
akinetic mutism with severe progressive
autonomic failure
1)Cerebrospinal fluid
 Usually normal
 Acellular with normal or a mildly raised
protein concentration
 Markedly raised gammaglobulin level greater
than 20% of total cerebrospinal fluid protein
 CSF IgG concentration ranges from 10–54
μg/dl (5–10 μg/dl in normal)
 Oligoclonal band
 Raised antimeasles antibody titres >1:256 in
serum, and >1:4 in CSF -diagnostic of SSPE
 CSF to serum titre -1:4 to 1:128 (below 200)
normal ratio (1:200–1:500).
 ELISA highly sensitive for measles virus
specific IgG as well as IgM
 Measles virus RNA can be detected by reverse
transcription polymerase chain reaction
 Early-normal or show only moderate, non-
specific generalised slowing
 Periodic complexes consisting of bilaterally
symmetrical, synchronous, high voltage (200–
500 mv) bursts of polyphasic, stereotyped delta
waves
 Identical in any given lead
 Repeat at fairly regular 4–10 second intervals and
have 1:1 relationship with myoclonic jerks
 Shortening of interval between periodic
complexes with progression of disease
 In early stages Periodic complex seen in sleep
 Can be brought out in awake if diazepam is
administered intravenously
 Later course EEG may become increasingly
disorganised, show high amplitudes and
random dysrhythmic slowing.
 Terminal stages-amplitude of waveforms may
fall.
 Type II abnormalities-periodic giant delta waves
intermixed with rapid spikes as fast activity.
 EEG background is usually slow.
 Type III periodic complexes-long spike-wave
discharges interrupted by giant delta waves
 Video-split EEG monitoring-more sensitive
technique for early diagnosis and detection of
atonia or Myoclonus
 Type III periodic complexes- associated with the
worst outcome
 Type II periodic complexes- best outcome
Computed tomography
 Normal in early stages
 Later stages-small ventricles and obliteration of
hemispheric sulci and interhemispheric fissure
due to diffuse cerebral oedema.
 Generalised or focal cerebral atrophy and ex
vacuo ventricular dilatation seen after a very
prolonged course.
 Low attenuation areas in cortex and basal
ganglion observed
 CT normal as late as five years after onset
 More sensitive
 Early-ill defined high signal intensity areas on T2-
weighted images
 More commonly seen in occipital subcortical white
matter than frontal region
 Grey matter is spared even in advanced clinical and
MRI stages.
 Tuncay et al -Early asymetrical lesions were
dominantly involving grey matter and subcortical
white matter in posterior parts of cerebral
hemispheres
 Parenchymal lesions correlated with duration of
disease.
 Mass effect and contrast enhancement unusual
Stage 0-no atrophy or white matter changes
Stage I(+) white matter changes or atrophy
Stage II(+) white matter changes and atrophy
Stage III(++) white matter changes, 0 to +
atrophy or vice versa
Stage IV(++) white matter changes and atrophy
Stage V(+++) white matter changes, 0 to ++
atrophy or vice versa
Stage VI(+++) white matter changes and
atrophy
MR spectroscopy (MRS)
 Diagnostic modality for early diagnosis
 Findings suggestive of inflammation in stage
II
 Findings of demyelination, gliosis, cellular
necrosis, and anaerobic metabolism in stage
III
18F-FDG PET
 Metabolic impairments early when MRI
findings show no obvious abnormalities
 Seldom required
 Acute phase-inflammatory,consist of classical
cortical and subcortical "perivascular cuffing",
spongiosis and demyelination, sparing the
cerebellum
 Cowdry type-A inclusions
 Cowdry type-B inclusions
 Neurofibrillary tangles
 Very difficult to isolate even a small amount of
infectious virus from brain while viral antigens
can be easily identified.
 No curative treatment
 General nursing care
 Anticonvulsants-sodium valproate,
clonazepam,Lam otrigine
 Myoclonus responds atleast partially
 Antispasmodics-baclofen may be used
 Primary prevention by immunization
1) Inosine pranobex (Isoprinosine or
Methisoprinol)
 Combination of inosine, acetamidobenzoic
acid, and dimethylaminoisopropanol.
 Immunomodulatory and antiviral properties,
 Inhibits viral RNA and increases mRNA
synthesis in lymphocytes possessing
antiviral properties of interferon alpha and
gamma.
 Promotes chemotaxis and phagocytosis by
white blood cells
 Daily dosage-100mg/kg/day given orally
 Duration-possibly lifetime
 Side effects-hyperuricemia, dizziness,
stomach pain, digestion problem, itching and
allergic reactions
 Leucopenia when combined with ribavarin
 Avoided in children under 3years of age
(body weight 15-20 kg)
 Contraindication-Gout, Urolithiasis,
Arrhythmia, CRF, Hypersensitivity to the drug
2) Interferon alpha
 Obtained from leukocyte fraction of human
blood following induction with Sendai virus.
 Given either intrathecally or intravenously.
 Six week courses started as 100 000units/m2
of body surface area
 Increased to 1 million units/m2 body surface
area per day given for five days a week.
 Repeated up to six times, at 2–6 months
intervals
 End point-eradication of detectable anti-
measles antibodies from CSF
 59% showed significant stabilization or
improvement with IFN a with or without
Isoprinosine
 Side effects-fever, lethargy, anorexia,
chemical meningitis
 IFN alfa induced encephalopathy and upper
and lower motor neuron toxicity
 Increase in liver enzyme levels
 Systemic (subcutaneous) interferon alfa-5
million units with intrathecal interferon
 To treat peripheral reservoirs of measles virus
in lymphoid and glandular tissue
3) Ribavirin
 Prodrug metabolized to purine RNA
nucleotides and interferes with RNA
metabolism
 Side effect-hemolytic anemia, worsening of
preexisting cardiac disease
4) Intravenous Immunoglobulins
 Found effective in SSPE when administered
along with prolonged therapy with inosiplex.
 Needs further evaluation
5) Cimetidine
 H2-receptor antagonist,
 Immunomodulatory effect
6) Amantidine
 Anti-RNA agent
 Retards maturation of viruses by not allowing
them to replicate
7) Flupirtine
 Anti apoptotic agent
1)Vitamin A
 Reduces measles mortality and morbidity
 Role in innate immune response,
particularly in interferon I signalling
pathway
 Retinoids directly inhibit MV replication
 Vit A levels low in SSPE (<20 mcg/dl)
2) Inhibitors of MV entry
 Viral RNA dependent RNA polymerase (AS-
136A)
 Targets MV RNA polymerase L protein
catalytic unit
 Drawback-MV escape mutants
3)RNA interference
 Transiently by short interfering RNA
molecules (siRNA)
 Stably by intracellular expression of short
hairpin RNAs (shRNAs)
 Inhibit expression of MV Phosphoprotein
gene, involved in viral RNA transcription,
replication, and IFN response
 Hemagglutinin gene(H), playing a critical role
in adsorption, cell fusion, assembly and
budding of viral particles inhibited
4)Induction of apoptosis
 TNF related apoptosis inducing ligand (TRAIL)
 Kills selectively cells where MV resides before
dissemination across brain
 Invariably progressive with death in 95%
affected
 Mean survival-1year 9 months to 3 years
 Spontaneous remission between 5 to 6.2%
 Factors associated with favourable outcome
1. Age of onset of SSPE less than 12 years
2. Disappearance of periodic complexes
3. Tendency for normalisation of the
background of follow up EEGs
4. Progressive increase in measles antibody
titres in CSF
Thanks
 Subacute Sclerosing Panencephalitis Revisited
;V. Sardana, D. Sharma, S.Agrawal; International
Journal of Basic and Applied Medical Sciences;
2013 Vol. 3 (1) January-April, pp.225-241
 Subacute Sclerosing Pan-Encephalitis (SSPE)–
Past and Present;Natan
Gadoth:www.intechopen.com: 2013;pg 135-
154
 Subacute Sclerosing Panencephalitis and Other
Lethal Encephalitis Caused by Measles Virus
Infection: Pathogenesis and New Approaches to
Treatment: Fernandez-Muñoz R et
al:www.intechopen.com:2013:pg 157-186
 Subacute sclerosing panencephalitis;R K
Garg; Postgrad Med J 2002;78:63–70
 Subacute Sclerosing Panencephalitis;R.K.
Garg,B. Karak,A.M. Sharma:Indian Pediatrics
Volume 35-April 1998
 Suabcute sclerosing panencephalitis in The
Netherlands;Beersma M.F et al (1992) Int J
Epidemiol 21, 583-588

Sub acute sclerosing panencephalitis

  • 1.
    Dr. Parag Moon SeniorResident, Neurology GMC Kota
  • 2.
     2 formsof encephalitis.  Acute post infections measles encephalitis  0.1 % of immunocompetent pt.  20 % mortality rate  Measles virus induced pathological immune mediated "post-infectious" encephalitis  Not by direct invasion
  • 3.
     Measles virusin immunocompetent patients causes SSPE  In immunocompromized patients it causes Measles Inclusion Body Encephalitis
  • 4.
     Viral etiologyproposed by Dawson in 1933 and 1934-Subacute inclusion body encephalitis  Subacute sclerosing leukoencephalitis –Van Bogaert, 1945  SSPE was coined by Greenfield in 1950  Very high titers of anti- measles antibodies in the blood and CSF of all patients-Connolly et al. in 1967
  • 5.
     Annual incidenceof 21 per million population in India  History of primary measles infection at an early age (<2 years)  Latent period of 6–8 years  Measles under age of 1 year carry a risk of 16 times greater than those at age 5 years or later  Male/female ratio 3:1
  • 6.
     Higher amongrural children, with two or more siblings, with mental retardation  More common in children with lower birth order, overcrowded environments
  • 7.
     RNA virusbelongs to marbillivirus subgroup of paramyxoviruses  Measles virus infection of brain occurs soon after the acute infection  Virus reaches through infection of cerebral endothelial cells or by circulating inflammatory cells  Type II transmembrane protein H mediates virus cell attachment by binding to the cell surface protein CD46
  • 8.
     Exact factorsand influences that allow measles infection to persist are unclear  Addition of antibodies against measles virus may alter pattern of viral gene expression  Apoptosis of various cell types either as a direct effect of viral infection or of cytokine mediated responses  Results in oligodendroglial and neuronal cell death in SSPE
  • 9.
     Early stages-mildinflammation of meninges and brain parenchyma involving cortical and subcortical grey matter as well as white matter  Later stages-gross examination reveals mild to moderate atrophy of cerebral cortex  Parieto-occipital region-most severely affected  Subsequently pathological involvement spreads to the anterior portions of cerebral hemispheres, subcortical structures, brainstem, and spinal cord
  • 10.
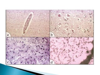
     Focal ordiffuse perivascular infiltrates of lymphocytes, plasma cells, and phagocytes in meninges and brain parenchyma  Inclusion bodies seen within both nucleus and cytoplasm of neurons and glial cells.  Cowdry type-A eosinophilic inclusion bodies seen in neurons and oligodendroglia  Another Cowdry type-B inclusion bodies almost always present in the brainstem  These nuclear inclusions correspond to viral particles and contain viral antigens
  • 11.
     Neurofibrillary tanglesmay be seen within neurons and oligodendrocytes  Cells containing tangles often contain the viral genome  Inflammatory cell infiltrate in brain tissue in perivascular cells are predominantly CD4+ T cells, with B cells seen more frequently in parenchymal inflammatory infiltrate
  • 12.
     Initial symptomsnoted between 8-11 years of age, 6-7 years after measles infection  Initial symptoms subtle, mild intellectual deterioration and behavioural changes  Progressive deterioration in scholastic performance
  • 13.
     Periodic stereotypedmyoclonic jerks  Initially involve head and subsequently trunk and limbs  Muscular contraction followed by 1–2 seconds of relaxation associated with decrease in muscle action potential or complete electrical silence  Do not interfere with consciousness  Exaggerated by excitement  May disappear during sleep  Difficulty in gait, periodic dropping of the head, and falling
  • 14.
     Pyramidal andextrapyramidal signs  Ataxia, dystonia, and dyskinesia  Generalised tonic-clonic seizures and partial seizures  Catatonia  Depression
  • 15.
     Papillo-oedema.  Papillitis. Optic atrophy.  Macular or perimacular chorioretinitis.  Cortical blindness.  Anton’s syndrome
  • 16.
     Advanced stagespatients become quadriparetic, spasticity increases, and myoclonus may decrease or disappear.  Autonomic failure with loss of thermoregulation  Progressive deterioration of sensorium to a comatose state ->vegetative.  Decerebrate and decorticate rigidity  Breathing->noisy and irregular.  Death due to hyperpyrexia, cardiovascular collapse, or hypothalamic disturbances
  • 17.
     Above 18years of age  Uncommon, between 1– 1.75% and 2.6%  Measles exposure usually either earlier (younger than 3 years old) or later (after 9 years)  Unusually long measles to SSPE intervals from 14 to 22 years.  Presents with either cognitive or behavioral changes and/or ophthalmic symptoms  Myoclonus may be absent  Progressive and fatal in majority  Higher rate of spontaneous remission as compared with childhood-onset SSPE
  • 18.
     Rapidly progressduring pregnancy  Due to immunological and hormonal alterations of pregnancy  Associated with death of child in utero, or in the immediate peripartum period  Cortical blindness reported as most common presenting manifestation  Characteristic myoclonus may not be apparent  Clinical picture resembles that of eclampsia
  • 19.
     Most ofsurvive for 1–3 years after diagnosis, with a mean survival of about 18 months.  Disease rapidly evolves leading to death within three months  Approximately 10% of patients had fulminant course.  Various stages of disease cannot be recognised.  Several factors such as exposure to measles at an early age, viral virulence, impaired host defence mechanisms, and concurrent infections with other viruses
  • 20.
    i. Personality changesaccompanied by school failure and bizarre behavior ii. Axial (Especially characteristic rapid neck flexion) massive myoclonus causing frequent and violent falls iii. Generalized rigidity with extrapyramidal features and progressive unresponsiveness iv. Minimal conscious state progressing to akinetic mutism with severe progressive autonomic failure
  • 22.
    1)Cerebrospinal fluid  Usuallynormal  Acellular with normal or a mildly raised protein concentration  Markedly raised gammaglobulin level greater than 20% of total cerebrospinal fluid protein  CSF IgG concentration ranges from 10–54 μg/dl (5–10 μg/dl in normal)  Oligoclonal band
  • 23.
     Raised antimeaslesantibody titres >1:256 in serum, and >1:4 in CSF -diagnostic of SSPE  CSF to serum titre -1:4 to 1:128 (below 200) normal ratio (1:200–1:500).  ELISA highly sensitive for measles virus specific IgG as well as IgM  Measles virus RNA can be detected by reverse transcription polymerase chain reaction
  • 24.
     Early-normal orshow only moderate, non- specific generalised slowing  Periodic complexes consisting of bilaterally symmetrical, synchronous, high voltage (200– 500 mv) bursts of polyphasic, stereotyped delta waves  Identical in any given lead  Repeat at fairly regular 4–10 second intervals and have 1:1 relationship with myoclonic jerks  Shortening of interval between periodic complexes with progression of disease
  • 25.
     In earlystages Periodic complex seen in sleep  Can be brought out in awake if diazepam is administered intravenously  Later course EEG may become increasingly disorganised, show high amplitudes and random dysrhythmic slowing.  Terminal stages-amplitude of waveforms may fall.
  • 26.
     Type IIabnormalities-periodic giant delta waves intermixed with rapid spikes as fast activity.  EEG background is usually slow.  Type III periodic complexes-long spike-wave discharges interrupted by giant delta waves  Video-split EEG monitoring-more sensitive technique for early diagnosis and detection of atonia or Myoclonus  Type III periodic complexes- associated with the worst outcome  Type II periodic complexes- best outcome
  • 28.
    Computed tomography  Normalin early stages  Later stages-small ventricles and obliteration of hemispheric sulci and interhemispheric fissure due to diffuse cerebral oedema.  Generalised or focal cerebral atrophy and ex vacuo ventricular dilatation seen after a very prolonged course.  Low attenuation areas in cortex and basal ganglion observed  CT normal as late as five years after onset
  • 29.
     More sensitive Early-ill defined high signal intensity areas on T2- weighted images  More commonly seen in occipital subcortical white matter than frontal region  Grey matter is spared even in advanced clinical and MRI stages.  Tuncay et al -Early asymetrical lesions were dominantly involving grey matter and subcortical white matter in posterior parts of cerebral hemispheres  Parenchymal lesions correlated with duration of disease.  Mass effect and contrast enhancement unusual
  • 31.
    Stage 0-no atrophyor white matter changes Stage I(+) white matter changes or atrophy Stage II(+) white matter changes and atrophy Stage III(++) white matter changes, 0 to + atrophy or vice versa Stage IV(++) white matter changes and atrophy Stage V(+++) white matter changes, 0 to ++ atrophy or vice versa Stage VI(+++) white matter changes and atrophy
  • 32.
    MR spectroscopy (MRS) Diagnostic modality for early diagnosis  Findings suggestive of inflammation in stage II  Findings of demyelination, gliosis, cellular necrosis, and anaerobic metabolism in stage III 18F-FDG PET  Metabolic impairments early when MRI findings show no obvious abnormalities
  • 33.
     Seldom required Acute phase-inflammatory,consist of classical cortical and subcortical "perivascular cuffing", spongiosis and demyelination, sparing the cerebellum  Cowdry type-A inclusions  Cowdry type-B inclusions  Neurofibrillary tangles  Very difficult to isolate even a small amount of infectious virus from brain while viral antigens can be easily identified.
  • 36.
     No curativetreatment  General nursing care  Anticonvulsants-sodium valproate, clonazepam,Lam otrigine  Myoclonus responds atleast partially  Antispasmodics-baclofen may be used  Primary prevention by immunization
  • 38.
    1) Inosine pranobex(Isoprinosine or Methisoprinol)  Combination of inosine, acetamidobenzoic acid, and dimethylaminoisopropanol.  Immunomodulatory and antiviral properties,  Inhibits viral RNA and increases mRNA synthesis in lymphocytes possessing antiviral properties of interferon alpha and gamma.  Promotes chemotaxis and phagocytosis by white blood cells
  • 39.
     Daily dosage-100mg/kg/daygiven orally  Duration-possibly lifetime  Side effects-hyperuricemia, dizziness, stomach pain, digestion problem, itching and allergic reactions  Leucopenia when combined with ribavarin  Avoided in children under 3years of age (body weight 15-20 kg)  Contraindication-Gout, Urolithiasis, Arrhythmia, CRF, Hypersensitivity to the drug
  • 40.
    2) Interferon alpha Obtained from leukocyte fraction of human blood following induction with Sendai virus.  Given either intrathecally or intravenously.  Six week courses started as 100 000units/m2 of body surface area  Increased to 1 million units/m2 body surface area per day given for five days a week.  Repeated up to six times, at 2–6 months intervals
  • 41.
     End point-eradicationof detectable anti- measles antibodies from CSF  59% showed significant stabilization or improvement with IFN a with or without Isoprinosine  Side effects-fever, lethargy, anorexia, chemical meningitis  IFN alfa induced encephalopathy and upper and lower motor neuron toxicity  Increase in liver enzyme levels
  • 42.
     Systemic (subcutaneous)interferon alfa-5 million units with intrathecal interferon  To treat peripheral reservoirs of measles virus in lymphoid and glandular tissue
  • 43.
    3) Ribavirin  Prodrugmetabolized to purine RNA nucleotides and interferes with RNA metabolism  Side effect-hemolytic anemia, worsening of preexisting cardiac disease 4) Intravenous Immunoglobulins  Found effective in SSPE when administered along with prolonged therapy with inosiplex.  Needs further evaluation
  • 44.
    5) Cimetidine  H2-receptorantagonist,  Immunomodulatory effect 6) Amantidine  Anti-RNA agent  Retards maturation of viruses by not allowing them to replicate 7) Flupirtine  Anti apoptotic agent
  • 45.
    1)Vitamin A  Reducesmeasles mortality and morbidity  Role in innate immune response, particularly in interferon I signalling pathway  Retinoids directly inhibit MV replication  Vit A levels low in SSPE (<20 mcg/dl)
  • 46.
    2) Inhibitors ofMV entry  Viral RNA dependent RNA polymerase (AS- 136A)  Targets MV RNA polymerase L protein catalytic unit  Drawback-MV escape mutants
  • 47.
    3)RNA interference  Transientlyby short interfering RNA molecules (siRNA)  Stably by intracellular expression of short hairpin RNAs (shRNAs)  Inhibit expression of MV Phosphoprotein gene, involved in viral RNA transcription, replication, and IFN response  Hemagglutinin gene(H), playing a critical role in adsorption, cell fusion, assembly and budding of viral particles inhibited
  • 48.
    4)Induction of apoptosis TNF related apoptosis inducing ligand (TRAIL)  Kills selectively cells where MV resides before dissemination across brain
  • 49.
     Invariably progressivewith death in 95% affected  Mean survival-1year 9 months to 3 years  Spontaneous remission between 5 to 6.2%  Factors associated with favourable outcome 1. Age of onset of SSPE less than 12 years 2. Disappearance of periodic complexes 3. Tendency for normalisation of the background of follow up EEGs 4. Progressive increase in measles antibody titres in CSF
  • 50.
  • 51.
     Subacute SclerosingPanencephalitis Revisited ;V. Sardana, D. Sharma, S.Agrawal; International Journal of Basic and Applied Medical Sciences; 2013 Vol. 3 (1) January-April, pp.225-241  Subacute Sclerosing Pan-Encephalitis (SSPE)– Past and Present;Natan Gadoth:www.intechopen.com: 2013;pg 135- 154  Subacute Sclerosing Panencephalitis and Other Lethal Encephalitis Caused by Measles Virus Infection: Pathogenesis and New Approaches to Treatment: Fernandez-Muñoz R et al:www.intechopen.com:2013:pg 157-186
  • 52.
     Subacute sclerosingpanencephalitis;R K Garg; Postgrad Med J 2002;78:63–70  Subacute Sclerosing Panencephalitis;R.K. Garg,B. Karak,A.M. Sharma:Indian Pediatrics Volume 35-April 1998  Suabcute sclerosing panencephalitis in The Netherlands;Beersma M.F et al (1992) Int J Epidemiol 21, 583-588