{
ENCEPHALITIS
Adhil hasbulla
119i4a
Neurology
 Encephalitis presents as diffuse or focal neuropsychological
dysfunction. Although it primarily involves the brain, it often
involves the meninges as well (meningoencephalitis).
Signs and symptoms
 The viral prodrome typically consists of fever, headache, nausea
and vomiting, lethargy, and myalgias.
 Varicella-zoster virus (VZV), Epstein-Barr virus (EBV),
cytomegalovirus (CMV), measles virus, or mumps virus: Rash,
lymphadenopathy, hepatosplenomegaly, and parotid enlargement
 St Louis encephalitis: Dysuria and pyuria
 West Nile encephalitis (WNE): Extreme lethargy
Introduction
West Nile virus (WNV) and St. Louis encephalitis
virus (SLEV) are arthropod-borne flaviviruses that
belong to the Japanese encephalitis virus antigenic
complex.
SLEV transmission is limited to North and South
America, whereas WNV infection occurs on six
continents
The classic presentation is encephalopathy with diffuse or focal
neurologic symptoms, including the following:
• Behavioral and personality changes, with decreased level of
consciousness
• Neck pain, stiffness
• Photophobia
• Lethargy
• Generalized or focal seizures
• Acute confusion
• Flaccid paralysis (10% of patients with WNE)
 The virus replicates outside the CNS and gains entry to the CNS
either by hematogenous spread or by travel along neural pathways
(eg, rabies virus, HSV, VZV).
 Once across the blood-brain barrier, the virus enters neural cells, with
resultant disruption in cell functioning, perivascular congestion,
hemorrhage, and a diffuse inflammatory response that
disproportionately affects gray matter over white matter.
 Regional tropism associated with certain viruses is due to neuron cell
membrane receptors found only in specific portions of the brain, with
more intense focal pathology in these areas. A classic example is the
HSV predilection for the inferior and medial temporal lobes.
 In contrast to viruses, acute disseminated encephalitis and
postinfectious encephalomyelitis (PIE), most commonly due to
measles infection EBV and CMV, are immune-mediated processes that
result in multifocal demyelination of perivenous white matter.
Pathophysiology
 It is the most common cause of fatal sporadic fulminant necrotising
viral encephalitis and has characteristic imaging findings.
Two subtypes are recognised which differ in demographics, virus, and
pattern of involvement. They are :
 neonatal herpes encephalitis
 childhood and adult herpes encephalitis
 I is an obligatory intracellular virus that enters via infecting
nasopharyngeal cells into the sensory branch of lingual nerve then
ascends to trigeminal ganglion and remains latent for a lifetime.
Reactivation in the case of immunosuppression, trauma, or other
stresses can result in fulminant haemorrhagic necrotising encephalitis.
 HSV has a high affinity for limbic systems with bilateral but
asymmetric involvement.
Herpes Simplex Encephalitis
Microscopic appearance
Perivascular cuffs of lymphocytes, large inclusions in neurons and
glial cells called "owl's eye", neuronophagia, necrosis and
hemorrhage are characteristics of herpes simplex encephalitis.
Myoclonus is commonly
accompanied by
seizures and alteration in
mental status. Herpes
simplex encephalitis may
show myoclonus.
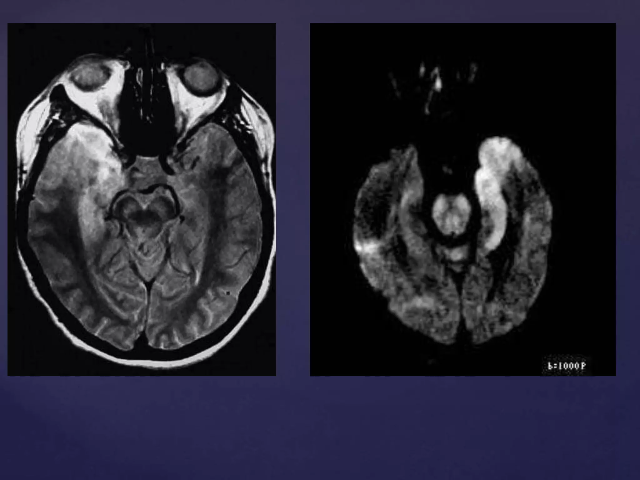
Radiography of HSE
CT
1. Early diagnosis is difficult. If findings are present, they typically
consist of subtle low density within the anterior and medial parts of
the temporal lobe and the Island Of Reil (insular cortex).
2. If scanned later then the changes may become more apparent and
even progress to haemorrhage.
Contrast enhancement is uncommon during the first week of the
disease. After that, a patchy low-level enhancement may be seen.
MRI
1. Noninvasively establish many of the potential alternative diagnoses
of HSE.
2. Abnormalities are found in 90% of patients with HSE; MRI may be
normal early.
3. The inferomedial portion of the temporal lobe is most commonly
affected on MRI, sometimes in association with abnormalities of the
cingulate gyrus.
Electroencephalography
Electroencephalography (EEG), though lacking in specificity (32%), has
84% sensitivity to abnormal patterns in HSE. Focal abnormalities (eg,
spike and slow- or periodic sharp-wave patterns over the involved
temporal lobes) or diffuse slowing may be observed.
Analysis of Cerebrospinal Fluid
Once a space-occupying lesion has been excluded by imaging, lumbar
puncture always should be performed in suspected HSE. In general,
CSF yield is proportional to the volume analyzed; an adequate volume
of CSF should be obtained. Viral cultures of CSF are rarely positive and
should not be relied on to confirm the diagnosis.
BIOPSY
Tzanck preparations
HSV can sometimes be confirmed by Tzanck preparations taken from
vesicular lesions in neonates with herpes simplex encephalitis.
 Treatment is with intravenous antivirals (e.g. aciclovir), and if
appropriate, antiepileptics and agents to reduce intracranial
pressure.
 Even in patients who are young and otherwise well, and only
lethargic still have a mortality of 25%.
 Older patients or those comatose at the time treatment is started
invariably have a much poorer outcome.
 Overall mortality is over 70% with only 2.5% of affected patients ever
fully recovering.
Treatment and Prognosis
{
THANK YOU

ENCEPHALITIS.pptx

  • 1.
  • 2.
     Encephalitis presentsas diffuse or focal neuropsychological dysfunction. Although it primarily involves the brain, it often involves the meninges as well (meningoencephalitis). Signs and symptoms  The viral prodrome typically consists of fever, headache, nausea and vomiting, lethargy, and myalgias.  Varicella-zoster virus (VZV), Epstein-Barr virus (EBV), cytomegalovirus (CMV), measles virus, or mumps virus: Rash, lymphadenopathy, hepatosplenomegaly, and parotid enlargement  St Louis encephalitis: Dysuria and pyuria  West Nile encephalitis (WNE): Extreme lethargy Introduction
  • 3.
    West Nile virus(WNV) and St. Louis encephalitis virus (SLEV) are arthropod-borne flaviviruses that belong to the Japanese encephalitis virus antigenic complex. SLEV transmission is limited to North and South America, whereas WNV infection occurs on six continents The classic presentation is encephalopathy with diffuse or focal neurologic symptoms, including the following: • Behavioral and personality changes, with decreased level of consciousness • Neck pain, stiffness • Photophobia • Lethargy • Generalized or focal seizures • Acute confusion • Flaccid paralysis (10% of patients with WNE)
  • 4.
     The virusreplicates outside the CNS and gains entry to the CNS either by hematogenous spread or by travel along neural pathways (eg, rabies virus, HSV, VZV).  Once across the blood-brain barrier, the virus enters neural cells, with resultant disruption in cell functioning, perivascular congestion, hemorrhage, and a diffuse inflammatory response that disproportionately affects gray matter over white matter.  Regional tropism associated with certain viruses is due to neuron cell membrane receptors found only in specific portions of the brain, with more intense focal pathology in these areas. A classic example is the HSV predilection for the inferior and medial temporal lobes.  In contrast to viruses, acute disseminated encephalitis and postinfectious encephalomyelitis (PIE), most commonly due to measles infection EBV and CMV, are immune-mediated processes that result in multifocal demyelination of perivenous white matter. Pathophysiology
  • 5.
     It isthe most common cause of fatal sporadic fulminant necrotising viral encephalitis and has characteristic imaging findings. Two subtypes are recognised which differ in demographics, virus, and pattern of involvement. They are :  neonatal herpes encephalitis  childhood and adult herpes encephalitis  I is an obligatory intracellular virus that enters via infecting nasopharyngeal cells into the sensory branch of lingual nerve then ascends to trigeminal ganglion and remains latent for a lifetime. Reactivation in the case of immunosuppression, trauma, or other stresses can result in fulminant haemorrhagic necrotising encephalitis.  HSV has a high affinity for limbic systems with bilateral but asymmetric involvement. Herpes Simplex Encephalitis
  • 6.
    Microscopic appearance Perivascular cuffsof lymphocytes, large inclusions in neurons and glial cells called "owl's eye", neuronophagia, necrosis and hemorrhage are characteristics of herpes simplex encephalitis. Myoclonus is commonly accompanied by seizures and alteration in mental status. Herpes simplex encephalitis may show myoclonus.
  • 7.
  • 8.
    CT 1. Early diagnosisis difficult. If findings are present, they typically consist of subtle low density within the anterior and medial parts of the temporal lobe and the Island Of Reil (insular cortex). 2. If scanned later then the changes may become more apparent and even progress to haemorrhage. Contrast enhancement is uncommon during the first week of the disease. After that, a patchy low-level enhancement may be seen. MRI 1. Noninvasively establish many of the potential alternative diagnoses of HSE. 2. Abnormalities are found in 90% of patients with HSE; MRI may be normal early. 3. The inferomedial portion of the temporal lobe is most commonly affected on MRI, sometimes in association with abnormalities of the cingulate gyrus.
  • 9.
    Electroencephalography Electroencephalography (EEG), thoughlacking in specificity (32%), has 84% sensitivity to abnormal patterns in HSE. Focal abnormalities (eg, spike and slow- or periodic sharp-wave patterns over the involved temporal lobes) or diffuse slowing may be observed. Analysis of Cerebrospinal Fluid Once a space-occupying lesion has been excluded by imaging, lumbar puncture always should be performed in suspected HSE. In general, CSF yield is proportional to the volume analyzed; an adequate volume of CSF should be obtained. Viral cultures of CSF are rarely positive and should not be relied on to confirm the diagnosis. BIOPSY Tzanck preparations HSV can sometimes be confirmed by Tzanck preparations taken from vesicular lesions in neonates with herpes simplex encephalitis.
  • 13.
     Treatment iswith intravenous antivirals (e.g. aciclovir), and if appropriate, antiepileptics and agents to reduce intracranial pressure.  Even in patients who are young and otherwise well, and only lethargic still have a mortality of 25%.  Older patients or those comatose at the time treatment is started invariably have a much poorer outcome.  Overall mortality is over 70% with only 2.5% of affected patients ever fully recovering. Treatment and Prognosis
  • 14.