HEMODYNAMIC DISORDERS
&
THROMBOSIS
Edema
Edema
Normal alveoli
Pulmonary Edema
Fluid in Trachea/Bronchi
Abdominal Ascites
Edematous Brain
Normal Brain
Hyperemia and Congestion
Congestion and Hyperemia
CONGESTION AND HYPEREMIA
Congested Lungs
Acute Pulmonary Congestion
Heart Failure Cells” in Alveoli“
Chronic Pulmonary Congestion
Congested and Enlarged Spleen
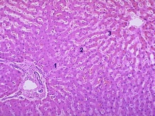
Nutmeg Liver
• A descriptive term for a liver with chronic
passive congestion, a hepatopathy due to
cardiac decompensation and failure.
• If the congestion is severe, these changes may
be accompanied by haemorrhagic necrosis
Nutmeg liver
Microscopically, the nutmeg pattern results from congestion
around the central veins, as seen here.
This is usually due to a "right sided" heart failure

.
• Liver is divided histologically into lobules.
• The center of the lobule is the central vein.
• At the periphery of the lobule are portal triads.
• Functionally, the liver can be divided into
three zones, based upon oxygen supply.
• Zone 1 encircles the portal tracts where the
oxygenated blood from hepatic arteries enters.
•
• Zone 3 is located around central veins, where
oxygenation is poor. Zone 2 is located in
between.
Hemorrhage
• Petechiae measure less than 3 mm.

• Purpura measure 0.3–1 cm.

• Ecchymoses greater than 1 cm.
• Here are petechial
hemorrhages seen
on the epicardium
of the heart.
• Petechiae (pinpoint
hemorrhages)
represent bleeding
from small vessels
and are classically
found when a
coagulopathy is due
to a low platelet
count.
• They can also
appear following
sudden hypoxia.
• The blotchy areas of hemorrhage in the skin are
called ecchymoses (singular ecchymosis), or also as
areas of purpura.
• Ecchymoses are larger than petechiae.
• They can appear with coagulation disorders.
Intracerebral Hemorrhage

Photo: Kumar, Cotran, Robbins. Robbins Basic pathology, 7 th ed., Saunders, Philadelphia, 2003.
Intracerebral Hemorrhage
Pericardial Hemorrhage
Hemostasis and Thrombosis
THROMBOSIS -Virchow triad
Thrombus - Morphology
Venous

Arterial
 Arise in arteries

 Arise in deep veins and
superficial veins (popleteal 
Femoral Iliac),

 Grow in retrograde fashion
(towards the heart)

 Antigrade

 Forms at site of Endothelial
injury (AS), turbulence
(aneurysms)

 At site of stasis (lower
extremities)

 Pale/ white

 Red / dark

 Lines of Zahn

 No lines of Zahn
• These are "lines of Zahn" which are the alternating
pale pink bands of platelets with fibrin and red
bands of RBC's forming a true thrombus.
Venous Thrombi: Clinical
Thrombotic Vegetations
Mitral Valve

Photo: Stevens A, Lowe J. Slide atlas of pathology. Mosby, London, 1995.
Abdominal Aortic Aneurysm Thrombus
(Deep Vein Thrombosis (DVT
Plaque with Recent Thrombus
Thrombosis
Outcomes

Photo: Kumar, Cotran, Robbins. Robbins Basic pathology, 7 th ed., Saunders, Philadelphia, 2003.
Early Organizing Thrombus
Embolism
Embolization (Embolus(
Thromboembolism of Pulmonary Artery

Photo: Kumar, Cotran, Robbins. Robbins Basic pathology, 7 th ed., Saunders, Philadelphia, 2003; . Stevens A, Lowe J. Slide atlas of pathology. Mosby, London, 1995.
Infarction
Infarction (Infarct(
(Lung (Left(; Spleen (Right

Photo: Kumar, Cotran, Robbins. Robbins Basic pathology, 7 th ed., Saunders, Philadelphia, 2003.
Pulmonary Infarction
Small Intestine Infarction
Kidney Infarction
(Replaced by Fibrotic Scar (Left
Pale Infarct (Wedge( of Spleen
Thanks

Hemodynamic disorders, thrombosis and shock (practical pathology)