ALTERED MENTAL
STATUS IN A 36 Y/O F
Jonathan B Wilfong, MD
January 31, 2014
Fletcher Allen Health Care
Admission
36 y/o F is transported to FAHC after being found in bed
with altered mental status, responsive only to pain. Per
EMS report, two men, one being her husband, were found
deceased at the scene with drug paraphernalia scattered
close-by. There was no evidence of trauma.
Prior to arrival she was treated with Flumazenil 0.5 mg x2,
Naloxone 2 mg IV x4 at a local hospital. She briefly
regained consciousness following Flumazenil
administration but mental status declined rapidly again.
She arrives intubated, off sedation, and is admitted to the
MICU for management of hypoxemic respiratory failure.
History
PMH
•Substance abuse (benzos, barbituates, IV heroin)
•Depression w suicide attempt (overdose, laceration)
•Victim of domestic violence
•History of imprisonment
•Multiple psychiatric (MDD, BPD1, PTSD, ADHD)
•Recent aspiration pneumonia in the setting of recent drug
overdose
FHx
•Unknown
History
Medications
•busPIRone (BUSPAR) 10 mg tablet
•clonAZEPAM (KLONOPIN) 0.5 mg tablet
•fluvoxaMINE (LUVOX) 50 mg tablet
•montelukast (SINGULAIR) 10 mg tablet
•pantoprazole (PROTONIX) 40 mg tablet
•Prazosin (MINIPRESS) 2 mg capsule
•risperiDONE (RISPERDAL) 1 mg tablet
•topiramate (TOPAMAX) 100 mg tablet
•albuterol (VENTOLIN HFA) 90 mcg/actuation inhaler
•fluticasone-salmeterol (ADVAIR HFA) 45-21 mcg/Actuation inhaler
Allergies
•NKDA
Social History
• Born in New York, NY
• Married, Living in Plattsburg
• Married, 3 teenage children in NYC
• Known hx of long-standing illicit and Rx drug use
Objective
In the field [AM, Day 1]
•62/45
•106
•20
•79% SpO2 on RA
Following intubation, I/O line x2, 2L NS [18:00, Day 1]
•105/71
•115
•29
•100% SpO2 on 0.70 FiO2
Initial Evaluation and Work-up
Initial Evaluation and Work-up
142

97 26

4.8 19 1.26

5.4

130

11.9
36.8

24
7.34 / 35 / 94 / 24 on 0.70
( PaO2:FiO2 134 )
UA
SpecGrav 1.02
LeukEst neg
Nitrite neg
3+ blood
pH 6.0

254

AST 87
ALT 40
tBili 0.3
tPro 6.7

Phenobarbital level 85.5 (15-40)
Lactate 3.4

UTox
+ Barbituate
+ Benzodiazepine
+ Amphetamine

Troponin < 0.034
CK 1860
Management
• 33.7C , 83/51, 96, 22, GCS 8, ventilated [0:00, Day 2]
• Aspiration in the setting of poly-substance use was

suspected.
• Pulm: Levofloxacin, Vanc, tapering off ventilator
• Cor: IV fluid resuscitation, serial lactate, serial EKG
• RenalL: Foley catheter, monitor UOP
• Neuro: Head CT negative, Serial neuro exams
• GI: NPO
• ID: Sputum, Blood, Urine Cx. Abx as above
• PPx: PPI, SQ Heparin, SCD
Day of Hospitalization #2
• 7.38 / 30 / 60 / 18 on 0.55 (PaO2:FiO2 109) [05:00, Day 2]
• Improving mental status, responding to commands

but…
• Systolic pressure continued to drop despite 4L IVf
78/46, 138, 33, 98% on 0.60
• Levophederine gtt started
The patient was declining despite aggressive supportive
care.
Day of Hospitalization #2
• Bedside Echocardiogram was performed suggesting RV

ballooning with septal flattening
• A STAT CT PE protocol of chest was obtained
• A STAT echocardiogram was obtained
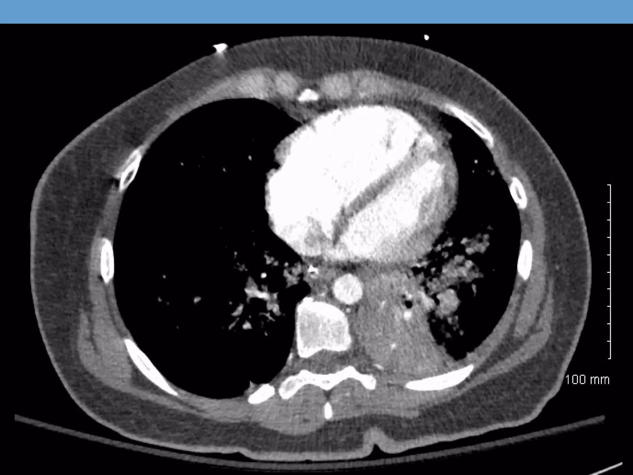
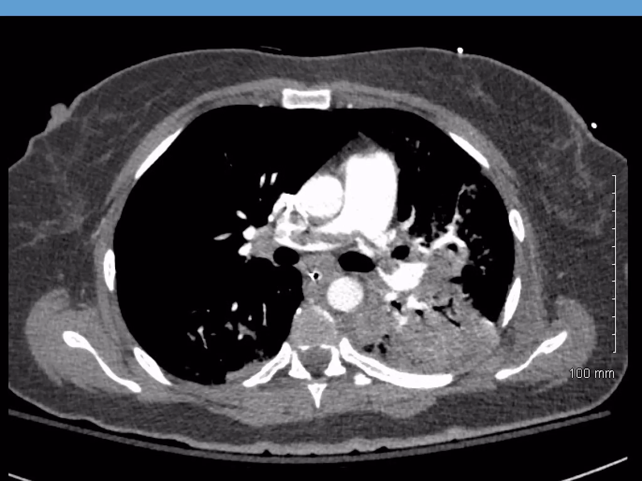
CT PE Protocol
CT CHEST W CONTRAST (PE) PROTOCOL 11/1/2013
1:01 PM
Findings: Opacification of the pulmonary vasculature is
good. There is a saddle embolus with clot extending
predominantly into the lower lobe pulmonary arteries, with
the most significant clot burden in the left lower lung.
Additional regions of emboli are seen in the right middle
lobe There is evidence of right heart strain with a right
ventricle to left ventricular ratio of greater than 1.
Echocardiogram
Impressions: Cor pulmonale. Summary: 1. Left ventricle:
The cavity size was below normal. … Systolic function was
hyperdynamic. The estimated ejection fraction was 6570%. Wall motion was normal; there were no regional wall
motion abnormalities. 2. Ventricular septum: The contour
showed diastolic flattening and systolic flattening. 3. Right
ventricle: The cavity size was severely dilated. Systolic
function was severely reduced. 4. Pulmonary arteries:
Pulmonary systolic pressure was moderately increased,
estimated to 50mm Hg.
Intubated
IV access Flumazenil
Naloxone
2L NS

2L NS
Central line
Levofloxacin

12:00

BP 62/45
HR 106
RR 20
Found w
AMS,
Intubated

CT Head
Levophed
Bedside CT
Vancomycin echo
angio

12:00

0:00

BP 105/71
HR 115
RR 29
Stable,
Arrives at
FAHC

BP 83/51
HR 96
RR 22
MICU,
Improving
mental
status

BP 78/46
HR 138
RR 33
Declining
mental
status

Echo

Phenylepherine
added

TPA

Transfer

0:00

BP 86/47
HR 128
RR 26
Unresponsive
PULMONARY EMBOLISM IN
THE SETTING OF CRITICAL
ILLNESS
Overview
• Incidence
• Pathophysiology
• Diagnosis
• Treatment
• Outcomes
Incidence
• “Obstruction of the pulmonary artery or one of its

branches by material (eg, thrombus, tumor, air, or fat) that
originated elsewhere”
• Massive = sustained hypotension

• 112.3 per 100,000
• Mortality estimated 30% if untreated
• Risk factors
• Immobilization
• Obesity, Heart Disease
• Malignancy, Autoimmune
• Central venous instrumentation, Surgery
• Smoking, Medications
Pathophysiology
• 50-80% from below popliteal vein
• Severe acute VQ mismatch
• Death is by R heart failure, acute cardiogenic shock
• Increase in mortality from PE and overall
• RV strain
• Mural thrombus
• DVT
• Associated w increased mortality
• BNP
• Troponin
• Hyponatremia
• Lactate
Diagnosis
• Clinical findings nonspecific
• DVT signs (47%)
• Diagnostic studies
• S1Q3T3 on ECG suggestive of cor pulmonale
• Lower extremity US for risk reduction – not diagnosis
• VQ scan 15-86% diagnostic accuracy
• D-Dimer high negative predictive value
• CT angiogram, 53-98% diagnostic accuracy
• Echocardiogram
• Increased RV size
• TR
• Mural thrombus
• McConnell sign (hypokinesis w apical sparing)
Echocardiogram
• http://www.youtube.com/watch?v=x4bVhnL3Ix8
Treatment: A Simplified Algorithm
1. Stabilize
2. Anticoagulate
3. Unstable? Thrombolysis
4. Unimproved? Consider Embolectomy
Treatment of Acute Massive PE
• Correction of hypoxemia
• Hemodynamic Support
• IV fluids, 500-1000 mL
• Pressors: NorEpi/Epi/Dobutamine
• Empiric Anticoagulation within 24hr
• Weigh against risk of acute bleed (recurrent PE 25% > Bleed 3%)
• LMWH as tx in uncomplicated cases
• IV UFH if massive PE, risk of bleed, or considering lysis, thrombectomy
Dosing IV UFH
• Bolus 80 mg/kg
• Infusion 18 mg/hr
• Titrate to institution protocol goal aPTT
• If abnormal PTT response
• Follow anti-Xa
• When to consider thrombolysis?
Thrombolysis
• Indication:
• persisting SHOCK
• Isolated RV dysfunction..?
• Outcomes:
• Early hemodynamic improvement
• No proven mortality benefit
• (3.5 vs 6.1 percent, relative risk 0.7, 95% CI 0.37-1.31)

• Increased risk of major bleeding
• (9.0 vs 5.7 percent, relative risk 1.63, 95% CI 1.00-2.68)
• Risks for bleeding not well characterized
• Intracranial hemorrhage rate ~3%
Contraindications
• Surgery in last 10 days
• Bleeding diathesis
• Intracranial neoplasm
• Severe HTN (>200)
• Ischemic stroke within 2 months
• Past hemorrhagic stroke
• Intracranial trauma/surgery in last 6 months
• Thrombocytopenia (<100k)
tPA Dosing
• Binds Fibrin  affinity for Plasminogin  activation
• Administration
• Stop Heparin
• tPA 100 mg IV infusion over 2 hr
• Re-check aPTT
• Restart anticoagulation
• Reassess hemodynamics routinely
Thrombectomy
• Catheter
• Interventional Radiology
• Limited data
• Requires vascular access with chance of bleeding
• High intraoperative mortality
• Open Surgical
• High mortality
• Requires cardiopulmonary bypass
• High rate of intraoperative myocardial infarction
• No evidence of better outcomes than repeat tPA
• Lower risk of severe bleeding?
Our patient
• tPA was administered with little to no benefit at four hours
• Surgical thrombectomy not available at FAHC
• Urgently transferred by air to Brigham and Womens
• Repeat CT showed migration of thrombus
• Supportive care continued in MICU
Bedside echo
Take Away
• Think PE on the DDx for cardiogenic shock
• Bedside US can aid in diagnosis
• Urgent anticoagulation with IV UFH
• There are 8 strict contraindications to tPA
• No evidence of improved mortality w tPA
• Surgical thrombectomy as a last resort

Pe massive wilfong

  • 1.
    ALTERED MENTAL STATUS INA 36 Y/O F Jonathan B Wilfong, MD January 31, 2014 Fletcher Allen Health Care
  • 2.
    Admission 36 y/o Fis transported to FAHC after being found in bed with altered mental status, responsive only to pain. Per EMS report, two men, one being her husband, were found deceased at the scene with drug paraphernalia scattered close-by. There was no evidence of trauma. Prior to arrival she was treated with Flumazenil 0.5 mg x2, Naloxone 2 mg IV x4 at a local hospital. She briefly regained consciousness following Flumazenil administration but mental status declined rapidly again. She arrives intubated, off sedation, and is admitted to the MICU for management of hypoxemic respiratory failure.
  • 3.
    History PMH •Substance abuse (benzos,barbituates, IV heroin) •Depression w suicide attempt (overdose, laceration) •Victim of domestic violence •History of imprisonment •Multiple psychiatric (MDD, BPD1, PTSD, ADHD) •Recent aspiration pneumonia in the setting of recent drug overdose FHx •Unknown
  • 4.
    History Medications •busPIRone (BUSPAR) 10mg tablet •clonAZEPAM (KLONOPIN) 0.5 mg tablet •fluvoxaMINE (LUVOX) 50 mg tablet •montelukast (SINGULAIR) 10 mg tablet •pantoprazole (PROTONIX) 40 mg tablet •Prazosin (MINIPRESS) 2 mg capsule •risperiDONE (RISPERDAL) 1 mg tablet •topiramate (TOPAMAX) 100 mg tablet •albuterol (VENTOLIN HFA) 90 mcg/actuation inhaler •fluticasone-salmeterol (ADVAIR HFA) 45-21 mcg/Actuation inhaler Allergies •NKDA
  • 5.
    Social History • Bornin New York, NY • Married, Living in Plattsburg • Married, 3 teenage children in NYC • Known hx of long-standing illicit and Rx drug use
  • 6.
    Objective In the field[AM, Day 1] •62/45 •106 •20 •79% SpO2 on RA Following intubation, I/O line x2, 2L NS [18:00, Day 1] •105/71 •115 •29 •100% SpO2 on 0.70 FiO2
  • 7.
  • 8.
    Initial Evaluation andWork-up 142 97 26 4.8 19 1.26 5.4 130 11.9 36.8 24 7.34 / 35 / 94 / 24 on 0.70 ( PaO2:FiO2 134 ) UA SpecGrav 1.02 LeukEst neg Nitrite neg 3+ blood pH 6.0 254 AST 87 ALT 40 tBili 0.3 tPro 6.7 Phenobarbital level 85.5 (15-40) Lactate 3.4 UTox + Barbituate + Benzodiazepine + Amphetamine Troponin < 0.034 CK 1860
  • 11.
    Management • 33.7C ,83/51, 96, 22, GCS 8, ventilated [0:00, Day 2] • Aspiration in the setting of poly-substance use was suspected. • Pulm: Levofloxacin, Vanc, tapering off ventilator • Cor: IV fluid resuscitation, serial lactate, serial EKG • RenalL: Foley catheter, monitor UOP • Neuro: Head CT negative, Serial neuro exams • GI: NPO • ID: Sputum, Blood, Urine Cx. Abx as above • PPx: PPI, SQ Heparin, SCD
  • 12.
    Day of Hospitalization#2 • 7.38 / 30 / 60 / 18 on 0.55 (PaO2:FiO2 109) [05:00, Day 2] • Improving mental status, responding to commands but… • Systolic pressure continued to drop despite 4L IVf 78/46, 138, 33, 98% on 0.60 • Levophederine gtt started The patient was declining despite aggressive supportive care.
  • 13.
    Day of Hospitalization#2 • Bedside Echocardiogram was performed suggesting RV ballooning with septal flattening • A STAT CT PE protocol of chest was obtained • A STAT echocardiogram was obtained
  • 16.
    CT PE Protocol CTCHEST W CONTRAST (PE) PROTOCOL 11/1/2013 1:01 PM Findings: Opacification of the pulmonary vasculature is good. There is a saddle embolus with clot extending predominantly into the lower lobe pulmonary arteries, with the most significant clot burden in the left lower lung. Additional regions of emboli are seen in the right middle lobe There is evidence of right heart strain with a right ventricle to left ventricular ratio of greater than 1.
  • 17.
    Echocardiogram Impressions: Cor pulmonale.Summary: 1. Left ventricle: The cavity size was below normal. … Systolic function was hyperdynamic. The estimated ejection fraction was 6570%. Wall motion was normal; there were no regional wall motion abnormalities. 2. Ventricular septum: The contour showed diastolic flattening and systolic flattening. 3. Right ventricle: The cavity size was severely dilated. Systolic function was severely reduced. 4. Pulmonary arteries: Pulmonary systolic pressure was moderately increased, estimated to 50mm Hg.
  • 18.
    Intubated IV access Flumazenil Naloxone 2LNS 2L NS Central line Levofloxacin 12:00 BP 62/45 HR 106 RR 20 Found w AMS, Intubated CT Head Levophed Bedside CT Vancomycin echo angio 12:00 0:00 BP 105/71 HR 115 RR 29 Stable, Arrives at FAHC BP 83/51 HR 96 RR 22 MICU, Improving mental status BP 78/46 HR 138 RR 33 Declining mental status Echo Phenylepherine added TPA Transfer 0:00 BP 86/47 HR 128 RR 26 Unresponsive
  • 19.
    PULMONARY EMBOLISM IN THESETTING OF CRITICAL ILLNESS
  • 20.
    Overview • Incidence • Pathophysiology •Diagnosis • Treatment • Outcomes
  • 21.
    Incidence • “Obstruction ofthe pulmonary artery or one of its branches by material (eg, thrombus, tumor, air, or fat) that originated elsewhere” • Massive = sustained hypotension • 112.3 per 100,000 • Mortality estimated 30% if untreated • Risk factors • Immobilization • Obesity, Heart Disease • Malignancy, Autoimmune • Central venous instrumentation, Surgery • Smoking, Medications
  • 22.
    Pathophysiology • 50-80% frombelow popliteal vein • Severe acute VQ mismatch • Death is by R heart failure, acute cardiogenic shock • Increase in mortality from PE and overall • RV strain • Mural thrombus • DVT • Associated w increased mortality • BNP • Troponin • Hyponatremia • Lactate
  • 23.
    Diagnosis • Clinical findingsnonspecific • DVT signs (47%) • Diagnostic studies • S1Q3T3 on ECG suggestive of cor pulmonale • Lower extremity US for risk reduction – not diagnosis • VQ scan 15-86% diagnostic accuracy • D-Dimer high negative predictive value • CT angiogram, 53-98% diagnostic accuracy • Echocardiogram • Increased RV size • TR • Mural thrombus • McConnell sign (hypokinesis w apical sparing)
  • 24.
  • 25.
    Treatment: A SimplifiedAlgorithm 1. Stabilize 2. Anticoagulate 3. Unstable? Thrombolysis 4. Unimproved? Consider Embolectomy
  • 26.
    Treatment of AcuteMassive PE • Correction of hypoxemia • Hemodynamic Support • IV fluids, 500-1000 mL • Pressors: NorEpi/Epi/Dobutamine • Empiric Anticoagulation within 24hr • Weigh against risk of acute bleed (recurrent PE 25% > Bleed 3%) • LMWH as tx in uncomplicated cases • IV UFH if massive PE, risk of bleed, or considering lysis, thrombectomy
  • 27.
    Dosing IV UFH •Bolus 80 mg/kg • Infusion 18 mg/hr • Titrate to institution protocol goal aPTT • If abnormal PTT response • Follow anti-Xa • When to consider thrombolysis?
  • 28.
    Thrombolysis • Indication: • persistingSHOCK • Isolated RV dysfunction..? • Outcomes: • Early hemodynamic improvement • No proven mortality benefit • (3.5 vs 6.1 percent, relative risk 0.7, 95% CI 0.37-1.31) • Increased risk of major bleeding • (9.0 vs 5.7 percent, relative risk 1.63, 95% CI 1.00-2.68) • Risks for bleeding not well characterized • Intracranial hemorrhage rate ~3%
  • 29.
    Contraindications • Surgery inlast 10 days • Bleeding diathesis • Intracranial neoplasm • Severe HTN (>200) • Ischemic stroke within 2 months • Past hemorrhagic stroke • Intracranial trauma/surgery in last 6 months • Thrombocytopenia (<100k)
  • 30.
    tPA Dosing • BindsFibrin  affinity for Plasminogin  activation • Administration • Stop Heparin • tPA 100 mg IV infusion over 2 hr • Re-check aPTT • Restart anticoagulation • Reassess hemodynamics routinely
  • 31.
    Thrombectomy • Catheter • InterventionalRadiology • Limited data • Requires vascular access with chance of bleeding • High intraoperative mortality • Open Surgical • High mortality • Requires cardiopulmonary bypass • High rate of intraoperative myocardial infarction • No evidence of better outcomes than repeat tPA • Lower risk of severe bleeding?
  • 32.
    Our patient • tPAwas administered with little to no benefit at four hours • Surgical thrombectomy not available at FAHC • Urgently transferred by air to Brigham and Womens • Repeat CT showed migration of thrombus • Supportive care continued in MICU
  • 33.
  • 34.
    Take Away • ThinkPE on the DDx for cardiogenic shock • Bedside US can aid in diagnosis • Urgent anticoagulation with IV UFH • There are 8 strict contraindications to tPA • No evidence of improved mortality w tPA • Surgical thrombectomy as a last resort