CONVENTIONAL IMAGING OF THE
URINARY TRACT
By
Mohamed Abou El-Ghar; MD
CONVENTIONAL RADIOGRAPHY
 Images produced through the use of ionizing
radiation are called conventional radiographs.
 It is relatively inexpensive to produce, can be
obtained almost anywhere by using portable or
mobile machines, and are still the most widely
obtained imaging studies.
 They require a source to produce the x-rays (the
“x-ray machine”), a method to record the image.
 The major disadvantages of conventional
radiography are the limited range of densities it
can demonstrate and that it uses ionizing
radiation.
THE FIVE BASIC DENSITIES
BASIC DENSITIES
BIOLOGICAL EFFECTS OF RADIATION
 Radiation causes biological effects on a cellular
level either (1) by directly damaging molecules or
(2) by indirectly creating free radicals to disrupt
cellular metabolism.
 Deterministic effects (nonrandom): This is
damage that occurs when a threshold level is
met. Both the probability and the severity of the
effect are proportional to increasing dose, where
the dose is usually given in one exposure or several
exposures over a very short period of time.
BIOLOGICAL EFFECTS OF RADIATION
 Stochastic effects (random): Damage that may
occur at any level of exposure, without a
threshold dose.
 These effects occur by chance, and while their
probability increases with an increasing dose,
their severity is independent of the dose.
 These effects are due to damage of cellular
components, usually DNA, by free radicals, leading
to abnormal cell function if repair is incomplete or
incorrect.
CONVENTIONAL TECHNIQUES
 Intravenous Urography (IVU).
 VCUG.
 Retrograde urethrography.
 Others; Retrograde pyelography, loopography
and angiography.
ANATOMY
IVU
 IVU or IVP?.
 Contrast media or dye?.
IVU: INDICATIONS
 RVH
 Prostate enlargement
 UTI
 Abdominal mass
 Evaluation of renal
papillae.
 Before endourology.
 Less common:
- UT obstruction
- Renal trauma
- hematuria
- congenital anomalies
- urinary fistula
Superseded Indicated
CONTRAINDICATIONS
 Serum creatinine > 1.2-1.5 mg/dl
 Hepatorenal syndrome
 Multiple myeloma
 Pregnancy
 Thyrotoxicosis
 Diabetes
 Previous allergy to the contrast media
 Generalized allergic conditions
IVU: PROCEDURES
INTRAVENOUS UROGRAPHY (IVU)
 IVU should be tailored
to answer a specific
clinical question.
 The preliminary kidney,
ureter, bladder (KUB)
radiograph is an
indispensable part of
the sequence.
PLAIN RADIOGRAPHY(UTP)
- from the suprarenal
region to a level below
the symphysis pubis.
- The patient should void
immediately prior to
examination.
- may require additional
images
KUB
 Additional views:
- Oblique conventional
radiographs.
- Nephrotomogram.
- Open bladder film.
KUB ANALYSIS
 Musculoskeletal: evaluate all bone elements.
 Psoas muscle margin: straight, convex or absent.
 Intestinal gas: overlap, displaced.
 Kidneys
 Calcifications: overlying the UT or outside.
 Gas shadow: abnormal air at UT.
IVU
IVU
 Kidney film 3 min.
 A KUB radiograph is obtained to assess temporal
symmetry and opacification.
 Compression? (Contraindications ).
IVU
 Bladder film early
(suspected bladder
lesion).
 KUB after release of
compression( 15 min).
 delayed images for
bladder distention, and
oblique, prone, or post-
void images.
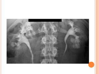
INTERPRETATION OF IVU
 Renal size.
 position of the kidney.
 Renal parenchyma at
nephrographic phase.
 Renal contour
(interpapillary line).
NEPHROGRAM
 Visualization of the opacified renal parenchyma.
 Absent nephrogram:
- Technical.
- Renal failure.
- Renal artery occlusion.
TYPES OF NEPHROGRAM
 Faint persistent nephrogram: hypotension, impaired
function ( High dose urography).
 Increasing dense nephrogram: distal obstruction,
RAS, Renal vein thrombosis.
 Immediate dense: ATN, APN.
 Striated nephrogram: APN, Acute extrarenal
obstruction, ARPKD, Medullary sponge k.
 Patchy nephrogram: Vasculitis.
 Cortical rim nephrogram: Infarction.
10 min 12h
IVU
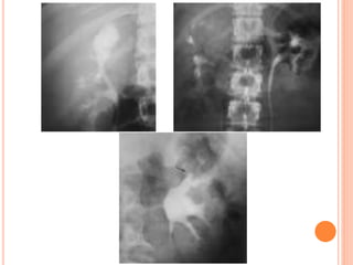
 Renal parenchyma:
- Decreased thickness.
- Increased thickness.
- Beak sign.
- Double contour sign.
IVU
 Kidney position.
 Longitudinal axis.
IVU
 Evaluation of the PCS.
- Obstruction (round
forniceal margin).
- CM inside the papillae.
- Parenchymal cavities
filled with CM.
- Filling defect.
- Phantom calyx.
GRADING OF HYDRONEPHROSIS
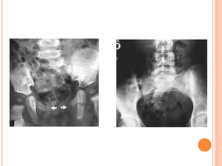
URETERS
- peristalsis.
- Stasis of contrast.
- Medial deviation.
- Lateral deviation.
- Anatomic narrowing.
- Ureter diameter (8mm).
- Filling defect.
 Medial deviation of the ureter should be considered
when the ureter overlies the ipsilateral lumbar
pedicle.
 lateral deviation should be considered when the
ureter lies more than 1.5 cm beyond the tip of the
transverse process.
BLADDER
- Bladder contour.
- Wall thickness and
irregularities.
- Extrinsic compression.
- Filling defect.
- Post-void ( residual
urine, upper tract
dilatation).
IODINATED CONTRAST MEDIA
 Water soluble, they
into negative
and positive ions which
attract the negative and
positive poles of the
water molecules.
 Do not dissociate and
are rendered water
soluble by their polar OH
groups.
Ionic contrast media Nonionic contrast media
CM ADVERSE REACTION
TYPES AND FREQUENCY OF ACUTE
REACTIONS
 Acute idiosyncratic systemic reactions (also described as
allergy-like or anaphylactoid) are defined as
unpredictable reactions which occur within 1 h.
 Chemotoxic reactions, are dose-related and dependent
on the physico-chemical properties of the contrast
medium.
ACUTE IDIOSYNCRATIC REACTIONS
 Mild or minor reactions include nausea, mild vomiting,
urticaria and itching.
 Moderate reactions include more severe vomiting,
marked urticaria, bronchospasm, facial or laryngeal
oedema, and vasovagal reactions.
 Severe reactions include hypotensive shock, respiratory
arrest, cardiac arrest and convulsions.
RISK FACTORS FOR ACUTE IDIOSYNCRATIC
REACTIONS
Type of Contrast Agent.
Previous Contrast Medium Reaction.
Asthma.
Allergy.
Drugs( B Blockers, Ca channel antagonist
and Inter leukin).
PREVENTION OF ACUTE IDIOSYNCRATIC
REACTIONS
 In any patient at increased risk of contrast medium
reaction, especially if there has been a previous reaction
to an iodinated contrast agent, use other modalities.
 If iodinated contrast medium is still deemed essential the
risk of an acute reaction can be reduced by an
appropriate choice of contrast medium and
premedication.
CHOICE OF CONTRAST MEDIUM
Nonionic low osmolality agents which are
associated with a four to five times lower risk
of reactions.
Nonionic CM is preferred specially if there is
history of previous reaction, allergy or
asthma.
Previous history to nonionic CM?.
PREMEDICATION
 Most frequently steroids with or without additional H1
antihistamines have been recommended.
 In severe reactors to ionic CM, steroids should be given
12&2 h before contrast medium.
 The minimal effective time interval between steroids and
CM is considered unlikely to be less than 6 h.
PRETESTING AND INJECTION RATE
 Pretest dose?.
 Rate of injection?.
GENERAL CONSIDERATIONS
 Use nonionic contrast media.
 Keep the patient in the Radiology Department for
30 min after contrast medium injection.
 Have the drugs and equipment for resuscitation
readily available.
MANAGEMENT OF ACUTE CM ADVERSE REACTIONS
 The adverse event that occurs within 60 min of an
injection of contrast medium.
 The mild reactions include flushing, nausea, arm
pain, pruritus, vomiting, headache, and mild urticaria.
They are usually of short duration, self-limiting and
generally require no specific treatment.
TREATMENT OF SPECIFIC REACTIONS
 Nausea and Vomiting ( self limited, ? Anti-emetic).
 Cutaneous Reactions ( treat if extensive).
 Bronchospasm ( O2, bronchodil., ? Adrenaline).
 Laryngeal Edema ( i.m adrenaline, O2).
 Hypotension ( rise leg, rapid IV fluid).
 Vagal Reaction ( as hypotension+ I.V atropine).
 Generalized Anaphylactoid Reactions ( airway, O2,
rapid IV fluid, i.m adrenaline, ECG monitor).
LATE ADVERSE REACTIONS
Reactions occurring between 1 h
and 1 week after contrast medium
injection.
They are mainly mild or moderate
skin reactions and usually resolve
within 3–7 days.
CI NEPHROPATHY
 Thee reduction in renal function induced by contrast
media which occurs within 3 days following
administration of contrast media in the absence of
an alternative etiology.
 Most episodes of CIN are self-limited and resolve
within 1–2 weeks.
 A persistent nephrogram on plain radiography or
CT of the abdomen at 24–48 h.
PREDISPOSING FACTORS
 Pre-existing renal impairment [> 1.5 mg/dl], particularly when
secondary to diabetic nephropathy.
 Large doses of contrast media and multiple injections within
72 h.
 The route of administration (IA > IV).
 Dehydration and CHF. Hypertension, hyperuricemia and
prteinuria. Multiple Myeloma.
 Nephrotoxic drugs.
 Type of CM.
PREVENTION OF CIN
 Extracellular volume expansion, the choice of
normal (0.9%) saline when intravenous hydration is
used,
 The choice of low or iso-osmolar nonionic contrast
medium,
 Lowest contrast medium dose consistent with a
diagnostic conclusion or a therapeutic goal.
EXTRAVASATION OF CM
 Elevation of the Affected Limb.
 Application of hot & cold fomentations.
 Topical antibiotic.
 Topical Hyaluronidase.
 Aspiration of subcutaneous fluid.
VOIDING
CYSTOURETHROGRAPHY
VCUG is commonly performed in children
with prenatally diagnosed hydronephrosis,
urinary tract infections, and voiding
abnormalities.
The procedure should include assessment
of the spine and pelvis; masses or opaque
calculi; bladder capacity, contour, and
emptying capability; presence and grade of
reflux; and urethral appearance.
PRELIMINARY IMAGING
Clinical data and results of prior
imaging studies should be reviewed
before starting the examination.
Preliminary abdominal imaging usually
precedes catheterization.
CATHETERIZATION
Aseptic condition.
A 5-F feeding tube is appropriate in children
under 3 months of age and an 8-F feeding
tube in all other children.
BLADDER FILLING
Early Filling
Several seconds after the contrast
material begins to flow, the minimally
filled bladder is imaged in the AP view.
A ureterocele or bladder tumor that is
well seen during early filling may
become obscured as more contrast
material enters the bladder
INTERMEDIATE FILLING
Vesicoureteral reflux can be
seen on oblique radiographs
obtained just before voiding
and can be graded after
voiding with the International
Reflux System.
PREVOIDING IMAGING
If reflux is observed during late bladder
filling, the ipsilateral renal fossa may be
imaged in the anteroposterior projection
prior to voiding.
IMAGING DURING VOIDING
Bladder capacity={Age(ys)+2}x30.
A smaller than expected voiding volume
may also indicate a neurologic abnormality
(spastic bladder) or active bladder
infection.
POSTVOIDING IMAGING
At the conclusion of voiding, each
renal fossa should be imaged. Still
images may demonstrate reflux that is
not appreciated at fluoroscopy as well
as other anomalies or abnormalities.
ABDOMINAL RADIOGRAPHY IN EMERGENCY
THANK YOU

Conventional nephroradiology

  • 1.
    CONVENTIONAL IMAGING OFTHE URINARY TRACT By Mohamed Abou El-Ghar; MD
  • 2.
    CONVENTIONAL RADIOGRAPHY  Imagesproduced through the use of ionizing radiation are called conventional radiographs.  It is relatively inexpensive to produce, can be obtained almost anywhere by using portable or mobile machines, and are still the most widely obtained imaging studies.  They require a source to produce the x-rays (the “x-ray machine”), a method to record the image.  The major disadvantages of conventional radiography are the limited range of densities it can demonstrate and that it uses ionizing radiation.
  • 3.
    THE FIVE BASICDENSITIES
  • 4.
  • 5.
    BIOLOGICAL EFFECTS OFRADIATION  Radiation causes biological effects on a cellular level either (1) by directly damaging molecules or (2) by indirectly creating free radicals to disrupt cellular metabolism.  Deterministic effects (nonrandom): This is damage that occurs when a threshold level is met. Both the probability and the severity of the effect are proportional to increasing dose, where the dose is usually given in one exposure or several exposures over a very short period of time.
  • 6.
    BIOLOGICAL EFFECTS OFRADIATION  Stochastic effects (random): Damage that may occur at any level of exposure, without a threshold dose.  These effects occur by chance, and while their probability increases with an increasing dose, their severity is independent of the dose.  These effects are due to damage of cellular components, usually DNA, by free radicals, leading to abnormal cell function if repair is incomplete or incorrect.
  • 7.
    CONVENTIONAL TECHNIQUES  IntravenousUrography (IVU).  VCUG.  Retrograde urethrography.  Others; Retrograde pyelography, loopography and angiography.
  • 8.
  • 9.
    IVU  IVU orIVP?.  Contrast media or dye?.
  • 10.
    IVU: INDICATIONS  RVH Prostate enlargement  UTI  Abdominal mass  Evaluation of renal papillae.  Before endourology.  Less common: - UT obstruction - Renal trauma - hematuria - congenital anomalies - urinary fistula Superseded Indicated
  • 11.
    CONTRAINDICATIONS  Serum creatinine> 1.2-1.5 mg/dl  Hepatorenal syndrome  Multiple myeloma  Pregnancy  Thyrotoxicosis  Diabetes  Previous allergy to the contrast media  Generalized allergic conditions
  • 12.
  • 13.
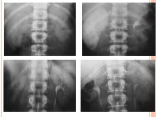
    INTRAVENOUS UROGRAPHY (IVU) IVU should be tailored to answer a specific clinical question.  The preliminary kidney, ureter, bladder (KUB) radiograph is an indispensable part of the sequence.
  • 14.
    PLAIN RADIOGRAPHY(UTP) - fromthe suprarenal region to a level below the symphysis pubis. - The patient should void immediately prior to examination. - may require additional images
  • 15.
    KUB  Additional views: -Oblique conventional radiographs. - Nephrotomogram. - Open bladder film.
  • 19.
    KUB ANALYSIS  Musculoskeletal:evaluate all bone elements.  Psoas muscle margin: straight, convex or absent.  Intestinal gas: overlap, displaced.  Kidneys  Calcifications: overlying the UT or outside.  Gas shadow: abnormal air at UT.
  • 23.
  • 24.
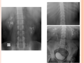
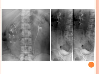
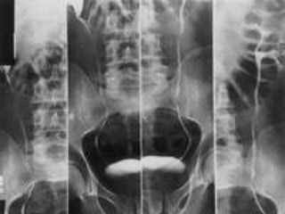
    IVU  Kidney film3 min.  A KUB radiograph is obtained to assess temporal symmetry and opacification.  Compression? (Contraindications ).
  • 28.
    IVU  Bladder filmearly (suspected bladder lesion).  KUB after release of compression( 15 min).  delayed images for bladder distention, and oblique, prone, or post- void images.
  • 29.
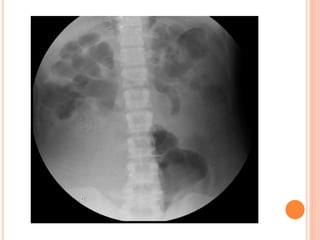
    INTERPRETATION OF IVU Renal size.  position of the kidney.  Renal parenchyma at nephrographic phase.  Renal contour (interpapillary line).
  • 31.
    NEPHROGRAM  Visualization ofthe opacified renal parenchyma.  Absent nephrogram: - Technical. - Renal failure. - Renal artery occlusion.
  • 32.
    TYPES OF NEPHROGRAM Faint persistent nephrogram: hypotension, impaired function ( High dose urography).  Increasing dense nephrogram: distal obstruction, RAS, Renal vein thrombosis.  Immediate dense: ATN, APN.  Striated nephrogram: APN, Acute extrarenal obstruction, ARPKD, Medullary sponge k.  Patchy nephrogram: Vasculitis.  Cortical rim nephrogram: Infarction.
  • 35.
  • 37.
    IVU  Renal parenchyma: -Decreased thickness. - Increased thickness. - Beak sign. - Double contour sign.
  • 39.
    IVU  Kidney position. Longitudinal axis.
  • 41.
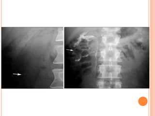
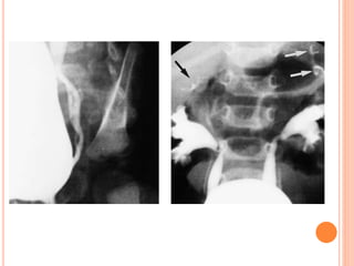
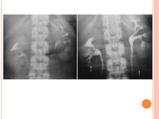
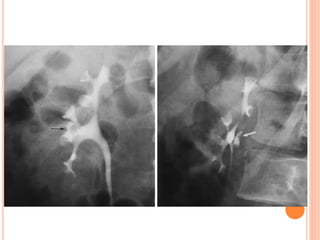
    IVU  Evaluation ofthe PCS. - Obstruction (round forniceal margin). - CM inside the papillae. - Parenchymal cavities filled with CM. - Filling defect. - Phantom calyx.
  • 43.
  • 50.
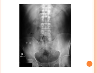
    URETERS - peristalsis. - Stasisof contrast. - Medial deviation. - Lateral deviation. - Anatomic narrowing. - Ureter diameter (8mm). - Filling defect.
  • 53.
     Medial deviationof the ureter should be considered when the ureter overlies the ipsilateral lumbar pedicle.  lateral deviation should be considered when the ureter lies more than 1.5 cm beyond the tip of the transverse process.
  • 54.
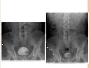
    BLADDER - Bladder contour. -Wall thickness and irregularities. - Extrinsic compression. - Filling defect. - Post-void ( residual urine, upper tract dilatation).
  • 56.
    IODINATED CONTRAST MEDIA Water soluble, they into negative and positive ions which attract the negative and positive poles of the water molecules.  Do not dissociate and are rendered water soluble by their polar OH groups. Ionic contrast media Nonionic contrast media
  • 59.
  • 60.
    TYPES AND FREQUENCYOF ACUTE REACTIONS  Acute idiosyncratic systemic reactions (also described as allergy-like or anaphylactoid) are defined as unpredictable reactions which occur within 1 h.  Chemotoxic reactions, are dose-related and dependent on the physico-chemical properties of the contrast medium.
  • 61.
    ACUTE IDIOSYNCRATIC REACTIONS Mild or minor reactions include nausea, mild vomiting, urticaria and itching.  Moderate reactions include more severe vomiting, marked urticaria, bronchospasm, facial or laryngeal oedema, and vasovagal reactions.  Severe reactions include hypotensive shock, respiratory arrest, cardiac arrest and convulsions.
  • 62.
    RISK FACTORS FORACUTE IDIOSYNCRATIC REACTIONS Type of Contrast Agent. Previous Contrast Medium Reaction. Asthma. Allergy. Drugs( B Blockers, Ca channel antagonist and Inter leukin).
  • 63.
    PREVENTION OF ACUTEIDIOSYNCRATIC REACTIONS  In any patient at increased risk of contrast medium reaction, especially if there has been a previous reaction to an iodinated contrast agent, use other modalities.  If iodinated contrast medium is still deemed essential the risk of an acute reaction can be reduced by an appropriate choice of contrast medium and premedication.
  • 64.
    CHOICE OF CONTRASTMEDIUM Nonionic low osmolality agents which are associated with a four to five times lower risk of reactions. Nonionic CM is preferred specially if there is history of previous reaction, allergy or asthma. Previous history to nonionic CM?.
  • 65.
    PREMEDICATION  Most frequentlysteroids with or without additional H1 antihistamines have been recommended.  In severe reactors to ionic CM, steroids should be given 12&2 h before contrast medium.  The minimal effective time interval between steroids and CM is considered unlikely to be less than 6 h.
  • 66.
    PRETESTING AND INJECTIONRATE  Pretest dose?.  Rate of injection?.
  • 67.
    GENERAL CONSIDERATIONS  Usenonionic contrast media.  Keep the patient in the Radiology Department for 30 min after contrast medium injection.  Have the drugs and equipment for resuscitation readily available.
  • 68.
    MANAGEMENT OF ACUTECM ADVERSE REACTIONS  The adverse event that occurs within 60 min of an injection of contrast medium.  The mild reactions include flushing, nausea, arm pain, pruritus, vomiting, headache, and mild urticaria. They are usually of short duration, self-limiting and generally require no specific treatment.
  • 69.
    TREATMENT OF SPECIFICREACTIONS  Nausea and Vomiting ( self limited, ? Anti-emetic).  Cutaneous Reactions ( treat if extensive).  Bronchospasm ( O2, bronchodil., ? Adrenaline).  Laryngeal Edema ( i.m adrenaline, O2).  Hypotension ( rise leg, rapid IV fluid).  Vagal Reaction ( as hypotension+ I.V atropine).  Generalized Anaphylactoid Reactions ( airway, O2, rapid IV fluid, i.m adrenaline, ECG monitor).
  • 70.
    LATE ADVERSE REACTIONS Reactionsoccurring between 1 h and 1 week after contrast medium injection. They are mainly mild or moderate skin reactions and usually resolve within 3–7 days.
  • 71.
    CI NEPHROPATHY  Theereduction in renal function induced by contrast media which occurs within 3 days following administration of contrast media in the absence of an alternative etiology.  Most episodes of CIN are self-limited and resolve within 1–2 weeks.  A persistent nephrogram on plain radiography or CT of the abdomen at 24–48 h.
  • 72.
    PREDISPOSING FACTORS  Pre-existingrenal impairment [> 1.5 mg/dl], particularly when secondary to diabetic nephropathy.  Large doses of contrast media and multiple injections within 72 h.  The route of administration (IA > IV).  Dehydration and CHF. Hypertension, hyperuricemia and prteinuria. Multiple Myeloma.  Nephrotoxic drugs.  Type of CM.
  • 73.
    PREVENTION OF CIN Extracellular volume expansion, the choice of normal (0.9%) saline when intravenous hydration is used,  The choice of low or iso-osmolar nonionic contrast medium,  Lowest contrast medium dose consistent with a diagnostic conclusion or a therapeutic goal.
  • 74.
    EXTRAVASATION OF CM Elevation of the Affected Limb.  Application of hot & cold fomentations.  Topical antibiotic.  Topical Hyaluronidase.  Aspiration of subcutaneous fluid.
  • 75.
  • 76.
    VCUG is commonlyperformed in children with prenatally diagnosed hydronephrosis, urinary tract infections, and voiding abnormalities. The procedure should include assessment of the spine and pelvis; masses or opaque calculi; bladder capacity, contour, and emptying capability; presence and grade of reflux; and urethral appearance.
  • 77.
    PRELIMINARY IMAGING Clinical dataand results of prior imaging studies should be reviewed before starting the examination. Preliminary abdominal imaging usually precedes catheterization.
  • 79.
    CATHETERIZATION Aseptic condition. A 5-Ffeeding tube is appropriate in children under 3 months of age and an 8-F feeding tube in all other children.
  • 80.
    BLADDER FILLING Early Filling Severalseconds after the contrast material begins to flow, the minimally filled bladder is imaged in the AP view. A ureterocele or bladder tumor that is well seen during early filling may become obscured as more contrast material enters the bladder
  • 82.
    INTERMEDIATE FILLING Vesicoureteral refluxcan be seen on oblique radiographs obtained just before voiding and can be graded after voiding with the International Reflux System.
  • 85.
    PREVOIDING IMAGING If refluxis observed during late bladder filling, the ipsilateral renal fossa may be imaged in the anteroposterior projection prior to voiding.
  • 88.
    IMAGING DURING VOIDING Bladdercapacity={Age(ys)+2}x30. A smaller than expected voiding volume may also indicate a neurologic abnormality (spastic bladder) or active bladder infection.
  • 90.
    POSTVOIDING IMAGING At theconclusion of voiding, each renal fossa should be imaged. Still images may demonstrate reflux that is not appreciated at fluoroscopy as well as other anomalies or abnormalities.
  • 92.
  • 97.

Editor's Notes

  • #26 COMPRESSION
  • #27 OBLIQUE
  • #30 DELAYED EXC ?HYPOTENSION OR REACTION ALSO CHECK SER, CREATININE
  • #34 PERSISTENT NEPHROGRAM= obst. Rapid sequence RAS
  • #36 Immediate dense persistent ATN
  • #37 CIN
  • #46 Tubular ectasia meduallry sponge k
  • #51 Dilated ureter, obstructed or incresed urine flow(diuresis).
  • #57 Iodinated contrast media can be divided into two groups, ionic and nonionic based on their water solubility.
  • #93 ileus