FOCAL LIVER LESIONS
MODERATOR – DR. PRASANTHI MDRD
PRESENTOR – DR. SWETHA
Focal liver lesions
BENIGN
Hemangioma
Focal nodular
hyperplasia(FNH)
 Adenoma
Cyst
Abscess
MALIGNANT
Hepatocellular
carcinoma(HCC)
Fibrolamellar carcinoma(FLC)
Intrahepatic
cholangiocarcinoma(ICCA)
Metastases
Hepatoblastoma
Angiosarcoma
For detection, characterization & differentiation of
benign and malignant liver lesions.
Non contrast CT- Calcification, fat,
hemorrhage.
 Contrast CT- Arterial phase
Portal venous phase
Delayed phase
Arterial phase
20-40sec
Hypervascular tumors enhance via the hepatic artery,
when normal liver parenchyma does not yet enhance,
because contrast is not yet in the portal venous system.
Hypervascular tumors enhance optimally at 35 sec
after contrast injection.
Hypervascular lesions
Benign:

Hemangioma

Adenoma

FNH
Malignant:

HCC

Metastases(RCC,carcinoi
d,thyroid
ca,NET,sarcoma)
Portal venous phase
Normal liver parenchyma enhances in this phase.
To detect hypovascular tumors(more common,
majorities are metastases).
Scanning is done at about 75 seconds.
Delayed phase
Begins at about 3-4minutes after contrast
injection.
Valuable for washout of contrast (HCC), retention
of contrast in blood pool (hemangioma) &
retention of contrast in fibrous tissue (capsule of
HCC, central scar of FNH).
HEMANGIOMA
Commonest benign hyper vascular liver tumor.
Is composed of multiple vascular channels lined by endothelial
cells.
Usually asymptomatic & frequently diagnosed as an incidental
finding on imaging.
More common In female.
Size varies from a few mm to more than 10 cm (giant
hemangioma).
Calcification is rare & seen in <10%, usually in the central scar of
giant hemangioma.
USG
Typically well defined, homogeneous & hyper- echoic
lesions(67%-79%).
May be hypoechoic, within background of fatty liver.
Post acoustic enhancement.
Giant hemangioma -heterogeneous with central hypo -
echoic foci.
On CT scan
CECT - Discontinuous, nodular, peripheral
enhancement starting at arterial phase & gradual
central filling in.
Retention of contrast in delayed phase.
Enhancement must match blood pool in each
phase(similar to aorta in arterial phase , portal vein in
portal venous phase).
MRI
T1WI: Hypo-intense relative to liver parenchyma.
T2WI: Significantly hyperintense –producing light bulb
appearance.
T1C+(GD):Nodular enhancement
FOCAL NODULAR HYPERPLASIA
2nd
most common benign tumor of liver.
Characterized by a central fibrous scar surrounded by
nodules of hyperplasic hepatocytes & small bile ductules.
More prevalent in women of reproductive age &
associated with OCP use.
Usually solitary(95%).
No capsule.
Asymptomatic.
USG
Subtle iso-echoic mass with contour abnormality.
Displacement of vascular structure.
Central scar- hypo-echoic linear or stellate
area, may be hyper-echoic.
Doppler study: well developed peripheral & central blood
vessels are seen.
CT SCAN
NECT: Homogeneous low density mass, often with a
central low density (central scar).
CECT: lesion enhance markedly & uniformly in arterial
phase with exception of central scar.
Isodense to normal liver parenchyma in PVP.
Contrast accumulates within the central scar in delayed
phase.
MRI
T1WI: Iso-intense to normal liver parenchyma.
T2WI: Iso to slightly hyper-intense.
Central scar is hypointense inT1WI & hyperintense
in T2WI
HEPATIC ADENOMA
Lacks of portal tracts, hepatic vein, kupffer cell & biliary
canaliculi. Fat & glycogen rich hepatocytes are often present.
Most common in women, with H/O OCP or anabolic steroid.
Usually solitary.
Central hemorrhage/necrosis.
Thin capsule.
 Complication: potential for rupture & may result
hemoperitonium , risk of malignant transformation.
USG
Nonspecific
The echogenecity may be
iso, hypo , hyperechoic or
mixed.
CT SCAN:
NECT: low attenuation mass (fat, glycogen), high
density if hemorrhage present.
CECT: early peripheral with centripetal
enhancement, no retention of contrast in
later phases because of AV shunting .
MRI
T1WI: mildly increased signal intensity( fat &
hemorrhage).
T2WI: heterogeneous with iso, hypo &
hyperintense areas.
Capsule-hypointense rim.
T1C+(GD) : similar to CECT.
HEPATOCELLULAR
CARCINOMA(HCC)
Commonest primary malignant neoplasm of liver.
Consists of abnormal hepatocytes arranged in a typical
trabecular pattern.
May be solitary, multiple nodules or diffusely
infiltrating.
80% of HCC occur in cirrhotic liver.
There is propensity toward venous invasion(PV>HV).
USG
 Variable in appearance.
usually hypoechoic.
A thin ,peripheral hypoechoic halo( fibrous capsule).
Larger tumors often are heterogeneous (necrosis,hge &
fibrosis).
May invade the portal & hepatic veins.
Most tumor will show central vascularity on Doppler
study.
CT SCAN
NECT: large hypodense mass, often with central area of
low attenuation(necrosis).
May be isodense to liver.
CECT: non necrotic area enhances strongly in arterial
phase & early washout in subsequent phases.
Detection of venous invasion (portal,hepatic veins,IVC).
MRI
T1WI : variable (fatty change, internal
fibrosis,hge)
T2WI : hyperintense
Capsule : hypo in T1 &T2WI
CEMR : similar to CECT
HCC RNs DPNs
NECT Hypo/ isodense Iso to liver except
siderotic nodule
Hypo to liver but
may be iso or hyper
CECT Early enhancement
in arteial phase &
early washout in
later phases.
Same as liver
parenchyma
Low grade- same as
liver parenchyma
High grade- early
enhancement in
arterial phase but
not early wash out
in delayed phase..
T1WI LOW SI variable High SI
T2WI High(mild to
moderate) SI
Iso/low SI iso/low SI
DWI Restricted diffusion no no
FIBROLAMELLAR CARCINOMA
 Histologic subtype of HCC.
Found in young adults & adolescents.
No coexisting liver disease.
Hemorrhage & necrosis –rare.
A fibrous central scar may present.
Calcification is common(within the scar in stellate
pattern).
USG
Echogenecity of FLC is variable.
Puncate calcification & central echogenic scar.
CT SCAN:
NECT: well defined ,low density mass with a more
low attenuating central scar.
CECT: moderate enhancement of the lesion with
delayed enhancement of scar.
MRI
T1WI: Isointense to normal liver.
T2WI: iso to slightly hyperintense.
Lac of hemorrhage & necrosis.(HCC- common).
Central scar is hypointense in both T1WI & T2WI
HCC FLC
Risk factor Occur in cirrhotic liver Normal liver
Age Old Age Young adult
S.AFP Elevated Normal
Central scar Less common More common
Hemorrhage, necrosis more less
Calcification
Portal vein thrombus
Less common
More common
More common
Less common
INTRAHEPATIC CHOLANGIOCARCINOMA
An adenocarcinoma, originates in small intrahepatic
ducts.
10% of all cholangiocarcinoma.
Usually large, firm masses with abundant fibrous tissue.
Desmoplastic reaction is prominent.
Age: 7th
decade. M>F.
Increased incidence- carolis disease, sclerosing
cholangitis, IH calculi & IBD.
ON USG
Mass-forming: tumors will be a homogeneous
mass of intermediate echogenicity with a
peripheral hypoechoic halo of compressed liver
parenchyma.
They tend to be well delineated but irregular in
outline and are often associated with capsular
retraction which, if present, helps distinguish
cholangiocarcinomas from other hepatic tumours
Periductal infiltrating: tumors typically are
associated with altered caliber bile duct (narrowed
or dilated) without a well-defined mass.
Intraductal: tumors are characterized by alterations
in duct caliber, usually duct ectasia with or without
a visible mass. If a polypoid mass is seen, it is
usually hyperechoic compared to surrounding
liver .
USG
CT SCAN
NECT: well defined round to oval hypo dense mass.
CECT: typically shows early peripheral
 enhancement. Centre of the tumor remains no
enhanced (abundant fibrous stroma).
In delayed phase centre of the tumor is enhanced.
Capsule retraction and biliary dilatation adjacent to
mass is highly suggestive of ICCA.
MRI
The tumour is hypointense on T1WI & hyperintense on
T2WI with an irregular contour.
Strongly hyperintense areas on T2WI- necrosis.
DWI: peripherally hyperintense target appearance.
CEMRI is similar to CECT.
HCC IHCC
Pathology Soft tumor(lack of stroma) Hard mass(abundant
fibrous tissue)
Risk factor Cirrhosis, alcoholism Sclerosing cholangitis
carolies disease,IBD
Hge & necrosis Common rare
Capsular retraction Less common Common(fibrosis)
Vascular invasion common Less common
NECT Hypodense Homogenous hypodense
CECT Early enhancement(Arterial
phase),
early washout( later
phases).
Heterogeneous minor
peripheral enhancement
with gradual enhancement
centrally.
Metastases
Liver is the most common site of metastasis.
Usually multiple.
Majorities are hypovascular (GI tract,lung breast& head,neck
tumour, lymphoma).
Hypervascular metastasis are less .(NET, RCC, carcinoid, sarcoma,
melanoma).
Calcified metastases are uncommon( colon, stomach,
breast,melanoma).
Cystic meatstases occur from mucinous ca of ovary, colon, sarcoma,
melanoma).
USG
•rounded and well-defined
•positive mass effect with distortion of adjacent vessels
•hypoechoic: most common ~65% and is a concerning
feature
•hypoechoic halo due to compressed and fat-spared liver
•cystic, calcified, infiltrative, and echogenic appearances
are all possible
CT SCAN
NECT: Typically hypodense, may be iso or
hyperdense, cystic, mixed,calcified.
CECT: Enhancement is typically peripheral in
arterial phase & washout in delayed phase.
MRI
Variable but usually most metastatic nodules are
hypointense on T1W & hyperintense on T2WI.
High signal intensity in T1WI- mets from melanoma,
ca colon.
Higher signal on T2WI- mets with liquifective
necrosis.
CEMRI: variable.
hemangioma ICCA metastasis
age Any age Older age(7th
decade)
Older(but can
occur any age)
sex F M M=F
MRI(T2WI) Iight bulb
appearance
Hyperintense Variable
Cystic—light bulb
Post contrast Nodular
peripheral
enhancement
Mild
heterogenious
peripheral
enhancement,exc
ept central scar
Peripheral rim
like enhancement
Bile duct invasion no common Less common
Capsular
retraction
No common No
THANK YOU

FOCAL LIVER LESIONS.pptx MMMMMMMMMMMMMMM

  • 1.
    FOCAL LIVER LESIONS MODERATOR– DR. PRASANTHI MDRD PRESENTOR – DR. SWETHA
  • 2.
    Focal liver lesions BENIGN Hemangioma Focalnodular hyperplasia(FNH)  Adenoma Cyst Abscess MALIGNANT Hepatocellular carcinoma(HCC) Fibrolamellar carcinoma(FLC) Intrahepatic cholangiocarcinoma(ICCA) Metastases Hepatoblastoma Angiosarcoma
  • 3.
    For detection, characterization& differentiation of benign and malignant liver lesions. Non contrast CT- Calcification, fat, hemorrhage.  Contrast CT- Arterial phase Portal venous phase Delayed phase
  • 4.
    Arterial phase 20-40sec Hypervascular tumorsenhance via the hepatic artery, when normal liver parenchyma does not yet enhance, because contrast is not yet in the portal venous system. Hypervascular tumors enhance optimally at 35 sec after contrast injection.
  • 5.
  • 6.
    Portal venous phase Normalliver parenchyma enhances in this phase. To detect hypovascular tumors(more common, majorities are metastases). Scanning is done at about 75 seconds.
  • 7.
    Delayed phase Begins atabout 3-4minutes after contrast injection. Valuable for washout of contrast (HCC), retention of contrast in blood pool (hemangioma) & retention of contrast in fibrous tissue (capsule of HCC, central scar of FNH).
  • 8.
    HEMANGIOMA Commonest benign hypervascular liver tumor. Is composed of multiple vascular channels lined by endothelial cells. Usually asymptomatic & frequently diagnosed as an incidental finding on imaging. More common In female. Size varies from a few mm to more than 10 cm (giant hemangioma). Calcification is rare & seen in <10%, usually in the central scar of giant hemangioma.
  • 9.
    USG Typically well defined,homogeneous & hyper- echoic lesions(67%-79%). May be hypoechoic, within background of fatty liver. Post acoustic enhancement. Giant hemangioma -heterogeneous with central hypo - echoic foci.
  • 10.
    On CT scan CECT- Discontinuous, nodular, peripheral enhancement starting at arterial phase & gradual central filling in. Retention of contrast in delayed phase. Enhancement must match blood pool in each phase(similar to aorta in arterial phase , portal vein in portal venous phase).
  • 11.
    MRI T1WI: Hypo-intense relativeto liver parenchyma. T2WI: Significantly hyperintense –producing light bulb appearance. T1C+(GD):Nodular enhancement
  • 14.
    FOCAL NODULAR HYPERPLASIA 2nd mostcommon benign tumor of liver. Characterized by a central fibrous scar surrounded by nodules of hyperplasic hepatocytes & small bile ductules. More prevalent in women of reproductive age & associated with OCP use. Usually solitary(95%). No capsule. Asymptomatic.
  • 15.
    USG Subtle iso-echoic masswith contour abnormality. Displacement of vascular structure. Central scar- hypo-echoic linear or stellate area, may be hyper-echoic. Doppler study: well developed peripheral & central blood vessels are seen.
  • 16.
    CT SCAN NECT: Homogeneouslow density mass, often with a central low density (central scar). CECT: lesion enhance markedly & uniformly in arterial phase with exception of central scar. Isodense to normal liver parenchyma in PVP. Contrast accumulates within the central scar in delayed phase.
  • 17.
    MRI T1WI: Iso-intense tonormal liver parenchyma. T2WI: Iso to slightly hyper-intense. Central scar is hypointense inT1WI & hyperintense in T2WI
  • 21.
    HEPATIC ADENOMA Lacks ofportal tracts, hepatic vein, kupffer cell & biliary canaliculi. Fat & glycogen rich hepatocytes are often present. Most common in women, with H/O OCP or anabolic steroid. Usually solitary. Central hemorrhage/necrosis. Thin capsule.  Complication: potential for rupture & may result hemoperitonium , risk of malignant transformation.
  • 22.
    USG Nonspecific The echogenecity maybe iso, hypo , hyperechoic or mixed.
  • 23.
    CT SCAN: NECT: lowattenuation mass (fat, glycogen), high density if hemorrhage present. CECT: early peripheral with centripetal enhancement, no retention of contrast in later phases because of AV shunting .
  • 24.
    MRI T1WI: mildly increasedsignal intensity( fat & hemorrhage). T2WI: heterogeneous with iso, hypo & hyperintense areas. Capsule-hypointense rim. T1C+(GD) : similar to CECT.
  • 26.
    HEPATOCELLULAR CARCINOMA(HCC) Commonest primary malignantneoplasm of liver. Consists of abnormal hepatocytes arranged in a typical trabecular pattern. May be solitary, multiple nodules or diffusely infiltrating. 80% of HCC occur in cirrhotic liver. There is propensity toward venous invasion(PV>HV).
  • 28.
    USG  Variable inappearance. usually hypoechoic. A thin ,peripheral hypoechoic halo( fibrous capsule). Larger tumors often are heterogeneous (necrosis,hge & fibrosis). May invade the portal & hepatic veins. Most tumor will show central vascularity on Doppler study.
  • 30.
    CT SCAN NECT: largehypodense mass, often with central area of low attenuation(necrosis). May be isodense to liver. CECT: non necrotic area enhances strongly in arterial phase & early washout in subsequent phases. Detection of venous invasion (portal,hepatic veins,IVC).
  • 32.
    MRI T1WI : variable(fatty change, internal fibrosis,hge) T2WI : hyperintense Capsule : hypo in T1 &T2WI CEMR : similar to CECT
  • 34.
    HCC RNs DPNs NECTHypo/ isodense Iso to liver except siderotic nodule Hypo to liver but may be iso or hyper CECT Early enhancement in arteial phase & early washout in later phases. Same as liver parenchyma Low grade- same as liver parenchyma High grade- early enhancement in arterial phase but not early wash out in delayed phase.. T1WI LOW SI variable High SI T2WI High(mild to moderate) SI Iso/low SI iso/low SI DWI Restricted diffusion no no
  • 35.
    FIBROLAMELLAR CARCINOMA  Histologicsubtype of HCC. Found in young adults & adolescents. No coexisting liver disease. Hemorrhage & necrosis –rare. A fibrous central scar may present. Calcification is common(within the scar in stellate pattern).
  • 36.
    USG Echogenecity of FLCis variable. Puncate calcification & central echogenic scar. CT SCAN: NECT: well defined ,low density mass with a more low attenuating central scar. CECT: moderate enhancement of the lesion with delayed enhancement of scar.
  • 39.
    MRI T1WI: Isointense tonormal liver. T2WI: iso to slightly hyperintense. Lac of hemorrhage & necrosis.(HCC- common). Central scar is hypointense in both T1WI & T2WI
  • 41.
    HCC FLC Risk factorOccur in cirrhotic liver Normal liver Age Old Age Young adult S.AFP Elevated Normal Central scar Less common More common Hemorrhage, necrosis more less Calcification Portal vein thrombus Less common More common More common Less common
  • 42.
    INTRAHEPATIC CHOLANGIOCARCINOMA An adenocarcinoma,originates in small intrahepatic ducts. 10% of all cholangiocarcinoma. Usually large, firm masses with abundant fibrous tissue. Desmoplastic reaction is prominent. Age: 7th decade. M>F. Increased incidence- carolis disease, sclerosing cholangitis, IH calculi & IBD.
  • 43.
    ON USG Mass-forming: tumorswill be a homogeneous mass of intermediate echogenicity with a peripheral hypoechoic halo of compressed liver parenchyma. They tend to be well delineated but irregular in outline and are often associated with capsular retraction which, if present, helps distinguish cholangiocarcinomas from other hepatic tumours
  • 44.
    Periductal infiltrating: tumorstypically are associated with altered caliber bile duct (narrowed or dilated) without a well-defined mass. Intraductal: tumors are characterized by alterations in duct caliber, usually duct ectasia with or without a visible mass. If a polypoid mass is seen, it is usually hyperechoic compared to surrounding liver .
  • 45.
  • 46.
    CT SCAN NECT: welldefined round to oval hypo dense mass. CECT: typically shows early peripheral  enhancement. Centre of the tumor remains no enhanced (abundant fibrous stroma). In delayed phase centre of the tumor is enhanced. Capsule retraction and biliary dilatation adjacent to mass is highly suggestive of ICCA.
  • 49.
    MRI The tumour ishypointense on T1WI & hyperintense on T2WI with an irregular contour. Strongly hyperintense areas on T2WI- necrosis. DWI: peripherally hyperintense target appearance. CEMRI is similar to CECT.
  • 51.
    HCC IHCC Pathology Softtumor(lack of stroma) Hard mass(abundant fibrous tissue) Risk factor Cirrhosis, alcoholism Sclerosing cholangitis carolies disease,IBD Hge & necrosis Common rare Capsular retraction Less common Common(fibrosis) Vascular invasion common Less common NECT Hypodense Homogenous hypodense CECT Early enhancement(Arterial phase), early washout( later phases). Heterogeneous minor peripheral enhancement with gradual enhancement centrally.
  • 52.
    Metastases Liver is themost common site of metastasis. Usually multiple. Majorities are hypovascular (GI tract,lung breast& head,neck tumour, lymphoma). Hypervascular metastasis are less .(NET, RCC, carcinoid, sarcoma, melanoma). Calcified metastases are uncommon( colon, stomach, breast,melanoma). Cystic meatstases occur from mucinous ca of ovary, colon, sarcoma, melanoma).
  • 53.
    USG •rounded and well-defined •positivemass effect with distortion of adjacent vessels •hypoechoic: most common ~65% and is a concerning feature •hypoechoic halo due to compressed and fat-spared liver •cystic, calcified, infiltrative, and echogenic appearances are all possible
  • 55.
    CT SCAN NECT: Typicallyhypodense, may be iso or hyperdense, cystic, mixed,calcified. CECT: Enhancement is typically peripheral in arterial phase & washout in delayed phase.
  • 57.
    MRI Variable but usuallymost metastatic nodules are hypointense on T1W & hyperintense on T2WI. High signal intensity in T1WI- mets from melanoma, ca colon. Higher signal on T2WI- mets with liquifective necrosis. CEMRI: variable.
  • 59.
    hemangioma ICCA metastasis ageAny age Older age(7th decade) Older(but can occur any age) sex F M M=F MRI(T2WI) Iight bulb appearance Hyperintense Variable Cystic—light bulb Post contrast Nodular peripheral enhancement Mild heterogenious peripheral enhancement,exc ept central scar Peripheral rim like enhancement Bile duct invasion no common Less common Capsular retraction No common No
  • 60.

Editor's Notes

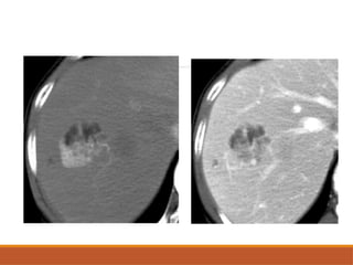
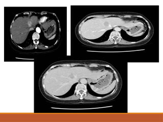
  • #5 This is the axial cect image in arterial pjhase showing the well defined uniformly enhancing lesions – this is a case of hypervasculat metastasia from melanoma
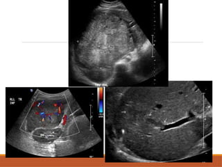
  • #12 Grey scale usg image showing well defined hyperecheic lesion in segment 6 of right lobe Axial cect image in portal veous phase showing giant hemangioma in left lobe of liver with peripheral nodular enhamncement
  • #13 Axail T1 and T2 weighted images showing T1 hypointense and T2 hyperintense tumour in segment 6 of right lobe suggestive of giant hemangioma
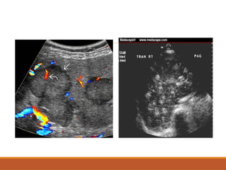
  • #18 Grey scale usg image showing a well defined isodense mass in segment 7 of right lobe on doppler interrogation there is a stellate pattern of blood vessel arrangement
  • #19 Axail cect image of focal nodular hyperplasia in arterial and portal venous phase showing arterially hypervascular mass with a central non-enhanced scar in segment V of the liver which isodense with surrounding hepatic parenchyma on the portal venous and delayed phases. 
  • #20 There is a T1 and T2 isointense lesion in segment 4 a The lesion is uniformly avid enhancing in arterial phase and iso/slight hyperintensity during the portal venous phase. The 20 minutes delayed image demonstrate persistent intralesional hyperintensity and this confirms the diagnosis of FNH.
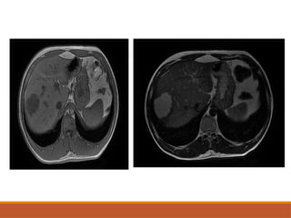
  • #25 Axial cect ct image of hepatic adenoma showing arterial phase heterogenous intensity ;esion and washout of contrats in portal venoud phase with fat attenuating areas within the lesion – suggestive of hepatic adenoma
  • #29 These are the grey scale usg image showing illldefined heterogeneously isoeceic lesion noted in segment 6 and 7 of right lobe with peripheral hypoeceic rim suggesting fibrous capsule On doppelr study there is asignificant internal vascularity within the lesion Another image of hcc showing invasion of tumoir into the right brmach of the portal vein
  • #31 Axial cect images of hcc in segment 4a in showing enhancement odf elsion in arterial phase and washout of tumour in portal venous phase and delayed phases So early washout of the contrast suggestive of hcc
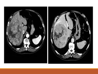
  • #33 Axial t2 weighted image showing hetrogebous intensity lesion in right lobe of liber with heterogenous enhancenment in arterial phase nafd washout of contrast in portal venous phase
  • #37 Grey scale usg images showing illdefined isoeceic mass with central hypoeciec area suggesting a scar
  • #38 Axual cect image of fcc showing a large lesion in the right lobe, heterogeneously enhancing in the arterial phase, with more homogenous enhancement in the portal venous phase. The central part of the lesion appears to be non enhancing – likely scar site
  • #40 Axial mr images showing a Large well defined heterogenous mass in the left lobe of liver, No diffusion restriction largely only rim enhancement with washout and persistent delayed enhancement of the capsule with large non enhancing central necrosis. No synchronous lesion. No background hepatic cirrhosis.
  • #47 Axial cect images showing illdefined infiltrative lesions noted involving segment 4 a and 8 of liver with heterogenous enhambncement in portal vfenous phase There are few peripherally enhancing focal lesions noted adjacent to the above mentioned lesion There is also infiltration of lesion into portal vein Diffuse infiltrative lesion is noted involving subsegment IVa and VIII of the liver, it is ill defined, hypodense with evidence of peripheral enhancement in portovenous phase and becomes smaller in the delayed phase. It is associated with localized intra hepatic biliary radical dilatation at the left hepatic lobe and with mulitple variable size scattered focal lesion at both hepatic lobes showing marginal enhancement. Nevertheless, there is traction on the hepatic capsule at the anterior segment of right lobe and thrombus wtihin the SMV and partially occluding the main PV. Bone window images show two small osteolytic lesions at L3 vertebral body and another one at the right ileum. Lung bases show few subcentimetric pulmonary nodules at the left lower lobe. Simple right renal cyst and minimal ascites are noted.
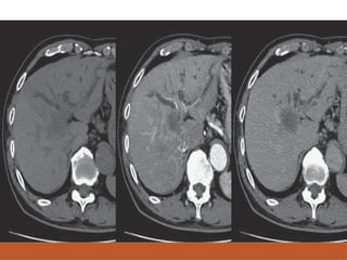
  • #48 Axial plain image showing intrahepatic biliary radicular dilation and illdefine dhypodense lesion in segment 5 On cect in arterial phase the lesion is showing peripheral enhnacenet with retention of contrat in delayed phases IHBRD with retention of contrats in delayed phass indicates cholangiocarcinoma
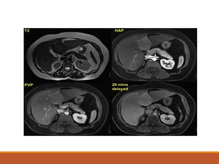
  • #50 Axial T1 nad T1 c images showing a illdefined T1 hypointense lesion in seg 4 and 5, 8 of liver with associated intrahepatic biliary radicular dilation The elsion is showing heterogenous contrast enhnacm,ent and retention of contsrt in delayed pahses
  • #54 Grey scale usg image sshowing multiple well dined isoecheic lesions noted with peripheral hypoecheic rim with internal vasculairity Another rimage sshowing multiple hyperecheic leisons
  • #56 Axial cect image showing well defined peripherally ehnacing lesion with washout of contart in delayed phases