2014/9/20 Huang Guan-Lin M.D.
20歲男性周末狂歡 
跟旁人對傳播妹爭風吃醋 
步入急診室,據傳被用長達10公分的扁鑽刺入 
生命徵象BP:130/85 HR:98 BT:37.6 
急診醫師嘗試床邊診視傷口但因為傷口較深而無法得知是否深入腹膜 
且傷口附近持續在滲血, no peritoneal sign
How to manage this patient?
Indications for laparotomy 
• Hemodynamic unstable 
• Peritoneal irritation/diffuse abdominal pain >> S/S 
• Fascia penetration 
• Gunshot wound with transperitoneal path 
Symptoms? 
Yes No 
Hemodynamic 
stable 
Yes OP OP 
no OP ????
• Hemodynamic stable 
 Knife/gunshot 
 Distance 
 Blood loss 
• Gun shot injury: 98% peritoneal penetration 
• Stabbing injury: 30% intraperitoneal injury
What do I do in ER?
• Seems no emergent OP problem/active bleeding now 
• On IV, check the CBC, prepare blood 
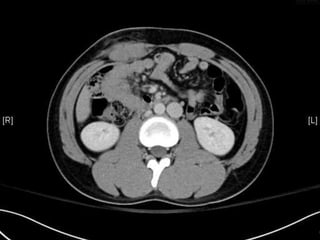
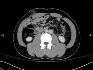
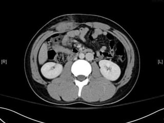
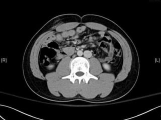
• FAST / abdominal CT >internal bleeding/emergent OP indication
• Seems no emergent OP problem/active bleeding now 
• On IV, check the CBC, prepare blood 
• FAST / abdominal CT >internal bleeding/emergent OP indication 
• Patient easy, CT report. Intend to let him MBD in AM8:00 
• Duty VS consult GS CR…
• My question is … 
Other examination? 
How long in obs room? 
Is there any evidence support the Tx? 
Possibility of laparotomy in obs pts?
Symptoms? 
Yes No 
Hemodynamic 
stable 
Yes OP OP 
no OP NOM 
NOM= 
SELECTIVE NON OPERATIVE MANEGEMENT
Q1: 
In stable stab wd pts, 
rationale for early laparotomy?
Nancy(1969), New Orleans charity hospital 
Unnecessary laparotomy Complication in 
Unnecessary laparotomy 
Early laparotomy 66% 24% 
Clinical judgement 25% 0% 
Friedmann(1968):70%negative laparotomy rate in mandatory laparotomy 
Lee(1984): 7.8% negative laparotomy rate in selective management 
initial presentation and examination accuracy: 88%
Morbidity of 
nontherapeutic laparotomy
• Complications of laparotomy(41.3%) 
 Atelectasis:41.3% 
 Pleural effusion:9.8% 
 Pneumothorax:5.2% 
 Pneumonia:3.9% 
Mortality:0.8% 
• Hospital stay: 
Uncomplicated : 5.1days 
Complicated: 11.9 days 
J Trauma. 1995;38:350-356 
Am surg 1994;60:744-747
Q2: 
Gun-shot injury on selective NOM?
• Still in controversy 
• If NOM was chosen, need other examination 
Lowe, 1977, retrospective review of 362 pts with GSW 
108 pts Tangential injury, NOM 
254 pts Suspect penetrating visceral cavity 
97.6% need surgical repair 
Velmahos, 2001, retrospective 792 pts with NOM GSW 
80 pts Delayed laparotomy, therapeutic rate:72% 
712 pts NOM 
Routine 
laparotomy 
47% false negative
Q3: 
Local wound exploration feasible?
• Negative fascia penetration: conservative TX 
• Positive fascia penetration: mandatory op? 
 Fabian(1993): negative laparotomy rate 50% 
• Still further investigation if fascia penetration
Q4: 
Better adjuncts examination for selective NOM?
• ECHO: not enough data 
• Angiography: not enough data 
• DPL: high sen, spe, accuracy in old times 
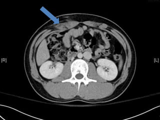
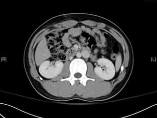
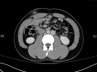
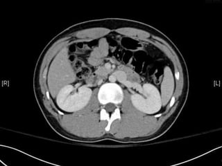
• CT: 
 Shanmuganathan(2004) 
 Sen:97%, spe:98%, accuracy:98% in penetrating stab wds 
 Velmahos(2005) 
 GSW: Sen 90.5, Spe: 96% 
Radiology 2004:231:775-784 
J trauma 2005:59:1155-1161
Q5 
How long would be the observation time?
• MBD after 24hrs obs with minimal or no 
abdominal tenderness 
• Alzamel(2005) 
 Retrospective 650pts with NOM and delayed 
laparotomy in 12hrs 
• Velmehos(1997) 
 stable, tolerate food after 24hrs(1856pts)
TAKE HOME MESSAGE 
NOM indication 
Stab wound: rationale for NOM 
Gun shot wound: still in debates 
Examination: CT 
OBS time:24hrs 
Huang Guan-Lin M.D. 
Kaohsiung CGMH urology department
• Stab wound: 
liver > small bowel > diaphragm >colon 
• Gunshot wound: 
small bowel > colon > liver >abdominal 
vascular
ATLS textbook 
• Easy miss diagnosis 
 Hollow viscus rupture 
 Solid organ bleeding 
 Bony pelvis bleeding 
• Significant blood loss may present in 
 No dramatic change in appearance 
 No obvious change in peritoneal sign

Penetrating injury

  • 1.
  • 2.
    20歲男性周末狂歡 跟旁人對傳播妹爭風吃醋 步入急診室,據傳被用長達10公分的扁鑽刺入 生命徵象BP:130/85 HR:98 BT:37.6 急診醫師嘗試床邊診視傷口但因為傷口較深而無法得知是否深入腹膜 且傷口附近持續在滲血, no peritoneal sign
  • 3.
    How to managethis patient?
  • 4.
    Indications for laparotomy • Hemodynamic unstable • Peritoneal irritation/diffuse abdominal pain >> S/S • Fascia penetration • Gunshot wound with transperitoneal path Symptoms? Yes No Hemodynamic stable Yes OP OP no OP ????
  • 5.
    • Hemodynamic stable  Knife/gunshot  Distance  Blood loss • Gun shot injury: 98% peritoneal penetration • Stabbing injury: 30% intraperitoneal injury
  • 6.
    What do Ido in ER?
  • 7.
    • Seems noemergent OP problem/active bleeding now • On IV, check the CBC, prepare blood • FAST / abdominal CT >internal bleeding/emergent OP indication
  • 20.
    • Seems noemergent OP problem/active bleeding now • On IV, check the CBC, prepare blood • FAST / abdominal CT >internal bleeding/emergent OP indication • Patient easy, CT report. Intend to let him MBD in AM8:00 • Duty VS consult GS CR…
  • 21.
    • My questionis … Other examination? How long in obs room? Is there any evidence support the Tx? Possibility of laparotomy in obs pts?
  • 23.
    Symptoms? Yes No Hemodynamic stable Yes OP OP no OP NOM NOM= SELECTIVE NON OPERATIVE MANEGEMENT
  • 24.
    Q1: In stablestab wd pts, rationale for early laparotomy?
  • 25.
    Nancy(1969), New Orleanscharity hospital Unnecessary laparotomy Complication in Unnecessary laparotomy Early laparotomy 66% 24% Clinical judgement 25% 0% Friedmann(1968):70%negative laparotomy rate in mandatory laparotomy Lee(1984): 7.8% negative laparotomy rate in selective management initial presentation and examination accuracy: 88%
  • 26.
  • 27.
    • Complications oflaparotomy(41.3%)  Atelectasis:41.3%  Pleural effusion:9.8%  Pneumothorax:5.2%  Pneumonia:3.9% Mortality:0.8% • Hospital stay: Uncomplicated : 5.1days Complicated: 11.9 days J Trauma. 1995;38:350-356 Am surg 1994;60:744-747
  • 28.
    Q2: Gun-shot injuryon selective NOM?
  • 29.
    • Still incontroversy • If NOM was chosen, need other examination Lowe, 1977, retrospective review of 362 pts with GSW 108 pts Tangential injury, NOM 254 pts Suspect penetrating visceral cavity 97.6% need surgical repair Velmahos, 2001, retrospective 792 pts with NOM GSW 80 pts Delayed laparotomy, therapeutic rate:72% 712 pts NOM Routine laparotomy 47% false negative
  • 30.
    Q3: Local woundexploration feasible?
  • 31.
    • Negative fasciapenetration: conservative TX • Positive fascia penetration: mandatory op?  Fabian(1993): negative laparotomy rate 50% • Still further investigation if fascia penetration
  • 32.
    Q4: Better adjunctsexamination for selective NOM?
  • 33.
    • ECHO: notenough data • Angiography: not enough data • DPL: high sen, spe, accuracy in old times • CT:  Shanmuganathan(2004)  Sen:97%, spe:98%, accuracy:98% in penetrating stab wds  Velmahos(2005)  GSW: Sen 90.5, Spe: 96% Radiology 2004:231:775-784 J trauma 2005:59:1155-1161
  • 34.
    Q5 How longwould be the observation time?
  • 35.
    • MBD after24hrs obs with minimal or no abdominal tenderness • Alzamel(2005)  Retrospective 650pts with NOM and delayed laparotomy in 12hrs • Velmehos(1997)  stable, tolerate food after 24hrs(1856pts)
  • 36.
    TAKE HOME MESSAGE NOM indication Stab wound: rationale for NOM Gun shot wound: still in debates Examination: CT OBS time:24hrs Huang Guan-Lin M.D. Kaohsiung CGMH urology department
  • 37.
    • Stab wound: liver > small bowel > diaphragm >colon • Gunshot wound: small bowel > colon > liver >abdominal vascular
  • 38.
    ATLS textbook •Easy miss diagnosis  Hollow viscus rupture  Solid organ bleeding  Bony pelvis bleeding • Significant blood loss may present in  No dramatic change in appearance  No obvious change in peritoneal sign