Common Oral Mucosal Diseases

                         Wen-Chen Wang, DDS, MS, Ph.D
Assistant professor of Dept. of Oral Pathology, Faculty of Dentistry, College of
Dental Medicine, Kaohsiung Medical University, Kaohsiung, Taiwan
Head of Dental Dept., Kaohsiung Municipal Ta-Tung Hospital, Kaohsiung, Taiwan
E-mail: wcwang@kmu.edu.tw




                                                                    Wen-Chen Wang
Oral mucosa


        MUCOUS MEMBRANE
Definition:
 -Moist lining of the intestinal tract, nasal passages
and other body cavities that communicate with the
exterior
Oral mucosa:
 
Oral mucous membrane




                                                                           Wen-Chen Wang
               Ref: Antonio Nanci: Ten Cate’s Oral Histology, Development, structure, and function 6th ed
Oral mucosa
          STRUCTURE OF ORAL
               MUCOSA
                                      B.V.
                                                                          N.
  --Similar to skin
Epithelium………………
            ..epidermis
* Epithelial ridges, rete pegs
Lamina propria………...
                ..dermis
Submucosa……………...
      ..subcutaneous
                                                               Wen-Chen Wang
                                 Ref: BJ Orban:Orban’s oral histology and embryology,9th ed.
Oral mucosa


FUNCTIONAL CLASSIFICATION
    OF ORAL MUCOSA
 Keratinized areas
 …Masticatory mucosa
  hard palate & gingiva
  vermilion border

 Nonkeratinized areas
 …Lining or reflecting mucosa
  lip, cheek, alveolar mucosa, vestibular fornix,
   mouth floor, soft palate, ventrum of tongue
 Specialized mucosa
  dorsum of tongue

                                        Wen-Chen Wang
Oral mucosa




FUNCTIONS OF ORAL MUCOSA

     Protection
     Sensation

     Secretion

     Thermal regulation


                       Wen-Chen Wang
METHODS OF ORAL DIAGNOSIS

       History taking
       Inspection
       Oral examination
        -Palpation
        -Percussion
        -Aspiration,
        -Auscultation
       Radiographic examination
       Laboratory examination Wen-Chen Wang
History Taking
   What, where, when, how
   Chief complaints
   Present illness
   Past medical history
    Family history
    Social history
    Occupational history
    Dental history
   Review of symptoms by system
                             Wen-Chen Wang
Chief Complaints
   Pain                Bad taste
   Soreness            Halitosis

   Burning sensation   Parthesia and anesthesia

   Bleeding            Recent occlusal problem

   Loose teeth         Too much saliva

   Dry mouth           Delayed tooth eruption

   Swelling

                                      Wen-Chen Wang
Onset and Courses
1. Masses increase in size just before
   eating
     ex. salivary retention phenomena,
         sialolithiasis

2. Slow-growing masses (duration of
   months to years)
     1) Reactive hyperplasia
     2) Chronic infection
     3) Cysts
     4) Benign tumors             Wen-Chen Wang
3. Moderately rapid-growing masses
   (weeks to about 2 months)
    1) Chronic infection
    2) Cysts
    3) Malignant tumors



                              Wen-Chen Wang
4. Rapidly growing masses (hrs to days)
    1) Abscess (painful)
    2) Infected cyst (painful)
    3) Aneurysm
    4) Salivary retention phenomena
    5) Hematomas


5. Masses with accompanying fever
    1) Infections
    2) lymphoma, leukemia
                                      Wen-Chen Wang
Inspection

 Location
 Contours

 Color

 Surfaces




                 Wen-Chen Wang
Contours
 Normal & variation



Color
 Masticatory mucosa vs lining
  mucosa
                            Wen-Chen Wang
Color
   Normal: pinkish

   Whitish :Epithelial hyperplasia, Hyperkeratosis
             or dense collagen bundle
   Reddish:atrophic epithelium、vessels dilatation
             or hyperplasia
   Blackish:nevus, tattoo, melanosis
   Yellowish: adipose tissue, glands
   Translucent blue :reflection of liquid

                                         Wen-Chen Wang
Leukoplakia
Hemangioma




             Wen-Chen Wang
Peutz-Jegher’s syndrome
Fordyce’s granule
Mucocele
Betel nut chewer’s mucosa
Surfaces

Normal –
 smooth & glistening, except dorsal
 tongue, rugae & attached gingiva




                             Wen-Chen Wang
Pathologic Mass May Be--
1) Smooth surface
 -arises beneath epi, originates from
 mesenchyme
 ex : benign & early maligant salivary gland tumors,
     benign & malig. mesenchymal T.
     ( fibroma, osteoma, hemangioma,
     myoma…), cellulitis, mucocele…

                                          Wen-Chen Wang
irritation fibroma




                     MixedWen-Chen Wang
                          tumor
2) Rough surface
-except due to
trauma, infection
and maligancy,
originates in the
epithelium
  ex: papilloma, VH
V.ca, ulcerative &
exophytic SCC
                      Ref: NK wood, PW Goaz: Differential diagnosis of oral and maxillofacial lesions 5th ed

                                                                          Wen-Chen Wang
Wen-Chen Wang
3) Sessile or pedunculate

 Pyogenic granuloma
Palpation
--A third eye of clinical examination
   Anatomic regions & planes involved
   Mobility
   Extent
   Consistency
   Painless, tender or painful
   Unilateral or bilateral
   Solitary or multiple


                                        Wen-Chen Wang
Anatomic Regions & Planes Involved

   Locates a firm mass, superficial or deep
   Difficult if swelling or painful




                                        Wen-Chen Wang
Mobility
1. free movable
2. fixed to skin but not to the
   underlying tissue
3. free movable to the skin but
   fixed to the underlying tissue


                               Wen-Chen Wang
4. bound to both skin or mucosa
   and to the underlying tissue
1) fibrosis-after a previous inflammation.
2) malignant- from skin or mucosa invade
   to underlying tissue
3) malignant- from deeper tissue invade to
   surface epithelium
4) malignant- from loose CT to both the
   superficial & the deeper layers
                                   Wen-Chen Wang
Extent

   Whether a mass has well defined,
    M-D or P-D borders will depend
    on :
      -Border of the mass
      -Consistency of surrounding tissue
      -Thickness of overlying tissue
      -Sturdiness of underlying tissue
                                   Wen-Chen Wang
Consistency
   Fluctuation & emptiability: Fluid contented
    lesion
   Soft: vein, loose CT, glandular tissue
   Cheesy: sebaceous cyst, epidermoid cyst
   Rubbery: relaxed muscle, glandular tissue
    with capsule, arteries
   Firm: fibrous tissue, tensed muscle, large
    nerve
   Bony hard: bone, cartilage, tooth structure

                                            Wen-Chen Wang
Torus palatini




           Wen-Chen Wang
Painless, Tender or Painful

Pain
1.inflammation-- mechanical trauma or
  infection
2.painful tumors--some neural tumors
3.sensory nerve encroachment
Tenderness
 Low-grade inflammation & internal
 pressure, chronic infection
                                  Wen-Chen Wang
Unilateral or bilateral


   Solitary or multiple

•Solitary : A local benign or early
            malignancy
•Multiple : Systemic, disseminated
            diseases or syndrome

                                Wen-Chen Wang
Erosive Lichen planus




                        Wen-Chen Wang
Special Examination

 Radiographic exam
 Aspiration, smear cytological
  exam., biopsy
 Laboratory exam…

    (Suggested by attending drs.)


                               Wen-Chen Wang
Common Oral Mucosal
    Diseases




                Wen-Chen Wang
Ulcerative Lesions

   Ulcer-epithelium loss caused by any
    reason
   Trauma, burn, infection, oral cancer…
   Most of traumatic ulcers would be healed
    within 2 weeks spontaneously, otherwise,
    a further evaluation should be necessary.


                                   Wen-Chen Wang
Traumatic Ulcer
 A definite trauma history and clinical
features can be traced
Usually occur at the soft tissue regions

which can be bitted or hit by teeth , ex.
Lower lip, tongue and buccal area
Ill-fitted dentures

Improper oral habits, ex,

lip biting, tongue biting etc.

                                           Wen-Chen Wang
                               A traumatic ulcer of the author
Burn
Chemicals or drugs, thermal
Suicide, psychiatric problems,

Placement an aspirin tablet in oral to relieve
toothache
Phenol, H2O2, NaHOCl used in dental practice




                                      Wen-Chen Wang
Recurrent Aphthous Ulcer

   Commonest oral mucosal disease




         Herpetiform RAU    Wen-Chen Wang
Patients Can Be Grossly Classified
As :
1.Primary immune dysregulation
 -genetic, stress, congenital or acquired
 immunal disease (leukopenia, AIDS, endocrine
 etc. )
2.Decreased mucosal barrier
-Trauma, blood diseases, nutritional
  defficiency(Vit.B12、follic acid, iron)
3. Increased antigenic expose
-Bacteria, virus, etc.
                                           Wen-Chen Wang
Treatment of RAU

   Topical steroid or NSAID therapy, local
    cauterization
   Underline diseases or any possible
    etiology should be evaluated if suffered
    severely and recurred very often

                                    Wen-Chen Wang
Tuberculosis (TB)


   Worldwide, chronic infectious disease,
    airborne droplets
   Crowded or unsanitary environment
   Opportunity infection, 5-10% progress
    into active disease
   Immunocompromised patients, ex. DM,
    HIV infection
                                   Wen-Chen Wang
Oral Tuberculosis
   Primary and secondary
   Exposure to infected sputum or
    hematogeneous spread
   Indurated, chronic painless ulcer
   Enlarged regional lymph nodes




                                        Wen-Chen Wang
Herpes Simplex Virus
      Infection (HSV type 1)
   Airborne droplets or direct contact
   Primary and recurrent
   Most primary HSV infections are
    asymptomatic, some suffered from
    primary herpetic gingivostomatitis
   Usually in children and young adults


                                 Wen-Chen Wang
Clinical Characters of HSV Infection
    Primary-upper respiratory tract infection
     oral symptoms,small vesicles/tiny
     ulcers    Latency
    Secondary- reactivation of latent virus
     after trauma, menstruation, systemic
     upsets, etc.



                                      Wen-Chen Wang
Secondary HSV Infection

   A discrete collection of vesicular
    swellings rupture erosion crusted
   The commonest recurrent lesion is herpes
    labialis.
   Attached gingiva, hard palate
   Heal within 1-2 weeks without scarring



                                   Wen-Chen Wang
Recurrent HSV infection




             Wen-Chen Wang
Oral White Lesions and Betel
     Nut Related Lesions




                       Wen-Chen Wang
Lichen Planus

   Reticular type (lace-like network of white lines,
    Wickham’s striae)
   Erosive type
   Asymptomatic or burning irritation in reticular type,
    symptomatic in erosive type
   Middle-aged, F:M=3:2
   Idiopathic, stress
   Topical or systemic steroid therapy
   Malignant potential is controversial
                                             Wen-Chen Wang
Lichen planus
Oral Candidiasis

   Oral normal flora
   Local irritation( ill-fitting or improper
    denture hygiene)
   Antibiotics
   Immuno-compromised, systemic disease
    patients
   Complete denture of upper jaw

                                    Wen-Chen Wang
Oral Candidiasis

   Oral manifestation:
    Pseudomembranous type--creamy white
    Atrophytic type-- reddish
   Symptoms: varied, from mild to burning
    sensation, pain and dysphagia


                                Wen-Chen Wang
Oral candidiasis
Oral Cancer and Precancerous Lesions
  -Related to Betel Quid Chewing Habits




                                 Wen-Chen Wang
What is
oral cancer?


               Wen-Chen Wang
Oral Cancer is-

   Any cancer found in oral cavity

   A cancer of the oral epithelial
    origin, ex. squamous cell
    carcinoma, verrucous carcinoma


                              Wen-Chen Wang
Who is in high risk ?

Contributing
factors of oral
cancer?

                                 Wen-Chen Wang
Contributing Factors
              of Oral Cancer
--In betel nut (betel quid) consumption areas
 Betel nut chewing habit ( 80% in Taiwan)

 Others are:

   1. smoking              2. alcoholism
   3. radiation exposure 4. improper nutrition
   5. syphilis             6. candidiasis
   7. mutation of gene 8. immunodeficiency
   9. improper denture
                                      Wen-Chen Wang
Oral Cancer

   Early: may be a leukoplakia or
    erythroplakia
   Tumor cells invade into connective
    tissue or grow exophytically
   Clinical features: reddish or whitish
    ulcerative surfaces with induration,
    delayed healing process


                                  Wen-Chen Wang
Oral Cancer


Locations:
 In Taiwan : buccal mucosa is the most

  common, followed by lateral border of
  tongue, retromolar, lower lip, palate and
  gingiva

   In the world: lateral border of tongue is
    the most common
                                     Wen-Chen Wang
Oral Cancer




              Wen-Chen Wang
Oral Cancer




              Wen-Chen Wang
Visit your dentist as soon as
possible if any oral ulcer
doesn’t heal within 2 weeks !

                       Wen-Chen Wang
What are
Oral Precancerous Lesions ?




                              Wen-Chen Wang
Oral Precancerous Lesions

   Leukoplakia
   Erythroleukoplakia

   Erythroplakia

   Oral submucous fibrosis

   Verrucous hyperplasia

   Erosive lichen planus*

  *precancerous condition
                              Wen-Chen Wang
Leukoplakia
   White lesions which cannot be characterized by lichen
    planus, oral candidosis etc.
   Malignant change 4~5%
   Homogeneous leukoplakia and non-homogeneous
    leukoplakia




                                            Wen-Chen Wang
Erythroleukoplakia




                     Wen-Chen Wang
Verrucous Hyperplasia


   Exophytic, papillary or
    cauliflower-like
    appearance

   White, or pink to
    reddish, resulted from
    varied keratosis

                                Wen-Chen Wang
Oral Submucous Fibrosis
                (OSF)
   20-40 y/o, male
   Sites: oral mucosa, oropharynx, esophagus
   Clinical characteristics:
    -Dense collagen bundles, decreased vascularity,
      epithelium atrophy, whitening of the mucosa
    -Trismus
    -Epithelium atrophy→ decreased protection,
      sensitive to spicy foods

                                        Wen-Chen Wang
Oral submucous fibrosis




                          Wen-Chen Wang
Oral submucous fibrosis




             Wen-Chen Wang
Managements of OSF

   Mouth opening exercise
   Local cortical steroid injection
   Surgical treatment combined with skin
    graft

   Prognosis is not good in the severe OSF
    patients

                                     Wen-Chen Wang
Oral Manifestations
of Systemic Diseases


                Wen-Chen Wang
Burning Mouth Syndrome
         (BMS)
 Bacterial or fungal infection
 Dry mouth
 Nutritional abnormality
 Anemia
 Endocrine disturbance, DM
 Improper denture
 Idiopathic


                          Wen-Chen Wang
Clinical Features of BMS


   Middle aged female or elder male
   Burning sensation, esp. tongue and
    tongue tip; taste change
   Normal appearance and color
   Diagnosis and treatment depend on
    the etiology
                                 Wen-Chen Wang
Vitamin Deficiency

 Vit. A: keratosis
 Vit. B: glossitis, angular cheilitis,
  burning mouth
 Vit. C: generalized gingival swelling,
  bleeding tendency and ulcers,
  periodontitis

                               Wen-Chen Wang
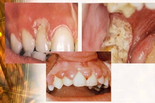
Vit. B12 deficiency




                    Wen-Chen Wang
After treatment
Blood Diseases
 Anemia-
 pale mucosa
 Hemophilia-

 hematoma or petechiae
   Coagulation problems
    associated with impaired liver function


                                 Wen-Chen Wang
Leukemia

   Bleeding tendency
   Idiopathic oral ulcers, necrotic gingival
    margin
   Gingival swelling (chloroma)
   Oral candidosis


                                   Wen-Chen Wang
Go for an oral and
dental examination
every 6 months!




          Wen-Chen Wang
Kaohsiung Medical University
References
1. Antonio Nanci: Ten Cate's Oral Histology,
    Development, structure, and function 6th ed.
 2. BJ Orban:Orban's oral histology and
    embryology,9th ed.
 3. NK wood, PW Goaz: Differential diagnosis of oral
    and maxillofacial lesions 5th ed.
 4. BW Neville, DD Damm, CM Allen,JE Bouquot: Oral &
    Maxillofacial pathology. 2nd ed.

Acknowledgement
   Clinical pictures were fully supported by Dept. of
   Oral Pathology, Kaohsinug Medical University
                                                        http://www.kmu.edu.tw/media/photos/001.jpg


                                                                         Wen-Chen Wang

oral mucosal diseases 2010

  • 1.
    Common Oral MucosalDiseases Wen-Chen Wang, DDS, MS, Ph.D Assistant professor of Dept. of Oral Pathology, Faculty of Dentistry, College of Dental Medicine, Kaohsiung Medical University, Kaohsiung, Taiwan Head of Dental Dept., Kaohsiung Municipal Ta-Tung Hospital, Kaohsiung, Taiwan E-mail: wcwang@kmu.edu.tw Wen-Chen Wang
  • 2.
    Oral mucosa MUCOUS MEMBRANE Definition: -Moist lining of the intestinal tract, nasal passages and other body cavities that communicate with the exterior Oral mucosa:  Oral mucous membrane Wen-Chen Wang Ref: Antonio Nanci: Ten Cate’s Oral Histology, Development, structure, and function 6th ed
  • 3.
    Oral mucosa STRUCTURE OF ORAL MUCOSA B.V. N. --Similar to skin Epithelium……………… ..epidermis * Epithelial ridges, rete pegs Lamina propria………... ..dermis Submucosa……………... ..subcutaneous Wen-Chen Wang Ref: BJ Orban:Orban’s oral histology and embryology,9th ed.
  • 4.
    Oral mucosa FUNCTIONAL CLASSIFICATION OF ORAL MUCOSA Keratinized areas …Masticatory mucosa  hard palate & gingiva  vermilion border Nonkeratinized areas …Lining or reflecting mucosa  lip, cheek, alveolar mucosa, vestibular fornix, mouth floor, soft palate, ventrum of tongue Specialized mucosa  dorsum of tongue Wen-Chen Wang
  • 5.
    Oral mucosa FUNCTIONS OFORAL MUCOSA  Protection  Sensation  Secretion  Thermal regulation Wen-Chen Wang
  • 6.
    METHODS OF ORALDIAGNOSIS  History taking  Inspection  Oral examination -Palpation -Percussion -Aspiration, -Auscultation  Radiographic examination  Laboratory examination Wen-Chen Wang
  • 7.
    History Taking  What, where, when, how  Chief complaints  Present illness  Past medical history Family history Social history Occupational history Dental history  Review of symptoms by system Wen-Chen Wang
  • 8.
    Chief Complaints  Pain Bad taste  Soreness Halitosis  Burning sensation Parthesia and anesthesia  Bleeding Recent occlusal problem  Loose teeth Too much saliva  Dry mouth Delayed tooth eruption  Swelling Wen-Chen Wang
  • 9.
    Onset and Courses 1.Masses increase in size just before eating ex. salivary retention phenomena, sialolithiasis 2. Slow-growing masses (duration of months to years) 1) Reactive hyperplasia 2) Chronic infection 3) Cysts 4) Benign tumors Wen-Chen Wang
  • 10.
    3. Moderately rapid-growingmasses (weeks to about 2 months) 1) Chronic infection 2) Cysts 3) Malignant tumors Wen-Chen Wang
  • 11.
    4. Rapidly growingmasses (hrs to days) 1) Abscess (painful) 2) Infected cyst (painful) 3) Aneurysm 4) Salivary retention phenomena 5) Hematomas 5. Masses with accompanying fever 1) Infections 2) lymphoma, leukemia Wen-Chen Wang
  • 12.
    Inspection  Location  Contours Color  Surfaces Wen-Chen Wang
  • 13.
    Contours Normal &variation Color Masticatory mucosa vs lining mucosa Wen-Chen Wang
  • 14.
    Color  Normal: pinkish  Whitish :Epithelial hyperplasia, Hyperkeratosis  or dense collagen bundle  Reddish:atrophic epithelium、vessels dilatation  or hyperplasia  Blackish:nevus, tattoo, melanosis  Yellowish: adipose tissue, glands  Translucent blue :reflection of liquid Wen-Chen Wang
  • 15.
  • 16.
    Hemangioma Wen-Chen Wang
  • 17.
  • 18.
  • 19.
  • 20.
  • 21.
    Surfaces Normal – smooth& glistening, except dorsal tongue, rugae & attached gingiva Wen-Chen Wang
  • 22.
    Pathologic Mass MayBe-- 1) Smooth surface -arises beneath epi, originates from mesenchyme ex : benign & early maligant salivary gland tumors, benign & malig. mesenchymal T. ( fibroma, osteoma, hemangioma, myoma…), cellulitis, mucocele… Wen-Chen Wang
  • 23.
    irritation fibroma MixedWen-Chen Wang tumor
  • 24.
    2) Rough surface -exceptdue to trauma, infection and maligancy, originates in the epithelium ex: papilloma, VH V.ca, ulcerative & exophytic SCC Ref: NK wood, PW Goaz: Differential diagnosis of oral and maxillofacial lesions 5th ed Wen-Chen Wang
  • 25.
  • 26.
    3) Sessile orpedunculate Pyogenic granuloma
  • 27.
    Palpation --A third eyeof clinical examination  Anatomic regions & planes involved  Mobility  Extent  Consistency  Painless, tender or painful  Unilateral or bilateral  Solitary or multiple Wen-Chen Wang
  • 28.
    Anatomic Regions &Planes Involved  Locates a firm mass, superficial or deep  Difficult if swelling or painful Wen-Chen Wang
  • 29.
    Mobility 1. free movable 2.fixed to skin but not to the underlying tissue 3. free movable to the skin but fixed to the underlying tissue Wen-Chen Wang
  • 30.
    4. bound toboth skin or mucosa and to the underlying tissue 1) fibrosis-after a previous inflammation. 2) malignant- from skin or mucosa invade to underlying tissue 3) malignant- from deeper tissue invade to surface epithelium 4) malignant- from loose CT to both the superficial & the deeper layers Wen-Chen Wang
  • 31.
    Extent  Whether a mass has well defined, M-D or P-D borders will depend on : -Border of the mass -Consistency of surrounding tissue -Thickness of overlying tissue -Sturdiness of underlying tissue Wen-Chen Wang
  • 32.
    Consistency  Fluctuation & emptiability: Fluid contented lesion  Soft: vein, loose CT, glandular tissue  Cheesy: sebaceous cyst, epidermoid cyst  Rubbery: relaxed muscle, glandular tissue with capsule, arteries  Firm: fibrous tissue, tensed muscle, large nerve  Bony hard: bone, cartilage, tooth structure Wen-Chen Wang
  • 33.
    Torus palatini Wen-Chen Wang
  • 34.
    Painless, Tender orPainful Pain 1.inflammation-- mechanical trauma or infection 2.painful tumors--some neural tumors 3.sensory nerve encroachment Tenderness Low-grade inflammation & internal pressure, chronic infection Wen-Chen Wang
  • 35.
    Unilateral or bilateral Solitary or multiple •Solitary : A local benign or early malignancy •Multiple : Systemic, disseminated diseases or syndrome Wen-Chen Wang
  • 36.
  • 37.
    Special Examination  Radiographicexam  Aspiration, smear cytological exam., biopsy  Laboratory exam… (Suggested by attending drs.) Wen-Chen Wang
  • 38.
    Common Oral Mucosal Diseases Wen-Chen Wang
  • 39.
    Ulcerative Lesions  Ulcer-epithelium loss caused by any reason  Trauma, burn, infection, oral cancer…  Most of traumatic ulcers would be healed within 2 weeks spontaneously, otherwise, a further evaluation should be necessary. Wen-Chen Wang
  • 40.
    Traumatic Ulcer  Adefinite trauma history and clinical features can be traced Usually occur at the soft tissue regions which can be bitted or hit by teeth , ex. Lower lip, tongue and buccal area Ill-fitted dentures Improper oral habits, ex, lip biting, tongue biting etc. Wen-Chen Wang A traumatic ulcer of the author
  • 41.
    Burn Chemicals or drugs,thermal Suicide, psychiatric problems, Placement an aspirin tablet in oral to relieve toothache Phenol, H2O2, NaHOCl used in dental practice Wen-Chen Wang
  • 42.
    Recurrent Aphthous Ulcer  Commonest oral mucosal disease Herpetiform RAU Wen-Chen Wang
  • 43.
    Patients Can BeGrossly Classified As : 1.Primary immune dysregulation -genetic, stress, congenital or acquired immunal disease (leukopenia, AIDS, endocrine etc. ) 2.Decreased mucosal barrier -Trauma, blood diseases, nutritional defficiency(Vit.B12、follic acid, iron) 3. Increased antigenic expose -Bacteria, virus, etc. Wen-Chen Wang
  • 44.
    Treatment of RAU  Topical steroid or NSAID therapy, local cauterization  Underline diseases or any possible etiology should be evaluated if suffered severely and recurred very often Wen-Chen Wang
  • 45.
    Tuberculosis (TB)  Worldwide, chronic infectious disease, airborne droplets  Crowded or unsanitary environment  Opportunity infection, 5-10% progress into active disease  Immunocompromised patients, ex. DM, HIV infection Wen-Chen Wang
  • 46.
    Oral Tuberculosis  Primary and secondary  Exposure to infected sputum or hematogeneous spread  Indurated, chronic painless ulcer  Enlarged regional lymph nodes Wen-Chen Wang
  • 47.
    Herpes Simplex Virus Infection (HSV type 1)  Airborne droplets or direct contact  Primary and recurrent  Most primary HSV infections are asymptomatic, some suffered from primary herpetic gingivostomatitis  Usually in children and young adults Wen-Chen Wang
  • 48.
    Clinical Characters ofHSV Infection  Primary-upper respiratory tract infection oral symptoms,small vesicles/tiny ulcers Latency  Secondary- reactivation of latent virus after trauma, menstruation, systemic upsets, etc. Wen-Chen Wang
  • 49.
    Secondary HSV Infection  A discrete collection of vesicular swellings rupture erosion crusted  The commonest recurrent lesion is herpes labialis.  Attached gingiva, hard palate  Heal within 1-2 weeks without scarring Wen-Chen Wang
  • 50.
  • 51.
    Oral White Lesionsand Betel Nut Related Lesions Wen-Chen Wang
  • 52.
    Lichen Planus  Reticular type (lace-like network of white lines, Wickham’s striae)  Erosive type  Asymptomatic or burning irritation in reticular type, symptomatic in erosive type  Middle-aged, F:M=3:2  Idiopathic, stress  Topical or systemic steroid therapy  Malignant potential is controversial Wen-Chen Wang
  • 53.
  • 54.
    Oral Candidiasis  Oral normal flora  Local irritation( ill-fitting or improper denture hygiene)  Antibiotics  Immuno-compromised, systemic disease patients  Complete denture of upper jaw Wen-Chen Wang
  • 55.
    Oral Candidiasis  Oral manifestation:  Pseudomembranous type--creamy white  Atrophytic type-- reddish  Symptoms: varied, from mild to burning sensation, pain and dysphagia Wen-Chen Wang
  • 56.
  • 57.
    Oral Cancer andPrecancerous Lesions -Related to Betel Quid Chewing Habits Wen-Chen Wang
  • 58.
    What is oral cancer? Wen-Chen Wang
  • 59.
    Oral Cancer is-  Any cancer found in oral cavity  A cancer of the oral epithelial origin, ex. squamous cell carcinoma, verrucous carcinoma Wen-Chen Wang
  • 60.
    Who is inhigh risk ? Contributing factors of oral cancer? Wen-Chen Wang
  • 61.
    Contributing Factors of Oral Cancer --In betel nut (betel quid) consumption areas  Betel nut chewing habit ( 80% in Taiwan)  Others are: 1. smoking 2. alcoholism 3. radiation exposure 4. improper nutrition 5. syphilis 6. candidiasis 7. mutation of gene 8. immunodeficiency 9. improper denture Wen-Chen Wang
  • 62.
    Oral Cancer  Early: may be a leukoplakia or erythroplakia  Tumor cells invade into connective tissue or grow exophytically  Clinical features: reddish or whitish ulcerative surfaces with induration, delayed healing process Wen-Chen Wang
  • 63.
    Oral Cancer Locations:  InTaiwan : buccal mucosa is the most common, followed by lateral border of tongue, retromolar, lower lip, palate and gingiva  In the world: lateral border of tongue is the most common Wen-Chen Wang
  • 64.
    Oral Cancer Wen-Chen Wang
  • 65.
    Oral Cancer Wen-Chen Wang
  • 66.
    Visit your dentistas soon as possible if any oral ulcer doesn’t heal within 2 weeks ! Wen-Chen Wang
  • 67.
    What are Oral PrecancerousLesions ? Wen-Chen Wang
  • 68.
    Oral Precancerous Lesions  Leukoplakia  Erythroleukoplakia  Erythroplakia  Oral submucous fibrosis  Verrucous hyperplasia  Erosive lichen planus* *precancerous condition Wen-Chen Wang
  • 69.
    Leukoplakia  White lesions which cannot be characterized by lichen planus, oral candidosis etc.  Malignant change 4~5%  Homogeneous leukoplakia and non-homogeneous leukoplakia Wen-Chen Wang
  • 70.
    Erythroleukoplakia Wen-Chen Wang
  • 71.
    Verrucous Hyperplasia  Exophytic, papillary or cauliflower-like appearance  White, or pink to reddish, resulted from varied keratosis Wen-Chen Wang
  • 72.
    Oral Submucous Fibrosis (OSF)  20-40 y/o, male  Sites: oral mucosa, oropharynx, esophagus  Clinical characteristics: -Dense collagen bundles, decreased vascularity, epithelium atrophy, whitening of the mucosa -Trismus -Epithelium atrophy→ decreased protection, sensitive to spicy foods Wen-Chen Wang
  • 73.
  • 74.
  • 75.
    Managements of OSF  Mouth opening exercise  Local cortical steroid injection  Surgical treatment combined with skin graft  Prognosis is not good in the severe OSF patients Wen-Chen Wang
  • 76.
    Oral Manifestations of SystemicDiseases Wen-Chen Wang
  • 77.
    Burning Mouth Syndrome (BMS)  Bacterial or fungal infection  Dry mouth  Nutritional abnormality  Anemia  Endocrine disturbance, DM  Improper denture  Idiopathic Wen-Chen Wang
  • 78.
    Clinical Features ofBMS  Middle aged female or elder male  Burning sensation, esp. tongue and tongue tip; taste change  Normal appearance and color  Diagnosis and treatment depend on the etiology Wen-Chen Wang
  • 79.
    Vitamin Deficiency  Vit.A: keratosis  Vit. B: glossitis, angular cheilitis, burning mouth  Vit. C: generalized gingival swelling, bleeding tendency and ulcers, periodontitis Wen-Chen Wang
  • 80.
    Vit. B12 deficiency Wen-Chen Wang After treatment
  • 81.
    Blood Diseases  Anemia- pale mucosa  Hemophilia- hematoma or petechiae  Coagulation problems associated with impaired liver function Wen-Chen Wang
  • 82.
    Leukemia  Bleeding tendency  Idiopathic oral ulcers, necrotic gingival margin  Gingival swelling (chloroma)  Oral candidosis Wen-Chen Wang
  • 84.
    Go for anoral and dental examination every 6 months! Wen-Chen Wang
  • 85.
    Kaohsiung Medical University References 1.Antonio Nanci: Ten Cate's Oral Histology, Development, structure, and function 6th ed. 2. BJ Orban:Orban's oral histology and embryology,9th ed. 3. NK wood, PW Goaz: Differential diagnosis of oral and maxillofacial lesions 5th ed. 4. BW Neville, DD Damm, CM Allen,JE Bouquot: Oral & Maxillofacial pathology. 2nd ed. Acknowledgement Clinical pictures were fully supported by Dept. of Oral Pathology, Kaohsinug Medical University http://www.kmu.edu.tw/media/photos/001.jpg Wen-Chen Wang