HYPERTENSIVE RETINOPATHY
INTRODUCTION
Systolic BP> 140 mm Hg, diastolic BP>90mm Hg.
• Hypertensive Retinopathy refers to fundus
changes in patients suffering from systemic
hypertension
• Ocular fundus is of paramount importance in
evaluation of systemic vascular disease
• It is the only region of the body in which
physician can directly visualize manifestation of
vascular pathophysiology
EPIDEMIOLOGY
• Hypertension affects around 26% of adult
population worldwide
• Prevalence of hypertensive retinopathy is
approx 30% among the hypertensives
• Afro-carribeans have a double relative risk
compared to other population
• Major risk factors include Age, Family history,
Obesity, Smoking, Stress, Alcohol , lifestyle
PATHOGENESIS
3 major factors have role:
I .VASOCONSTRICTION:
Primary response to raised blood pressure is
Arterial narrowing, leading to following changes:
(a)Vasoconstriction of retinal arterioles
(b)Vasoconstriction of choroidal vessels: Leads to choroidal
and RPE ischaemia, manifests as Hypertensive
Choroidopathy
(c)Vasoconstriction of Peripapillary choroid: leads to Optic
nerve head ischaemia, manifests as Hypertensive Optic
Neuropathy
2. ARTERIOSCLEROTIC CHANGES:
due to thickening of vessel wall,
(a)Changes in arteriolar reflex
(b)AV nipping
Reflect the duration of Hypertension
3. INCREASED VASCULAR PERMEABILITY:
- Results from hypoxia
- Leads to Haemorrhages, exudates, macular
edema, focal retinal edema, disc edema
CLINICAL TYPES
Hypertensive
retinopathy
Chronic
Hypertensive
retinopathy
Acute or
Malignant
Hypertensive
retinopathy
CLINICAL FEATURES
• Mostly asymptomatic
• Some complain of headache and blurring of
vision (Bilateral)
Chronic Hypertensive Retinopathy
FUNDUS CHANGES:
I .ARTERIOLAR NARROWING:
• Generalized narrowing is difficult to see but
focal narrowing is well appreciated
• Focal narrowing occurs from spasm of local
areas of the vascular musculature
ARTERIOVENOUS NICKING
• Arteries and veins share a common adventitious sheath
• At AV crossing. arteries compress the veins
ARTERIOLAR REFLEX CHANGES
• Bright and thin, linear blood reflex:
-seen over the surface of arteriole in young.
-due to blood column in arteriole (vessel wall
is almost transparent)
• More diffuse and less bright reflex: - due to
thickening of vessel wall
FLAME SHAPED HEMORRHAGES -lll
• Superficial
• occur at posterior pole
• Disruption of capillaries in retinal nerve fibre
layer
HARD EXUDATES
• Lipid deposits in outer plexiform layer of
retina
• Usually follows leaky capillaries in severe
disease
• Appear as 'yellow waxy spots' with sharp
margin
• Generally seen in posterior pole
COTTON WOOL SPOTS
• Also called 'Soft Exudates'
• White plaques with a hazy, irregular outline.
• They are usually ovoid in shape, variable in
size and number
• Occur in nerve fibre layer of retina result of
capillary infarction
OPTIC DISC SWELLING/
PAPILLOEDEMA
• Optic disc edema is a primary manifestation of
hypertensive optic neuropath
• Vasoconstriction and choroidal ischemia in the
setting of malignant hypertension result in
optic disc edema and axoplasmic flow stasis
KEITH WAGENER AND BARKER
CLASSIFICATION OF HYPERTENSIVE
RETINOPATHY
Grade 1
Generalized narrowing(white arrow) with moderate
opacification of arterioles (black arrow).
Grade ll
• Marked generalised narrowing and focal
attenuation of artertioles
• 'Salus' Sign (deflection of veins at AV
crossings)
Grade lll
• Retinal arteriolar narrowing + focal constriction
• Prominent AV crossing changes
• Bonnet Sign (banking of veins distal to AV c)
• Gunn Sign (tapering of vein on either side of AV
crossings)
• Flame shaped haemorrhages
• Cotton wool spots
• Hard exudates
Grade IV
• Grade III changes
• Papilloedema
OTHER CLASSIFICATION
Scheie classification
• Stage 0: No visible retinal abnormalities
• Stage 1: Diffuse arteriolar narrowing; no focal
constriction
• Stage 2: More pronounced arteriolar narrowing
with focal constriction
• Stage 3: Focal and diffuse narrowing, with retinal
haemorrhages S
• Stage 4: Retinal oedema, hard exudates, optic
disc edema
Wong and Mcintosh classification
• Mild retinopathy: one or more of the following signs:
generalised arteriolar narrowing, focal arteriolar
narrowing, AV nicking, arteriolar wall reflex
broadening.
• Moderated retinopathy: consists of mild retinopathy
with one or more of the following signs: Retinal
haemorrhages (blot and dot or flame shaped),
microaneurysms, cotton-wool spots, and hard exudates
• Accelerated retinopathy: consists of moderate
retinopathy signs plus optic disc swelling
-may be associated with visual loss
MALIGNANT HYPERTENSIVE
RETINOPATHY
• Cause: Rapid progression to a serious degree
in young patient with relatively young
arterioles undefended by fibrosis
• Changes include:
1 . Hypertensive Retinopathy
2.Hypertensive Choroidopathy
3 . Hypertensive Optic Neuropathy
ACUTE HYPERTENSIVE
CHOROIDOPATHY
• Elschnig's spots:
Black spots
surrounded by
yellow halos
• Due to clumping
and atrophy of
infarcted pigment
epithelium
• Acute focal retinal pigment epitheliopathy
characterized by focal white spots
• Serous neurosensory retinal detachment
MANAGEMENT
• MILD: BP control only
• MODERATE: BP control +assessment of risk factors
( eg. cholesterol)
BP monitoring every 3-6 months
If indicated, risk reduction therapy ( cholesterol
reducing agents)
• ACCELERATED: small step wise control of BP, avoid
sudden reduction ( risk of Optic nerve head
hypoperfusion, Stroke)
PREGNANCY INDUCED HTN
• Previously called 'Toxemia of Pregnancy’
• Raised BP , proteinuria , generalised edema
• Retinal changes liable to occur when
BP >160/ 100 mm Hg,
marked when BP> 200/130 mm Hg
• Earliest changes: narrowing of nasal arterioles
-generalised narrowing
• Persistent spasm of vessels - cotton wool
spots, hemorrhages
• Retinal edema and exudation
MANAGEMENT
• Changes are reversible , disappear after delivery
(unless organic cause established)
• Pre- Organic Stage: patient responds well to
conservative treatment, pregnancy continued
under close observation
• Hypoxic Retinopathy: cotton wool spots,
haemorrhages, retinal edema
terminate pregnancy ??
THANK YOU

Hypertensive Reinopathy

  • 1.
  • 2.
    INTRODUCTION Systolic BP> 140mm Hg, diastolic BP>90mm Hg. • Hypertensive Retinopathy refers to fundus changes in patients suffering from systemic hypertension • Ocular fundus is of paramount importance in evaluation of systemic vascular disease • It is the only region of the body in which physician can directly visualize manifestation of vascular pathophysiology
  • 4.
    EPIDEMIOLOGY • Hypertension affectsaround 26% of adult population worldwide • Prevalence of hypertensive retinopathy is approx 30% among the hypertensives • Afro-carribeans have a double relative risk compared to other population • Major risk factors include Age, Family history, Obesity, Smoking, Stress, Alcohol , lifestyle
  • 5.
    PATHOGENESIS 3 major factorshave role: I .VASOCONSTRICTION: Primary response to raised blood pressure is Arterial narrowing, leading to following changes: (a)Vasoconstriction of retinal arterioles (b)Vasoconstriction of choroidal vessels: Leads to choroidal and RPE ischaemia, manifests as Hypertensive Choroidopathy (c)Vasoconstriction of Peripapillary choroid: leads to Optic nerve head ischaemia, manifests as Hypertensive Optic Neuropathy
  • 6.
    2. ARTERIOSCLEROTIC CHANGES: dueto thickening of vessel wall, (a)Changes in arteriolar reflex (b)AV nipping Reflect the duration of Hypertension 3. INCREASED VASCULAR PERMEABILITY: - Results from hypoxia - Leads to Haemorrhages, exudates, macular edema, focal retinal edema, disc edema
  • 8.
  • 9.
    CLINICAL FEATURES • Mostlyasymptomatic • Some complain of headache and blurring of vision (Bilateral)
  • 11.
    Chronic Hypertensive Retinopathy FUNDUSCHANGES: I .ARTERIOLAR NARROWING: • Generalized narrowing is difficult to see but focal narrowing is well appreciated • Focal narrowing occurs from spasm of local areas of the vascular musculature
  • 13.
    ARTERIOVENOUS NICKING • Arteriesand veins share a common adventitious sheath • At AV crossing. arteries compress the veins
  • 16.
    ARTERIOLAR REFLEX CHANGES •Bright and thin, linear blood reflex: -seen over the surface of arteriole in young. -due to blood column in arteriole (vessel wall is almost transparent) • More diffuse and less bright reflex: - due to thickening of vessel wall
  • 17.
    FLAME SHAPED HEMORRHAGES-lll • Superficial • occur at posterior pole • Disruption of capillaries in retinal nerve fibre layer
  • 18.
    HARD EXUDATES • Lipiddeposits in outer plexiform layer of retina • Usually follows leaky capillaries in severe disease • Appear as 'yellow waxy spots' with sharp margin • Generally seen in posterior pole
  • 19.
    COTTON WOOL SPOTS •Also called 'Soft Exudates' • White plaques with a hazy, irregular outline. • They are usually ovoid in shape, variable in size and number • Occur in nerve fibre layer of retina result of capillary infarction
  • 21.
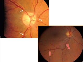
    OPTIC DISC SWELLING/ PAPILLOEDEMA •Optic disc edema is a primary manifestation of hypertensive optic neuropath • Vasoconstriction and choroidal ischemia in the setting of malignant hypertension result in optic disc edema and axoplasmic flow stasis
  • 23.
    KEITH WAGENER ANDBARKER CLASSIFICATION OF HYPERTENSIVE RETINOPATHY
  • 24.
    Grade 1 Generalized narrowing(whitearrow) with moderate opacification of arterioles (black arrow).
  • 25.
    Grade ll • Markedgeneralised narrowing and focal attenuation of artertioles • 'Salus' Sign (deflection of veins at AV crossings)
  • 27.
    Grade lll • Retinalarteriolar narrowing + focal constriction • Prominent AV crossing changes • Bonnet Sign (banking of veins distal to AV c) • Gunn Sign (tapering of vein on either side of AV crossings) • Flame shaped haemorrhages • Cotton wool spots • Hard exudates
  • 31.
    Grade IV • GradeIII changes • Papilloedema
  • 33.
    OTHER CLASSIFICATION Scheie classification •Stage 0: No visible retinal abnormalities • Stage 1: Diffuse arteriolar narrowing; no focal constriction • Stage 2: More pronounced arteriolar narrowing with focal constriction • Stage 3: Focal and diffuse narrowing, with retinal haemorrhages S • Stage 4: Retinal oedema, hard exudates, optic disc edema
  • 34.
    Wong and Mcintoshclassification • Mild retinopathy: one or more of the following signs: generalised arteriolar narrowing, focal arteriolar narrowing, AV nicking, arteriolar wall reflex broadening. • Moderated retinopathy: consists of mild retinopathy with one or more of the following signs: Retinal haemorrhages (blot and dot or flame shaped), microaneurysms, cotton-wool spots, and hard exudates • Accelerated retinopathy: consists of moderate retinopathy signs plus optic disc swelling -may be associated with visual loss
  • 35.
    MALIGNANT HYPERTENSIVE RETINOPATHY • Cause:Rapid progression to a serious degree in young patient with relatively young arterioles undefended by fibrosis • Changes include: 1 . Hypertensive Retinopathy 2.Hypertensive Choroidopathy 3 . Hypertensive Optic Neuropathy
  • 36.
    ACUTE HYPERTENSIVE CHOROIDOPATHY • Elschnig'sspots: Black spots surrounded by yellow halos • Due to clumping and atrophy of infarcted pigment epithelium
  • 38.
    • Acute focalretinal pigment epitheliopathy characterized by focal white spots • Serous neurosensory retinal detachment
  • 39.
    MANAGEMENT • MILD: BPcontrol only • MODERATE: BP control +assessment of risk factors ( eg. cholesterol) BP monitoring every 3-6 months If indicated, risk reduction therapy ( cholesterol reducing agents) • ACCELERATED: small step wise control of BP, avoid sudden reduction ( risk of Optic nerve head hypoperfusion, Stroke)
  • 41.
    PREGNANCY INDUCED HTN •Previously called 'Toxemia of Pregnancy’ • Raised BP , proteinuria , generalised edema • Retinal changes liable to occur when BP >160/ 100 mm Hg, marked when BP> 200/130 mm Hg
  • 42.
    • Earliest changes:narrowing of nasal arterioles -generalised narrowing • Persistent spasm of vessels - cotton wool spots, hemorrhages • Retinal edema and exudation
  • 43.
    MANAGEMENT • Changes arereversible , disappear after delivery (unless organic cause established) • Pre- Organic Stage: patient responds well to conservative treatment, pregnancy continued under close observation • Hypoxic Retinopathy: cotton wool spots, haemorrhages, retinal edema terminate pregnancy ??
  • 44.