Chapter One Introduction to Pathology Section A What is pathology?
Definition of Disease  Disease may be defined as an abnormal  alteration of structure or function in any part of the body.
Classification of Diseases: Developmental – genetic, congenital. Inflammatory – Trauma, infections, immune, etc.  Neoplastic – tumors, cancers Degenerative – ageing.
Pathology Study of what is abnormal or wrong or disease…! “ Scientific Study of Disease” Normal    Abnormal    Treat
Study of Disease: Epidemiology Etiology  - Causes Pathogenesis  - Evolution  Morphology -  Structural Changes Clinical   Significance –  Functional Changes Clinical manifestation Complications Prevention Pathology
Pathology focuses on 4 aspects of disease ETIOLOGY:  Cause of disease. PATHOGENESIS: Mechanisms of development of disease. MORPHOLOGY:  The structural alterations induced in cell and tissues. FUNCTIONAL CONSEQUENCES: Functional consequences of the morphologic changes, as observed clinically. Knowledge of etiology remains the backbone: Disease diagnoses Understanding the nature of diseases Treatment of diseases.
Etiology: Environmental agents: Physical Chemical Nutritional Infections Immunological Psychological Genetic Factors: Age Genes Multifactorial:
One etiologic agent—one disease. Several etiologic agents—one disease. One etiologic agent—several diseases.
Diseases are “caused” due to internal or external factors.  Multifactorial: No more “one cause to one disease”  Genetic factors affect acquired diseases and environment has profound effect on  genetic diseases.
Pathogenesis: “Sequence of events in the response of cells & tissues to a stimulus/pathogen” starting from the initial stimulus to the ultimate expression of disease.” Gross and microscopic Structure, Function, Chemistry & molecular mechanisms.
Pathogenesis The sequence events in the response  of the cells or tissues to the etiologic agent, from the initial stimulus to the ultimate expression of the disease.
Pathogenesis Immunologic, cytogenetic and molecular analyses of  tissues and cells are increasingly becoming guides to render diagnoses, to assess prognosis, and to suggest therapy.
W hile much still needs to be uncovered to link abnormal genes and the expression of disease, gone are the time when the mechanisms of most diseases were  unknown? or obscure? or mysterious?
Morphologic change Characteristic of the disease Diagnostic of the etiologic proceess Functional derangements Clinical significance MORPHOLOGY Morphology remains at the heart of diagnostic pathology.
Morphology: Structural and associated functional changes in cells, tissues and organs that are characteristic of the disease or condition.
Renal Infarction
 
 
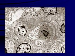
Normal glomerulus
Membranous GN
Clinical Significance: Functional derangements and its clinical manifestations resulting from the morphologic changes. Signs and symptoms, course and prognosis of disease depend on the morphology.
Pathology Summary: Etiology :  Carcinogenesis. DNA Damage, Mutation. Pathogenesis : Uncontrolled cell division, tumor. Morphology : Enlarged lymphnodes, liver, spleen, microscopically – lymphoma cells. Clinical   Features : Fever, Wt loss, tumor-Ln, Liver, Spleen.
Section B What do pathologists do?
Human Pathology Experimental Pathology  Scope  of Pathology
Human Pathology Autopsy Biopsy Cytology
Autopsy The internal examination of the body after death performed scientifically for medical or legal purposes.
 
 
 
 
 
Roles: to clarify the nature of many diseases. to determine the cause of death and to collect evidence  to gather accurate statistics about disease incidence
Biopsy   to establish a precise diagnosis by the removal and examination of tissue from the living body.
Tissue sections are  embedded with paraffin.
stony hard lump or mass on palpation
 
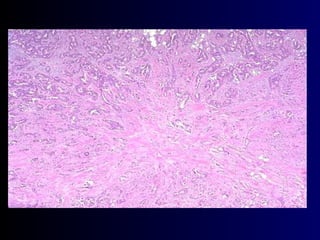
Diagnosis:  Carcinoma of the breast The invasive duct carcinoma usually has an abundant fibrous stroma, so it is also refered to as scirrhous carcinoma. Dense collagenous background
3 ) Cytology Single cells or clumps of cells exfoliated from their surrounding tissues.  Sputum, urine and abdominal fluid
Sputum smears of  cytology
Pap smear of CIN-III Large hyperchromatic nuclei, nuclear pleomorphism .There are  some interspersed neutrophils with lobated nuclei and much smaller size.
Diagnosis What is “Diagnosis”?  The formal name(s) used to describe a patient’s disease  The process of identifying a disease based on the patient’s symptoms, the doctor’s findings, and the results of investigations and laboratory tests What do you need to make a diagnosis? A system of classification that supplies the necessary names, definitions, and criteria  The means to ascertain the defining characteristics of a disease in the individual patient
Sample Case:
Clinical Details: 34 year , male Neck swelling, 2-3 months,  Fever, weight loss,  no other lymphadenopathy Lymphnode biopsy done
Right neck mass
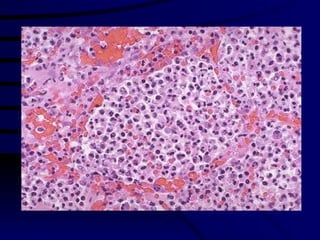
Lymphnode Biopsy Diffuse tumour Capsule
Lymphnode Biopsy Large cells Mitotic figures
Histiocytic/Tcell NHL Diffuse pattern – no follicles. Large cells with moderate cytoplasm Plenty of mitotic figures, Nuclei are vesicular prominent nucleoli Features suggest T-cell NHL – malignant lymphoma. Needs further marker studies for typing & management. cancer Chemotherapy.
Experimental Pathology In vitro:   Tissue culture Organ culture Cell culture In vivo:   Experimental animals Nude mice
Cell and tissue culture :  cellular environment can be modified and the responses to it monitored.
Animal experiments   : to  observe the effect of   manipulations on the animal model of disease .
 
Nude mice
Section C How do pathologists do?
RESEARCH METHODS Macroscopic observation Microscopic observation (HE) EM Immunohistochemistry Hybridization Cell Cultures, Medical Microbiology Molecular Pathology   PCR Flow cytometry
Gross Investigation Size Shape Color Weight Morphologic features
Congestive Splenomegaly: the volume of the spleen is increased and swollen, red-brown. Irregular tan-white fibrous plaques can be seen over the purple surface.
Renal Infarction
 
 
 
 
Histopathological and Cytopathological Investigation The microscopic examination of tissue and cell samples with LM on H.E. sections or smears.  Frozen sections sometimes for a very urgent diagnosis and histochemistry.
Renal Infarction
Liver cirrohsis
Liver carcinoma
3.Electron Microscopic Investigation study  disorders at an organelle level and subcellular details.  transmission and scanning EM
 
 
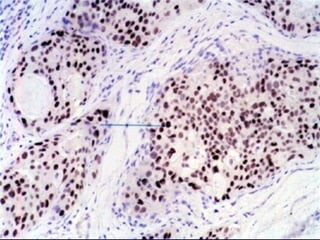
4.Histochemical and Immunohistochemical Investigation   Histochemistry  is the study of the chemistry of tissues after treated with specific reagents, so that the chemical features of individual cells can be visualised.
Normal glomerulus
Membranous GN
A masson trichrome preparation shows complete replacement of virtually  all glomeruli by blue-staining collagen. Chronic  glomerulonephritis:
Immunohistochemistry Ag-Ab complexes The bound Ab is then visualized, using another Ab and a dye complex such as diaminobenzidine.
 
 
 
 
Section D about the subject of  Pathology, How to learn pathology?
Pathology “ Is the foundation of medical science and practice. Without pathology, the practice of medicine would be reduced to myths and folklore”
Pathology   The Status of Pathology in Medicine a bridging discipline the clinical practice of medicine basic science
Learning Pathology: General Pathology  Common changes in all tissues. E.g.. Inflammation, cancer, ageing. Systemic Pathology  Specific changes in organs. E.g.. Goiter, pneumonia, breast cancer.
General pathology is concerned with the basic reactions of cells and tissues to abnormal stimuli that underlie all diseases. Systemic pathology examines the specific  responses of  specialized  organs and tissues to more or less well defined stimuli.
Subdivisions of Pathology: Histopathology Cytopathology Haematology Microbiology Immunology Chemical Pathology Genetics Toxicology Forensic Pathology Histopathologist Cytologist Haematologist Microbiologist Biochemist Geneticist Toxicologist Forensic Pathologist Molecular Biologist
Chinese proverb I hear, I forget; I see, I remember; I do, I understand.
Past and Present….! In the past, .. people mistook magic for medicine…! Now people mistake medicine for magic….!

Preface

  • 1.
    Chapter One Introductionto Pathology Section A What is pathology?
  • 2.
    Definition of Disease Disease may be defined as an abnormal alteration of structure or function in any part of the body.
  • 3.
    Classification of Diseases:Developmental – genetic, congenital. Inflammatory – Trauma, infections, immune, etc. Neoplastic – tumors, cancers Degenerative – ageing.
  • 4.
    Pathology Study ofwhat is abnormal or wrong or disease…! “ Scientific Study of Disease” Normal  Abnormal  Treat
  • 5.
    Study of Disease:Epidemiology Etiology - Causes Pathogenesis - Evolution Morphology - Structural Changes Clinical Significance – Functional Changes Clinical manifestation Complications Prevention Pathology
  • 6.
    Pathology focuses on4 aspects of disease ETIOLOGY: Cause of disease. PATHOGENESIS: Mechanisms of development of disease. MORPHOLOGY: The structural alterations induced in cell and tissues. FUNCTIONAL CONSEQUENCES: Functional consequences of the morphologic changes, as observed clinically. Knowledge of etiology remains the backbone: Disease diagnoses Understanding the nature of diseases Treatment of diseases.
  • 7.
    Etiology: Environmental agents:Physical Chemical Nutritional Infections Immunological Psychological Genetic Factors: Age Genes Multifactorial:
  • 8.
    One etiologic agent—onedisease. Several etiologic agents—one disease. One etiologic agent—several diseases.
  • 9.
    Diseases are “caused”due to internal or external factors. Multifactorial: No more “one cause to one disease” Genetic factors affect acquired diseases and environment has profound effect on genetic diseases.
  • 10.
    Pathogenesis: “Sequence ofevents in the response of cells & tissues to a stimulus/pathogen” starting from the initial stimulus to the ultimate expression of disease.” Gross and microscopic Structure, Function, Chemistry & molecular mechanisms.
  • 11.
    Pathogenesis The sequenceevents in the response of the cells or tissues to the etiologic agent, from the initial stimulus to the ultimate expression of the disease.
  • 12.
    Pathogenesis Immunologic, cytogeneticand molecular analyses of tissues and cells are increasingly becoming guides to render diagnoses, to assess prognosis, and to suggest therapy.
  • 13.
    W hile muchstill needs to be uncovered to link abnormal genes and the expression of disease, gone are the time when the mechanisms of most diseases were unknown? or obscure? or mysterious?
  • 14.
    Morphologic change Characteristicof the disease Diagnostic of the etiologic proceess Functional derangements Clinical significance MORPHOLOGY Morphology remains at the heart of diagnostic pathology.
  • 15.
    Morphology: Structural andassociated functional changes in cells, tissues and organs that are characteristic of the disease or condition.
  • 16.
  • 17.
  • 18.
  • 19.
  • 20.
  • 21.
    Clinical Significance: Functionalderangements and its clinical manifestations resulting from the morphologic changes. Signs and symptoms, course and prognosis of disease depend on the morphology.
  • 22.
    Pathology Summary: Etiology: Carcinogenesis. DNA Damage, Mutation. Pathogenesis : Uncontrolled cell division, tumor. Morphology : Enlarged lymphnodes, liver, spleen, microscopically – lymphoma cells. Clinical Features : Fever, Wt loss, tumor-Ln, Liver, Spleen.
  • 23.
    Section B Whatdo pathologists do?
  • 24.
    Human Pathology ExperimentalPathology Scope of Pathology
  • 25.
    Human Pathology AutopsyBiopsy Cytology
  • 26.
    Autopsy The internalexamination of the body after death performed scientifically for medical or legal purposes.
  • 27.
  • 28.
  • 29.
  • 30.
  • 31.
  • 32.
    Roles: to clarifythe nature of many diseases. to determine the cause of death and to collect evidence to gather accurate statistics about disease incidence
  • 33.
    Biopsy to establish a precise diagnosis by the removal and examination of tissue from the living body.
  • 34.
    Tissue sections are embedded with paraffin.
  • 35.
    stony hard lumpor mass on palpation
  • 36.
  • 37.
    Diagnosis: Carcinomaof the breast The invasive duct carcinoma usually has an abundant fibrous stroma, so it is also refered to as scirrhous carcinoma. Dense collagenous background
  • 38.
    3 ) CytologySingle cells or clumps of cells exfoliated from their surrounding tissues. Sputum, urine and abdominal fluid
  • 39.
  • 40.
    Pap smear ofCIN-III Large hyperchromatic nuclei, nuclear pleomorphism .There are some interspersed neutrophils with lobated nuclei and much smaller size.
  • 41.
    Diagnosis What is“Diagnosis”? The formal name(s) used to describe a patient’s disease The process of identifying a disease based on the patient’s symptoms, the doctor’s findings, and the results of investigations and laboratory tests What do you need to make a diagnosis? A system of classification that supplies the necessary names, definitions, and criteria The means to ascertain the defining characteristics of a disease in the individual patient
  • 42.
  • 43.
    Clinical Details: 34year , male Neck swelling, 2-3 months, Fever, weight loss, no other lymphadenopathy Lymphnode biopsy done
  • 44.
  • 45.
  • 46.
    Lymphnode Biopsy Largecells Mitotic figures
  • 47.
    Histiocytic/Tcell NHL Diffusepattern – no follicles. Large cells with moderate cytoplasm Plenty of mitotic figures, Nuclei are vesicular prominent nucleoli Features suggest T-cell NHL – malignant lymphoma. Needs further marker studies for typing & management. cancer Chemotherapy.
  • 48.
    Experimental Pathology Invitro: Tissue culture Organ culture Cell culture In vivo: Experimental animals Nude mice
  • 49.
    Cell and tissueculture : cellular environment can be modified and the responses to it monitored.
  • 50.
    Animal experiments : to observe the effect of manipulations on the animal model of disease .
  • 51.
  • 52.
  • 53.
    Section C Howdo pathologists do?
  • 54.
    RESEARCH METHODS Macroscopicobservation Microscopic observation (HE) EM Immunohistochemistry Hybridization Cell Cultures, Medical Microbiology Molecular Pathology PCR Flow cytometry
  • 55.
    Gross Investigation SizeShape Color Weight Morphologic features
  • 56.
    Congestive Splenomegaly: thevolume of the spleen is increased and swollen, red-brown. Irregular tan-white fibrous plaques can be seen over the purple surface.
  • 57.
  • 58.
  • 59.
  • 60.
  • 61.
  • 62.
    Histopathological and CytopathologicalInvestigation The microscopic examination of tissue and cell samples with LM on H.E. sections or smears. Frozen sections sometimes for a very urgent diagnosis and histochemistry.
  • 63.
  • 64.
  • 65.
  • 66.
    3.Electron Microscopic Investigationstudy disorders at an organelle level and subcellular details. transmission and scanning EM
  • 67.
  • 68.
  • 69.
    4.Histochemical and ImmunohistochemicalInvestigation Histochemistry is the study of the chemistry of tissues after treated with specific reagents, so that the chemical features of individual cells can be visualised.
  • 70.
  • 71.
  • 72.
    A masson trichromepreparation shows complete replacement of virtually all glomeruli by blue-staining collagen. Chronic glomerulonephritis:
  • 73.
    Immunohistochemistry Ag-Ab complexesThe bound Ab is then visualized, using another Ab and a dye complex such as diaminobenzidine.
  • 74.
  • 75.
  • 76.
  • 77.
  • 78.
    Section D aboutthe subject of Pathology, How to learn pathology?
  • 79.
    Pathology “ Isthe foundation of medical science and practice. Without pathology, the practice of medicine would be reduced to myths and folklore”
  • 80.
    Pathology The Status of Pathology in Medicine a bridging discipline the clinical practice of medicine basic science
  • 81.
    Learning Pathology: GeneralPathology Common changes in all tissues. E.g.. Inflammation, cancer, ageing. Systemic Pathology Specific changes in organs. E.g.. Goiter, pneumonia, breast cancer.
  • 82.
    General pathology isconcerned with the basic reactions of cells and tissues to abnormal stimuli that underlie all diseases. Systemic pathology examines the specific responses of specialized organs and tissues to more or less well defined stimuli.
  • 83.
    Subdivisions of Pathology:Histopathology Cytopathology Haematology Microbiology Immunology Chemical Pathology Genetics Toxicology Forensic Pathology Histopathologist Cytologist Haematologist Microbiologist Biochemist Geneticist Toxicologist Forensic Pathologist Molecular Biologist
  • 84.
    Chinese proverb Ihear, I forget; I see, I remember; I do, I understand.
  • 85.
    Past and Present….!In the past, .. people mistook magic for medicine…! Now people mistake medicine for magic….!

Editor's Notes