OSCE PEDIATRICS
IMAGING part two
X-Rays/CT/MRI
www.dnbpediatrics.com
www.dnbpediatrics.com
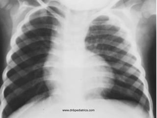
Questions
1. Diagnosis?
2. What are the first two steps in treatment of
hypoxic spell?
3. In a cyanotic newborn, how can you
distinguish pulmonary disease from cyanotic
congenital heart disease?
4. Which cardiac conditions are associated with
following
a. Egg Shaped Heart
b. Snowman silhouette
c. Rib notching
www.dnbpediatrics.com
Answers
1. Cyanotic Congenital Heart Disese
Probably TOF
– The heart size is normal
– Pulmonary vascular markings are decreased
– A hypoplastic main pulmonary artery
segment contributes to the formation of the
“boot-shaped” heart.
1.5
Pediatric cardiology
Myung K Park 5th ed
www.dnbpediatrics.com
Answers
2. Knee Chest Position
Morphine
3. Hyperoxia Test
4. X-ray appearances
a. Egg Shaped Heart Transposition of great arteries
b. Snowman silhouette Total anomalous pulmonary
venous return (supracardiac)
c. Rib notching Co-arctation of aorta (long
standing)
1
1
1
0.5
0.5
0.5
www.dnbpediatrics.com
3 day neonate with
• Lethargy
• Feed refusal
• Abdominal
distension
www.dnbpediatrics.com
Questions
1. What stage of NEC is depicted in the
X-ray?
2. What is the radiological feature of Bell
stage III NEC?
3. Name two more conditions associated
with pneumatosis intestinalis?
www.dnbpediatrics.com
Answers
1. NEC Stage II
2. Pneumoperitoneum
3. Any two of following
Hirschsprung's
disease, Pseudomembranous
enterocolitis, Neonatal ulcerative colitis,
Ischemic bowel disease
1
1
2
www.dnbpediatrics.com
• 6 weeks infant
• Case of Cholestatic
jaundice (Extra-Hepatic
Biliary Atresia)
• c/o swelling left thigh
www.dnbpediatrics.com
Questions
1. What is the likely cause of fracture femur
in this case?
2. How can this complication be prevented?
3. How do you manage pruritus in these
patients?
4. An infant with cholestasis, triangular
facies, and a pulmonic stenosis murmur
is likely to have what syndrome?
www.dnbpediatrics.com
Answers
1. Metabolic Bone disease (secondary to
Vitamin D deficiency due to
malabsorption of fat soluble vitamins)
2. Replace 5,000-8,000 U /d of D2,or
3 -5 µg/kq/d of 25-hydroxycholecalciferol
3. Ursodeoxycholic acid l5-20 mg/kg/day
4. Alagille syndrome
(Arteriohepatic dysplasia)
1
1
1
1
www.dnbpediatrics.com
• Previously healthy 7
years girl c/o
• Sudden onset
weakness right upper
and lower limb
• Facial palsy right
(UMN)
• Normal sensorium
• No fever/ trauma/
seizures
L
c
t
www.dnbpediatrics.com
Questions
1. What is the level of lesion on MRI?
2. What are the structures marked
c
t
3. Which hemoglobinopathy can be
associated with this kind of presentation?
4. A dilated and unreactive pupil indicates
the compression of what structure?
www.dnbpediatrics.com
Answers
1. Infarct in the left basal ganglia, the
posterior limb of internal capsule, and the
head of the caudate
2
www.dnbpediatrics.com
Answers
2. C Caudate
nucleus
T Thalamus
P Putamen
G Globus pallidus
White arrows indicate
the ant and post limbs
of internal capsule
0.5
0.5
www.dnbpediatrics.com
Answers
3. Sickle cell anemia
4. Compression of 3rd cranial nerve
1
1
www.dnbpediatrics.com
• 5 years girl c/o
• Right focal seizureL
www.dnbpediatrics.com
Questions
1. Describe the CT finding specifically the
location of lesion.
2. What is the most probable diagnosis?
3. Name one infectious etiology D/D.
4. What is the treatment?
www.dnbpediatrics.com
Answers
1. Intraparenchymal ring-enhancing lesion
in the left parietal lobe
2. Neurocysticercosis
3. Tuberculoma
4. Corticosteroids starting 2-3 days before
and continuing 2-3 days after
antihelminth
Albendazole
0.5
0.5
1
1
1
1
www.dnbpediatrics.com
1. Diagnosis
2. What are the
embryologic
events that lead to
this development?
3. What are three
causes of
respiratory distress
in a baby born with
this condition?
www.dnbpediatrics.com
Answers
1. Congenital Diagphragmatic Hernia
2. The posterolateral portion of the diaphragm
has remained open between the ninth and
tenth weeks of gestation as a result the viscera
will pass into the chest, and a CDH will result.
3. a) Mechanical compression of the lungs from
the herniated viscera
b) Pulmonary hypoplasia from compression of
the developing lungs in utero
c) Pulmonary hypertension
www.dnbpediatrics.com
www.dnbpediatrics.com
Questions
• Describe the lesion?
• Give two D/D
• What is the triad of tumor lysis syndrome?
www.dnbpediatrics.com
Answers
• Osteolytic lesion of skull
• Histiocytosis
Metastasis
• Hyperuricemia, hyperkalemia, and
hyperphosphatemia
1
1
1
3
www.dnbpediatrics.com
www.dnbpediatrics.com
Questions
1. Describe the X-ray appearance
2. Pathogenesis of the appearance
3. Possible Diagnosis
4. Which disorder is most commonly
associated with an elevated MCHC?
5. How is the corrected reticulocyte count
calculated?
www.dnbpediatrics.com
Answers
1. Sunray appearance
2. Medullary widening
3. Chronic hemolytic anaemia
4. Hereditary spherocytosis
5. Corrected retic count
= reticulocyte % × (patient Hct/normal Hct)
1
1
1
1
1
www.dnbpediatrics.com
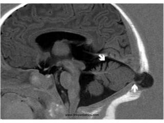
Below is a midline sagittal cut of a MRI scan of the brain.
View the midline anatomic diagram of the brain and identify
the following structures
www.dnbpediatrics.com
Answer
• S - Suprasellar cistern
• P0 - Pons
• P - Midbrain (cerebral peduncles)
• M - Medulla
• C - Quadrigeminal plate (superior
and inferior colliculi)
• Q - Quadrigeminal cistern
• V - Fourth ventricle
1 mark eachwww.dnbpediatrics.com
www.dnbpediatrics.com
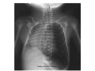
Question
1. Diagnosis?
2. What is the emergency management of
the condition?
3. What is subsequent management after
the emergency management is over?
www.dnbpediatrics.com
Answers
1. Pneumothorax,
with mediastinal shift
2. Put in a needle in second intercostal
space
3. Intercostal drain
1
1
1
1
www.dnbpediatrics.com
www.dnbpediatrics.com
Questions
1. What is the diagnosis?
2. Describe three features seen on the X-
ray of the disease?
3. What biochemical test would help clinch
the diagnosis?
4. What is the treatment of the condition?
www.dnbpediatrics.com
Answers
1. Rickets
2. a) Cupping
b) Slaying
c) Fraying
3. Calcium, Phosphorus, Alkaline
phosphatase
4. Injection Vitamin D 6 lac unit IM stat
PO Calcium
1
0.5
0.5
0.5
1.5
1
1
www.dnbpediatrics.com
www.dnbpediatrics.com
• Describe the lesion?
• Give atleast two D/D
www.dnbpediatrics.com
• Osteolytic lesion of skull
• Histiocytosis
Metastasis
www.dnbpediatrics.com
www.dnbpediatrics.com
Questions
1. Describe the X-ray appearance
2. Pathogenesis of the appearance
3. Possible Diagnosis
www.dnbpediatrics.com
Answers
1. Sunray appearance
2. Medullary widening
3. Chronic hemolytic anaemia
1
1
1
www.dnbpediatrics.com
www.dnbpediatrics.com
Questions
1. What is the diagnosis?
2. What is the clinical sign for the diagnosis
called as?
3. Name one intervention which can lead to
this?
www.dnbpediatrics.com
Answers
1. Pneumopericardium
2. Hammans sign
3. Invasive ventilation with high pressures
1
1
1
www.dnbpediatrics.com
• X-ray neck
lateral view
in a child with
respiratory
distress
www.dnbpediatrics.com
Questions
1. What is the diagnosis?
2. Which is the commonest organism
implicated in this disease?
3. What antibiotics are useful in this
condition?
www.dnbpediatrics.com
Answers
1. Epiglottitis 1
2. Hemophilus influenzae type B 1
3. Cephalosporins/ Ampicillin/ sulbactam 1
www.dnbpediatrics.com
www.dnbpediatrics.com
Questions
1. Diagnosis
2. By what gestational age would this
defect occur?
3. This can be prevented in subsequent
pregnancies by intake of Folic acid. Folic
acid should be taken in what dose and
started when?
www.dnbpediatrics.com
Answers
1. Occipital Encephalocele
2. 26 days post conception
3. Folic acid
Dose: 0.4mg/day
Periconceptional period
1
1
1
1
www.dnbpediatrics.com
Questions
1. Diagnosis
2. What is the clinical
picture?
3. What is the
requirement of echo
before surgery?
www.dnbpediatrics.com
Answers
1. Tracheo-esophageal fistula
2. Excessive drooling
Respiratory distress
3. To rule out associated
Congenital heart diseases
Right sided aorta
www.dnbpediatrics.com
• If patient presents with fever and
toxaemia, give three differential diagnosis
• Give three modalities of management
www.dnbpediatrics.com
1. Lung Abcess
2. Infected Bronchogenic cyst
3. Infected Hydatid Cyst
1. Antibiotics (anaerobic +aerobic)
2. Chest physiotherapy
3. Percutaneous CT guided aspiration
0.5 each
Total 3 markswww.dnbpediatrics.com
Questions
1. What grade of VUR
is shown in MCU?
2. How is VUR
graded?
3. What is normal
bladder capacity?
4. Surgery is the initial
treatment in which
grades of VUR?
www.dnbpediatrics.com
Answers
1. Grade V
2. Grade I: Ureter only
Grade II: Ureter, pelvis, and calices; no dilation, normal
caliceal fornices
Grade III: Mild dilation and/or tortuosity of the ureter
and mild dilation of the renal pelvis; minor blunting
of the fornices
Grade IV: Moderate dilation and/or tortuosity of the
ureter and moderate dilation of the renal
Grade V: Significant blunting of most fornices; papillary
impressions are no longer visible in most of the
calices; gross dilation and tortuosity of the ureter;
gross dilation of the renal pelvis and calices
1
0.5
0.5
0.5
0.5
0.5
www.dnbpediatrics.com
Answers
3. Volume (in ounces) = Patient's age (in
years) + 2.
4. Grade III/IV bilateral reflux
Grade V reflux
0.5
0.5
0.5
www.dnbpediatrics.com
www.dnbpediatrics.com
https://www.facebook.com/groups/dnbpediatrics/

Os i2

  • 1.
    OSCE PEDIATRICS IMAGING parttwo X-Rays/CT/MRI www.dnbpediatrics.com
  • 2.
  • 3.
    Questions 1. Diagnosis? 2. Whatare the first two steps in treatment of hypoxic spell? 3. In a cyanotic newborn, how can you distinguish pulmonary disease from cyanotic congenital heart disease? 4. Which cardiac conditions are associated with following a. Egg Shaped Heart b. Snowman silhouette c. Rib notching www.dnbpediatrics.com
  • 4.
    Answers 1. Cyanotic CongenitalHeart Disese Probably TOF – The heart size is normal – Pulmonary vascular markings are decreased – A hypoplastic main pulmonary artery segment contributes to the formation of the “boot-shaped” heart. 1.5 Pediatric cardiology Myung K Park 5th ed www.dnbpediatrics.com
  • 5.
    Answers 2. Knee ChestPosition Morphine 3. Hyperoxia Test 4. X-ray appearances a. Egg Shaped Heart Transposition of great arteries b. Snowman silhouette Total anomalous pulmonary venous return (supracardiac) c. Rib notching Co-arctation of aorta (long standing) 1 1 1 0.5 0.5 0.5 www.dnbpediatrics.com
  • 6.
    3 day neonatewith • Lethargy • Feed refusal • Abdominal distension www.dnbpediatrics.com
  • 7.
    Questions 1. What stageof NEC is depicted in the X-ray? 2. What is the radiological feature of Bell stage III NEC? 3. Name two more conditions associated with pneumatosis intestinalis? www.dnbpediatrics.com
  • 8.
    Answers 1. NEC StageII 2. Pneumoperitoneum 3. Any two of following Hirschsprung's disease, Pseudomembranous enterocolitis, Neonatal ulcerative colitis, Ischemic bowel disease 1 1 2 www.dnbpediatrics.com
  • 9.
    • 6 weeksinfant • Case of Cholestatic jaundice (Extra-Hepatic Biliary Atresia) • c/o swelling left thigh www.dnbpediatrics.com
  • 10.
    Questions 1. What isthe likely cause of fracture femur in this case? 2. How can this complication be prevented? 3. How do you manage pruritus in these patients? 4. An infant with cholestasis, triangular facies, and a pulmonic stenosis murmur is likely to have what syndrome? www.dnbpediatrics.com
  • 11.
    Answers 1. Metabolic Bonedisease (secondary to Vitamin D deficiency due to malabsorption of fat soluble vitamins) 2. Replace 5,000-8,000 U /d of D2,or 3 -5 µg/kq/d of 25-hydroxycholecalciferol 3. Ursodeoxycholic acid l5-20 mg/kg/day 4. Alagille syndrome (Arteriohepatic dysplasia) 1 1 1 1 www.dnbpediatrics.com
  • 12.
    • Previously healthy7 years girl c/o • Sudden onset weakness right upper and lower limb • Facial palsy right (UMN) • Normal sensorium • No fever/ trauma/ seizures L c t www.dnbpediatrics.com
  • 13.
    Questions 1. What isthe level of lesion on MRI? 2. What are the structures marked c t 3. Which hemoglobinopathy can be associated with this kind of presentation? 4. A dilated and unreactive pupil indicates the compression of what structure? www.dnbpediatrics.com
  • 14.
    Answers 1. Infarct inthe left basal ganglia, the posterior limb of internal capsule, and the head of the caudate 2 www.dnbpediatrics.com
  • 15.
    Answers 2. C Caudate nucleus TThalamus P Putamen G Globus pallidus White arrows indicate the ant and post limbs of internal capsule 0.5 0.5 www.dnbpediatrics.com
  • 16.
    Answers 3. Sickle cellanemia 4. Compression of 3rd cranial nerve 1 1 www.dnbpediatrics.com
  • 17.
    • 5 yearsgirl c/o • Right focal seizureL www.dnbpediatrics.com
  • 18.
    Questions 1. Describe theCT finding specifically the location of lesion. 2. What is the most probable diagnosis? 3. Name one infectious etiology D/D. 4. What is the treatment? www.dnbpediatrics.com
  • 19.
    Answers 1. Intraparenchymal ring-enhancinglesion in the left parietal lobe 2. Neurocysticercosis 3. Tuberculoma 4. Corticosteroids starting 2-3 days before and continuing 2-3 days after antihelminth Albendazole 0.5 0.5 1 1 1 1 www.dnbpediatrics.com
  • 20.
    1. Diagnosis 2. Whatare the embryologic events that lead to this development? 3. What are three causes of respiratory distress in a baby born with this condition? www.dnbpediatrics.com
  • 21.
    Answers 1. Congenital DiagphragmaticHernia 2. The posterolateral portion of the diaphragm has remained open between the ninth and tenth weeks of gestation as a result the viscera will pass into the chest, and a CDH will result. 3. a) Mechanical compression of the lungs from the herniated viscera b) Pulmonary hypoplasia from compression of the developing lungs in utero c) Pulmonary hypertension www.dnbpediatrics.com
  • 22.
  • 23.
    Questions • Describe thelesion? • Give two D/D • What is the triad of tumor lysis syndrome? www.dnbpediatrics.com
  • 24.
    Answers • Osteolytic lesionof skull • Histiocytosis Metastasis • Hyperuricemia, hyperkalemia, and hyperphosphatemia 1 1 1 3 www.dnbpediatrics.com
  • 25.
  • 26.
    Questions 1. Describe theX-ray appearance 2. Pathogenesis of the appearance 3. Possible Diagnosis 4. Which disorder is most commonly associated with an elevated MCHC? 5. How is the corrected reticulocyte count calculated? www.dnbpediatrics.com
  • 27.
    Answers 1. Sunray appearance 2.Medullary widening 3. Chronic hemolytic anaemia 4. Hereditary spherocytosis 5. Corrected retic count = reticulocyte % × (patient Hct/normal Hct) 1 1 1 1 1 www.dnbpediatrics.com
  • 28.
    Below is amidline sagittal cut of a MRI scan of the brain. View the midline anatomic diagram of the brain and identify the following structures www.dnbpediatrics.com
  • 29.
    Answer • S -Suprasellar cistern • P0 - Pons • P - Midbrain (cerebral peduncles) • M - Medulla • C - Quadrigeminal plate (superior and inferior colliculi) • Q - Quadrigeminal cistern • V - Fourth ventricle 1 mark eachwww.dnbpediatrics.com
  • 30.
  • 31.
    Question 1. Diagnosis? 2. Whatis the emergency management of the condition? 3. What is subsequent management after the emergency management is over? www.dnbpediatrics.com
  • 32.
    Answers 1. Pneumothorax, with mediastinalshift 2. Put in a needle in second intercostal space 3. Intercostal drain 1 1 1 1 www.dnbpediatrics.com
  • 33.
  • 34.
    Questions 1. What isthe diagnosis? 2. Describe three features seen on the X- ray of the disease? 3. What biochemical test would help clinch the diagnosis? 4. What is the treatment of the condition? www.dnbpediatrics.com
  • 35.
    Answers 1. Rickets 2. a)Cupping b) Slaying c) Fraying 3. Calcium, Phosphorus, Alkaline phosphatase 4. Injection Vitamin D 6 lac unit IM stat PO Calcium 1 0.5 0.5 0.5 1.5 1 1 www.dnbpediatrics.com
  • 36.
  • 37.
    • Describe thelesion? • Give atleast two D/D www.dnbpediatrics.com
  • 38.
    • Osteolytic lesionof skull • Histiocytosis Metastasis www.dnbpediatrics.com
  • 39.
  • 40.
    Questions 1. Describe theX-ray appearance 2. Pathogenesis of the appearance 3. Possible Diagnosis www.dnbpediatrics.com
  • 41.
    Answers 1. Sunray appearance 2.Medullary widening 3. Chronic hemolytic anaemia 1 1 1 www.dnbpediatrics.com
  • 42.
  • 43.
    Questions 1. What isthe diagnosis? 2. What is the clinical sign for the diagnosis called as? 3. Name one intervention which can lead to this? www.dnbpediatrics.com
  • 44.
    Answers 1. Pneumopericardium 2. Hammanssign 3. Invasive ventilation with high pressures 1 1 1 www.dnbpediatrics.com
  • 45.
    • X-ray neck lateralview in a child with respiratory distress www.dnbpediatrics.com
  • 46.
    Questions 1. What isthe diagnosis? 2. Which is the commonest organism implicated in this disease? 3. What antibiotics are useful in this condition? www.dnbpediatrics.com
  • 47.
    Answers 1. Epiglottitis 1 2.Hemophilus influenzae type B 1 3. Cephalosporins/ Ampicillin/ sulbactam 1 www.dnbpediatrics.com
  • 48.
  • 49.
    Questions 1. Diagnosis 2. Bywhat gestational age would this defect occur? 3. This can be prevented in subsequent pregnancies by intake of Folic acid. Folic acid should be taken in what dose and started when? www.dnbpediatrics.com
  • 50.
    Answers 1. Occipital Encephalocele 2.26 days post conception 3. Folic acid Dose: 0.4mg/day Periconceptional period 1 1 1 1 www.dnbpediatrics.com
  • 51.
    Questions 1. Diagnosis 2. Whatis the clinical picture? 3. What is the requirement of echo before surgery? www.dnbpediatrics.com
  • 52.
    Answers 1. Tracheo-esophageal fistula 2.Excessive drooling Respiratory distress 3. To rule out associated Congenital heart diseases Right sided aorta www.dnbpediatrics.com
  • 53.
    • If patientpresents with fever and toxaemia, give three differential diagnosis • Give three modalities of management www.dnbpediatrics.com
  • 54.
    1. Lung Abcess 2.Infected Bronchogenic cyst 3. Infected Hydatid Cyst 1. Antibiotics (anaerobic +aerobic) 2. Chest physiotherapy 3. Percutaneous CT guided aspiration 0.5 each Total 3 markswww.dnbpediatrics.com
  • 55.
    Questions 1. What gradeof VUR is shown in MCU? 2. How is VUR graded? 3. What is normal bladder capacity? 4. Surgery is the initial treatment in which grades of VUR? www.dnbpediatrics.com
  • 56.
    Answers 1. Grade V 2.Grade I: Ureter only Grade II: Ureter, pelvis, and calices; no dilation, normal caliceal fornices Grade III: Mild dilation and/or tortuosity of the ureter and mild dilation of the renal pelvis; minor blunting of the fornices Grade IV: Moderate dilation and/or tortuosity of the ureter and moderate dilation of the renal Grade V: Significant blunting of most fornices; papillary impressions are no longer visible in most of the calices; gross dilation and tortuosity of the ureter; gross dilation of the renal pelvis and calices 1 0.5 0.5 0.5 0.5 0.5 www.dnbpediatrics.com
  • 57.
    Answers 3. Volume (inounces) = Patient's age (in years) + 2. 4. Grade III/IV bilateral reflux Grade V reflux 0.5 0.5 0.5 www.dnbpediatrics.com
  • 58.