Fadel Muhammad Garishah et Al
Prinsip Pengamatan dan Identifikasi
• Lihat preparat, pada preparat darah tepi normalnya tidak
terdapat seri muda tetapi pada preparat sumsum tulang
bisa didapatkan hampir semua seri
• Amati bentuk sel, mulai dari sitoplasma (sangat biru seri
eritrositik muda, biru seri blas myeloid/lymphoid,
keunguan seri tua myeloid/lymphoid
• Rasio N/C (Nucleus-Cytoplasm), makin besar berarti seri
muda, lihat komponen sitoplasma yang tersisa makin
banyak komponen sitoplasma berarti seri semakin tua.
• Anak inti, bila ada berarti seri muda (blast/promielosit),
jumlah 1-4 myeloblas, jumlah 1-2 lymphoblas
• Ukuran pada meta (kurang 1/3), staff/stab/batang (seperti
pisang), segmen (sudah terdapat filamen)
Neutrofil Segmen
Neutrofil Batang/Stab/Staff
Eosinofil (Segmen)
Basofil
Limfosit Kecil (perhatikan sitoplasma
sedikit)
Limfosit reaktif pada infeksi
Reactive atau “atypical” lymphocytes viral infections such as EBV or CMV mononucleosis or other viral infections but may
also be seen in other reactive conditions.
The cells are larger than a mature small lymphocyte and contain deep blue cytoplasm with peripheral accentuation. The nuclei are
round to oval or indented with dense chromatin and sometimes with distinct nucleoli. The distinctive appearance of reactive
lymphocytes is because of their larger size, deeply blue cytoplasm and “skirting” of cytoplasm around red blood cells.
Limfosit Besar
Monosit, bedakan dari inti dengan
Limfosit Besar dan Ukuran dengan
eritrosit
1=Red blood cell, 2=Platelet, 3=Small
lymphocyte, 4=Neutrophil, 5=Basophil.
Limfosit Plasma Biru
Preparat Sumsum Tulang Normal: Area Biru gelap adalah tempat
hematopoiesis, area yang berlubang-lubang adalah sel-sel lemak
sumsum tulang
Keterangan: 1 = Myeloblast, 2 = Promyeloocyte, 3 = Myelocyte, 4 = Metamyelocytes, 5 = Band neutrophil, 6
= Segmented neutrophil, 7 = Eosinophil, 8 = Monocyte, 9 =Proerythroblast, 10 = Basophilic erythroblasts, 11
= Polychromatic erythroblast, 12 = Orthochromatic erythroblast, 13 = Lymphocyte.
Mieloblas (1) merupakan seri terawal mielositik, ditandai dengan sitoplasma belum
bergranuila, nukleus dengan kromatin yang longgar, serta anak inti 1-4 buah.
Promielosit (2) merupakan kelanjutan seri mieloblas, ditandai dengan ukuran yang lebih
kecil, kromatin mulai memadat, anak inti 1-2, terdapat granula azurofilik.
Monosit menunjukkan lebih banyak sitoplsma, lebih sedikit granula bila dibandingkan
dengan promielosit, dan tidak memiliki anak inti.
(4) Basofilik Eritroblas merupakan seri ke-2 setelah proeritroblas, warna sitoplasma biru
gelap, dan kromatin inti yang padat tanpa pemisahan uintisel.
(5) Ortokromatik Eritrosit ditandai sitoplasma berhemoglobin (mirip eritrosit), dengan inti
yang eksentrik dan nampak sangat gelap.
(6) Limfosit kecil, nampak memiliki sitoplasma yang sangat sedikit, ukurannya sedikit lebih
besar dari eritrosit, kromatin padat
1 = Proerythroblast, 2 = Basophilic erythroblast, 3 =
Polychromatic erythroblast, 4 = Promyelocyte, 5 =
Myelocyte, 6 = Early band neutrophil, 7 =Late band
neutrophil, 8 = Segmented neutrophil, 9 = Band
eosinophil, 10 = Monocyte, 11 = Small lymphocyte.
1 = Myelocytes, 2 = Metamyelocyte, 3 = Band
neutrophil, 4 = Segmented neutrophil, 5 =
Basophilic myelocyte, 6 = mature basophil, 7 =
Monocyte, 8 = Small lymphocyte, 9 = Erythroid
precursors at various stages of maturation, 10
= Myeloblast.
Perbandingan Proeritroblas (1) dan Mieloblas (2):Proeritroblas sitoplasma lebih biru gelap/basofilik kuat,
anak inti berbentuk koma/melengkung, pada Mieloblas anak inti bulat.
Other cells are: 3 = Myeloocyte, 4 = Neutrophil, 5 = Small lymphocyte, 6 = Smudged cell of unknown
lineage.
Perbedaan myelocyte (1) dan monocytes (2) myelocyte memiliki sitoplasma yang bergranula
dan zona perinuklear sementara monosit tidak berganula. Other cells include a
polychromatic erythroblast (3) and an orthochromatic erythroblast (4).
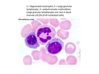
1 = Segmented neutrophil, 2 = Large granular
lymphocyte, 3 = polychromatic erythroblast.
Large granular lymphocytes are rare in bone
marrow (<0.5% of all nucleated cells).
1 = Proerythroblast, 2 = Basophilic
erythroblast, 3 = Polychromatic erythroblast, 4
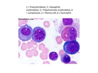
= Lymphocyte, 5 = Plasma cell, 6 = Eosinophil.
1 = Proerythroblasts, 2 = Polychromatic
erythroblasts, 3 = Orthochromatic
erythroblast.
Megakaryocyte (panah tebal) merupakann sel dengan inti sel berlobus yang
multipls, berukuran sangat besar. Sitoplasma yang akan lepas (panah tipis)
merupakan cikal bakal trombosit. metamyelocyte ((1) sel plasma cell yang
bentuknya sedikit janggal (2) are shown.
AML
CML
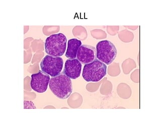
ALL
CLL
Small Lymphocytes >>>

Hematologi

  • 1.
  • 2.
    Prinsip Pengamatan danIdentifikasi • Lihat preparat, pada preparat darah tepi normalnya tidak terdapat seri muda tetapi pada preparat sumsum tulang bisa didapatkan hampir semua seri • Amati bentuk sel, mulai dari sitoplasma (sangat biru seri eritrositik muda, biru seri blas myeloid/lymphoid, keunguan seri tua myeloid/lymphoid • Rasio N/C (Nucleus-Cytoplasm), makin besar berarti seri muda, lihat komponen sitoplasma yang tersisa makin banyak komponen sitoplasma berarti seri semakin tua. • Anak inti, bila ada berarti seri muda (blast/promielosit), jumlah 1-4 myeloblas, jumlah 1-2 lymphoblas • Ukuran pada meta (kurang 1/3), staff/stab/batang (seperti pisang), segmen (sudah terdapat filamen)
  • 4.
  • 5.
  • 6.
  • 7.
  • 8.
    Limfosit Kecil (perhatikansitoplasma sedikit)
  • 9.
    Limfosit reaktif padainfeksi Reactive atau “atypical” lymphocytes viral infections such as EBV or CMV mononucleosis or other viral infections but may also be seen in other reactive conditions. The cells are larger than a mature small lymphocyte and contain deep blue cytoplasm with peripheral accentuation. The nuclei are round to oval or indented with dense chromatin and sometimes with distinct nucleoli. The distinctive appearance of reactive lymphocytes is because of their larger size, deeply blue cytoplasm and “skirting” of cytoplasm around red blood cells.
  • 10.
  • 11.
    Monosit, bedakan dariinti dengan Limfosit Besar dan Ukuran dengan eritrosit
  • 12.
    1=Red blood cell,2=Platelet, 3=Small lymphocyte, 4=Neutrophil, 5=Basophil.
  • 13.
  • 14.
    Preparat Sumsum TulangNormal: Area Biru gelap adalah tempat hematopoiesis, area yang berlubang-lubang adalah sel-sel lemak sumsum tulang
  • 15.
    Keterangan: 1 =Myeloblast, 2 = Promyeloocyte, 3 = Myelocyte, 4 = Metamyelocytes, 5 = Band neutrophil, 6 = Segmented neutrophil, 7 = Eosinophil, 8 = Monocyte, 9 =Proerythroblast, 10 = Basophilic erythroblasts, 11 = Polychromatic erythroblast, 12 = Orthochromatic erythroblast, 13 = Lymphocyte.
  • 16.
    Mieloblas (1) merupakanseri terawal mielositik, ditandai dengan sitoplasma belum bergranuila, nukleus dengan kromatin yang longgar, serta anak inti 1-4 buah. Promielosit (2) merupakan kelanjutan seri mieloblas, ditandai dengan ukuran yang lebih kecil, kromatin mulai memadat, anak inti 1-2, terdapat granula azurofilik. Monosit menunjukkan lebih banyak sitoplsma, lebih sedikit granula bila dibandingkan dengan promielosit, dan tidak memiliki anak inti.
  • 17.
    (4) Basofilik Eritroblasmerupakan seri ke-2 setelah proeritroblas, warna sitoplasma biru gelap, dan kromatin inti yang padat tanpa pemisahan uintisel. (5) Ortokromatik Eritrosit ditandai sitoplasma berhemoglobin (mirip eritrosit), dengan inti yang eksentrik dan nampak sangat gelap. (6) Limfosit kecil, nampak memiliki sitoplasma yang sangat sedikit, ukurannya sedikit lebih besar dari eritrosit, kromatin padat
  • 18.
    1 = Proerythroblast,2 = Basophilic erythroblast, 3 = Polychromatic erythroblast, 4 = Promyelocyte, 5 = Myelocyte, 6 = Early band neutrophil, 7 =Late band neutrophil, 8 = Segmented neutrophil, 9 = Band eosinophil, 10 = Monocyte, 11 = Small lymphocyte.
  • 19.
    1 = Myelocytes,2 = Metamyelocyte, 3 = Band neutrophil, 4 = Segmented neutrophil, 5 = Basophilic myelocyte, 6 = mature basophil, 7 = Monocyte, 8 = Small lymphocyte, 9 = Erythroid precursors at various stages of maturation, 10 = Myeloblast.
  • 20.
    Perbandingan Proeritroblas (1)dan Mieloblas (2):Proeritroblas sitoplasma lebih biru gelap/basofilik kuat, anak inti berbentuk koma/melengkung, pada Mieloblas anak inti bulat. Other cells are: 3 = Myeloocyte, 4 = Neutrophil, 5 = Small lymphocyte, 6 = Smudged cell of unknown lineage.
  • 21.
    Perbedaan myelocyte (1)dan monocytes (2) myelocyte memiliki sitoplasma yang bergranula dan zona perinuklear sementara monosit tidak berganula. Other cells include a polychromatic erythroblast (3) and an orthochromatic erythroblast (4).
  • 22.
    1 = Segmentedneutrophil, 2 = Large granular lymphocyte, 3 = polychromatic erythroblast. Large granular lymphocytes are rare in bone marrow (<0.5% of all nucleated cells).
  • 23.
    1 = Proerythroblast,2 = Basophilic erythroblast, 3 = Polychromatic erythroblast, 4 = Lymphocyte, 5 = Plasma cell, 6 = Eosinophil.
  • 24.
    1 = Proerythroblasts,2 = Polychromatic erythroblasts, 3 = Orthochromatic erythroblast.
  • 25.
    Megakaryocyte (panah tebal)merupakann sel dengan inti sel berlobus yang multipls, berukuran sangat besar. Sitoplasma yang akan lepas (panah tipis) merupakan cikal bakal trombosit. metamyelocyte ((1) sel plasma cell yang bentuknya sedikit janggal (2) are shown.
  • 26.
  • 27.
  • 28.
  • 29.