Contoso
S u i t e s
ODONTOGENIC KERATOCYST WITH
EMPHASIS ON ITS CONTROVERSIES
Dr. Amritha James
Post Graduate student
Dept. of Oral Pathology
SRM Dental College
Contoso
S u i t e s
CONTENTS
Introduction
History
Etiopathogenesis
Clinical features
Radiographic features
Histopathological features
Treatment
• Is it a cyst or tumor?
• Reason for recurrence
• Frequency of occurrence in
association with syndrome
• Current evidence of malignant
transformation
• Is CK13 or podaplanin better
predictor for its biologic
potential?
• Unusual OKCs
Controversies in OKC
Contoso
S u i t e s
The term cyst is
derived from the word
kystis meaning sac /
bladder.
“Cyst is a pathological
cavity filled with fluid,
semi-fluid or gaseous
substance but never
pus, may or may not be
lined by epithelium”
3
CYST
Contoso
S u i t e s
4
ODONTOGENIC
KERATOCYST
Contoso
S u i t e s
The odontogenic keratocyst (OKC) is known for its
High recurrence rate Aggressive behavior
Occasional association with
the nevoid basal cell carcinoma
syndrome (NBCCS).
Odontogenic keratocysts (OKCs) are developmental odontogenic
cysts of epithelial origin, first identified and described in 1876.
5
OKC
Contoso
S u i t e s
• 1926 it was first known as a
“cholesteatoma.”
• Cholesteatoma simply means a cystic or
“open” mass of keratin with a living
“matrix”.
“Cholesteatoma”
• First mentioned by Robinson in 1945
• Primordial cyst was used to describe a
cyst that occurred in the place where a
tooth should have developed
• occurrence of such cysts was caused by
degeneration of the enamel organ before
the formation of any mineralized tooth
• odontogenic keratocysts are believed to
arise from the dental lamina or dental
primordium.
“Primordial
cyst” • Philipsen in 1956
• The designation “keratocyst” was used to
describe any jaw cyst in which keratin
was formed to a large extent.
“Odontogenic
keratocyst”
6
HISTORY
Contoso
S u i t e s
7
EVOLUTION OF TERMINOLOGY
• Shear 2002
Keratocystoma
• Reichart and
philpsen 2004
Keratinizing cystic
odontogenic tumor
• Philipsen
• WHO 2005
Keratocystic
Odontogenic Tumor
• WHO 2017
Odontogenic
Keratocyst
Contoso
S u i t e s
WHO CLASSIFICATIONS
Contoso
S u i t e s
The two main sources of epithelium
from which OKC is derived,
The dental lamina or it’s remnants
Extensions of basal cells from the
overlying epithelium often
referred as the basal cell hamartias
9
SOURCES OF EPITHELIUM
Contoso
S u i t e s
10
OKC derived
from functional
dental lamina
Other cysts are
from the post
functional dental
lamina
Contoso
S u i t e s
11
MOLECULAR PATHOGENEISIS
Contoso
S u i t e s
Two hit model:
• OKC associated with NBCCS would arise
from precursor cells containing a hereditary
‘first hit’ followed by allelic loss of the
second normal allele,
• The sporadic OKC would arise from
susceptible cells in which two somatic
‘hits’ have occurred.
Haploinsufficiency
model
• The OKC would develop after the loss of
only one PTCH allele, leading to reduction
of gene dosage.
12
‘TWO-HIT’ VS HAPLOINSUFFICIENCY THEORY
Contoso
S u i t e s
13
EPIGENETIC FACTORS
The overexpression of oncogenic miRNA may reduce
protein products of tumor-suppressor genes, while the
loss of tumor-suppressor miRNA expression may cause
elevated levels of oncogenic proteins
RT-qPCR, miR15a and/or miR16-1 downregulation in
24/28 OKC samples and higher BCL2 mRNA
expression in 19 of 20 OKC samples
DNA methylation corresponds to the introduction of a
methyl group to cytosines within CpG islands through
the action of enzymes called DNA methyltransferases.
This action remodels chromatin-activating or
inactivating genes
PTCH1 methylation has been
suggested as an alternative
mechanism for PTCH1
inactivation.
presence of methylation in
P16, P21, P27, P53 and RB1
genes in OKC tumours
Contoso
S u i t e s
14
CYST ENLARGEMENT – MURAL GROWTH
Contoso
S u i t e s
15
CLINICAL FEATURES
Peak
frequency -
2nd and 4th
decade of life
Men >
Women
Mandible>
Maxilla
Contoso
S u i t e s
16
CLINICAL FEATURES
Contoso
S u i t e s
17
RADIOGRAPHIC FEATURES
Contoso
S u i t e s
ENVELOPMENTAL
COLLATERAL
REPLACEMENTAL
EXTRANEOUS
18
RADIOGRAPHIC TYPES
Contoso
S u i t e s
19
DIFFERENTIAL DIAGNOSIS
Dentigerous cyst Residual cyst
Lateral periodontal
cyst
Ameloblastoma
Contoso
S u i t e s
ASPIRATIONAL FINDINGS
Dirty , creamy
viscid suspension,
resembling
parakeraitned
squamous cells in
the fluid.
Total protein
content in the fluid
is less than 4.8 g
per 100mL.
Major part of the
protein content is
Albumin is
basically a less
soluble protein.
Contoso
S u i t e s
21
HISTOPATHOLOGICAL FEATURES
Contoso
S u i t e s
22
Separation of the epithelium
from the supporting
connective is caused by
metalloproteinases-mediated
degradation of collagen in
the juxta-epithelial regions
Contoso
S u i t e s
Enucleation and
curettage
Decompression
Adjuvants:
• Cryotherapy
• Carnoy solution
• Peripheral
Ostectomy
23
TREATMENT AND PROGNOSIS
Contoso
S u i t e s
CONTROVERSIES
IN OKC
24
Contoso
S u i t e s
25
CYST OR TUMOR?
Contoso
S u i t e s
BEHAVIOR
GROWTH POTENTIAL
HISTOPATHOLOGY
IMMUNOHISTOCHEMISTRY
GENETICS
HISTOCHEMICAL AND
MOLECULAR
26
OKC
KCOT
TUMOR?
Contoso
S u i t e s
• Its penetration into cancellous bone
can be very extensive.
• It is part of NBCCS.
KCOT is locally
destructive and has
Aggressive
behavior.
• It recurrence rates is 3-60%.
Highly recurrent
27
OKC TO KCOT - BEHAVIOR
Contoso
S u i t e s
• KCOT grows not by osmotic
expansion like other odontogenic cysts
• Growth is by epithelial proliferation of
wall with infolding of epithelial lining.
• Mean mitotic count = 8.0 similar to
ameloblastoma.
It has
unremitting
growth.
28
OKC TO KCOT – GROWTH POTENTIAL
Contoso
S u i t e s
Basal layer
of KCOT
budding
into the
connective
tissue
Mitotic
figures are
frequently
found in
suprabasal
layers
29
OKC TO KCOT - HISTOPATH
Contoso
S u i t e s
Expression of P53, PCNA and Ki-67
markers is strongly associated with OKCs.
30
OKC TO KCOT - IHC
Hammad HM, Nagrash OM, Safadi RA. Maspin, Syndecan-1, and Ki-67 in the Odontogenic Keratocyst: An Immunohistochemical Analysis.
International Journal of Dentistry. 2020 Jul 14;2020.
Contoso
S u i t e s
PTCH (“patched” ) gene
plays important role in
pathogenesis of KCOT.
Molecular analysis of the
expression of PTCH, SMO,
GlI-1 and bcl-2 in KCOT
shows a profile similar to
ameloblastoma rather than
other odontogenic cysts
31
OKC TO KCOT - GENETICS
de Freitas Silva BS, Silva LR, de Lima KL, dos Santos AC, Oliveira AC, Dezzen-Gomide AC, Batista AC, Yamamoto-Silva FP. SOX2 and BCL-2 Expressions in
Odontogenic Keratocyst and Ameloblastoma. Medicina oral, patologia oral y cirugia bucal. 2020 Mar;25(2):e283.
Contoso
S u i t e s
Higher expression of
oxidative enzymes
(NADH2-, NADPH2-,
G6PD and acid
phosphatase) in OKC
when compared to.
radicular, residual and
dentigerous cysts.
Leucine aminopeptidase is
greater in OKC attributed
to invasiveness of lesion.
Parathyroid hormone
related protein PTHrP
higher levels in OKC as
compared to residual and
dentigerous cysts which is
related to bone resorption
32
OKC TO KCOT – HISTOCHHEMICAL & MOLECULAR
Contoso
S u i t e s
BEHAVIOR
HISTOPATHOLOGY
GENETICS
33
KCOT TO OKC
CYST?
Contoso
S u i t e s
• Incomplete removal of the cyst lining,
• Growth of new KCOT from satellite cysts,
• Development of new KCOT in an adjacent area that
is interpreted as recurrence
A high recurrence rate
is attributed to
• However, the OKC is known to completely regress
following decompression
Odontogenic tumours
- no spontaneous
regression is possible.
34
KCOT TO OKC - BEHAVIOR
Contoso
S u i t e s
Basal cell budding, mitotic figures in the
supra-basal layers, daughter cysts are the
characteristic histopathological findings in
OKC/KCOT.
Cutaneous cysts histologically
identical to OKC/KCOT have
not yet been reclassified as
tumors in medical and
dermato-pathology
communities
35
KCOT TO OKC - HISTOPATH
Contoso
S u i t e s
• PTCH & LOH has also been demonstrated in odontogenic cysts.
Patched gene
(PTCH)
mutation & LOH
• proliferative status is not always directly associated with biological
behaviour or a true neoplastic nature.
• Non-neoplastic proliferative lesions such as glandular odontogenic cysts
may demonstrate a high expression of some proliferative markers, when
compared to some of the malignant tumours such as low-grade
mucoepidermoid carcinoma
Cell proliferation
markers, such as
Ki67 and PCNA
36
KCOT TO OKC - GENETIC
Contoso
S u i t e s
37
REASONS FOR
RECURRENCE
Contoso
S u i t e s
The incidence of
recurrence of
OKC has varied
from 2.5% to
62%.
Incomplete
removal of the
cyst lining,
Growth of a new
OKC from
satellite cysts (or
odontogenic rests
left behind after
surgery), and
Development of a
new OKC in an
adjacent area.
Budding in the
basal layer of the
epithelium
Subepithelial
split of the
epithelial lining
38
REASONS FOR RECURRENCE
Contoso
S u i t e s
Marsupialization followed
by enucleation after 12 to
18 months reduces the
recurrence rate.
Marsupialization and
delayed enucleation plus
peripheral ostectomy
reduces the recurrence rate
of the OKC in 26% over
enucleation plus peripheral
ostectomy.
Contoso
S u i t e s
40
MALIGNANT
TRANSFORMATION
POTENTIAL
Contoso
S u i t e s
41
MALIGNANT TRANSFORMATION
Keszler A, Piloni MJ. Malignant transformation in odontogenic keratocysts. Case report. Medicina oral: organo oficial de la Sociedad Espanola de
Medicina Oral y de la Academia Iberoamericana de Patologia y Medicina Bucal. 2002 Nov 1;7(5):331-5.
Primary intraosseous squamous
cell carcinoma (PIOSCC)
derived from an odontogenic
keratocyst (OKC) is a rare
malignant neoplasm of the jaws,
which is locally aggressive with
quite poor prognosis.
Contoso
S u i t e s
The pathogenesis of PIOSCC arising from an KCOT is largely unknown.
• keratin metaplasia followed by epithelial hyperplasia and then epithelial dysplasia of cyst epithelia were the significant
events in the development of SCC in OKCs.
According to Browne and Gouch,
• mentioned that the presence of keratinization in the cyst lining results in a greater risk of malignant changes.
van der Wal et al.
• long-standing chronic inflammation has also been suggested as a possible predisposing factor.
• The main mechanism of the inflammation-induced carcinogenesis includes the formation of reactive oxygen metabolites,
causing damage to DNA, protein, and cell membranes, and eventually showing the compensatory proliferative response of
neoplastic cells against the normal apoptotic mechanism.
Gardner and Yu et al.,
42
PATHOGENESIS
Contoso
S u i t e s
43
Contoso
S u i t e s
The mean age for patients
with malignant
transformation of OKC was
45.1 years.
Pain (67.5%) and swelling
(78.3%) were the most
common symptoms.
The malignant transformation
occurred with increased
frequency in the
posterior mandible and larger
lesions that span greater than 2
subunits of the involved jaw.
Overall survival in malignant
transformation of odontogenic
cysts of all kinds ranges from
62 to 85% and 30 to 80% for 2
and 5 years, respectively.
44
CLINICAL FEATURES
Kumchai H, Champion AF, Gates JC. Carcinomatous Transformation of Odontogenic Keratocyst and Primary Intraosseous Carcinoma: A Systematic Review and
Report of a Case. Journal of Oral and Maxillofacial Surgery. 2021 Jan 1.
Contoso
S u i t e s
Gardner (1969) proposed
definitive criteria to
identify a lesion as
PIOSCC ex odontogenic
cyst:
A microscopic transition
from benign cystic
epithelial lining to SCC,
An intact overlying oral
mucosa,
absence of carcinoma in
the adjacent structures
Absence of metastatic
carcinoma from a distinct
tumor.
45
CRITERIA
Contoso
S u i t e s
46
Kikuchi K, Ide F, Takizawa S, Suzuki S, Sakashita H, Li TJ, Kusama K. Initial-stage primary intraosseous squamous cell carcinoma derived from odontogenic
keratocyst with unusual keratoameloblastomatous change of the maxilla: a case report and literature discussion. Case reports in otolaryngology. 2018 Apr 19;2018.
Contoso
S u i t e s
47
IHC PROFILE
Contoso
S u i t e s
48
CK5,CK14,CK19, SYNDECAN
Contoso
S u i t e s
49
CK13
• superficial layers and isolated cells were also
immunolabeled.
• suggest instability in the structural integrity of the KOT
• The status of maturation of cytokeratin seems to be
altered on KOTs
CK 13 is related
to squamous
differentiation,
and located on
suprabasal layers
Contoso
S u i t e s
The expression of Ki-67 protein in OKCs was exclusively
localized to the nuclei of the basal and suprabasal cell
layers of the epithelium.
50
KI-67
Contoso
S u i t e s
51
P53, P63,PCNA
P53 is a tumor
suppressor gene
The aggressive
behavior and high
recurrence rate of
these lesions might
be related to the
immunoexpression
of this protein.
p63 may act as an oncogene.
p63 plays a role on blocking apoptosis-inducing and growth-
inhibitory actions.
This may facilitate its proliferative potential on stratified
epithelial
An increase in PCNA
levels may be
induced by growth
factors or as a result
of DNA damage.
Contoso
S u i t e s
52
BCL2
Bcl-2 is an
antiapoptotic
gene.
Expression
of bcl-2
exclusively
in the basal
layer of
OKCs
Contoso
S u i t e s
• PDPL is a marker of
local invasiveness.
PDPL, a type I
transmembrane
sialomucin is
known to drive
directional
migration of
epithelial cells
• This suggests that
basal epithelial areas
with strong PDPL
expression correspond
with sites of dynamic
cell migration activity.
PDPL expression
concentrated
mainly along the
basal layer of
nearly all OKC
53
PODOPLANIN
Contoso
S u i t e s
54
SYNDROMIC OKC
Contoso
S u i t e s
55
SYNDROMES ASSOCIATED WITH OKC
Nevoid basal cell
carcinoma
Marfans syndrome Noonans syndrome
Ehlers danlos syndrome
Orofacial digital
syndrome
Simpsongolabi-behmel
syndrome
Contoso
S u i t e s
56
NEVOID BASAL CELL CARCINOMA
Present in at least 75% of patients with NBCCS
Contoso
S u i t e s
57
NEVOID BASAL CELL CARCINOMA
Contoso
S u i t e s
58
OKC WITH UNUSUAL
FEATURES
Contoso
S u i t e s
59
OKC WITH CALCIFICATIONS
Naveen F, Tippu SR, Girish KL, Kalra M, Desai V. Maxillary keratocystic odontogenic tumor with calcifications: A review and case report. Journal of oral and maxillofacial
pathology: JOMFP. 2011 Sep;15(3):295.
Dystrophic calcifications,
reported to be 4.5-16.8%.
These are usually caused by
degeneration of tissues
(necrobiosis) and is predisposed to
dystrophic calcification.
High incidence of crystalline
calcium phosphates,
hydroxyapatite, and whitlockite,
and inorganic phosphates were
found in the aspirated fluid.
Contoso
S u i t e s
60
OKC WITH CARTILIGENOUS METAPLASIA
ESKENDRI J, FELICIANO R, REICH R, FREEDMAN P. CARTILAGENOUS METAPLASIA IN ODONTOGENIC KERATOCYST (OKC): CASE SERIES AND IMMUNOHISTOCHEMICAL ANALYSIS.
Oral surgery, oral medicine, oral pathology and oral radiology. 2017 Sep 1;124(3):e203.
The presence of chondromatous
tissues in the adjoining
connective tissue of KCOT was
reported in only eight cases.
There are several possible
explanations for the presence of
cartilage
• Presence of a chondroma;
• Vestigial remains of meckel’s cartilage
• A possible metaplastic change of the
fibrous connective tissue in response to
chronic irritation;
• A possible induction of the cyst wall by
the epithelial lining;
• Trapped glycosaminoglycans.
Contoso
S u i t e s
61
OKC WITH DENTINOID
Exceedingly
rare
occur as irregular eosinophilic
masses with tubule formation
or calcospherite-like
mineralization.
Van Gieson and
Masson trichome
positive and negative
for congo red.
The possible pathogenesis could be
• the inductive changes which mesenchymal
cells
• Metaplasia
Naveen F, Tippu SR, Girish KL, Kalra M, Desai V. Maxillary keratocystic odontogenic tumor with calcifications: A review and case report. Journal of oral and
maxillofacial pathology: JOMFP. 2011 Sep;15(3):295.
Contoso
S u i t e s
62
OKC WITH GRANULAR CELL CHANGE
Deshmukh RS, Bavle RM, Deo PN, Chavan S. Odontogenic keratocyst with granular cell changes: A distinctive finding. Journal of oral and maxillofacial pathology: JOMFP. 2019
Sep;23(3):432.
• aging or degenerating process
• Lysosomal aggregation
Probable reasons for granular changes :
Contoso
S u i t e s
63
OKC OF BUCCAL MUCOSA
Odontogenic -Source of epithelium
• dental lamina rests that are displaced and persist in the buccal
mucosa during odontogenesis
• isthmus of an abortive hair follicle
• sebaceous duct
Skin
• Cutaneous keratocyst
• steatocystoma
Witteveen ME, Flores IL, Karssemakers LH, Bloemena E. Odontogenic keratocysts located in the buccal mucosa: A description of two cases and review of the
literature. SAGE open medical case reports. 2019 May;7:2050313X19849828.
Contoso
S u i t e s
Odontogenic Keratocyst was reclassified as Keratocystic
Odontogenic Tumor (KCOT) by the World Health organization in
2005, to better reflect its nature as a neoplasm based both on its
clinical behaviour and its molecular biology
But recently due to various controversies, Odontogenic keratocysts
which were eliminated from the 3rd 2005 edition were again
included in odontogenic cyst category in the 4th edition of WHO
classification to better reflect its cystic nature.
64
CONCLUSION
Contoso
S u i t e s
65
FREQUENCY OF OCCURRENCE WITH SYNDROME

Odontogenic keratocyst

  • 1.
    Contoso S u it e s ODONTOGENIC KERATOCYST WITH EMPHASIS ON ITS CONTROVERSIES Dr. Amritha James Post Graduate student Dept. of Oral Pathology SRM Dental College
  • 2.
    Contoso S u it e s CONTENTS Introduction History Etiopathogenesis Clinical features Radiographic features Histopathological features Treatment • Is it a cyst or tumor? • Reason for recurrence • Frequency of occurrence in association with syndrome • Current evidence of malignant transformation • Is CK13 or podaplanin better predictor for its biologic potential? • Unusual OKCs Controversies in OKC
  • 3.
    Contoso S u it e s The term cyst is derived from the word kystis meaning sac / bladder. “Cyst is a pathological cavity filled with fluid, semi-fluid or gaseous substance but never pus, may or may not be lined by epithelium” 3 CYST
  • 4.
    Contoso S u it e s 4 ODONTOGENIC KERATOCYST
  • 5.
    Contoso S u it e s The odontogenic keratocyst (OKC) is known for its High recurrence rate Aggressive behavior Occasional association with the nevoid basal cell carcinoma syndrome (NBCCS). Odontogenic keratocysts (OKCs) are developmental odontogenic cysts of epithelial origin, first identified and described in 1876. 5 OKC
  • 6.
    Contoso S u it e s • 1926 it was first known as a “cholesteatoma.” • Cholesteatoma simply means a cystic or “open” mass of keratin with a living “matrix”. “Cholesteatoma” • First mentioned by Robinson in 1945 • Primordial cyst was used to describe a cyst that occurred in the place where a tooth should have developed • occurrence of such cysts was caused by degeneration of the enamel organ before the formation of any mineralized tooth • odontogenic keratocysts are believed to arise from the dental lamina or dental primordium. “Primordial cyst” • Philipsen in 1956 • The designation “keratocyst” was used to describe any jaw cyst in which keratin was formed to a large extent. “Odontogenic keratocyst” 6 HISTORY
  • 7.
    Contoso S u it e s 7 EVOLUTION OF TERMINOLOGY • Shear 2002 Keratocystoma • Reichart and philpsen 2004 Keratinizing cystic odontogenic tumor • Philipsen • WHO 2005 Keratocystic Odontogenic Tumor • WHO 2017 Odontogenic Keratocyst
  • 8.
    Contoso S u it e s WHO CLASSIFICATIONS
  • 9.
    Contoso S u it e s The two main sources of epithelium from which OKC is derived, The dental lamina or it’s remnants Extensions of basal cells from the overlying epithelium often referred as the basal cell hamartias 9 SOURCES OF EPITHELIUM
  • 10.
    Contoso S u it e s 10 OKC derived from functional dental lamina Other cysts are from the post functional dental lamina
  • 11.
    Contoso S u it e s 11 MOLECULAR PATHOGENEISIS
  • 12.
    Contoso S u it e s Two hit model: • OKC associated with NBCCS would arise from precursor cells containing a hereditary ‘first hit’ followed by allelic loss of the second normal allele, • The sporadic OKC would arise from susceptible cells in which two somatic ‘hits’ have occurred. Haploinsufficiency model • The OKC would develop after the loss of only one PTCH allele, leading to reduction of gene dosage. 12 ‘TWO-HIT’ VS HAPLOINSUFFICIENCY THEORY
  • 13.
    Contoso S u it e s 13 EPIGENETIC FACTORS The overexpression of oncogenic miRNA may reduce protein products of tumor-suppressor genes, while the loss of tumor-suppressor miRNA expression may cause elevated levels of oncogenic proteins RT-qPCR, miR15a and/or miR16-1 downregulation in 24/28 OKC samples and higher BCL2 mRNA expression in 19 of 20 OKC samples DNA methylation corresponds to the introduction of a methyl group to cytosines within CpG islands through the action of enzymes called DNA methyltransferases. This action remodels chromatin-activating or inactivating genes PTCH1 methylation has been suggested as an alternative mechanism for PTCH1 inactivation. presence of methylation in P16, P21, P27, P53 and RB1 genes in OKC tumours
  • 14.
    Contoso S u it e s 14 CYST ENLARGEMENT – MURAL GROWTH
  • 15.
    Contoso S u it e s 15 CLINICAL FEATURES Peak frequency - 2nd and 4th decade of life Men > Women Mandible> Maxilla
  • 16.
    Contoso S u it e s 16 CLINICAL FEATURES
  • 17.
    Contoso S u it e s 17 RADIOGRAPHIC FEATURES
  • 18.
    Contoso S u it e s ENVELOPMENTAL COLLATERAL REPLACEMENTAL EXTRANEOUS 18 RADIOGRAPHIC TYPES
  • 19.
    Contoso S u it e s 19 DIFFERENTIAL DIAGNOSIS Dentigerous cyst Residual cyst Lateral periodontal cyst Ameloblastoma
  • 20.
    Contoso S u it e s ASPIRATIONAL FINDINGS Dirty , creamy viscid suspension, resembling parakeraitned squamous cells in the fluid. Total protein content in the fluid is less than 4.8 g per 100mL. Major part of the protein content is Albumin is basically a less soluble protein.
  • 21.
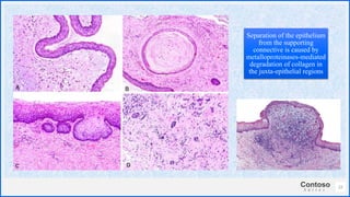
    Contoso S u it e s 21 HISTOPATHOLOGICAL FEATURES
  • 22.
    Contoso S u it e s 22 Separation of the epithelium from the supporting connective is caused by metalloproteinases-mediated degradation of collagen in the juxta-epithelial regions
  • 23.
    Contoso S u it e s Enucleation and curettage Decompression Adjuvants: • Cryotherapy • Carnoy solution • Peripheral Ostectomy 23 TREATMENT AND PROGNOSIS
  • 24.
    Contoso S u it e s CONTROVERSIES IN OKC 24
  • 25.
    Contoso S u it e s 25 CYST OR TUMOR?
  • 26.
    Contoso S u it e s BEHAVIOR GROWTH POTENTIAL HISTOPATHOLOGY IMMUNOHISTOCHEMISTRY GENETICS HISTOCHEMICAL AND MOLECULAR 26 OKC KCOT TUMOR?
  • 27.
    Contoso S u it e s • Its penetration into cancellous bone can be very extensive. • It is part of NBCCS. KCOT is locally destructive and has Aggressive behavior. • It recurrence rates is 3-60%. Highly recurrent 27 OKC TO KCOT - BEHAVIOR
  • 28.
    Contoso S u it e s • KCOT grows not by osmotic expansion like other odontogenic cysts • Growth is by epithelial proliferation of wall with infolding of epithelial lining. • Mean mitotic count = 8.0 similar to ameloblastoma. It has unremitting growth. 28 OKC TO KCOT – GROWTH POTENTIAL
  • 29.
    Contoso S u it e s Basal layer of KCOT budding into the connective tissue Mitotic figures are frequently found in suprabasal layers 29 OKC TO KCOT - HISTOPATH
  • 30.
    Contoso S u it e s Expression of P53, PCNA and Ki-67 markers is strongly associated with OKCs. 30 OKC TO KCOT - IHC Hammad HM, Nagrash OM, Safadi RA. Maspin, Syndecan-1, and Ki-67 in the Odontogenic Keratocyst: An Immunohistochemical Analysis. International Journal of Dentistry. 2020 Jul 14;2020.
  • 31.
    Contoso S u it e s PTCH (“patched” ) gene plays important role in pathogenesis of KCOT. Molecular analysis of the expression of PTCH, SMO, GlI-1 and bcl-2 in KCOT shows a profile similar to ameloblastoma rather than other odontogenic cysts 31 OKC TO KCOT - GENETICS de Freitas Silva BS, Silva LR, de Lima KL, dos Santos AC, Oliveira AC, Dezzen-Gomide AC, Batista AC, Yamamoto-Silva FP. SOX2 and BCL-2 Expressions in Odontogenic Keratocyst and Ameloblastoma. Medicina oral, patologia oral y cirugia bucal. 2020 Mar;25(2):e283.
  • 32.
    Contoso S u it e s Higher expression of oxidative enzymes (NADH2-, NADPH2-, G6PD and acid phosphatase) in OKC when compared to. radicular, residual and dentigerous cysts. Leucine aminopeptidase is greater in OKC attributed to invasiveness of lesion. Parathyroid hormone related protein PTHrP higher levels in OKC as compared to residual and dentigerous cysts which is related to bone resorption 32 OKC TO KCOT – HISTOCHHEMICAL & MOLECULAR
  • 33.
    Contoso S u it e s BEHAVIOR HISTOPATHOLOGY GENETICS 33 KCOT TO OKC CYST?
  • 34.
    Contoso S u it e s • Incomplete removal of the cyst lining, • Growth of new KCOT from satellite cysts, • Development of new KCOT in an adjacent area that is interpreted as recurrence A high recurrence rate is attributed to • However, the OKC is known to completely regress following decompression Odontogenic tumours - no spontaneous regression is possible. 34 KCOT TO OKC - BEHAVIOR
  • 35.
    Contoso S u it e s Basal cell budding, mitotic figures in the supra-basal layers, daughter cysts are the characteristic histopathological findings in OKC/KCOT. Cutaneous cysts histologically identical to OKC/KCOT have not yet been reclassified as tumors in medical and dermato-pathology communities 35 KCOT TO OKC - HISTOPATH
  • 36.
    Contoso S u it e s • PTCH & LOH has also been demonstrated in odontogenic cysts. Patched gene (PTCH) mutation & LOH • proliferative status is not always directly associated with biological behaviour or a true neoplastic nature. • Non-neoplastic proliferative lesions such as glandular odontogenic cysts may demonstrate a high expression of some proliferative markers, when compared to some of the malignant tumours such as low-grade mucoepidermoid carcinoma Cell proliferation markers, such as Ki67 and PCNA 36 KCOT TO OKC - GENETIC
  • 37.
    Contoso S u it e s 37 REASONS FOR RECURRENCE
  • 38.
    Contoso S u it e s The incidence of recurrence of OKC has varied from 2.5% to 62%. Incomplete removal of the cyst lining, Growth of a new OKC from satellite cysts (or odontogenic rests left behind after surgery), and Development of a new OKC in an adjacent area. Budding in the basal layer of the epithelium Subepithelial split of the epithelial lining 38 REASONS FOR RECURRENCE
  • 39.
    Contoso S u it e s Marsupialization followed by enucleation after 12 to 18 months reduces the recurrence rate. Marsupialization and delayed enucleation plus peripheral ostectomy reduces the recurrence rate of the OKC in 26% over enucleation plus peripheral ostectomy.
  • 40.
    Contoso S u it e s 40 MALIGNANT TRANSFORMATION POTENTIAL
  • 41.
    Contoso S u it e s 41 MALIGNANT TRANSFORMATION Keszler A, Piloni MJ. Malignant transformation in odontogenic keratocysts. Case report. Medicina oral: organo oficial de la Sociedad Espanola de Medicina Oral y de la Academia Iberoamericana de Patologia y Medicina Bucal. 2002 Nov 1;7(5):331-5. Primary intraosseous squamous cell carcinoma (PIOSCC) derived from an odontogenic keratocyst (OKC) is a rare malignant neoplasm of the jaws, which is locally aggressive with quite poor prognosis.
  • 42.
    Contoso S u it e s The pathogenesis of PIOSCC arising from an KCOT is largely unknown. • keratin metaplasia followed by epithelial hyperplasia and then epithelial dysplasia of cyst epithelia were the significant events in the development of SCC in OKCs. According to Browne and Gouch, • mentioned that the presence of keratinization in the cyst lining results in a greater risk of malignant changes. van der Wal et al. • long-standing chronic inflammation has also been suggested as a possible predisposing factor. • The main mechanism of the inflammation-induced carcinogenesis includes the formation of reactive oxygen metabolites, causing damage to DNA, protein, and cell membranes, and eventually showing the compensatory proliferative response of neoplastic cells against the normal apoptotic mechanism. Gardner and Yu et al., 42 PATHOGENESIS
  • 43.
    Contoso S u it e s 43
  • 44.
    Contoso S u it e s The mean age for patients with malignant transformation of OKC was 45.1 years. Pain (67.5%) and swelling (78.3%) were the most common symptoms. The malignant transformation occurred with increased frequency in the posterior mandible and larger lesions that span greater than 2 subunits of the involved jaw. Overall survival in malignant transformation of odontogenic cysts of all kinds ranges from 62 to 85% and 30 to 80% for 2 and 5 years, respectively. 44 CLINICAL FEATURES Kumchai H, Champion AF, Gates JC. Carcinomatous Transformation of Odontogenic Keratocyst and Primary Intraosseous Carcinoma: A Systematic Review and Report of a Case. Journal of Oral and Maxillofacial Surgery. 2021 Jan 1.
  • 45.
    Contoso S u it e s Gardner (1969) proposed definitive criteria to identify a lesion as PIOSCC ex odontogenic cyst: A microscopic transition from benign cystic epithelial lining to SCC, An intact overlying oral mucosa, absence of carcinoma in the adjacent structures Absence of metastatic carcinoma from a distinct tumor. 45 CRITERIA
  • 46.
    Contoso S u it e s 46 Kikuchi K, Ide F, Takizawa S, Suzuki S, Sakashita H, Li TJ, Kusama K. Initial-stage primary intraosseous squamous cell carcinoma derived from odontogenic keratocyst with unusual keratoameloblastomatous change of the maxilla: a case report and literature discussion. Case reports in otolaryngology. 2018 Apr 19;2018.
  • 47.
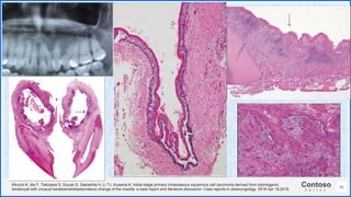
    Contoso S u it e s 47 IHC PROFILE
  • 48.
    Contoso S u it e s 48 CK5,CK14,CK19, SYNDECAN
  • 49.
    Contoso S u it e s 49 CK13 • superficial layers and isolated cells were also immunolabeled. • suggest instability in the structural integrity of the KOT • The status of maturation of cytokeratin seems to be altered on KOTs CK 13 is related to squamous differentiation, and located on suprabasal layers
  • 50.
    Contoso S u it e s The expression of Ki-67 protein in OKCs was exclusively localized to the nuclei of the basal and suprabasal cell layers of the epithelium. 50 KI-67
  • 51.
    Contoso S u it e s 51 P53, P63,PCNA P53 is a tumor suppressor gene The aggressive behavior and high recurrence rate of these lesions might be related to the immunoexpression of this protein. p63 may act as an oncogene. p63 plays a role on blocking apoptosis-inducing and growth- inhibitory actions. This may facilitate its proliferative potential on stratified epithelial An increase in PCNA levels may be induced by growth factors or as a result of DNA damage.
  • 52.
    Contoso S u it e s 52 BCL2 Bcl-2 is an antiapoptotic gene. Expression of bcl-2 exclusively in the basal layer of OKCs
  • 53.
    Contoso S u it e s • PDPL is a marker of local invasiveness. PDPL, a type I transmembrane sialomucin is known to drive directional migration of epithelial cells • This suggests that basal epithelial areas with strong PDPL expression correspond with sites of dynamic cell migration activity. PDPL expression concentrated mainly along the basal layer of nearly all OKC 53 PODOPLANIN
  • 54.
    Contoso S u it e s 54 SYNDROMIC OKC
  • 55.
    Contoso S u it e s 55 SYNDROMES ASSOCIATED WITH OKC Nevoid basal cell carcinoma Marfans syndrome Noonans syndrome Ehlers danlos syndrome Orofacial digital syndrome Simpsongolabi-behmel syndrome
  • 56.
    Contoso S u it e s 56 NEVOID BASAL CELL CARCINOMA Present in at least 75% of patients with NBCCS
  • 57.
    Contoso S u it e s 57 NEVOID BASAL CELL CARCINOMA
  • 58.
    Contoso S u it e s 58 OKC WITH UNUSUAL FEATURES
  • 59.
    Contoso S u it e s 59 OKC WITH CALCIFICATIONS Naveen F, Tippu SR, Girish KL, Kalra M, Desai V. Maxillary keratocystic odontogenic tumor with calcifications: A review and case report. Journal of oral and maxillofacial pathology: JOMFP. 2011 Sep;15(3):295. Dystrophic calcifications, reported to be 4.5-16.8%. These are usually caused by degeneration of tissues (necrobiosis) and is predisposed to dystrophic calcification. High incidence of crystalline calcium phosphates, hydroxyapatite, and whitlockite, and inorganic phosphates were found in the aspirated fluid.
  • 60.
    Contoso S u it e s 60 OKC WITH CARTILIGENOUS METAPLASIA ESKENDRI J, FELICIANO R, REICH R, FREEDMAN P. CARTILAGENOUS METAPLASIA IN ODONTOGENIC KERATOCYST (OKC): CASE SERIES AND IMMUNOHISTOCHEMICAL ANALYSIS. Oral surgery, oral medicine, oral pathology and oral radiology. 2017 Sep 1;124(3):e203. The presence of chondromatous tissues in the adjoining connective tissue of KCOT was reported in only eight cases. There are several possible explanations for the presence of cartilage • Presence of a chondroma; • Vestigial remains of meckel’s cartilage • A possible metaplastic change of the fibrous connective tissue in response to chronic irritation; • A possible induction of the cyst wall by the epithelial lining; • Trapped glycosaminoglycans.
  • 61.
    Contoso S u it e s 61 OKC WITH DENTINOID Exceedingly rare occur as irregular eosinophilic masses with tubule formation or calcospherite-like mineralization. Van Gieson and Masson trichome positive and negative for congo red. The possible pathogenesis could be • the inductive changes which mesenchymal cells • Metaplasia Naveen F, Tippu SR, Girish KL, Kalra M, Desai V. Maxillary keratocystic odontogenic tumor with calcifications: A review and case report. Journal of oral and maxillofacial pathology: JOMFP. 2011 Sep;15(3):295.
  • 62.
    Contoso S u it e s 62 OKC WITH GRANULAR CELL CHANGE Deshmukh RS, Bavle RM, Deo PN, Chavan S. Odontogenic keratocyst with granular cell changes: A distinctive finding. Journal of oral and maxillofacial pathology: JOMFP. 2019 Sep;23(3):432. • aging or degenerating process • Lysosomal aggregation Probable reasons for granular changes :
  • 63.
    Contoso S u it e s 63 OKC OF BUCCAL MUCOSA Odontogenic -Source of epithelium • dental lamina rests that are displaced and persist in the buccal mucosa during odontogenesis • isthmus of an abortive hair follicle • sebaceous duct Skin • Cutaneous keratocyst • steatocystoma Witteveen ME, Flores IL, Karssemakers LH, Bloemena E. Odontogenic keratocysts located in the buccal mucosa: A description of two cases and review of the literature. SAGE open medical case reports. 2019 May;7:2050313X19849828.
  • 64.
    Contoso S u it e s Odontogenic Keratocyst was reclassified as Keratocystic Odontogenic Tumor (KCOT) by the World Health organization in 2005, to better reflect its nature as a neoplasm based both on its clinical behaviour and its molecular biology But recently due to various controversies, Odontogenic keratocysts which were eliminated from the 3rd 2005 edition were again included in odontogenic cyst category in the 4th edition of WHO classification to better reflect its cystic nature. 64 CONCLUSION
  • 65.
    Contoso S u it e s 65 FREQUENCY OF OCCURRENCE WITH SYNDROME

Editor's Notes

  • #16 4-12%
  • #49 istologic and immunohistochemical features of classic odontogenic keratocyst. A, Hematoxylin and eosin (H&E) preparation showing features of classic odontogenic keratocyst (OKC) (H&E, ?400). B, Strong expression of CK5 in the basal and suprabasal layers, and negative staining in the more superficial cells (immunohistochemistry [IHC], ?400). C, Linear expression of CK14 almost restricted to cells of the basal layer (IHC, ?400). D, Strong CK19 expression in suprabasal layers (IHC, ?400). E, Strong expression of CD138 in basal and suprabasal cells, whereas the more superficial parakeratinized layer is negative (IHC, ?400). F, Strong nuclear positivity for p63 in the suprabasal and middle layers of the cystic epithelium. It is negative in the columnar basal cells and superficial layers (IHC, ?400). G, Ki-67 nuclear positivity mainly in some suprabasal cells and few columnar basal cells (IHC, ?400). H, Negative expression of p53 in all layers of epithelium. I, Cytoplasmic bcl-2 expression in a linear pattern restricted to basal layer (IHC, ?400)