NGBOON KEATMOHDHANAFIPSYCHOLOGICALMEDICINECONFERENCE
MR. S55-year-old | Security Guard Married | 3 childrenProgressively worsened disturbed behaviourfor 4 days
HISTORY OF PRESENT ILLNESSBrought by the son to the accident and emergency due to bizarre behaviours:Appeared to be irritable and aggressiveShouting with vulgar wordsNo physical damages to self or other peopleKnown case of psychiatric illness, under UMMC follow-up
WITHIN 3 DAYSDecrease need for sleep Increase activitiesWandering around the house non-stopPacing faster than normalTalkativeDescribed as talking non-senseImpaired functionsCannot do daily activities properlyGetting complains from working colleaguesMood is happy without reason
FURTHER CURRENT HISTORYNo psychotic symptomsNo depressive symptomsClear history of past depressive episodes
WHATDO YOUTHINK?????
PAST PSYCHIATRIC HISTORYSince 2002  Multiple admission due to inappropriate behavior with depression.Treated with:Lorazepam| anxiolyticChlopromazine | antipsychoticPerphenazine | antipsychoticCarbamazepine | anxiolyticPoor compliance to medication
PAST PSYCHIATRIC HISTORY8/02Sm: Abnormal behaviour & EpilepsySurgDx: AVM1/06, 7/06, 12/06Multiple admission on Epilepsy10/09Motor Vehicle accident: cross the highway |polytrauma[contusion, haemothorax, SDH, AVM  Current Admission	2005	       2006	  2007	    2008	     2009	     201012/05Sm: ↓ need of sleep, aggressive [shouting]19/8 – 21/9Stressor: stolen motor,Fired from jobSm: shouting to family, aggitated10/09After operation: ruptured diagphragm with right upper limb fracture
PAST MEDICAL HISTORYKnown case of epilepsy since young.Patient was seeking psychiatric service in UMMC in 2002 and was referred to surgical team the same year.
Diagnosed to have arteriovenous malformation.Healthy without other medical conditions.No previous history of ECT:AVMEpilepsy
Follow-up in neuro-surgical and neuro-medicalclinic.Relatively “stable”
FAMILY HISTORYd. | unknown cause70 | housewife |  no medical illnessNo psychiatric, suicide history in the familyNo history of epilepsy, neurological disease in the family.Family relationships are good.
PERSONAL HISTORY:                        EARLY CHILDHOOD13/4/1955 | AlorStaruncomplicated FTSVD | village midwife.No health problems| Nodevelopmental delay
PERSONAL HISTORY:                      SCHOOL PERFORMANCESRK Kancut| SMK Syed OmarModerate achievement in primary schoolDrop-out of school after SRP due to poor performanceNo disciplinary problemSocialize with friends
PERSONAL HISTORY:                          WORK RECORDSMove to Kuala Lumpur | 18-year-oldWork | security guard since then.Never change his job.Income | around RM1000
PERSONAL HISTORY:                        SEXUAL ATTITUDE AND PRACTICENosexual experience | before marriage1st intercourse |age of 30No history of child abuse
PERSONAL HISTORY: MARRIAGEArrangedby parentsHis wife: 53 year old | Freelance teacher| Had been supportive to the husband despite his condition
HIS CHILDREN55 | retired security53 | housewife |  freelance teacher36 | factory workerd.18 | MVA38 | despatch37 | despatch
PERSONAL HISTORY:                         SOCIO-CULTURAL BACKGROUNDRM5000 family income per month??Socialize with friends?No criminal records$
PERSONAL HISTORY:                    SUBSTANCE USESmoking| 74 pack yearsNo alcohol consumption |No substance abuse
PERSONAL HISTORY:                             PRE-MORBID PERSONALITYProper social | relationshipsStable mood |but depress occasionallyPersonality trait??Weak faith | religionFavouritepast time | sportsCoping skill | sports
MENTAL STATE:                                   GENERAL APPEARANCEAlert | conscious | cooperativeEasily make rapport | poor eye contactHospital attire | unhygienicAnxious | frowning of the forehead
MENTAL STATE:                                 SPEECH & THOUGHT↑ amount | ↑ tone | ↑ ratePressured speechMalay-spoken | coherence but irrelevancethought blocking | flight of ideasNOLoose/clang association | circumstantialities | neologism | obsession/phobua | delusionsSuicidal thought
MENTAL STATE:                                      MOOD & PERCEPTIONSadin moodInappropriate affect | incongruentNOHallucinations| Pseudohallucinations |Illusions| Derealization/Depersonalization| Flashback
MENTAL STATE:                         COGNITIVE FUNCTIONTime, Place, Person | OrientatedRemote, Recent Memory | Good[date of birth & breakfast]5mins memory test | Remember only 1Information/knowledge | AppropriateProverbs | Can answer [Udang di sebalikbatu & sikit-sikit lama-lama jadibukit]Similarities | Give 2[apple & orange: tastes, eaten]
MENTAL STATE:                             COGNITIVE FUNCTION 2Attention | Easily distractedConcentration | Cant do it[serial 7 test, digit span, world backward]Judgement | Cant assess[patient started irritable and agitated]Insight | Poor [he and others do not realised his abnormality | not accept and do not need treatment]
PHYSICAL EXAMINATIONAlert | conscious | not in respiratory distress. 37.5˚C | 92 beats pm | 20 bpm| 120/80. Couldn’t assess1st day | patient irritable and agitated2nd day | patient physically restrained and chemically sedated
IN SUMMARYHistory| irritable, aggressive and shouting for 4 days, with maniac symptoms | no depressive symptoms within the current periodPrevious History | psychiatric illness since 2002 | not complicant with medication | Complicated with AVM and MVAMental State | easilydistracted | mostly cannot assess| poorinsight
WHATIS THE MOSTLIKELYPROVISIONAL DIAGNOSIS?
PROVISIONAL DIAGNOSISBIPOLAR I DISORDERmanic episode The patient has had at least one previous major depressive episode, manic episode, or mixed episode
DIFFERENTIAL DIAGNOSIS
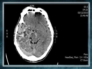
WARD: Investigation doneFull Blood Count | Liver Function Test | Glucose Level | Renal ProfileNormalCT Brain was ordered…..
PROVISIONAL DIAGNOSISORGANIC MOOD DISORDER
FINAL DIAGNOSIS: AXIS
MANAGEMENT IN THE WARD| Psychiatric View | Psychotic medication not aim to cure the organic conditionECT cancelledGiven Rozidal, Carbamazepine, Lorazepam, Chlorphomazine
MANAGEMENT IN THE WARD| Neurosurgical View | CT Brain done  Cerebral oedema and complex AVMNo surgical management available (grade 5 AVM)
DISSCUSIONNEURO-PSYCHOLOGICALCORRELATIONS
FROM THE NEUROLOGICAL ASPECTAVMMania and frontal lobe
MANIA AND FRONTAL LOBESecondary mania can be resulted from frontal lobe lesionMultiple case studies reported that most mania symptoms occurs in RIGHT frontal lobe lesion.Can occur immediately or later in life after injury.
PATHOPHYSIOLOGYNo clear mechanismPostulation: 1. Brain asymmetry causing dis-inhibition syndrome.2. Limbic system damage. Psychosomatics 48:433-435, September-October 2007 doi: 10.1176/appi.psy.48.5.433
AVM: SHORT OVERVIEWPatient has a right extensive fronto-temporo-occipital AVMNot curable in this caseCausing the mood symptoms and epilepsy
AVM: DEFINITIONLesions of the cerebral vasculatureBlood flows from arterial to venous systemWithout capillary systemShunt
AVM: CLINICAL PRESENTATIONClinical presentations:Haemorrhage(41-79%)Seizure(11-33%)HeachePrognosisAverage rate of haemorrhage – 2.8-4.6%
AVM: GRADING
AVM: TREATMENTSurgerynot a chanceVascular surgery not a chanceRadiosurgery only chance for the patient(do in stages)
DSM-IV criteria for mood disorder resulting from medical or neurologic condition, manic type (secondary mania)Elation or irritability Four of the following: inflated self-esteem or grandiositydecreased need for sleeppressured speechflight of ideasDistractibilityincreased goal-directed activity or psychomotor agitationexcessive involvement in pleasurable activities 
ORGANIC MOOD DISORDER: CLASSIFICATIONICD-10   specifies that the affective disorder must be judged not to represent an emotional response to the patient’s knowledge of having a concurrent brain disorder.
MOOD DISORDER(DSM-IV & ICD 10)
ORGANIC MOOD DISORDER: EPIDEMIOLOGYDepression in the medically ill appears to be equally prevalent by sex, or possibly slightly higher in men (Caine and Lyness, 2000).Patients with secondary mania are more likely to have negative family and personal histories of mood disorder (Evans et al., 1995)
ORGANIC MOOD DISORDER: AETIOLOGYcortical degenerationsextrapyramidal disorderscerebrovascular diseasescerebral neoplasms & traumaCNS infections endocrine disordersinflammatory (Cummings and Mega, 2003).
ORGANIC MOOD DISORDER: MANAGEMENTPoststroke Depression  Nortriptylineand trazodone. (Lipsey et al., 1984; Reding et al., 1986). Traumatic Brain Injury Depression Desipramineand sertraline (Wroblewski et al., 1996; Fann et al., 2000).Manic Lithium (Evans et al., 1995). SecondaryMania Clonidine, valproate, carbamazepine and antipsychotics(Bakchine et al., 1989; Starkstein et al., 1991)
Organic Mood Disorder and AVM

Organic Mood Disorder and AVM

  • 1.
  • 2.
    MR. S55-year-old |Security Guard Married | 3 childrenProgressively worsened disturbed behaviourfor 4 days
  • 3.
    HISTORY OF PRESENTILLNESSBrought by the son to the accident and emergency due to bizarre behaviours:Appeared to be irritable and aggressiveShouting with vulgar wordsNo physical damages to self or other peopleKnown case of psychiatric illness, under UMMC follow-up
  • 4.
    WITHIN 3 DAYSDecreaseneed for sleep Increase activitiesWandering around the house non-stopPacing faster than normalTalkativeDescribed as talking non-senseImpaired functionsCannot do daily activities properlyGetting complains from working colleaguesMood is happy without reason
  • 5.
    FURTHER CURRENT HISTORYNopsychotic symptomsNo depressive symptomsClear history of past depressive episodes
  • 6.
  • 7.
    PAST PSYCHIATRIC HISTORYSince2002  Multiple admission due to inappropriate behavior with depression.Treated with:Lorazepam| anxiolyticChlopromazine | antipsychoticPerphenazine | antipsychoticCarbamazepine | anxiolyticPoor compliance to medication
  • 8.
    PAST PSYCHIATRIC HISTORY8/02Sm:Abnormal behaviour & EpilepsySurgDx: AVM1/06, 7/06, 12/06Multiple admission on Epilepsy10/09Motor Vehicle accident: cross the highway |polytrauma[contusion, haemothorax, SDH, AVM Current Admission 2005 2006 2007 2008 2009 201012/05Sm: ↓ need of sleep, aggressive [shouting]19/8 – 21/9Stressor: stolen motor,Fired from jobSm: shouting to family, aggitated10/09After operation: ruptured diagphragm with right upper limb fracture
  • 9.
    PAST MEDICAL HISTORYKnowncase of epilepsy since young.Patient was seeking psychiatric service in UMMC in 2002 and was referred to surgical team the same year.
  • 10.
    Diagnosed to havearteriovenous malformation.Healthy without other medical conditions.No previous history of ECT:AVMEpilepsy
  • 11.
    Follow-up in neuro-surgicaland neuro-medicalclinic.Relatively “stable”
  • 12.
    FAMILY HISTORYd. |unknown cause70 | housewife | no medical illnessNo psychiatric, suicide history in the familyNo history of epilepsy, neurological disease in the family.Family relationships are good.
  • 13.
    PERSONAL HISTORY: EARLY CHILDHOOD13/4/1955 | AlorStaruncomplicated FTSVD | village midwife.No health problems| Nodevelopmental delay
  • 14.
    PERSONAL HISTORY: SCHOOL PERFORMANCESRK Kancut| SMK Syed OmarModerate achievement in primary schoolDrop-out of school after SRP due to poor performanceNo disciplinary problemSocialize with friends
  • 15.
    PERSONAL HISTORY: WORK RECORDSMove to Kuala Lumpur | 18-year-oldWork | security guard since then.Never change his job.Income | around RM1000
  • 16.
    PERSONAL HISTORY: SEXUAL ATTITUDE AND PRACTICENosexual experience | before marriage1st intercourse |age of 30No history of child abuse
  • 17.
    PERSONAL HISTORY: MARRIAGEArrangedbyparentsHis wife: 53 year old | Freelance teacher| Had been supportive to the husband despite his condition
  • 18.
    HIS CHILDREN55 |retired security53 | housewife | freelance teacher36 | factory workerd.18 | MVA38 | despatch37 | despatch
  • 19.
    PERSONAL HISTORY: SOCIO-CULTURAL BACKGROUNDRM5000 family income per month??Socialize with friends?No criminal records$
  • 20.
    PERSONAL HISTORY: SUBSTANCE USESmoking| 74 pack yearsNo alcohol consumption |No substance abuse
  • 21.
    PERSONAL HISTORY: PRE-MORBID PERSONALITYProper social | relationshipsStable mood |but depress occasionallyPersonality trait??Weak faith | religionFavouritepast time | sportsCoping skill | sports
  • 22.
    MENTAL STATE: GENERAL APPEARANCEAlert | conscious | cooperativeEasily make rapport | poor eye contactHospital attire | unhygienicAnxious | frowning of the forehead
  • 23.
    MENTAL STATE: SPEECH & THOUGHT↑ amount | ↑ tone | ↑ ratePressured speechMalay-spoken | coherence but irrelevancethought blocking | flight of ideasNOLoose/clang association | circumstantialities | neologism | obsession/phobua | delusionsSuicidal thought
  • 24.
    MENTAL STATE: MOOD & PERCEPTIONSadin moodInappropriate affect | incongruentNOHallucinations| Pseudohallucinations |Illusions| Derealization/Depersonalization| Flashback
  • 25.
    MENTAL STATE: COGNITIVE FUNCTIONTime, Place, Person | OrientatedRemote, Recent Memory | Good[date of birth & breakfast]5mins memory test | Remember only 1Information/knowledge | AppropriateProverbs | Can answer [Udang di sebalikbatu & sikit-sikit lama-lama jadibukit]Similarities | Give 2[apple & orange: tastes, eaten]
  • 26.
    MENTAL STATE: COGNITIVE FUNCTION 2Attention | Easily distractedConcentration | Cant do it[serial 7 test, digit span, world backward]Judgement | Cant assess[patient started irritable and agitated]Insight | Poor [he and others do not realised his abnormality | not accept and do not need treatment]
  • 27.
    PHYSICAL EXAMINATIONAlert |conscious | not in respiratory distress. 37.5˚C | 92 beats pm | 20 bpm| 120/80. Couldn’t assess1st day | patient irritable and agitated2nd day | patient physically restrained and chemically sedated
  • 28.
    IN SUMMARYHistory| irritable,aggressive and shouting for 4 days, with maniac symptoms | no depressive symptoms within the current periodPrevious History | psychiatric illness since 2002 | not complicant with medication | Complicated with AVM and MVAMental State | easilydistracted | mostly cannot assess| poorinsight
  • 31.
  • 32.
    PROVISIONAL DIAGNOSISBIPOLAR IDISORDERmanic episode The patient has had at least one previous major depressive episode, manic episode, or mixed episode
  • 33.
  • 34.
    WARD: Investigation doneFullBlood Count | Liver Function Test | Glucose Level | Renal ProfileNormalCT Brain was ordered…..
  • 37.
  • 38.
  • 39.
    MANAGEMENT IN THEWARD| Psychiatric View | Psychotic medication not aim to cure the organic conditionECT cancelledGiven Rozidal, Carbamazepine, Lorazepam, Chlorphomazine
  • 40.
    MANAGEMENT IN THEWARD| Neurosurgical View | CT Brain done  Cerebral oedema and complex AVMNo surgical management available (grade 5 AVM)
  • 41.
  • 42.
    FROM THE NEUROLOGICALASPECTAVMMania and frontal lobe
  • 43.
    MANIA AND FRONTALLOBESecondary mania can be resulted from frontal lobe lesionMultiple case studies reported that most mania symptoms occurs in RIGHT frontal lobe lesion.Can occur immediately or later in life after injury.
  • 44.
    PATHOPHYSIOLOGYNo clear mechanismPostulation:1. Brain asymmetry causing dis-inhibition syndrome.2. Limbic system damage. Psychosomatics 48:433-435, September-October 2007 doi: 10.1176/appi.psy.48.5.433
  • 45.
    AVM: SHORT OVERVIEWPatienthas a right extensive fronto-temporo-occipital AVMNot curable in this caseCausing the mood symptoms and epilepsy
  • 46.
    AVM: DEFINITIONLesions ofthe cerebral vasculatureBlood flows from arterial to venous systemWithout capillary systemShunt
  • 47.
    AVM: CLINICAL PRESENTATIONClinicalpresentations:Haemorrhage(41-79%)Seizure(11-33%)HeachePrognosisAverage rate of haemorrhage – 2.8-4.6%
  • 48.
  • 49.
    AVM: TREATMENTSurgerynot achanceVascular surgery not a chanceRadiosurgery only chance for the patient(do in stages)
  • 50.
    DSM-IV criteria formood disorder resulting from medical or neurologic condition, manic type (secondary mania)Elation or irritability Four of the following: inflated self-esteem or grandiositydecreased need for sleeppressured speechflight of ideasDistractibilityincreased goal-directed activity or psychomotor agitationexcessive involvement in pleasurable activities 
  • 51.
    ORGANIC MOOD DISORDER:CLASSIFICATIONICD-10 specifies that the affective disorder must be judged not to represent an emotional response to the patient’s knowledge of having a concurrent brain disorder.
  • 52.
  • 53.
    ORGANIC MOOD DISORDER:EPIDEMIOLOGYDepression in the medically ill appears to be equally prevalent by sex, or possibly slightly higher in men (Caine and Lyness, 2000).Patients with secondary mania are more likely to have negative family and personal histories of mood disorder (Evans et al., 1995)
  • 54.
    ORGANIC MOOD DISORDER:AETIOLOGYcortical degenerationsextrapyramidal disorderscerebrovascular diseasescerebral neoplasms & traumaCNS infections endocrine disordersinflammatory (Cummings and Mega, 2003).
  • 55.
    ORGANIC MOOD DISORDER:MANAGEMENTPoststroke Depression  Nortriptylineand trazodone. (Lipsey et al., 1984; Reding et al., 1986). Traumatic Brain Injury Depression Desipramineand sertraline (Wroblewski et al., 1996; Fann et al., 2000).Manic Lithium (Evans et al., 1995). SecondaryMania Clonidine, valproate, carbamazepine and antipsychotics(Bakchine et al., 1989; Starkstein et al., 1991)

Editor's Notes

  • #23 Unhyeginiec – urine smell/split his sputum on the floor
  • #24 Flight of ideas – Taman medan Taman DesaRia  Bangunan tinggi2
  • #35 Investigation?????????
  • #55 Secondary mania closed head injury, and relatively frequent occurrence of irritability, aggression and hypersexuality has important implications for management of these patients. The major neuroanatomic correlate of mania after TBI is the presence of anterior temporal lesions (Robinson et al., 2000). Infectious processes, including HIV infection, may also be an important risk factor for the development of secondary mania, and it has been suggested that mania occurring late in HIV infection is likely the result of HIV effects on the CNS, while mania that occurs early in asymptomatic HIV seropositive patients may be more etiologically related to genetic predisposition (Evans et al., 1995).