Dr. Rajesh Venunath Nair
Assistant Professor
Department of Radiodiagnosis
K.S Hegde Medical Academy, Mangalore
Objectives
 To know the history behind the discovery of magnetic
resonance imaging.
 To understand the principles of MR imaging and the
steps and basic physics behind image acquisition.
 To understand the basic hardware and soft ware
involved in MR imaging.
 To elaborate the advantages, disadvantages and uses of
MRI.
 To understand the safety issues associated with MRI.
 To familiarize with the latest application of MRI.
Introduction to MRI
Magnetic
Resonance
Imaging
Types of MR Scanners
 Open MRI – Low Magnetic field strength made of
permanent magnets
 Closed MRI – Superconducting magnets of high field
strength.
Parts of MRI Scanner
Types of RF Coils
 Volume coils – Head coil, Body coil, Spine coil.
 Surface coils
 Phase array coils.
 Surface coils produce high resolution images but the field
of view is small.
 Body coils have larger field of view.
 RF coils can be receiving only, transmitting only or
combined receiving and transmitting coils.
 RF pulses commonly used are 90 and 180 degree pulses.
Steps in MRI Image Acquisition
Understanding and Reading
MRIs
Numbers
Algorithim
 Fournier’s Transformation.
 Conversion of radiofrequency signals into images
Reading the Images
The emitted energy of the protons
once the RF is stopped is affected by
in which tissue (the “lattice”) it
resides: fat, muscle, ligament, bone,
brain, etc.
RF Pulse sequence parameters
which the technician adjusts
 The three pulse sequence parameters are
 Repetition time (TR) measured in msec ie the time to repeat the RF
pulse.
 Echo time (TE) measured in msec ie the time to receive the signal.
 Time to invert(TI) ie the time to sent the 180degree inversion pulse.
 Flip angle measured in degrees ie the degree to which the spinning
protons are flipped from the horizontal axis.
T1 and T2 relaxation times
Occur simultaneously and
independently of each other and
form
the basis of tissue contrast in MR-
reconstructed images
T1
• Low TR (400-700 msec)
• Low TE (20-40 msec)
T2
• High TR (2,000-3,000 msec)
• High TE (40-70 msec)
Proton density
• High TR (2,000-3,000msec)
• Low TE (20-40 msec)
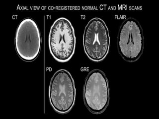
Basic Sequences
T1 to view anatomy
T2 to detect a pathologic process
(edema, swelling)
Proton Density (PD)
great for ligamentous anatomy
Basic Pulse Sequences for MRI Imaging
Image type Fat Water Advantage
T1 Bright Dark Anatomical detail
T2 Intermediate Bright ++ edema
Fat
Suppressed
T2
Very Dark Very Bright ++++ edema
Advantages of MRI
 Lack of ionizing radiation – used in pediatric and
obstetric imaging.
 Better soft tissue contrast resolution.
 Multiplanar imaging capabilities.
 Does not use iodinated contrast agents.
 Safe in patients with renal failure.
Disadvantages of MRI
 Expensive.
 Longer scanning time.
 Susceptible to movement artifacts.
 Cannot be used in acute trauma settings.
 Does not image the bone and lungs.
 Scanner not available at all places.
 Requires skilled technicians for operating and
maintenance cost is high.
Indications for MR Imaging
 Diagnosis of Brain and Spinal cord diseases.
 Staging of cancers like rectum, cervix and prostate.
 Diagnosis of musculoskeletal pathologies of knee, hip
and shoulder.
 Imaging of spine and intervertebral discs.
 Fetal MRI to detect anomalies.
 Cardiac MRI for assessment of myocardium.
 Breast MRI for diagnosing breast lesions.
Contraindications for MRI
 Absolute:
 Patients with cardiac pacemaker or defibrillator.
 Patients with intraoccular metallic foreign bodies.
 Patients with cochlear implants.
 Patients with stainless steel metallic implants.
 Patients with souvenir bullets.
 Relative:
 Claustrophobic patients.
 Patients with Insulin Pump.
 Patients with knee and hip prosthesis.
Advantages of MRI over CT
MRI Contrast Agent
 Gadolinium chelates are the commonly used MRI contrast
agenta and the next being Manganese. They are
paramagnetic elements with atomic number 64 with 7
unpaired electrons.
 It reduces the T1 relaxation time of protons and increases
the signal intensity on T1WI.
 Given as intravenous agents at dose of 0.1mg/k, they are
intravascular agents that improves the conspicuity of
lesions which further aids in confirming the diagnosis.
 Usually viewed in T1 weighted fat suppressed images in
multiplanar sections.
 Side Effects – Nausea Vomiting, Anaphylaxis and Seizures.
Advantages of Fat Suppression
Uses of Gadolinium
 MR Arthrography.
 Enhancement of tumor masses and inflammatory
abscess.
 MR Urography.
 Contrast Enhanced MR Angiography.
 Dreaded complication of long term gadolinium use is
nephrogenic systemic fibrosis in patients with renal
failure and reduced GFR.
MRI Safety
Recent Advances in MRI
 Diffusion weighted images based on the restricted
movement of water protons, useful in the diagnosis of
stroke and tumors of brain.
 MR Spectroscopy – Non invasive method to assess the
metabolites in tissues based on the spin of protons
within each metabolite.
 Functional MRI – gives information about the
functional activity of different parts of brain using
BLOD sequence.
 MRI guided biopsy.
Visual cortex activation in
functional MRI.
Introduction to mri

Introduction to mri

  • 1.
    Dr. Rajesh VenunathNair Assistant Professor Department of Radiodiagnosis K.S Hegde Medical Academy, Mangalore
  • 3.
    Objectives  To knowthe history behind the discovery of magnetic resonance imaging.  To understand the principles of MR imaging and the steps and basic physics behind image acquisition.  To understand the basic hardware and soft ware involved in MR imaging.  To elaborate the advantages, disadvantages and uses of MRI.  To understand the safety issues associated with MRI.  To familiarize with the latest application of MRI.
  • 4.
  • 11.
    Types of MRScanners  Open MRI – Low Magnetic field strength made of permanent magnets  Closed MRI – Superconducting magnets of high field strength.
  • 12.
    Parts of MRIScanner
  • 18.
    Types of RFCoils  Volume coils – Head coil, Body coil, Spine coil.  Surface coils  Phase array coils.  Surface coils produce high resolution images but the field of view is small.  Body coils have larger field of view.  RF coils can be receiving only, transmitting only or combined receiving and transmitting coils.  RF pulses commonly used are 90 and 180 degree pulses.
  • 20.
    Steps in MRIImage Acquisition
  • 21.
  • 26.
  • 28.
    Algorithim  Fournier’s Transformation. Conversion of radiofrequency signals into images
  • 29.
  • 30.
    The emitted energyof the protons once the RF is stopped is affected by in which tissue (the “lattice”) it resides: fat, muscle, ligament, bone, brain, etc.
  • 31.
    RF Pulse sequenceparameters which the technician adjusts  The three pulse sequence parameters are  Repetition time (TR) measured in msec ie the time to repeat the RF pulse.  Echo time (TE) measured in msec ie the time to receive the signal.  Time to invert(TI) ie the time to sent the 180degree inversion pulse.  Flip angle measured in degrees ie the degree to which the spinning protons are flipped from the horizontal axis.
  • 34.
    T1 and T2relaxation times Occur simultaneously and independently of each other and form the basis of tissue contrast in MR- reconstructed images
  • 35.
    T1 • Low TR(400-700 msec) • Low TE (20-40 msec) T2 • High TR (2,000-3,000 msec) • High TE (40-70 msec) Proton density • High TR (2,000-3,000msec) • Low TE (20-40 msec)
  • 36.
    Basic Sequences T1 toview anatomy T2 to detect a pathologic process (edema, swelling) Proton Density (PD) great for ligamentous anatomy
  • 39.
    Basic Pulse Sequencesfor MRI Imaging Image type Fat Water Advantage T1 Bright Dark Anatomical detail T2 Intermediate Bright ++ edema Fat Suppressed T2 Very Dark Very Bright ++++ edema
  • 42.
    Advantages of MRI Lack of ionizing radiation – used in pediatric and obstetric imaging.  Better soft tissue contrast resolution.  Multiplanar imaging capabilities.  Does not use iodinated contrast agents.  Safe in patients with renal failure.
  • 43.
    Disadvantages of MRI Expensive.  Longer scanning time.  Susceptible to movement artifacts.  Cannot be used in acute trauma settings.  Does not image the bone and lungs.  Scanner not available at all places.  Requires skilled technicians for operating and maintenance cost is high.
  • 44.
    Indications for MRImaging  Diagnosis of Brain and Spinal cord diseases.  Staging of cancers like rectum, cervix and prostate.  Diagnosis of musculoskeletal pathologies of knee, hip and shoulder.  Imaging of spine and intervertebral discs.  Fetal MRI to detect anomalies.  Cardiac MRI for assessment of myocardium.  Breast MRI for diagnosing breast lesions.
  • 45.
    Contraindications for MRI Absolute:  Patients with cardiac pacemaker or defibrillator.  Patients with intraoccular metallic foreign bodies.  Patients with cochlear implants.  Patients with stainless steel metallic implants.  Patients with souvenir bullets.  Relative:  Claustrophobic patients.  Patients with Insulin Pump.  Patients with knee and hip prosthesis.
  • 46.
  • 47.
    MRI Contrast Agent Gadolinium chelates are the commonly used MRI contrast agenta and the next being Manganese. They are paramagnetic elements with atomic number 64 with 7 unpaired electrons.  It reduces the T1 relaxation time of protons and increases the signal intensity on T1WI.  Given as intravenous agents at dose of 0.1mg/k, they are intravascular agents that improves the conspicuity of lesions which further aids in confirming the diagnosis.  Usually viewed in T1 weighted fat suppressed images in multiplanar sections.  Side Effects – Nausea Vomiting, Anaphylaxis and Seizures.
  • 49.
    Advantages of FatSuppression
  • 50.
    Uses of Gadolinium MR Arthrography.  Enhancement of tumor masses and inflammatory abscess.  MR Urography.  Contrast Enhanced MR Angiography.  Dreaded complication of long term gadolinium use is nephrogenic systemic fibrosis in patients with renal failure and reduced GFR.
  • 51.
  • 55.
    Recent Advances inMRI  Diffusion weighted images based on the restricted movement of water protons, useful in the diagnosis of stroke and tumors of brain.  MR Spectroscopy – Non invasive method to assess the metabolites in tissues based on the spin of protons within each metabolite.  Functional MRI – gives information about the functional activity of different parts of brain using BLOD sequence.  MRI guided biopsy.
  • 56.
    Visual cortex activationin functional MRI.

Editor's Notes

  • #5 The magnet is a huge super-cooled one The absorption and release of electromagnetic energy by hydrogen protons while in the magnetic field is the ‘resonance” The computer receives the signal from the spinning protons as mathematical data; the data is converted into a picture through the Fournier transform mathematical formula. That’s the "imaging" part of MRI. Nuclear magnetic resonance (NMR) is a physical phenomenon which magnetic nuclei in a magnetic field absorb and re-emit electromagnetic radiation.
  • #18 The RF used in MRI are the same range as in common radio communication. These are non ionizing radiation unlike used in conventional x-ray and CT scans. How the common radio works can take some of the mystery out of how MRI images are generated.
  • #22 Like X ray, MRI is based on a discovery in the physic lab: when the nuclei of hydrogen atoms--single protons, all spinning randomly--are caught suddenly in a strong magnetic field, they tend to line up like so many compass needles.  If the protons are then hit with a short, precisely tuned burst of radio waves, they will momentarily flip around.  Then, in the process of returning to their original orientation, they resound with a brief radio signal of their own that announces the presence of a specific tissue.  The intensity of this emission reflects the number of protons in a particular "slice" of matter
  • #23 When patients slide into an MRI machine, they take with them the billions of atoms that make up the human body. For the purposes of an MRI scan, we're only concerned with the hydrogen atom, which is abundant since the body is mostly made up of water and fat. These atoms are randomly spinning, or precessing, on their axis, like a child's top. All of the atoms are going in various directions, but when placed in a magnetic field, the atoms line up in the direction of the field.
  • #24 When a strong magnetic field is applied*. These hydrogen atoms have a strong magnetic moment, which means that in a magnetic field, they line up in the direction of the field. Since the magnetic field runs straight down the center of the machine, the hydrogen protons line up so that they're pointing to either the patient's feet or the head. About half go each way, so that the vast majority of the protons cancel each other out -- that is, for each atom lined up toward the feet, one is lined up toward the head. Only a couple of protons out of every million aren't canceled out. This doesn't sound like much, but the sheer number of hydrogen atoms* in the body is enough to create extremely detailed images. It's these unmatched atoms that we're concerned with now. *Measured in teslas on the order of 0.5 to 3.0 (the earth’s magnetic field strength is 10 thousand time less than this (T 1.5 tesla or 15000 gauss vs Earth 0.5 gauss) **There are 4.7 x 10 to the 27th power hydrogen protons in the human body, more than the est. stars in the Universe. One in a million means 10 to the 21th power protons do not align and are subjects of the RF
  • #25 the MRI machine applies a radio frequency (RF) pulse that is specific only to hydrogen. The system directs the pulse toward the area of the body we want to examine. When the pulse is applied, the unmatched protons absorb the energy and spin again in a different direction. This is the "resonance" part of MRI. The RF pulse forces them to spin at a particular frequency, in a particular direction. The specific frequency of resonance is called the Larmour frequency and is calculated based on the particular tissue being imaged and the strength of the main magnetic field.
  • #26 It is during the time between the radiofrequency turned off to return to normal position that energy signals are generated which can be detected and transferred to a computer.
  • #27 By a series of calculations using the Fourier transform equations, the individual radio frequencey amplitutes are given a number (digitalized).
  • #28 The value of those numbers (brightness of the dots) dictate how bright the wave that that point represents should be plotted on the MR image. Now were getting down to the point: an MR image is simply the superposition of thousands of these waves, all plotted on the same image, one o top of the another. When you add them all together, you get the image (like the shoulder in this example). It sounds improbable, but its true. Perhaps MRI should stand for Magical Remarkable Images.
  • #30 We will concentrate on 3 series of MRIs: T1, T2, T2 fat suppressed and Proton Density as seen in all three cardinal planes
  • #32  The flip angle a is used to define the angle of excitation for a field echo pulse sequence. It is the angle to which the net magnetization is rotated or tipped relative to the main magnetic field direction via the application of a RF excitation pulse at the Larmor frequency. It is also referred to as the tip angle, nutation angle or angle of nutation. The radio frequency power (which is proportional to the square of the amplitude) of the pulse is proportional to a through which the spins are tilted under its influence. Flip angles between 0° and 90° are typically used in gradient echo sequences, 90° and a series of 180° pulses in spin echo sequences and an initial 180° pulse followed by a 90° and a 180° pulse in inversion recovery sequences.
  • #40 Students are given this hand out which is also posted on the CHA website Modified from: Khanna AJ, Cosgarea AJ, Mont MA, Andres BM, Domb BG, Evans PJ, Bluemke DA, Frassica FJ. Magnetic resonance imaging of the knee. Current techniques and spectrum of disease. J Bone Joint Surg Am. 2001;83 Suppl 2(Pt 2):129. In STIR sequences, the echo time is varied to make the water appear bright (i.e., a fluid-sensitive sequence).
  • #42 Confusing terminology: The term Proton Density is actually an inaccurate term, as it implies that the only contrast mechanism of the image is based on differences in proton density. In fact, contrast is predominantly derived from intermediate weighting between T1 and T2.  Most, so called PD sequences have TRs that are too short to completely eliminate T1 contrast and TEs that are too long to completely eliminate T2 contrast. There are a multitude of other sequences STIR, Flair with more on the way as newer MRIs have increased magnetic flux density(tesla) from stronger magnets in the units.