A
CASE PRESENTATION
ON
ODONTOGENIC KERATOCYST
Binaya Subedi
BDS Intern
School Of Dental Sciences, CMC
Demographic Details
• Hospital No: 76133809
• Name: Rewati Pariyar
• Age/sex: 74Y/ F
• Address: Kawasoti
Chief Complaints
Patient complains of swelling in lower front region of jaw
since 3 months.
History of Presenting illness
• She was in her usual state of health, when she noticed a
hard swelling in lower front region of jaw 3 months back,
which was gradual on onset, progressive associated with
pain, looseness of teeth, foul taste and breath.
• Pain on lower back and front region of jaw which was
gradual on onset, throbbing type, radiating towards ears
and neck, mildly relieved on medications (painkillers),
aggravated during eating.
• There was no history of fever, vomiting or trauma.
Medical History
• No relevant medical history.
Past Dental History
• She had undergone removal of teeth in lower right back
region of jaw which was eventful (unhealed socket).
Personal History
• She consumes tobacco in chewable form since past 15
years and places it in lower right vestibular area.
• She brushes randomly with neem stick (twig-datun)
ON EXAMINATION
Extra-oral Examination
Facial Symmetry:
• Asymmetrical
• Swelling present over right mandibular posterior region and
anterior region of around 3×3 cm in size, without any changes
or ulcerations on overlying skin.
TMJ:
• Deviated towards right on opening and closing. Non-tender
Lymph Nodes:
• Multiple palpable right submandibular nodes, oval in shape,
around 0.5-1 cm in diameter, soft, freely mobile and non-
tender.
Intra-oral Examinations
• A swelling extending from distal of right mandibular canine to mesial
to left mandibular 1st premolar, of around 3×3 cm in size, without any
surface changes. On palpation, it was non-tender, bony hard with
egg-shell cracking present.
• A bony defect was present distal to right mandibular canine of around
1cm in diameter, with pus like discharge. On palpation it was tender.
• A fluctuant swelling present over right alveo-lingual sulcus of around
5×1 cm in dimension with no surface alterations and was fluctuant on
palpation.
• Generalized gingival recession present.
Provisional Diagnosis:
Odntogenic Keratocyst on mandibular anterior region
Differential Diagnosis
• Ameloblastoma
• Central Giant cell granuloma
Investigations
• Aspiration of cystic contents:
Showed dirty pus colored fluid, contained shredded and
fragmented cells of cystic lining.
• Protein analysis:
Toller postulated that a protein level of less than 4.0 gm/100ml
indicated a diagnosis of OKC.
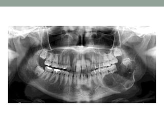
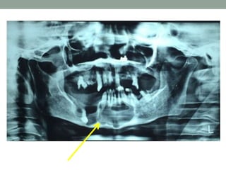
• Radiography:
OPG was advised which showed, multilocular radiolucency
extending from right rams-angle region to mandibular anterior
region with well defined sclerotic border without roots resorption
and thinning of cortical plates and only few mm of mandibular lower
border remaining.
Biopsy
• Was planned and will only provide definitive diagnosis.
Treatment Options:
• Curettage with peripheral osteotomy keeping a safety
margin of 1mm
• Curettage followed by Chemical cauterization with
carnoy’s solution
• Marginal mandibulectomy leaving lower border intact
• Segmental hemimandibulectomy with left anterior
sectional mandibulectomy.
Prognosis:
• Poor, depending upon the patient’s condition, severity of
lesion and amount of mandible involved.
• Recurrence is most likely.
ODONTOGENIC KERATOCYST
WHO Classification of cysts of Jaws 2017 (4th etd.)
• The odontogenic keratocyst is a distinctive form of developmental
odontogenic cyst that deserves special consideration because of
its specific histopathologic features and clinical behavior.
• There is general agreement that the odontogenic keratocyst
arises from cell rests of the dental lamina.
• 3%-11% of odontogenic cyst
• Classified under benign odontogenic tumors by WHO because;
• Behaviour: Locally destructive and high recurrence rate
• Histopathology: basal epithelial layer shows proliferation and
budding into the underlying CT
• Genetics: PTCH gene mutation
• Possible association with Nevoid basal cell carcinoma
• Reclassified under developmental odontogenic cyst by WHO in
2017
• Age:
• Occurs over a wide range
of age groups from first to
ninth decades.
• Bimodal distribution with
peak incidence: 2nd-3rd
decade & 5th- later
• Sex: Male predilection
• Site:
• Mandible (65%)  ramus
3rd molar area > 1st & 2nd
molar area > anterior
maxilla (25%)
• In most of cases, more
than one OKC are
present.
Clinical Features:
• OKC grows within medullary cavity of the bone without causing
obvious bone expansion in anteroposterior direction which is
less compared to other cysts of comparable size.
• Small OKC are asymptomatic and are discovered only during
radiographic examination.
• Larger lesions produce swellings involving the maxillary sinus and the
entire ascending ramus, including the condylar and coronoid
processes causing apparent facial asymmetry, pain, paraesthesia of
lips and mobility of non-periodontal origin.
• Displacement of tooth is common that root resorption but both can
occur concomittently.
• When maxillary anterior region is involved, tends to get infected
due to vicinity to maxillary sinus.
• OKC is associated with GORLIN-GOLTZ (NBSCS)
syndrome characterized by;
• Basal cell carcinoma
• Odontogenic Keratocyst of the jaws
• Bifid ribs– sixth rib
• Plantar & palmar pits
• Occular hypertelorism
• Ectopic calcifications
Radiographic Features
• OKC demonstrate a well-defined radiolucent area with
smooth and often corticated margins. Larger lesions tends
to be multilocular.
• Sometimes associated with unerupted tooth mimicking
dentigerous cyst.
• Root resorption is common.
• Radiographic classification (Toller, 1970)
• Replacemental type: develops in place of normal tooth
• Envelopemental type: embraces an adjacent unerupted
tooth
• Extraneous type: develops in ascending ramus away
from teeth
• Collateral type: adjacent to root of teeth
Treatment and Prognosis
• Enucleation with curettage
• Enucleation with peripheral osteotomy with safety
margins.
• Chemical cauterization with Carnoys solution after
enucleation
• Surgical resection of a marginal bone, part of, half of or
whole mandible depending upon severity.
Prognosis:
• Potential malignant transformation but rare
• Recurrence is high (15-20%)
Recurrence is due to;
• Thin, fragile lining is very difficult to remove completely.
• New cysts develop from satellite cysts left behind.
• Some cysts may be left behind in cases of Gorlin – Gotz
syndrome.
• New cysts can also develop from basal cells of overlying
oral epithelium, especially in ramus – 3rd molar region.
Odontogenic keratocyst- A case presentation

Odontogenic keratocyst- A case presentation

  • 1.
    A CASE PRESENTATION ON ODONTOGENIC KERATOCYST BinayaSubedi BDS Intern School Of Dental Sciences, CMC
  • 2.
    Demographic Details • HospitalNo: 76133809 • Name: Rewati Pariyar • Age/sex: 74Y/ F • Address: Kawasoti
  • 3.
    Chief Complaints Patient complainsof swelling in lower front region of jaw since 3 months.
  • 4.
    History of Presentingillness • She was in her usual state of health, when she noticed a hard swelling in lower front region of jaw 3 months back, which was gradual on onset, progressive associated with pain, looseness of teeth, foul taste and breath. • Pain on lower back and front region of jaw which was gradual on onset, throbbing type, radiating towards ears and neck, mildly relieved on medications (painkillers), aggravated during eating. • There was no history of fever, vomiting or trauma.
  • 5.
    Medical History • Norelevant medical history.
  • 6.
    Past Dental History •She had undergone removal of teeth in lower right back region of jaw which was eventful (unhealed socket).
  • 7.
    Personal History • Sheconsumes tobacco in chewable form since past 15 years and places it in lower right vestibular area. • She brushes randomly with neem stick (twig-datun)
  • 8.
  • 9.
    Extra-oral Examination Facial Symmetry: •Asymmetrical • Swelling present over right mandibular posterior region and anterior region of around 3×3 cm in size, without any changes or ulcerations on overlying skin. TMJ: • Deviated towards right on opening and closing. Non-tender Lymph Nodes: • Multiple palpable right submandibular nodes, oval in shape, around 0.5-1 cm in diameter, soft, freely mobile and non- tender.
  • 10.
    Intra-oral Examinations • Aswelling extending from distal of right mandibular canine to mesial to left mandibular 1st premolar, of around 3×3 cm in size, without any surface changes. On palpation, it was non-tender, bony hard with egg-shell cracking present. • A bony defect was present distal to right mandibular canine of around 1cm in diameter, with pus like discharge. On palpation it was tender. • A fluctuant swelling present over right alveo-lingual sulcus of around 5×1 cm in dimension with no surface alterations and was fluctuant on palpation. • Generalized gingival recession present.
  • 13.
    Provisional Diagnosis: Odntogenic Keratocyston mandibular anterior region Differential Diagnosis • Ameloblastoma • Central Giant cell granuloma
  • 14.
    Investigations • Aspiration ofcystic contents: Showed dirty pus colored fluid, contained shredded and fragmented cells of cystic lining. • Protein analysis: Toller postulated that a protein level of less than 4.0 gm/100ml indicated a diagnosis of OKC. • Radiography: OPG was advised which showed, multilocular radiolucency extending from right rams-angle region to mandibular anterior region with well defined sclerotic border without roots resorption and thinning of cortical plates and only few mm of mandibular lower border remaining.
  • 16.
    Biopsy • Was plannedand will only provide definitive diagnosis.
  • 17.
    Treatment Options: • Curettagewith peripheral osteotomy keeping a safety margin of 1mm • Curettage followed by Chemical cauterization with carnoy’s solution • Marginal mandibulectomy leaving lower border intact • Segmental hemimandibulectomy with left anterior sectional mandibulectomy. Prognosis: • Poor, depending upon the patient’s condition, severity of lesion and amount of mandible involved. • Recurrence is most likely.
  • 18.
  • 19.
    WHO Classification ofcysts of Jaws 2017 (4th etd.)
  • 20.
    • The odontogenickeratocyst is a distinctive form of developmental odontogenic cyst that deserves special consideration because of its specific histopathologic features and clinical behavior. • There is general agreement that the odontogenic keratocyst arises from cell rests of the dental lamina. • 3%-11% of odontogenic cyst • Classified under benign odontogenic tumors by WHO because; • Behaviour: Locally destructive and high recurrence rate • Histopathology: basal epithelial layer shows proliferation and budding into the underlying CT • Genetics: PTCH gene mutation • Possible association with Nevoid basal cell carcinoma • Reclassified under developmental odontogenic cyst by WHO in 2017
  • 21.
    • Age: • Occursover a wide range of age groups from first to ninth decades. • Bimodal distribution with peak incidence: 2nd-3rd decade & 5th- later • Sex: Male predilection • Site: • Mandible (65%)  ramus 3rd molar area > 1st & 2nd molar area > anterior maxilla (25%) • In most of cases, more than one OKC are present. Clinical Features:
  • 22.
    • OKC growswithin medullary cavity of the bone without causing obvious bone expansion in anteroposterior direction which is less compared to other cysts of comparable size. • Small OKC are asymptomatic and are discovered only during radiographic examination. • Larger lesions produce swellings involving the maxillary sinus and the entire ascending ramus, including the condylar and coronoid processes causing apparent facial asymmetry, pain, paraesthesia of lips and mobility of non-periodontal origin. • Displacement of tooth is common that root resorption but both can occur concomittently. • When maxillary anterior region is involved, tends to get infected due to vicinity to maxillary sinus.
  • 23.
    • OKC isassociated with GORLIN-GOLTZ (NBSCS) syndrome characterized by; • Basal cell carcinoma • Odontogenic Keratocyst of the jaws • Bifid ribs– sixth rib • Plantar & palmar pits • Occular hypertelorism • Ectopic calcifications
  • 24.
    Radiographic Features • OKCdemonstrate a well-defined radiolucent area with smooth and often corticated margins. Larger lesions tends to be multilocular. • Sometimes associated with unerupted tooth mimicking dentigerous cyst. • Root resorption is common.
  • 26.
    • Radiographic classification(Toller, 1970) • Replacemental type: develops in place of normal tooth • Envelopemental type: embraces an adjacent unerupted tooth • Extraneous type: develops in ascending ramus away from teeth • Collateral type: adjacent to root of teeth
  • 27.
    Treatment and Prognosis •Enucleation with curettage • Enucleation with peripheral osteotomy with safety margins. • Chemical cauterization with Carnoys solution after enucleation • Surgical resection of a marginal bone, part of, half of or whole mandible depending upon severity. Prognosis: • Potential malignant transformation but rare • Recurrence is high (15-20%)
  • 28.
    Recurrence is dueto; • Thin, fragile lining is very difficult to remove completely. • New cysts develop from satellite cysts left behind. • Some cysts may be left behind in cases of Gorlin – Gotz syndrome. • New cysts can also develop from basal cells of overlying oral epithelium, especially in ramus – 3rd molar region.