OCULAR
SARCOIDOSIS
SIVATEJA CHALLA
โ€ข DEFINITION
โ€ข EPIDEMIOLOGY
โ€ข PATHOGENESIS
โ€ข ETIOLOGY
โ€ข HISTOPATHOLOGY
โ€ข CLINICAL FEATURES
โ€ข DIFFERENTILA DIAGONOSIS
โ€ข INVESTIGATIONS
โ€ข DIAGONOSTIC CRITERIA
โ€ข TREATMENT
โ€ข COMPLICATIONS
โ€ข COURSE AND OUTCOME
Definition
โ€ข Multisystem chronic inflammatory disorder
characterised by the presence of non caeseating
granulomas in affected tissues
โ€ข Main organs involved are lungs,lymph nodes, eyes,
skin, heart, liver,kidneys, muscles
โ€ข Ocular involvement was first observed by schumaker
in patient with nodular iritis in the year 1909
EPIDEMIOLOGY
โ€ข World wide distribution
โ€ข Prevance differs from region to region
โ€ข Overall incidence 6-10/ 1 lakh
โ€ข Japan 3.2/lakh and finland 28.2/lakh
โ€ข Age common is 20-40 yrs (bimodal 20 to 30y and 50-60y)
โ€ข Sex females>males
โ€ข Ocular incidence is 25 to 60%
โ€ข Earlier was disease of developed world,now d/t increased
diagnostic modalities seen in developing countries also
PATHOGENESIS
โ€ข Caused by antgenic stimulation
โ€ข Antigen activates a cascade of reactions in genetically
susceptible individuals
Antigen presented by APC
Activation of CD4+T lymphocytes and cytokines
compartmentalisation at site of inflammation sealing the
antigen L/T granuloma formation
ETIOLOGY
โ€ข ?BACTERIAL
โ€ข ?VIRAL
โ€ข ?ENVIRONMENTAL
โ€ข Mycobacterial- clinical radiological and histopath
similarities of TB and sarcoidosis implicates
mycobacterium as cause.
-studies demo M.TB DNA and RNA from
sarcoid tissues,but was not able to isolate M.TB on culture
- recently high frequency of M.TB catalase
peroxidase in sarcoid granulomas renewed interest
ANTIGEN STUDIES BUT CAUSE IS NOT
PROVED
Contโ€ฆ..
ETIOLOGY
โ€ข Other agents
๏ƒ˜Proprionobacterium
๏ƒ˜Hepatitis C
๏ƒ˜Herpes
๏ƒ˜EBV
๏ƒ˜Helicobacter pyroli
HISTOPATHOLOGY
โ€ข HLADR 17 AND TNF play important role in disease severity
and prognosis
โ€ข But no gene has been demonstrated responsible for
sarcoidosis
โ€ข HPE classically shows typical NON CASEATING sarcoid
granulomas
centreโ€”epitheloidcells or macrophages
surrounded by โ€“lymphocytes and fibroblasts
โ€ข SARCOID and ASTEROID bodies are found
HISTOPATHOLOGY
CLINICAL FEATURES
โ€ข OCULAR FEATURES
โ€ข SYSTEMIC FEATURES
PRESENTATION
ACUTE ONSET๏ƒ LOFGRENS SYNDROME-erythema nodosum,
B/L hilar lymphadenopathy, arthritis
๏ƒ  HEERFORDTS SYNDROME-fever, uveitis,
parotid swelling, facial palsy
INSIDIOUS ONSET๏ƒ  5th decade with PUL involvement
resulting in cough,dyspnoea along with extra pulmonary
manifestations
OCULAR FEATURES
โ€ข Seen in 50% pts with systemic disease
โ€ข m/c manifestation is uveitis
โ€ข May be asymptomatic
โ€ข May present with blurred vision floaters, redness and
discomfort
โ€ข Ocular involvement is chronic and has insidious onset
Eye lids
โ€ข Small millet shaped to large nodules on eyelids
โ€ข Lesions are non tender and rarely ulcerate
Lacrimal gland and drianage system
โ€ข 7% pts with sarcoidosis
โ€ข 25% pts with ocular sarcoidosis
โ€ข Usually B/L
โ€ข Enlargement of lacrimal glands found
โ€ข Loss of functionality may lead to keratoconjunctivitis sicca
โ€ข NLD afected very rarely,dacrystenosis may occur
secondary to granulomatous inflammation
โ€ข May L/T epiphora and acute or chronic dacrocyctitis
Orbit
โ€ข Uncommon
โ€ข Only involves in 1% pts with ocular sarcoidosis
โ€ข Granulomatous infl of orbit may L/T U/L OR B/L proptosis
โ€ข Involvement of EOM very rare,may lead to painful external
ophthalmoplegia
Conjunctiva
โ€ข 4-13% cases of sarcoidosis
โ€ข 17-20% pts with ocular sarcoidosis
โ€ข 25% pts with sarcoid uveitis have conj changes
โ€ข M.C lesion is granuloma
โ€ข Seen as small round yellow nodules
โ€ข Usually present in infero palpebral conj and fornix
โ€ข May be single,may be U/L OR B/L
โ€ข In some cases cicatrial chnages and symblepheron can
occur
CONJUNCTIVA
Cornea
โ€ข M.C manifestation is band shaped keratopathy
โ€ข Also nummular keratitis may be seen,bilateral,not
characteristic
โ€ข May also seen as thickening and opacification of
descemets membrane and endothelium in inferior cornea
due to fibrous metaplsia of endothelial cells,may be of
chronic inflammation
โ€ข Presencce of inferior corneal opacification in patient with
chronic iridocyclitis should raise the suspicion of sarcoid
CORNEA
Iris
โ€ข Nodules in 11% pts with ocular sarcoidosis
โ€ข Koeppes and busaccas nodules
โ€ข Not characteristic
Anterior uveitis
โ€ข M.c manifestation
โ€ข Seen on 2/3rd cases
โ€ข Typical chronic B/L Non caseating granulomatous uveitis
โ€ข Acute or chronic
ACUTE ANTERIOR UVETIS
โ€ข Abrupt onset asso with pain redness and photophobia
โ€ข Blurred vision
โ€ข Usually U/L,exam reveals cells,flare and fine KPs
โ€ข Likely to occur at the onset of systemic disease
โ€ข Well responds to treatment
Contโ€ฆ.
Anterior uveitis
CHRONIC ANTERIOR UVEITIS
โ€ข Mutton fat KPs
โ€ข Iris nodules
โ€ข Trabecular meshwork nodules on gonio
โ€ข Tent shaped PAS on gonio
โ€ข May lead to glaucoma and cataract
โ€ข Mor edifficult to treat and has higher incidence of
complaications and worst prognosis
ANTERIOR UVEITIS
ANTERIOR UVEITIS
Intermediate uveitis
โ€ข Inflammation of vitreous,pars plana and peripheral retina
โ€ข Snow balls are seen
โ€ข Some times snow banking may be seen
โ€ข Least common form
โ€ข In sarcoidosis anterior uveitis > posterior uveitis >
intermediate uveitis
Posterior uveitis
โ€ข 25% patients with ocular sarcoidosis have posterior
segment involvement
โ€ข Although asso with ant uveitis 20% pts amy have isolated
post sement involvment
CHARACTERISTIC FINDINGS
โ€ข Candle wax dripping sign/taches de bouge,there is
periphlebitis with segmental cuffing with extensive
sheatind and perivenous infiltrate
โ€ข Capillary closure and ischemia may L/T Neo vas and VH
โ€ข Choroidal granulomas are seen,which resolve and form
RPE atrophy or scar formation
โ€ข Cystoid macular oedema
OTHER RARE COMPLICATIONS
โ€ข RETINAL DETACHMENTS
โ€ข OPTOCILIARY SHUNTS
โ€ข ARTERIAL MACRO ANEURYSMS
โ€ข major concern is posterior segment sarcoid
uvetis involvement associated with
neurological involvement in 27% cases,SO
careful fundus examination should be done
POSTERIOR UVEITIS
POSTERIOR UVEITIS
OPTIC NEUROPATHY
โ€ข Rare
โ€ข Feared complication,may lead to rapid vn loss
โ€ข Four types of optic nerve disease described
1.Papilloedema sec to severe raised ICP and CNS involvement
2.Infiltration of optic nerve by non caeseating granulomas
3.Retrobulbar neuritis
4.Glaucomatous optic atrophy secondary to raised IOP FOR
long periods
OPTIC NEUROPATHY
SYSTEMIC FEATURES
โ€ข Predominantly affects
1. Lungs 90%
2. Thoracic lymph nodes
3. Skin
4. CNS
5. ARTHROPATHY
6. Hepatic involvement
7. Renal invlvement
8. Cardiac involvement
Lungs and thoracic lymphnodes
โ€ข Usually asymptomatic and discovered on CXR
โ€ข Patient may also present with fever,malaise,fatigue,weight
loss,cough,dyspnoea,chest pain
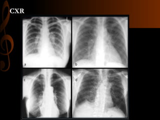
SCADDING SCALE CXR and HRCT CHEST
โ€ข Stage 1 (a) โ€“Bilateral hilar lymphadenopathy (55-90%)
โ€ข Stage 2 (b) โ€“Pulmonary infiltrates with BHL(40-70%)
โ€ข Stage 3 (c) โ€“ Pulmonary infiltrate alone (10-20%)
โ€ข Stage 4 (d) โ€“ extensive pulmonary fibrosis (10%)
CXR
SKIN
โ€ข ERYTHEMA NODOSUMโ€“ tender erythematous plaques on
knees,shins,occasionally seen on thighs and forearms
โ€ข Granulomatous scattered plaques,nodules and papules
โ€ข LUPUS PERNIO-- indurated violaceous lesions involving
nose cheeks fingers and ears
SYSTEMIC FEATURES
โ€ข Neurological involvement is seen on 5-10% pts. M.C is U/L
7th nerve palsy,
โ€ข Arthropathy is typically symmetrical and all types of joints
involved
โ€ข Hepatic involvement subclinical and altered liver enzymes
may be present
โ€ข Renal involvement may lead to hyper calcemia,hyper
calciuria and increased risk for nephrocalcinosis and
nephrolithiasis
โ€ข Cardiac seen on <5%,conduction defects occur.be careful
In using beta blockers in these patients for glaucoma
โ€ข Peripheral lymphadenopathy in 30% pts
DIFFERENTIAL DIAGONOSIS
โ€ข Varied presentations and features it shares with other
diseases offer many oppurtunities for misdiagonosis
โ€ข So history, clinical corse and associated systemic sgns and
investigations proves clinical clues
DIFFERENTIAL DIAGONOSIS
GRANULOMATOUS UVEITIS Tb, Syphilis, leprosy, vkh,
toxoplasmosis, herpetic uveitis
ISOLATED IRIS NODULES Iris neoplasms, metastatic
carcinomas, leukemic infiltrates, seeding from
retinoblastoma
INTERMEDIATE UVEITIS LYMES disease,multiple
sclerosis,pars planitis
CHOROIDAL LESIONS tb, birdshot retinopathy, metastatic
tumours, large cell lymphomas, vkh, serpigrnous
choroidopathy, behcets disease , CMV retinitis, Sympathetic
ophthalmia, histoplasmosis
INVESTIGATIONS
โ€ข Diagonosis of exclusion
1.ICG csn be done for dx of occult choroidal lesions
2.TUBERCULIN TEST is depressed in pts with sarcoid d/t
cutaneous anergy and may be NEGATIVE
3.Serum ACE levels are elevated,if patient on ACE inhibitors
then do serum LYSOZYME levels,not characteristic
4.LIVER ENZYMES,included in diagonostic criteria for ocular
sarcoidosis (3* inc in ALP or 2* inc in sgot/sgpt)
INVESTIGATIONS
โ€ข RADIOLOGY ๏ƒ  CXR,HRCT for hilar lymphadenopathy and
pul infiltrates,HRCT is more sensitive than CXR
โ€ข GALLIUM SCANNING
โ€ข BRONCHOALVELOR LAVAGE shows lymphocytois,altered
CD4/CD8 ratio, smears and culture can be made to r/o TB
โ€ข BIOPSY any clinically involved tissue can be
biopsied,usuallu lung parenchyma and hilar lymph nodes
are biopsied to look for non caseating granulomas
โ€ข HYPERCALCEMIA occurs in <10% pts,is of limited value
GALLIUM SCANNING
DIAGONOSTIC CRITERIA
TREATMENT
โ€ข No standardized therapy
โ€ข Main is corticosteroids
โ€ข If mild then topical corticosteroids
โ€ข If severe then start oral corticosteroids and taper
โ€ข If not responding then immunosuppresants like MTX,
mycophenolate, azathioprine, cyclosporine and
leflunomide
โ€ข If not controlled then anti TNF ALPHA agents like
etanecept, infliximab and alalimumab can be tried
COMPLICATIONS
1.CME IN 76% CASES
2.CATARACT 49%
3.GLAUCOMA 36 %
4.RETINAL ISCEMIA 16%
5.NEO VASCULARISATION IN 11%
CATARACT AND GLAUCOMA TO BE TREATED APPROPRIATELY
IVTA can be given for CME
COURSE AND OUTCOME
โ€ข Overall good prognosis
โ€ข Systemic features asso with poor outcome are
1.Diffuse CNS disease
2.Lupus pernio
3.Nephrocalcinosis
4.Late stages of pulmonary disease
5.Bone abnormalities
6.Hepatosplenomegaly
7.Cardiac involvement
THANK YOU

ocular Sarcoidosis

  • 1.
  • 2.
    โ€ข DEFINITION โ€ข EPIDEMIOLOGY โ€ขPATHOGENESIS โ€ข ETIOLOGY โ€ข HISTOPATHOLOGY โ€ข CLINICAL FEATURES โ€ข DIFFERENTILA DIAGONOSIS โ€ข INVESTIGATIONS โ€ข DIAGONOSTIC CRITERIA โ€ข TREATMENT โ€ข COMPLICATIONS โ€ข COURSE AND OUTCOME
  • 3.
    Definition โ€ข Multisystem chronicinflammatory disorder characterised by the presence of non caeseating granulomas in affected tissues โ€ข Main organs involved are lungs,lymph nodes, eyes, skin, heart, liver,kidneys, muscles โ€ข Ocular involvement was first observed by schumaker in patient with nodular iritis in the year 1909
  • 4.
    EPIDEMIOLOGY โ€ข World widedistribution โ€ข Prevance differs from region to region โ€ข Overall incidence 6-10/ 1 lakh โ€ข Japan 3.2/lakh and finland 28.2/lakh โ€ข Age common is 20-40 yrs (bimodal 20 to 30y and 50-60y) โ€ข Sex females>males โ€ข Ocular incidence is 25 to 60% โ€ข Earlier was disease of developed world,now d/t increased diagnostic modalities seen in developing countries also
  • 5.
    PATHOGENESIS โ€ข Caused byantgenic stimulation โ€ข Antigen activates a cascade of reactions in genetically susceptible individuals Antigen presented by APC Activation of CD4+T lymphocytes and cytokines compartmentalisation at site of inflammation sealing the antigen L/T granuloma formation
  • 6.
    ETIOLOGY โ€ข ?BACTERIAL โ€ข ?VIRAL โ€ข?ENVIRONMENTAL โ€ข Mycobacterial- clinical radiological and histopath similarities of TB and sarcoidosis implicates mycobacterium as cause. -studies demo M.TB DNA and RNA from sarcoid tissues,but was not able to isolate M.TB on culture - recently high frequency of M.TB catalase peroxidase in sarcoid granulomas renewed interest ANTIGEN STUDIES BUT CAUSE IS NOT PROVED Contโ€ฆ..
  • 7.
    ETIOLOGY โ€ข Other agents ๏ƒ˜Proprionobacterium ๏ƒ˜HepatitisC ๏ƒ˜Herpes ๏ƒ˜EBV ๏ƒ˜Helicobacter pyroli
  • 8.
    HISTOPATHOLOGY โ€ข HLADR 17AND TNF play important role in disease severity and prognosis โ€ข But no gene has been demonstrated responsible for sarcoidosis โ€ข HPE classically shows typical NON CASEATING sarcoid granulomas centreโ€”epitheloidcells or macrophages surrounded by โ€“lymphocytes and fibroblasts โ€ข SARCOID and ASTEROID bodies are found
  • 9.
  • 10.
    CLINICAL FEATURES โ€ข OCULARFEATURES โ€ข SYSTEMIC FEATURES PRESENTATION ACUTE ONSET๏ƒ LOFGRENS SYNDROME-erythema nodosum, B/L hilar lymphadenopathy, arthritis ๏ƒ  HEERFORDTS SYNDROME-fever, uveitis, parotid swelling, facial palsy INSIDIOUS ONSET๏ƒ  5th decade with PUL involvement resulting in cough,dyspnoea along with extra pulmonary manifestations
  • 11.
    OCULAR FEATURES โ€ข Seenin 50% pts with systemic disease โ€ข m/c manifestation is uveitis โ€ข May be asymptomatic โ€ข May present with blurred vision floaters, redness and discomfort โ€ข Ocular involvement is chronic and has insidious onset
  • 12.
    Eye lids โ€ข Smallmillet shaped to large nodules on eyelids โ€ข Lesions are non tender and rarely ulcerate
  • 13.
    Lacrimal gland anddrianage system โ€ข 7% pts with sarcoidosis โ€ข 25% pts with ocular sarcoidosis โ€ข Usually B/L โ€ข Enlargement of lacrimal glands found โ€ข Loss of functionality may lead to keratoconjunctivitis sicca โ€ข NLD afected very rarely,dacrystenosis may occur secondary to granulomatous inflammation โ€ข May L/T epiphora and acute or chronic dacrocyctitis
  • 14.
    Orbit โ€ข Uncommon โ€ข Onlyinvolves in 1% pts with ocular sarcoidosis โ€ข Granulomatous infl of orbit may L/T U/L OR B/L proptosis โ€ข Involvement of EOM very rare,may lead to painful external ophthalmoplegia
  • 15.
    Conjunctiva โ€ข 4-13% casesof sarcoidosis โ€ข 17-20% pts with ocular sarcoidosis โ€ข 25% pts with sarcoid uveitis have conj changes โ€ข M.C lesion is granuloma โ€ข Seen as small round yellow nodules โ€ข Usually present in infero palpebral conj and fornix โ€ข May be single,may be U/L OR B/L โ€ข In some cases cicatrial chnages and symblepheron can occur
  • 16.
  • 17.
    Cornea โ€ข M.C manifestationis band shaped keratopathy โ€ข Also nummular keratitis may be seen,bilateral,not characteristic โ€ข May also seen as thickening and opacification of descemets membrane and endothelium in inferior cornea due to fibrous metaplsia of endothelial cells,may be of chronic inflammation โ€ข Presencce of inferior corneal opacification in patient with chronic iridocyclitis should raise the suspicion of sarcoid
  • 18.
  • 19.
    Iris โ€ข Nodules in11% pts with ocular sarcoidosis โ€ข Koeppes and busaccas nodules โ€ข Not characteristic
  • 20.
    Anterior uveitis โ€ข M.cmanifestation โ€ข Seen on 2/3rd cases โ€ข Typical chronic B/L Non caseating granulomatous uveitis โ€ข Acute or chronic ACUTE ANTERIOR UVETIS โ€ข Abrupt onset asso with pain redness and photophobia โ€ข Blurred vision โ€ข Usually U/L,exam reveals cells,flare and fine KPs โ€ข Likely to occur at the onset of systemic disease โ€ข Well responds to treatment Contโ€ฆ.
  • 21.
    Anterior uveitis CHRONIC ANTERIORUVEITIS โ€ข Mutton fat KPs โ€ข Iris nodules โ€ข Trabecular meshwork nodules on gonio โ€ข Tent shaped PAS on gonio โ€ข May lead to glaucoma and cataract โ€ข Mor edifficult to treat and has higher incidence of complaications and worst prognosis
  • 22.
  • 23.
  • 25.
    Intermediate uveitis โ€ข Inflammationof vitreous,pars plana and peripheral retina โ€ข Snow balls are seen โ€ข Some times snow banking may be seen โ€ข Least common form โ€ข In sarcoidosis anterior uveitis > posterior uveitis > intermediate uveitis
  • 26.
    Posterior uveitis โ€ข 25%patients with ocular sarcoidosis have posterior segment involvement โ€ข Although asso with ant uveitis 20% pts amy have isolated post sement involvment CHARACTERISTIC FINDINGS โ€ข Candle wax dripping sign/taches de bouge,there is periphlebitis with segmental cuffing with extensive sheatind and perivenous infiltrate โ€ข Capillary closure and ischemia may L/T Neo vas and VH โ€ข Choroidal granulomas are seen,which resolve and form RPE atrophy or scar formation โ€ข Cystoid macular oedema
  • 27.
    OTHER RARE COMPLICATIONS โ€ขRETINAL DETACHMENTS โ€ข OPTOCILIARY SHUNTS โ€ข ARTERIAL MACRO ANEURYSMS โ€ข major concern is posterior segment sarcoid uvetis involvement associated with neurological involvement in 27% cases,SO careful fundus examination should be done
  • 28.
  • 29.
  • 30.
    OPTIC NEUROPATHY โ€ข Rare โ€ขFeared complication,may lead to rapid vn loss โ€ข Four types of optic nerve disease described 1.Papilloedema sec to severe raised ICP and CNS involvement 2.Infiltration of optic nerve by non caeseating granulomas 3.Retrobulbar neuritis 4.Glaucomatous optic atrophy secondary to raised IOP FOR long periods
  • 31.
  • 33.
    SYSTEMIC FEATURES โ€ข Predominantlyaffects 1. Lungs 90% 2. Thoracic lymph nodes 3. Skin 4. CNS 5. ARTHROPATHY 6. Hepatic involvement 7. Renal invlvement 8. Cardiac involvement
  • 34.
    Lungs and thoraciclymphnodes โ€ข Usually asymptomatic and discovered on CXR โ€ข Patient may also present with fever,malaise,fatigue,weight loss,cough,dyspnoea,chest pain SCADDING SCALE CXR and HRCT CHEST โ€ข Stage 1 (a) โ€“Bilateral hilar lymphadenopathy (55-90%) โ€ข Stage 2 (b) โ€“Pulmonary infiltrates with BHL(40-70%) โ€ข Stage 3 (c) โ€“ Pulmonary infiltrate alone (10-20%) โ€ข Stage 4 (d) โ€“ extensive pulmonary fibrosis (10%)
  • 35.
  • 36.
    SKIN โ€ข ERYTHEMA NODOSUMโ€“tender erythematous plaques on knees,shins,occasionally seen on thighs and forearms โ€ข Granulomatous scattered plaques,nodules and papules โ€ข LUPUS PERNIO-- indurated violaceous lesions involving nose cheeks fingers and ears
  • 37.
    SYSTEMIC FEATURES โ€ข Neurologicalinvolvement is seen on 5-10% pts. M.C is U/L 7th nerve palsy, โ€ข Arthropathy is typically symmetrical and all types of joints involved โ€ข Hepatic involvement subclinical and altered liver enzymes may be present โ€ข Renal involvement may lead to hyper calcemia,hyper calciuria and increased risk for nephrocalcinosis and nephrolithiasis โ€ข Cardiac seen on <5%,conduction defects occur.be careful In using beta blockers in these patients for glaucoma โ€ข Peripheral lymphadenopathy in 30% pts
  • 38.
    DIFFERENTIAL DIAGONOSIS โ€ข Variedpresentations and features it shares with other diseases offer many oppurtunities for misdiagonosis โ€ข So history, clinical corse and associated systemic sgns and investigations proves clinical clues
  • 39.
    DIFFERENTIAL DIAGONOSIS GRANULOMATOUS UVEITISTb, Syphilis, leprosy, vkh, toxoplasmosis, herpetic uveitis ISOLATED IRIS NODULES Iris neoplasms, metastatic carcinomas, leukemic infiltrates, seeding from retinoblastoma INTERMEDIATE UVEITIS LYMES disease,multiple sclerosis,pars planitis CHOROIDAL LESIONS tb, birdshot retinopathy, metastatic tumours, large cell lymphomas, vkh, serpigrnous choroidopathy, behcets disease , CMV retinitis, Sympathetic ophthalmia, histoplasmosis
  • 40.
    INVESTIGATIONS โ€ข Diagonosis ofexclusion 1.ICG csn be done for dx of occult choroidal lesions 2.TUBERCULIN TEST is depressed in pts with sarcoid d/t cutaneous anergy and may be NEGATIVE 3.Serum ACE levels are elevated,if patient on ACE inhibitors then do serum LYSOZYME levels,not characteristic 4.LIVER ENZYMES,included in diagonostic criteria for ocular sarcoidosis (3* inc in ALP or 2* inc in sgot/sgpt)
  • 41.
    INVESTIGATIONS โ€ข RADIOLOGY ๏ƒ CXR,HRCT for hilar lymphadenopathy and pul infiltrates,HRCT is more sensitive than CXR โ€ข GALLIUM SCANNING โ€ข BRONCHOALVELOR LAVAGE shows lymphocytois,altered CD4/CD8 ratio, smears and culture can be made to r/o TB โ€ข BIOPSY any clinically involved tissue can be biopsied,usuallu lung parenchyma and hilar lymph nodes are biopsied to look for non caseating granulomas โ€ข HYPERCALCEMIA occurs in <10% pts,is of limited value
  • 42.
  • 43.
  • 45.
    TREATMENT โ€ข No standardizedtherapy โ€ข Main is corticosteroids โ€ข If mild then topical corticosteroids โ€ข If severe then start oral corticosteroids and taper โ€ข If not responding then immunosuppresants like MTX, mycophenolate, azathioprine, cyclosporine and leflunomide โ€ข If not controlled then anti TNF ALPHA agents like etanecept, infliximab and alalimumab can be tried
  • 46.
    COMPLICATIONS 1.CME IN 76%CASES 2.CATARACT 49% 3.GLAUCOMA 36 % 4.RETINAL ISCEMIA 16% 5.NEO VASCULARISATION IN 11% CATARACT AND GLAUCOMA TO BE TREATED APPROPRIATELY IVTA can be given for CME
  • 47.
    COURSE AND OUTCOME โ€ขOverall good prognosis โ€ข Systemic features asso with poor outcome are 1.Diffuse CNS disease 2.Lupus pernio 3.Nephrocalcinosis 4.Late stages of pulmonary disease 5.Bone abnormalities 6.Hepatosplenomegaly 7.Cardiac involvement
  • 48.