Tổ 09 Y2007B
Là tình trạng hẹp ở ngay
tại môn vị và vùng gần
 môn vị
Là một bệnh có triệu chứng
điển hình,nhưng khi có
thì thường ở giai đoạn
muộn
Có thể chia làm 2 nguyên nhân lành tính và ác tính

Năm 1970 nguyên nhân ác tính 10-39%, trong
  những năm gần đây tăng lên 50-80%

Đứng đầu nguyên nhân lành tính là loét dạ dày tá
  tràng:ổ loét non và ổ loét xơ chay
Ác tính là K dạ dày
-Maubrich(1963) chiếm 7% trong 1471 ca loét dạ
  dày tá tràng
-Kozoll và Meyer (1935-1955) 8,9% trong lóet dạ
  dày và 11,1% trong loét tá tràng trong 8.451
-Frexinos (1963) 6 -10% loét dạ dày tá tràng
-Vũ Mạnh và Trần Bình Giang (1992) tại Bệnh
  viện Việt Đức hẹp do K dạ dày chiếm 19%
-Trần Thiện Trung tại ĐHYD chiếm 65%
-Phì đại môn vị

-Hodgkin

-Ung thư tụy

-Mô tụy lạc chỗ
Hẹp cơ năng thường cấp tính
  Hẹp thực thể:
 Tăng trương lực
 Giảm trương lực
Đầy bụng,khó tiêu,
ợ hơi,ăn mau no
Đau
Nôn
Tổng trạng: gầy sút,sụt cân,dấu mất nước,rối
loạn điện giải
Bụng lõm lòng thuyền

Giai đoạn tăng trương lực: sóng nhu động, Dấu
Bouveret

Gian đoạn giảm trương lực: dấu óc ách
Albumin giảm,Bun,Cre tặng
  Ion đồ giảm: Cl,Na,Ka,Ca
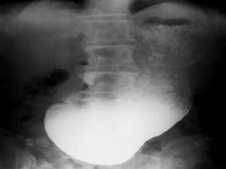
  Chụp X quang dạ dày cản quang:
 Dạ dày dãn to
 Hình 3 tầng
 Thuốc không thoát qua
tá tràng
 Phần hang vị hai bờ vẫn mềm mại(do loét) hay
  có hình lõi táo (do ung thư hang vị)
Chiếu X-quang:
-Hình ảnh tuyết rơi
-Sóng nhu động tăng nhanh và mạnh
 trong giai đoạn tăng trương lực và ngược lại

*Lưu ý trước khi chụp phải khám kĩ bệnh nhân để
  loại trừ thủng tạng và tắc ruột
Nội soi:
 Giúp chẩn đoán xác định và kết hợp sinh thiết tìm
  nguyên nhân
 Bình thường môn vị tròn đều, co bóp nhịp nhàng,
  đường kính dao động 1-2cm và đưa ống soi qua dể
  dàng
 Hẹp môn vị cấp tính do loét : môn vị viêm đỏ, phù nề
 Hẹp môn vị mãn tính do loét: môn vị bị chít hẹp, không
  đưa ống soi qua được
 Hẹp môn vị do ung thư: hang vị có khối chồi xùi làm
  bít hay hẹp môn vị
Trong giai đoạn đầu: tắc ruột cao
Trong giai đoạn sau: liệt dạ dày,liệt dạ dày
thường xảy ra trên bệnh nhân tiểu đường
Nguyên tắc:
Điều trị nội khoa nâng cao thể trạngtrước khi điều
  trị ngoại:
 Hút rửa dạ dày:
 Bồi hoàn nước và điện giải:Dung dịch được lựa
  chọn là natri chlorua 0,9%. Kết hợp bổ sung kali
  dưới dạng KCl.
 Nâng đỡ thể trạng:
-Truyền máu
-Dung dịch đạm
-Bệnh nhân bớt nôn,thấy đói và thèm ăn: cho bệnh
Hẹp môn vị cấp tính do phù nề môn vị trong loét dạ dày tá
  tràng có thể được điều trị nội khoa (đặt thông dạ dày,
  bồi hoàn nước và điện giải, thuốc kháng thụ thể H2) sau
  đó nong môn vị qua nội soi dạ dày.
 CIMETIDIN (1977) 400 – 600mg X 2 lần
 RANITIDIN (1982) 150mg x 2 lần (độ ức chế mạnh
  hơn cimetidin 5 -10 lần)
 FAMOTIDIN (1987) 20mg x 2 lần (mạnh hơn
  cimetidin 20 lần)
 NIZATIDIN (1988) 150mg x 2 lần (tương đương
  ranitidin
 Thời gian điều trị: 8 tuần
 Tỉ lệ lành ổ loét: 70%
Phẫu thuật:
Tùy vào điều kiện hoàn cảnh cụ thể của bệnh
  nhân,bệnh viện,phẫu thuật viên mà có
  phương pháp lựa chọn phù hợp
Hẹp do loét:
1.Nối vị tràng:
Thể trạng bệnh nhân quá yếu
Bệnh nhân già hoặc có bệnh mạn tính kèm
  theo
Thương tổn quá lớn hoặc ổ loét nằm sâu có
  nguy cơ gây biến chứng phẫu thuật
15-20% có nguy cơ loét miệng nối
Hẹp do loét:
2.Cắt 2/3 dạ dày và nối dạ dày hổng tràng
Là phương pháp điều trị triệt căn
Đòi hỏi thể trạng tốt
Trình độ phẫu thuật viên và trang bị
Hẹp do loét:

3.Cắt dây thần kinh X và dẫn lưu dạ dày(Cắt
  hang vị,nối vị tràng,mở rộng môn vị)

4.Phương pháp nong bóng qua nội soi
Hẹp do ung thư
1.Cắt dạ dày
Điều trị được biến chứng và điều trị được
  ung thư
Có 2 loai:
Phẫu thuật triệt căn: Cắt phần dưới dạ dày
  kèm nối vào mạc nối lớn,nạo vét các hạch
  tương ứng
Phẫu thuật làm sạch: Khi có xâm lấn vào cơ
  quan lân cận hoặc xa mà có thể cắt bỏ được
Hẹp do ung thư:
2.Nối vị tràng:
Chỉ giải quyết được hẹp
Khi ung thư đã lan quá rộng không thể lấy
  bỏ
Ung thư di căn xa không thể cắt
Thể trạng quá xấu không chịu được cuộc
  phẫu thuật
Hẹp do ung thư:
3.Mở thông hổng tràng nuôi ăn
Thương tổn xâm lấn lên quá cao cả 2 mặt
  trước sau
Bệnh nhân tử vong sau 1-2 tháng
4.Đặt stent qua chỗ hẹp môn vị:
Hẹp môn vị không thể mổ,cắt dạ dày hay
  nối vị tràng
Đơn giản,an toàn,hiệu quả,
Chi phí cao
I.Biến chứng do cắt dây thần kinh X
1-Tiêu chảy:
Điều trị : ăn chế độ giảm lượng carbonhydrate, hạn
   chế sữa, tránh uống nước trong khi ăn. Nếu nặng
   hơn: cholestyramine 4 gm x 3 uống kèm trong
   bữa ăn.
2. Hội chứng ứ đọng dạ dày
Điều trị: thuốc làm tăng cường nhu động dạ dày
Metoclopramide và/hoặc erythromycin
II.Biến chứng của cắt dạ dày
1-Hội chứng dumping:
Hội chứng dumping sớm: xuất hiện 10-30 phút sau
   ăn, bao gồm các triệu chứng tiêu hoá (đầy tức
   thượng vị, đau quặn bụng, nôn mữa, tiêu chảy)
   và các triệu chứng vận mạch (mạch nhanh, đánh
   trống ngực, xanh tái, đổ mồ hôi, hoa mắt, mờ
   mắt, đỏ bừng mặt
Hội chứng dumping muộn (ít phổ biến hơn): xuất
   hiện 2-3 giờ sau ăn, bao gồm các triệu chứng:
   mạch nhanh, đổ mồ hôi, run rẩy, lơ mơ.
II.Biến chứng của cắt dạ dày
1-Hội chứng dumping:
Hội chứng dumping sớm: xuất hiện 10-30 phút sau
   ăn, bao gồm các triệu chứng tiêu hoá (đầy tức
   thượng vị, đau quặn bụng, nôn mữa, tiêu chảy)
   và các triệu chứng vận mạch (mạch nhanh, đánh
   trống ngực, xanh tái, đổ mồ hôi, hoa mắt, mờ
   mắt, đỏ bừng mặt
Hội chứng dumping muộn (ít phổ biến hơn): xuất
   hiện 2-3 giờ sau ăn, bao gồm các triệu chứng:
   mạch nhanh, đổ mồ hôi, run rẩy, lơ mơ.
II.Biến chứng của cắt dạ dày
1-Hội chứng dumping:
Thông thường sẽ giảm dần và thoái lui trong hầu
   hết các trường hợp
Điều trị:tránh ăn đường, giảm khẩu phần
   carbonhydrate và hạn chế uống nước trong khi
   ăn. Sandostatin có thể được chỉ định nếu những
   thay đổi trong chế độ ăn uống không làm cải
   thiện triệu chứng
II.Biến chứng của cắt dạ dày

  Thiếu máu: do thiếu sắt, vitamine B12 hay
  folate.
  Giảm hấp thu mỡ, dẫn đến tiêu phân mỡ và thiếu
  hụt các vitamin tan trong mỡ.
   Chứng rỗng xương do giảm hấp thu can-xi.
I.HÀNH CHÍNH:
Họ tên : NGHIÊM VĂN NGỌC Tuổi: 70
Giới tính: Nam
Địa chỉ : Ấp 1 – thị trấn Sa Rài – huyện Tấn Hồng
   – tỉnh Đồng Tháp
 Nghề nghiệp : Ở nhà (trước đây đi bộ đội)
Ngày giờ nhập viện: 8g20 ngày 3/10/2012
II. LÝ DO NHẬP VIỆN:
đau bụng vùng trên rốn + nôn
Cách nhập viện 3 tháng, bệnh nhân đau âm ỉ, cảm giác nóng
  rát vùng trên rốn không lan mức độ vừa, thường lúc 8 giờ
  sáng và 2 giờ chiều, không liên quan bữa ăn, không tư thế
  giảm đau, đau kéo dài 15-20 phút thì tự hết. Bệnh nhân tự
  mua thuốc uống (không rõ) thấy đau có giảm. Trong thời
  gian này bệnh nhân ăn uống bình thường, không buồn nôn
  không nôn, thỉnh thoảng ợ hơi
Cách nhập viện 20 ngày, bệnh nhân đau quặn từng cơn vùng
  trên rốn không lan,mỗi cơn dài khoảng 10 phút trên nền
  âm ỉ liên tục, trong cơn thấy nóng rát bụng và cổ kèm theo
  khối gò vùng thượng vị,không di động,bệnh nhân nôn ra
  thức ăn của nhiều ngày trước đó,sau nôn thì giảm đau,
  Bệnh nhân đi khám bác sĩ tư, không rõ chẩn đoán, uống
  thuốc antacid thì đau có giảm
Bệnh diễn tiến với số cơn đau và mức độ ngày càng tăng,
   nôn khi đau và cả khi không đau,nôn ra dịch màu vàng
   không lẫn máu,bệnh nhân đến khám bệnh viện Đồng Tháp
   thì được chẩn đoán là u dạ dày  chuyển viện
Trong quá trình bệnh Bệnh nhân không sốt, sụt 16 kg, không
   vàng da vàng mắt, không hoa mắt chóng mặt,không hồi
   hộp đánh trống ngực,tiêu tiểu bình thường
Tình trạng lúc nhập viện :Bệnh nhân tỉnh,mệt
 Sinh hiệu M:78 lần/phút HA: 110/70mmHg NĐ: 37oC
  Đặt sonde dạ dày bệnh nhân nôn ra thức ăn 7 ngày trước,rất
   hôi
1. Bản thân :
a. Bệnh lý
 Cách 8 tháng, mổ nội soi phì đại tiền liệt tuyến tại bệnh
   viện Đồng Tháp
Chưa ghi nhận tiền căn viêm loét dạ dày, tăng huyết áp,
   đái tháo đường, bệnh lý ngoại khoa khác
b.Thói quen:
Hút thuốc lá 1,5 gói/ngày hơn 40 năm
Thỉnh thoảng có uống rượu
2.Gia đình:
Chưa ghi nhận bất thường
Bn mệt,thể trạng suy kiệt, tiếp xúc được.
Sinh hiệu :
Mạch         : 80lần/phút
Huyết áp     : 110/70 mmHg
Nhịp thở     : 20 lần/phút
Thân nhiệt : 370C
Mạch quay đều rõ.không khó thở
Da niêm nhạt,tay chân lạnh, không phù,không xuất huyết
Dấu véo da (+)
Kết mạc mắt không vàng
Hạch ngoại biên không sờ chạm
Lồng ngực cân đối, di động đều theo nhịp
thở, không sao mạch, không tuần hoàn bàng
hệ, không u, không sẹo mổ cũ
Tim đều,không tiếng tim bất thường,phổi trong
Bụng lõm lòng thuyền,nhu động 6 lần/phút ấn
đau trên rốn,khối u khoảng 3x2 cm. cứng kém di
động,giới hạn không rõ,hơi đau
Gan lách không sờ chạm
Dấu óc ách (-)
Chạm thận (-), rung thận (-),
BN nam, 70 tuổi, nhập viện vì đau bụng vùng trên rốn + nôn. Bệnh
   diễn tiến 3 tháng
TCCN: .
Đau vùng trên rốn, quặn từng cơn trên nền âm ỉ
Nôn thức ăn cũ, sau nôn giảm đau.
Sụt cân.
TCTT:
Thể trạng suy kiệt,da niêm nhạt
Bụng lõm hình thuyền
Ấn đau vùng trên rốn
khối u trên rốn khoảng 3x2 cm.cứng,kém di động,giới hạn không
   rõ,hơi đau
Dấu óc ách (-)
Hẹp môn vị do K dạ dày biến chứng mất nước
 + thiếu máu
Hẹp môn vị do loét dạ dày tá tràng biến chứng
  mất nước + thiếu máu
Tắc ruột cao
Bệnh nhân nam lớn tuổi,có tiền căn hút thuốc lá
uống rượu,có triệu chứng đau vùng thượng
vị,đau từng cơn,sau nôn giảm đau,khám thấy
bụng lõm lòng thuyền,sờ thấy khối u vùng
thượng vị,bệnh diễn tiến nhanh nên nghĩ nhiều
đến hẹp môn vị do ung thư dạ dày
Tuy nhiên không thể loại trừ trường hợp u do
loét nên cần thêm các XN để chẩn đoán xác định
X. ĐỀ NGHỊ CLS:
_ Chẩn đoán nguyên nhân: nội soi dạ dày tá tràng,
Xquang dạ dày cản quang, siêu âm bụng, định lượng
men tụy (amylase máu, amylase niệu), CEA, CA 19.9
_ Chẩn đoán biến chứng: ion dồ, ure, creatinin máu,
protein toàn phần, albumin máu, công thức máu
_ Chẩn đoán giai đoạn: CT scan bụng có cản quang
_ Xét nghiệm thường quy-tiền phẫu: Đông máu toàn
bộ, dường huyết lúc đói, tổng phân tích nước tiểu, X-
Quang phổi thẳng, ECG, AST, ALT
Công thức máu:
WBC: 6,59k/UL
Neu:70,4
Lympho 20,9
RBC 3,45
HGB 8,3g/dl
HCT:27,8%
MCV 80,6
MCH 24,1
WBC 14,4%
PLT   585
Ion đồ:
Na:134
K:3,3
Cl: 86
Ca:0,86
Sinh hóa máu:
Urea:13.8          AST: 13u/l
Glucose 11.9       ALT:12u/l
Protein tp:65g/l
Albumin:40g/l
Dạ dày ứ đọng. Hang vị sùi loét to, đáy rộng sâu co kéo nghi ác
  tính. Môn vị hẹp nhiều. Cảm nghĩ Hẹp môn vị do K => GPB:
  Carcinom tuyến biệt hóa cao
  CT-Scan:
Vùng hang vị có tổn thương thành dày,không đều tạo thành thương
  tổn với đậm độ phản quang hơi cao không đồng nhất,tổn thương
  bắt nhanh và không đều phản quang khi bơm thuốc,kích thước :
  27x27x44mm
Không hạch
Các tạng khác bình thường

Hẹp môn vị tổ 9

  • 1.
  • 2.
    Là tình trạnghẹp ở ngay tại môn vị và vùng gần môn vị Là một bệnh có triệu chứng điển hình,nhưng khi có thì thường ở giai đoạn muộn
  • 3.
    Có thể chialàm 2 nguyên nhân lành tính và ác tính Năm 1970 nguyên nhân ác tính 10-39%, trong những năm gần đây tăng lên 50-80% Đứng đầu nguyên nhân lành tính là loét dạ dày tá tràng:ổ loét non và ổ loét xơ chay Ác tính là K dạ dày
  • 4.
    -Maubrich(1963) chiếm 7%trong 1471 ca loét dạ dày tá tràng -Kozoll và Meyer (1935-1955) 8,9% trong lóet dạ dày và 11,1% trong loét tá tràng trong 8.451 -Frexinos (1963) 6 -10% loét dạ dày tá tràng -Vũ Mạnh và Trần Bình Giang (1992) tại Bệnh viện Việt Đức hẹp do K dạ dày chiếm 19% -Trần Thiện Trung tại ĐHYD chiếm 65%
  • 5.
    -Phì đại mônvị -Hodgkin -Ung thư tụy -Mô tụy lạc chỗ
  • 6.
    Hẹp cơ năngthường cấp tính Hẹp thực thể:  Tăng trương lực  Giảm trương lực
  • 7.
  • 8.
  • 9.
  • 10.
    Tổng trạng: gầysút,sụt cân,dấu mất nước,rối loạn điện giải
  • 11.
    Bụng lõm lòngthuyền Giai đoạn tăng trương lực: sóng nhu động, Dấu Bouveret Gian đoạn giảm trương lực: dấu óc ách
  • 12.
    Albumin giảm,Bun,Cre tặng Ion đồ giảm: Cl,Na,Ka,Ca Chụp X quang dạ dày cản quang:  Dạ dày dãn to  Hình 3 tầng  Thuốc không thoát qua tá tràng  Phần hang vị hai bờ vẫn mềm mại(do loét) hay có hình lõi táo (do ung thư hang vị)
  • 16.
    Chiếu X-quang: -Hình ảnhtuyết rơi -Sóng nhu động tăng nhanh và mạnh trong giai đoạn tăng trương lực và ngược lại *Lưu ý trước khi chụp phải khám kĩ bệnh nhân để loại trừ thủng tạng và tắc ruột
  • 17.
    Nội soi:  Giúpchẩn đoán xác định và kết hợp sinh thiết tìm nguyên nhân  Bình thường môn vị tròn đều, co bóp nhịp nhàng, đường kính dao động 1-2cm và đưa ống soi qua dể dàng  Hẹp môn vị cấp tính do loét : môn vị viêm đỏ, phù nề  Hẹp môn vị mãn tính do loét: môn vị bị chít hẹp, không đưa ống soi qua được  Hẹp môn vị do ung thư: hang vị có khối chồi xùi làm bít hay hẹp môn vị
  • 19.
    Trong giai đoạnđầu: tắc ruột cao Trong giai đoạn sau: liệt dạ dày,liệt dạ dày thường xảy ra trên bệnh nhân tiểu đường
  • 20.
    Nguyên tắc: Điều trịnội khoa nâng cao thể trạngtrước khi điều trị ngoại:  Hút rửa dạ dày:  Bồi hoàn nước và điện giải:Dung dịch được lựa chọn là natri chlorua 0,9%. Kết hợp bổ sung kali dưới dạng KCl.  Nâng đỡ thể trạng: -Truyền máu -Dung dịch đạm -Bệnh nhân bớt nôn,thấy đói và thèm ăn: cho bệnh
  • 21.
    Hẹp môn vịcấp tính do phù nề môn vị trong loét dạ dày tá tràng có thể được điều trị nội khoa (đặt thông dạ dày, bồi hoàn nước và điện giải, thuốc kháng thụ thể H2) sau đó nong môn vị qua nội soi dạ dày.  CIMETIDIN (1977) 400 – 600mg X 2 lần  RANITIDIN (1982) 150mg x 2 lần (độ ức chế mạnh hơn cimetidin 5 -10 lần)  FAMOTIDIN (1987) 20mg x 2 lần (mạnh hơn cimetidin 20 lần)  NIZATIDIN (1988) 150mg x 2 lần (tương đương ranitidin  Thời gian điều trị: 8 tuần  Tỉ lệ lành ổ loét: 70%
  • 22.
    Phẫu thuật: Tùy vàođiều kiện hoàn cảnh cụ thể của bệnh nhân,bệnh viện,phẫu thuật viên mà có phương pháp lựa chọn phù hợp
  • 23.
    Hẹp do loét: 1.Nốivị tràng: Thể trạng bệnh nhân quá yếu Bệnh nhân già hoặc có bệnh mạn tính kèm theo Thương tổn quá lớn hoặc ổ loét nằm sâu có nguy cơ gây biến chứng phẫu thuật 15-20% có nguy cơ loét miệng nối
  • 24.
    Hẹp do loét: 2.Cắt2/3 dạ dày và nối dạ dày hổng tràng Là phương pháp điều trị triệt căn Đòi hỏi thể trạng tốt Trình độ phẫu thuật viên và trang bị
  • 25.
    Hẹp do loét: 3.Cắtdây thần kinh X và dẫn lưu dạ dày(Cắt hang vị,nối vị tràng,mở rộng môn vị) 4.Phương pháp nong bóng qua nội soi
  • 26.
    Hẹp do ungthư 1.Cắt dạ dày Điều trị được biến chứng và điều trị được ung thư Có 2 loai: Phẫu thuật triệt căn: Cắt phần dưới dạ dày kèm nối vào mạc nối lớn,nạo vét các hạch tương ứng Phẫu thuật làm sạch: Khi có xâm lấn vào cơ quan lân cận hoặc xa mà có thể cắt bỏ được
  • 27.
    Hẹp do ungthư: 2.Nối vị tràng: Chỉ giải quyết được hẹp Khi ung thư đã lan quá rộng không thể lấy bỏ Ung thư di căn xa không thể cắt Thể trạng quá xấu không chịu được cuộc phẫu thuật
  • 28.
    Hẹp do ungthư: 3.Mở thông hổng tràng nuôi ăn Thương tổn xâm lấn lên quá cao cả 2 mặt trước sau Bệnh nhân tử vong sau 1-2 tháng 4.Đặt stent qua chỗ hẹp môn vị: Hẹp môn vị không thể mổ,cắt dạ dày hay nối vị tràng Đơn giản,an toàn,hiệu quả, Chi phí cao
  • 29.
    I.Biến chứng docắt dây thần kinh X 1-Tiêu chảy: Điều trị : ăn chế độ giảm lượng carbonhydrate, hạn chế sữa, tránh uống nước trong khi ăn. Nếu nặng hơn: cholestyramine 4 gm x 3 uống kèm trong bữa ăn. 2. Hội chứng ứ đọng dạ dày Điều trị: thuốc làm tăng cường nhu động dạ dày Metoclopramide và/hoặc erythromycin
  • 30.
    II.Biến chứng củacắt dạ dày 1-Hội chứng dumping: Hội chứng dumping sớm: xuất hiện 10-30 phút sau ăn, bao gồm các triệu chứng tiêu hoá (đầy tức thượng vị, đau quặn bụng, nôn mữa, tiêu chảy) và các triệu chứng vận mạch (mạch nhanh, đánh trống ngực, xanh tái, đổ mồ hôi, hoa mắt, mờ mắt, đỏ bừng mặt Hội chứng dumping muộn (ít phổ biến hơn): xuất hiện 2-3 giờ sau ăn, bao gồm các triệu chứng: mạch nhanh, đổ mồ hôi, run rẩy, lơ mơ.
  • 31.
    II.Biến chứng củacắt dạ dày 1-Hội chứng dumping: Hội chứng dumping sớm: xuất hiện 10-30 phút sau ăn, bao gồm các triệu chứng tiêu hoá (đầy tức thượng vị, đau quặn bụng, nôn mữa, tiêu chảy) và các triệu chứng vận mạch (mạch nhanh, đánh trống ngực, xanh tái, đổ mồ hôi, hoa mắt, mờ mắt, đỏ bừng mặt Hội chứng dumping muộn (ít phổ biến hơn): xuất hiện 2-3 giờ sau ăn, bao gồm các triệu chứng: mạch nhanh, đổ mồ hôi, run rẩy, lơ mơ.
  • 32.
    II.Biến chứng củacắt dạ dày 1-Hội chứng dumping: Thông thường sẽ giảm dần và thoái lui trong hầu hết các trường hợp Điều trị:tránh ăn đường, giảm khẩu phần carbonhydrate và hạn chế uống nước trong khi ăn. Sandostatin có thể được chỉ định nếu những thay đổi trong chế độ ăn uống không làm cải thiện triệu chứng
  • 33.
    II.Biến chứng củacắt dạ dày Thiếu máu: do thiếu sắt, vitamine B12 hay folate. Giảm hấp thu mỡ, dẫn đến tiêu phân mỡ và thiếu hụt các vitamin tan trong mỡ. Chứng rỗng xương do giảm hấp thu can-xi.
  • 35.
    I.HÀNH CHÍNH: Họ tên: NGHIÊM VĂN NGỌC Tuổi: 70 Giới tính: Nam Địa chỉ : Ấp 1 – thị trấn Sa Rài – huyện Tấn Hồng – tỉnh Đồng Tháp Nghề nghiệp : Ở nhà (trước đây đi bộ đội) Ngày giờ nhập viện: 8g20 ngày 3/10/2012 II. LÝ DO NHẬP VIỆN: đau bụng vùng trên rốn + nôn
  • 36.
    Cách nhập viện3 tháng, bệnh nhân đau âm ỉ, cảm giác nóng rát vùng trên rốn không lan mức độ vừa, thường lúc 8 giờ sáng và 2 giờ chiều, không liên quan bữa ăn, không tư thế giảm đau, đau kéo dài 15-20 phút thì tự hết. Bệnh nhân tự mua thuốc uống (không rõ) thấy đau có giảm. Trong thời gian này bệnh nhân ăn uống bình thường, không buồn nôn không nôn, thỉnh thoảng ợ hơi Cách nhập viện 20 ngày, bệnh nhân đau quặn từng cơn vùng trên rốn không lan,mỗi cơn dài khoảng 10 phút trên nền âm ỉ liên tục, trong cơn thấy nóng rát bụng và cổ kèm theo khối gò vùng thượng vị,không di động,bệnh nhân nôn ra thức ăn của nhiều ngày trước đó,sau nôn thì giảm đau, Bệnh nhân đi khám bác sĩ tư, không rõ chẩn đoán, uống thuốc antacid thì đau có giảm
  • 37.
    Bệnh diễn tiếnvới số cơn đau và mức độ ngày càng tăng, nôn khi đau và cả khi không đau,nôn ra dịch màu vàng không lẫn máu,bệnh nhân đến khám bệnh viện Đồng Tháp thì được chẩn đoán là u dạ dày  chuyển viện Trong quá trình bệnh Bệnh nhân không sốt, sụt 16 kg, không vàng da vàng mắt, không hoa mắt chóng mặt,không hồi hộp đánh trống ngực,tiêu tiểu bình thường Tình trạng lúc nhập viện :Bệnh nhân tỉnh,mệt Sinh hiệu M:78 lần/phút HA: 110/70mmHg NĐ: 37oC Đặt sonde dạ dày bệnh nhân nôn ra thức ăn 7 ngày trước,rất hôi
  • 38.
    1. Bản thân: a. Bệnh lý Cách 8 tháng, mổ nội soi phì đại tiền liệt tuyến tại bệnh viện Đồng Tháp Chưa ghi nhận tiền căn viêm loét dạ dày, tăng huyết áp, đái tháo đường, bệnh lý ngoại khoa khác b.Thói quen: Hút thuốc lá 1,5 gói/ngày hơn 40 năm Thỉnh thoảng có uống rượu 2.Gia đình: Chưa ghi nhận bất thường
  • 39.
    Bn mệt,thể trạngsuy kiệt, tiếp xúc được. Sinh hiệu : Mạch : 80lần/phút Huyết áp : 110/70 mmHg Nhịp thở : 20 lần/phút Thân nhiệt : 370C Mạch quay đều rõ.không khó thở Da niêm nhạt,tay chân lạnh, không phù,không xuất huyết Dấu véo da (+) Kết mạc mắt không vàng Hạch ngoại biên không sờ chạm
  • 40.
    Lồng ngực cânđối, di động đều theo nhịp thở, không sao mạch, không tuần hoàn bàng hệ, không u, không sẹo mổ cũ Tim đều,không tiếng tim bất thường,phổi trong Bụng lõm lòng thuyền,nhu động 6 lần/phút ấn đau trên rốn,khối u khoảng 3x2 cm. cứng kém di động,giới hạn không rõ,hơi đau Gan lách không sờ chạm Dấu óc ách (-) Chạm thận (-), rung thận (-),
  • 41.
    BN nam, 70tuổi, nhập viện vì đau bụng vùng trên rốn + nôn. Bệnh diễn tiến 3 tháng TCCN: . Đau vùng trên rốn, quặn từng cơn trên nền âm ỉ Nôn thức ăn cũ, sau nôn giảm đau. Sụt cân. TCTT: Thể trạng suy kiệt,da niêm nhạt Bụng lõm hình thuyền Ấn đau vùng trên rốn khối u trên rốn khoảng 3x2 cm.cứng,kém di động,giới hạn không rõ,hơi đau Dấu óc ách (-)
  • 42.
    Hẹp môn vịdo K dạ dày biến chứng mất nước + thiếu máu
  • 43.
    Hẹp môn vịdo loét dạ dày tá tràng biến chứng mất nước + thiếu máu Tắc ruột cao
  • 44.
    Bệnh nhân namlớn tuổi,có tiền căn hút thuốc lá uống rượu,có triệu chứng đau vùng thượng vị,đau từng cơn,sau nôn giảm đau,khám thấy bụng lõm lòng thuyền,sờ thấy khối u vùng thượng vị,bệnh diễn tiến nhanh nên nghĩ nhiều đến hẹp môn vị do ung thư dạ dày Tuy nhiên không thể loại trừ trường hợp u do loét nên cần thêm các XN để chẩn đoán xác định
  • 45.
    X. ĐỀ NGHỊCLS: _ Chẩn đoán nguyên nhân: nội soi dạ dày tá tràng, Xquang dạ dày cản quang, siêu âm bụng, định lượng men tụy (amylase máu, amylase niệu), CEA, CA 19.9 _ Chẩn đoán biến chứng: ion dồ, ure, creatinin máu, protein toàn phần, albumin máu, công thức máu _ Chẩn đoán giai đoạn: CT scan bụng có cản quang _ Xét nghiệm thường quy-tiền phẫu: Đông máu toàn bộ, dường huyết lúc đói, tổng phân tích nước tiểu, X- Quang phổi thẳng, ECG, AST, ALT
  • 46.
    Công thức máu: WBC:6,59k/UL Neu:70,4 Lympho 20,9 RBC 3,45 HGB 8,3g/dl HCT:27,8% MCV 80,6 MCH 24,1 WBC 14,4% PLT 585
  • 47.
    Ion đồ: Na:134 K:3,3 Cl: 86 Ca:0,86 Sinhhóa máu: Urea:13.8 AST: 13u/l Glucose 11.9 ALT:12u/l Protein tp:65g/l Albumin:40g/l
  • 49.
    Dạ dày ứđọng. Hang vị sùi loét to, đáy rộng sâu co kéo nghi ác tính. Môn vị hẹp nhiều. Cảm nghĩ Hẹp môn vị do K => GPB: Carcinom tuyến biệt hóa cao CT-Scan: Vùng hang vị có tổn thương thành dày,không đều tạo thành thương tổn với đậm độ phản quang hơi cao không đồng nhất,tổn thương bắt nhanh và không đều phản quang khi bơm thuốc,kích thước : 27x27x44mm Không hạch Các tạng khác bình thường

Editor's Notes

  • #6 Tỷ lệ 2,4 trên 1000 trẻ đối với người da trắng 0,6 với người da vàng và 0,7 với người da đen