CASE PRESENTATION
MODERATOR- DR. BHARATH KUMAR
PAMULAPATI
SPEAKER – DR.MANI PRASAD REDDY
CHIEF COMPLAINT
44 years male presented to ER on 8/2/23 with complaints of shortness
of breath since 7/2/23 evening.
History of present illness
• Complaints of shortness of breath since 1 day, grade 3.
• Not associated with cough, chest pain, pedal edema.
• In ER patient had tachycardia.
Past history –
Known case of PTE since 2019, was on Tab Xarelto 20mg OD till march 2020
Umbilical hernia S/P hernioplasty in 2020 march
 Family history – Insignificant
Personal history – alcoholic , Ex smoker
Allergic history – Nil
GENERAL EXAMINATION IN ICU
 Pallor,icterus,edema, Clubbing,cyanosis,lymphadenopathy are absent
 Temp – 99oF
RESPIRATORY SYSTEM -
Inspection - Abdominothoracic type of respiration. Chest is
symmetrical, Trachea central in position,
RR- 22,Equal rise of hemithorax
Palpation - All inspectory findings are confirmed.
Percussion – resonant note
Auscultation - Bilateral breath sounds heard.
 ABDOMINAL – Soft
No organomegaly
BS – present
CARDIOVASCULAR SYSTEM - S1S2 heard, No murmurs heard
HR-135/min , BP- 130/90mmhg
 Neurological system – GCS- E4V5M6
Pupils- B/L 2mm, Reacting to light
Power – 5/5 in all limbs
• Screening 2D ECHO – dilated RA/RV, TAPSE 1.2
• Screening lung USG – lung sliding +, no effusions, no B lines.
Provisional diagnosis
Acute pulmonary embolism
INVESTIGATIONS
HEMATOLOGICAL – CBP - Hb -15.8, TLC – 9600 , PLT – 249000
RFT – Sr cr – 1.06, BUN – 8.18, Sr Na – 145, K – 4.8, CL -99
LFT – SGOT – 19 SGPT – 27 Sr Alb- 3.8
CRP – 26.8
D dimer- 5.0, APTT- 23.50, PT- 11, INR- 1.0
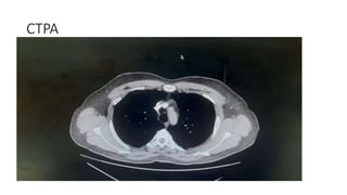
 RADIOLOGICAL – CTPA showed acute PTE in main pulmonary trunk
extending into right and left pulmonary arteries, near total occlusion of
bilateral lobar arteries with extension into segmental arteries causing partial
occlusion.
ECG s/o sinus tachycardia
ECG
CTPA
ABG
• PH- 7.42,
• PCO2- 32.5,
• PO2-76.9,
• HCO3-22.5,
• BE -1.9,
• lac- 1.35
• Thrombolysis was done with IV Tenecteplase 40mg and shifted to
MICU for further management.
• Patient was shifted to ICU around 2:30 AM , at 4AM he had sudden
unresponsiveness and immediately airway secured , had PEA and CPR
done for 1 minute ROSC achieved and he became hemodynamically
unstable.
• CT brain plain was done to rule out IC bleed in v/o S/P thrombolysis
and it was negative.
ECHO after ROSC
4:15 am 5:30 am 8:45 am 10:45 am
PH 6.77 7.116 7.086 7.109
PCO2 74.4 49.0 66.3 58.1
PO2 108.0 116.3 156.3 128.7
HCO3 7.4 14 15.6 15.2
Lactate 12.05 5.57 5.31 5.35
• Patient was started on noradrenaline and adrenaline and continued
on mechanical ventilation and inj Clexane 60 mg S/C BD was initiated.
• Mechanical thrombectomy (penumbra procedure) was done at 3pm
on 8/2/23.
• Patient became hemodynamically unstable and V-A ECMO initiated in
the night.
8/2 9/2 10/2 11/2 12/2
TLC 28900 24400 17900 13100-10800
HB 11.6 9.8-8.4 8.5 8.4-8.5
PLT 168000 172000 145000- 123000 125000-116000
S.Cr 2.6 2.12 2.32 1.93
Na 141 150 145 151 146
K 3.0 3.9 4.80 4.40 3.6
TB 1.7 0.9 0.8
SGOT 326 80 31
SGPT 265 136 43
Sr.Alb 3.4 2.7 2.8
CRP 239.9 126.4 71.6
THANK YOU

PE case.pptx

  • 1.
    CASE PRESENTATION MODERATOR- DR.BHARATH KUMAR PAMULAPATI SPEAKER – DR.MANI PRASAD REDDY
  • 2.
    CHIEF COMPLAINT 44 yearsmale presented to ER on 8/2/23 with complaints of shortness of breath since 7/2/23 evening.
  • 3.
    History of presentillness • Complaints of shortness of breath since 1 day, grade 3. • Not associated with cough, chest pain, pedal edema. • In ER patient had tachycardia.
  • 4.
    Past history – Knowncase of PTE since 2019, was on Tab Xarelto 20mg OD till march 2020 Umbilical hernia S/P hernioplasty in 2020 march  Family history – Insignificant Personal history – alcoholic , Ex smoker Allergic history – Nil
  • 5.
    GENERAL EXAMINATION INICU  Pallor,icterus,edema, Clubbing,cyanosis,lymphadenopathy are absent  Temp – 99oF RESPIRATORY SYSTEM - Inspection - Abdominothoracic type of respiration. Chest is symmetrical, Trachea central in position, RR- 22,Equal rise of hemithorax Palpation - All inspectory findings are confirmed. Percussion – resonant note Auscultation - Bilateral breath sounds heard.
  • 6.
     ABDOMINAL –Soft No organomegaly BS – present CARDIOVASCULAR SYSTEM - S1S2 heard, No murmurs heard HR-135/min , BP- 130/90mmhg  Neurological system – GCS- E4V5M6 Pupils- B/L 2mm, Reacting to light Power – 5/5 in all limbs • Screening 2D ECHO – dilated RA/RV, TAPSE 1.2 • Screening lung USG – lung sliding +, no effusions, no B lines.
  • 7.
  • 8.
    INVESTIGATIONS HEMATOLOGICAL – CBP- Hb -15.8, TLC – 9600 , PLT – 249000 RFT – Sr cr – 1.06, BUN – 8.18, Sr Na – 145, K – 4.8, CL -99 LFT – SGOT – 19 SGPT – 27 Sr Alb- 3.8 CRP – 26.8 D dimer- 5.0, APTT- 23.50, PT- 11, INR- 1.0  RADIOLOGICAL – CTPA showed acute PTE in main pulmonary trunk extending into right and left pulmonary arteries, near total occlusion of bilateral lobar arteries with extension into segmental arteries causing partial occlusion. ECG s/o sinus tachycardia
  • 9.
  • 10.
  • 11.
    ABG • PH- 7.42, •PCO2- 32.5, • PO2-76.9, • HCO3-22.5, • BE -1.9, • lac- 1.35
  • 12.
    • Thrombolysis wasdone with IV Tenecteplase 40mg and shifted to MICU for further management. • Patient was shifted to ICU around 2:30 AM , at 4AM he had sudden unresponsiveness and immediately airway secured , had PEA and CPR done for 1 minute ROSC achieved and he became hemodynamically unstable. • CT brain plain was done to rule out IC bleed in v/o S/P thrombolysis and it was negative.
  • 13.
  • 14.
    4:15 am 5:30am 8:45 am 10:45 am PH 6.77 7.116 7.086 7.109 PCO2 74.4 49.0 66.3 58.1 PO2 108.0 116.3 156.3 128.7 HCO3 7.4 14 15.6 15.2 Lactate 12.05 5.57 5.31 5.35
  • 15.
    • Patient wasstarted on noradrenaline and adrenaline and continued on mechanical ventilation and inj Clexane 60 mg S/C BD was initiated. • Mechanical thrombectomy (penumbra procedure) was done at 3pm on 8/2/23. • Patient became hemodynamically unstable and V-A ECMO initiated in the night.
  • 16.
    8/2 9/2 10/211/2 12/2 TLC 28900 24400 17900 13100-10800 HB 11.6 9.8-8.4 8.5 8.4-8.5 PLT 168000 172000 145000- 123000 125000-116000 S.Cr 2.6 2.12 2.32 1.93 Na 141 150 145 151 146 K 3.0 3.9 4.80 4.40 3.6 TB 1.7 0.9 0.8 SGOT 326 80 31 SGPT 265 136 43 Sr.Alb 3.4 2.7 2.8 CRP 239.9 126.4 71.6
  • 17.