Topic:- lung absecess
presented by:-
dr. shameer basha,
Lung abscess
s/no topic page no
intradution to lung abscess
definition
classification
risk factors
causes
pathpysiology
signs & symptoms
diagnosis
physical examination
instrumental findings
laboratory findings
differentioal diagnosis
complications
treatment
references
index
Lung abscess:-
is a type of liquefactive necrosis of the lung tissue and
formation of cavities (more than 2 cm)containing necrotic debris or
fluid caused by microbial infection.
This pus-filled cavity is often caused by aspiration, which
may occur during anesthesia, sedation, or unconsciousness from
injury. Alcoholism is the most common condition predisposing to
lung abscesses.
Classification:-
Lung abscesses can be classified based on the duration &
the likely etiology
a)Acute abscess:-
A lung abscess is defined as acute if the patient presents with
symptoms of <2weeks duration. Patients with an acute lung abscess are
less likely to have an underlying neoplasm, but are more likely to have
an infection caused by a virulent aerobic bacterial agent.
b)Chronic abscess:-
A chronic lung abscess is defined by symptoms lasting
for>4-6weeks. Patients more like to have an underlying neoplasm
or infection with a less virulent anaerobic agent.
1)Primary abscesses :-
are caused by an infection, pneumonia, within our
lung. Aspiration pneumonia is an infection that develops after food
or secretions from your mouth, stomach, or sinuses are inhaled into
your lungs instead of going into your esophagus. It’s a very common
cause of primary abscesses.
Secondary abscesses:-
are caused by anything other than an infection that
starts in our lung. This can be an obstruction of the large airways in
our lung, coexisting disease in our lungs, or infections from other
parts of our body that spread to our lungs.
Risk factors:-
Age:- Lung abscesses likely to occur more commonly in elderly
patients because of Increased incidence of periodontal
disease,Increased prevalence of dysphagia.
Sex:- A male predominance is reported in published case series.
Causes:-
 Aspiration of oropharyngeal or gastric secretion
 Septic emboli
 Necrotizing pneumonia
 Vasculitis: Granulomatosis with polyangiitis
 Aerobic bacteria:-
Actinomyces,peptostreptococcus,bacteroides,fusobacterium
species,streptococcus miller.
 Aerobic bacteria:-
Staphylococcus, Klebsiella, Haemophilus, Pseudomonas, Nocardi,
Escherichia coli, Streptococcus, Mycobacteria.
 Fungi:-
Candida,asperagillus
Pathphysiology:-
Lung abscesses begin as areas of pneumonia in which small zones of
necrosis (or microabscesses) develop within the consolidated lung.
Some of these areas coalesce to form single or sometimes
multiple areas of suppuration that, when they reach an arbitrary
size of 1-2 cm in diameter, are customarily referred to as abscesses.
If natural history of this pathological
process is interrupted at an early stage by appropriate antimicrobial
treatment, then healing may be complete with no residual
radiographic evidence ofdamage.
Signs & symptoms:-
Patients present withSevere cough with Profuse foul smelling
sputum, may be foetid.
There may be large amounts of purulent sputum once a bronchial
communication has been established Putrid sputum is a highly
specific symptoms that is pathognomonic for anaerobic infection.
although present in only 50—60%of patients Haemoptysis
(25%of patients) – not uncommon and may be life- threatening.
 Chest pain (pleuritic or deep-seated aching discomfort)60% of
patients
 Fever – usually high with chill & rigor, profuse night sweating
 Constitutional upset like- malaise, weakness
 Weight loss (60%of patients) – with an average loss of
between 15 &20 lbs
 Anorexia
 Symptoms of associated disease process eg-Bronchial
obstruction due to lung cancer
 Oesophageal obstruction due to achalasia
 Right-sided endocarditis
 Dyspnoea
Diagnosis:-
Physical examination:-
o There is no signs specific for lung abscess
o Patient is toxic with high temperature & Halitosis
o Clubbing may develop within few weeks if
treatmentis inadequat
On chest exam:-
o Evidence of consolidation
o Dullness to “percussion” and diminished breath sounds, if
the abscess is large and situated near the surface of the
lung.
o The ‘amorphic’ or ‘cavernous’ breath sound during
“ausscultation”.
Imaging studies
Lung abscesses are often on one side and single
involving posterior segments of the upper lobes and the apical
segments of the lower lobes as these areas are gravity dependent
when lying down.
x-ray:-
Radiographic abnormality may start with a pneumonic infiltrate
followed by the development of one or more spherical areas of more
homogeneous density in which air-fluid levels often arise indicating the
formation of a bronchial communication.
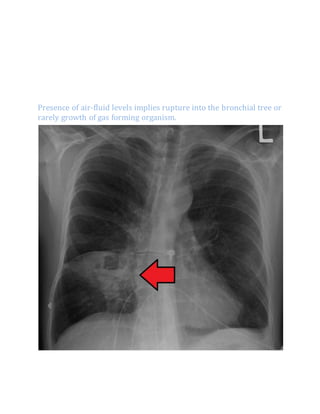
Presence of air-fluid levels implies rupture into the bronchial tree or
rarely growth of gas forming organism.
Pulmonary abscess on CXR
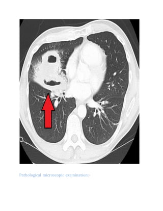
CT scan:-
the thorax right upper lobe shows a thick-walled cavity.
Pathological microscopic examination:-
Pathology image of a lung abscess.
Laboratory studies:-
Raised inflammatory markers (high ESR, CRP) are
common but nonspecific.
Examination of the coughed up mucus is
important in any lung infection and often reveals mixed bacterial
flora. Transtracheal or transbronchial (via bronchoscopy) aspirates
can also be cultured.
Fiber optic bronchoscopy is often performed to exclude obstructive
lesion; it also helps in bronchial drainage of pus.
Sputum examination:-
o Gram staining & C/S (both aerobic & anaerobic)
o Repeated isolation of a predominant organism suggests
that this may be a true pathogen
o cytology for malignant cell
o Stain and culture for Fungus
Charecterstics of sputum:-
If the sputum is kept in a bottle, there are 3 layers
 Upper – Frothy
 Middle – thick liquid
 Lower – sediment (epithelial debris, bacteria)
Diffrentioal diagnosis:-
o Consolidation (during resolution stage), usually no
clubbing
o Bronchiectasis
o Bronchial carcinoma, usually Squamous cell carcinoma
o Pulmonary tuberculosis (without causing abscess)
o Rare infections, including – Actinomycosis, Nocardiasis,
Fungal pneumonia
o Lung cancer and lung abscess
o Empyema
Complications:-
o Pleurisy
o Massive haemoptysis
o Spontaneous rupture into uninvolved lung segments
o Failure of abscess cavity to resolve
o Empyema -Rupture into pleural space causing empyema
o Bronchiectasis
o Pleural fibrosis
o Trapped lung Results from a bronchopleural fistula.
Treatment:-
 Broad spectrum antibiotic.
Amoxiccilin 500mg each 7hours daily 7weeks
Clindamycin + fluoroquinolone 3 times daily 7 weeks
to cover mixed flora is the mainstay of treatment.
 Pulmonary physiotherapy and postural drainage are also
important.
 Surgical procedures are required in selective patients for
drainage or pulmonary resection.
the treatment is divided according to the type of abscess acute
or chronic if it's acute the treatment is a- antibiotics:
if anaerobic -> metronidazole or clindamycin if aerobic-> B-lactams,
cephalosporins if MRSA or Staph infection
vancomycin or linezolide b- postural drainage and chest
physiotherapy .
bronchoscopy: is used for the following cases: 1-aspiration
or instillation of antibiotics 2- patients with atypical presentation
suspected of having underlying foreign body or malignancy.
References:-
https://en.wikipedia.org/wiki/Lung_absce
https://www.healthline.com/health/lung-abscess#complications
https://www.google.com/search?q=CXR&oq=CXR&aqs=chrome..69i
57j0l5.2484j0j7&sourceid=chrome
https://en.wikipedia.org/wiki/lungabscess#Cause

lung abscess

  • 1.
    Topic:- lung absecess presentedby:- dr. shameer basha,
  • 2.
    Lung abscess s/no topicpage no intradution to lung abscess definition classification risk factors causes pathpysiology signs & symptoms diagnosis physical examination instrumental findings laboratory findings differentioal diagnosis complications treatment references index
  • 3.
    Lung abscess:- is atype of liquefactive necrosis of the lung tissue and formation of cavities (more than 2 cm)containing necrotic debris or fluid caused by microbial infection. This pus-filled cavity is often caused by aspiration, which may occur during anesthesia, sedation, or unconsciousness from injury. Alcoholism is the most common condition predisposing to lung abscesses. Classification:- Lung abscesses can be classified based on the duration & the likely etiology a)Acute abscess:- A lung abscess is defined as acute if the patient presents with symptoms of <2weeks duration. Patients with an acute lung abscess are less likely to have an underlying neoplasm, but are more likely to have an infection caused by a virulent aerobic bacterial agent. b)Chronic abscess:- A chronic lung abscess is defined by symptoms lasting for>4-6weeks. Patients more like to have an underlying neoplasm or infection with a less virulent anaerobic agent. 1)Primary abscesses :- are caused by an infection, pneumonia, within our lung. Aspiration pneumonia is an infection that develops after food or secretions from your mouth, stomach, or sinuses are inhaled into
  • 4.
    your lungs insteadof going into your esophagus. It’s a very common cause of primary abscesses. Secondary abscesses:- are caused by anything other than an infection that starts in our lung. This can be an obstruction of the large airways in our lung, coexisting disease in our lungs, or infections from other parts of our body that spread to our lungs. Risk factors:- Age:- Lung abscesses likely to occur more commonly in elderly patients because of Increased incidence of periodontal disease,Increased prevalence of dysphagia. Sex:- A male predominance is reported in published case series. Causes:-  Aspiration of oropharyngeal or gastric secretion  Septic emboli  Necrotizing pneumonia  Vasculitis: Granulomatosis with polyangiitis  Aerobic bacteria:- Actinomyces,peptostreptococcus,bacteroides,fusobacterium species,streptococcus miller.  Aerobic bacteria:- Staphylococcus, Klebsiella, Haemophilus, Pseudomonas, Nocardi, Escherichia coli, Streptococcus, Mycobacteria.  Fungi:- Candida,asperagillus
  • 5.
    Pathphysiology:- Lung abscesses beginas areas of pneumonia in which small zones of necrosis (or microabscesses) develop within the consolidated lung. Some of these areas coalesce to form single or sometimes multiple areas of suppuration that, when they reach an arbitrary size of 1-2 cm in diameter, are customarily referred to as abscesses. If natural history of this pathological process is interrupted at an early stage by appropriate antimicrobial treatment, then healing may be complete with no residual radiographic evidence ofdamage. Signs & symptoms:-
  • 6.
    Patients present withSeverecough with Profuse foul smelling sputum, may be foetid. There may be large amounts of purulent sputum once a bronchial communication has been established Putrid sputum is a highly specific symptoms that is pathognomonic for anaerobic infection. although present in only 50—60%of patients Haemoptysis (25%of patients) – not uncommon and may be life- threatening.  Chest pain (pleuritic or deep-seated aching discomfort)60% of patients  Fever – usually high with chill & rigor, profuse night sweating  Constitutional upset like- malaise, weakness  Weight loss (60%of patients) – with an average loss of between 15 &20 lbs  Anorexia  Symptoms of associated disease process eg-Bronchial obstruction due to lung cancer  Oesophageal obstruction due to achalasia  Right-sided endocarditis  Dyspnoea Diagnosis:- Physical examination:- o There is no signs specific for lung abscess o Patient is toxic with high temperature & Halitosis o Clubbing may develop within few weeks if treatmentis inadequat On chest exam:-
  • 7.
    o Evidence ofconsolidation o Dullness to “percussion” and diminished breath sounds, if the abscess is large and situated near the surface of the lung. o The ‘amorphic’ or ‘cavernous’ breath sound during “ausscultation”. Imaging studies Lung abscesses are often on one side and single involving posterior segments of the upper lobes and the apical segments of the lower lobes as these areas are gravity dependent when lying down. x-ray:- Radiographic abnormality may start with a pneumonic infiltrate followed by the development of one or more spherical areas of more homogeneous density in which air-fluid levels often arise indicating the formation of a bronchial communication.
  • 8.
    Presence of air-fluidlevels implies rupture into the bronchial tree or rarely growth of gas forming organism.
  • 9.
    Pulmonary abscess onCXR CT scan:- the thorax right upper lobe shows a thick-walled cavity.
  • 10.
  • 11.
    Pathology image ofa lung abscess. Laboratory studies:- Raised inflammatory markers (high ESR, CRP) are common but nonspecific. Examination of the coughed up mucus is important in any lung infection and often reveals mixed bacterial flora. Transtracheal or transbronchial (via bronchoscopy) aspirates can also be cultured. Fiber optic bronchoscopy is often performed to exclude obstructive lesion; it also helps in bronchial drainage of pus. Sputum examination:-
  • 12.
    o Gram staining& C/S (both aerobic & anaerobic) o Repeated isolation of a predominant organism suggests that this may be a true pathogen o cytology for malignant cell o Stain and culture for Fungus Charecterstics of sputum:- If the sputum is kept in a bottle, there are 3 layers  Upper – Frothy  Middle – thick liquid  Lower – sediment (epithelial debris, bacteria) Diffrentioal diagnosis:- o Consolidation (during resolution stage), usually no clubbing o Bronchiectasis o Bronchial carcinoma, usually Squamous cell carcinoma o Pulmonary tuberculosis (without causing abscess) o Rare infections, including – Actinomycosis, Nocardiasis, Fungal pneumonia o Lung cancer and lung abscess o Empyema Complications:- o Pleurisy o Massive haemoptysis o Spontaneous rupture into uninvolved lung segments o Failure of abscess cavity to resolve o Empyema -Rupture into pleural space causing empyema
  • 13.
    o Bronchiectasis o Pleuralfibrosis o Trapped lung Results from a bronchopleural fistula. Treatment:-  Broad spectrum antibiotic. Amoxiccilin 500mg each 7hours daily 7weeks Clindamycin + fluoroquinolone 3 times daily 7 weeks to cover mixed flora is the mainstay of treatment.  Pulmonary physiotherapy and postural drainage are also important.  Surgical procedures are required in selective patients for drainage or pulmonary resection. the treatment is divided according to the type of abscess acute or chronic if it's acute the treatment is a- antibiotics: if anaerobic -> metronidazole or clindamycin if aerobic-> B-lactams, cephalosporins if MRSA or Staph infection vancomycin or linezolide b- postural drainage and chest physiotherapy . bronchoscopy: is used for the following cases: 1-aspiration or instillation of antibiotics 2- patients with atypical presentation suspected of having underlying foreign body or malignancy. References:- https://en.wikipedia.org/wiki/Lung_absce
  • 14.