Nontubercular Pulmonary
Infections
Dr.Bhanupriya Singh
•CHEST RADIOGRAPH
•establish the presence of disease,
•locate and define the extent of disease,
•suggest an etiological diagnosis,
•assess the response to treatment
establish the presence of complications(cavitation, abscess formation, pneumothorax,
pleural effusion)
CT SCAN
•Complicated cases
• in patients in whom the response to treatment is unexpectedly slow
•characterize the complex pneumonias,
• look for complications
•detect underlying disease within the lung or mediastinum.
•USG
•Visualize consolidations, atelectasis and mass lesions
•evaluation of pleural fluid.Quantitative and qualitative information
•serve as a guide for aspiration.
Lobar pneumonia/ non-segmental pneumonia/
focal non-segmental pneumonia
• aveolar air spaces affected.
•characteristic relative sparing of the bronchi,
creating AIR BRONCHOGRAM
•homogenous, fibrinosupparative consolidation of one or
more lobes of a lung in response to a bacterial
pneumonia.
•productive cough, dyspnoea, pyrexia/fevers, rigors,
malaise, pleuritic pain
•distribution of consolidation: spread of infection across
segmental boundaries -facilitated by Pores of Kohn &
canals of Lambert
Right lower lobe consolidation
airspace opacification that abuts
the right hemidiaphragm,
obliterating margin of
hemidiaphragm
Air space opacification
(=consolidation)
descriptive term that refers to
filling of the pulmonary tree with
material that attenuates x-rays
more than the surrounding
parenchyma
Rt middle lobe pneumonia (with air bronchogram)
•CHEST X-RAY Consolidation (homogenous opacification in a lobar pattern).
•Air bronchogram
•No volume loss
•Atelectasis (small airway obstruction)
•CT SCAN FOCAL GROUND GLASS OPACITY / dense opacification of the entire lobe
•COMPLICATIONS PARA-PNEUMONIC EFFUSION , EMPYMA
consolidation across both lungs but presence of ground-glass density with fibrotic
changes and emphysema which are more obvious in right lung
& pleural effusion in
the left lung
•infective organism reaches the acini leading to a rapid production of
abundant edema fluid with minimal cellular reaction.
•Initial peripheral localization but as the fluid increases in amount
it flows from alveolus to alveolus limited only by pleural boundaries,
•homogeneous non segmental consolidation
•common cause:
•Streptococcus pneumoniae.
•Klebsiella pneumoniae
•Legionella pneumophila
•Haemophilus influenzae
•Mycobacterium tuberculosis
Bronchopneumonia / lobular pneumonia
•mucosal surfaces of the bronchi and bronchioles affected rather than terminal airspace.
•suppurative peribronchiolar inflammation and subsequent patchy consolidation of one or
more secondry lobules of lung
•peribronchiolar focus of infection (peribronchial thickening) which subsequently spreads along
the intralobular airway to the alveolus; and then from alveolus to alveolus - until the
pulmonary lobule is partially or totally involved
Patchy inhomogeneous, poorly
defined opacities with absence of air
bronchograms.
opacities in bilateral mid and lower
zones
Since several foci of disease are often
seeded at the same time,
the process is diffuse and frequently
both lungs are involved
Bronchopneumonia. CT scan
consolidation involving
terminal and respiratory
bronchioles and
adjacent alveoli results in
poorly defined centrilobular
nodular opacities
Causative organisms :-
Staphylococcus aureus
Klebsiella pneumoniae
Haemophilus influenzae
Pseudomonas aeruginosa
Escherichia coli
Anaerobes, such as Proteus species
INTERSTITIAL PNEUMONIA
• diffuse edema of the airway walls along with an inflammatory cellular infiltration.
•changes extend from the peribronchial tissues into the interlobular septa
• viral or Mycoplasma pneumoniae infection
•generalized hyperareation,
•widespread peribronchial thickening,
•increased reticular markings
•small ill-defined nodules
SPHERICAL OR ROUND PNEUMONIA
•well-circumscribed rounded consolidation, often pneumococcal in origin
• mimics a mass lesion.
•? represent an early manifestation of the infectious focus that has spread centrifugally
•? underdeveloped pores of Kohn and absence of canals of Lambert, limiting the spread of
the organism and resulting in a focal, round mass
•
Rounded ill defined opacity
in the right upper lobe
containing an air bronchogram
Comparison with prior recent
radiographs and
short-term (3-7 days) interval follow-
up
Heterogeneous mass of
soft tissue attenuation
that can have
spicules,
Air bronchograms,
pleural thickening *
satellite lesions *
BACTERIAL PNEUMONIAS : PNEUMOCOCCAL
•Streptococcus pneumoniae.
•commonest community acquired pneumonia and can occur at any age.
•abrupt onset of fever, chills, cough and chest pain often associated with bloody or rusty
sputum.
affect the terminal airways first and then disseminates to the surrounding segments giving
rise to the classical unilateral airspace pneumonia
BACTERIAL PNEUMONIAS
Staphylococcal Pneumonia
•Staphylococcus aureus (casues marked destruction and abscess formation)
•community acquired, particularly in infants and elderly individuals, often complicating
influenza
• bronchopneumonic
pattern, initially involving the lower zones
consolidation spread rapidly -> become
confluent, resembling lobar pneumonia.
Volume loss, early and large effusions,
empyema and abscess formation are
common
Resolution is slower with residual fibrosis
Staphylococcal pneumonia showing
bilateral patchy opacities
pneumatocele formation in a right lower lobe
consolidation due to staphylococcal
pneumonia
multiple residual
pneumatoceles
following
an episode
of
staphylococcal
pneumonia
Septic emboli seen as multiple nodular
opacities scattered in both lung fields with
associated bilateral pleural effusion.
septic emboli.
Multiple nodular
densities scattered in
both lung fields,
showing
“feeding vessel” sign.
Few of the nodules
show evidence of
cavitation
BACTERIAL PNEUMONIAS:
Gram –vePneumonia
Enterobacteriaceae
(notably Klebsiella, Enterobacter, Escherichia coli , Proteus mirabilis) ;
Pseudomonas aeruginosa, Acinetobacter, Haemophilus influenzae, Legionella pneumophila.
Aspiration is believed to be the method by which the organisms most commonly enter the lungs
Lower lobes tend to be predominantly affected;
Cavitation, pleural effusions and empyemas are quite commonly associated
downward convexity of the
horizontal fissure in consolidation
of the right upper lobe with
associated pleural effusion
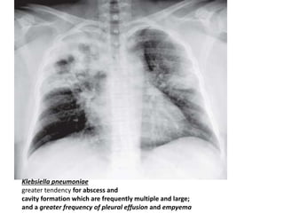
Klebsiella pneumoniae
Friedlander’s pneumonia
people with chronic debilitating illnesses or
alcoholism.
High fever and toxemia and
resemble those of severe pneumococcal
lobar pneumonia pattern with greater
tendency
formation of voluminous inflammatory
exudates leading to lobar expansion with
resulting bulging of interlobar fissures
Klebsiella pneumoniae
greater tendency for abscess and
cavity formation which are frequently multiple and large;
and a greater frequency of pleural effusion and empyema
BACTERIAL PNEUMONIAS: Chlamydia
Pneumonia
Chlamydia Pneumonia
common cause of community acquired
pneumonia
Most common radiographic finding are
airspace consolidation with interstitial
infiltrates, combined interstitial and
airspace infiltrates and pleural effusion.
Anaerobic Pneumonias
•Bacteroides, Clostridium, Fusobacterium, Peptococcus, etc
•aspiration of infected oral contents and obvious periodontal disease
•Predisposing factors - recent episode of altered consciousness, dysphagia or alcoholism
Aspiration pneumonia seen as bilateral middle
and
lower zone patchy consolidation
pneumonias commonly
involve the
superior and posterobasal segments
of the lower lobe
and/or
posterior segment of upper lobe
due to
drainage of infected material from the
mouth into these segments
as the patient lies on his back
(gravitational pneumonia).
Three types of radiographic appearances
may be seen—
• pulmonary parenchymal infection,
•Pneumonia with cavitation or
•discrete lung abscess,
each of which may be associated with empyema.
Anaerobic
lung abscess
in an
alcoholic
patient with
poor
orodental
hygiene
Lung abscess is
seen in posterior
segment of the
right upper lobe
with thick
irregular walls focal cavitary mass with very little surrounding consolidation
– the so called ‘primary lung abscess’
Actinomyces israeli
Pulmonary actinomycotic infection usually manifests with a mass or pneumonia,
which predominantly affects the lower lobes
chronic segmental airspace consolidation containing necrotic low-attenuation
areas (representing actinomycotic or sulfur granules)
with peripheral enhancement, (representing granulation tissue in wall of abscess)
often accompanied by adjacent pleural thickening, effusion, or empyema
bronchiectasis, irregular bronchial wall thickening, and irregular peribronchial
consolidation with or without necrotic foci
Multiple small cavities may develop within the parenchymal lesion
Actinomyces species tend to invade devitalized tissue
proteolytic enzymes that allow the infection to cross fascial planes
parenchymal destruction and bronchiectasis caused by prior tuberculosis or other infections
are predisposed to secondary actinomycotic infection
Thoracic actinomycosis involving the lung
parenchyma in a 49-year-old man. (a) Axial
contrast-enhanced CT image shows a masslike
consolidation in the left lower lobe. Note the
areas of low attenuation (arrows) within the
contrast-enhanced mass and the adjacent
pleural thickening (arrowhead). (b) Axial
contrast-enhanced CT image (lung window)
obtained at the same level as a shows a
poorly defined subpleural mass. (c)
Photograph of the gross pathologic specimen
obtained at lobectomy of the left lower lobe
shows a yellowish mass (arrows) with necrotic
foci (arrowheads). Each scale division is 0.5
cm.
Parenchymal actinomycosis manifesting as a cavitary
mass in a 46-year-old man. (a) Axial contrast-
enhanced CT image shows an irregular and cavitary
nodular consolidation containing a low-attenuation
area in the right lower lobe. (b) Axial contrast-
enhanced CT image (lung window) obtained at the
same level as a shows that this mass is surrounded
by areas of ground-glass attenuation. Smooth
pleural tags are shown. (c) Axial contrast-enhanced
CT image obtained at follow-up 10 months after the
start of antibiotic therapy shows complete
resolution of the cavitary consolidation, with
residual cystic bronchiectasis.

Non tb PULMONARY infection

  • 1.
  • 2.
    •CHEST RADIOGRAPH •establish thepresence of disease, •locate and define the extent of disease, •suggest an etiological diagnosis, •assess the response to treatment establish the presence of complications(cavitation, abscess formation, pneumothorax, pleural effusion) CT SCAN •Complicated cases • in patients in whom the response to treatment is unexpectedly slow •characterize the complex pneumonias, • look for complications •detect underlying disease within the lung or mediastinum. •USG •Visualize consolidations, atelectasis and mass lesions •evaluation of pleural fluid.Quantitative and qualitative information •serve as a guide for aspiration.
  • 3.
    Lobar pneumonia/ non-segmentalpneumonia/ focal non-segmental pneumonia • aveolar air spaces affected. •characteristic relative sparing of the bronchi, creating AIR BRONCHOGRAM •homogenous, fibrinosupparative consolidation of one or more lobes of a lung in response to a bacterial pneumonia. •productive cough, dyspnoea, pyrexia/fevers, rigors, malaise, pleuritic pain •distribution of consolidation: spread of infection across segmental boundaries -facilitated by Pores of Kohn & canals of Lambert
  • 4.
    Right lower lobeconsolidation airspace opacification that abuts the right hemidiaphragm, obliterating margin of hemidiaphragm Air space opacification (=consolidation) descriptive term that refers to filling of the pulmonary tree with material that attenuates x-rays more than the surrounding parenchyma
  • 5.
    Rt middle lobepneumonia (with air bronchogram)
  • 6.
    •CHEST X-RAY Consolidation(homogenous opacification in a lobar pattern). •Air bronchogram •No volume loss •Atelectasis (small airway obstruction) •CT SCAN FOCAL GROUND GLASS OPACITY / dense opacification of the entire lobe •COMPLICATIONS PARA-PNEUMONIC EFFUSION , EMPYMA
  • 7.
    consolidation across bothlungs but presence of ground-glass density with fibrotic changes and emphysema which are more obvious in right lung & pleural effusion in the left lung
  • 8.
    •infective organism reachesthe acini leading to a rapid production of abundant edema fluid with minimal cellular reaction. •Initial peripheral localization but as the fluid increases in amount it flows from alveolus to alveolus limited only by pleural boundaries, •homogeneous non segmental consolidation •common cause: •Streptococcus pneumoniae. •Klebsiella pneumoniae •Legionella pneumophila •Haemophilus influenzae •Mycobacterium tuberculosis
  • 9.
    Bronchopneumonia / lobularpneumonia •mucosal surfaces of the bronchi and bronchioles affected rather than terminal airspace. •suppurative peribronchiolar inflammation and subsequent patchy consolidation of one or more secondry lobules of lung •peribronchiolar focus of infection (peribronchial thickening) which subsequently spreads along the intralobular airway to the alveolus; and then from alveolus to alveolus - until the pulmonary lobule is partially or totally involved Patchy inhomogeneous, poorly defined opacities with absence of air bronchograms. opacities in bilateral mid and lower zones Since several foci of disease are often seeded at the same time, the process is diffuse and frequently both lungs are involved
  • 10.
    Bronchopneumonia. CT scan consolidationinvolving terminal and respiratory bronchioles and adjacent alveoli results in poorly defined centrilobular nodular opacities Causative organisms :- Staphylococcus aureus Klebsiella pneumoniae Haemophilus influenzae Pseudomonas aeruginosa Escherichia coli Anaerobes, such as Proteus species
  • 11.
    INTERSTITIAL PNEUMONIA • diffuseedema of the airway walls along with an inflammatory cellular infiltration. •changes extend from the peribronchial tissues into the interlobular septa • viral or Mycoplasma pneumoniae infection •generalized hyperareation, •widespread peribronchial thickening, •increased reticular markings •small ill-defined nodules
  • 12.
    SPHERICAL OR ROUNDPNEUMONIA •well-circumscribed rounded consolidation, often pneumococcal in origin • mimics a mass lesion. •? represent an early manifestation of the infectious focus that has spread centrifugally •? underdeveloped pores of Kohn and absence of canals of Lambert, limiting the spread of the organism and resulting in a focal, round mass • Rounded ill defined opacity in the right upper lobe containing an air bronchogram Comparison with prior recent radiographs and short-term (3-7 days) interval follow- up
  • 13.
    Heterogeneous mass of softtissue attenuation that can have spicules, Air bronchograms, pleural thickening * satellite lesions *
  • 14.
    BACTERIAL PNEUMONIAS :PNEUMOCOCCAL •Streptococcus pneumoniae. •commonest community acquired pneumonia and can occur at any age. •abrupt onset of fever, chills, cough and chest pain often associated with bloody or rusty sputum. affect the terminal airways first and then disseminates to the surrounding segments giving rise to the classical unilateral airspace pneumonia
  • 15.
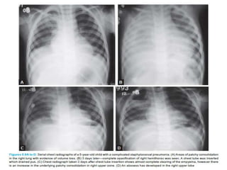
    BACTERIAL PNEUMONIAS Staphylococcal Pneumonia •Staphylococcusaureus (casues marked destruction and abscess formation) •community acquired, particularly in infants and elderly individuals, often complicating influenza • bronchopneumonic pattern, initially involving the lower zones consolidation spread rapidly -> become confluent, resembling lobar pneumonia. Volume loss, early and large effusions, empyema and abscess formation are common Resolution is slower with residual fibrosis Staphylococcal pneumonia showing bilateral patchy opacities
  • 16.
    pneumatocele formation ina right lower lobe consolidation due to staphylococcal pneumonia multiple residual pneumatoceles following an episode of staphylococcal pneumonia
  • 18.
    Septic emboli seenas multiple nodular opacities scattered in both lung fields with associated bilateral pleural effusion. septic emboli. Multiple nodular densities scattered in both lung fields, showing “feeding vessel” sign. Few of the nodules show evidence of cavitation
  • 19.
    BACTERIAL PNEUMONIAS: Gram –vePneumonia Enterobacteriaceae (notablyKlebsiella, Enterobacter, Escherichia coli , Proteus mirabilis) ; Pseudomonas aeruginosa, Acinetobacter, Haemophilus influenzae, Legionella pneumophila. Aspiration is believed to be the method by which the organisms most commonly enter the lungs Lower lobes tend to be predominantly affected; Cavitation, pleural effusions and empyemas are quite commonly associated
  • 20.
    downward convexity ofthe horizontal fissure in consolidation of the right upper lobe with associated pleural effusion Klebsiella pneumoniae Friedlander’s pneumonia people with chronic debilitating illnesses or alcoholism. High fever and toxemia and resemble those of severe pneumococcal lobar pneumonia pattern with greater tendency formation of voluminous inflammatory exudates leading to lobar expansion with resulting bulging of interlobar fissures
  • 21.
    Klebsiella pneumoniae greater tendencyfor abscess and cavity formation which are frequently multiple and large; and a greater frequency of pleural effusion and empyema
  • 22.
  • 23.
    Chlamydia Pneumonia common causeof community acquired pneumonia Most common radiographic finding are airspace consolidation with interstitial infiltrates, combined interstitial and airspace infiltrates and pleural effusion.
  • 24.
    Anaerobic Pneumonias •Bacteroides, Clostridium,Fusobacterium, Peptococcus, etc •aspiration of infected oral contents and obvious periodontal disease •Predisposing factors - recent episode of altered consciousness, dysphagia or alcoholism Aspiration pneumonia seen as bilateral middle and lower zone patchy consolidation pneumonias commonly involve the superior and posterobasal segments of the lower lobe and/or posterior segment of upper lobe due to drainage of infected material from the mouth into these segments as the patient lies on his back (gravitational pneumonia).
  • 25.
    Three types ofradiographic appearances may be seen— • pulmonary parenchymal infection, •Pneumonia with cavitation or •discrete lung abscess, each of which may be associated with empyema. Anaerobic lung abscess in an alcoholic patient with poor orodental hygiene Lung abscess is seen in posterior segment of the right upper lobe with thick irregular walls focal cavitary mass with very little surrounding consolidation – the so called ‘primary lung abscess’
  • 26.
    Actinomyces israeli Pulmonary actinomycoticinfection usually manifests with a mass or pneumonia, which predominantly affects the lower lobes chronic segmental airspace consolidation containing necrotic low-attenuation areas (representing actinomycotic or sulfur granules) with peripheral enhancement, (representing granulation tissue in wall of abscess) often accompanied by adjacent pleural thickening, effusion, or empyema bronchiectasis, irregular bronchial wall thickening, and irregular peribronchial consolidation with or without necrotic foci Multiple small cavities may develop within the parenchymal lesion Actinomyces species tend to invade devitalized tissue proteolytic enzymes that allow the infection to cross fascial planes parenchymal destruction and bronchiectasis caused by prior tuberculosis or other infections are predisposed to secondary actinomycotic infection
  • 27.
    Thoracic actinomycosis involvingthe lung parenchyma in a 49-year-old man. (a) Axial contrast-enhanced CT image shows a masslike consolidation in the left lower lobe. Note the areas of low attenuation (arrows) within the contrast-enhanced mass and the adjacent pleural thickening (arrowhead). (b) Axial contrast-enhanced CT image (lung window) obtained at the same level as a shows a poorly defined subpleural mass. (c) Photograph of the gross pathologic specimen obtained at lobectomy of the left lower lobe shows a yellowish mass (arrows) with necrotic foci (arrowheads). Each scale division is 0.5 cm.
  • 28.
    Parenchymal actinomycosis manifestingas a cavitary mass in a 46-year-old man. (a) Axial contrast- enhanced CT image shows an irregular and cavitary nodular consolidation containing a low-attenuation area in the right lower lobe. (b) Axial contrast- enhanced CT image (lung window) obtained at the same level as a shows that this mass is surrounded by areas of ground-glass attenuation. Smooth pleural tags are shown. (c) Axial contrast-enhanced CT image obtained at follow-up 10 months after the start of antibiotic therapy shows complete resolution of the cavitary consolidation, with residual cystic bronchiectasis.