ABDOMINAL TRAUMA G.Githsuhan
ABDOMINAL TRAUMA
1. Blunt Abdominal Trauma
2. Penetrating Abdominal
Trauma
1. Hemodynamically ‘Normal’,
2. Hemodynamically Stable
3. Hemodynamically Unstable
ABSOLUTE INDICATIONS FOR A
LAPAROTOMY:
1. Hemodynamic lability – Hypotension with a distended abdomen
2. Peritoneal signs
3. Free air
4. Bleeding from an orifice
5. Impaled object
6. Peritonitis
Local wound exploration is positive – anterior fascial penetration  Laparatomy
MANAGEMENT OF ABDOMINAL
TRAUMA
1. ATLS – Advanced Trauma Life Support ABCDE,
2. Classifying Patient as Hemodynamically Normal, Stable and
Unstable.
3. Treatment Based on the patients hemodynamic state and type of
injury.
Note: Blood is not an irritant of the peritoneum and therefore and
does not cause any pain initially!
MOST APPROPRIATE
INVESTIGATIONS
•Serial Abdominal Physical Examinations
Radiographic Examinations only in Hemodynamically normal or stable
patients!
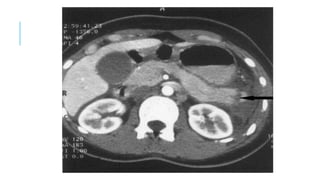
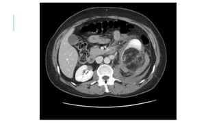
•Abdominal CT with contrast
•Plain Abdominal Radiographs
•Diagnostic Peritoneal Lavage (DPL)
•FAST (Focused Abdominal Sonogram for Trauma)
•Diagnostic Laparascopy
SUSPECT ABDOMINAL TRAUMA
Injury Below:
 Nipple Line Anteriorly
 Tip of scapula Posteriorly
FAST
DIAGNOSTIC PERITONEAL LAVAGE
Aspirated, if negative, a liter of NS is infused and aspirated
Positive if:
10 mL gross blood on aspiration
>100,000 red blood cells/mm3
>500 white blood cells/mm3
Bacteria
Bile
Food particles
HEMODYNAMICALLY
UNSTABLE
GOALS OF TREATMENT
Stop Bleeding and
Gastrointestinal Contamination.
Contamination is controlled by
Clamps or Temporary Sutures
Proceed to clamping if bleeding
visible, packing if not.
FOLLOWING CELIOTOMY
Abdominal Packing
If Packing does not control bleeding, source of bleed must be
controlled first!
Massive Transfusion Protocol - >10 pRBC in 24h.
Clamp the mesenteric bleeders
Stop
Blunt injuries- liver, spleen, and mesentery
Penetrating injuries - liver, retroperitoneal vascular structures, and
mesentery, based on trajectory of the weapon or bullets
ABDOMINAL VASCULAR INJURY
MANAGEMENT
Control Aortic and IVC bleeds before proceeding to solid organs.
Hematomas evacuated after controlling bleeding.
Manually apply pressure when removing pads for examination
LEFT SIDED MEDIAL VISCERAL
ROTATION
RIGHT SIDED MEDIAL VISCERAL
ROTATION
DAMAGE CONTROL SURGERY
Initial operation controlling only hemorrhage and contamination
and allow aggressive resuscitation in the intensive care unit (ICU).
ORGAN SPECIFIC
TREATMENT
DIAPHGRAM
Hard to Diagnose.
Usually on CT or Laprascopy or
Laparatomy
Future Herniation or
strangulation if not treated.
Treated with non absorbable
sutures or mesh.
Flaps if contaminated, from:
Lat. Dorsi, omentum or biologic
grafts
LIVER
4 Ps:
Push – Directly on liver
Pringle
Plug – Visible holes can be
plugged
Pack – Above and below in the
recesses
AAST CLASSIFICATION
Grades V, VI most likely to fail Non operative Management
BLT – Blunt Liver Trauma
IR - Drainage
CRITERIA FOR NOM
•Hemodynamic stability
•Absence of peritoneal signs
•Lack of continued need for transfusion for the hepatic injury;
bleeding can be addressed with angioembolization.
BLEEDING CONTROL
If bleeding not controlled by
pringles, suggests hepatic vein
injury,
If within liver – Hepatoraphy or
Resection.
Mobilise Left or Right lobes to
expose vein injury and bleeding
outside the liver.
SURGERY:
long midline incision or bilateral
subcostal incision. Right lobe
exploration might require subcostal
extension of midline incision.
Grades I – III : electrocautery,
simple suture, or hemostatic agents
Do not pack directly into liver
lacerations. – Distract or even
exacerbate bleeding
1. Pack around liver.
2. If packing does not stop bleeding
 Pringles maneuver
(10 to 15 minutes on, 5 minutes
off) to reduce hepatic ischemia
3. Hepatoraphy  Finger fracture
technique – ligation of bleeding
vessels
4. Nonanatomic lobectomy with
staplers are safe
5. Delayed anatomic resection if
packing stops bleeding
6. Closed suction drains for grade
III-IV
Intraoperative cholangiogram or
saline injection for leaks in bile
tract after major operation on the
liver. This is usually after the
Damage control surgery on the
second operation.
Penetrating wounds of liver –
Bleeding stopped by tamponade
by panrose drains.
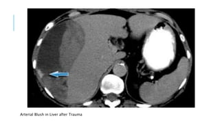
Arterial Blush in Liver after Trauma
COMPLICATIONS OF LIVER INJURY
Recurrent Bleeding
Hemobilia
Intrahepatic or perihepatic abscess
Bilioma
Biliary Fistula
Extrahepatic Bile duct injury uncommon.
SPLEEN
Kehrs Sign- Pain referred to Left shoulder
Can be:
 Packed
 Placed in a Mesh Bag
 Repaired
Angioembolism
Splenectomy is safer in an unstable patient with multiple bleeds from
spleen and age >55yo.
Following splenectomy, rising platelet and WBC may indicate sepsis.
Non operative management of pediatric spleen injury is highly successful >90% irrespective of the grade.
SPLEEN INJURY MANAGEMENT
Grades I–II: Topical hemostatic agents, argon beam coagulator, or
electrocautery
Grades II-III: Suture repair, or mesh wrap – Suture repair requires Teflon
pledgets
Grades III-IV: anatomic resection with ligation of the lobar artery
Grades V: Splenectomy
*Splenorraphy requires 1/3 of intact spleen.
*Drainage of splenic fossa should be avoided due
to increased risk of subphrenic abscess.
*Vessels in gastrosplenic ligament divided close to spleen
STOMACH
Usually with penetrating injuries,
Primary repair with single layer with non-absorbable suture or as a
double-layer closure with an absorbable suture with the first layer
and the second layer with non-absorbable
sutures
Will require copious abdominal lavage.
SMALL INTESTINE
Most common following penetrating injuries.
CT can help detect Bowel injury in blunt trauma
Stop Bleeding, Resect intestine if necessary, close enterotomies with
single layer non absorbable suture.
If edges necrosed, debrid prior to closure.
Bowel Decompression for 12 – 24h following surgery.
Antibiotics preoperatively.
Proceed to Segmental resection
COLON AND RECTUM
Colon injuries closed with primary suture. If extensive damage or not
possible, segmental resection.
proximal segment can be anastomosed to the distal segment
or a proximal ostomy and Hartmann’s procedure can be performed
If distal segment is long – mucosal fistula is made
Rectal injury below peritoneal reflection necissate a diverting
colostomy.
Lower 1/3 injuries might require presacral drainage.
PANCREAS
Subtle clinical signs.
Serum hyperamylasemia –Neither
sensitive nor specific
CT scans – repeat if with
hyperamylasemia
Abdominal Pain, tenderness,
ecchymosis – Absence does not
exclude diagnosis
ERCP – Most sensitive but not
clinically applicable
AAST CLASSIFICATION
INTRAOPERATIVE DIAGNOSIS OF
PANCREATIC TRAUMA
Visual examination and bimanual
palpation.
Pancreas visualized by opening
gastrocolic ligaments and
entering lesser sac
Intraoperative pancreatography
with dueodenotomy is possible
but is not recommended.
TREATMENT OF PANCREATIC
INJURY
1. Control hemorrhage
2. Debride devitalized pancreas
3. Preserve maximal amount of
viable pancreatic tissue
4. Wide drainage with closed-
suction drains
5. Feeding jejunostomy with
significant lesions
AAST Grade I to II -
Debridement and external
drainage
AAST Grade III – Distal
pancreatectomy – distal to SMA-
Closed with stapler or Non abs.
suture
AAST Grade IV – V – Wide
drainage or
pancreaticoduodenectomy
INDICATIONS FOR
PANCREATICODUODENECTOMY
Massive disruption of the pancreatic head with uncontrolled
hemorrhage
massive hemorrhage from adjacent vascular structures
severe combined duodenal, pancreatic, and biliary injuries.
If pancreaticoduodenectomy is indicated: initial resection and
delayed reconstruction (24 to 48 hours) may facilitate anastomotic reconstruction.
DUODENAL INJURY
Diagnosis based on mechanism of injury
CT signs – Paraduodenal hemorrhage, air or contrast leak
Upper Gastrointestinal studies – X-rays with water soluble contrast.
DPL – Has low sensitivity
Intraduodenal hematoma- UGI study with gastrograffin q7 days.
 nasogastric suction and IV alimentation
If noted on laparotomy hematoma can be evacuated through serosa.
Duodenal Perforation is treated operatively:
 Transverse primary closure
 Duodenal decompression by retrograde jejunostomy or lateral tube duedonostomy.
3TUBE TECHNIQUE
• Gastrostomy tube to
decompress the stomach,
• Retrograde jejunostomy to
decompress the duodenum
• Antegrade jejunostomy to feed
the patient
PYLORIC EXCLUSION
For duodenal injury or pancreatic
injury
RENAL INJURIES
For Hemodynamically Stable patients – Non operative management
for all Grades of injury.
Operative exploration in Grades IV and V and in unstable patients.
An IVP can be performed before exploration in case a nephrectomy
becomes necessary.
Vascular control by midline transperitoneal approach.
Urinomas and abscesses are drained percutaneously.
URETERAL INJURIES
Ureteroureterostomy
ureteropyelostomy
Ureterocalicostomy
Transureteroureterostomy
Boari bladder flap
BOARI BLADDER FLAP
RETROPERITONEAL HEMATOMAS
Zone I – Mandatory Exploration
retroperitoneal hematoma
any zone requires exploration for
all penetrating injuries
Zone II retroperitoneal
hematomas resulting from blunt
trauma
Zone III explored only if
penetrating injury. Blunt trauma
usually causes venous bleeding
which requires fixation.
ABDOMINAL COMPARTMENT
SYNDROME
Primary ACS - caused by a condition associated with injury or disease
in theabdominopelvic region that frequently requires surgical or
interventional radiologic intervention, or a condition that develops
following abdominal surgery.
Seconday ACS - caused by conditions that do not originate from the
abdomen such as sepsis with associated capillary leak, major burns,
major soft tissue and skeletal trauma, or other conditions requiring
massive fluid resuscitation.
ACS DIAGNOSIS
Bladder Pressure Measurement,
ACS is defined as Sustained IAP of 15 -20 mmHg with or without
Abdominal Perfusion Pressure(APP) <60 mmHg with single or Multi
organ dysfunction
ACS MANAGEMENT
Serial Monitoring of IAP,
Sedation, Analgesia to relax abdominal wall muscles
Percutaneous decompression
Fluid Restriction, Diuresis, Hemofiltration
Surgical Decompression
Prepare for reperfusion syndrome – 2/4 Amps of Sodium Bicarbonate
Minimally Invasive Therapy – subcutaneous release of linea alba – mostly for
Secondary ACS
Open abdomen – Temporary closure - VAC, Prosthetic coverage
Decompression if IAP >15mmHg with physiologic decompromise
ABX FOR PENETRATING
ABDOMINAL TRAUMA
1st line: Co-amoxiclav 1.2g IV q8h + Metronidazole 500mg IV q8h
2nd: Cefuroxime 750 mg q8h + Metronidazole 500mg IV q8h
Cefoxitin 1.5g q6h or 30 mins prior to surgery or anyother 2nd gen
cephalosporin <24h
Srilankan:
US:
BIBILIOGRAPHY
Acute Care Surgery 1st Edition 2012
Tintinallis Emergency Medicine A Comprehensive Study Guide 8th
Edition 2016
Trauma and Acute care surgery 4th Edition 2014
Bailey and Loves Short Practice of Surgery 26th Edition
Srilankan National Antibiotic Guidelines 2016

Abdominal trauma and Management

  • 1.
  • 2.
    ABDOMINAL TRAUMA 1. BluntAbdominal Trauma 2. Penetrating Abdominal Trauma 1. Hemodynamically ‘Normal’, 2. Hemodynamically Stable 3. Hemodynamically Unstable
  • 3.
    ABSOLUTE INDICATIONS FORA LAPAROTOMY: 1. Hemodynamic lability – Hypotension with a distended abdomen 2. Peritoneal signs 3. Free air 4. Bleeding from an orifice 5. Impaled object 6. Peritonitis Local wound exploration is positive – anterior fascial penetration  Laparatomy
  • 4.
    MANAGEMENT OF ABDOMINAL TRAUMA 1.ATLS – Advanced Trauma Life Support ABCDE, 2. Classifying Patient as Hemodynamically Normal, Stable and Unstable. 3. Treatment Based on the patients hemodynamic state and type of injury. Note: Blood is not an irritant of the peritoneum and therefore and does not cause any pain initially!
  • 5.
    MOST APPROPRIATE INVESTIGATIONS •Serial AbdominalPhysical Examinations Radiographic Examinations only in Hemodynamically normal or stable patients! •Abdominal CT with contrast •Plain Abdominal Radiographs •Diagnostic Peritoneal Lavage (DPL) •FAST (Focused Abdominal Sonogram for Trauma) •Diagnostic Laparascopy
  • 6.
    SUSPECT ABDOMINAL TRAUMA InjuryBelow:  Nipple Line Anteriorly  Tip of scapula Posteriorly
  • 7.
  • 9.
    DIAGNOSTIC PERITONEAL LAVAGE Aspirated,if negative, a liter of NS is infused and aspirated Positive if: 10 mL gross blood on aspiration >100,000 red blood cells/mm3 >500 white blood cells/mm3 Bacteria Bile Food particles
  • 10.
  • 12.
    GOALS OF TREATMENT StopBleeding and Gastrointestinal Contamination. Contamination is controlled by Clamps or Temporary Sutures Proceed to clamping if bleeding visible, packing if not.
  • 13.
    FOLLOWING CELIOTOMY Abdominal Packing IfPacking does not control bleeding, source of bleed must be controlled first! Massive Transfusion Protocol - >10 pRBC in 24h. Clamp the mesenteric bleeders Stop Blunt injuries- liver, spleen, and mesentery Penetrating injuries - liver, retroperitoneal vascular structures, and mesentery, based on trajectory of the weapon or bullets
  • 15.
  • 16.
    MANAGEMENT Control Aortic andIVC bleeds before proceeding to solid organs. Hematomas evacuated after controlling bleeding. Manually apply pressure when removing pads for examination
  • 17.
    LEFT SIDED MEDIALVISCERAL ROTATION
  • 18.
    RIGHT SIDED MEDIALVISCERAL ROTATION
  • 19.
    DAMAGE CONTROL SURGERY Initialoperation controlling only hemorrhage and contamination and allow aggressive resuscitation in the intensive care unit (ICU).
  • 21.
  • 22.
    DIAPHGRAM Hard to Diagnose. Usuallyon CT or Laprascopy or Laparatomy Future Herniation or strangulation if not treated. Treated with non absorbable sutures or mesh. Flaps if contaminated, from: Lat. Dorsi, omentum or biologic grafts
  • 23.
    LIVER 4 Ps: Push –Directly on liver Pringle Plug – Visible holes can be plugged Pack – Above and below in the recesses
  • 24.
    AAST CLASSIFICATION Grades V,VI most likely to fail Non operative Management
  • 25.
    BLT – BluntLiver Trauma IR - Drainage
  • 26.
    CRITERIA FOR NOM •Hemodynamicstability •Absence of peritoneal signs •Lack of continued need for transfusion for the hepatic injury; bleeding can be addressed with angioembolization.
  • 27.
    BLEEDING CONTROL If bleedingnot controlled by pringles, suggests hepatic vein injury, If within liver – Hepatoraphy or Resection. Mobilise Left or Right lobes to expose vein injury and bleeding outside the liver.
  • 28.
    SURGERY: long midline incisionor bilateral subcostal incision. Right lobe exploration might require subcostal extension of midline incision. Grades I – III : electrocautery, simple suture, or hemostatic agents Do not pack directly into liver lacerations. – Distract or even exacerbate bleeding 1. Pack around liver. 2. If packing does not stop bleeding  Pringles maneuver (10 to 15 minutes on, 5 minutes off) to reduce hepatic ischemia 3. Hepatoraphy  Finger fracture technique – ligation of bleeding vessels 4. Nonanatomic lobectomy with staplers are safe 5. Delayed anatomic resection if packing stops bleeding 6. Closed suction drains for grade III-IV
  • 29.
    Intraoperative cholangiogram or salineinjection for leaks in bile tract after major operation on the liver. This is usually after the Damage control surgery on the second operation. Penetrating wounds of liver – Bleeding stopped by tamponade by panrose drains.
  • 30.
    Arterial Blush inLiver after Trauma
  • 31.
    COMPLICATIONS OF LIVERINJURY Recurrent Bleeding Hemobilia Intrahepatic or perihepatic abscess Bilioma Biliary Fistula Extrahepatic Bile duct injury uncommon.
  • 32.
    SPLEEN Kehrs Sign- Painreferred to Left shoulder Can be:  Packed  Placed in a Mesh Bag  Repaired Angioembolism Splenectomy is safer in an unstable patient with multiple bleeds from spleen and age >55yo. Following splenectomy, rising platelet and WBC may indicate sepsis. Non operative management of pediatric spleen injury is highly successful >90% irrespective of the grade.
  • 34.
    SPLEEN INJURY MANAGEMENT GradesI–II: Topical hemostatic agents, argon beam coagulator, or electrocautery Grades II-III: Suture repair, or mesh wrap – Suture repair requires Teflon pledgets Grades III-IV: anatomic resection with ligation of the lobar artery Grades V: Splenectomy *Splenorraphy requires 1/3 of intact spleen. *Drainage of splenic fossa should be avoided due to increased risk of subphrenic abscess. *Vessels in gastrosplenic ligament divided close to spleen
  • 35.
    STOMACH Usually with penetratinginjuries, Primary repair with single layer with non-absorbable suture or as a double-layer closure with an absorbable suture with the first layer and the second layer with non-absorbable sutures Will require copious abdominal lavage.
  • 36.
    SMALL INTESTINE Most commonfollowing penetrating injuries. CT can help detect Bowel injury in blunt trauma Stop Bleeding, Resect intestine if necessary, close enterotomies with single layer non absorbable suture. If edges necrosed, debrid prior to closure. Bowel Decompression for 12 – 24h following surgery. Antibiotics preoperatively.
  • 37.
  • 38.
    COLON AND RECTUM Coloninjuries closed with primary suture. If extensive damage or not possible, segmental resection. proximal segment can be anastomosed to the distal segment or a proximal ostomy and Hartmann’s procedure can be performed If distal segment is long – mucosal fistula is made Rectal injury below peritoneal reflection necissate a diverting colostomy. Lower 1/3 injuries might require presacral drainage.
  • 39.
    PANCREAS Subtle clinical signs. Serumhyperamylasemia –Neither sensitive nor specific CT scans – repeat if with hyperamylasemia Abdominal Pain, tenderness, ecchymosis – Absence does not exclude diagnosis ERCP – Most sensitive but not clinically applicable
  • 41.
  • 42.
    INTRAOPERATIVE DIAGNOSIS OF PANCREATICTRAUMA Visual examination and bimanual palpation. Pancreas visualized by opening gastrocolic ligaments and entering lesser sac Intraoperative pancreatography with dueodenotomy is possible but is not recommended.
  • 43.
    TREATMENT OF PANCREATIC INJURY 1.Control hemorrhage 2. Debride devitalized pancreas 3. Preserve maximal amount of viable pancreatic tissue 4. Wide drainage with closed- suction drains 5. Feeding jejunostomy with significant lesions AAST Grade I to II - Debridement and external drainage AAST Grade III – Distal pancreatectomy – distal to SMA- Closed with stapler or Non abs. suture AAST Grade IV – V – Wide drainage or pancreaticoduodenectomy
  • 44.
    INDICATIONS FOR PANCREATICODUODENECTOMY Massive disruptionof the pancreatic head with uncontrolled hemorrhage massive hemorrhage from adjacent vascular structures severe combined duodenal, pancreatic, and biliary injuries. If pancreaticoduodenectomy is indicated: initial resection and delayed reconstruction (24 to 48 hours) may facilitate anastomotic reconstruction.
  • 45.
    DUODENAL INJURY Diagnosis basedon mechanism of injury CT signs – Paraduodenal hemorrhage, air or contrast leak Upper Gastrointestinal studies – X-rays with water soluble contrast. DPL – Has low sensitivity
  • 46.
    Intraduodenal hematoma- UGIstudy with gastrograffin q7 days.  nasogastric suction and IV alimentation If noted on laparotomy hematoma can be evacuated through serosa. Duodenal Perforation is treated operatively:  Transverse primary closure  Duodenal decompression by retrograde jejunostomy or lateral tube duedonostomy.
  • 47.
    3TUBE TECHNIQUE • Gastrostomytube to decompress the stomach, • Retrograde jejunostomy to decompress the duodenum • Antegrade jejunostomy to feed the patient
  • 48.
    PYLORIC EXCLUSION For duodenalinjury or pancreatic injury
  • 49.
    RENAL INJURIES For HemodynamicallyStable patients – Non operative management for all Grades of injury. Operative exploration in Grades IV and V and in unstable patients. An IVP can be performed before exploration in case a nephrectomy becomes necessary. Vascular control by midline transperitoneal approach. Urinomas and abscesses are drained percutaneously.
  • 52.
  • 53.
  • 54.
    RETROPERITONEAL HEMATOMAS Zone I– Mandatory Exploration retroperitoneal hematoma any zone requires exploration for all penetrating injuries Zone II retroperitoneal hematomas resulting from blunt trauma Zone III explored only if penetrating injury. Blunt trauma usually causes venous bleeding which requires fixation.
  • 55.
    ABDOMINAL COMPARTMENT SYNDROME Primary ACS- caused by a condition associated with injury or disease in theabdominopelvic region that frequently requires surgical or interventional radiologic intervention, or a condition that develops following abdominal surgery. Seconday ACS - caused by conditions that do not originate from the abdomen such as sepsis with associated capillary leak, major burns, major soft tissue and skeletal trauma, or other conditions requiring massive fluid resuscitation.
  • 56.
    ACS DIAGNOSIS Bladder PressureMeasurement, ACS is defined as Sustained IAP of 15 -20 mmHg with or without Abdominal Perfusion Pressure(APP) <60 mmHg with single or Multi organ dysfunction
  • 57.
    ACS MANAGEMENT Serial Monitoringof IAP, Sedation, Analgesia to relax abdominal wall muscles Percutaneous decompression Fluid Restriction, Diuresis, Hemofiltration Surgical Decompression Prepare for reperfusion syndrome – 2/4 Amps of Sodium Bicarbonate Minimally Invasive Therapy – subcutaneous release of linea alba – mostly for Secondary ACS Open abdomen – Temporary closure - VAC, Prosthetic coverage Decompression if IAP >15mmHg with physiologic decompromise
  • 58.
    ABX FOR PENETRATING ABDOMINALTRAUMA 1st line: Co-amoxiclav 1.2g IV q8h + Metronidazole 500mg IV q8h 2nd: Cefuroxime 750 mg q8h + Metronidazole 500mg IV q8h Cefoxitin 1.5g q6h or 30 mins prior to surgery or anyother 2nd gen cephalosporin <24h Srilankan: US:
  • 59.
    BIBILIOGRAPHY Acute Care Surgery1st Edition 2012 Tintinallis Emergency Medicine A Comprehensive Study Guide 8th Edition 2016 Trauma and Acute care surgery 4th Edition 2014 Bailey and Loves Short Practice of Surgery 26th Edition Srilankan National Antibiotic Guidelines 2016