Trauma Management - EMC
Dr Dane Horsfall FACEM
Cabrini Hospital
Summary
• EMST (Early Management of Severe Trauma)-
Aust
– aka ATLS(Advanced Trauma Life Support)-USA
• Systematic, stepwise approach, identify and
treat injuries before progressing
• Focus on critical, life saving interventions
• Cases
Trauma
• Do we see Trauma at Cabrini?
• Effect of centralization of ED Trauma Care
• How should we manage trauma?
Trimodal Trauma Mortality
• Reduce Immediate
deaths with
prevention
• Early ED Mx prevents
early deaths-“Golden
Hour”
– ICH
– Haemorrhagic shock
– Haemo/Pneumothor
ax
• Late –
sepsis/DVT/Pneumo
nia
EMST algorithm-Primary Survey
• A irway, Cx spine
• B reathing/Ventilation
• C irculation/Hemorrhage control
• D isability-GCS/Pupils
• E xposure of pt/check Temp
Primary Survey
• A:
• obstruction – safe maneuvers? –
• only Jaw Thrust,
• CxSpine – ?immobilise/?image
• Trauma = Difficult Airway
• B:
• Tension PTx
• Open PTx
• Flail Chest – Definition, Real problem
• Massive Haemothorax
• C:
• Cardiac Tamponade,
• Hemorrhagic shock, External/Identified vs Occult – abdo vs pelvis
• IV access – Resistance = Length/Radius4
• D –
• expanding intracranial hematoma
EMST - Secondary Survey
• Brief Hx
• Head toe exam
• Log Roll
• Spring Pelvis once only
• including Neuro, check ears/spine/PR
• Check for minor injuries eg finger #
• FAST
• Adjuncts:
– “Trauma Series Xrays” Cx spine lateral/CXR/PXR
– Monitoring
– Bloods
– ECG
– IDC
• Common Language – write notes Primary/Secondary survey
Cx Spine with Airway
• NEXUS
– Neurologic Deficit
– Midline tenderness
– Altered Conscious State
– Intoxication
– Distracting injury
• Canadian Cx spine rules-
– 1. High risk: >65yo, mechanism (fall>3m/axial load/MVA >100km/hr/bike),
paraesthesia = image
– 2. Low Risk- non tender, sitting/walking, low speed MCA = can asses rotation
– 3. 45° rotation = clear
• If in doubt –immobilize
• Elderly at high risk for Cx spine injuries
– Osteoporosis/osteoarthritis/spinal canal stenosis
Case 1: 80 yo F with fall
• Fall in kitchen, L forehead laceration,
confused, L shoulder pain
• On warfarin for AF
• How do you manage this patient?
Primary Survey:
• A - clear, Cx spine nontender ? Collar
• B - equal AE bilat O2sats 96%RA RR 16
• C - HR 95 BP 140/80 no external bleeding
• D - GCS 12 (M5 V4 E3) PEARL
• E - T 35.5
• Management?
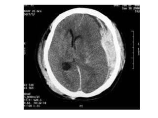
CT Brain
Management
• Prevent Secondary Brain Injury
– Maintain cerebral perfusion (MAP – ICP)
• Head 30° up
• Maintain Normal BP/O2sats/CO2
• NeuroSurg Ref
• Reverse Warfarin (MJA 2013)
Clinical Setting Management – all w/h Warfarin
INR >1.5 + life threatening
bleeding
Vit K 5-10mg, PTX 50 Units/kg, FFP
150-300mls
INR >2.0 clinically significant
bleeding
Vit K 5-10mg, PTX 35-50 Units/kg
INR > 4.5 + bleeding risk high Vit K 1-2mg PO or 0.5-1mg iv
Any INR and minor bleeding risk Just W/H and recheck next day
Case 2 - 26 yo M stab to R anterior chest
• Knife insitu
• Vitals T 36 HR 130 BP 100/40 RR 35 O2sats
91% RA
• Approach?
Primary Survey
• A patent
• Cx spine?
• B
– Open Pneumothorax/Haemothorax
– Mx ICC at separate site, leave knife insitu
• C –
– Haemorrhagic Shock Mx IV resus – iv access/rapid
infuser, urgent Cardiothoracic surgery
Patient Removes Knife…
• Sucking chest wound
• Mx
Case 3 – High speed MCA
• 56 yo F front seat passenger 100km/hr head
on collision, seat belt worn, airbags deployed,
no cabin intrusion
• On arrival to ED T 36 HR 120 BP 90/40 RR 30
O2sats 98%RA
• Approach?
Primary Survey
• A - clear
• Cx Spine - ? Collar
• B – equal AE O2 sats 98%RA
• C – HR 120 BP 80/40
• D – GCS 15 PEARL
• E – T 36
Internal Hemorrhage in Trauma
• Adult Blood Volume 5 L
• ICH : 100-300mls (Brain volume 1.2L)
• Femoral Shaft # : 1-1.5L
• Chest/Abdo/Pelvis : Up to entire Blood
Volume
Where is the Blood?
• Chest – CXR/ICC
• Abdo – FAST/CT*
• Pelvis - PXR
Back to Case 3
• A/Cx Spine/B stable
• C – HR 120 to 140, BP 80/40 to 70/40
• D – GCS 15 to 14, PEARL
• Management?
• Refill the tank - IV resus – crystalloid then
blood
• Find and stop the bleeding
Abdo vs Pelvis
• FAST +ve
• Pelvic #
Haemostasis
• Pelvic Binder
• Laparotomy
• Embolization
Case 4 - 18 yo M MCA
• Ejected high speed rollover Ute crash in
Malvern
• Rx in field- O2, Cx collar, 1 x IVC 500mls
N/Saline bolus
• On arrival in ED: T 34.8 HR 65 BP 80/30 RR 25
O2sats 92%RA
Management
• A – clear
• Cx spine – Leave Collar on
• B – RR 25 O2sats 90%RA – Rx O2, reduce AE L
side
• C – HR 65 BP 80/30 - 2nd IVC Fluid resus, seek
hemorrhage
• D – GCS 15 but unable to move legs, PEARL
• E – 34 - warm
B – Deep Sulcus Sign Rx L ICC
C – Causes of shock?
• HR 60 BP 70/40
• Hemorrhagic
• Neurogenic:
• Spinal injury - loss of sympathetic
outflow, from injuries T6 or higher.
– Hypotension
– Bradycardia
– Peripheral vasodilatation
• Spinal Shock-Not shock but a
– flaccid areflexia after spinal cord injury,
– lasts hours to weeks,
– ‘concussion’ of spinal cord, resolves as
swelling improves
Management
• Haemorrhagic – fluid resus, stop bleeding
• Neurogenic- Fluid Resus, Atropine,
Vasopressors-Noradrenaline, Inotropes-
Adrenaline, address Spinal injury
Spinal Injury Mx
• PR ? Complete/incomplete
• Image entire spine (10% have 2nd #)
• Immobilization - ?Keep on spinal board
• Treat Neurogenic Shock
• A/B(Diaphragm/intercostals)C/D/E
• Pressure care/IDC
• Steroids – No evidence
• Transfer
Case 5 – 8 yo M Bicycle accident
• Hit by car while riding his bike down Wattletree Rd
• Wearing helmet, knocked off bike, MAS scoop and
run
• On arrival Vitals T 36 HR 130(60-130) RR 30 (14-26)
O2sats 93% RA BP 90/50(85/45)
Primary Survey
• A - patent
• Cx spine - ? Collar
• B – contusions L lateral chest wall, reduced AE
L side
• C - HR 130 - 150 BP 90/45 – 80/45, Abdo SNT
FAST negative, Deformed swollen R mid-thigh,
• D GCS 15 PEARL
• E T 36
Primary Survey Interventions
• A -patent
• Cx Collar
• B – O2
• C – 2 x iv attempts unsuccessful,
– IO inserted IVF bolus 20ml/kg
– Splinted femur #
• D/E stable
Progress
• Post initial Mx HR 180 BP
60/30, no AE L chest,
• Possible Dx?
– L Tension Pneumothorax
– L Haemothorax
• Intervention?
– Needle decompression L
chest – hiss of air
– L ICC placed
Progress
• Post insertion L ICC
• HR 130 BP 95/50, but O2sats 93 – 95%
• Notice L chest wall paradoxical movement
with respiration:
• www.youtube.com/watch?v=mJ_FYwUqzsM
• What is happening, and what do you need to
do?
Flail segment
• Causes paradoxical chest wall movement and
ineffective breathing
• Worsened by underlying pulmonary
contusions
• Mx Intubation/Ventilation – Positive pressure
ventilation
Summary:
• EMST structure
• Cx spine assessment with airway
• Seek/Treat life threatening injuries in Primary
Survey – aggressive chest decompression/IVF
resus
• Prompt Warfarin Reversal with hemorrhage
References
• EMST/ATLS Course Manual 8th Edition
• www.mja.com.au/journal/2013/198/4/update
-consensus-guidelines-warfarin-reversal
• www.lifeinthefastlane.com

Trauma

  • 1.
    Trauma Management -EMC Dr Dane Horsfall FACEM Cabrini Hospital
  • 2.
    Summary • EMST (EarlyManagement of Severe Trauma)- Aust – aka ATLS(Advanced Trauma Life Support)-USA • Systematic, stepwise approach, identify and treat injuries before progressing • Focus on critical, life saving interventions • Cases
  • 3.
    Trauma • Do wesee Trauma at Cabrini? • Effect of centralization of ED Trauma Care • How should we manage trauma?
  • 4.
    Trimodal Trauma Mortality •Reduce Immediate deaths with prevention • Early ED Mx prevents early deaths-“Golden Hour” – ICH – Haemorrhagic shock – Haemo/Pneumothor ax • Late – sepsis/DVT/Pneumo nia
  • 5.
    EMST algorithm-Primary Survey •A irway, Cx spine • B reathing/Ventilation • C irculation/Hemorrhage control • D isability-GCS/Pupils • E xposure of pt/check Temp
  • 6.
    Primary Survey • A: •obstruction – safe maneuvers? – • only Jaw Thrust, • CxSpine – ?immobilise/?image • Trauma = Difficult Airway • B: • Tension PTx • Open PTx • Flail Chest – Definition, Real problem • Massive Haemothorax • C: • Cardiac Tamponade, • Hemorrhagic shock, External/Identified vs Occult – abdo vs pelvis • IV access – Resistance = Length/Radius4 • D – • expanding intracranial hematoma
  • 7.
    EMST - SecondarySurvey • Brief Hx • Head toe exam • Log Roll • Spring Pelvis once only • including Neuro, check ears/spine/PR • Check for minor injuries eg finger # • FAST • Adjuncts: – “Trauma Series Xrays” Cx spine lateral/CXR/PXR – Monitoring – Bloods – ECG – IDC • Common Language – write notes Primary/Secondary survey
  • 8.
    Cx Spine withAirway • NEXUS – Neurologic Deficit – Midline tenderness – Altered Conscious State – Intoxication – Distracting injury • Canadian Cx spine rules- – 1. High risk: >65yo, mechanism (fall>3m/axial load/MVA >100km/hr/bike), paraesthesia = image – 2. Low Risk- non tender, sitting/walking, low speed MCA = can asses rotation – 3. 45° rotation = clear • If in doubt –immobilize • Elderly at high risk for Cx spine injuries – Osteoporosis/osteoarthritis/spinal canal stenosis
  • 10.
    Case 1: 80yo F with fall • Fall in kitchen, L forehead laceration, confused, L shoulder pain • On warfarin for AF • How do you manage this patient?
  • 11.
    Primary Survey: • A- clear, Cx spine nontender ? Collar • B - equal AE bilat O2sats 96%RA RR 16 • C - HR 95 BP 140/80 no external bleeding • D - GCS 12 (M5 V4 E3) PEARL • E - T 35.5 • Management?
  • 12.
  • 13.
    Management • Prevent SecondaryBrain Injury – Maintain cerebral perfusion (MAP – ICP) • Head 30° up • Maintain Normal BP/O2sats/CO2 • NeuroSurg Ref • Reverse Warfarin (MJA 2013) Clinical Setting Management – all w/h Warfarin INR >1.5 + life threatening bleeding Vit K 5-10mg, PTX 50 Units/kg, FFP 150-300mls INR >2.0 clinically significant bleeding Vit K 5-10mg, PTX 35-50 Units/kg INR > 4.5 + bleeding risk high Vit K 1-2mg PO or 0.5-1mg iv Any INR and minor bleeding risk Just W/H and recheck next day
  • 14.
    Case 2 -26 yo M stab to R anterior chest • Knife insitu • Vitals T 36 HR 130 BP 100/40 RR 35 O2sats 91% RA • Approach?
  • 15.
    Primary Survey • Apatent • Cx spine? • B – Open Pneumothorax/Haemothorax – Mx ICC at separate site, leave knife insitu • C – – Haemorrhagic Shock Mx IV resus – iv access/rapid infuser, urgent Cardiothoracic surgery
  • 17.
    Patient Removes Knife… •Sucking chest wound • Mx
  • 18.
    Case 3 –High speed MCA • 56 yo F front seat passenger 100km/hr head on collision, seat belt worn, airbags deployed, no cabin intrusion • On arrival to ED T 36 HR 120 BP 90/40 RR 30 O2sats 98%RA • Approach?
  • 19.
    Primary Survey • A- clear • Cx Spine - ? Collar • B – equal AE O2 sats 98%RA • C – HR 120 BP 80/40 • D – GCS 15 PEARL • E – T 36
  • 20.
    Internal Hemorrhage inTrauma • Adult Blood Volume 5 L • ICH : 100-300mls (Brain volume 1.2L) • Femoral Shaft # : 1-1.5L • Chest/Abdo/Pelvis : Up to entire Blood Volume
  • 21.
    Where is theBlood? • Chest – CXR/ICC • Abdo – FAST/CT* • Pelvis - PXR
  • 22.
    Back to Case3 • A/Cx Spine/B stable • C – HR 120 to 140, BP 80/40 to 70/40 • D – GCS 15 to 14, PEARL • Management?
  • 23.
    • Refill thetank - IV resus – crystalloid then blood • Find and stop the bleeding
  • 24.
    Abdo vs Pelvis •FAST +ve • Pelvic #
  • 25.
    Haemostasis • Pelvic Binder •Laparotomy • Embolization
  • 26.
    Case 4 -18 yo M MCA • Ejected high speed rollover Ute crash in Malvern • Rx in field- O2, Cx collar, 1 x IVC 500mls N/Saline bolus • On arrival in ED: T 34.8 HR 65 BP 80/30 RR 25 O2sats 92%RA
  • 27.
    Management • A –clear • Cx spine – Leave Collar on • B – RR 25 O2sats 90%RA – Rx O2, reduce AE L side • C – HR 65 BP 80/30 - 2nd IVC Fluid resus, seek hemorrhage • D – GCS 15 but unable to move legs, PEARL • E – 34 - warm
  • 28.
    B – DeepSulcus Sign Rx L ICC
  • 30.
    C – Causesof shock? • HR 60 BP 70/40 • Hemorrhagic • Neurogenic: • Spinal injury - loss of sympathetic outflow, from injuries T6 or higher. – Hypotension – Bradycardia – Peripheral vasodilatation • Spinal Shock-Not shock but a – flaccid areflexia after spinal cord injury, – lasts hours to weeks, – ‘concussion’ of spinal cord, resolves as swelling improves
  • 31.
    Management • Haemorrhagic –fluid resus, stop bleeding • Neurogenic- Fluid Resus, Atropine, Vasopressors-Noradrenaline, Inotropes- Adrenaline, address Spinal injury
  • 32.
    Spinal Injury Mx •PR ? Complete/incomplete • Image entire spine (10% have 2nd #) • Immobilization - ?Keep on spinal board • Treat Neurogenic Shock • A/B(Diaphragm/intercostals)C/D/E • Pressure care/IDC • Steroids – No evidence • Transfer
  • 33.
    Case 5 –8 yo M Bicycle accident • Hit by car while riding his bike down Wattletree Rd • Wearing helmet, knocked off bike, MAS scoop and run • On arrival Vitals T 36 HR 130(60-130) RR 30 (14-26) O2sats 93% RA BP 90/50(85/45)
  • 34.
    Primary Survey • A- patent • Cx spine - ? Collar • B – contusions L lateral chest wall, reduced AE L side • C - HR 130 - 150 BP 90/45 – 80/45, Abdo SNT FAST negative, Deformed swollen R mid-thigh, • D GCS 15 PEARL • E T 36
  • 35.
    Primary Survey Interventions •A -patent • Cx Collar • B – O2 • C – 2 x iv attempts unsuccessful, – IO inserted IVF bolus 20ml/kg – Splinted femur # • D/E stable
  • 36.
    Progress • Post initialMx HR 180 BP 60/30, no AE L chest, • Possible Dx? – L Tension Pneumothorax – L Haemothorax • Intervention? – Needle decompression L chest – hiss of air – L ICC placed
  • 37.
    Progress • Post insertionL ICC • HR 130 BP 95/50, but O2sats 93 – 95% • Notice L chest wall paradoxical movement with respiration: • www.youtube.com/watch?v=mJ_FYwUqzsM • What is happening, and what do you need to do?
  • 38.
    Flail segment • Causesparadoxical chest wall movement and ineffective breathing • Worsened by underlying pulmonary contusions • Mx Intubation/Ventilation – Positive pressure ventilation
  • 39.
    Summary: • EMST structure •Cx spine assessment with airway • Seek/Treat life threatening injuries in Primary Survey – aggressive chest decompression/IVF resus • Prompt Warfarin Reversal with hemorrhage
  • 40.
    References • EMST/ATLS CourseManual 8th Edition • www.mja.com.au/journal/2013/198/4/update -consensus-guidelines-warfarin-reversal • www.lifeinthefastlane.com

Editor's Notes

  • #9 NEXUS-Neurologic Deficit/Midline Tenderness Present/Altered Consciousness/Intoxication/Distracting Injury Present Candian Cx spine High risk >65yo, mechanism, paraesthesia in limbs Low risk-no midline tenderness/delayed, sitting, ambulating,low speed rearend MCA Rotate 45degrees