Hypertensive Retinopathy
Sumit Singh Maharjan
INTRODUCTION
The overall prevalence of hypertension was 20.5 % and pre-
hypertension was 46.6%.
Prevalence and Associated Factors of Hypertension among Adults in Rural Nepal: A Community Based Study.
Chataut j et al,
Kathmandu univ med J, 2015
Prevalence of Hypertensive retinopathy
• The incidence of hypertensive retinal changes is variable and often
masked by the presence of other retinal vascular disease such as
diabetes.
• In the Beaver Dam Eye Study, which evaluated hypertensive patients
without coexisting vascular diseases, the incidence of hypertensive
retinopathy was about 15%; specifically, 8% showed retinopathy, 13%
showed arteriolar narrowing, and 2% showed arteriovenous nicking.
Ocular manifestations
Eye is the only place in the body where the vessels can be directly
observed
• First described in 1859 as ‘albuminuric retinitis’ by Liebreich
• Angiospastic retinopathy, Hypertensive neuroretinopathy and
Hypertensive retinopathy
ETIOLOGY
• Race:
Blacks > Whites
Afro-Caribbeans > Europeans
but prevalence of retinopathy
Afro-Caribbeans < Europeans
ETIOLOGY
• Sex:
Women > Men
• Smoking
Positive association
ETIOLOGY
• Genetic factors
The D (deletion) allele of the angio-tensin converting enzyme (ACE)
gene is an independent risk factor for the development of end-organ
damage
2.4 fold higher chance of retinopathy
ETIOLOGY
• Renal status:
persistent microalbuminuria - early end-organ damage including
retinopathy
• Cardiac status:
more common in concentric hypertrophy
ETIOLOGY
• Secondary hypertension:
Renal hypertension secondary to focal segmental sclerosis and
membranoproliferative glomerulonephritis - severe retinopathy
Pheochromocytoma - grade III or IV retinopathy
PATHOGENESIS
Phases:
Vasoconstrictive
Exudative
Sclerotic and its complications
VASO-CONSTRICTIVE PHASE
• Reversible stimulation of the vascular tone of muscular retinal
arteries as an autoregulatory mechanism
• Prolonged blood pressure elevation, definitive narrowing
(angiotensin II, vasopressin) of the vascular lumen at the
precapillary level occurs
VASO-CONSTRICTIVE PHASE
• Cotton wool spots (feature of inner retinal ischemia)
• Interruption of axonal orthograde and retrograde energy dependent
organelle transport in the ganglion cell axons, swollen interrupted
nerve
EXUDATIVE PHASE
Vascular endothelial necrosis or disruption (Disruption of the
blood–retinal barrier )
Transudation of plasma into the vessel wall, around pericytes and
arteriolar muscle cells
Retinal HGE of various shapes and locations
Edema and exudates (the macular region)
SCLEROTIC PHASE
• Fibrinoid necrosis or hyaline degeneration
• Hyperplasia of the vascular tunica media
• Arteriosclerosis
• Narrowing of arteries
• A-V crossing abnormalities
CLINICAL FEATURES
• Chronic hypertensive retinopathy
• Hypertensive choroidopathy
• Hypertensive optic neuropathy
RETINOPATHY
• Hypertensive retinopathy consists of spectrum of retinal vascular
changes that are pathologically related to microvascular damage
from elevated blood pressure
RETINOPATHY
KEY FEATURES
• Narrowing and irregularities of retinal arteries
• AV nicking
• Blot retinal hemorrhage
• Cotton wool spots
ARTERIOLAR NARROWING
Ischaemia
VASCULAR LEAKAGE
Loss of endothelial cells or necrosis of muscle wall
ARTERIOLOSCLEROSIS
(hardening of the arteries)
• Collagen deposition within the wall
(like onion skin)
• Hypertrophy and hyperplasia of
arteriolar smooth muscle
• Loss of vessel wall elasticity
ARTERIOLOSCLEROSIS
Salus sign
ARTERIOLOSCLEROSIS
Gunn’s sign
ARTERIOLOSCLEROSIS
Bonnet’s sign
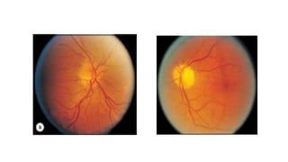
CLASSIFICATION
GRADE I
GRADE II
GRADE III
GRADE IV
ASSOCIATIONS
CRVO BRVO
ASSOCIATIONS
CRAO BRAO
DIFFERENTIAL DIAGNOSIS
Htn Retinopathy Diabetic Retinopathy
DIFFERENTIAL DIAGNOSIS
Hypertensive Retinopathy Retinal Venous Obstruction
DIFFERENTIAL DIAGNOSIS
Hypertensive retinopathy High altitudnal retinopathy
DIFFERENTIAL DIAGNOSIS
Hypertensive Retinopathy Radiation retinopathy
HYPERTENSIVE CHOROIDOPATHY
INTRODUCTION
• Seen in Malignant hypertension in which the blood pressure is
200/140 mm Hg associated with ocular, cardiac, renal and cerebral
involvement
• Visual disturbances : scotoma, diplopia, dimunition of vision,
photopsia and headache
INTRODUCTION
• Seen typically in young patients with pliable vessels that are not yet
sclerotic from long-term hypertension
• Toxemia of pregnancy, renal disease, pheochromocytoma, essential
hypertension, and connective tissue diseases
PATHOGENESIS
• Greater effect on the choroidal circulation than on retinal circulation
• The retinal vessels - autoregulatory mechanisms transiently maintain
the vascular tone in response to sudden rise in BP
PATHOGENESIS
• The sympathetic nervous system - choroidal vasculature - constrict
in response to rise in BP
• Due to shorter distance and fewer branchings of the choroidal
arteries, systemic hypertension is transmitted more effectively
HYPERTENSIVE CHOROIDOPATHY
• Characterised by:
Elsching spots
Siegrist streaks
Exudative retinal detachment
ELSCHING SPOT
PATHOGENESIS
• Choroid arteries and arterioles undergo fibrinoid necrosis due to vessel-wall
damage from severe spastic narrowing
• This results in patchy nonperfused areas of the choriocapillaris
• The overlying RPE appears yellow (focal ischemic infarcts) in the acute phase and
with time becomes irregularly pigmented with depigmented halos
ELSCHING’S SPOT
SIEGRIST STREAK
SIEGRIST STREAK
HYPERTENSIVE OPTIC NEUROPATHY
HYPERTENSIVE OPTIC NEUROPATHY
HYPERTENSIVE OPTIC NEUROPATHY
• Some propose that it occurs secondary to encephalopathy
• Others believe that it occurs in the absence of the raised ICP and is
secondary to the ischemic changes of the optic disc
HYPERTENSIVE OPTIC NEUROPATHY
• Optic nerve head is susceptible to ischemia by virtue of its tightly
arranged nerve fibers within a nonexpandable intrascleral canal
• Vasoconstriction of the posterior ciliary arteries: results from the
release of angiotensin II and other vasoconstricting agents
PATHOGENESIS
Ischaemia of optic nerve head
delay in the axoplasmic transport and a subsequent accumulation
of axonal components in the lamina scleralis region
plasma leakage and disruption of nerve fibers leading to
subsequent gliosis
COURSE
• It rarely results in significant loss of vision
• Ongoing end-organ damage is more important than actual blood
pressure
TREATMENT
• Treatment of the underlying systemic condition can halt the
progression but arteriolar narrowing and AV nicking usually are
permanent
• Hypertensive emergencies: sodium nitroprusside, nitroglycerin,
calcium channel blockers, beta blockers, and angiotensin-converting
enzyme inhibitors
• Blood pressure should be lowered in a controlled fashion
OUTCOME
• Malignant hypertension if untreated,
Mortality rate is 50% at 2 months
90% at 1 year
n engl j med 351;22
www.nejm.org november 25, 2004
SUMMARY
• Retina is the only place where hypertensive vascular changes can be
directly observed
• Pathogenesis: Vasoconstriction, exudation, arteriolosclerosis
• Manifestations: Retinopathy, choroidopathy, neuropathy
• Hallmark: AV changes and cotton wool spots
• Classification:
• Strict control of Blood pressure and periodic screening
References
• Retina Ryan 5th edition
• American Academy of Ophthalmology. 2013-14; Section 12- Vitreous and Retina
• Kanski JJ. Clinical Ophthalmology-A Systemic Approach.
• Yanoff M, Duker JD. Ophthalmology. 4th edition
• 6th ed. ELSEVIER; 2008
THANK YOU

Hypertensive retinopathy

Editor's Notes

  • #5 Brain, heart, kidney
  • #14 DD of cotton wool spots: acquired immunodeficiency syndrome, collagen diseases, blood dyscrasias and malignancy, central retinal vein occlusion, diabetic retinopathy
  • #20 Early phase before the onset of sclerosis (cotton wool spots)
  • #21 (flame shaped hge and hard exudates in henle layer around fovea leading to macular star)
  • #23 arteriolovenous ‘nicking. Sclerosis may shorten or elongate retinal arterioles, with the branches coming off at right angles. This change in length deflects the veins at the common sheath and changes the course of the vein (Salus sign)
  • #24 In arteriovenous nicking (the Gunn sign), impeded circulation results in a dilated or swollen vein peripheral to the crossing, causing hourglass constrictions on both sides of the crossing and aneurysmal-like swellings. Ikui noted that arteriole and venous basement membranes are adherent with shared collagen fibers at the crossing points. Thickening of the basement membrane and the media of the arteriole in hypertension impinge on the vein and cause the crossing phenomenon
  • #25 Banking of veins distal to AV crossing
  • #33 Thrombosis or accumulation of fibrin or other plasma products beneath the endothelium in the vessel wall RVO- >50yrs- 64% have htn <50yrs- 25% have htn
  • #34 Thrombosis or accumulation of fibrin or other plasma products beneath the endothelium in the vessel wall
  • #36 Exudates form a ring or circinate pattern in diabetes
  • #37 Av crossing changes are not present
  • #38 Vessels are dilated and torturous in altitudnal
  • #39 h/o radiation exposure and the exudates are discretely present
  • #44 (innervation and the anatomy of the choroidal vessels may explain the underlying pathophysiologic process )
  • #47 Black spots surrounded by yellow halos Due to clumping and atrophy of infarcted pigment epithelium. Typically in the midperiphery and in the vicinity of the optic disc FFA, choroidal vasculopathy is demonstrated by irregular filling patterns, delays in filling time, and areas of diffuse leakage (new) or window defects (old), depending on the stage of the Elschnig’s spot formation
  • #48 Fibrinoid necrosis-(replacement of smooth muscle fibers by fibrin-platelet and other plasma protein materials)
  • #49 Are areas of hyperpigmentation (RPE hyperplasia and hypertrophy) overlying sclerotic choroidal arteries
  • #50  Flakes arranged linearly around the choroidal vessels and are indicative of fibrinoid necrosis Poor visual prognosis
  • #52  Optic nerve head swelling in hypertension
  • #54 Optic nerve head is supplied by multiple blood vessels, including the central retinal artery, short posterior ciliary arteries (through the circle of Zinn), and pial vessels
  • #55 (Figs 320.25 and 320.26
  • #56 Blurring of disc margin Disc pallor
  • #62 Jackobieks-4 -----224 3---843