+
Paediatric Shortness of
Breath EMC
Dr Dane Horsfall FACEM
Cabrini Hospital
+
Outline
 SOB DDx by age
 Most commonly primary resp/infective
 Don’t forget other causes:
 CCF
 Foreign body inhalation
 Anaphylaxis
 Metabolic – Eg DKA, sepsis, shock – RR very
sensitive marker of “unwellness”
+
Assessment
 RR, O2sats*
 Key is recognition of Resp Distress
 Work of Breathing
 Recession-subcostal/intercostal/suprasternal
 Nasal Flaring
 Accessory muscle use- sternomastoid
 Leaning forward
 Inspiratory vs Expiratory Eg’s
 Assoc Symptoms
 Wheeze
 Fever
 Cough
 Stridor
+
Paediatric Airway
 Smaller, Shorter, Floppy, small mandible
 Large head (neck flexed), Large tongue
 High larynx
 Funnelled shaped with anterior angulation
 Epiglottis long and stiff
 <8 yo narrowest portion = cricoid cartilage (adults = vocal cords)
 small diameter of airways -> higher resistance to air flow, easily
blocked
 highly compliant -> kink
 trachea short & in line with right main bronchus
+
Implications
 Towel under body/shoulders extend
neck, ETT Formula?
 ETT size = age/4 + 4 (age > 1 years)
or Broselow Tape or size of little finger
(-1 if cuffed tube)
 Depth Tip to lip = age/2 + 12, tip
follows chin
+
Paeds Airway
 Classically uncuffed <5mm, cuffed
>5mm due to ?laryngeal stenosis
but can use cuffed tubes in most
(esp high volume low pressure)
but probably need uncuffed in <
1yo, reduce size by 0.5-1mm for
cuffed tubes
 small, straight blade(Miller-
neonate/infant/paed) - lift epiglottis
– vagal stim.
+
Paeds Airway
 Atropine 20mcg/kg
 difficult to perform a tracheostomy
 NGT therapeutic
 http://lifeinthefastlane.com/ccc/paediatric-airway/
+
Case 1 - 11/12 M with SOB, wheeze
 2/7 runny nose, sneezing, cough
 1/7 wheeze, increased WOB, reduced feeds
 PHx Normal Preg, NVD at Term, IUTD no medical
Hx
 3yo sibling has “cold”
 FHx –Asthma, Eczema
 Dx?
+
Bronchiolitis
 2/12 – 1 yrs
 RSV
 Widespread wheeze
 Peaks day 2-3, lasts 7-10/7
 Mild - no resp distress O2sats >93% “Happy Wheezer”
 Mod - some resp distress, reduced feeding, O2sats 90-93%
 Severe - resp distress, lethargy, not feeding, apnoea,
O2sats <90%
+
Bronchiolitis
 R/F for severe illness:
 Young < 6/52
 Ex prem
 Congenital/Chronic Heart/Resp/Neuro
 Reasons for admission:
 Hypoxia <92%
 Not feeding
 <6/52 lower threshold - apnoeas
+
Bronchiolitis
 Ix
 NPA
 CXR
 bloods
 Mx
 Mild - Smaller, more frequent feeds
 Mod - O2 aims Sats >92%, 2/3 of maintenance fluids
 Severe - CPAP/Vent
 Experimental/Controversial:
 Hypertonic Saline neb (24 studies pooled -mod improvement)
 Salbutamol – reasonable in nearly 1 yo
 Steroids
 Adrenaline nebs
 Ribavirin/Immunoglobulin
+
DDx CCF
 Similar Wheeze and resp distress without
infective symptoms
 From newly Dx Congenital Heart Disease, or
arrhythmias
 CHD Multiple types:
 Transposition of great vessels
 Pulmonary/Aortic stenosis
 Hypoplastic left heart
 Tetrallogy of Fallot
+
Duct Dependent CHD
 Adequate Circulation is dependent on a patent
ductus arteriosus:
 Right Heart obstruction – PDA allows blood flow
thru lungs
 Left Heart Obstruction – PDA supplies systemic
circulation
 Transposition allows mixing
 PDA Closure in first few days of life can
precipitate Cardiogenic shock
 Rx is Supportive and Prostaglandin E1 -
Alporstadil to reopen Ductus Arteriosus
+
Case 2
 3 yo SOB with cough, wheeze –
 Previously well, Playing Lego with sibling sudden
onset coughing/SOB/wheeze/vomiting/gagging
 o/e reduced breath sounds on R
 DDx?
+
+
Inhaled Foreign Body
 Esp 1-3yo incomplete chewing, food propelled
posteriorly, triggers reflex inhalation
 Most foreign bodies are radiolucent; need indirect
radiologic findings
 Hyperinflation from ball/valve effect in affected lung
 CXR 70%-80% sensitive, (50% airtrapping, 12%
atelectasis, 18% infection) if N and high index suspicion -
Bronchoscopy
 Can use CT
+
Location, Location
 Small cylindrical/smooth/round - Seeds, nuts, nails,
toys, coins, bone, anything
 Proximal - occluded airway and can’t remove from
mouth – “Café Coronary”
 Back blows and chest thrusts
 Positive pressure ventilation
 Surgical airway
 Partially occluded, distal to Carina – Bronchoscopy
+
6 yo SOB/Chest pain/Dysphagia
– r/o Popcorn L main bronchus
+
Case 3
 2 1/2 yo M presents at 2am with runny nose, fever,
dry cough, quiet inspiratory stidor at rest
 https://www.youtube.com/watch?v=Wvg7HFoKFtY
 Dx Croup
 AKA Laryngotracheobronchitis
+
Croup
 Parainfluenza virus
 6/12 – 3 years old
 Typically present onight, fevers, dry/barking cough,
stridor
+
Management
 O2 sats 96%RA – OK?
 Minimal Handling
 Adrenaline Nebs
 Oral Prednisolone or IM Dexamethasone Big Dose:
(Frank Schann)
 0.6mg/kg IM 2 ½ yo M wt (2.5 +4) x 2 = 13kg
 Dose 13 x 0.6mg = 8mg
+
Racemix v Standard Adrenaline??
 Standard Adrenaline 100% L-isomer,
 1:1000 : 1ml amp = 1mg,
 1:10,000: 10ml amp = 1mg
 Racemix Adrenaline: (Ophthalmic solution)
 50% L-isomer + 50% D-isomer (only 10% as
potent as L-isomer but ? longer effect)
 Equivalent to 1:100 Standard Adrenaline (ie 10 x
more potent that 1:1000)
 Previously thought that D-isomer has less
chronotropic effect on heart
+
Racemix v Standard Adrenaline??
 Both equivalent efficacy
 Dose:
 4-5 vials 1mg Adrenaline in 1ml(1:1000) 0r 1ml of 1% Racemix
Adrenaline solution + 3ml n/saline
 1ml = 0.5ml L-isomer = 5mg Adrenaline, 0.5ml D-isomer =
0.05mg Adrenaline, both effective dose 5.5mg Standard
Adrenaline
 Onset 10mins, Lasts up to 2 hours
+
Case 4
 2 yo F with SOB/fevers/cough/grunting for 5/7
 Pneumonia
+
Pneumonia
Grunting – from closed vocal cords to
provide increased PEEP and keep their
lower airways open- LRTI
+
Pneumonia Bugs and Antis
Age Organisms Antibiotcs
0-1 month Gp B Strep, E Coli,
Listeria, CMV, HSV
Benzyl Pen/Gent
1-3 months C trachomonas-
afeb/mildly unwell
Viral, Strep Pn, S
Aureus
Azithro
BenzylPen
Ceft/Fluclox
3months – 5
yo
Viral, Strep Pn/Staph Amoxil
BenzylPen
Ceftx/Fluclox
> 5yo Viral, Mycoplasma,
Strep Pn, Chlamydia Pn
Adult typical/atypical
Amoxil/Doxy/Azithro
Ceftx/Fluclox
+
Pneumonia Admit v Discharge?
 Admit: iv antis, O2, supportive care
 age < 6/12
 Sp02 <92%
 toxic appearance or severe respiratory distress
 suspected complications (e.g. empyema)
 Immunocompromised
 vomiting/dehydration/not tolerating o intake
 Social
+
+
+
+
Case 5
7 yo F with SOB, wheeze, cough, runny nose
for 2/7
Dx?
Asthma
+
Management 1
 “Hour of Power” nebs vs MDI with spacer
 B agonists 6 puffs < 6yo, 12puffs > 6yo
 Antichol- Ipratropium bromide (Atrovent
20mcg/puff)4 puffs< 6 yo, 8 puffs>6 yo
 O2
 Steroids
 Pred 2mg/kg first dose, then 1mg/kg
subsequent doses
 Iv Methypred 1mg/kg
+
Management 2
 Magnesium (50% 500mg/ml) 50mg/kg iv dilute to 200mls over 20mins
 Consider i.v. Salbutamol (Limited evidence) 5 mcg/kg/min for one
hour as a load, followed by 1-2 mcg/kg/min
 BiPAP/CPAP
 Pros - decreased WOB, improves V/Q Mismatch, recruits alveoli,
increase FiO2
 Cons - hyperinflation – barotrauma, delayed indicated intubation,
vomiting
 No large RCT, 2013 Cochrane Review 5 trials- 206 pts –
inconclusive, some support in observational studies and case series
 Consider in severe asthma with compliant pt to delay/avoid
intubation
 BiPAP PEEP at 3-5 cmH20 iPAP at 7-15 cmH20, target RR<25/min
I:E ratio 1:5
+
Pitfalls
 ?CXR in severe Asthma
 Beware normal pCO2 on VBG
 Should be low with increased RR, will start to rise to normal as pt
tires and then rise above normal values as they develop resp failure
 “Gas Trapping”
 Asthma is disease of expiration
 Progressive inflation of chest
 High Risk of pneumothorax
 Post Intubation – low RR 4-6, normal Tidal volumes, low I:E ratio
 “permissive hypercapnia”
 Disconnect ETT and manually decompress chest and allow
prolonged expiration
+
Paeds SOB - Summary
 Mostly primary resp/infective
 Assess WOB, RR, insp v exp – observe child, don’t
increase distress
 Remember differences in airway Mx eg Miller blade,
uncuffed tube
 Don’t forget CCF, inhaled foreign body
+
References
 RCH clinical guidelines
 EMC Pediatric Breathing Problems
 Life in the Fast Lane
 Medscape
 Waisman Y, Klein BL, Boenning DA et al: Prospective randomized
double-blind study comparing L-epinephrine and racemic
epinephrine aerosols in the treatment of laryngotracheitis (croup).
Pediatrics 1992. Feb; 89(2): 302-6.
 Nebulized Hypertonic Saline for Acute Bronchiolitis in Infants?
Zhang L et al. Pediatrics 2015 Sep 28

Paeds sob version 2

  • 1.
    + Paediatric Shortness of BreathEMC Dr Dane Horsfall FACEM Cabrini Hospital
  • 2.
    + Outline  SOB DDxby age  Most commonly primary resp/infective  Don’t forget other causes:  CCF  Foreign body inhalation  Anaphylaxis  Metabolic – Eg DKA, sepsis, shock – RR very sensitive marker of “unwellness”
  • 3.
    + Assessment  RR, O2sats* Key is recognition of Resp Distress  Work of Breathing  Recession-subcostal/intercostal/suprasternal  Nasal Flaring  Accessory muscle use- sternomastoid  Leaning forward  Inspiratory vs Expiratory Eg’s  Assoc Symptoms  Wheeze  Fever  Cough  Stridor
  • 4.
    + Paediatric Airway  Smaller,Shorter, Floppy, small mandible  Large head (neck flexed), Large tongue  High larynx  Funnelled shaped with anterior angulation  Epiglottis long and stiff  <8 yo narrowest portion = cricoid cartilage (adults = vocal cords)  small diameter of airways -> higher resistance to air flow, easily blocked  highly compliant -> kink  trachea short & in line with right main bronchus
  • 5.
    + Implications  Towel underbody/shoulders extend neck, ETT Formula?  ETT size = age/4 + 4 (age > 1 years) or Broselow Tape or size of little finger (-1 if cuffed tube)  Depth Tip to lip = age/2 + 12, tip follows chin
  • 6.
    + Paeds Airway  Classicallyuncuffed <5mm, cuffed >5mm due to ?laryngeal stenosis but can use cuffed tubes in most (esp high volume low pressure) but probably need uncuffed in < 1yo, reduce size by 0.5-1mm for cuffed tubes  small, straight blade(Miller- neonate/infant/paed) - lift epiglottis – vagal stim.
  • 7.
    + Paeds Airway  Atropine20mcg/kg  difficult to perform a tracheostomy  NGT therapeutic  http://lifeinthefastlane.com/ccc/paediatric-airway/
  • 8.
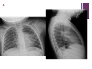
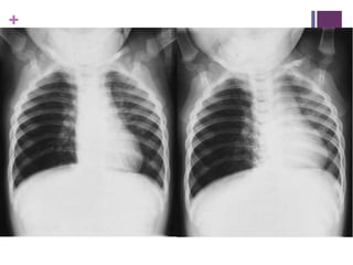
    + Case 1 -11/12 M with SOB, wheeze  2/7 runny nose, sneezing, cough  1/7 wheeze, increased WOB, reduced feeds  PHx Normal Preg, NVD at Term, IUTD no medical Hx  3yo sibling has “cold”  FHx –Asthma, Eczema  Dx?
  • 9.
    + Bronchiolitis  2/12 –1 yrs  RSV  Widespread wheeze  Peaks day 2-3, lasts 7-10/7  Mild - no resp distress O2sats >93% “Happy Wheezer”  Mod - some resp distress, reduced feeding, O2sats 90-93%  Severe - resp distress, lethargy, not feeding, apnoea, O2sats <90%
  • 10.
    + Bronchiolitis  R/F forsevere illness:  Young < 6/52  Ex prem  Congenital/Chronic Heart/Resp/Neuro  Reasons for admission:  Hypoxia <92%  Not feeding  <6/52 lower threshold - apnoeas
  • 11.
    + Bronchiolitis  Ix  NPA CXR  bloods  Mx  Mild - Smaller, more frequent feeds  Mod - O2 aims Sats >92%, 2/3 of maintenance fluids  Severe - CPAP/Vent  Experimental/Controversial:  Hypertonic Saline neb (24 studies pooled -mod improvement)  Salbutamol – reasonable in nearly 1 yo  Steroids  Adrenaline nebs  Ribavirin/Immunoglobulin
  • 12.
    + DDx CCF  SimilarWheeze and resp distress without infective symptoms  From newly Dx Congenital Heart Disease, or arrhythmias  CHD Multiple types:  Transposition of great vessels  Pulmonary/Aortic stenosis  Hypoplastic left heart  Tetrallogy of Fallot
  • 13.
    + Duct Dependent CHD Adequate Circulation is dependent on a patent ductus arteriosus:  Right Heart obstruction – PDA allows blood flow thru lungs  Left Heart Obstruction – PDA supplies systemic circulation  Transposition allows mixing  PDA Closure in first few days of life can precipitate Cardiogenic shock  Rx is Supportive and Prostaglandin E1 - Alporstadil to reopen Ductus Arteriosus
  • 14.
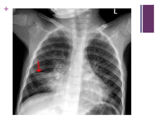
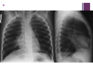
    + Case 2  3yo SOB with cough, wheeze –  Previously well, Playing Lego with sibling sudden onset coughing/SOB/wheeze/vomiting/gagging  o/e reduced breath sounds on R  DDx?
  • 15.
  • 16.
    + Inhaled Foreign Body Esp 1-3yo incomplete chewing, food propelled posteriorly, triggers reflex inhalation  Most foreign bodies are radiolucent; need indirect radiologic findings  Hyperinflation from ball/valve effect in affected lung  CXR 70%-80% sensitive, (50% airtrapping, 12% atelectasis, 18% infection) if N and high index suspicion - Bronchoscopy  Can use CT
  • 17.
    + Location, Location  Smallcylindrical/smooth/round - Seeds, nuts, nails, toys, coins, bone, anything  Proximal - occluded airway and can’t remove from mouth – “Café Coronary”  Back blows and chest thrusts  Positive pressure ventilation  Surgical airway  Partially occluded, distal to Carina – Bronchoscopy
  • 18.
    + 6 yo SOB/Chestpain/Dysphagia – r/o Popcorn L main bronchus
  • 19.
    + Case 3  21/2 yo M presents at 2am with runny nose, fever, dry cough, quiet inspiratory stidor at rest  https://www.youtube.com/watch?v=Wvg7HFoKFtY  Dx Croup  AKA Laryngotracheobronchitis
  • 20.
    + Croup  Parainfluenza virus 6/12 – 3 years old  Typically present onight, fevers, dry/barking cough, stridor
  • 21.
    + Management  O2 sats96%RA – OK?  Minimal Handling  Adrenaline Nebs  Oral Prednisolone or IM Dexamethasone Big Dose: (Frank Schann)  0.6mg/kg IM 2 ½ yo M wt (2.5 +4) x 2 = 13kg  Dose 13 x 0.6mg = 8mg
  • 22.
    + Racemix v StandardAdrenaline??  Standard Adrenaline 100% L-isomer,  1:1000 : 1ml amp = 1mg,  1:10,000: 10ml amp = 1mg  Racemix Adrenaline: (Ophthalmic solution)  50% L-isomer + 50% D-isomer (only 10% as potent as L-isomer but ? longer effect)  Equivalent to 1:100 Standard Adrenaline (ie 10 x more potent that 1:1000)  Previously thought that D-isomer has less chronotropic effect on heart
  • 23.
    + Racemix v StandardAdrenaline??  Both equivalent efficacy  Dose:  4-5 vials 1mg Adrenaline in 1ml(1:1000) 0r 1ml of 1% Racemix Adrenaline solution + 3ml n/saline  1ml = 0.5ml L-isomer = 5mg Adrenaline, 0.5ml D-isomer = 0.05mg Adrenaline, both effective dose 5.5mg Standard Adrenaline  Onset 10mins, Lasts up to 2 hours
  • 24.
    + Case 4  2yo F with SOB/fevers/cough/grunting for 5/7  Pneumonia
  • 25.
    + Pneumonia Grunting – fromclosed vocal cords to provide increased PEEP and keep their lower airways open- LRTI
  • 26.
    + Pneumonia Bugs andAntis Age Organisms Antibiotcs 0-1 month Gp B Strep, E Coli, Listeria, CMV, HSV Benzyl Pen/Gent 1-3 months C trachomonas- afeb/mildly unwell Viral, Strep Pn, S Aureus Azithro BenzylPen Ceft/Fluclox 3months – 5 yo Viral, Strep Pn/Staph Amoxil BenzylPen Ceftx/Fluclox > 5yo Viral, Mycoplasma, Strep Pn, Chlamydia Pn Adult typical/atypical Amoxil/Doxy/Azithro Ceftx/Fluclox
  • 27.
    + Pneumonia Admit vDischarge?  Admit: iv antis, O2, supportive care  age < 6/12  Sp02 <92%  toxic appearance or severe respiratory distress  suspected complications (e.g. empyema)  Immunocompromised  vomiting/dehydration/not tolerating o intake  Social
  • 28.
  • 29.
  • 30.
  • 31.
    + Case 5 7 yoF with SOB, wheeze, cough, runny nose for 2/7 Dx? Asthma
  • 32.
    + Management 1  “Hourof Power” nebs vs MDI with spacer  B agonists 6 puffs < 6yo, 12puffs > 6yo  Antichol- Ipratropium bromide (Atrovent 20mcg/puff)4 puffs< 6 yo, 8 puffs>6 yo  O2  Steroids  Pred 2mg/kg first dose, then 1mg/kg subsequent doses  Iv Methypred 1mg/kg
  • 33.
    + Management 2  Magnesium(50% 500mg/ml) 50mg/kg iv dilute to 200mls over 20mins  Consider i.v. Salbutamol (Limited evidence) 5 mcg/kg/min for one hour as a load, followed by 1-2 mcg/kg/min  BiPAP/CPAP  Pros - decreased WOB, improves V/Q Mismatch, recruits alveoli, increase FiO2  Cons - hyperinflation – barotrauma, delayed indicated intubation, vomiting  No large RCT, 2013 Cochrane Review 5 trials- 206 pts – inconclusive, some support in observational studies and case series  Consider in severe asthma with compliant pt to delay/avoid intubation  BiPAP PEEP at 3-5 cmH20 iPAP at 7-15 cmH20, target RR<25/min I:E ratio 1:5
  • 34.
    + Pitfalls  ?CXR insevere Asthma  Beware normal pCO2 on VBG  Should be low with increased RR, will start to rise to normal as pt tires and then rise above normal values as they develop resp failure  “Gas Trapping”  Asthma is disease of expiration  Progressive inflation of chest  High Risk of pneumothorax  Post Intubation – low RR 4-6, normal Tidal volumes, low I:E ratio  “permissive hypercapnia”  Disconnect ETT and manually decompress chest and allow prolonged expiration
  • 35.
    + Paeds SOB -Summary  Mostly primary resp/infective  Assess WOB, RR, insp v exp – observe child, don’t increase distress  Remember differences in airway Mx eg Miller blade, uncuffed tube  Don’t forget CCF, inhaled foreign body
  • 36.
    + References  RCH clinicalguidelines  EMC Pediatric Breathing Problems  Life in the Fast Lane  Medscape  Waisman Y, Klein BL, Boenning DA et al: Prospective randomized double-blind study comparing L-epinephrine and racemic epinephrine aerosols in the treatment of laryngotracheitis (croup). Pediatrics 1992. Feb; 89(2): 302-6.  Nebulized Hypertonic Saline for Acute Bronchiolitis in Infants? Zhang L et al. Pediatrics 2015 Sep 28