Case 1
An 18-year old male complains of
sudden pain in a swelling, which he
had since childhood on his right
scapula. He had earlier consulted a
doctor for the same swelling, which
gradually grew in size through out
his childhood, was painless and
had stopped growing from past 2
years
1) Diagnosis
• Osteochondroma
– Adolescence (18 years old)
– Swelling
• Develop during childhood
• Painless
• Increase in size
• Stopped growing 2 years ago
Differential diagnosis
• Osteosarcoma
Swelling
 Pain, which becoming worse as the swelling
increases in size
 Pain is usually the first symptom, soon
followed by swelling
 History of trauma
 15-25 years old
• Chondrosarcoma
– Pain
– Swelling
– Usually occur in adults
– Rare in children
• Ewing’s Sarcoma
– Pain and swelling
– No fever
– No history of trauma
2) Pathology and natural history of condition
• Most common benign skeletal tumor, affects
persons 10-35 years of age
• outgrowth of the growth plate (made up of both
bone and cartilage)
• Increase in size
• Stops growing in adults
• can develop as a single tumor
(osteocartilaginous exostosis) or as many tumors
(multiple osteochondromatosis)
• A few cells from the plate grow centrifugally as a
separate lump of bone
• The stalk and part of the head of the tumour are
made up of mature bone.
• Tip is covered with cartilage
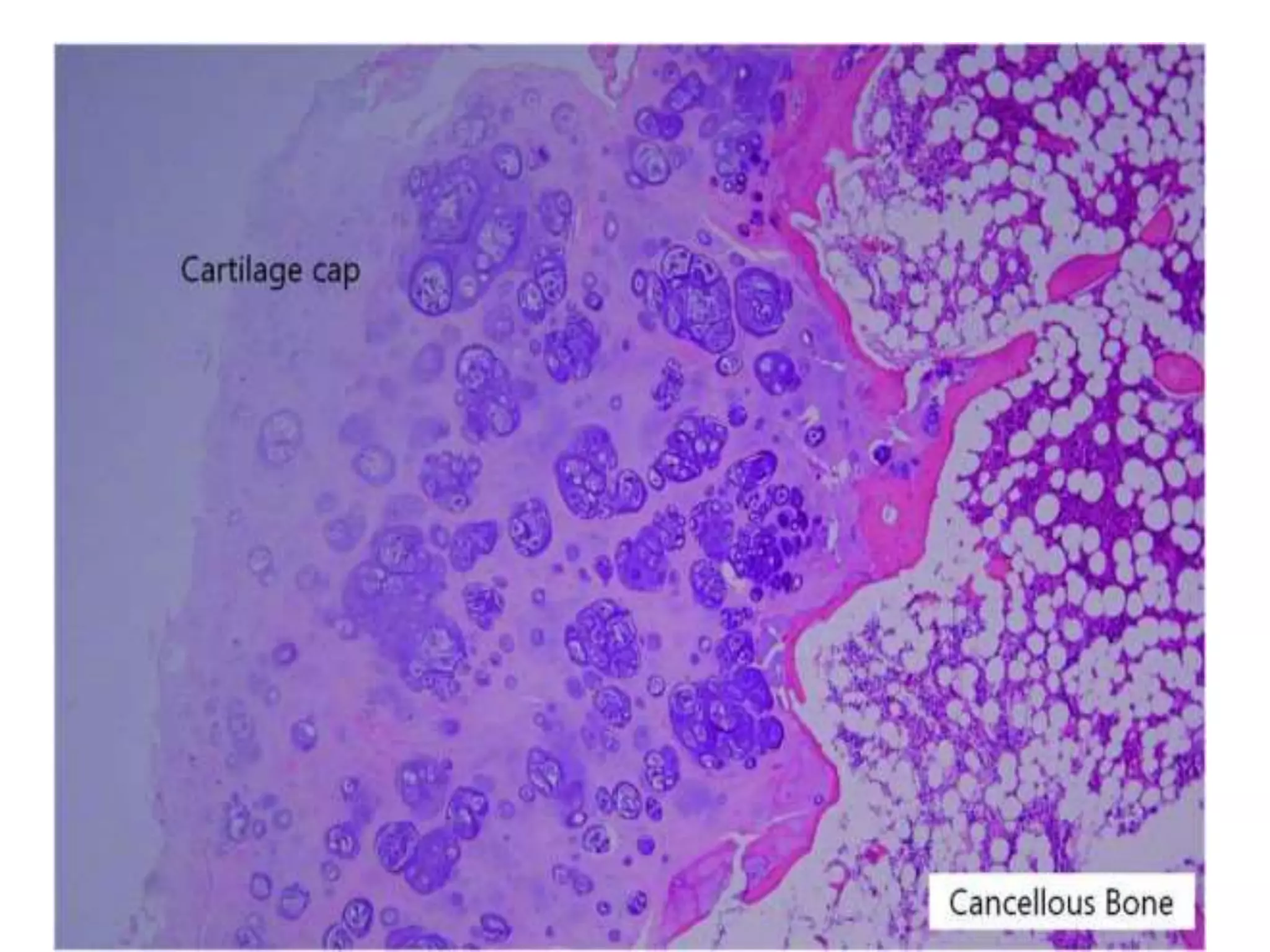
• Gross: Exophytic lesion with cartilage cap
usually less than 2cm in thickness.
• Microscopic: Cartilage cap matures into
trabecular bone; at interface, cartilage cores may
be seen in trabeculae
3) Clinical features + presentation
• Swelling
– Painless
– Sessile or pedunculated
– Increase in size; growth usually ceases at
maturity
• Pain
– Due to bursitis at the tip of the swelling
– Suggestive of malignant transformation
• Signs suggestive of complications
secondary to swelling
– Limitation of joint movements due to
mechanical block by the swelling
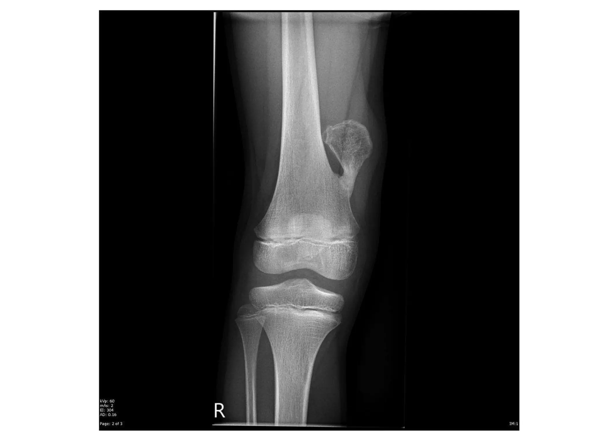
X ray findings, investigations
• X ray
– Bony growth made up of mature cortical bone
• CT scan
– osteochondroma (arrows) originating from the
ventral surface of the scapula, surrounded by
the accompanying bursa.
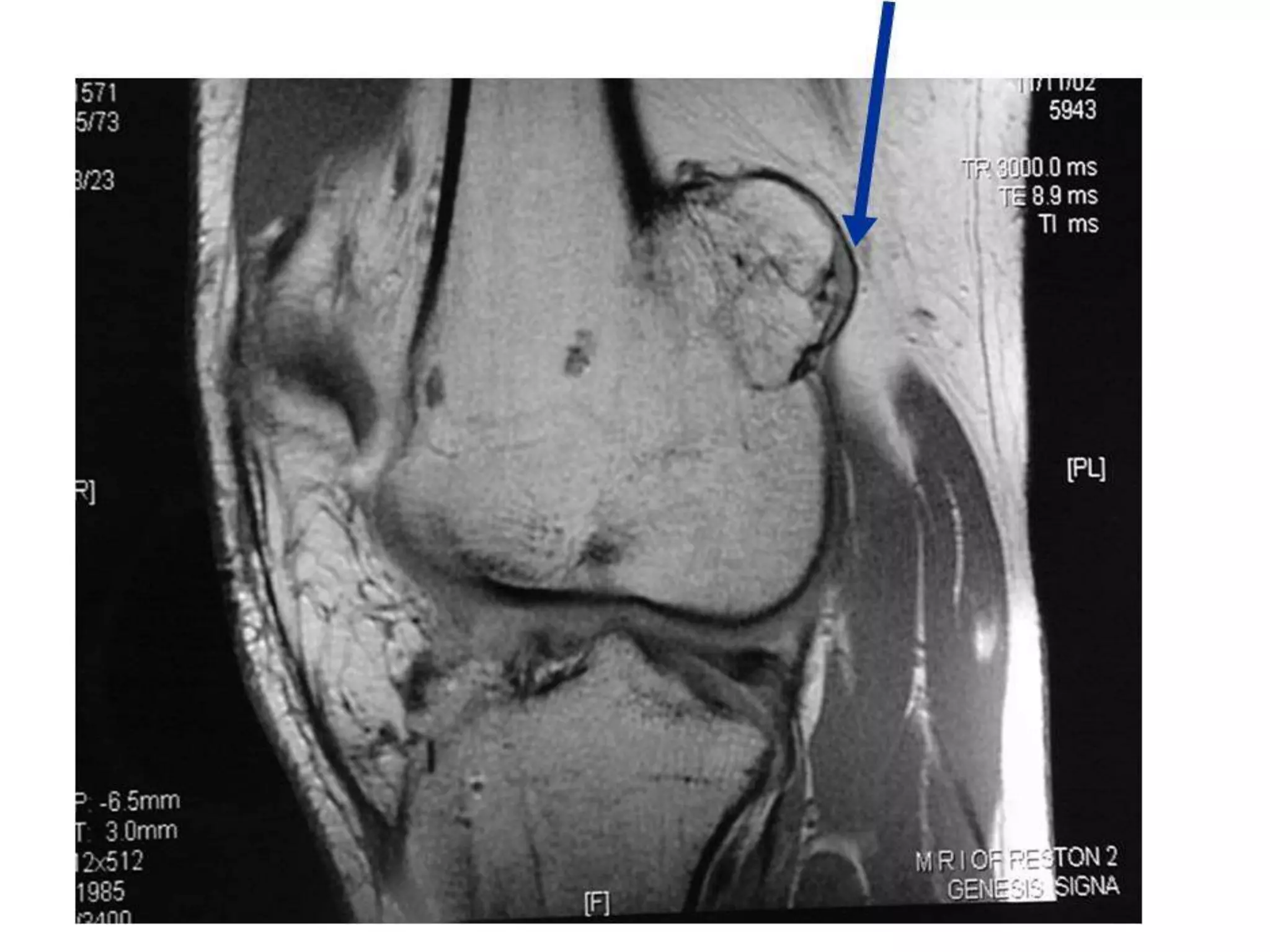
• MRI
– Used to determine thickness of cartilage cap in
evaluation of possible sarcomatous degeneration
– Can readily identify complications including bursa
formation, fracture, and possible neurovascular
impingement
• Bone scan
– Increased uptake may be seen if osteochondroma is
still remodeling
• Increased uptake in a previously cold lesion suggests recent
injury or malignant transformation
– Bone scan useful for the assessment of multiple
lesions
Management of
osteochondroma
Non surgical
• Solitary osteochondroma-careful
observation over time.
Surgical
Consider surgery if the osteochondroma:
• Causes pain
• Puts pressure on a nerve or blood
vessel
• Has a large cap of cartilage
• Excision: Care must be taken to ensure that none
of the cartilage cap or perichondrium is left in the
resection bed; otherwise, there may be a
recurrence. Ideally, the line of resection should be
through the base of the stalk; thus, the entire lesion
is removed en bloc with its fibrous covering.
• If the histology is that of benign cartilage but the
tumour is known for certain to be enlarging after
the end of the growth period, it should be treated
as chondrosarcoma.
• In the skeletally immature patient, care
must be taken to avoid damage to the
growth plate during the exposure and
resection of the lesion.
• Tumor excision, which may include part of
the articular surface, is recommended when
tumors are laterally oriented and include
less than one third of the joint surface.
• Once the wound is healed, follow-up on an
as needed basis is reasonable if no
associated bone deformity or potential
growth-arrest concerns exist.
C
CASE II
By Quah Chee Sian & Afiqi Fikri
Case Scenario
• An 11 year old boy presents with h/o pain
and diffuse bony swelling over the mid
shaft of his right fibula since last one
month.
• The mother gives h/o intermittent fever and
redness at the site of pain.
• He also has LOW and LOA.
Differential Diagnosis
•Ewing’s tumour
•Osteosarcoma
•Osteomyelitis
•Osteoid osteoma
Diagnosis Points
favouring
Points against
Ewing’s tumour  Age 5-15
 Site: Diaphysis
 Femur, tibia,
flat bone
 Pain, Swelling,
often fever for
weeks-months
LOW, LOA
Osteosarcoma  Pain, swelling
 Femur, tibia
 LOW, LOA
 Metaphysis
 Age:15-25
years
Osteomyelitis  Pain, swelling,
redness, fever
 can have LOA,
LOW
 No
sequestrum,
cloacae
 Usually at
metaphysis
 No h/o trauma
Osteoid osteoma  Commonest  Fever
Investigations
• Laboratory:
 FBC (Hb, Hct, TWBC)
 ESR
 Serum ALP
 Serum LDH
• Imaging
X-ray right tibia and fibula (AP and lateral view)
 CT/MRI
 Radioisotope bone scan
• Biopsy & HPE
Clinical Features of Ewing’s
• Highly malignant tumour
• Age: 10-20
• Bones: Long bones (femur, tibia), flat bones (pelvis,
calcaneum), multicentric origin
• Site: Diaphysis
• Pain + Swelling
• Often associated with fever
• Highly radio sensitive
• Very poor prognosis (5 year survival rate 30%)
X-Ray findings
• Usually show an area of bone destruction which,
unlike osteosarcoma, is predominantly in the mid-
diaphysis.
• New bone formation may extend along the shaft and
sometimes appears as fusiform layers of bone
around the lesion – ‘onion-peel’ effect.
• Often the tumour extends into the surrounding
tissues, with radiating streaks of ossification and
reactive periosteal bone at the proximal and distal
margins.
• The ‘sunray’ appearance and Codman’s triangle.
Principles of Treatment
• Highly radio-sensitive tumour which melts quickly
but recurs.
• Distant metastasis is fast
• To control local tumour by radiotherapy (6000 rads)
• To control metastasis by chemotherapy
 Vincristine
 Cyclophosphamide
 Adriamycin
• Repeat every 3-4 weeks for 12-18 cycles.
Best results;
• A course of preoperative neo-adjuvant
chemotherapy
• Then wide excision if tumor is in a favorable site
OR if less accessible;
• Radiotherapy followed by local excision
• Then further chemotherapy course for 1 year
Principles of Treatment
Case 3
SITI NUR AQILAH MOHD AZRY
An 18 year old male presents with increasing
pain and swelling in the lower end of his right
thigh since 3 months.
He noticed the pain first and then the swelling.
He has loss of appetite and complains of
intermittent cough, which has increased since
few days.
He was brought to the hospital yesterday with a
trivial fall and unable to walk and bear weight
on his right lower limb.
CLINICAL DIAGNOSIS
PRIMARY OSTEOSARCOMA
(Osteogenic sarcoma)
• 18 yrs old
(15-25 yrs old commonly/children and adolescents)
• Pain first followed by swelling (quite characteristic)
• Lower end of thigh
(common sites: lower end of femur, upper end of the
tibia/humerus)
• Trivial fall led to fracture
(patient presents usually due to pathological fracture)
• Loss of appetite (constitutional symptoms)
• cough (hematogeous metastasis to lungs)
CLINICAL FEATURES
• Age at onset : 15 – 25 years old
• Pain first noticed, followed by swelling that
increases in size.
• The pain : constant becomes worse at night
and increase in severity as the swelling
increases
• Sometimes patients presents with a
pathological fracture with history of trauma
examination
• Look:
Swelling in metaphyseal region
(lower end of femur, upper end of
tibia/humerus)
Skin is shiny, prominent veins
Margin is not well defined
• Feel:
Local rise in temperature
Tender
Hard consistency (osteoid formation)
Symptoms of neurovascular compression
• Limited movement around the joint
MANAGEMENT
(multidisciplinary approach)
• Confirm diagnosis
• Evaluate spread
• Execute adequate treatment
INVESTIGATIONS
• Radiological examinations
• Serum alkaline phosphatase (SAP)
-Elevated
-Useful for follow up (rise after fall indicate
recurrence)
• ESR
• Biopsy
-Open Biopsy : To confirm the diagnosis
-Core biopsy or FNAC also can be done
Radiological Findings
 hazy osteolytic areas which may alternate with unusually dense
osteoblastic areas.
 Area of irregular destruction in metaphysis, sometimes
overshadowed by new bone formation
 Erosion of cortex overlying lesion
 There may be also a poorly define endosteal margin.
 Periosteal reaction : Tumor lifts the periosteum which is
irregular , smooth layer in OM
 Codman’s triangle: Reactive new bone formation at the angles
of periosteal elevation.
 Sun- ray appearance/Sunburst effect: Growing tumor grows into
the overlying soft tissues, bone laid down along blood vessels
within tumor growing centrifugally
Chest X ray: to detect lung metastasis.
MRI and CT can be done: soft tissue spread
Bone scan: intramedullary spread (skip lesion)
Surgical
• Depending on the site and skip lesion, a
wide resection can be carried out and
replace with a large bone graft or custom-
made implants.
• Tumour excision:
– Marginal excision
– Wide excision
– Radical resection
• Limb salvage- can be done if here is good
local control no skip lesions and if the
functional limb can be preserved
• Amputation-high grade tumour
• Amputation remain as mainstay treatment
• Palliative amputation:
Advanced disease
Pain releif
• Definitive amputation:
Complete removal of tumor, safe margin beyond
tumor (10 cm from tumor margin)
Stump recurrence can be prevented by
chemotherapy
• Level of amputation:
Lower end of femur: mid thigh amputation, hip
disarticulation
Upper end tibia: mid thigh amputation
Upper end humerus: forequarter amputation
NON-SURGICAL
• chemotherapy
 Basic principle: control micrometastasis as assume
happen when diagnosis been made
 Drugs used:
methotrexate, citrovorum factor, endoxan, cisplatinum
• Radiotherapy-in tumors that are inaccessible,
inoperable, close to blood vessels or have advanced
local spread or if refuse surgery
• Immunotherapy
 A portion of tumor implanted to sarcoma survivor,
removed after 14 days
 Sensitized lymphocytes from survivor infused to the
patient, which then selectively kill the cancer cells
PROBLEM BASED LEARNING
CASE IV
YEE ZHEN AUN
(121303148)
CASE SCENARIO
• A 32 year-old lady presents with slowly-growing
swelling over the upper part of her left tibia since
5 months.
• There has been increasing discomfort and pain
over the last few weeks.
• There are no constitutional symptoms but she
also has noticed swelling in her left knee since
few days.
• On examination there is a diffuse bony swelling
over the proximal tibia with areas of crepitus in
between. She also has patellar tap test positive.
DIAGNOSIS
• Giant cell tumor / osteoclastoma at upper end of
left tibia
History
32 year old lady
Slow growing tumor at upper end of left tibia, associated
with pain and discomfort
Absence of constitutional symptoms
Recent knee swelling
Examination
Diffuse bony swelling over proximal left tibia
Crepitus in areas between
Positive patellar tap test: presence of knee effusion
CLINICAL FEATURES
• Age: 20-40 (after epiphyseal fusion)
• Common sites: distal femur, proximal tibia, proximal
humerus and distal radius
• Location: epiphysis
• Presenting complaints: pain at the end of long bone
with swelling; pathological fracture in 10-15% of cases
• Physical findings:
– Bony swelling eccentrically located at the end of a long
bone, with smooth surface, warmth of the overlying tissue,
probably tender and firm on palpation
– Characteristic egg-shell crackling/crepitus (due to the
thinning of the expanding bone around the tumor)
INVESTIGATIONS
• X-ray of the affected bone
A solitary radiolucent lytic lesion
Eccentrically located at the epiphyseal end of long bone
Bounded by subchondral bone plate
Centre showing soap-bubble appearance due to ridging of
the surrounding bone (homogenously lytic with trabecular
of the remnants of bone traversing it, hence giving a
loculated appearance)
Expansion or ballooning of overlying cortex
Thinning out of the overlying cortex, probably perforated at
places
No calcification within tumor, no reactive sclerosis around
the tumor and no invasion of the adjacent joint
INVESTIGATIONS
• Blood investigations
Blood calcium
Phosphate
ALP
(exclude an unusual
“brown tumour”
associated with
hyperparathyroidism)
INVESTIGATIONS
• CT / MRI scan (detailed
staging procedure)
Reveal the extent of the
tumor, both within the
bone and beyond
Establish if the articular
surface is breached
Look for any concomitant
neurovascular structure
involvement
INVESTIGATIONS
• Biopsy (frozen section)
Gross: reddish, fleshy
appearance; comes
away in pieces when
curetted but is difficult
to remove completely
from the surrounding
bone; poorly-defined
edges with extension
into surrounding bone in
aggressive lesions
Histology: abundance of multinucleated giant cells
scattered on a background of stromal cells with
minimal or no intercellular tissue; more cellular
atypia and mitotic figures in aggressive lesion
PRINCIPLES OF TREATMENT
• Well-confined, slow-growing
lesions with benign histology
 Curettage and stripping of the
cavity with burrs and gouges
 Swabbing with hydrogen peroxide
or by application of liquid nitrogen
(cryotherapy)
 Packing with bone chips
• More aggressive lesion
 Excision followed, if necessary, by
bone grafting or prosthetic
replacement
• Tumors in difficult sites like spine
 Supplementary radiotherapy is
sometimes recommended  risk
of malignant transformation
REFERENCES
• W. Aston, T. Briggs, L. Solomon. Tumours. In: L.
Solomon, D. Warwick, S. Nayagam, editors.
Apley’s system of orthopaedics and fractures
(ninth edition). Florida: Taylor & Francis
Group; 2015. p.202-3.
Case 5
A 60 year old man comes to hospital with a
backache for last one month. It is relentless and
progressively increasing. He does not give any history
of trauma or previous history of backache. Serum
electrophoresis shows a monoclonal gammopathy.
His ESR is 100mm in the first hour.
1. Differential diagnosis
i. Multiple myeloma
• Patient’s age is 60 (common age is 45-65)
• Male (common in male)
• Complains of backache (vertebrae is one of the common site)
• Increasing pain (common presenting complaint especially in the
lumbar and thoracic spine)
• Serum electrophoresis shows monoclonal gammopathy (usually
found in association with multiple myeloma)
• High ESR level
ii. Metastatic bone disease
•Common in age 50-70
•Sudden appearance of backache which is severe
(as common site of bone metastatic is vertebra)
•ESR is high
iii. Chondrosarcoma
•Highest incidence in 4th and 5th decade of age
•Men are affected more
•Increasing pain
•High ESR level
iv. Osteosacroma
•Severe backache (can affect any bone)
•Increasing pain
•ESR is high
i. Blood
•Low haemoglobin
•High ESR (usually very high)
•Increased total protein
•Albumin: globulin ratio reversed
•Increase serum calcium
•Normal alkaline phosphatase
ii. Urine
•Bence Jones proteins are found in 30% of cases
iii. Radiological examination
•Multiple punched out lesion in the skull and flat
bone
•Pathological wedge collapse of the vertebrae
(more than one) in the thoracic spine. Pedicles
are usually spared.
•Diffuse, severe rarefaction of bones
•Erosion of the borders of the ribs
iv. Serum electrophoresis
•Abnormal spike in region of gamma globulin
(myeloma spike)
v. Sternal marrow puncture
•Plasmacytosis with typical Myeloma cells may be
seen
vi. Bone biopsy from iliac crest or CT guided needle
biopsy from vertebral lesion may show features
suggestive of multiple myeloma
vii. Bone scan
•Required in cases presenting as solitary bone
lesion, where lesions at other sites may be detected
on a bone scan.
viii. Open biopsy
•Required to confirm the diagnosis
How to diagnose multiple
myeloma?Clonal bone marrow plasma cells ≥10% or
biopsy-proven bony or extramedullary
plasmacytoma and any one or more of the
following CRAB features and myeloma-defining
events:
MANAGEMENT
OF
MULTIPLE MYELOMA
Immediate Pain
Control
General
Supportive
Measures
Treat
Pathological
Fracture
Specific Therapy
Immediate Pain Control
• IV Tramadol 50mg , IV Morphine
General Supportive Measures
• Correction of fluid balance
• Correct Hypercalcemia (serum calcium >0.25 mmol/L)
by Bisphosphonates like pamidronate, zoledronic acid
• Manage other complications – anemia , renal failure
,infection
• Perioperative antibiotic prophylaxis , Pneumococcal
vaccine
Pathological Fracture
• Limb # - internal fixation
Packing of cavities with
methylmethacrylate cement (help to
staunch the profuse bleeding)
• Spinal #- immediate stabilization as it might ends
with cord compression (bracing
or internal fixation)
• Cord compression – Decompression
Specific Therapy
Multiagent chemotherapy
Mainstay of treatment, indications :
• used alone for non transplant candidates
• advanced age >65y
• poor physical condition
Alkylating cytotoxic chemotherapy combined
with steroids :
• melphalan + prednisone + thalidomide or
bortezomib
• lenalidomide + dexamethasone
• thalidomide + dexamethasone
Autologous and allogeneic stem cell transplantation
Not curative but increases disease free survival
by 2-3y
COMPLICATIONS
Evidence of end organ damage that can be attributed
to the underlying plasma cell proliferative disorder.
• Bone problems
Pathological fracture
Spinal cord / root compression
• Impaired immunity
Myeloma cells disturb immune system
balance, impaired Ab production
Prone to infection, pneumonia, sinusitis,
bladder/kidney infection.
• Renal problems
Bone resorption - hypercalcaemia
Myeloma cells - Bence Jones protein interfere
with the kidney ability to
filter blood waste.
Renal insufficiency: creatinine clearance <40
mL per minute or serum creatinine >177µmol/L
(>2mg/dL)
• Anemia
Disturb marrow activity to produce normal
RBC
Kidney damage may interfere erythropoietin
synthesis
PROGNOSIS
Poor with median survival of 2 and 5 years.
CASE 6
• A 55 years old lady complains of acute pain in the
left shoulder region for last 3 weeks.
• The pain is diffuse over the upper end of arm,
relentless and not relieved by analgesics
prescribed by the local doctor. There is no bony
swelling in the painful area. She gives a history of
receiving chemotherapy 3 years back. Bone scan
shows increased uptake at the left proximal
humerus. X-ray shows a lytic lesion in the
proximal humerus. There is also erosion of
cortex.
Differential Diagnosis
Points that suggestive of: points that against it:
1. Metastatic bone tumours
• Age > 50 years bone mets > all primary tumors
together
• acute pain commonest Sx/ often the only Sx
• A ladycommonest cause is ca breast > prostate >
kidney > lung > thyroid > bladder > GIT
• osteolytic lesions on X-ray mets tumour usually
osteolytic
• Hx of chemotherapy suggest that she has been
treated for carcinoma in the past
• Proximal half of humerus is common site for bone
metastases (+proximal half of femur, vertebrae &
pelvis)
-
Points that suggestive of : Points that againts it:
2. Chondrosarcoma
• Age > 50 years (4th-5th
decades)
• Pain
• Male > female
• Acute pain usually present many
month before being discovered
• No bony swelling gradually enlarging
lump
• Proximal half of humerustubular
bone of LL, pelvis and ribs
• osteolytic lesions on X-rayflecks
of calcification with osteolytic
area
3. Osteosarcoma
• Acute pain pain is 1st symptom
• lytic lesion in the proximal humerus on
x-ray
• Age > 50 years children &
adolescents
• No bony swellingrapidly growing
cancer with soft tissue involvement.
Investigations
Blood investigation:
1. FBC : normocytic normochromic anemia
2. ESR : increase suggestive of metastasis
3. BUSE + Creatinine : to check renal function for treatment purpose
4. LFT : ALP increase (not specific ) and
derange in case of secondaries to liver
5. Serum calcium : increase
Imaging :
X-ray : osteolytic lesions with moth eaten appearance in cortex
CXR : TRO primary lesion, pleural effusion and cannon ball apprearance (secondaries)
CT TAP: check for secondaries
MRI: for soft tissue involvement
Radioscintigraphy: bone scan if any other silent secondary site
How do you screen for patients with
metastasis without a known primary?
Medical history and physical exam
– signs or symptoms that suggest you might have cancer,
– complete medical history to check for symptoms and risk factors.
– physical exam that will pay special attention to any parts of the
body where there are symptoms.
Use different types of tests (investigations) to look for cancer
• Imaging tests such as x-rays, ultrasound, or CT scan , MRI
• Endoscopy exams, in which organs are looked at through a lighted tube
placed into a body opening such as the mouth, nose, or anus
• Blood tests
• Biopsies, in which samples of tissues or cells are removed and looked at
under a microscope or tested in the
How do you screen for patients with
metastasis without a known primary?
• Radiological imaging.
– X rays.
• Osteolytic lesion – rarified areas in the medulla or produce a moth-eaten
appearance in the cortex.
• Osteoblastic – mottled increase in density.
– Radioscintigraphy.
• 99mTc – MDP detecting ‘silent’ metastatic deposits in bone.
• Blood.
– High ESR.
– Elevated serum calcium.
– Elevated serum acid phosphatase – prostatic malignancy.
– Tumour associated antigen markers.
• Other investigation.
– Abdominal ultrasound.
– Barium studies.
– Intravenous pyelogram.
– Thyroid scan.
– Biopsy.
How would you treat this patient?
Palliative care.
Aims:
a) To reduce pain
b)Preserve and restore function/ ability
c) Skeletal stabilization
d)Minimize hospital stay
1. Analgesic Symptomatic relief of pain
2. Prophylactic fixation Prevention of pathological fracture.
Mirel’s scoring system
• If the score > 8 then it indicates high risk , thus patient needs IF prior to
radiotherapy
• The preop radionuclide scan will show whether other lesion are present in that
bone, thus calling for more extensive IF and postop RT
3. Radiotherapy ( EBRT) or systemic radionucleotides (strontium treatment)
4. Bisphosphonate reduce pain and decrease skeletal-related
events like fracture and hypercalcemia.
Side effects: kidney damage and osteonecrosis of jaw
Therefore :
– get a dental check-up and have any tooth or jaw problems treated
before they start taking a bisphosphonate.
– Maintaining good oral hygiene by flossing and brushing, making sure
that dentures fit properly
– having regular dental check-ups
Eg.
– Zolendronic acid
– pamidronate
– ibandronate
5. If the patient has hypercalcemia
– Ensure adequate hydration
– Reduce Ca intake
6. Continue treating the primary lesion  if the primary lesion is
due breast cancer patient should be having chemotherapy and
hormone therapy
Common complications
• Pathological fracture.
• Hypercalcaemia.
– Renal acidosis.
– Nephrocalcinosis.
– Unconciousness.
– Coma.
• Surgical complications – infections, bleeding, nerve damage and fat embolism.
References
1. Appley’s System of Orthopaedic and Fracture
2. Davidson’s Principle and Practice of Medicine
3. Bailey & Love’s Short Practice of Surgery
4. Bone metastasis
http://www.cancer.org/acs/groups/cid/documents/webcontent/003087-pdf.pdf
5. UK guidelines for management of bone sarcoma
https://sarcoma.org.uk/sites/default/files/bsg_bone_guideline_in_sarcoma.pdf
6. Cancer of Unknown Primary
http://www.cancer.org/acs/groups/cid/documents/webcontent/003092-pdf.pdf
Case 7
• A 20 year old man comes with a diffuse
bony swelling of the proximal phalanx of
his right index finger.
• There is no history if trauma
How could you do the clinical
examination of this case?
- Compare both upper limbs
- Examine shoulder & elbow and their ROM
- Ask which is the dominant hand
1. Look:
- Skin, palms
- Muscle wasting
- Deformity
- Attitude of fingers and hand:
*in different resting position:
palms upward & downward
Wrist in flexion & extension
- Examine the swelling:
- Site: proximal phalanx of right index finger
- Number, size
- Shape: round/ oval/ irregular
- Overlying skin: normal/ erythematous/ pigmentation/
scar/ ulceration/ sinus/ discharge/ dilated vessels
- Surface: smooth/ lobulated
- Borders: diffuse/ well-defined
- Surrounding skin: normal/ erythematous/ pigmentation/
edematous
2. Feel
- Local rise in temperature, local tenderness
- Skin texture
- Pulse
Swelling:
- Skin over the swelling pinchable?
- Size, surface
- Borders: diffuse/ well-defined
- Consistency: soft/ firm/ hard
- Fixity to skin & deeper structure:
* by flexion and extension of fingers
* tendon stuck with flexion and snaps free with extension
- Fluctuation test, Transillumination test
- Neurovascular examination:
- motor and sensory loss
- radial artery pulsation, capillary refill time
3. Movement
- Active & passive movement: restriction or
tenderness?
- Lagging fingers: palm upwards, extend fingers 
flex into a gentle fist (due to stiff joint, tendon
defect, loss of motor power)
- Abduction & adduction
3. Movement
- Active & passive movement: restriction or
tenderness?
- Lagging fingers: palm upwards, extend
fingers  flex into a gentle fist (due to stiff
joint, tendon defect, loss of motor power)
- Abduction & adduction
4. Functional tests
- Precision grip: picking up a pin
- Pinch grip: hold a shhet of paper
- Sideways pinch: holding a key
- Chuck grip: holding a pen
- Hook grip: holding a bag handle
- Span grip: holding a glass
- Power grip: gripping a hammer handle
Investigations
a) Laboratory investigations:
- FBC, ESR, CRP
b) Imaging:
X-ray of hand
* PA view: misalignment, joint space narrowing,
soft tissue abnormalities
* AP-oblique view: early soft tissue
abnormalities at 2nd-5th proximal phalanges and
MCP joints
c) Biopsy: Needle/ Open/ Excisional biopsy
Differential diagnosis
• Enchondroma
• Simple bone cyst
• Non ossifying fibroma
• Aneurysmal bone cyst
Enchondroma
•Benign condition
•Island of cartilage persist in metaphyses of bone
formed by endochondral ossification
•Pathology:
A lobulated mass of cartilage encapsulated
by fibrous tissue.
Intracellular matrix may undergo mucoid
degeneration
Frequently fibrous septae dividing lobules are
calcified
•Young adults (20-30 years old)
•In any bones preformed in cartilage
•Small bones of hands and feet commonly
• Usually asymptomatic
• Incidental finding on x ray or after pathological fracture
• Long standing swelling from one or more phalanges or
metacarpals, without much pain.
• The swelling increases in size very slowly, may eventually
replace the bone
• X ray:
Expanding lytic lesion in one or more bones
Overlying cortices are thinned out
Tumour matrix: stippled calcification
Mature lesion: Flecks or wisps of calcification within the
luscent area (pathognomonic feature)
• Geographic lesion
• Phalanx is expanded
• Stippled calcification in
lesion
• Significant endosteal
scalloping
• Cortex scalloped and
expanded
• No cortical destruction
• No soft tissue extension
Complications: Malignant change
(rare in children)
< 2% for solitary lesions
30 % in multiple lesion (Ollier’s disease)
100 % for associated haemangiomas (Maffucci’s syndrome)
• Signs of malignant change (in > 30 years old)
Enlargement of cartilage cap in successive examination
Bulky cartilage cap (>1mm thickness)
Irregularly scattered flecks of calcification within cartilage cap
Spread into surrounding soft tissue
Simple bone cyst
• solitary cyst or unicameral bone cyst
• Osteolytic or solid lesion
• Pathology: Cavity lined by thin membrane, contains serous
or serosanguinous yellow coloured fluid
• In children and adolescents.
• Typically in the metaphysis of long bones.
• End of long bone esp. proximal humerus or femur
• metaphysis (might extend up to epiphyseal plate)
• Do not produce much symptoms, tend to heal
spontaneously
• Discovered after a pathological fracture or
incidentally.
• X-ray
well-demarcated, lobulated, radiolucent area in
the metaphysis
Extend up to physeal plate
Cortex may be thinned
Bone expanded
Simple bone cyst in
the upper
metaphyseal region
of the right humerus
(multilocular)
Fallen fragment sign
• Presence of a bone
fragment in the
dependent portion of a
lucent bone lesion
• Pathognomonic of
simple bone cyst
• Seen after pathological
fracture
• ‘fibrous cortical defect’.
• Commonest benign lesion of bone.
• Developmental defect in which a nest of
fibrous tissue appears within the bone and
persists for some years before ossifying.
• Metaphyses of long bones
• Asymptomatic
• X-ray: Oval radiolucent area surrounded by a
thin margin of dense bone
Non ossifying fibroma
Oval radiolucent
area seen in the
tibia
Aneurysmal Bone cyst
• Benign bone lesion
• Any age group, in almost any bone
• Young adults (10-40 years) commonly
• Metaphysis of long bone
• Occasionally in vertebrae and flat bones
• Pathology: A blood-filled space enclosed in a
shell, ballooning up the overlying cortex
• Arise spontaneously, or after degeneration or
haemorrhage in some other lesion
• Expanding lesions—> Pain
• Large cyst: Visible or palpable
swelling.
• X-ray
Eccentric well-defined
radiolucent area
Expansion of overlying cortex
Trabeculation within the
substance
122

Orthopaedics - Bone tumor (compiled cases)

  • 1.
    Case 1 An 18-yearold male complains of sudden pain in a swelling, which he had since childhood on his right scapula. He had earlier consulted a doctor for the same swelling, which gradually grew in size through out his childhood, was painless and had stopped growing from past 2 years
  • 2.
    1) Diagnosis • Osteochondroma –Adolescence (18 years old) – Swelling • Develop during childhood • Painless • Increase in size • Stopped growing 2 years ago
  • 3.
    Differential diagnosis • Osteosarcoma Swelling Pain, which becoming worse as the swelling increases in size  Pain is usually the first symptom, soon followed by swelling  History of trauma  15-25 years old
  • 4.
    • Chondrosarcoma – Pain –Swelling – Usually occur in adults – Rare in children • Ewing’s Sarcoma – Pain and swelling – No fever – No history of trauma
  • 5.
    2) Pathology andnatural history of condition • Most common benign skeletal tumor, affects persons 10-35 years of age • outgrowth of the growth plate (made up of both bone and cartilage) • Increase in size • Stops growing in adults • can develop as a single tumor (osteocartilaginous exostosis) or as many tumors (multiple osteochondromatosis)
  • 6.
    • A fewcells from the plate grow centrifugally as a separate lump of bone • The stalk and part of the head of the tumour are made up of mature bone. • Tip is covered with cartilage • Gross: Exophytic lesion with cartilage cap usually less than 2cm in thickness. • Microscopic: Cartilage cap matures into trabecular bone; at interface, cartilage cores may be seen in trabeculae
  • 8.
    3) Clinical features+ presentation • Swelling – Painless – Sessile or pedunculated – Increase in size; growth usually ceases at maturity
  • 9.
    • Pain – Dueto bursitis at the tip of the swelling – Suggestive of malignant transformation • Signs suggestive of complications secondary to swelling – Limitation of joint movements due to mechanical block by the swelling
  • 11.
    X ray findings,investigations • X ray – Bony growth made up of mature cortical bone
  • 16.
    • CT scan –osteochondroma (arrows) originating from the ventral surface of the scapula, surrounded by the accompanying bursa.
  • 17.
    • MRI – Usedto determine thickness of cartilage cap in evaluation of possible sarcomatous degeneration – Can readily identify complications including bursa formation, fracture, and possible neurovascular impingement • Bone scan – Increased uptake may be seen if osteochondroma is still remodeling • Increased uptake in a previously cold lesion suggests recent injury or malignant transformation – Bone scan useful for the assessment of multiple lesions
  • 19.
  • 20.
    Non surgical • Solitaryosteochondroma-careful observation over time.
  • 21.
    Surgical Consider surgery ifthe osteochondroma: • Causes pain • Puts pressure on a nerve or blood vessel • Has a large cap of cartilage
  • 22.
    • Excision: Caremust be taken to ensure that none of the cartilage cap or perichondrium is left in the resection bed; otherwise, there may be a recurrence. Ideally, the line of resection should be through the base of the stalk; thus, the entire lesion is removed en bloc with its fibrous covering. • If the histology is that of benign cartilage but the tumour is known for certain to be enlarging after the end of the growth period, it should be treated as chondrosarcoma.
  • 25.
    • In theskeletally immature patient, care must be taken to avoid damage to the growth plate during the exposure and resection of the lesion. • Tumor excision, which may include part of the articular surface, is recommended when tumors are laterally oriented and include less than one third of the joint surface. • Once the wound is healed, follow-up on an as needed basis is reasonable if no associated bone deformity or potential growth-arrest concerns exist.
  • 26.
    C CASE II By QuahChee Sian & Afiqi Fikri
  • 27.
    Case Scenario • An11 year old boy presents with h/o pain and diffuse bony swelling over the mid shaft of his right fibula since last one month. • The mother gives h/o intermittent fever and redness at the site of pain. • He also has LOW and LOA.
  • 30.
  • 31.
    Diagnosis Points favouring Points against Ewing’stumour  Age 5-15  Site: Diaphysis  Femur, tibia, flat bone  Pain, Swelling, often fever for weeks-months LOW, LOA Osteosarcoma  Pain, swelling  Femur, tibia  LOW, LOA  Metaphysis  Age:15-25 years Osteomyelitis  Pain, swelling, redness, fever  can have LOA, LOW  No sequestrum, cloacae  Usually at metaphysis  No h/o trauma Osteoid osteoma  Commonest  Fever
  • 32.
    Investigations • Laboratory:  FBC(Hb, Hct, TWBC)  ESR  Serum ALP  Serum LDH • Imaging X-ray right tibia and fibula (AP and lateral view)  CT/MRI  Radioisotope bone scan • Biopsy & HPE
  • 33.
    Clinical Features ofEwing’s • Highly malignant tumour • Age: 10-20 • Bones: Long bones (femur, tibia), flat bones (pelvis, calcaneum), multicentric origin • Site: Diaphysis • Pain + Swelling • Often associated with fever • Highly radio sensitive • Very poor prognosis (5 year survival rate 30%)
  • 34.
    X-Ray findings • Usuallyshow an area of bone destruction which, unlike osteosarcoma, is predominantly in the mid- diaphysis. • New bone formation may extend along the shaft and sometimes appears as fusiform layers of bone around the lesion – ‘onion-peel’ effect. • Often the tumour extends into the surrounding tissues, with radiating streaks of ossification and reactive periosteal bone at the proximal and distal margins. • The ‘sunray’ appearance and Codman’s triangle.
  • 37.
    Principles of Treatment •Highly radio-sensitive tumour which melts quickly but recurs. • Distant metastasis is fast • To control local tumour by radiotherapy (6000 rads) • To control metastasis by chemotherapy  Vincristine  Cyclophosphamide  Adriamycin • Repeat every 3-4 weeks for 12-18 cycles.
  • 38.
    Best results; • Acourse of preoperative neo-adjuvant chemotherapy • Then wide excision if tumor is in a favorable site OR if less accessible; • Radiotherapy followed by local excision • Then further chemotherapy course for 1 year Principles of Treatment
  • 39.
    Case 3 SITI NURAQILAH MOHD AZRY
  • 40.
    An 18 yearold male presents with increasing pain and swelling in the lower end of his right thigh since 3 months. He noticed the pain first and then the swelling. He has loss of appetite and complains of intermittent cough, which has increased since few days. He was brought to the hospital yesterday with a trivial fall and unable to walk and bear weight on his right lower limb.
  • 41.
    CLINICAL DIAGNOSIS PRIMARY OSTEOSARCOMA (Osteogenicsarcoma) • 18 yrs old (15-25 yrs old commonly/children and adolescents) • Pain first followed by swelling (quite characteristic) • Lower end of thigh (common sites: lower end of femur, upper end of the tibia/humerus) • Trivial fall led to fracture (patient presents usually due to pathological fracture) • Loss of appetite (constitutional symptoms) • cough (hematogeous metastasis to lungs)
  • 42.
    CLINICAL FEATURES • Ageat onset : 15 – 25 years old • Pain first noticed, followed by swelling that increases in size. • The pain : constant becomes worse at night and increase in severity as the swelling increases • Sometimes patients presents with a pathological fracture with history of trauma
  • 43.
    examination • Look: Swelling inmetaphyseal region (lower end of femur, upper end of tibia/humerus) Skin is shiny, prominent veins Margin is not well defined
  • 44.
    • Feel: Local risein temperature Tender Hard consistency (osteoid formation) Symptoms of neurovascular compression • Limited movement around the joint
  • 45.
    MANAGEMENT (multidisciplinary approach) • Confirmdiagnosis • Evaluate spread • Execute adequate treatment
  • 46.
    INVESTIGATIONS • Radiological examinations •Serum alkaline phosphatase (SAP) -Elevated -Useful for follow up (rise after fall indicate recurrence) • ESR • Biopsy -Open Biopsy : To confirm the diagnosis -Core biopsy or FNAC also can be done
  • 48.
    Radiological Findings  hazyosteolytic areas which may alternate with unusually dense osteoblastic areas.  Area of irregular destruction in metaphysis, sometimes overshadowed by new bone formation  Erosion of cortex overlying lesion  There may be also a poorly define endosteal margin.  Periosteal reaction : Tumor lifts the periosteum which is irregular , smooth layer in OM  Codman’s triangle: Reactive new bone formation at the angles of periosteal elevation.  Sun- ray appearance/Sunburst effect: Growing tumor grows into the overlying soft tissues, bone laid down along blood vessels within tumor growing centrifugally Chest X ray: to detect lung metastasis. MRI and CT can be done: soft tissue spread Bone scan: intramedullary spread (skip lesion)
  • 50.
    Surgical • Depending onthe site and skip lesion, a wide resection can be carried out and replace with a large bone graft or custom- made implants. • Tumour excision: – Marginal excision – Wide excision – Radical resection • Limb salvage- can be done if here is good local control no skip lesions and if the functional limb can be preserved • Amputation-high grade tumour
  • 51.
    • Amputation remainas mainstay treatment • Palliative amputation: Advanced disease Pain releif • Definitive amputation: Complete removal of tumor, safe margin beyond tumor (10 cm from tumor margin) Stump recurrence can be prevented by chemotherapy
  • 52.
    • Level ofamputation: Lower end of femur: mid thigh amputation, hip disarticulation Upper end tibia: mid thigh amputation Upper end humerus: forequarter amputation
  • 53.
    NON-SURGICAL • chemotherapy  Basicprinciple: control micrometastasis as assume happen when diagnosis been made  Drugs used: methotrexate, citrovorum factor, endoxan, cisplatinum • Radiotherapy-in tumors that are inaccessible, inoperable, close to blood vessels or have advanced local spread or if refuse surgery • Immunotherapy  A portion of tumor implanted to sarcoma survivor, removed after 14 days  Sensitized lymphocytes from survivor infused to the patient, which then selectively kill the cancer cells
  • 54.
    PROBLEM BASED LEARNING CASEIV YEE ZHEN AUN (121303148)
  • 55.
    CASE SCENARIO • A32 year-old lady presents with slowly-growing swelling over the upper part of her left tibia since 5 months. • There has been increasing discomfort and pain over the last few weeks. • There are no constitutional symptoms but she also has noticed swelling in her left knee since few days. • On examination there is a diffuse bony swelling over the proximal tibia with areas of crepitus in between. She also has patellar tap test positive.
  • 56.
    DIAGNOSIS • Giant celltumor / osteoclastoma at upper end of left tibia History 32 year old lady Slow growing tumor at upper end of left tibia, associated with pain and discomfort Absence of constitutional symptoms Recent knee swelling Examination Diffuse bony swelling over proximal left tibia Crepitus in areas between Positive patellar tap test: presence of knee effusion
  • 58.
    CLINICAL FEATURES • Age:20-40 (after epiphyseal fusion) • Common sites: distal femur, proximal tibia, proximal humerus and distal radius • Location: epiphysis • Presenting complaints: pain at the end of long bone with swelling; pathological fracture in 10-15% of cases • Physical findings: – Bony swelling eccentrically located at the end of a long bone, with smooth surface, warmth of the overlying tissue, probably tender and firm on palpation – Characteristic egg-shell crackling/crepitus (due to the thinning of the expanding bone around the tumor)
  • 59.
    INVESTIGATIONS • X-ray ofthe affected bone A solitary radiolucent lytic lesion Eccentrically located at the epiphyseal end of long bone Bounded by subchondral bone plate Centre showing soap-bubble appearance due to ridging of the surrounding bone (homogenously lytic with trabecular of the remnants of bone traversing it, hence giving a loculated appearance) Expansion or ballooning of overlying cortex Thinning out of the overlying cortex, probably perforated at places No calcification within tumor, no reactive sclerosis around the tumor and no invasion of the adjacent joint
  • 61.
    INVESTIGATIONS • Blood investigations Bloodcalcium Phosphate ALP (exclude an unusual “brown tumour” associated with hyperparathyroidism)
  • 62.
    INVESTIGATIONS • CT /MRI scan (detailed staging procedure) Reveal the extent of the tumor, both within the bone and beyond Establish if the articular surface is breached Look for any concomitant neurovascular structure involvement
  • 63.
    INVESTIGATIONS • Biopsy (frozensection) Gross: reddish, fleshy appearance; comes away in pieces when curetted but is difficult to remove completely from the surrounding bone; poorly-defined edges with extension into surrounding bone in aggressive lesions
  • 64.
    Histology: abundance ofmultinucleated giant cells scattered on a background of stromal cells with minimal or no intercellular tissue; more cellular atypia and mitotic figures in aggressive lesion
  • 65.
    PRINCIPLES OF TREATMENT •Well-confined, slow-growing lesions with benign histology  Curettage and stripping of the cavity with burrs and gouges  Swabbing with hydrogen peroxide or by application of liquid nitrogen (cryotherapy)  Packing with bone chips • More aggressive lesion  Excision followed, if necessary, by bone grafting or prosthetic replacement • Tumors in difficult sites like spine  Supplementary radiotherapy is sometimes recommended  risk of malignant transformation
  • 66.
    REFERENCES • W. Aston,T. Briggs, L. Solomon. Tumours. In: L. Solomon, D. Warwick, S. Nayagam, editors. Apley’s system of orthopaedics and fractures (ninth edition). Florida: Taylor & Francis Group; 2015. p.202-3.
  • 67.
    Case 5 A 60year old man comes to hospital with a backache for last one month. It is relentless and progressively increasing. He does not give any history of trauma or previous history of backache. Serum electrophoresis shows a monoclonal gammopathy. His ESR is 100mm in the first hour.
  • 68.
    1. Differential diagnosis i.Multiple myeloma • Patient’s age is 60 (common age is 45-65) • Male (common in male) • Complains of backache (vertebrae is one of the common site) • Increasing pain (common presenting complaint especially in the lumbar and thoracic spine) • Serum electrophoresis shows monoclonal gammopathy (usually found in association with multiple myeloma) • High ESR level
  • 69.
    ii. Metastatic bonedisease •Common in age 50-70 •Sudden appearance of backache which is severe (as common site of bone metastatic is vertebra) •ESR is high
  • 70.
    iii. Chondrosarcoma •Highest incidencein 4th and 5th decade of age •Men are affected more •Increasing pain •High ESR level iv. Osteosacroma •Severe backache (can affect any bone) •Increasing pain •ESR is high
  • 71.
    i. Blood •Low haemoglobin •HighESR (usually very high) •Increased total protein •Albumin: globulin ratio reversed •Increase serum calcium •Normal alkaline phosphatase ii. Urine •Bence Jones proteins are found in 30% of cases
  • 72.
    iii. Radiological examination •Multiplepunched out lesion in the skull and flat bone •Pathological wedge collapse of the vertebrae (more than one) in the thoracic spine. Pedicles are usually spared. •Diffuse, severe rarefaction of bones •Erosion of the borders of the ribs
  • 75.
    iv. Serum electrophoresis •Abnormalspike in region of gamma globulin (myeloma spike) v. Sternal marrow puncture •Plasmacytosis with typical Myeloma cells may be seen vi. Bone biopsy from iliac crest or CT guided needle biopsy from vertebral lesion may show features suggestive of multiple myeloma
  • 76.
    vii. Bone scan •Requiredin cases presenting as solitary bone lesion, where lesions at other sites may be detected on a bone scan. viii. Open biopsy •Required to confirm the diagnosis
  • 77.
    How to diagnosemultiple myeloma?Clonal bone marrow plasma cells ≥10% or biopsy-proven bony or extramedullary plasmacytoma and any one or more of the following CRAB features and myeloma-defining events:
  • 78.
  • 79.
  • 80.
    Immediate Pain Control •IV Tramadol 50mg , IV Morphine General Supportive Measures • Correction of fluid balance • Correct Hypercalcemia (serum calcium >0.25 mmol/L) by Bisphosphonates like pamidronate, zoledronic acid • Manage other complications – anemia , renal failure ,infection • Perioperative antibiotic prophylaxis , Pneumococcal vaccine
  • 81.
    Pathological Fracture • Limb# - internal fixation Packing of cavities with methylmethacrylate cement (help to staunch the profuse bleeding) • Spinal #- immediate stabilization as it might ends with cord compression (bracing or internal fixation) • Cord compression – Decompression
  • 82.
    Specific Therapy Multiagent chemotherapy Mainstayof treatment, indications : • used alone for non transplant candidates • advanced age >65y • poor physical condition Alkylating cytotoxic chemotherapy combined with steroids : • melphalan + prednisone + thalidomide or bortezomib • lenalidomide + dexamethasone • thalidomide + dexamethasone Autologous and allogeneic stem cell transplantation Not curative but increases disease free survival by 2-3y
  • 83.
    COMPLICATIONS Evidence of endorgan damage that can be attributed to the underlying plasma cell proliferative disorder. • Bone problems Pathological fracture Spinal cord / root compression
  • 85.
    • Impaired immunity Myelomacells disturb immune system balance, impaired Ab production Prone to infection, pneumonia, sinusitis, bladder/kidney infection. • Renal problems Bone resorption - hypercalcaemia Myeloma cells - Bence Jones protein interfere with the kidney ability to filter blood waste. Renal insufficiency: creatinine clearance <40 mL per minute or serum creatinine >177µmol/L (>2mg/dL)
  • 86.
    • Anemia Disturb marrowactivity to produce normal RBC Kidney damage may interfere erythropoietin synthesis PROGNOSIS Poor with median survival of 2 and 5 years.
  • 87.
  • 88.
    • A 55years old lady complains of acute pain in the left shoulder region for last 3 weeks. • The pain is diffuse over the upper end of arm, relentless and not relieved by analgesics prescribed by the local doctor. There is no bony swelling in the painful area. She gives a history of receiving chemotherapy 3 years back. Bone scan shows increased uptake at the left proximal humerus. X-ray shows a lytic lesion in the proximal humerus. There is also erosion of cortex.
  • 89.
    Differential Diagnosis Points thatsuggestive of: points that against it: 1. Metastatic bone tumours • Age > 50 years bone mets > all primary tumors together • acute pain commonest Sx/ often the only Sx • A ladycommonest cause is ca breast > prostate > kidney > lung > thyroid > bladder > GIT • osteolytic lesions on X-ray mets tumour usually osteolytic • Hx of chemotherapy suggest that she has been treated for carcinoma in the past • Proximal half of humerus is common site for bone metastases (+proximal half of femur, vertebrae & pelvis) -
  • 90.
    Points that suggestiveof : Points that againts it: 2. Chondrosarcoma • Age > 50 years (4th-5th decades) • Pain • Male > female • Acute pain usually present many month before being discovered • No bony swelling gradually enlarging lump • Proximal half of humerustubular bone of LL, pelvis and ribs • osteolytic lesions on X-rayflecks of calcification with osteolytic area 3. Osteosarcoma • Acute pain pain is 1st symptom • lytic lesion in the proximal humerus on x-ray • Age > 50 years children & adolescents • No bony swellingrapidly growing cancer with soft tissue involvement.
  • 91.
    Investigations Blood investigation: 1. FBC: normocytic normochromic anemia 2. ESR : increase suggestive of metastasis 3. BUSE + Creatinine : to check renal function for treatment purpose 4. LFT : ALP increase (not specific ) and derange in case of secondaries to liver 5. Serum calcium : increase Imaging : X-ray : osteolytic lesions with moth eaten appearance in cortex CXR : TRO primary lesion, pleural effusion and cannon ball apprearance (secondaries) CT TAP: check for secondaries MRI: for soft tissue involvement Radioscintigraphy: bone scan if any other silent secondary site
  • 92.
    How do youscreen for patients with metastasis without a known primary? Medical history and physical exam – signs or symptoms that suggest you might have cancer, – complete medical history to check for symptoms and risk factors. – physical exam that will pay special attention to any parts of the body where there are symptoms. Use different types of tests (investigations) to look for cancer • Imaging tests such as x-rays, ultrasound, or CT scan , MRI • Endoscopy exams, in which organs are looked at through a lighted tube placed into a body opening such as the mouth, nose, or anus • Blood tests • Biopsies, in which samples of tissues or cells are removed and looked at under a microscope or tested in the
  • 93.
    How do youscreen for patients with metastasis without a known primary? • Radiological imaging. – X rays. • Osteolytic lesion – rarified areas in the medulla or produce a moth-eaten appearance in the cortex. • Osteoblastic – mottled increase in density. – Radioscintigraphy. • 99mTc – MDP detecting ‘silent’ metastatic deposits in bone.
  • 94.
    • Blood. – HighESR. – Elevated serum calcium. – Elevated serum acid phosphatase – prostatic malignancy. – Tumour associated antigen markers.
  • 95.
    • Other investigation. –Abdominal ultrasound. – Barium studies. – Intravenous pyelogram. – Thyroid scan. – Biopsy.
  • 96.
    How would youtreat this patient? Palliative care. Aims: a) To reduce pain b)Preserve and restore function/ ability c) Skeletal stabilization d)Minimize hospital stay
  • 97.
    1. Analgesic Symptomaticrelief of pain 2. Prophylactic fixation Prevention of pathological fracture. Mirel’s scoring system • If the score > 8 then it indicates high risk , thus patient needs IF prior to radiotherapy • The preop radionuclide scan will show whether other lesion are present in that bone, thus calling for more extensive IF and postop RT 3. Radiotherapy ( EBRT) or systemic radionucleotides (strontium treatment)
  • 98.
    4. Bisphosphonate reducepain and decrease skeletal-related events like fracture and hypercalcemia. Side effects: kidney damage and osteonecrosis of jaw Therefore : – get a dental check-up and have any tooth or jaw problems treated before they start taking a bisphosphonate. – Maintaining good oral hygiene by flossing and brushing, making sure that dentures fit properly – having regular dental check-ups Eg. – Zolendronic acid – pamidronate – ibandronate
  • 99.
    5. If thepatient has hypercalcemia – Ensure adequate hydration – Reduce Ca intake 6. Continue treating the primary lesion  if the primary lesion is due breast cancer patient should be having chemotherapy and hormone therapy
  • 100.
    Common complications • Pathologicalfracture. • Hypercalcaemia. – Renal acidosis. – Nephrocalcinosis. – Unconciousness. – Coma. • Surgical complications – infections, bleeding, nerve damage and fat embolism.
  • 101.
    References 1. Appley’s Systemof Orthopaedic and Fracture 2. Davidson’s Principle and Practice of Medicine 3. Bailey & Love’s Short Practice of Surgery 4. Bone metastasis http://www.cancer.org/acs/groups/cid/documents/webcontent/003087-pdf.pdf 5. UK guidelines for management of bone sarcoma https://sarcoma.org.uk/sites/default/files/bsg_bone_guideline_in_sarcoma.pdf 6. Cancer of Unknown Primary http://www.cancer.org/acs/groups/cid/documents/webcontent/003092-pdf.pdf
  • 102.
    Case 7 • A20 year old man comes with a diffuse bony swelling of the proximal phalanx of his right index finger. • There is no history if trauma
  • 103.
    How could youdo the clinical examination of this case? - Compare both upper limbs - Examine shoulder & elbow and their ROM - Ask which is the dominant hand 1. Look: - Skin, palms - Muscle wasting - Deformity - Attitude of fingers and hand: *in different resting position: palms upward & downward Wrist in flexion & extension
  • 104.
    - Examine theswelling: - Site: proximal phalanx of right index finger - Number, size - Shape: round/ oval/ irregular - Overlying skin: normal/ erythematous/ pigmentation/ scar/ ulceration/ sinus/ discharge/ dilated vessels - Surface: smooth/ lobulated - Borders: diffuse/ well-defined - Surrounding skin: normal/ erythematous/ pigmentation/ edematous
  • 105.
    2. Feel - Localrise in temperature, local tenderness - Skin texture - Pulse Swelling: - Skin over the swelling pinchable? - Size, surface - Borders: diffuse/ well-defined - Consistency: soft/ firm/ hard - Fixity to skin & deeper structure: * by flexion and extension of fingers * tendon stuck with flexion and snaps free with extension - Fluctuation test, Transillumination test
  • 106.
    - Neurovascular examination: -motor and sensory loss - radial artery pulsation, capillary refill time 3. Movement - Active & passive movement: restriction or tenderness? - Lagging fingers: palm upwards, extend fingers  flex into a gentle fist (due to stiff joint, tendon defect, loss of motor power) - Abduction & adduction
  • 107.
    3. Movement - Active& passive movement: restriction or tenderness? - Lagging fingers: palm upwards, extend fingers  flex into a gentle fist (due to stiff joint, tendon defect, loss of motor power) - Abduction & adduction
  • 108.
    4. Functional tests -Precision grip: picking up a pin - Pinch grip: hold a shhet of paper - Sideways pinch: holding a key - Chuck grip: holding a pen - Hook grip: holding a bag handle - Span grip: holding a glass - Power grip: gripping a hammer handle
  • 109.
    Investigations a) Laboratory investigations: -FBC, ESR, CRP b) Imaging: X-ray of hand * PA view: misalignment, joint space narrowing, soft tissue abnormalities * AP-oblique view: early soft tissue abnormalities at 2nd-5th proximal phalanges and MCP joints c) Biopsy: Needle/ Open/ Excisional biopsy
  • 110.
    Differential diagnosis • Enchondroma •Simple bone cyst • Non ossifying fibroma • Aneurysmal bone cyst
  • 111.
    Enchondroma •Benign condition •Island ofcartilage persist in metaphyses of bone formed by endochondral ossification •Pathology: A lobulated mass of cartilage encapsulated by fibrous tissue. Intracellular matrix may undergo mucoid degeneration Frequently fibrous septae dividing lobules are calcified •Young adults (20-30 years old) •In any bones preformed in cartilage •Small bones of hands and feet commonly
  • 112.
    • Usually asymptomatic •Incidental finding on x ray or after pathological fracture • Long standing swelling from one or more phalanges or metacarpals, without much pain. • The swelling increases in size very slowly, may eventually replace the bone • X ray: Expanding lytic lesion in one or more bones Overlying cortices are thinned out Tumour matrix: stippled calcification Mature lesion: Flecks or wisps of calcification within the luscent area (pathognomonic feature)
  • 113.
    • Geographic lesion •Phalanx is expanded • Stippled calcification in lesion • Significant endosteal scalloping • Cortex scalloped and expanded • No cortical destruction • No soft tissue extension
  • 114.
    Complications: Malignant change (rarein children) < 2% for solitary lesions 30 % in multiple lesion (Ollier’s disease) 100 % for associated haemangiomas (Maffucci’s syndrome) • Signs of malignant change (in > 30 years old) Enlargement of cartilage cap in successive examination Bulky cartilage cap (>1mm thickness) Irregularly scattered flecks of calcification within cartilage cap Spread into surrounding soft tissue
  • 115.
    Simple bone cyst •solitary cyst or unicameral bone cyst • Osteolytic or solid lesion • Pathology: Cavity lined by thin membrane, contains serous or serosanguinous yellow coloured fluid • In children and adolescents. • Typically in the metaphysis of long bones. • End of long bone esp. proximal humerus or femur • metaphysis (might extend up to epiphyseal plate)
  • 116.
    • Do notproduce much symptoms, tend to heal spontaneously • Discovered after a pathological fracture or incidentally. • X-ray well-demarcated, lobulated, radiolucent area in the metaphysis Extend up to physeal plate Cortex may be thinned Bone expanded
  • 117.
    Simple bone cystin the upper metaphyseal region of the right humerus (multilocular) Fallen fragment sign • Presence of a bone fragment in the dependent portion of a lucent bone lesion • Pathognomonic of simple bone cyst • Seen after pathological fracture
  • 118.
    • ‘fibrous corticaldefect’. • Commonest benign lesion of bone. • Developmental defect in which a nest of fibrous tissue appears within the bone and persists for some years before ossifying. • Metaphyses of long bones • Asymptomatic • X-ray: Oval radiolucent area surrounded by a thin margin of dense bone Non ossifying fibroma
  • 119.
  • 120.
    Aneurysmal Bone cyst •Benign bone lesion • Any age group, in almost any bone • Young adults (10-40 years) commonly • Metaphysis of long bone • Occasionally in vertebrae and flat bones • Pathology: A blood-filled space enclosed in a shell, ballooning up the overlying cortex • Arise spontaneously, or after degeneration or haemorrhage in some other lesion
  • 121.
    • Expanding lesions—>Pain • Large cyst: Visible or palpable swelling. • X-ray Eccentric well-defined radiolucent area Expansion of overlying cortex Trabeculation within the substance
  • 122.