PneumoconiosisPneumoconiosis
Man B PaudyalMan B Paudyal
IOMIOM
Definition
• Non neoplastic lung reaction to inhalation
of mineral dusts encountered in the
workplace.
• Also includes diseases induced by organic,
inorganic particulates and chemical fumes
and vapors.
• Important to diagnose as they are
“occupational lung diseases.”e.g. silica, coal,
asbestos
• Some dusts e.g. tin, iron are innocuous
Nomenclature
• According to the causative agent –
silicosis
• Occupation eg knife grinders
lung=silicosis
Normal protective
mechanisms
• Mucociliary apparatus >10 μm diameter,
deposit in bronchi & bronchioles and
removed in the mucociliary escalator.
• Intra-alveolar macrophages-
phagocytosis of particles &
expectorated. Some go through
interstitium into lymphatics.
• Very Small particles behave like gas &
• exhaled
Normal protective
mechanisms
• Nose & trachea traps all particles >10 μm
& 50% of 3μm
• Mucociliary blanket 2-10 μm removed in
the mucociliary escalator.
• Alveolar macrophages <2 μm removed
• Very small particles are not
phagocytosed,but exhaled.
Factors affecting
fibrogenic potential
• Amount of dust retained in the lung
(concentration, duration, clearence
mechanisms)
• Size, shape and bouyancy of
particles(aerodynamic diameter) (1-5μ size
dangerous sized particles reach the
periphery : bronchioles & alveoli)
• Additional effects of other irritants
(smoking)
• Solubility & physiochemical
• reactivity
Factors affecting (cont…)
• Solubility & cytotoxicity of particles
• Small particles dissolve in pulmonary fluids→
acute toxicity
• Larger,non soluble persist in lung parenchyma
• Some dusts directly penetrate the epithelial
cells into the interstitium.
• Physiochemical reactivity
• Direct injury to tissue (free radicals )e.g.
Quartz
• Fibrosing pneumoconiosis (eg silicosis)
Pathogenesis of fibrosis
• Ingested dusts trigger macrophages to
release chemical mediators that trigger
fibrosis (TNF, IL 1,PDGF).
• Persistent release of factors causes
fibrosis
• Migrating macrophages to lymphatics
trigger immune reaction
• Fibrosis (nodular-silica, interstitial –
• asbestos ??)
Pathogenesis
• Inhalation
• Escape removal by defence apparatus
• Particles penetrate epithelium → direct
injury
• Fibrosis
• Engulfment by alveolar & interstitial
macrophages lymphatics lymph node→ →
(modify immune response )
Coal workers pneumoconiosis
(CWP)
• Associated with coal mining industry
• Carbon + silica (anthracosilicosis)
• Classification
• Asymptomatic anthracosis
(anthracite –coal)
• Simple CWP- no dysfunction
• Complicated CWP- (progressive
massive fibrosis PMF)
Anthracosis (urban
dwellers)
morphology
• Gross Streaks of anthracotic
pigment in lymphatics and draining
hilar lymph nodes
• Microscopy
• Carbon pigment in alveolar and
interstitial macrophages,in
connective tissue and lymphatics
• and lung hilus.
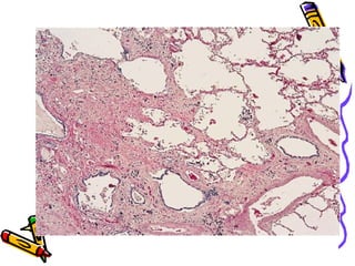
Simple CWP
Gross :Coal macules (1-2mm) & Coal
nodules >upper lobes and upper zones
of lower lobes
Microscopy: Carbon laden macrophages
& delicate collagen fibres. Adjacent
to respiratory bronchioles initially
(where dust settles), later interstium
& alveoli.
Dilatation of respiratory
bronchioles –focal dust emphysema
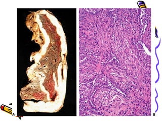
Complicated CWP
• Gross
• Multiple.,>2 cm ,v dark scars
• Microscopy:
• Dense collagen and carbon pigment.
• Central necrosis (+/-)
Clinical course
• Usually asymptomatic with little
decrease of lung function
• PMF pulmonary dysfunction (restrictive)
• Pulmonary hypertension, cor pulmonale
• Progressive even if further exposure to
dust is prevented
• ↑ chronic bronchitis and emphysema
• No association with TB or carcinoma
Caplans syndrome
• 1st
described in coal workers, may be
seen in other pneumoconiosis
• ?? Immunopathologic mechanism
• Rheumatoid arthritis (RA) + Rheumatoid
nodules (Caplan nodules) in the lung
• Rheumatoid arthritis + pneumoconioses
• Caplans nodule = necrosis surrounded by
fibroblasts,monocytes and collagen
• s/s RA > lung symptoms
Silicosis
• Silicosis-nodular fibrosing disease after
20-40 yrs exposure to silica
• Sand blasters,mine workers,stone
cutting,polishing of metals,ceramic
manufacturing etc.
• (Acute silicosis following massive
exposure –alveolar lipoproteinosis like.
Rapidly progressive disease. )
Pathogenesis
• Fibrogenic activity depends on physical form,
association with other minerals.
• Crystalline silica (quartz) more toxic.
• (Amorphous forms talc, mica less toxic)
• Size 0.2-2μm more dangerous
• Silica particles ingested by alveolar
macrophages, kill them and release fibrogenic
factors. Released silica ingested again.
• Recruitment of lymphocytes and macrophages
• Fibrotic silicotic nodule
Gross Morphology
• Discrete pale to black nodules <1cm
dia.
• Upper zone of lungs
• Hard collagenous scars-central
softening
• Fibrosis in hilar lymph nodes and
pleura
• Enlarged fibrotic LN with peripheral
(eggshell) calcification
• PMF nodules >2 cm dia+ silicosis
Microscopy
• Concentric hyalinized collagen
surrounded by condensed
collagen,fibroblasts & lymphocytes.
• Birefringent silica particles
(polarized light)
• Nodules incorporate normal lung
tissue into themselves.
Clinical features
• Early :X Ray fine nodularity in upper zones of
lungs. Eggshell calcification in hilar LN
• PFT normal/moderately affected initially
• PMF: Progressive disease even after exposure
stopped.
• X ray nodules >2 cm dia.
• PFT markedly ↓
• Associated tuberculosis ( CMI)↓
• Carcinogenic ??
Prevention
• Air handling equipment in work place
• Use of face masks.
Asbestos related
diseases
• Fibrous plaques-focal/diffuse
• Pleural effusion
• Parenchymal interstitial fibrosis
(asbestosis-diffuse interstitial
process)
• Lung carcinoma
• Malignant Mesothelioma
• Extrapulmonary malignancies-
larynx,?colon
Asbestos related disease
• Asbestos = unquenchable
• Asbsetos is resistant to physical and
chemical destruction and is
therefore used for fire proofing,
insulation, brake lining etc.
• Construction material
• Ship demolition industry
Forms of asbestos
Serpentine
• Curly,more used in
industry e.g.chrysotile.
• less pathogenic
• Breaks into fragments
• Fibrogenic
• Impacts in upper
airways & removed by
mucociliary apparatus &
more soluble-leached
out
• Not associated with
mesothelioma
Amphibole
• straight & stiff
• e.g. crocidolite
• more pathogenic
• Resists breaking into
fragments
• Fibrogenic
• Align in airstream & go
deep ,penetrate
epithelium,enter
interstitium
• <0.5 μm thick,>8 μm long
more fibrogenic
• Associated with
mesothelioma
Pathogenesis
Fibrogenic potential like other inorganic
dusts
Tumour initiator and promoter
Asbestos fibers localized in distal airways
(close to mesothelium) release reactive
free radicals .
Absorption of carcinogens on asbestos
fibres e.g. smoking
Morphology
• Diffuse pulmonary interstitial
fibrosis
• Begins in the lower lobes &
subpleurally (silica &CWP >upper)
• Honeycomb lung
• Pleural plaques
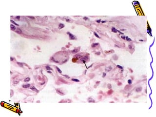
Microscopy
• Interstitial fibrosis around respiratory
bronchioles and alveolar ducts, involves
adjacent alveoli
• Asbestos bodies –golden brown fusiform
or beaded rods with a tranluscent centre
(asbestos fibre coated by iron containing
proteinaceous material)
• Trapping & narrowing of pulmonary
arteries
Clinical course
• Dypsnoea
• Cough with sputum
• May progress to respiratory failure ,
cor pulmonale
• Cancer
Idiopathic pulmonary fibrosis
• This is characterised by diffuse
interstitial inflammation and fibrosis
resulting in severe hypoxemia and
cyanosis in the late stage
• Synonyms:--
• Chronic interstitial pneumonitis
• Hamman-Rich Syndrome
• Cryptogenic fibrosing alveolitis
Pathogenesis
• Sequence of events:--
• Injury to alveolar wall
• Interstitial oedema
• Accumulation of inflammatory
cells(alveolitis)
• Type 1 pneumocytes injured
• Hyperplasia of type2 pneumocyte
• Proliferation of fibroblasts
Pathogenesis(contd.)
• Fibrosis of alveolar walls and alveolar
exudate
• Loss of architecture of lung
• Cause:-?immune mechanism
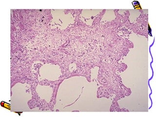
Morphology(contd..)
• END-STAGE:-
• Spaces lined by cuboidal /columnar
epithelium separated by
inflammatory fibrous tissue(Honey-
comb lung)
• (end stage lung same in all conditions)
Pneumoconiosis

Pneumoconiosis

  • 1.
  • 2.
    Definition • Non neoplasticlung reaction to inhalation of mineral dusts encountered in the workplace. • Also includes diseases induced by organic, inorganic particulates and chemical fumes and vapors. • Important to diagnose as they are “occupational lung diseases.”e.g. silica, coal, asbestos • Some dusts e.g. tin, iron are innocuous
  • 3.
    Nomenclature • According tothe causative agent – silicosis • Occupation eg knife grinders lung=silicosis
  • 5.
    Normal protective mechanisms • Mucociliaryapparatus >10 μm diameter, deposit in bronchi & bronchioles and removed in the mucociliary escalator. • Intra-alveolar macrophages- phagocytosis of particles & expectorated. Some go through interstitium into lymphatics. • Very Small particles behave like gas & • exhaled
  • 6.
    Normal protective mechanisms • Nose& trachea traps all particles >10 μm & 50% of 3μm • Mucociliary blanket 2-10 μm removed in the mucociliary escalator. • Alveolar macrophages <2 μm removed • Very small particles are not phagocytosed,but exhaled.
  • 7.
    Factors affecting fibrogenic potential •Amount of dust retained in the lung (concentration, duration, clearence mechanisms) • Size, shape and bouyancy of particles(aerodynamic diameter) (1-5μ size dangerous sized particles reach the periphery : bronchioles & alveoli) • Additional effects of other irritants (smoking) • Solubility & physiochemical • reactivity
  • 8.
    Factors affecting (cont…) •Solubility & cytotoxicity of particles • Small particles dissolve in pulmonary fluids→ acute toxicity • Larger,non soluble persist in lung parenchyma • Some dusts directly penetrate the epithelial cells into the interstitium. • Physiochemical reactivity • Direct injury to tissue (free radicals )e.g. Quartz • Fibrosing pneumoconiosis (eg silicosis)
  • 9.
    Pathogenesis of fibrosis •Ingested dusts trigger macrophages to release chemical mediators that trigger fibrosis (TNF, IL 1,PDGF). • Persistent release of factors causes fibrosis • Migrating macrophages to lymphatics trigger immune reaction • Fibrosis (nodular-silica, interstitial – • asbestos ??)
  • 10.
    Pathogenesis • Inhalation • Escaperemoval by defence apparatus • Particles penetrate epithelium → direct injury • Fibrosis • Engulfment by alveolar & interstitial macrophages lymphatics lymph node→ → (modify immune response )
  • 11.
    Coal workers pneumoconiosis (CWP) •Associated with coal mining industry • Carbon + silica (anthracosilicosis) • Classification • Asymptomatic anthracosis (anthracite –coal) • Simple CWP- no dysfunction • Complicated CWP- (progressive massive fibrosis PMF)
  • 12.
    Anthracosis (urban dwellers) morphology • GrossStreaks of anthracotic pigment in lymphatics and draining hilar lymph nodes • Microscopy • Carbon pigment in alveolar and interstitial macrophages,in connective tissue and lymphatics • and lung hilus.
  • 13.
    Simple CWP Gross :Coalmacules (1-2mm) & Coal nodules >upper lobes and upper zones of lower lobes Microscopy: Carbon laden macrophages & delicate collagen fibres. Adjacent to respiratory bronchioles initially (where dust settles), later interstium & alveoli. Dilatation of respiratory bronchioles –focal dust emphysema
  • 14.
    Complicated CWP • Gross •Multiple.,>2 cm ,v dark scars • Microscopy: • Dense collagen and carbon pigment. • Central necrosis (+/-)
  • 15.
    Clinical course • Usuallyasymptomatic with little decrease of lung function • PMF pulmonary dysfunction (restrictive) • Pulmonary hypertension, cor pulmonale • Progressive even if further exposure to dust is prevented • ↑ chronic bronchitis and emphysema • No association with TB or carcinoma
  • 20.
    Caplans syndrome • 1st describedin coal workers, may be seen in other pneumoconiosis • ?? Immunopathologic mechanism • Rheumatoid arthritis (RA) + Rheumatoid nodules (Caplan nodules) in the lung • Rheumatoid arthritis + pneumoconioses • Caplans nodule = necrosis surrounded by fibroblasts,monocytes and collagen • s/s RA > lung symptoms
  • 21.
    Silicosis • Silicosis-nodular fibrosingdisease after 20-40 yrs exposure to silica • Sand blasters,mine workers,stone cutting,polishing of metals,ceramic manufacturing etc. • (Acute silicosis following massive exposure –alveolar lipoproteinosis like. Rapidly progressive disease. )
  • 22.
    Pathogenesis • Fibrogenic activitydepends on physical form, association with other minerals. • Crystalline silica (quartz) more toxic. • (Amorphous forms talc, mica less toxic) • Size 0.2-2μm more dangerous • Silica particles ingested by alveolar macrophages, kill them and release fibrogenic factors. Released silica ingested again. • Recruitment of lymphocytes and macrophages • Fibrotic silicotic nodule
  • 23.
    Gross Morphology • Discretepale to black nodules <1cm dia. • Upper zone of lungs • Hard collagenous scars-central softening • Fibrosis in hilar lymph nodes and pleura • Enlarged fibrotic LN with peripheral (eggshell) calcification • PMF nodules >2 cm dia+ silicosis
  • 24.
    Microscopy • Concentric hyalinizedcollagen surrounded by condensed collagen,fibroblasts & lymphocytes. • Birefringent silica particles (polarized light) • Nodules incorporate normal lung tissue into themselves.
  • 26.
    Clinical features • Early:X Ray fine nodularity in upper zones of lungs. Eggshell calcification in hilar LN • PFT normal/moderately affected initially • PMF: Progressive disease even after exposure stopped. • X ray nodules >2 cm dia. • PFT markedly ↓ • Associated tuberculosis ( CMI)↓ • Carcinogenic ??
  • 27.
    Prevention • Air handlingequipment in work place • Use of face masks.
  • 28.
    Asbestos related diseases • Fibrousplaques-focal/diffuse • Pleural effusion • Parenchymal interstitial fibrosis (asbestosis-diffuse interstitial process) • Lung carcinoma • Malignant Mesothelioma • Extrapulmonary malignancies- larynx,?colon
  • 29.
    Asbestos related disease •Asbestos = unquenchable • Asbsetos is resistant to physical and chemical destruction and is therefore used for fire proofing, insulation, brake lining etc. • Construction material • Ship demolition industry
  • 30.
    Forms of asbestos Serpentine •Curly,more used in industry e.g.chrysotile. • less pathogenic • Breaks into fragments • Fibrogenic • Impacts in upper airways & removed by mucociliary apparatus & more soluble-leached out • Not associated with mesothelioma Amphibole • straight & stiff • e.g. crocidolite • more pathogenic • Resists breaking into fragments • Fibrogenic • Align in airstream & go deep ,penetrate epithelium,enter interstitium • <0.5 μm thick,>8 μm long more fibrogenic • Associated with mesothelioma
  • 31.
    Pathogenesis Fibrogenic potential likeother inorganic dusts Tumour initiator and promoter Asbestos fibers localized in distal airways (close to mesothelium) release reactive free radicals . Absorption of carcinogens on asbestos fibres e.g. smoking
  • 32.
    Morphology • Diffuse pulmonaryinterstitial fibrosis • Begins in the lower lobes & subpleurally (silica &CWP >upper) • Honeycomb lung • Pleural plaques
  • 33.
    Microscopy • Interstitial fibrosisaround respiratory bronchioles and alveolar ducts, involves adjacent alveoli • Asbestos bodies –golden brown fusiform or beaded rods with a tranluscent centre (asbestos fibre coated by iron containing proteinaceous material) • Trapping & narrowing of pulmonary arteries
  • 38.
    Clinical course • Dypsnoea •Cough with sputum • May progress to respiratory failure , cor pulmonale • Cancer
  • 42.
    Idiopathic pulmonary fibrosis •This is characterised by diffuse interstitial inflammation and fibrosis resulting in severe hypoxemia and cyanosis in the late stage • Synonyms:-- • Chronic interstitial pneumonitis • Hamman-Rich Syndrome • Cryptogenic fibrosing alveolitis
  • 43.
    Pathogenesis • Sequence ofevents:-- • Injury to alveolar wall • Interstitial oedema • Accumulation of inflammatory cells(alveolitis) • Type 1 pneumocytes injured • Hyperplasia of type2 pneumocyte • Proliferation of fibroblasts
  • 44.
    Pathogenesis(contd.) • Fibrosis ofalveolar walls and alveolar exudate • Loss of architecture of lung • Cause:-?immune mechanism
  • 46.
    Morphology(contd..) • END-STAGE:- • Spaceslined by cuboidal /columnar epithelium separated by inflammatory fibrous tissue(Honey- comb lung) • (end stage lung same in all conditions)