 Indications
1) Persistent or frank hematuria.
2) Renal & ureteric calculi. (Especially prior to
endourological procedures)
3) Ureteric fistulas & strictures.
4) Complex urinary tract infections.
o Consists of series of film after IV
administration of contrast.
 Traditional preperation
 4 hours starvation & liquid deprivation along
with bowel purgation with laxatives.
 Recent Recommendations
o Bowel preparation: unhelpful & is
unpleasant for patient.
Food should be avoided 2-4 hrs before
procedure.
o Fluid restriction: better opacification of
collecting system.
 Fluid restriction increase risk of
nephrotoxicity
 High risk conditions
› DM
› Multiple Myeloma
› Hyper urecemia
› Sickle cell disease
› Pre existing renal disease.
 Risk of contrast induced injury to previously
healthy kidney is very low.
 Fluid restriction should be avoided in high
risk patients
 If dehydration is present it should be
corrected.
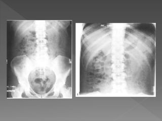
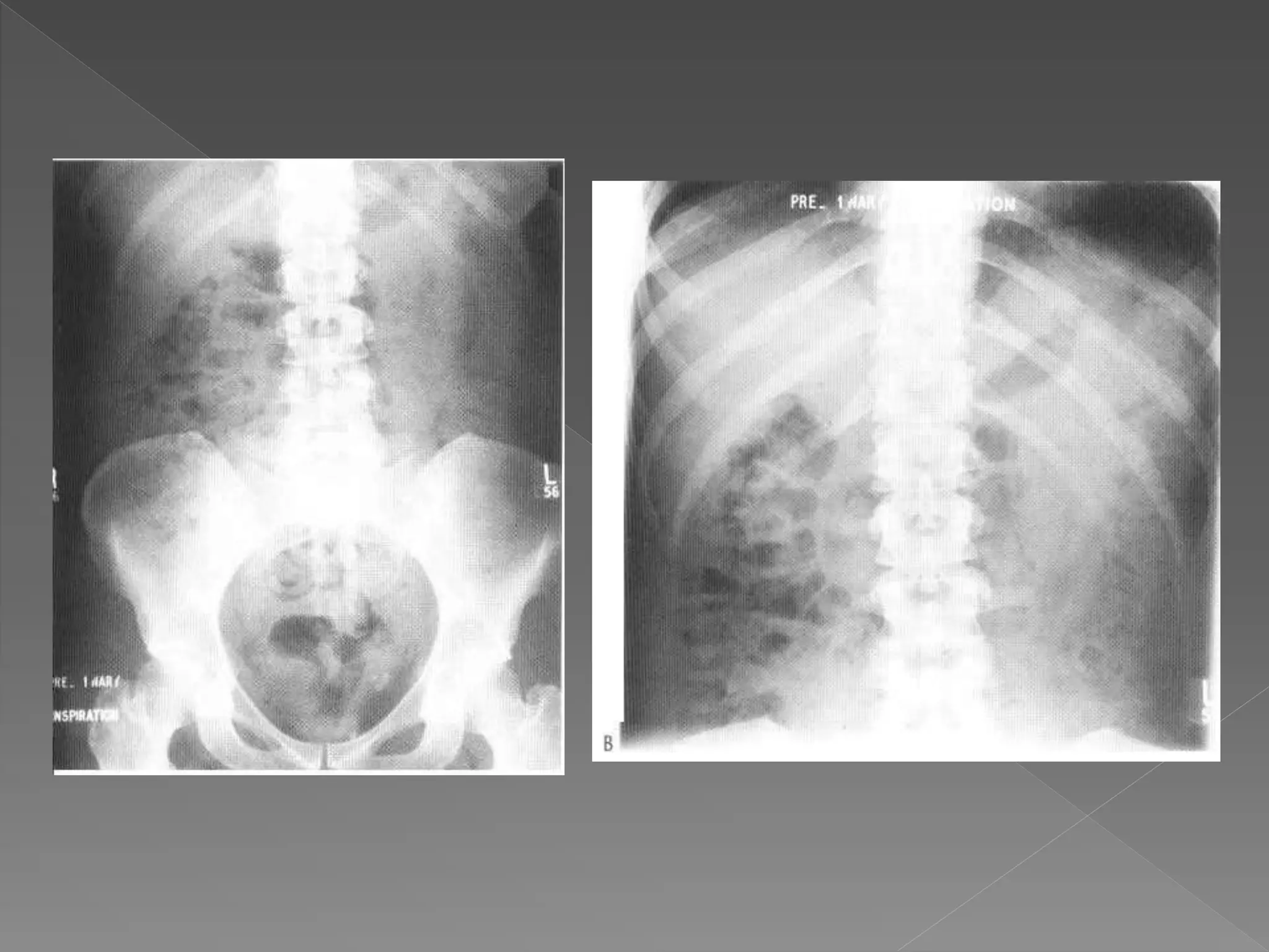
1) Pre contrast film “scout” film. (full length)
2) Immediately post contrast film. (Cross
kidney)
3) 5 mins after contrast film (Cross
kidney).(apply abdominal compression)
4) 15 mins after contrast. (Cross kidney)
5) Immediately after release of
compression full length film. (full length)
6) Post Micturation film. (full length)
 Compression is omitted in :
 Children.
 Aortic aneurysm.
 Tender abdomen.
 Recent abdominal surgery.
 Acute abdomen including renal colic.
 If patient can not tolerate.
 Modifications to deal with
different circumstances.
o To increase the sensitivity of the
procedure.
o To reduce the radiation dose.
 Acute Obstruction:
 There is delay in opacification of the
collecting system.
 Delay may be considerable up to 24 hrs
or more.
 It is then necessary to perform additional
films
 Time interval b/w films is doubled
0.5 hrs/ 1 hr/ 2 hrs/ 4 hrs/ 16 hrs/ 24 hrs
as necessary.
 To minimize the radiation exposure If there is
no opacification at 30 mins it is usually
unhelpful to perform next film before 4 hrs
 In patient with strong suspicion of
ureteric calculi omit all films after
contrast until a full length film is
performed at 15 mins.
 Patients with proven ureteric calculus for
follow up IVU there should be a full
length plain film & 15 mins post contrast
film
 Pregnant female
 Very rarely necessary to perform IVU.
 If required minimize radiation exposure.
 Single full length film pre contrast.
 Solitary full length film at 30-45 mins.
 Rapid sequencing IVU
 Taken in cases of suspected renal
vascular hypertension to evaluate
differential rates of contrast uptake.
 Several time-spaced films of kidneys
within 1st several minutes after contrast.
 IV Frusemide
 20 mg after 15 mins with a further film 15
mins later.
 In suspected obstruction if no evidence
on 15 min film , it provokes
hydronephrosis & pain.
 Contrast takes 12-20 sec to reach the renal
arteries after iv injection.
 Nephrogram : diffuse enhancement which
healthy kidneys show In the 1st min of IVU.
 Renal size 3-4 vertebrae in length no > 4
vertebrae
 Out lines best seen in 1st 30 sec.
 Medullary or pyramidal blush:
 Contrast may be visible as fine linear
opacities running along the medullary
pyramids
 Pyelogram:
 Excretion of contrast into the pelvis &
ureter
 Compression impedes ureteric drainage
& distends PCS at12-15 mins
 On releasing compression increase flow in
ureters making them prominent in post
release film.
 Normal ureters have contractions & are not
seen entire length.
 There are smoothly narrowed areas esp at
PUJ and as the ureters cross ilial vessels in
pelvis.
History
taking
Weight
of
patient
for dose
of
Urografin
IV
Urografin
1mg/Kg
Body Wt
X ray films
1) Pre contrast
2) 5 mins
3) 25 mins
4) Post void
Editing &
printing of
films
 The plain film demonstrates
calcification within distended
upper pole calyces
Intravenous urography
Intravenous urography
Intravenous urography
Intravenous urography
Intravenous urography
Intravenous urography
Intravenous urography
Intravenous urography
Intravenous urography
Intravenous urography

Intravenous urography

  • 3.
     Indications 1) Persistentor frank hematuria. 2) Renal & ureteric calculi. (Especially prior to endourological procedures) 3) Ureteric fistulas & strictures. 4) Complex urinary tract infections.
  • 4.
    o Consists ofseries of film after IV administration of contrast.  Traditional preperation  4 hours starvation & liquid deprivation along with bowel purgation with laxatives.
  • 5.
     Recent Recommendations oBowel preparation: unhelpful & is unpleasant for patient. Food should be avoided 2-4 hrs before procedure. o Fluid restriction: better opacification of collecting system.
  • 6.
     Fluid restrictionincrease risk of nephrotoxicity  High risk conditions › DM › Multiple Myeloma › Hyper urecemia › Sickle cell disease › Pre existing renal disease.
  • 7.
     Risk ofcontrast induced injury to previously healthy kidney is very low.  Fluid restriction should be avoided in high risk patients  If dehydration is present it should be corrected.
  • 10.
    1) Pre contrastfilm “scout” film. (full length) 2) Immediately post contrast film. (Cross kidney) 3) 5 mins after contrast film (Cross kidney).(apply abdominal compression) 4) 15 mins after contrast. (Cross kidney) 5) Immediately after release of compression full length film. (full length) 6) Post Micturation film. (full length)
  • 16.
     Compression isomitted in :  Children.  Aortic aneurysm.  Tender abdomen.  Recent abdominal surgery.  Acute abdomen including renal colic.  If patient can not tolerate.
  • 17.
     Modifications todeal with different circumstances. o To increase the sensitivity of the procedure. o To reduce the radiation dose.
  • 18.
     Acute Obstruction: There is delay in opacification of the collecting system.  Delay may be considerable up to 24 hrs or more.  It is then necessary to perform additional films
  • 19.
     Time intervalb/w films is doubled 0.5 hrs/ 1 hr/ 2 hrs/ 4 hrs/ 16 hrs/ 24 hrs as necessary.  To minimize the radiation exposure If there is no opacification at 30 mins it is usually unhelpful to perform next film before 4 hrs
  • 20.
     In patientwith strong suspicion of ureteric calculi omit all films after contrast until a full length film is performed at 15 mins.  Patients with proven ureteric calculus for follow up IVU there should be a full length plain film & 15 mins post contrast film
  • 21.
     Pregnant female Very rarely necessary to perform IVU.  If required minimize radiation exposure.  Single full length film pre contrast.  Solitary full length film at 30-45 mins.
  • 22.
     Rapid sequencingIVU  Taken in cases of suspected renal vascular hypertension to evaluate differential rates of contrast uptake.  Several time-spaced films of kidneys within 1st several minutes after contrast.
  • 23.
     IV Frusemide 20 mg after 15 mins with a further film 15 mins later.  In suspected obstruction if no evidence on 15 min film , it provokes hydronephrosis & pain.
  • 25.
     Contrast takes12-20 sec to reach the renal arteries after iv injection.  Nephrogram : diffuse enhancement which healthy kidneys show In the 1st min of IVU.  Renal size 3-4 vertebrae in length no > 4 vertebrae  Out lines best seen in 1st 30 sec.
  • 26.
     Medullary orpyramidal blush:  Contrast may be visible as fine linear opacities running along the medullary pyramids  Pyelogram:  Excretion of contrast into the pelvis & ureter  Compression impedes ureteric drainage & distends PCS at12-15 mins
  • 27.
     On releasingcompression increase flow in ureters making them prominent in post release film.  Normal ureters have contractions & are not seen entire length.  There are smoothly narrowed areas esp at PUJ and as the ureters cross ilial vessels in pelvis.
  • 28.
  • 29.
  • 30.
  • 31.
    X ray films 1)Pre contrast 2) 5 mins 3) 25 mins 4) Post void
  • 32.
  • 63.
     The plainfilm demonstrates calcification within distended upper pole calyces