By : Ahmed Elshahat Saied
Supervisor :DR,AZZA ATIA
Necrosis
Apoptosis
For every cell, there is a time to live
and a time to die.
There are two ways in which cells
die: They are killed by injurious
agents.
They are induced to commit suicide.
Death by injury
Cells that are damaged by injury,
such as by mechanical damage
exposure to toxic chemicals
DEFINITION OF NECROSIS
Spectrum of morphologic changes
that follows cell death in living
tissues.
CAUSES OF NECROSIS
ISCHEMIA
PHYSICAL AGENTS
CHEMICAL AGENTS
IMMUNOLOGICAL INJURY
PATHOGENESIS OF NECROSIS
Denaturation of intracellular proteins.
Enzymatic digestion of the cell.
MORPHOLOGY
Increased eosinophilia of cytoplasm
Glassy form
Cytoplasm is vacuolated
Appearance of myelin figures
Generation of calcium soaps
TYPES OF NECROSIS
 Coagulative necrosis
Liquefactive necrosis
Caseous necrosis
Fat necrosis
Fibrinoid necrosis
COAGULATIVE NECROSIS
Coagulative necrosis is a type of accidental
cell death typically caused by ischemia
Denaturation of structural proteins
and enzymatic digestion of cells.
Example
– Heart, kidney,spleen spleen.
LIQUIFACTIVE NECROSIS
The tissue becomes liquid viscous mass
Material is creamy yellow in color Seen in
brain, abscess
GANGRENOUS NECROSIS
Wet gangrene
Dry gangrene
Gas gangrene
WET GANGRENE
Occurs in moist tissues like mouth, bowel,
lung, cervix Diabetic foot Bed sores
DRY GANGRENE
Toes and feet due to arteriosclerosis
Thromboangitis obliterans Raynaud disease
Trauma
GAS GANGRENE
Wet gangrene caused by gram positive
anaerobic bacteria Seen in muscle and
in colon
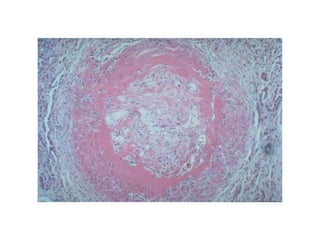
CASEOUS NECROSIS
Type of coagulative necrosis Seen
in tuberculous infections
Tissue is cheesy white in
appearance The tissue architecture
is preserved
FAT NECROSIS
Seen in pancreas, breast In acute
pancreatitis ,activated lipase
causes fat necrosis.
Grossly visible chalky white
areas. Presence of shadowy
outlines of necrotic cells
FIBRINOID NECROSIS
Deposition of fibrin like
material Seen in immunologic
cell injury, hypertension
,peptic ulcer
Treatment
Debridement, referring to the removal of
dead tissue by surgical
Wounds caused by physical agents,
including direct physical trauma and injury,
can be treated with antibiotics and anti-
inflammatory drugs to prevent bacterial
infection and inflammation. Keeping the
wound clean from infection also prevents
necrosis.
Chemical and toxic agents (e.g. pharmaceutical drugs,
acids, bases) react with the skin leading to skin loss
and eventually necrosis. Treatment involves
identification and discontinuation of the harmful
agent, followed by treatment of the wound, including
prevention of infection and possibly the use of
immunosuppressive therapies such as anti-
inflammatory drugs or immunosuppressants.[15] In the
example of a snake bite, the use of anti-venom halts
the spread of toxins whilst receiving antibiotics to
impede infection.[16]
Apoptosis,
programmed cell death, is a naturally
occurring process in the body
APOPTOSIS
Apoptosis in physiologic
situations
Apoptosis in pathologic
situations
APOPTOSIS
Apoptosis in physiologic situations
Vaux and Korsmeyer, 1999,Cell
Formation of
free and
independent
digits
Development
of the brain
Development
of
reproductive
organs
Apoptosis in physiologic situations
Programmed cell death during embryogenesis
1. Apoptosis triggered by internal signals: the intrinsic or
mitochondrial pathway
In a healthy cell, the outer membranes of its mitochondria
display the protein Bcl-2 on their surface. Bcl-2 inhibits
apoptosis.
Internal damage to the cell
causes a related protein
, Bax, to migrate to the surface of
the mitochondrion where
it inhibits the protective effect of
Bcl-2 and inserts itself into the outer
causing mitochondrial membrane
punching holes in it and
cytochrome c to leak out.
The released cytochrome c binds to the protein Apaf-1
("apoptotic protease activating factor-1"). Using the energy
provided by ATP, these complexes aggregate to form
apoptosomes. The apoptosomes bind to and activate caspase-
9. Caspase-9 is one of a family of over a dozen caspases. They
are all proteases. They get their name because they cleave
proteins — mostly each other — at aspartic acid (Asp)
residues). Caspase-9 cleaves and, in so doing, activates other
caspases (caspase-3 and -7). The activation of these
"executioner" caspases creates an expanding cascade of
proteolytic activity (rather like that in blood clotting and
complement activation) which leads to digestion of structural
proteins in the cytoplasm,
degradation of chromosomal DNA, and
phagocytosis of the cell.
2. Apoptosis triggered by external signals: the extrinsic
or death receptor pathway
Fas and the TNF receptor are integral membrane proteins with their receptor
domains exposed at the surface of the cell
binding of the complementary death activator (FasL and TNF respectively)
transmits a signal to the cytoplasm that leads to
activation of caspase 8
caspase 8 (like caspase 9) initiates a cascade of caspase activation leading to
phagocytosis of the cell.
Example (right): When cytotoxic T cells recognize (bind to) their target, they
produce more FasL at their surface.
This binds with the Fas on the surface of the target cell leading to its death by
apoptosis.
The early steps in apoptosis are reversible — at least in C. elegans. In some
cases, final destruction of the cell is guaranteed only with its engulfment by a
phagocyte.
The death
receptor
pathway
• Extrinsic
pathway
3. Apoptosis-Inducing Factor (AIF)
Neurons, and perhaps other cells, have another way
to self-destruct that — unlike the two paths
described above — does not use caspases.
Apoptosis-inducing factor (AIF) is a protein that is
normally located in the intermembrane space of
mitochondria. When the cell receives a signal telling
it that it is time to die, AIF is released from the
mitochondria (like the release of cytochrome c in
the first pathway);
migrates into the nucleus;
binds to DNA, which
triggers the destruction of the DNA and cell death.
Inhibition of apoptosis
can result in
a number of cancers,
autoimmune diseases,
 inflammatory diseases,
and viral infections.
Tretment
To stimulate apoptosis, one
can increase the number of
death receptor ligands (such
as TNF or TRAIL),
Hyperactive apoptosis
On the other hand, loss of control of cell
death (resulting in excess apoptosis) can
:lead to
neurodegenerative diseases,
hematologic diseases,
tissue damage.
The progression of HIV is directly linked
to excess, unregulated apoptosis
Treatments
Aiming to inhibit works to block
specific caspases. Finally, the Akt
protein kinase promotes cell
survival through two pathways.
Akt phosphorylates and inhibits
Bas (a Bcl-2 family member),

Pathology

  • 1.
    By : AhmedElshahat Saied Supervisor :DR,AZZA ATIA
  • 2.
  • 3.
    For every cell,there is a time to live and a time to die. There are two ways in which cells die: They are killed by injurious agents. They are induced to commit suicide. Death by injury Cells that are damaged by injury, such as by mechanical damage exposure to toxic chemicals
  • 4.
    DEFINITION OF NECROSIS Spectrumof morphologic changes that follows cell death in living tissues. CAUSES OF NECROSIS ISCHEMIA PHYSICAL AGENTS CHEMICAL AGENTS IMMUNOLOGICAL INJURY
  • 5.
    PATHOGENESIS OF NECROSIS Denaturationof intracellular proteins. Enzymatic digestion of the cell.
  • 7.
    MORPHOLOGY Increased eosinophilia ofcytoplasm Glassy form Cytoplasm is vacuolated Appearance of myelin figures Generation of calcium soaps
  • 8.
    TYPES OF NECROSIS Coagulative necrosis Liquefactive necrosis Caseous necrosis Fat necrosis Fibrinoid necrosis
  • 9.
    COAGULATIVE NECROSIS Coagulative necrosisis a type of accidental cell death typically caused by ischemia Denaturation of structural proteins and enzymatic digestion of cells. Example – Heart, kidney,spleen spleen.
  • 14.
    LIQUIFACTIVE NECROSIS The tissuebecomes liquid viscous mass Material is creamy yellow in color Seen in brain, abscess
  • 17.
  • 18.
    WET GANGRENE Occurs inmoist tissues like mouth, bowel, lung, cervix Diabetic foot Bed sores
  • 21.
    DRY GANGRENE Toes andfeet due to arteriosclerosis Thromboangitis obliterans Raynaud disease Trauma
  • 23.
    GAS GANGRENE Wet gangrenecaused by gram positive anaerobic bacteria Seen in muscle and in colon
  • 25.
    CASEOUS NECROSIS Type ofcoagulative necrosis Seen in tuberculous infections Tissue is cheesy white in appearance The tissue architecture is preserved
  • 28.
    FAT NECROSIS Seen inpancreas, breast In acute pancreatitis ,activated lipase causes fat necrosis. Grossly visible chalky white areas. Presence of shadowy outlines of necrotic cells
  • 30.
    FIBRINOID NECROSIS Deposition offibrin like material Seen in immunologic cell injury, hypertension ,peptic ulcer
  • 32.
    Treatment Debridement, referring tothe removal of dead tissue by surgical Wounds caused by physical agents, including direct physical trauma and injury, can be treated with antibiotics and anti- inflammatory drugs to prevent bacterial infection and inflammation. Keeping the wound clean from infection also prevents necrosis.
  • 33.
    Chemical and toxicagents (e.g. pharmaceutical drugs, acids, bases) react with the skin leading to skin loss and eventually necrosis. Treatment involves identification and discontinuation of the harmful agent, followed by treatment of the wound, including prevention of infection and possibly the use of immunosuppressive therapies such as anti- inflammatory drugs or immunosuppressants.[15] In the example of a snake bite, the use of anti-venom halts the spread of toxins whilst receiving antibiotics to impede infection.[16]
  • 34.
    Apoptosis, programmed cell death,is a naturally occurring process in the body
  • 35.
  • 36.
    APOPTOSIS Apoptosis in physiologicsituations Vaux and Korsmeyer, 1999,Cell
  • 37.
    Formation of free and independent digits Development ofthe brain Development of reproductive organs Apoptosis in physiologic situations Programmed cell death during embryogenesis
  • 39.
    1. Apoptosis triggeredby internal signals: the intrinsic or mitochondrial pathway In a healthy cell, the outer membranes of its mitochondria display the protein Bcl-2 on their surface. Bcl-2 inhibits apoptosis. Internal damage to the cell causes a related protein , Bax, to migrate to the surface of the mitochondrion where it inhibits the protective effect of Bcl-2 and inserts itself into the outer causing mitochondrial membrane punching holes in it and cytochrome c to leak out.
  • 40.
    The released cytochromec binds to the protein Apaf-1 ("apoptotic protease activating factor-1"). Using the energy provided by ATP, these complexes aggregate to form apoptosomes. The apoptosomes bind to and activate caspase- 9. Caspase-9 is one of a family of over a dozen caspases. They are all proteases. They get their name because they cleave proteins — mostly each other — at aspartic acid (Asp) residues). Caspase-9 cleaves and, in so doing, activates other caspases (caspase-3 and -7). The activation of these "executioner" caspases creates an expanding cascade of proteolytic activity (rather like that in blood clotting and complement activation) which leads to digestion of structural proteins in the cytoplasm, degradation of chromosomal DNA, and phagocytosis of the cell.
  • 41.
    2. Apoptosis triggeredby external signals: the extrinsic or death receptor pathway Fas and the TNF receptor are integral membrane proteins with their receptor domains exposed at the surface of the cell binding of the complementary death activator (FasL and TNF respectively) transmits a signal to the cytoplasm that leads to activation of caspase 8 caspase 8 (like caspase 9) initiates a cascade of caspase activation leading to phagocytosis of the cell. Example (right): When cytotoxic T cells recognize (bind to) their target, they produce more FasL at their surface. This binds with the Fas on the surface of the target cell leading to its death by apoptosis. The early steps in apoptosis are reversible — at least in C. elegans. In some cases, final destruction of the cell is guaranteed only with its engulfment by a phagocyte.
  • 42.
  • 43.
    3. Apoptosis-Inducing Factor(AIF) Neurons, and perhaps other cells, have another way to self-destruct that — unlike the two paths described above — does not use caspases. Apoptosis-inducing factor (AIF) is a protein that is normally located in the intermembrane space of mitochondria. When the cell receives a signal telling it that it is time to die, AIF is released from the mitochondria (like the release of cytochrome c in the first pathway); migrates into the nucleus; binds to DNA, which triggers the destruction of the DNA and cell death.
  • 44.
    Inhibition of apoptosis canresult in a number of cancers, autoimmune diseases,  inflammatory diseases, and viral infections.
  • 45.
    Tretment To stimulate apoptosis,one can increase the number of death receptor ligands (such as TNF or TRAIL),
  • 46.
    Hyperactive apoptosis On theother hand, loss of control of cell death (resulting in excess apoptosis) can :lead to neurodegenerative diseases, hematologic diseases, tissue damage. The progression of HIV is directly linked to excess, unregulated apoptosis
  • 47.
    Treatments Aiming to inhibitworks to block specific caspases. Finally, the Akt protein kinase promotes cell survival through two pathways. Akt phosphorylates and inhibits Bas (a Bcl-2 family member),

Editor's Notes

  • #36 During development many cells are produced in excess which eventually undergo programmed cell death
  • #38 A particularly instructive example for the implication of programmed cell death in animal development is the formation of free and independent digits by massive cell death in the interdigital mesenchymal tissue [Zuzarte-Luis, 2002]. Other examples are the development of the brain, during which half of the neurons that are initially created will die in later stages when the adult brain is formed [Hutchins, 1998] and the development of the reproductive organs [Meier, 2000]. Also cells of an adult organism constantly undergo physiological cell death which must be balanced with proliferation in order to maintain homeostasis in terms of constant cell numbers. The majority of the developing lymphocytes die either during genetic rearrangement events in the formation of the antigen receptor, during negative selection or in the periphery, thereby tightly controlling the pool of highly efficient and functional but not self-reactive immune cells and at the same time keeping lymphocyte numbers relatively constant [Rathmell, 2002]. Taken together, apoptotic processes are of widespread biological significance, being involved in e.g. development, differentiation, proliferation/homoeostasis, regulation and function of the immune system and in the removal of defect and therefore harmful cells. Thus, dysfunction or dysregulation of the apoptotic program is implicated in a variety of pathological conditions. Defects in apoptosis can result in cancer, autoimmune diseases and spreading of viral infections, while neurodegenerative disorders, AIDS and ischaemic diseases are caused or enhanced by excessive apoptosis [Fadeel, 1999a].