Imaging Of The
Urinary TractDR.SULTAN ALHAJAHJEH
RADIOLOGY DEPARTMENT
JORDAN UNIVERSITY HOSPITAL
Anatomy of the urinary tract
Pelvic calacyeal system
 There are usually seven pairs of minor calyces,
 Minor calyx pairs combine to form two or three major
calyces,which in turn drain via their infundibula to the
pelvis.
 The pelvis may be intrarenal or partially or entirely
extrarenal.
 The hilum of the kidney lies medially, that of the left at
L1 vertebral level and that of the right slightly lower at
L1/L2 level, owing to the bulk of the liver above.
 At the hilum, the pelvis lies posteriorly and the renal vein
anteriorly with the artery in between.
Anatomy of the urinary tract
The ureters
 Each is 25-30 cm long and is described as having a pelvis and
abdominal, pelvic and intravesical parts
 the ureter has a diameter of about 3 mm but is narrower at the
following three sites:
 The junction of the pelvis and ureter.
 The pelvic brim
 The intravesical ureter where it runs through the muscular bladder
wall.
Anatomy of the urinary tract
 1. Right upper-pole
(major) calyx
 2. Right middle (major)
calyx
 3. Right lower-pole
(major) calyx
 4. Left upper-pole
(major) calyx
 5. Left lower-pole
(major) calyx
 6. Minor calyx
(infundibulum of)
 7. Papilla
 8. Infundibulum
 9. Fornix
 10. Bifid left renal pelvis
 11. Right renal pelvis
 12. Right ureter
 13. Left ureter: vascular
impression
 14. Upper pole right
kidney
 15. Right psoas outline
 16. Gas in body of
stomach
 17. Gas in transverse
colon
 18. Intravesical ureter
Anatomy of the urinary tract
Bladder
 This is a pyramidal muscular organ when empty. It has a triangular-shaped base
posteriorly.
 The ureters enter the posterolateral angles and the urethra leaves inferiorly at the
narrow neck, which is surrounded by the (involuntary) internal urethral sphincter.
 It has one superior and two inferolateral walls, which meet at an apex behind the
pubic symphysiss.
 In the female, the body of the uterus rests on its postero¬superior surface and the
cervix and vagina are posterior, with the rectum behind.
 In the male the neck is fused with the prostate.
 The bladder is supplied via the internal iliac artery via superior and inferior vesical
arteries.
Urinary bladder
rectum
prostate
Anatomy of the urinary tract
The urethra
 The male urethra runs from the internal urethral sphincter at the neck
of the bladder to the external urethral orifice at the tip of the penis.
 The posterior urethra comprises the prostatic and membranous
urethra and the anterior part comprises the bulbous and penile
urethra.
 In females This is 4 cm long. It extends from the internal urethral
sphincter at the bladder neck through the urogenital diaphragm to
the external urethral meatus anterior to the vaginal opening.
1.Balloon of catheter in
navicular fossa
2. Penile urethra
3. Bulbous urethra
4. Membranous urethra
5. Impression of
verumontanum in
prostatic urethra
6. Filling of utricle (not
usually seen)
7. Air bubbles in
contrast
Imaging techniques of the urinary
tract
 kub
 Ivu
 Mcug
 Ultrasound
 Ascending urethrogram
 Mri
Pelvicalyceal system
 Duplex collecting system
 Congenital ureteropelvic junction (UPJ) obstruction
 Congenital megacalyces
 (PYELO)Calyceal diverticulum
 Renal papillary necrosis (RPN)
 Pyonephrosis
Duplex collecting system
 It is one of the most common congenital renal tract abnormalities 4-
5. It is characterised by incomplete fusion of upper and lower pole
moieties resulting in complete or incomplete duplication of the
collecting system
 duplex collecting system - a duplex kidney draining into:
 single ureter - i.e. duplex kidney's duplication pelvicalcyeal systems
uniting at the pelvi-ureteric junction (PUJ)
 bifid ureter (ureter fissus) - two ureters that unite before emptying into
the bladder
 double ureter (complete duplication) two ureters that drain separately
into the bladder or genital tract
Duplex collecting system
 Orthotopic ureter: drains lower pole and
enters bladder near trigone
 Ectopic ureter: drains upper pole and enters
bladder inferiorly and medially (Weigert-
Meyer rule); the ectopic ureter may be
stenotic and obstructed
 Spot film taken during an IVP shows
bilateral duplex kidneys.
 On the left side the ureters have
fused at the level of L3 vertebra
 On the right side both ureters have
opened into the bladder.
 Fluoroscopy MCU Grade 5 reflux with
double excretory system on the left side.
Fusion of both ureters right before the
bladder (cystoscopy confirmed the
presence of only 2 ostia in the bladder).
Hydronephrosis.
 Drooping lily sign - a urographic
sign of duplicated renal
collecting system. It refers to the
inferolateral displacement of
the opacified lower pole moiety
due to an obstructed (and
relatively unopacified) upper
pole moiety.
 In duplicated collecting system
it is classically the upper pole
ureter that is obstructed due to
a ureterocoele and the lower
pole ureter that refluxes: as
described by the Weigert-Meyer
law.
 left sided duplicated collecting system
with a distorted lower pole moiety from
obstructed upper pole. This results in the
so called drooping lilly sign.
Congenital ureteropelvic junction
(UPJ) obstruction
Most common congenital anomaly of the GU tract in neonates. 20% of
obstructions are bilateral.
• Intrinsic, 80%: defect in circular muscle bundle
of renal pelvis
• Extrinsic, 20%: renal vessels (lower pole artery
or vein)
The estimated incidence in pediatric population is at ~1 per 1000-2000
newborns and there is a recognised predilection towards the left side
(~67% of cases) and a male predominance.
Congenital ureteropelvic junction
(UPJ) obstruction
 asymptomatic or When symptomatic, symptoms include
recurrent urinary tract infections, stone formation and even a palpable
flank mass.
Ultrasound
 will often show a dilated renal pelvis with a collapsed proximal ureter
 with Doppler sonography the obstructed kidneys can show higher RI's
(resistive indices).
CT
 May show evidence of hydronephrosis +/- calyectasis with collapsed
ureters. Useful for assessing crossing vessels at the PUJ especially when
surgical intervention is planned
Congenital ureteropelvic junction
(UPJ) obstruction
 Left sided
hydronephrosis is seen
with dilated and
ballooned out left renal
pelvis.
 Left pelviureteric
junction is markedly
narrowed with probably
delayed contrast
excretion into left ureter.
Congenital ureteropelvic junction
(UPJ) obstruction
 Right PUJ obstruction.
 Dilated renal pelvis and renal
calices with normal ureter.
Congenital megacalyces
 is an incidental finding which mimics hydronephrosis. It is a result of
underdevelopment of the renal medullary pyramids with resultant
enlargement of the calyces. It it more frequently seen in males.
 The enlarged, floppy calyces predispose to stasis, infection and
calculus formation. There is an association with congenital
megaureter.
 due to the lack of normal medullary pyramids, not only are the
calyces enlarged but they lack the normal imprint from the papillae,
thus having a flat appearance.
Congenital megacalyces
 The renal pelvis is of normal size helping to distinguish megacalyces
from hydronephrosis.
 In addition to enlargement of the calyces there is often also
polycalycosis (increased number of calyces); they are crowded
and multifaceted with a mosaic-like appearance.
Congenital megacalyces
 This 10-month old male had a large right
kidney, thought to be due to tumour.
 There are more than the usual number of
calyces
(PYELO)Calyceal diverticulum
 Outpouching of calyx into corticomedullary region.
 May also arise from renal pelvis or an infundibulum.
 Usually asymptomatic, but patients may develop calculi.
• Type I: originates from minor calyx
• Type II: originates from infundibulum
• Type III: originates from renal pelvis
(PYELO)Calyceal diverticulum
Imaging features :-
 Cystic lesion connects through channel with collecting
system.
• If the neck is not obstructed, diverticula opacify retrograde from the
collecting system on delayed IVP films.
• May contain calculi or milk of calcium, 50%
 Calyceal diverticulum
with multiple stones. a,
Abdominal plain film
shows multiple calculi
(arrow) over the upper
pole of the right kidney.
 On ten-minute excretory
urogram (EXU), all stones
are shown to be locate in
an upper pole calyceal
diverticulum (arrow).
(PYELO)Calyceal diverticulum
 On Sonography, a pyelocalyceal
diverticulum appears as a cystic lesion,
which is difficult to distinguish from
simple renal cyst. However, the
presence of mobile, echogenic and
dependent layering due to milk of
calcium is pathognomic of a
pyelocalyceal diverticulum.
Renal papillary necrosis (RPN)
RPN represents an ischemic coagulative necrosis involving variable
amounts of pyramids and medullary papillae. RPN never extends to the
renal cortex.
Causes:
 Ischemic necrosis
• Diabetes mellitus
• Chronic obstruction, calculus
• Sickle cell disease
• Analgesics
 Necrosis due to infections
• TB
• Fungal
Renal papillary necrosis (RPN)
Imaging features :
• Enlargement (early)
• Small collection of contrast medium extends outside the interpapillary
line in partial necrosis.
• Contrast may extend into central portion of papilla in “medullary type”
RPN.
• Eventually contrast curves around papilla from both fornices, resulting in
“lobster-claw” deformity.
 Sequestered, sloughed papillae cause filling defects in collecting
system: “ring sign.”
 • Tissue necrosis leads to blunted or clubbedcalyces.
 Multiple papillae affected in 85%. Rimlike calcificationof necrotic
papilla occurs.
Renal papillary necrosis (RPN)
Classical features may appear as 4:
 ball on tee
 forniceal excavation
 lobster claw
 signet ring
 sloughed papilla with clubbed caly
Renal papillary necrosis (RPN)
 Enlarged view of the left kidney showing central
papillary necrosis (top arrow), and marginal
excavation (bottom arrow), the pre-cursor to the
characteristic lobster claw appearance
Renal papillary necrosis (RPN)
 Coronal image of the left
kidney from a CT Urogram shows
numerous irregular collections of
contrast arising
from the calyces, some streak-like
densities and overall distortion of
the normal medullary-calyceal
anatomy
Renal papillary necrosis (RPN)
 Renal Papillary Necrosis Ring Sign
Pyonephrosis
 Pyonephrosis is a term given to infection of the renal pelvic system
which can then subsequently get filled with pus and is then
complicated by obstruction.
 The diagnosis of pyonephrosis is suspected when the clinical
symptoms of fever and flank pain are combined with the radiologic
evidence of obstruction to the urinary tracts 1.
Pyonephrosis
Ultrasound:
Usually shows dilatation of the pelvi-calyceal system with the following
additional features:-
 echogenic collecting system debris - considered the most reliable
sign
 fluid-fluid levels within the collecting system
 incomplete (dirty) echoes of collecting system gas can be
occasionally seen.
Pyonephrosis
CT
 The presence of clinical signs of infection with hydronephrosis on CT
is considered a more sensitive indicator of pyonephrosis than many
of the CT findings alone .
 thickening of the renal pelvic wall (>2 mm)
 parenchymal or perinephric inflammatory changes, dilatation and
obstruction of the collecting system, higher than usual attenuation
values of the fluid within the renal collecting system, and layering of
contrast material above and anterior to the purulent fluid on
excretory studies.
Pyonephrosis
 There is a calculus noted in right
renal pelvis causing gross
hydronephrosis and parenchymal
thinning.
 Parenchymal thickness is less than
2 mm at places.
 Pelvi-calyceal system shows fluid -
debris levels with few tiny calculi.
No air foci are noted.
 Parenchymal flow is preserved.
The Ureters
 Ectopic ureter.
 Ureterocele.
 Primary megaureter.
 Obstruction of collecting system.
 Ureteral injury .
 Ureteral tumors.
Ectopic ureter
 Ureter does not insert in the normal location in the trigone of the
bladder.
 Incidence: M:F = 1:6.
 Associations
• 80% have complete ureteral duplication.
• 30% have a ureterocele (“cobra head” appearanceon IVP)
Insertion Sites
• Males: ureter inserts ectopically into the bladder> prostatic urethra >
seminal vesicles, vas deferens, ejaculatory ducts.
• Females: ectopic ureter commonly empties into postsphincteric
urethra, vagina, tubes, perineum
Ectopic ureter
Intravenous urography (IVU)
 It can detect abnormal ureteral insertion and associated anomalies
e.g. renal duplication.
 In complete duplex kidney and ureter, the ectopic ureter usually
drains the upper moiety and associated with ureterocele and
obstruction.
Voiding cystourethrogram
 Usually the ectopic ureter is associated with vesico-ureteric reflux,
which can detected and graded with VCUG.
Ultrasound
 Associations and complications such as duplex
kidneys, hydronephrosis andureterocoele can be also be assessed.
Ectopic ureter
 A child with urinary incontinence
and recurrent urinary tract infection.
Ectopic ureter
 An ectopic ureter is identified and
inserted into the posterior urethra.
Associated grade III vesico-ureteric
reflux is also noted.
Ureterocele
A ureterocele refers to a herniation of the distal ureter into the bladder.
Two types:
Simple (normal location of ureter), 25%
• Almost always occurs in adults
• Usually also symptomatic in children
Ectopic (abnormal location of ureter), 75%
• Almost always associated with duplication
• Unilateral, 80%
• May obstruct entire urinary tract, because of prolapse into the bladder
neck causing bladder outlet obstruction.
Ureterocele
Radiographic Features
• Ureterocele causes filling defect in bladder on IVP.
• Typical appearance of a cystic structure by US
• Ureterocele may be distended, collapsed, or everted to represent a
diverticulum.
Complications:
Ureteroceles may contain calculi.
May be very large (bladder outlet obstruction)
Ureterocele
Megaureter
Congenital megaureter is a 'basket-term' to encompass causes of an
enlarged ureter which are intrinsic to the ureter, rather than as a result
of a more distal abnormality; e.g. bladder, urethra. It encompasses:
 obstructed primary megaureter
 refluxing primary megaureter (although vesico-ureteric reflux (VUR) is
a cause of primary congenital megaureter it is usually considered
separately)
 non-refluxing unobstructed primary megaureter
Obstructive primary megaureter
 Obstructive primary megaureter is related to a distal adynamic
segment with proximal dilatation, and is a common cause of
obstructive uropathy in children It is analogous to oesophageal
achalasia or colonic Hirschsprung disease although lack of ganglion
cells within the wall of the ureter has not been proven to be the
cause .
 the ureter tapers to a short segment of normal caliber or narrowed
distal ureter, usually just above the vesicoureteric junction (VUJ).
 The distal ureter above this narrowed segment is most dilated (similar
to achalasia).
 There is associated hydronephrosis, and active peristaltic waves can
be seen on ultrasound.
Refluxing primary megaureter
 Refluxing primary megaureter is a result of an
abnormal vesico-ureteric junction, which
impedes the normal anti-reflux mechanisms. This
can be due to a short vertical intramural
segment, congenital paraureteric diverticulum,
ureterocoele with or without associated
duplicated collecting system etc..
 vesicoureteric reflux is demonstrated
Non-refluxing unobstructed primary
megaureter
 This is thought to be the most common cause of primary megaureter
in neonates, and even though the vesicoureteric junction is normal,
with no evidence of reflux or obstruction the ureter is enlarged. The
cause for this is unknown.
 there is absent or only a minor degree of hydronephrosis. Although
rare, congenital megaureter may co-exist with congenital
megacalyces 1, making assessment of hydronephrosis more difficult.
Dilation and
elongation of both
ureters, left >> right.
Small left kidney
with pyelonephritic
scarring and
sloughed necrotic
papillae. Single
pyelonephritic scar
on the right.
 Primary megaureter - “A 10 month child came
for the workup of recurrent UTI.
 Primary megaureter is diagnosed in the
absence of reflux, stricture, calculus or
ureterocele.”
Vesicoureteral reflux (VUR)
 Vesicoureteric reflux (VUR) is the term for abnormal flow of urine
from the bladder into the upper urinary tract and is typically a
problem encountered in young children.
 The incidence of UTI is 8% in females and 2% in males
 Reflux from the bladder into the upper urinary tract predisposes to
pyelonephritis by allowing entry of bacteria to the usually sterile
upper tract.
 As such the diagnosis is first suspected after a urinary tract infection
in a young child.
Vesicoureteral reflux (VUR)
 Vesicoureteric reflux is, in the majority of cases, the result of a primary
maturation abnormality of the vesicoureteral junction resulting in a short
distal ureteric submucosal tunne.
MCUG
 The primary diagnostic procedure for evaluation of vesicoureteric reflux
is a voiding cystourethrogram (VCUG).
 presence and grade of VUR
 whether reflux occurs during micturition or during bladder filling
 presence of associated anatomical anomalies
ultrasound
 Routine ultrasound is usually also performed (in addition to VCUG) to
assess the renal parenchyma for evidence of scarring or anatomic
anomalies.
Vesicoureteral reflux (VUR)
• Grade I: reflux to ureter but not to kidney
• Grade II: reflux into ureter, pelvis, and
calyces without dilatations
• Grade III: reflux to calyces with mild
dilatation,blunted fornices
• Grade IV: to calyces with moderate
dilatation,obliteration of fornices
• Grade V: gross dilatation, tortuous ureters.
Vesicoureteral reflux (VUR)
 Voiding cystourethrogram demonstrates
reflux into both kidneys, with dilatation of
the ureters and renal collecting system. The
calyxes are distended and blunted. The
urethra appears normal.
 This case illustrates typical bilateral grade V
vesicoureteric reflux
Vesicoureteral reflux (VUR)
 VCUG demonstrating
bilateral Grade III
vesicoureteral reflux
Vesicoureteral reflux (VUR)
 Pre-void contrast filled bladder
demonstrated bilateral vesico-
ureteral reflux with mildly tortuous
and moderately dilated ureters,
with contrast reaching blunted
dilated calyces. Findings are
keeping with bilateral type 4
vesico-ureteral reflux.
Obstruction of collecting
system
Causes
• Calculi
• Tumor
• Previous surgery (ligation, edema, clot)
Urolithiasis
 refers to the presence of calculi anywhere along the course of
the urinary tracts.
 The lifetime incidence of renal stones is high, seen in as many as 5% of
women and 12% of males.
 By far the most common stone is calcium oxalate, however the exact
distribution of stones depends on the population and associated
metabolic abnormalities
 calcium oxalate +/- calcium phosphate: ~75%
 struvite (triple phosphate): 15%
 pure calcium phosphate: 5-7%
 uric acid: 5-8%
 cystine: 1%
Plain film
Calcium containing stones are radiopaque
 calcium oxalate +/- calcium phosphate
 struvite (triple phosphate) - usually opaque but variable
 pure calcium phosphate
Lucent stones include
 uric acid
 cystine
 Indinavir stones
 pure matrix stones
Ct
On CT almost all stones are opaque, but vary considerably in density.
 calcium oxalate +/- calcium phosphate: 400-600HU
 struvite (triple phosphate): usually opaque but variable
 pure calcium phosphate: 400-600HU
 uric acid: 100-200HU
 cystine: opaque
Two radiolucent stones are worth mentioning 11:
 Indinavir stones - (anti-retroviral drug) radiolucent and usually
undetectable on CT 5
 pure matrix stones
Ct
 In patients with little retroperitoneal fat, distinguishing a ureteric calculus
from a phlebolith can be challenging. Two signs have been found
helpful 12:
 comet-tail sign - favours a phlebolith
 soft-tissue rim sign - favours a ureteric calculus
 comet-tail sign :The sign refers to a tail of soft tissue extending from a
calcification, representing the collapsed/scarred/thrombosed parent
vein. When well seen it is said to have a positive predictive value of
100% 1.
 The soft-tissue rim sign is used to distinguish a ureteric calculus from
a phlebolith. The former appears as a calcific density with a surrounding
rim of soft tissue which represents the oedematous ureteric wall.
Phleboliths on the other hand usually have imperceptible walls
(although up to 8% may have a soft tissue rim sign 2) but may have
a comet-tail sign.
Ct
 Findings of ureteral obstruction include
 ( 1 ) mild dilatation of the pelvicalyceal system and ureter (3 mm)
proximal to the stone,
 ( 2 ) slight decrease in attenuation of the affected kidney caused by
edema.
 ( 3 ) perinephric soft tissue stranding representing edema in the
perinephric and periureteral fat.
 Nonenhanced CT image shows an
obstructing left proximal ureteral
calculus with a slight soft-tissue rim
around the stone (ie, rim sign)
 40 Male patient complaining
of right renal colic with
hematuria
 An oval shaped radiodense
stone is seen at the junction
between upper 2/3 and lower
1/3 of the right ureter measuring
about 0.5 x 1 cm along its
maximum diameters and eliciting
density of about (690 HU)
associated with marked
dilatation of the right pelvi-
calyceal system and proximal
part of the right ureter.
IVP (30-minute delay image) of the right kidney shows a moderately hydronephrotic collecting system to the
level of a proximal ureteral stone (arrow). Source: emedicine.
 13 minutes after infusion of contrast
medium there is contrast of the right
pyelon and in the bladder, but yet no
contrast of the left pyelon. There is
also contrast outlining the left kidney,
whereas it has already cleared from
the right (delayed nephrogram).
 Two hours after infusion you can appreciate a
distension of the left ureter and a
hydronephrosis of the left pyelon.
 This examination demonstrates the typical IVP
features of collecting system dilatation and a
delayed nephrogram secondary to a distal
obstructing calculus. In this case, the calculus is
well seen radiographically.
 30 year old male right flank
pain; ultrasound shows proximal
hydroureter and mild
hydronephrosis
 Scout- apparently normal with
no evidence of calculus
 10 min film- right sided proximal
hydroureter and mild dilatation of
pelvicalyceal system
 15 min film- findings are persistent and
a filling defect is noted at the L3-L4
level
Ultrasound
 Ultrasound is frequently the first investigation of the renal tract, and
although by no means as sensitive as CT, it is often able to identify
calculi. Small stones and those close to the corticomedullary
junction can be difficult to reliably identify. Ultrasound compared to
CT-KUB reference showed a sensitivity of only 24% in identifying
calculi. Nearly three-quarters of calculi not visualised were 3mm or
less in size.13. Features include 7:
 echogenic foci
 acoustic shadowing
 twinkle artefact on color Doppler
 color comet-tail artefact 9
 80 year old female Non
specific flank pain.
Limited history due
patient's confusion

Right hydronephrosis
 Left ureteric jet present (i.e.
left ureter non obstructed)
 No ureteric jet on the right
(suspicious, although not in
itself diagnostic for ureteric
obstruction)
 Shadowing calculus at the
right VUJ
 Comet tail artefact supports
the presence of a calculus
Ureteral tumors
Types
Benign tumors
• Epithelial: inverted papilloma, polyp, adenoma
• Mesodermal: fibroma, hemangioma, myoma, lymphangioma
• Fibroepithelial polyp: mobile long intraluminal mass, ureteral
intussusception
Malignant tumors
• Epithelial: transitional cell carcinoma, SCC,
adenocarcinoma
• Mesodermal: sarcoma, angiosarcoma,
carcinosarcoma
Ureteral tumors
 Due to the small caliber of the ureter, tumours are more likely to
obstruct the kidney at small tumour size.
 Obstruction may lead to hyrdonephrosis with or without hydroureter
and may also result in a non-functioning kidney or delayed
nephrogram.
• Bergman's coiled catheter sign: on retrograde pyelogram the
catheter is typically coiled in dilated portion of ureter just distal to the
lesion
Ureteral tumors
 Smaller or polypoid tumours may be seen as filling
defects, and if they cause partial long-standing
obstruction may result in focal dilatation of the
ureter at the site of the tumour. This may lead to
the so-called goblet sign, best seen on
retrograde ureterography 2.

Occasionally circumferential thickening of the
ureteric wall results from diffuse infiltration an may
have an apple core appearance 4.

Ureteral tumors
Prognosis
• 50% of patients will develop bladder cancer.
• 75% of tumors are unilateral.
• 5% of patients with bladder cancer will develop ureteral cancer.
Sites of metastatic spread of primary ureteral neoplasm:
• Retroperitoneal lymph nodes, 75%
• Liver, 60%
• Lung, 60%
• Bone, 40%
• Gastrointestinal tract, 20%
• Peritoneum, 20%
• Other (<15%): adrenal glands, ovary, uterus
Ureteral tumors
 CT demonstrates a very large
right sided ureteric mass with
trapped contrast, which almost
mimics a vascular aneurysm, and
proximal long
standing hydronephrosis.
Ureteric injury
 Ureteric injury is a relatively uncommon but serious event, which may
result in serious complications as diagnosis is often delayed.
 Ureteric injuries unreliably demonstrate macro- or micro-scopic
haematuria as it may be absent in up to 25% of patients.
There is a wide-range of injury:
 injury to the mucosa of the ureter post lithotripsy
 perforation and false passage
 partial or complete ureteric transection
 complete ureteric avulsion
 loss of ureteric segment
 ligation
 dissection
Ureteric injury
 Iatrogenic(most commonly injured after gynaecological procedures)
 Traumatic
Classification
Ureteric injury can be classified into three types according to its site:
 upper-third
 upper-third and pelvico-ureteric junction (PUJ) most affected by blunt
trauma 5, 7
 mid-third
 distal-third
 most common site
 often following iatrogenic injury
Ureteric injury
Fluoroscopy
 Excretory intravenous urography if CT is not available: demonstrates
contrast leakage and spillage outside the course of the urinary
system.
 Retrograde pyelography may be performed if both
excretory intravenous urographyand CT with intravenous
contrast are inconclusive and there is still a high suspicion of injury 1.
Ureteric injury
CT
 CT with intravenous contrast and delayed scan with full reformatted
sagittal and coronal images and 3D reconstruction. The delayed
scan should be performed between 5-8 minutes after IV contrast to
ensure a CT-IVU (a.k.a. excretory phase) set of images is acquired.
 intra-abdominal fluid collections without other cause shown
 contrast extravasation from renal hilum/PUJ (usually medially)
without associated renal injury
Ureteric injury
 Post emergency caesarean section
intraperitoneal tube drainage high
output.
 Contrast leakage and spillage is seen in
the left side of pelvis in the region of lower
third left ureter denoting a left ureteric
injury
Bladder
 Bladder exstrophy.
 Bladder diverticulum.
 Bacterial cystitis.
 Emphysematous cystitis.
 Neurogenic bladder.
 Bladder calculi.
 Malignant bladder neoplasm.
 Bladder injuries.
Bladder exstrophy
 Bladder exstrophy (also known as ectopia vesicae) refers to a herniation of the urinary
bladder through an anterior abdominal wall defect. The severity of these defects is widely
variable.
 The estimated incidence of bladder exstrophy is 1:10,000-50,000 live births .
 It is thought to be caused by a developmental defect of the cloacal membrane which results in a
subsequent eversion of the bladder mucosa. This then protrudes out like the mass like lesion.
General associations
 extension of the bladder defect into the urethra
 cryptorchidism
 bilateral inguinal herniation
 OEIS complex
 epispadia
 vaginal duplication
 clitoral cleft
Bladder exstrophy
 Imaging findings include a soft-tissue mass extending from a large
infra-umbilical anterior wall defect which may be close to the
umbilical arterial exits.
 The absence of a normal urinary bladder and a low-lying umbilical
cord insertion may also indicate the diagnosis.
 Failure of the pubic bones to meet in the midline (widened pubic
symphysis). This appearance on AP plain radiograph of the pelvis
has been likened to a manta ray swimming towards you (manta ray
sign).
Bladder exstrophy
 Marked widening of the pubic
symphysis (manta ray
appearance) consistent with
bladder exstrophy for which the
patient had a known history.
 In terms of a cause for hip pain,
there is no fracture identified but
there is mild left hip
degenerative disease, and mild
bilateral greater tuberosity
irregularity suggesting chronic
gluteal tendinosis.
Bladder exstrophy
Bladder diverticulum
 Bladder diverticulum are outpouchings from the bladder wall,
whereby mucosa herniates through the bladder wall.
 They may be solitary or multiple in nature and can very considerably
in size.
 Diverticulae may be congenital or acquired. A range of causes of
urinary bladder diverticula are described.
 Acquired diverticula are more common, usually occurring the
context of a trabeculated bladder, resulting from chronic bladder
outlet obstruction.
Bladder diverticulum
 Diverticula are often an incidental finding on imaging investigations,
including ultrasound, CT, MRI and IVU.
They may be associated with a range of complications including:
 infection
 reflux
 stone formation
 malignancy
Bladder diverticulum
 IVU images shows a diverticulum
at the right lateral wall.
 Note the elevated base of the
bladder due to the enlarged
prostate.
Bladder diverticulum
 Congenital diverticulae are
solitary and are most often
discovered during childhood.
 Acquired bladder diverticulae
are the result obstruction of the
bladder outlet or bladder
dysfunction. They are often
multiple and typically seen in
older men.
Bacterial cystitis
Acute Cystitis
Pathogens: E. coli > Staphylococcus > Streptococcus
> Pseudomonas
Predisposing Factors
• Instrumentation, trauma
• Bladder outlet obstruction, neurogenic bladder
• Calculus
• Cystitis
• Tumor
Imaging Features
• Mucosal thickening (cobblestone appearance)
• Reduced bladder capacity
• Stranding of perivesical fat
Emphysematous cystitis
 Emphysematous cystitis refers to gas forming infection of the
bladder wall.
Risk factors include:
 female sex: reported M:F ratio 1:2
 immunocompromised state
 diabetes mellitus: may be present in ~50% of cases 2
 neurogenic bladder
 transplant recipients
 The most common causative organism is E. coli, with other
organisms including Enterobacter aerogenes, Klebsiella
pneumonia, Proteus mirabilis, Staphylococcus aureus,
Emphysematous cystitis
CT
 CT is a highly sensitive examination that allows early detection of
intraluminal or intramural gas.
 CT is also useful in evaluating other causes of intraluminal gas such
as enteric fistula formation from adjacent bowel carcinoma or
inflammatory disease.
Ultrasound
 Can demonstrate echogenic air within the bladder wall with dirty
shadowing artefact.
 Ultrasound will also commonly demonstrate diffuse bladder wall
thickening and increased echogenicity.
Emphysematous cystitis
Neurogenic bladder
 Term applied to a dysfunctional urinary bladder that results from an
injury to the central or peripheral nerves that control and regulate
urination.
 Injury to the brain, brainstem, spinal cord or peripheral nerves from
various causes including infection, trauma, malignancy or vascular
insult can result in a dysfunctional bladder 3.
Neurogenic bladder
 In a large cohort study, the mean age of neurogenic bladder
patients was 62.5 years and resultant etiologies included 4:
 multiple sclerosis: ~17%
 Parkinson disease: ~15%
 cauda equina syndrome: ~9%
 paralytic syndrome: ~8%
 stroke complications: ~6%
Neurogenic bladder
 A number of classification schemes exist for neurogenic bladders,
including the Lapides classification which remains popular.
 sensory neurogenic bladder: posterior columns of the spinal cord or
afferent tracts leading from the bladder
 motor paralytic bladder: damage to motor neurons of the bladder
 uninhibited neurogenic bladder: incomplete spinal cord lesions
above S2 or cerebral cortex or cerebropontine axis lesions
 reflex neurogenic bladder: complete spinal cord lesions above S2 -
may lead to pine cone bladder
 autonomous neurogenic bladder: conus or cauda equina lesions
Neurogenic bladder
uoroscopic/IVP
Sensory neurogenic bladder
Inability to sense bladder fullness results in a large rounded and smooth bladder. Voiding is often
preserved.
Motor paralytic bladder
Atonic large bladder with inability of detrusor contraction during voiding.
Unhibited neurogenic bladder
Rounded bladder with a trabeculated apperance to the mucosa above the trigone from detrusor
contractions. On voiding large interureteric ridge is noted
Reflex neurogenic bladder
Results from detrusor hyperreflexia with a dyssynergic sphincter. This leads to contrast extension to the
posterior urethra and an elongated pointed urthera with pseudodverticula.
Autonomous neurogenic bladder
Intermediate between detrusor hyperreflexia (contracted) and dysreflexia (atonic).
Neurogenic bladder
Ultrasound
 Detailed images of the bladder often demonstrate a thick wall with
a small contracted or large atonic bladder.
 A large post void residual is often noted.
Neurogenic bladder
 VCUR examination
demonstrate elongated
distended urinary bladder with
multiple urinary bladder
diverticulae characteristic of
neurogenic bladder.
 Grade III VUR on the left side is
also demonstrated.
Neurogenic bladder
 Neurogenic bladder, typically occurs in
those with sacral abnormalities at birth.
 The appearances has been described as
a Christmas tree of pine cone bladder.
 The shape of the bladder is highly
abnormality with an elongated
appearance, with the dome like the top of
a Christmas tree.
 The associated bladder wall hypertrophy
gives an outline, which mimics the
decorations that adorn a Christmas tree.
Neurogenic bladder
 A pine cone bladder or christmas tree bladder is a
cystogram appearance in which the bladder is
elongated and pointed with thickened trabeculated
wall.
 It is typically seen in severe neurogenic bladder with
increased sphincter tone (detrusor sphincter
dyssynergia) due to suprasacral lesions (above S2-S4) or
epiconal lesions (in and around S2-S4).
 It is however not pathognomonic of a neurogenic
bladder and can be seen in patients with lesions
anywhere along the sacral reflex arc leading to poor
detrusor compliance. Occasionally it is also seen in
bladder neck obstruction of a non-neurogenic cause.
Bladder calculi
 Bladder calculi occur either from migrated renal calculi or urinary
stasis.
Bladder calculi can be divided into primary and secondary stones:
 primary: stones form de novo in the bladder
 secondary: stones are either from renal calculi which have migrated
down into the bladder, or from concretions on foreign material (e.g.
urinary catheters)
Bladder calculi
associated with :-
 bladder outlet obstruction
 cystocoele
 neurogenic bladder
 foreign body.
Radiographic features
 Plain Film
 Usually densely radio-opaque, calculi may be single or multiple and often large.
Frequently lamination is observed internally, like the skin of an onion.
 Ultrasound
 Sonographically they are mobile, echogenic, and shadow distally.
 They may be associated with bladder wall thickening due to inflammation.
Bladder calculi
Malignant bladder neoplasm
Clinical Finding
• Painless hematuria.
Types and Underlying Causes
Transitional cell carcinoma, 90%
• Aniline dyes
• Phenacetin
• Pelvic radiation
• Tobacco
• Interstitial nephritis
SCC, 5%
• Calculi
• Chronic infection, leukoplakia
• Schistosomiasis
Adenocarcinoma, 2%
• Bladder exstrophy
• Urachal remnant
• Cystitis glandularis. 10% pass mucus
Malignant bladder neoplasm
Ct :
 bladder transitional cell carcinomas appear as either focal regions of thickening
of the bladder wall, or as masses protruding into the bladder lumen, or in
advanced cases, extending into adjacent tissues.
 The masses are of soft tissue attenuation and may be encrusted with small
calcifications.
MRI
 MRI is superior to other modalities in locally staging the tumour and is in some
instances able to distinguish T1 from T2 tumours on T2 weighted image.
 T1: isointense compared to muscle 4
 T2: slightly hyperintense compared to muscle
 T1 C+ (Gd): shows enhancement
 Polypoidal, enhancing filling
defect arising from the left
bladder wall is typical of
transitional cell cancer. No
obstruction to the left ureteric
orifice nor invasion through the
bladder wall.
Malignant bladder neoplasm
 Mural broad-based lesion
lining the left aspect of
Bladder. The lesion shows
internal flow on Doppler.
Malignant bladder neoplasm
 Polypoidal irregular
mural thickening of
the left lateral and
posterior wall of
the urinary bladder
which coalesce to
form large
fungating mass
arising from left
lateral wall are
seen and extends
through the wall to
invade the
perivesical fat
Bladder injuries
Extraperitoneal bladder rupture
 Extraperitoneal rupture is the most common type of bladder injury,
accounting for ~85% (range 80-90%) of cases.
 It is usually the result of pelvic fractures or penetrating trauma.
 Cystography reveals a variable path of extravasated contrast
material.
Intraperitoneal bladder rupture
 Occurs in approximately ~15% (range 10-20%) of major bladder
injuries, and typically is the result of a direct blow to the already
distended bladder.
 Cystography demonstrates intraperitoneal contrast material around
bowel loops, between mesenteric folds and in the paracolic gutters.
Bladder injuries
Classification of Bladder Injury
• Type 1: Bladder contusion
• Type 2: Intraperitoneal rupture
• Type 3: Interstitial bladder injury
• Type 4: Extraperitoneal rupture
• Type 4a: Simple extraperitoneal rupture
• Type 4b: Complex extraperitoneal rupture
• Type 5: Combined bladder injury
Bladder injuries
CT
 Bladder rupture is one form of genitourinary tract trauma, along with
renal trauma and urethral injuries.
 Contrast enhanced CT is the imaging technique of choice for
bladder injuries in the form of CT cystography.
 This may be combined with standard CT to evauluate the upper
tracts.
 Standard cystography has a more limited role
Bladder injuries
Bladder catheter balloon in the intraperitoneal space
Bladder injuries
Postvoid film shows a flame-
shaped density adjacent to lateral
walls of bladder representing
extra-peritoneal contrast from a
bladder rupture.
The Urethra
 Posterior urethral valves (PUVs).
 Urethral injuries.
 Urethral strictures.
Posterior urethral valves (PUVs)
 Posterior urethral valves (PUV's) are the most common congenital
obstructive lesion of the urethra and a common cause of
obstructive uropathy in infancy.
 Posterior urethral valves are congenital and only seen in male
infants 2. The estimated incidence is at ~1 in 10,000-25,000 live births
with a higher rate of incidence in utero.
 Clinical presentation depends on the severity of obstruction. In
severe obstruction the diagnosis is usually made antenatally.
 The fetus will be small for gestational age and ultrasound
examination will demonstrate oligohydramnios
Posterior urethral valves (PUVs)
Associations
 Posterior urethral valves are also seen in association with other
congenital abnormalities including :
 chromosomal abnormalities, e.g. Down syndrome 5
 bowel atresia
 craniospinal defects
Posterior urethral valves (PUVs)
Ultrasound
Antenatal ultrasound:
 On antenatal ultrasound the appearance is that of marked distention
and hypertrophy of the bladder, with or without hydronephrosis and
hydroureter, and depending on the severity, oligohydramnios and renal
dysplasia.
Postnatal ultrasound
 The bladder is typically thick-walled and trabeculated with an
elongated and dilated posterior urethra (keyhole sign).
 The kidneys in most cases are hydronephrotic, although it is important to
note that in up to 10% of cases they appear normal 5. They may also be
hyperechoic with loss of the normal corticomedullary differentiation, a
manifestation of renal dysplasia 5.
Posterior urethral valves (PUVs)
Voiding cystourethrogram
 Voiding cystourethrogram (VCUG) is the best imaging technique for the
diagnosis of posterior urethral valves.
 The diagnosis is best made during the micturition phase in a lateral or
oblique views, such that the posterior urethra can be imaged
adequately .
Findings include :
 dilatation and elongation of the posterior urethra (equivalent of the
ultrasonographic keyhole sign)
 linear radiolucent band corresponding to the valve (only occasionally
seen)
 vesicoureteral reflux (VUR): seen in 50% of patients .
 bladder trabeculation/diverticula
Posterior urethral valves (PUVs)
 Keyhole sign Rotated image of an
antenatal ultrasound of the foetal
pelvis demonstrating the keyhole
sign, created by the distend
bladder and posterior urethra.
 The keyhole sign is an
ultrasonograhic sign seen in boys
with posterior urethral valves. It
refers to the appearance of
posterior urethra which is dilated,
and associated thick walled
distended bladder which on
ultrasound may resemble a key
hole.
Posterior urethral valves (PUVs)
 Micturating
cystourethrogram reveals
marked dilatation of the
prostatic portion of the
urethra consistent with
posterior urethral valves.
Posterior urethral valves (PUVs)
Ultrasound reveals marked bilateral hydronephrosis
and hydroureter. There is dependent echogenic
debris seen throughout the renal collecting system
consistent with infection
Urethral injuries
 Urethral injuries can result in long-term morbidity and most
commonly result from trauma.
 The male urethra is much more commonly injured than the female
urethra..
 Clinically :blood of the external urethral meatus or vaginal introitus
may be seen but is an unreliable sign.
 Male urethral injuries are divided into anterior (penile/bulbar) and
posterior (membranous/prostatic) urethral injuries.
Urethral injuries
Classification:
 blunt trauma: due to shearing or straddle injuries associated with
pelvic fractures (occurs in ~10%) often associated with bladder
injury.
 penetrating trauma: e.g. stab wounds, gunshot wounds, dog bites
(more commonly affect the anterior urethra)
 iatrogenic, for example urethral instrumentation, e.g.
catheterisation, Foley catheter removal without balloon deflation,
cystoscopy,post-surgical (e.g. surgery for benign prostatic
hyperplasia)
Urethral injuries
Fluoroscopy
 Retrograde urethrography is the modality of choice.
 It will demonstrate extraluminal contrast, which has extravasated from
the urethra.
CT
 CT cystography can be performed but this is much less specific for
urethral vs. bladder injury.
 Other features of urethral injury include retropubic and perivesical
haematoma and obscuration of the urogenital fat plane.
Urethral injuries
 Retrograde urethrogram in
a patient with pelvic
fractures demonstrates
contained contrast leakage
at the posterior urethra
(membranous portion).
 Contrast does ascend into
the bladder and therefore
the urethral injury is
incomplete.
Urethral injuries
 there is a small amount of
extravasated contrast (from
prior urethrogram) within the
retro-pubic space (cave of
Retzius), inferior
extraperitoneal pelvic cavity
and tracking into the
perineum/perineal muscles
and adductor musculature of
the left thigh
Urethral stricture
 Clinical presentation
poor urine stream
Aetiology
 Infection(gonococcal urethritis (more common)),
 trauma
 straddle injury (most common)
 pelvic fractures
 iatrogenic
 instrumentation
 prolonged catheterisation
 transurethral resection of the prostate
 open radical prostatectomy
 urethra reconstruction (hypospadia/epispadia)
 congenital
 uncommon
Urethral stricture
 Past history of
chlamyida infection.
 20mm stricture in the
bulbous urethra.

Urethral stricture
 Short segment (5mm) stricture at
the junction of the penile and
bulbous urethra.
 Filling defect related to
lubricant jelly used.
Thank You

Urinary tract imaging and pathology

  • 1.
    Imaging Of The UrinaryTractDR.SULTAN ALHAJAHJEH RADIOLOGY DEPARTMENT JORDAN UNIVERSITY HOSPITAL
  • 2.
    Anatomy of theurinary tract Pelvic calacyeal system  There are usually seven pairs of minor calyces,  Minor calyx pairs combine to form two or three major calyces,which in turn drain via their infundibula to the pelvis.  The pelvis may be intrarenal or partially or entirely extrarenal.  The hilum of the kidney lies medially, that of the left at L1 vertebral level and that of the right slightly lower at L1/L2 level, owing to the bulk of the liver above.  At the hilum, the pelvis lies posteriorly and the renal vein anteriorly with the artery in between.
  • 3.
    Anatomy of theurinary tract The ureters  Each is 25-30 cm long and is described as having a pelvis and abdominal, pelvic and intravesical parts  the ureter has a diameter of about 3 mm but is narrower at the following three sites:  The junction of the pelvis and ureter.  The pelvic brim  The intravesical ureter where it runs through the muscular bladder wall.
  • 4.
    Anatomy of theurinary tract
  • 6.
     1. Rightupper-pole (major) calyx  2. Right middle (major) calyx  3. Right lower-pole (major) calyx  4. Left upper-pole (major) calyx  5. Left lower-pole (major) calyx  6. Minor calyx (infundibulum of)  7. Papilla  8. Infundibulum  9. Fornix  10. Bifid left renal pelvis  11. Right renal pelvis  12. Right ureter  13. Left ureter: vascular impression  14. Upper pole right kidney  15. Right psoas outline  16. Gas in body of stomach  17. Gas in transverse colon  18. Intravesical ureter
  • 7.
    Anatomy of theurinary tract Bladder  This is a pyramidal muscular organ when empty. It has a triangular-shaped base posteriorly.  The ureters enter the posterolateral angles and the urethra leaves inferiorly at the narrow neck, which is surrounded by the (involuntary) internal urethral sphincter.  It has one superior and two inferolateral walls, which meet at an apex behind the pubic symphysiss.  In the female, the body of the uterus rests on its postero¬superior surface and the cervix and vagina are posterior, with the rectum behind.  In the male the neck is fused with the prostate.  The bladder is supplied via the internal iliac artery via superior and inferior vesical arteries.
  • 8.
  • 10.
    Anatomy of theurinary tract The urethra  The male urethra runs from the internal urethral sphincter at the neck of the bladder to the external urethral orifice at the tip of the penis.  The posterior urethra comprises the prostatic and membranous urethra and the anterior part comprises the bulbous and penile urethra.  In females This is 4 cm long. It extends from the internal urethral sphincter at the bladder neck through the urogenital diaphragm to the external urethral meatus anterior to the vaginal opening.
  • 11.
    1.Balloon of catheterin navicular fossa 2. Penile urethra 3. Bulbous urethra 4. Membranous urethra 5. Impression of verumontanum in prostatic urethra 6. Filling of utricle (not usually seen) 7. Air bubbles in contrast
  • 12.
    Imaging techniques ofthe urinary tract  kub  Ivu  Mcug  Ultrasound  Ascending urethrogram  Mri
  • 15.
    Pelvicalyceal system  Duplexcollecting system  Congenital ureteropelvic junction (UPJ) obstruction  Congenital megacalyces  (PYELO)Calyceal diverticulum  Renal papillary necrosis (RPN)  Pyonephrosis
  • 16.
    Duplex collecting system It is one of the most common congenital renal tract abnormalities 4- 5. It is characterised by incomplete fusion of upper and lower pole moieties resulting in complete or incomplete duplication of the collecting system  duplex collecting system - a duplex kidney draining into:  single ureter - i.e. duplex kidney's duplication pelvicalcyeal systems uniting at the pelvi-ureteric junction (PUJ)  bifid ureter (ureter fissus) - two ureters that unite before emptying into the bladder  double ureter (complete duplication) two ureters that drain separately into the bladder or genital tract
  • 17.
    Duplex collecting system Orthotopic ureter: drains lower pole and enters bladder near trigone  Ectopic ureter: drains upper pole and enters bladder inferiorly and medially (Weigert- Meyer rule); the ectopic ureter may be stenotic and obstructed
  • 19.
     Spot filmtaken during an IVP shows bilateral duplex kidneys.  On the left side the ureters have fused at the level of L3 vertebra  On the right side both ureters have opened into the bladder.
  • 20.
     Fluoroscopy MCUGrade 5 reflux with double excretory system on the left side. Fusion of both ureters right before the bladder (cystoscopy confirmed the presence of only 2 ostia in the bladder). Hydronephrosis.
  • 21.
     Drooping lilysign - a urographic sign of duplicated renal collecting system. It refers to the inferolateral displacement of the opacified lower pole moiety due to an obstructed (and relatively unopacified) upper pole moiety.  In duplicated collecting system it is classically the upper pole ureter that is obstructed due to a ureterocoele and the lower pole ureter that refluxes: as described by the Weigert-Meyer law.
  • 23.
     left sidedduplicated collecting system with a distorted lower pole moiety from obstructed upper pole. This results in the so called drooping lilly sign.
  • 24.
    Congenital ureteropelvic junction (UPJ)obstruction Most common congenital anomaly of the GU tract in neonates. 20% of obstructions are bilateral. • Intrinsic, 80%: defect in circular muscle bundle of renal pelvis • Extrinsic, 20%: renal vessels (lower pole artery or vein) The estimated incidence in pediatric population is at ~1 per 1000-2000 newborns and there is a recognised predilection towards the left side (~67% of cases) and a male predominance.
  • 25.
    Congenital ureteropelvic junction (UPJ)obstruction  asymptomatic or When symptomatic, symptoms include recurrent urinary tract infections, stone formation and even a palpable flank mass. Ultrasound  will often show a dilated renal pelvis with a collapsed proximal ureter  with Doppler sonography the obstructed kidneys can show higher RI's (resistive indices). CT  May show evidence of hydronephrosis +/- calyectasis with collapsed ureters. Useful for assessing crossing vessels at the PUJ especially when surgical intervention is planned
  • 26.
    Congenital ureteropelvic junction (UPJ)obstruction  Left sided hydronephrosis is seen with dilated and ballooned out left renal pelvis.  Left pelviureteric junction is markedly narrowed with probably delayed contrast excretion into left ureter.
  • 27.
    Congenital ureteropelvic junction (UPJ)obstruction  Right PUJ obstruction.  Dilated renal pelvis and renal calices with normal ureter.
  • 28.
    Congenital megacalyces  isan incidental finding which mimics hydronephrosis. It is a result of underdevelopment of the renal medullary pyramids with resultant enlargement of the calyces. It it more frequently seen in males.  The enlarged, floppy calyces predispose to stasis, infection and calculus formation. There is an association with congenital megaureter.  due to the lack of normal medullary pyramids, not only are the calyces enlarged but they lack the normal imprint from the papillae, thus having a flat appearance.
  • 29.
    Congenital megacalyces  Therenal pelvis is of normal size helping to distinguish megacalyces from hydronephrosis.  In addition to enlargement of the calyces there is often also polycalycosis (increased number of calyces); they are crowded and multifaceted with a mosaic-like appearance.
  • 30.
    Congenital megacalyces  This10-month old male had a large right kidney, thought to be due to tumour.  There are more than the usual number of calyces
  • 31.
    (PYELO)Calyceal diverticulum  Outpouchingof calyx into corticomedullary region.  May also arise from renal pelvis or an infundibulum.  Usually asymptomatic, but patients may develop calculi. • Type I: originates from minor calyx • Type II: originates from infundibulum • Type III: originates from renal pelvis
  • 32.
    (PYELO)Calyceal diverticulum Imaging features:-  Cystic lesion connects through channel with collecting system. • If the neck is not obstructed, diverticula opacify retrograde from the collecting system on delayed IVP films. • May contain calculi or milk of calcium, 50%
  • 33.
     Calyceal diverticulum withmultiple stones. a, Abdominal plain film shows multiple calculi (arrow) over the upper pole of the right kidney.  On ten-minute excretory urogram (EXU), all stones are shown to be locate in an upper pole calyceal diverticulum (arrow).
  • 34.
    (PYELO)Calyceal diverticulum  OnSonography, a pyelocalyceal diverticulum appears as a cystic lesion, which is difficult to distinguish from simple renal cyst. However, the presence of mobile, echogenic and dependent layering due to milk of calcium is pathognomic of a pyelocalyceal diverticulum.
  • 35.
    Renal papillary necrosis(RPN) RPN represents an ischemic coagulative necrosis involving variable amounts of pyramids and medullary papillae. RPN never extends to the renal cortex. Causes:  Ischemic necrosis • Diabetes mellitus • Chronic obstruction, calculus • Sickle cell disease • Analgesics  Necrosis due to infections • TB • Fungal
  • 36.
    Renal papillary necrosis(RPN) Imaging features : • Enlargement (early) • Small collection of contrast medium extends outside the interpapillary line in partial necrosis. • Contrast may extend into central portion of papilla in “medullary type” RPN. • Eventually contrast curves around papilla from both fornices, resulting in “lobster-claw” deformity.  Sequestered, sloughed papillae cause filling defects in collecting system: “ring sign.”  • Tissue necrosis leads to blunted or clubbedcalyces.  Multiple papillae affected in 85%. Rimlike calcificationof necrotic papilla occurs.
  • 37.
    Renal papillary necrosis(RPN) Classical features may appear as 4:  ball on tee  forniceal excavation  lobster claw  signet ring  sloughed papilla with clubbed caly
  • 38.
    Renal papillary necrosis(RPN)  Enlarged view of the left kidney showing central papillary necrosis (top arrow), and marginal excavation (bottom arrow), the pre-cursor to the characteristic lobster claw appearance
  • 39.
    Renal papillary necrosis(RPN)  Coronal image of the left kidney from a CT Urogram shows numerous irregular collections of contrast arising from the calyces, some streak-like densities and overall distortion of the normal medullary-calyceal anatomy
  • 40.
  • 41.
     Renal PapillaryNecrosis Ring Sign
  • 42.
    Pyonephrosis  Pyonephrosis isa term given to infection of the renal pelvic system which can then subsequently get filled with pus and is then complicated by obstruction.  The diagnosis of pyonephrosis is suspected when the clinical symptoms of fever and flank pain are combined with the radiologic evidence of obstruction to the urinary tracts 1.
  • 43.
    Pyonephrosis Ultrasound: Usually shows dilatationof the pelvi-calyceal system with the following additional features:-  echogenic collecting system debris - considered the most reliable sign  fluid-fluid levels within the collecting system  incomplete (dirty) echoes of collecting system gas can be occasionally seen.
  • 44.
    Pyonephrosis CT  The presenceof clinical signs of infection with hydronephrosis on CT is considered a more sensitive indicator of pyonephrosis than many of the CT findings alone .  thickening of the renal pelvic wall (>2 mm)  parenchymal or perinephric inflammatory changes, dilatation and obstruction of the collecting system, higher than usual attenuation values of the fluid within the renal collecting system, and layering of contrast material above and anterior to the purulent fluid on excretory studies.
  • 45.
    Pyonephrosis  There isa calculus noted in right renal pelvis causing gross hydronephrosis and parenchymal thinning.  Parenchymal thickness is less than 2 mm at places.  Pelvi-calyceal system shows fluid - debris levels with few tiny calculi. No air foci are noted.  Parenchymal flow is preserved.
  • 46.
    The Ureters  Ectopicureter.  Ureterocele.  Primary megaureter.  Obstruction of collecting system.  Ureteral injury .  Ureteral tumors.
  • 47.
    Ectopic ureter  Ureterdoes not insert in the normal location in the trigone of the bladder.  Incidence: M:F = 1:6.  Associations • 80% have complete ureteral duplication. • 30% have a ureterocele (“cobra head” appearanceon IVP) Insertion Sites • Males: ureter inserts ectopically into the bladder> prostatic urethra > seminal vesicles, vas deferens, ejaculatory ducts. • Females: ectopic ureter commonly empties into postsphincteric urethra, vagina, tubes, perineum
  • 48.
    Ectopic ureter Intravenous urography(IVU)  It can detect abnormal ureteral insertion and associated anomalies e.g. renal duplication.  In complete duplex kidney and ureter, the ectopic ureter usually drains the upper moiety and associated with ureterocele and obstruction. Voiding cystourethrogram  Usually the ectopic ureter is associated with vesico-ureteric reflux, which can detected and graded with VCUG. Ultrasound  Associations and complications such as duplex kidneys, hydronephrosis andureterocoele can be also be assessed.
  • 49.
    Ectopic ureter  Achild with urinary incontinence and recurrent urinary tract infection.
  • 50.
    Ectopic ureter  Anectopic ureter is identified and inserted into the posterior urethra. Associated grade III vesico-ureteric reflux is also noted.
  • 51.
    Ureterocele A ureterocele refersto a herniation of the distal ureter into the bladder. Two types: Simple (normal location of ureter), 25% • Almost always occurs in adults • Usually also symptomatic in children Ectopic (abnormal location of ureter), 75% • Almost always associated with duplication • Unilateral, 80% • May obstruct entire urinary tract, because of prolapse into the bladder neck causing bladder outlet obstruction.
  • 52.
    Ureterocele Radiographic Features • Ureterocelecauses filling defect in bladder on IVP. • Typical appearance of a cystic structure by US • Ureterocele may be distended, collapsed, or everted to represent a diverticulum. Complications: Ureteroceles may contain calculi. May be very large (bladder outlet obstruction)
  • 53.
  • 54.
    Megaureter Congenital megaureter isa 'basket-term' to encompass causes of an enlarged ureter which are intrinsic to the ureter, rather than as a result of a more distal abnormality; e.g. bladder, urethra. It encompasses:  obstructed primary megaureter  refluxing primary megaureter (although vesico-ureteric reflux (VUR) is a cause of primary congenital megaureter it is usually considered separately)  non-refluxing unobstructed primary megaureter
  • 55.
    Obstructive primary megaureter Obstructive primary megaureter is related to a distal adynamic segment with proximal dilatation, and is a common cause of obstructive uropathy in children It is analogous to oesophageal achalasia or colonic Hirschsprung disease although lack of ganglion cells within the wall of the ureter has not been proven to be the cause .  the ureter tapers to a short segment of normal caliber or narrowed distal ureter, usually just above the vesicoureteric junction (VUJ).  The distal ureter above this narrowed segment is most dilated (similar to achalasia).  There is associated hydronephrosis, and active peristaltic waves can be seen on ultrasound.
  • 56.
    Refluxing primary megaureter Refluxing primary megaureter is a result of an abnormal vesico-ureteric junction, which impedes the normal anti-reflux mechanisms. This can be due to a short vertical intramural segment, congenital paraureteric diverticulum, ureterocoele with or without associated duplicated collecting system etc..  vesicoureteric reflux is demonstrated
  • 57.
    Non-refluxing unobstructed primary megaureter This is thought to be the most common cause of primary megaureter in neonates, and even though the vesicoureteric junction is normal, with no evidence of reflux or obstruction the ureter is enlarged. The cause for this is unknown.  there is absent or only a minor degree of hydronephrosis. Although rare, congenital megaureter may co-exist with congenital megacalyces 1, making assessment of hydronephrosis more difficult.
  • 58.
    Dilation and elongation ofboth ureters, left >> right. Small left kidney with pyelonephritic scarring and sloughed necrotic papillae. Single pyelonephritic scar on the right.
  • 59.
     Primary megaureter- “A 10 month child came for the workup of recurrent UTI.  Primary megaureter is diagnosed in the absence of reflux, stricture, calculus or ureterocele.”
  • 60.
    Vesicoureteral reflux (VUR) Vesicoureteric reflux (VUR) is the term for abnormal flow of urine from the bladder into the upper urinary tract and is typically a problem encountered in young children.  The incidence of UTI is 8% in females and 2% in males  Reflux from the bladder into the upper urinary tract predisposes to pyelonephritis by allowing entry of bacteria to the usually sterile upper tract.  As such the diagnosis is first suspected after a urinary tract infection in a young child.
  • 61.
    Vesicoureteral reflux (VUR) Vesicoureteric reflux is, in the majority of cases, the result of a primary maturation abnormality of the vesicoureteral junction resulting in a short distal ureteric submucosal tunne. MCUG  The primary diagnostic procedure for evaluation of vesicoureteric reflux is a voiding cystourethrogram (VCUG).  presence and grade of VUR  whether reflux occurs during micturition or during bladder filling  presence of associated anatomical anomalies ultrasound  Routine ultrasound is usually also performed (in addition to VCUG) to assess the renal parenchyma for evidence of scarring or anatomic anomalies.
  • 62.
    Vesicoureteral reflux (VUR) •Grade I: reflux to ureter but not to kidney • Grade II: reflux into ureter, pelvis, and calyces without dilatations • Grade III: reflux to calyces with mild dilatation,blunted fornices • Grade IV: to calyces with moderate dilatation,obliteration of fornices • Grade V: gross dilatation, tortuous ureters.
  • 63.
    Vesicoureteral reflux (VUR) Voiding cystourethrogram demonstrates reflux into both kidneys, with dilatation of the ureters and renal collecting system. The calyxes are distended and blunted. The urethra appears normal.  This case illustrates typical bilateral grade V vesicoureteric reflux
  • 64.
    Vesicoureteral reflux (VUR) VCUG demonstrating bilateral Grade III vesicoureteral reflux
  • 65.
    Vesicoureteral reflux (VUR) Pre-void contrast filled bladder demonstrated bilateral vesico- ureteral reflux with mildly tortuous and moderately dilated ureters, with contrast reaching blunted dilated calyces. Findings are keeping with bilateral type 4 vesico-ureteral reflux.
  • 66.
    Obstruction of collecting system Causes •Calculi • Tumor • Previous surgery (ligation, edema, clot)
  • 67.
    Urolithiasis  refers tothe presence of calculi anywhere along the course of the urinary tracts.  The lifetime incidence of renal stones is high, seen in as many as 5% of women and 12% of males.  By far the most common stone is calcium oxalate, however the exact distribution of stones depends on the population and associated metabolic abnormalities  calcium oxalate +/- calcium phosphate: ~75%  struvite (triple phosphate): 15%  pure calcium phosphate: 5-7%  uric acid: 5-8%  cystine: 1%
  • 68.
    Plain film Calcium containingstones are radiopaque  calcium oxalate +/- calcium phosphate  struvite (triple phosphate) - usually opaque but variable  pure calcium phosphate Lucent stones include  uric acid  cystine  Indinavir stones  pure matrix stones
  • 69.
    Ct On CT almostall stones are opaque, but vary considerably in density.  calcium oxalate +/- calcium phosphate: 400-600HU  struvite (triple phosphate): usually opaque but variable  pure calcium phosphate: 400-600HU  uric acid: 100-200HU  cystine: opaque Two radiolucent stones are worth mentioning 11:  Indinavir stones - (anti-retroviral drug) radiolucent and usually undetectable on CT 5  pure matrix stones
  • 70.
    Ct  In patientswith little retroperitoneal fat, distinguishing a ureteric calculus from a phlebolith can be challenging. Two signs have been found helpful 12:  comet-tail sign - favours a phlebolith  soft-tissue rim sign - favours a ureteric calculus  comet-tail sign :The sign refers to a tail of soft tissue extending from a calcification, representing the collapsed/scarred/thrombosed parent vein. When well seen it is said to have a positive predictive value of 100% 1.  The soft-tissue rim sign is used to distinguish a ureteric calculus from a phlebolith. The former appears as a calcific density with a surrounding rim of soft tissue which represents the oedematous ureteric wall. Phleboliths on the other hand usually have imperceptible walls (although up to 8% may have a soft tissue rim sign 2) but may have a comet-tail sign.
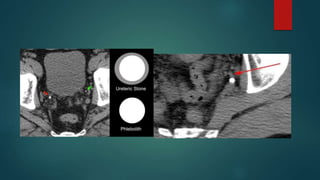
  • 72.
    Ct  Findings ofureteral obstruction include  ( 1 ) mild dilatation of the pelvicalyceal system and ureter (3 mm) proximal to the stone,  ( 2 ) slight decrease in attenuation of the affected kidney caused by edema.  ( 3 ) perinephric soft tissue stranding representing edema in the perinephric and periureteral fat.
  • 73.
     Nonenhanced CTimage shows an obstructing left proximal ureteral calculus with a slight soft-tissue rim around the stone (ie, rim sign)
  • 74.
     40 Malepatient complaining of right renal colic with hematuria
  • 75.
     An ovalshaped radiodense stone is seen at the junction between upper 2/3 and lower 1/3 of the right ureter measuring about 0.5 x 1 cm along its maximum diameters and eliciting density of about (690 HU) associated with marked dilatation of the right pelvi- calyceal system and proximal part of the right ureter.
  • 76.
    IVP (30-minute delayimage) of the right kidney shows a moderately hydronephrotic collecting system to the level of a proximal ureteral stone (arrow). Source: emedicine.
  • 77.
     13 minutesafter infusion of contrast medium there is contrast of the right pyelon and in the bladder, but yet no contrast of the left pyelon. There is also contrast outlining the left kidney, whereas it has already cleared from the right (delayed nephrogram).
  • 78.
     Two hoursafter infusion you can appreciate a distension of the left ureter and a hydronephrosis of the left pyelon.  This examination demonstrates the typical IVP features of collecting system dilatation and a delayed nephrogram secondary to a distal obstructing calculus. In this case, the calculus is well seen radiographically.
  • 79.
     30 yearold male right flank pain; ultrasound shows proximal hydroureter and mild hydronephrosis  Scout- apparently normal with no evidence of calculus
  • 80.
     10 minfilm- right sided proximal hydroureter and mild dilatation of pelvicalyceal system
  • 81.
     15 minfilm- findings are persistent and a filling defect is noted at the L3-L4 level
  • 82.
    Ultrasound  Ultrasound isfrequently the first investigation of the renal tract, and although by no means as sensitive as CT, it is often able to identify calculi. Small stones and those close to the corticomedullary junction can be difficult to reliably identify. Ultrasound compared to CT-KUB reference showed a sensitivity of only 24% in identifying calculi. Nearly three-quarters of calculi not visualised were 3mm or less in size.13. Features include 7:  echogenic foci  acoustic shadowing  twinkle artefact on color Doppler  color comet-tail artefact 9
  • 83.
     80 yearold female Non specific flank pain. Limited history due patient's confusion  Right hydronephrosis
  • 84.
     Left uretericjet present (i.e. left ureter non obstructed)  No ureteric jet on the right (suspicious, although not in itself diagnostic for ureteric obstruction)
  • 85.
     Shadowing calculusat the right VUJ  Comet tail artefact supports the presence of a calculus
  • 86.
    Ureteral tumors Types Benign tumors •Epithelial: inverted papilloma, polyp, adenoma • Mesodermal: fibroma, hemangioma, myoma, lymphangioma • Fibroepithelial polyp: mobile long intraluminal mass, ureteral intussusception Malignant tumors • Epithelial: transitional cell carcinoma, SCC, adenocarcinoma • Mesodermal: sarcoma, angiosarcoma, carcinosarcoma
  • 87.
    Ureteral tumors  Dueto the small caliber of the ureter, tumours are more likely to obstruct the kidney at small tumour size.  Obstruction may lead to hyrdonephrosis with or without hydroureter and may also result in a non-functioning kidney or delayed nephrogram. • Bergman's coiled catheter sign: on retrograde pyelogram the catheter is typically coiled in dilated portion of ureter just distal to the lesion
  • 88.
    Ureteral tumors  Smalleror polypoid tumours may be seen as filling defects, and if they cause partial long-standing obstruction may result in focal dilatation of the ureter at the site of the tumour. This may lead to the so-called goblet sign, best seen on retrograde ureterography 2.  Occasionally circumferential thickening of the ureteric wall results from diffuse infiltration an may have an apple core appearance 4. 
  • 89.
    Ureteral tumors Prognosis • 50%of patients will develop bladder cancer. • 75% of tumors are unilateral. • 5% of patients with bladder cancer will develop ureteral cancer. Sites of metastatic spread of primary ureteral neoplasm: • Retroperitoneal lymph nodes, 75% • Liver, 60% • Lung, 60% • Bone, 40% • Gastrointestinal tract, 20% • Peritoneum, 20% • Other (<15%): adrenal glands, ovary, uterus
  • 90.
    Ureteral tumors  CTdemonstrates a very large right sided ureteric mass with trapped contrast, which almost mimics a vascular aneurysm, and proximal long standing hydronephrosis.
  • 91.
    Ureteric injury  Uretericinjury is a relatively uncommon but serious event, which may result in serious complications as diagnosis is often delayed.  Ureteric injuries unreliably demonstrate macro- or micro-scopic haematuria as it may be absent in up to 25% of patients. There is a wide-range of injury:  injury to the mucosa of the ureter post lithotripsy  perforation and false passage  partial or complete ureteric transection  complete ureteric avulsion  loss of ureteric segment  ligation  dissection
  • 92.
    Ureteric injury  Iatrogenic(mostcommonly injured after gynaecological procedures)  Traumatic Classification Ureteric injury can be classified into three types according to its site:  upper-third  upper-third and pelvico-ureteric junction (PUJ) most affected by blunt trauma 5, 7  mid-third  distal-third  most common site  often following iatrogenic injury
  • 93.
    Ureteric injury Fluoroscopy  Excretoryintravenous urography if CT is not available: demonstrates contrast leakage and spillage outside the course of the urinary system.  Retrograde pyelography may be performed if both excretory intravenous urographyand CT with intravenous contrast are inconclusive and there is still a high suspicion of injury 1.
  • 94.
    Ureteric injury CT  CTwith intravenous contrast and delayed scan with full reformatted sagittal and coronal images and 3D reconstruction. The delayed scan should be performed between 5-8 minutes after IV contrast to ensure a CT-IVU (a.k.a. excretory phase) set of images is acquired.  intra-abdominal fluid collections without other cause shown  contrast extravasation from renal hilum/PUJ (usually medially) without associated renal injury
  • 95.
    Ureteric injury  Postemergency caesarean section intraperitoneal tube drainage high output.  Contrast leakage and spillage is seen in the left side of pelvis in the region of lower third left ureter denoting a left ureteric injury
  • 96.
    Bladder  Bladder exstrophy. Bladder diverticulum.  Bacterial cystitis.  Emphysematous cystitis.  Neurogenic bladder.  Bladder calculi.  Malignant bladder neoplasm.  Bladder injuries.
  • 97.
    Bladder exstrophy  Bladderexstrophy (also known as ectopia vesicae) refers to a herniation of the urinary bladder through an anterior abdominal wall defect. The severity of these defects is widely variable.  The estimated incidence of bladder exstrophy is 1:10,000-50,000 live births .  It is thought to be caused by a developmental defect of the cloacal membrane which results in a subsequent eversion of the bladder mucosa. This then protrudes out like the mass like lesion. General associations  extension of the bladder defect into the urethra  cryptorchidism  bilateral inguinal herniation  OEIS complex  epispadia  vaginal duplication  clitoral cleft
  • 98.
    Bladder exstrophy  Imagingfindings include a soft-tissue mass extending from a large infra-umbilical anterior wall defect which may be close to the umbilical arterial exits.  The absence of a normal urinary bladder and a low-lying umbilical cord insertion may also indicate the diagnosis.  Failure of the pubic bones to meet in the midline (widened pubic symphysis). This appearance on AP plain radiograph of the pelvis has been likened to a manta ray swimming towards you (manta ray sign).
  • 99.
    Bladder exstrophy  Markedwidening of the pubic symphysis (manta ray appearance) consistent with bladder exstrophy for which the patient had a known history.  In terms of a cause for hip pain, there is no fracture identified but there is mild left hip degenerative disease, and mild bilateral greater tuberosity irregularity suggesting chronic gluteal tendinosis.
  • 100.
  • 101.
    Bladder diverticulum  Bladderdiverticulum are outpouchings from the bladder wall, whereby mucosa herniates through the bladder wall.  They may be solitary or multiple in nature and can very considerably in size.  Diverticulae may be congenital or acquired. A range of causes of urinary bladder diverticula are described.  Acquired diverticula are more common, usually occurring the context of a trabeculated bladder, resulting from chronic bladder outlet obstruction.
  • 102.
    Bladder diverticulum  Diverticulaare often an incidental finding on imaging investigations, including ultrasound, CT, MRI and IVU. They may be associated with a range of complications including:  infection  reflux  stone formation  malignancy
  • 103.
    Bladder diverticulum  IVUimages shows a diverticulum at the right lateral wall.  Note the elevated base of the bladder due to the enlarged prostate.
  • 104.
    Bladder diverticulum  Congenitaldiverticulae are solitary and are most often discovered during childhood.  Acquired bladder diverticulae are the result obstruction of the bladder outlet or bladder dysfunction. They are often multiple and typically seen in older men.
  • 105.
    Bacterial cystitis Acute Cystitis Pathogens:E. coli > Staphylococcus > Streptococcus > Pseudomonas Predisposing Factors • Instrumentation, trauma • Bladder outlet obstruction, neurogenic bladder • Calculus • Cystitis • Tumor Imaging Features • Mucosal thickening (cobblestone appearance) • Reduced bladder capacity • Stranding of perivesical fat
  • 106.
    Emphysematous cystitis  Emphysematouscystitis refers to gas forming infection of the bladder wall. Risk factors include:  female sex: reported M:F ratio 1:2  immunocompromised state  diabetes mellitus: may be present in ~50% of cases 2  neurogenic bladder  transplant recipients  The most common causative organism is E. coli, with other organisms including Enterobacter aerogenes, Klebsiella pneumonia, Proteus mirabilis, Staphylococcus aureus,
  • 107.
    Emphysematous cystitis CT  CTis a highly sensitive examination that allows early detection of intraluminal or intramural gas.  CT is also useful in evaluating other causes of intraluminal gas such as enteric fistula formation from adjacent bowel carcinoma or inflammatory disease. Ultrasound  Can demonstrate echogenic air within the bladder wall with dirty shadowing artefact.  Ultrasound will also commonly demonstrate diffuse bladder wall thickening and increased echogenicity.
  • 108.
  • 109.
    Neurogenic bladder  Termapplied to a dysfunctional urinary bladder that results from an injury to the central or peripheral nerves that control and regulate urination.  Injury to the brain, brainstem, spinal cord or peripheral nerves from various causes including infection, trauma, malignancy or vascular insult can result in a dysfunctional bladder 3.
  • 110.
    Neurogenic bladder  Ina large cohort study, the mean age of neurogenic bladder patients was 62.5 years and resultant etiologies included 4:  multiple sclerosis: ~17%  Parkinson disease: ~15%  cauda equina syndrome: ~9%  paralytic syndrome: ~8%  stroke complications: ~6%
  • 111.
    Neurogenic bladder  Anumber of classification schemes exist for neurogenic bladders, including the Lapides classification which remains popular.  sensory neurogenic bladder: posterior columns of the spinal cord or afferent tracts leading from the bladder  motor paralytic bladder: damage to motor neurons of the bladder  uninhibited neurogenic bladder: incomplete spinal cord lesions above S2 or cerebral cortex or cerebropontine axis lesions  reflex neurogenic bladder: complete spinal cord lesions above S2 - may lead to pine cone bladder  autonomous neurogenic bladder: conus or cauda equina lesions
  • 112.
    Neurogenic bladder uoroscopic/IVP Sensory neurogenicbladder Inability to sense bladder fullness results in a large rounded and smooth bladder. Voiding is often preserved. Motor paralytic bladder Atonic large bladder with inability of detrusor contraction during voiding. Unhibited neurogenic bladder Rounded bladder with a trabeculated apperance to the mucosa above the trigone from detrusor contractions. On voiding large interureteric ridge is noted Reflex neurogenic bladder Results from detrusor hyperreflexia with a dyssynergic sphincter. This leads to contrast extension to the posterior urethra and an elongated pointed urthera with pseudodverticula. Autonomous neurogenic bladder Intermediate between detrusor hyperreflexia (contracted) and dysreflexia (atonic).
  • 113.
    Neurogenic bladder Ultrasound  Detailedimages of the bladder often demonstrate a thick wall with a small contracted or large atonic bladder.  A large post void residual is often noted.
  • 114.
    Neurogenic bladder  VCURexamination demonstrate elongated distended urinary bladder with multiple urinary bladder diverticulae characteristic of neurogenic bladder.  Grade III VUR on the left side is also demonstrated.
  • 115.
    Neurogenic bladder  Neurogenicbladder, typically occurs in those with sacral abnormalities at birth.  The appearances has been described as a Christmas tree of pine cone bladder.  The shape of the bladder is highly abnormality with an elongated appearance, with the dome like the top of a Christmas tree.  The associated bladder wall hypertrophy gives an outline, which mimics the decorations that adorn a Christmas tree.
  • 116.
    Neurogenic bladder  Apine cone bladder or christmas tree bladder is a cystogram appearance in which the bladder is elongated and pointed with thickened trabeculated wall.  It is typically seen in severe neurogenic bladder with increased sphincter tone (detrusor sphincter dyssynergia) due to suprasacral lesions (above S2-S4) or epiconal lesions (in and around S2-S4).  It is however not pathognomonic of a neurogenic bladder and can be seen in patients with lesions anywhere along the sacral reflex arc leading to poor detrusor compliance. Occasionally it is also seen in bladder neck obstruction of a non-neurogenic cause.
  • 117.
    Bladder calculi  Bladdercalculi occur either from migrated renal calculi or urinary stasis. Bladder calculi can be divided into primary and secondary stones:  primary: stones form de novo in the bladder  secondary: stones are either from renal calculi which have migrated down into the bladder, or from concretions on foreign material (e.g. urinary catheters)
  • 118.
    Bladder calculi associated with:-  bladder outlet obstruction  cystocoele  neurogenic bladder  foreign body. Radiographic features  Plain Film  Usually densely radio-opaque, calculi may be single or multiple and often large. Frequently lamination is observed internally, like the skin of an onion.  Ultrasound  Sonographically they are mobile, echogenic, and shadow distally.  They may be associated with bladder wall thickening due to inflammation.
  • 119.
  • 120.
    Malignant bladder neoplasm ClinicalFinding • Painless hematuria. Types and Underlying Causes Transitional cell carcinoma, 90% • Aniline dyes • Phenacetin • Pelvic radiation • Tobacco • Interstitial nephritis SCC, 5% • Calculi • Chronic infection, leukoplakia • Schistosomiasis Adenocarcinoma, 2% • Bladder exstrophy • Urachal remnant • Cystitis glandularis. 10% pass mucus
  • 121.
    Malignant bladder neoplasm Ct:  bladder transitional cell carcinomas appear as either focal regions of thickening of the bladder wall, or as masses protruding into the bladder lumen, or in advanced cases, extending into adjacent tissues.  The masses are of soft tissue attenuation and may be encrusted with small calcifications. MRI  MRI is superior to other modalities in locally staging the tumour and is in some instances able to distinguish T1 from T2 tumours on T2 weighted image.  T1: isointense compared to muscle 4  T2: slightly hyperintense compared to muscle  T1 C+ (Gd): shows enhancement
  • 122.
     Polypoidal, enhancingfilling defect arising from the left bladder wall is typical of transitional cell cancer. No obstruction to the left ureteric orifice nor invasion through the bladder wall.
  • 123.
    Malignant bladder neoplasm Mural broad-based lesion lining the left aspect of Bladder. The lesion shows internal flow on Doppler.
  • 124.
    Malignant bladder neoplasm Polypoidal irregular mural thickening of the left lateral and posterior wall of the urinary bladder which coalesce to form large fungating mass arising from left lateral wall are seen and extends through the wall to invade the perivesical fat
  • 125.
    Bladder injuries Extraperitoneal bladderrupture  Extraperitoneal rupture is the most common type of bladder injury, accounting for ~85% (range 80-90%) of cases.  It is usually the result of pelvic fractures or penetrating trauma.  Cystography reveals a variable path of extravasated contrast material. Intraperitoneal bladder rupture  Occurs in approximately ~15% (range 10-20%) of major bladder injuries, and typically is the result of a direct blow to the already distended bladder.  Cystography demonstrates intraperitoneal contrast material around bowel loops, between mesenteric folds and in the paracolic gutters.
  • 126.
    Bladder injuries Classification ofBladder Injury • Type 1: Bladder contusion • Type 2: Intraperitoneal rupture • Type 3: Interstitial bladder injury • Type 4: Extraperitoneal rupture • Type 4a: Simple extraperitoneal rupture • Type 4b: Complex extraperitoneal rupture • Type 5: Combined bladder injury
  • 127.
    Bladder injuries CT  Bladderrupture is one form of genitourinary tract trauma, along with renal trauma and urethral injuries.  Contrast enhanced CT is the imaging technique of choice for bladder injuries in the form of CT cystography.  This may be combined with standard CT to evauluate the upper tracts.  Standard cystography has a more limited role
  • 128.
    Bladder injuries Bladder catheterballoon in the intraperitoneal space
  • 129.
    Bladder injuries Postvoid filmshows a flame- shaped density adjacent to lateral walls of bladder representing extra-peritoneal contrast from a bladder rupture.
  • 130.
    The Urethra  Posteriorurethral valves (PUVs).  Urethral injuries.  Urethral strictures.
  • 131.
    Posterior urethral valves(PUVs)  Posterior urethral valves (PUV's) are the most common congenital obstructive lesion of the urethra and a common cause of obstructive uropathy in infancy.  Posterior urethral valves are congenital and only seen in male infants 2. The estimated incidence is at ~1 in 10,000-25,000 live births with a higher rate of incidence in utero.  Clinical presentation depends on the severity of obstruction. In severe obstruction the diagnosis is usually made antenatally.  The fetus will be small for gestational age and ultrasound examination will demonstrate oligohydramnios
  • 132.
    Posterior urethral valves(PUVs) Associations  Posterior urethral valves are also seen in association with other congenital abnormalities including :  chromosomal abnormalities, e.g. Down syndrome 5  bowel atresia  craniospinal defects
  • 133.
    Posterior urethral valves(PUVs) Ultrasound Antenatal ultrasound:  On antenatal ultrasound the appearance is that of marked distention and hypertrophy of the bladder, with or without hydronephrosis and hydroureter, and depending on the severity, oligohydramnios and renal dysplasia. Postnatal ultrasound  The bladder is typically thick-walled and trabeculated with an elongated and dilated posterior urethra (keyhole sign).  The kidneys in most cases are hydronephrotic, although it is important to note that in up to 10% of cases they appear normal 5. They may also be hyperechoic with loss of the normal corticomedullary differentiation, a manifestation of renal dysplasia 5.
  • 134.
    Posterior urethral valves(PUVs) Voiding cystourethrogram  Voiding cystourethrogram (VCUG) is the best imaging technique for the diagnosis of posterior urethral valves.  The diagnosis is best made during the micturition phase in a lateral or oblique views, such that the posterior urethra can be imaged adequately . Findings include :  dilatation and elongation of the posterior urethra (equivalent of the ultrasonographic keyhole sign)  linear radiolucent band corresponding to the valve (only occasionally seen)  vesicoureteral reflux (VUR): seen in 50% of patients .  bladder trabeculation/diverticula
  • 135.
    Posterior urethral valves(PUVs)  Keyhole sign Rotated image of an antenatal ultrasound of the foetal pelvis demonstrating the keyhole sign, created by the distend bladder and posterior urethra.  The keyhole sign is an ultrasonograhic sign seen in boys with posterior urethral valves. It refers to the appearance of posterior urethra which is dilated, and associated thick walled distended bladder which on ultrasound may resemble a key hole.
  • 136.
    Posterior urethral valves(PUVs)  Micturating cystourethrogram reveals marked dilatation of the prostatic portion of the urethra consistent with posterior urethral valves.
  • 137.
    Posterior urethral valves(PUVs) Ultrasound reveals marked bilateral hydronephrosis and hydroureter. There is dependent echogenic debris seen throughout the renal collecting system consistent with infection
  • 138.
    Urethral injuries  Urethralinjuries can result in long-term morbidity and most commonly result from trauma.  The male urethra is much more commonly injured than the female urethra..  Clinically :blood of the external urethral meatus or vaginal introitus may be seen but is an unreliable sign.  Male urethral injuries are divided into anterior (penile/bulbar) and posterior (membranous/prostatic) urethral injuries.
  • 139.
    Urethral injuries Classification:  blunttrauma: due to shearing or straddle injuries associated with pelvic fractures (occurs in ~10%) often associated with bladder injury.  penetrating trauma: e.g. stab wounds, gunshot wounds, dog bites (more commonly affect the anterior urethra)  iatrogenic, for example urethral instrumentation, e.g. catheterisation, Foley catheter removal without balloon deflation, cystoscopy,post-surgical (e.g. surgery for benign prostatic hyperplasia)
  • 140.
    Urethral injuries Fluoroscopy  Retrogradeurethrography is the modality of choice.  It will demonstrate extraluminal contrast, which has extravasated from the urethra. CT  CT cystography can be performed but this is much less specific for urethral vs. bladder injury.  Other features of urethral injury include retropubic and perivesical haematoma and obscuration of the urogenital fat plane.
  • 141.
    Urethral injuries  Retrogradeurethrogram in a patient with pelvic fractures demonstrates contained contrast leakage at the posterior urethra (membranous portion).  Contrast does ascend into the bladder and therefore the urethral injury is incomplete.
  • 142.
    Urethral injuries  thereis a small amount of extravasated contrast (from prior urethrogram) within the retro-pubic space (cave of Retzius), inferior extraperitoneal pelvic cavity and tracking into the perineum/perineal muscles and adductor musculature of the left thigh
  • 143.
    Urethral stricture  Clinicalpresentation poor urine stream Aetiology  Infection(gonococcal urethritis (more common)),  trauma  straddle injury (most common)  pelvic fractures  iatrogenic  instrumentation  prolonged catheterisation  transurethral resection of the prostate  open radical prostatectomy  urethra reconstruction (hypospadia/epispadia)  congenital  uncommon
  • 144.
    Urethral stricture  Pasthistory of chlamyida infection.  20mm stricture in the bulbous urethra. 
  • 145.
    Urethral stricture  Shortsegment (5mm) stricture at the junction of the penile and bulbous urethra.  Filling defect related to lubricant jelly used.
  • 146.