JOURNAL CLUB - 12.01.17
PRINCIPLES OF MANAGEMENT
OF HAND FRACTURES
Presentor- Dr. REJUL K RAJ
CMCH LUDHIANA
REFERENCES
• ROCK WOOD AND GREENS,
FRACTURES IN ADULTS – VIII th Edition.
• Campbell’s Operative Orthopaedics, XII th Edition.
ANATOMY
• 27 bones
• Carpals (8), metacarpals (5) and phalanges(14).
• The shaft of each metacarpal is curved - characteristic cup
shape.
• MCPJ- Condyloid joints , flexion and extension of the digits,
as well as a very small degree ofabduction and adduction
when the digits are extended.
• Phalanges - has a base, shaft, neck and head that is formed
from two condyles.
• PIPJ, DIPJ - Hinge joints, flexion and extension.
• The joint capsule is reinforced on its volar
aspect by the thickened ligament known as
the volar plate that prevents hyperextension
of the joint.
INTRODUCTION.
• One of the most commmon encountered
injuries.
• Phalangeal (23%) and metacarpal (18%)
fractures to be the second and third most
common fractures below the elbow.
• PREVALENCE AND DISTRIBUTION OF HAND FRACTURES
E. B. H. Van Onselen, R. B. Karim, J. Joris Hage And M. J. P. F. Ritt
Journal of Hand Surgery (British and European Volume, 2003) 28B: 5: 491–495
Injury Mechanisms
• The mechanism of injury description should include ,
– magnitude
– direction
– point of contact
– type of force
1. Axial load or “jamming” injuries -
– shearing articular fractures or metaphyseal compression
fractures-
– catching a falling object-
2. Bending –
– Diaphyseal fractures and joint dislocations-
– ball-handling sports or when the hand is trapped
3. Torsional –
– spiral fractures
– Individual digits can easily be caught in clothing, furniture, or
workplace equipment
4. Crushing
– Bending + shearing + torsion-
– with significant soft tissue injury.
Injuries associated.
• Open injuries.
– Greatest challenge is thin and supple soft tissue
coverage.
• Tendons.
– Dislocations.
• Nerves and vessels.
• Massive hand trauma.
• Bone loss
Signs and symptoms
• Pain, swelling, deformity, stiffness, weakness,
and loss of coordination.
• Numbness and tingling - nerve involvement
• Signs - tenderness, swelling, ecchymosis,
deformity, crepitus, and instability.
Assessment of rotation.
Total active movement: TAM
• by sum of the angles formed by MCP, PIP and DIP joints in maximum
active flexion,
• minus total extension deficit at the MCP, PIP and DIP joints during active
finger extension.
• MCP joint can flex up to 85°
• PIP joint can flex up to 110°
• DIP joint can flex up to 65°.
• If the finger is capable of full extension, the loss of extension is 0°.
• As a result, TAM is measured as 260° (260°-0°: 260°).
• In a normal first finger, the MCP joint - 85° and the IP joint - 90°.
• TAM is measured as 175°.
FUNCTIONAL STABILITY
• Pun WK, Chow SP, So YC, et al.
A prospective study on 284 digital fractures of the hand.
J Hand Surg Am. 1989;14(3):474-81.
• fractures as functionally stable
• if patients could actively move the adjacent joint more
than 30% of the expected range while the alignment of
fracture remained within acceptable range.
• Unstable fracture
• If the patient was not able to move the adjacent joint
more than 30% of the expected range or
• movement resulted in malalignment.
IMAGING
• Anteroposterior
• Lateral
• Splay lateral views
– varying amounts of flexion to prevent phalangeal override
– best show only one digit in a true lateral projection.
• Oblique views -assessing reduction of articular fractures.
• True lateral views - ring and small finger MCs- 10 degrees of
supination
• Index and middle fingers - 10 degrees of pronation.
Description of fractures
• Location within the bone
– (HEAD, NECK, SHAFT, BASE)
• Direction of the fracture plane
– (TRANSVERSE, SPIRAL, OBLIQUE, COMMINUTED)
• Degree of displacement.
• Dislocations -direction the distal segment travels
– (DORSAL, VOLAR, ROTATORY)
• Capacity for closed reduction –
– SIMPLE OR COMPLEX
PRINCIPLES
• Negative effects of surgery on the tissues should not exceed
the negative effects of the original injury.
• Difficult decision making centers on management of the soft
tissues.
• The injured part must not be considered in isolation.
AIM
1. Sufficient stability of the bone or joint injury
2. To permit early motion rehabilitation
3. Without resulting in malunion or residual
instability
• The preferred treatment option is the least
invasive technique that can accomplish these
goals.
5 major treatment alternatives
1. Immediate motion
2. Temporary splinting
3. CRIF
4. ORIF
5. Immediate reconstruction
• External fixation is a variation.
NON operative treatment.
• Advantages
– lower cost
– avoidance of the risks and complications
• Disadvantage
– is that stability is less assured
Closed reduction internal fixation.
• Prevent overt deformity
• Not to achieve an anatomically perfect
reduction.
• Pin tract infection is the prime complication.
Nonoperative Treatment- Principles
• Assessments of rotational malalignment and stability.
• Stability- maintenance of fracture reduction when the
adjacent joints are taken through at least 30% of their
normal motion.
• Contraction of soft tissues begins approximately 72 hours
• Motion should be instituted by this time for all joints stable
enough to tolerate rehabilitation.
• Elevation and elastic compression.
• The more aggressive the surgeon’s management of the injury has
been, the more aggressive must be the rehabilitation.
• Low-energy isolated injuries have far less risk of stiffness.
• If the injury is reducible at all, gentle manipulation will accomplish
the reduction far more successfully than forceful longitudinal
traction.
• The principle is relaxation of deforming forces through proximal
joint positioning such as MP joint flexion to relax the intrinsics or
wrist flexion to relax the digital flexor tendons. part.
• Splints should immobilize the minimum number of joints
• Wrist immobilization - 25 to 35 degrees of extension.
• “Wounded paw” - wrist flexion + MP joint extension–
interphalangeal (IP) joint flexion (the position).
• Full motion of the IP joints should be encouraged
throughout.
• The total duration of immobilization - 3 to 4 weeks.
• Stable enough by this time to tolerate active range of
motion (AROM) with further remodeling by 8 to 10 weeks.
Open reduction internal fixation.
• Add the morbidity of surgical tissue
trauma.
• Titrated against the presumed advantage of
achieving the most anatomic and stable
reduction
Introduction to Distal Phalanx (P3) Fractures
• Terminal point of contact.
• Soft tissue coverage is limited.
• Soft tissue injury is of greater significance
• Hematoma can be seen beneath the nail plate- Open fracture.
• Mechanism – crushing.
• Radiographs - isolated views of the injured digit.
PATHOANATOMY
• Fractures in three primary regions:
– the tuft, shaft, and base
• The two mechanisms .
– sudden axial load (as in ball sports)
– crush injury
• Crush fractures of the tuft are often stable.
• Proximally, the digital flexor and terminal extensor
tendons insert on the volar and dorsal bases of the
distal phalanx.
• Majority of bone flakes at the volar base P3 are FDP
tendon ruptures
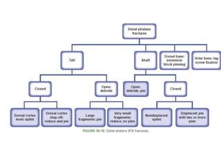
Distal Phalanx Fracture- Treatment Options
CONSERVATIVE.
• Digital splints
• should leave the PIP joint free
• needs to cross the DIP joint simply to gain enough
foundation
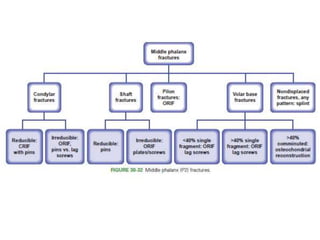
Middle Phalanx (P2) Fractures
• Intra-articular fractures that occur at the base of the middle
phalanx.
• Most functionally devastating of all fractures.
• the most technically difficult to treat.
• head, neck, shaft, and base.
Axial loading patterns ,
• Unicondylar or bicondylar fractures of the head.
• Intra-articular fractures of the base.
• Partial articular fractures
– Dorsal base
– Volar base
– Lateral base
• Complete articular fractures
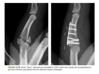
– “pilon” fractures. “
– Unstable in every direction including axially.
Pathoanatomy and Applied Anatomy
Middle Phalanx Fracture- Treatment Options
• Static Splinting.
– Crushing- comminution with no significant displacement.
• Dynamic Extension Block Splinting.
– Volar base of P2 - less than 40% of the articular surface
• Condylar fractures
– CRIF- converging or diverging.
• Unstable shaft fractures
– CRIF – K wiring
– ORIF – Lag screw fixation – if rotational instabiity.
– Plate and screw fixation – if axial instability.
• Temporary Transarticular Pinning for Partial Articular Base
Fractures.
• Volar Base Fractures
– CRIF /ORIF
• Pilon fractures.
– Highly unstable,stifness of PIPJ.
– Dynamic traction / dorsal spring mechanism.
– The general principle is to establish a foundation at the center
of rotation in the head of P1.
– traction (adjustable or elastic) is applied along the axis of P2
to hold the metaphyseal component of the fracture out to
length
– while allowing early motion to remodel the articular surface
Proximal Phalanx (P1) Fractures
• Head - Intraarticular fractures
– partial or complete articular
• Neck - extra-articular fractures
– (extreme PIP limitation)
• Base - extra-articular and intra-articular.
• Shaft extra-articular fractures
– transverse, short oblique, long oblique, or spiral
PATHO ANATOMY – P 1 #
• sheet-like extensor mechanism with a
complex array of decussating collagen fibers
Intrinsic plus position
P 1 – Treatment options.
• Non operative.
– Stable proximal fractures, Transverse shaft.
– Dorsal splinting with the MP joint in flexion.
– discontinued at 3 weeks, followed by AROM .
– Stable + undisplaced – immediate AROM with
buddy strapping.
– Weekly folllow up.
• Operative – CRIF/ORIF
Closed Reduction + Internal Fixation.
• Reducible but unstable isolated fractures.
• For long oblique and spiral fractures
– three K-wires- perpendicular to the fracture
• For neck fractures-
– retrograde pinning may be necessary
• For short oblique and transverse fractures,
– longitudinal K-wires .
Open Reduction and Internal Fixation
• Indications :
– Open fractures
– multiple fractures
– intra-articular fractures with displacement
– Spiral fractures
• lag screws
• to achieve precise control over rotation.
Postoperative Care – P 1 #
• Non operative –
– Restrict splinting to 3 weeks followed by AROM.
• CRIF –
– pin removal at 3 weeks strat AROM.
• ORIF –
– AROM should begin within 72 hours of surgery
and edema control
• Prospective study - 43 fractures
• Inclusion criteria
– Functionally unstable fractures
– Unacceptable radiographic alignment (>10° in both AP and lat)
• RESULTS.
– Good function - 35 patient
– Fair – 6
– Poor – 2 (TAM less than 180)
• Nail traction with digital splint is an effective
and safe technique
Acceptable Reduction- criteria
1. <10º axial angulation – AP
2. <15º axial angulation - lateral view
3. No rotation
4. No collapse
• 32 patients.
• Inclusion criteria
– (1) single-digit, closed, proximal phalangeal
– fracture;
– (2) displaced, extra-articular involvement;
– (3) non-pathological, fresh (<1 week) injury
– (4) noassociated injuries
• The results were excellent in 72%, good in 22%, and poor in
6%.
• Skeletal stability, not rigidity, is necessary for functional
movements of the hand.
• 32 patients.
• Used splint only when the fracture line was stable.
• In case of unstable fractures - K-wire.
• TAM scores of 20 fingers were perfect (≥220°
• for D2-5, ≥150° for D1), for 7 fingers were good (180-
• 220° for D2-5, 120-150° for D1), and for 5 fingers were
• either moderate or poor.
• Kirschner wire fixation is a reliable and simple method of treating
unstable proximal phalangeal fractures.
• In stable proximal phalanx fractures, splints provide sufficient
treatment.
METACARPAL FRACTURES- INTRODUCTION
• Fracture patterns - head, neck, and shaft.
• Transverse Neck and shaft fractures - apex dorsal angulation.
• normal anatomic neck to shaft angle of 15 degrees.
• Evaluation of rotation .
• Ten degrees of malrotation ( 2 cm of overlap at the digital tip)
is the upper tolerable limit.
Pathoanatomy and Applied Anatomy
• formation of the three arches of the hand.
• 20% thicker volar cortex.
• bound to each other by strong interosseous ligaments at their
bases and by the deep transverse intermetacarpal ligaments
distally.
• 2 mm of metacarpal shortening, 7 degrees of extensor lag
• In the sagittal plane, the primary deforming forces are the
intrinsic muscles
– counteracted through MP joint flexion,
– reduction maneuver
Treatment - Nonoperative Management
• Intra-articular fractures of the head and base
– stable and minimally displaced.
• dorsal splint in full MP joint flexion.
• Greater degrees of angulation are tolerable in neck
• Greater angulation is tolerable in the ring and small metacarpals
than in the index and long metacarpals
– because of the increased mobility of the ulnar-sided CMC joints.
• 30 degree at small MT.
Closed Reduction and Internal Fixation
• Isolated metacarpal fractures not meeting the criteria for
nonoperative.
• Extra-articular and intra-articular fractures
• anatomically reducible and stable to the stress of motion
Intramedullary Fixation
• Transverse and short oblique fracture patterns
• large diameter rod such as a Steinmann pin, an expandable
intramedullary device, multiple prebent K-wires
Open Reduction and Internal Fixation
• Indications :
– Intra-articular fractures that cannot be reduced
– multiple fractures without inherent stability
– open fractures especially when associated with tendon
disruptions.
• Internal fixation can be accomplished with
– intraosseous wiring,
– composite wiring,
– screws only, or
– Screws and plates
Post op care- MT #.
• The importance of early motion must be considered in direct
proportion to the magnitude of the injury or the surgical
procedure performed.
• When internal fixation has been required, one must anticipate
the development of an extensor lag at the MP joint.
• The degrees of angulation for each digit that may for surgical
fixation are
– - 15 for the index finger
– - 25 for the long finger
– - 35 for the ring finger
– - 45 for the small finger
• A systematic review.
• Five non-comparative studies were found.
– Two studies reported on 36 ORIF-treated patients.
– Three studies reported on 65 K-wire-treated patients
• Complications
– 8 ORIF-treated patients (22 %)
– 23 K-wire-treated patients (35 %)
• Functional outcome
– functional impairment requiring reoperation was reported
in 6 ORIF-treated patients (17 %) and in none ofthe K-
wire-treated patients.
• Conclusions
– ORIF to be a less favorable technique for single, closed
metacarpal shaft fractures
Carpometacarpal (CMC) Fractures
• The normal ROM at the thumb CMC joint
• 50 degrees of flexion-extension
• 40 degrees of abduction-adduction
• 15 degrees of pronation-supination.
THANK YOU
Ten Years Stable Internal Fixation of Metacarpal and Phalangeal
Hand Fractures—Risk Factor and Outcome Analysis .
Journal of Trauma-Injury Infection & Critical Care
Bannasch, Holger MD; Heermann, Anne K. MD; Iblher, Niklas MD;
Momeni, Arash MD; Schulte-Mönting, Jürgen Dr. rer. nat;
Stark, G. Bjoern MD
March 2010 - Volume 68 - Issue 3 - pp 624-628
• 365 patients treated during the last 10 years
• Results: Uneventful bony consolidation was observed in 91.2%.
• The functional results were excellent to acceptable in 85.2%, whereas in
14.8% (n = 54), the result was unsatisfactory, the latter group
presenting with concominant soft tissue injury.
• Conclusion:
• These results confirm that most patients with open metacarpal and
phalangeal fractures can be treated by stable internal fixation.
• Clinical Orthopaedics & Related Research:
• April 2006 - Volume 445 - Issue - pp 133-145
• doi: 10.1097/01.blo.0000205888.04200.c5
• SECTION I: SYMPOSIUM: Problem Fractures of the Hand and Wrist
• Extraarticular Hand Fractures in Adults: A Review of New Developments.
• Freeland, Alan E MD*; Orbay, Jorge L MD†
• Section Editor(s): Meals, Roy A MD, Guest Editor; Harness, Neil G MD, Guest Editor
• Abstract
• This report cites new developments in the treatment of extra-articular hand fractures in adults. Recent reports
confirm that small amounts of metacarpal shortening or dorsal angulation cause minimal functional impairment.
Unilateral excision of the lateral band and oblique fibers of the extensor apparatus of the metacarpophalangeal
joint facilitates proximal phalangeal fracture exposure and may improve functional recovery. Results using open
mini screw fixation of oblique extra-articular metacarpal and phalangeal fractures may be comparable to those
of percutaneous Kirschner wire fixation. Bicortical self-tapping mini screw fixation of extra-articular oblique
metacarpal and phalangeal fractures simplifies screw insertion and provides stability comparable to that of
fractures fixed with lag screws. Percutaneous intramedullary wire fixation may afford suitable fixation for
unstable extra-articular oblique as well as transverse metacarpal fractures. Locked intramedullary nails may offer
similar advantages. Unicortical screw fixation of mini plates securing transverse extra-articular metacarpal
fractures affords stability comparable to that of bicortical screw fixation while creating less bone damage. The
dissection required for plate fixation and the small surface area of transverse fractures delay and occasionally
impair bone healing. Primary bone grafting of diaphyseal defects in clean stable wounds may shorten and
simplify treatment and decrease morbidity. As little as 1.7 mm of flexor tendon excursion during the first 4 weeks
after reduction or repair may substantially diminish peritendonous adhesions at the fracture site. Synchronous
wrist and digital exercises may also reduce peritendonous fracture adhesions. Early motion of adjacent joints in
closed simple metacarpal fractures expedites recovery of motion and strength without adversely affecting
fracture alignment and leads to earlier return to work.
• Level of Evidence: Level V (expert opinion). See the Guidelines for Authors for a complete description of levels of
evidence.
• Journal of Trauma-Injury Infection & Critical Care:
• March 2002 - Volume 52 - Issue 3 - pp 535-539
• Original Articles
• Complications of Plate Fixation in Metacarpal Fractures
• Fusetti, Cesare MD; Meyer, Henning MD; Borisch, Nicola MD; Stern, Richard MD; Santa, Dominique
Della MD; Papaloïzos, Michael MD
• Abstract
• Background : The objective of this study is to assess the complications after open reduction and
plate fixation of extra-articular metacarpal fractures.
• Methods : We retrospectively reviewed the clinical and radiologic records of 129 consecutive
patients with 157 metacarpal fractures treated by open reduction and internal fixation with plates
between 1993 and 1999. Intra-articular fractures and fractures of the thumb metacarpal were
excluded. Eighty-one patients (64 men and 17 women) with 104 fractures were available for
review, at an average follow-up of 13.6 months (range, 6–27 months).
• Results : Twenty-eight patients (35%) and 33 fractures (32%) had one or more complications,
including difficulty with fracture healing (12 patients [15%]), stiffness (eight patients [10%]), plate
loosening or breakage (seven patients [8%]), complex regional pain syndrome (two patients), and
one patient who developed a deep infection.
• Conclusion : Despite technical advances in implant material, design, and instrumentation, plate
fixation of metacarpal fractures remains fraught with complications and unsatisfactory results.

Hand fracture Management_Rejul

  • 1.
    JOURNAL CLUB -12.01.17 PRINCIPLES OF MANAGEMENT OF HAND FRACTURES Presentor- Dr. REJUL K RAJ CMCH LUDHIANA
  • 2.
    REFERENCES • ROCK WOODAND GREENS, FRACTURES IN ADULTS – VIII th Edition. • Campbell’s Operative Orthopaedics, XII th Edition.
  • 3.
    ANATOMY • 27 bones •Carpals (8), metacarpals (5) and phalanges(14). • The shaft of each metacarpal is curved - characteristic cup shape. • MCPJ- Condyloid joints , flexion and extension of the digits, as well as a very small degree ofabduction and adduction when the digits are extended. • Phalanges - has a base, shaft, neck and head that is formed from two condyles. • PIPJ, DIPJ - Hinge joints, flexion and extension.
  • 5.
    • The jointcapsule is reinforced on its volar aspect by the thickened ligament known as the volar plate that prevents hyperextension of the joint.
  • 10.
    INTRODUCTION. • One ofthe most commmon encountered injuries. • Phalangeal (23%) and metacarpal (18%) fractures to be the second and third most common fractures below the elbow.
  • 11.
    • PREVALENCE ANDDISTRIBUTION OF HAND FRACTURES E. B. H. Van Onselen, R. B. Karim, J. Joris Hage And M. J. P. F. Ritt Journal of Hand Surgery (British and European Volume, 2003) 28B: 5: 491–495
  • 12.
    Injury Mechanisms • Themechanism of injury description should include , – magnitude – direction – point of contact – type of force
  • 13.
    1. Axial loador “jamming” injuries - – shearing articular fractures or metaphyseal compression fractures- – catching a falling object- 2. Bending – – Diaphyseal fractures and joint dislocations- – ball-handling sports or when the hand is trapped 3. Torsional – – spiral fractures – Individual digits can easily be caught in clothing, furniture, or workplace equipment 4. Crushing – Bending + shearing + torsion- – with significant soft tissue injury.
  • 14.
    Injuries associated. • Openinjuries. – Greatest challenge is thin and supple soft tissue coverage. • Tendons. – Dislocations. • Nerves and vessels. • Massive hand trauma. • Bone loss
  • 15.
    Signs and symptoms •Pain, swelling, deformity, stiffness, weakness, and loss of coordination. • Numbness and tingling - nerve involvement • Signs - tenderness, swelling, ecchymosis, deformity, crepitus, and instability.
  • 16.
  • 19.
    Total active movement:TAM • by sum of the angles formed by MCP, PIP and DIP joints in maximum active flexion, • minus total extension deficit at the MCP, PIP and DIP joints during active finger extension. • MCP joint can flex up to 85° • PIP joint can flex up to 110° • DIP joint can flex up to 65°. • If the finger is capable of full extension, the loss of extension is 0°. • As a result, TAM is measured as 260° (260°-0°: 260°). • In a normal first finger, the MCP joint - 85° and the IP joint - 90°. • TAM is measured as 175°.
  • 20.
    FUNCTIONAL STABILITY • PunWK, Chow SP, So YC, et al. A prospective study on 284 digital fractures of the hand. J Hand Surg Am. 1989;14(3):474-81. • fractures as functionally stable • if patients could actively move the adjacent joint more than 30% of the expected range while the alignment of fracture remained within acceptable range. • Unstable fracture • If the patient was not able to move the adjacent joint more than 30% of the expected range or • movement resulted in malalignment.
  • 21.
    IMAGING • Anteroposterior • Lateral •Splay lateral views – varying amounts of flexion to prevent phalangeal override – best show only one digit in a true lateral projection. • Oblique views -assessing reduction of articular fractures. • True lateral views - ring and small finger MCs- 10 degrees of supination • Index and middle fingers - 10 degrees of pronation.
  • 22.
    Description of fractures •Location within the bone – (HEAD, NECK, SHAFT, BASE) • Direction of the fracture plane – (TRANSVERSE, SPIRAL, OBLIQUE, COMMINUTED) • Degree of displacement. • Dislocations -direction the distal segment travels – (DORSAL, VOLAR, ROTATORY) • Capacity for closed reduction – – SIMPLE OR COMPLEX
  • 23.
    PRINCIPLES • Negative effectsof surgery on the tissues should not exceed the negative effects of the original injury. • Difficult decision making centers on management of the soft tissues. • The injured part must not be considered in isolation.
  • 24.
    AIM 1. Sufficient stabilityof the bone or joint injury 2. To permit early motion rehabilitation 3. Without resulting in malunion or residual instability • The preferred treatment option is the least invasive technique that can accomplish these goals.
  • 25.
    5 major treatmentalternatives 1. Immediate motion 2. Temporary splinting 3. CRIF 4. ORIF 5. Immediate reconstruction • External fixation is a variation.
  • 26.
    NON operative treatment. •Advantages – lower cost – avoidance of the risks and complications • Disadvantage – is that stability is less assured
  • 27.
    Closed reduction internalfixation. • Prevent overt deformity • Not to achieve an anatomically perfect reduction. • Pin tract infection is the prime complication.
  • 28.
    Nonoperative Treatment- Principles •Assessments of rotational malalignment and stability. • Stability- maintenance of fracture reduction when the adjacent joints are taken through at least 30% of their normal motion. • Contraction of soft tissues begins approximately 72 hours • Motion should be instituted by this time for all joints stable enough to tolerate rehabilitation.
  • 29.
    • Elevation andelastic compression. • The more aggressive the surgeon’s management of the injury has been, the more aggressive must be the rehabilitation. • Low-energy isolated injuries have far less risk of stiffness. • If the injury is reducible at all, gentle manipulation will accomplish the reduction far more successfully than forceful longitudinal traction. • The principle is relaxation of deforming forces through proximal joint positioning such as MP joint flexion to relax the intrinsics or wrist flexion to relax the digital flexor tendons. part.
  • 30.
    • Splints shouldimmobilize the minimum number of joints • Wrist immobilization - 25 to 35 degrees of extension. • “Wounded paw” - wrist flexion + MP joint extension– interphalangeal (IP) joint flexion (the position). • Full motion of the IP joints should be encouraged throughout. • The total duration of immobilization - 3 to 4 weeks. • Stable enough by this time to tolerate active range of motion (AROM) with further remodeling by 8 to 10 weeks.
  • 33.
    Open reduction internalfixation. • Add the morbidity of surgical tissue trauma. • Titrated against the presumed advantage of achieving the most anatomic and stable reduction
  • 34.
    Introduction to DistalPhalanx (P3) Fractures • Terminal point of contact. • Soft tissue coverage is limited. • Soft tissue injury is of greater significance • Hematoma can be seen beneath the nail plate- Open fracture. • Mechanism – crushing. • Radiographs - isolated views of the injured digit.
  • 36.
    PATHOANATOMY • Fractures inthree primary regions: – the tuft, shaft, and base • The two mechanisms . – sudden axial load (as in ball sports) – crush injury
  • 38.
    • Crush fracturesof the tuft are often stable. • Proximally, the digital flexor and terminal extensor tendons insert on the volar and dorsal bases of the distal phalanx. • Majority of bone flakes at the volar base P3 are FDP tendon ruptures
  • 39.
    Distal Phalanx Fracture-Treatment Options CONSERVATIVE. • Digital splints • should leave the PIP joint free • needs to cross the DIP joint simply to gain enough foundation
  • 48.
    Middle Phalanx (P2)Fractures • Intra-articular fractures that occur at the base of the middle phalanx. • Most functionally devastating of all fractures. • the most technically difficult to treat. • head, neck, shaft, and base.
  • 49.
    Axial loading patterns, • Unicondylar or bicondylar fractures of the head. • Intra-articular fractures of the base. • Partial articular fractures – Dorsal base – Volar base – Lateral base • Complete articular fractures – “pilon” fractures. “ – Unstable in every direction including axially.
  • 50.
  • 53.
    Middle Phalanx Fracture-Treatment Options • Static Splinting. – Crushing- comminution with no significant displacement. • Dynamic Extension Block Splinting. – Volar base of P2 - less than 40% of the articular surface • Condylar fractures – CRIF- converging or diverging. • Unstable shaft fractures – CRIF – K wiring – ORIF – Lag screw fixation – if rotational instabiity. – Plate and screw fixation – if axial instability.
  • 54.
    • Temporary TransarticularPinning for Partial Articular Base Fractures. • Volar Base Fractures – CRIF /ORIF • Pilon fractures. – Highly unstable,stifness of PIPJ. – Dynamic traction / dorsal spring mechanism. – The general principle is to establish a foundation at the center of rotation in the head of P1. – traction (adjustable or elastic) is applied along the axis of P2 to hold the metaphyseal component of the fracture out to length – while allowing early motion to remodel the articular surface
  • 70.
    Proximal Phalanx (P1)Fractures • Head - Intraarticular fractures – partial or complete articular • Neck - extra-articular fractures – (extreme PIP limitation) • Base - extra-articular and intra-articular. • Shaft extra-articular fractures – transverse, short oblique, long oblique, or spiral
  • 73.
    PATHO ANATOMY –P 1 # • sheet-like extensor mechanism with a complex array of decussating collagen fibers
  • 75.
  • 76.
    P 1 –Treatment options. • Non operative. – Stable proximal fractures, Transverse shaft. – Dorsal splinting with the MP joint in flexion. – discontinued at 3 weeks, followed by AROM . – Stable + undisplaced – immediate AROM with buddy strapping. – Weekly folllow up. • Operative – CRIF/ORIF
  • 77.
    Closed Reduction +Internal Fixation. • Reducible but unstable isolated fractures. • For long oblique and spiral fractures – three K-wires- perpendicular to the fracture • For neck fractures- – retrograde pinning may be necessary • For short oblique and transverse fractures, – longitudinal K-wires .
  • 81.
    Open Reduction andInternal Fixation • Indications : – Open fractures – multiple fractures – intra-articular fractures with displacement – Spiral fractures • lag screws • to achieve precise control over rotation.
  • 91.
    Postoperative Care –P 1 # • Non operative – – Restrict splinting to 3 weeks followed by AROM. • CRIF – – pin removal at 3 weeks strat AROM. • ORIF – – AROM should begin within 72 hours of surgery and edema control
  • 92.
    • Prospective study- 43 fractures • Inclusion criteria – Functionally unstable fractures – Unacceptable radiographic alignment (>10° in both AP and lat)
  • 97.
    • RESULTS. – Goodfunction - 35 patient – Fair – 6 – Poor – 2 (TAM less than 180) • Nail traction with digital splint is an effective and safe technique
  • 100.
    Acceptable Reduction- criteria 1.<10º axial angulation – AP 2. <15º axial angulation - lateral view 3. No rotation 4. No collapse
  • 101.
    • 32 patients. •Inclusion criteria – (1) single-digit, closed, proximal phalangeal – fracture; – (2) displaced, extra-articular involvement; – (3) non-pathological, fresh (<1 week) injury – (4) noassociated injuries • The results were excellent in 72%, good in 22%, and poor in 6%. • Skeletal stability, not rigidity, is necessary for functional movements of the hand.
  • 103.
    • 32 patients. •Used splint only when the fracture line was stable. • In case of unstable fractures - K-wire. • TAM scores of 20 fingers were perfect (≥220° • for D2-5, ≥150° for D1), for 7 fingers were good (180- • 220° for D2-5, 120-150° for D1), and for 5 fingers were • either moderate or poor. • Kirschner wire fixation is a reliable and simple method of treating unstable proximal phalangeal fractures. • In stable proximal phalanx fractures, splints provide sufficient treatment.
  • 104.
    METACARPAL FRACTURES- INTRODUCTION •Fracture patterns - head, neck, and shaft. • Transverse Neck and shaft fractures - apex dorsal angulation. • normal anatomic neck to shaft angle of 15 degrees. • Evaluation of rotation . • Ten degrees of malrotation ( 2 cm of overlap at the digital tip) is the upper tolerable limit.
  • 109.
    Pathoanatomy and AppliedAnatomy • formation of the three arches of the hand. • 20% thicker volar cortex. • bound to each other by strong interosseous ligaments at their bases and by the deep transverse intermetacarpal ligaments distally. • 2 mm of metacarpal shortening, 7 degrees of extensor lag • In the sagittal plane, the primary deforming forces are the intrinsic muscles – counteracted through MP joint flexion, – reduction maneuver
  • 110.
    Treatment - NonoperativeManagement • Intra-articular fractures of the head and base – stable and minimally displaced. • dorsal splint in full MP joint flexion. • Greater degrees of angulation are tolerable in neck • Greater angulation is tolerable in the ring and small metacarpals than in the index and long metacarpals – because of the increased mobility of the ulnar-sided CMC joints. • 30 degree at small MT.
  • 111.
    Closed Reduction andInternal Fixation • Isolated metacarpal fractures not meeting the criteria for nonoperative. • Extra-articular and intra-articular fractures • anatomically reducible and stable to the stress of motion
  • 114.
    Intramedullary Fixation • Transverseand short oblique fracture patterns • large diameter rod such as a Steinmann pin, an expandable intramedullary device, multiple prebent K-wires
  • 118.
    Open Reduction andInternal Fixation • Indications : – Intra-articular fractures that cannot be reduced – multiple fractures without inherent stability – open fractures especially when associated with tendon disruptions. • Internal fixation can be accomplished with – intraosseous wiring, – composite wiring, – screws only, or – Screws and plates
  • 125.
    Post op care-MT #. • The importance of early motion must be considered in direct proportion to the magnitude of the injury or the surgical procedure performed. • When internal fixation has been required, one must anticipate the development of an extensor lag at the MP joint.
  • 130.
    • The degreesof angulation for each digit that may for surgical fixation are – - 15 for the index finger – - 25 for the long finger – - 35 for the ring finger – - 45 for the small finger
  • 131.
    • A systematicreview. • Five non-comparative studies were found. – Two studies reported on 36 ORIF-treated patients. – Three studies reported on 65 K-wire-treated patients
  • 133.
    • Complications – 8ORIF-treated patients (22 %) – 23 K-wire-treated patients (35 %) • Functional outcome – functional impairment requiring reoperation was reported in 6 ORIF-treated patients (17 %) and in none ofthe K- wire-treated patients. • Conclusions – ORIF to be a less favorable technique for single, closed metacarpal shaft fractures
  • 134.
    Carpometacarpal (CMC) Fractures •The normal ROM at the thumb CMC joint • 50 degrees of flexion-extension • 40 degrees of abduction-adduction • 15 degrees of pronation-supination.
  • 149.
  • 153.
    Ten Years StableInternal Fixation of Metacarpal and Phalangeal Hand Fractures—Risk Factor and Outcome Analysis . Journal of Trauma-Injury Infection & Critical Care Bannasch, Holger MD; Heermann, Anne K. MD; Iblher, Niklas MD; Momeni, Arash MD; Schulte-Mönting, Jürgen Dr. rer. nat; Stark, G. Bjoern MD March 2010 - Volume 68 - Issue 3 - pp 624-628 • 365 patients treated during the last 10 years • Results: Uneventful bony consolidation was observed in 91.2%. • The functional results were excellent to acceptable in 85.2%, whereas in 14.8% (n = 54), the result was unsatisfactory, the latter group presenting with concominant soft tissue injury. • Conclusion: • These results confirm that most patients with open metacarpal and phalangeal fractures can be treated by stable internal fixation.
  • 154.
    • Clinical Orthopaedics& Related Research: • April 2006 - Volume 445 - Issue - pp 133-145 • doi: 10.1097/01.blo.0000205888.04200.c5 • SECTION I: SYMPOSIUM: Problem Fractures of the Hand and Wrist • Extraarticular Hand Fractures in Adults: A Review of New Developments. • Freeland, Alan E MD*; Orbay, Jorge L MD† • Section Editor(s): Meals, Roy A MD, Guest Editor; Harness, Neil G MD, Guest Editor • Abstract • This report cites new developments in the treatment of extra-articular hand fractures in adults. Recent reports confirm that small amounts of metacarpal shortening or dorsal angulation cause minimal functional impairment. Unilateral excision of the lateral band and oblique fibers of the extensor apparatus of the metacarpophalangeal joint facilitates proximal phalangeal fracture exposure and may improve functional recovery. Results using open mini screw fixation of oblique extra-articular metacarpal and phalangeal fractures may be comparable to those of percutaneous Kirschner wire fixation. Bicortical self-tapping mini screw fixation of extra-articular oblique metacarpal and phalangeal fractures simplifies screw insertion and provides stability comparable to that of fractures fixed with lag screws. Percutaneous intramedullary wire fixation may afford suitable fixation for unstable extra-articular oblique as well as transverse metacarpal fractures. Locked intramedullary nails may offer similar advantages. Unicortical screw fixation of mini plates securing transverse extra-articular metacarpal fractures affords stability comparable to that of bicortical screw fixation while creating less bone damage. The dissection required for plate fixation and the small surface area of transverse fractures delay and occasionally impair bone healing. Primary bone grafting of diaphyseal defects in clean stable wounds may shorten and simplify treatment and decrease morbidity. As little as 1.7 mm of flexor tendon excursion during the first 4 weeks after reduction or repair may substantially diminish peritendonous adhesions at the fracture site. Synchronous wrist and digital exercises may also reduce peritendonous fracture adhesions. Early motion of adjacent joints in closed simple metacarpal fractures expedites recovery of motion and strength without adversely affecting fracture alignment and leads to earlier return to work. • Level of Evidence: Level V (expert opinion). See the Guidelines for Authors for a complete description of levels of evidence.
  • 155.
    • Journal ofTrauma-Injury Infection & Critical Care: • March 2002 - Volume 52 - Issue 3 - pp 535-539 • Original Articles • Complications of Plate Fixation in Metacarpal Fractures • Fusetti, Cesare MD; Meyer, Henning MD; Borisch, Nicola MD; Stern, Richard MD; Santa, Dominique Della MD; Papaloïzos, Michael MD • Abstract • Background : The objective of this study is to assess the complications after open reduction and plate fixation of extra-articular metacarpal fractures. • Methods : We retrospectively reviewed the clinical and radiologic records of 129 consecutive patients with 157 metacarpal fractures treated by open reduction and internal fixation with plates between 1993 and 1999. Intra-articular fractures and fractures of the thumb metacarpal were excluded. Eighty-one patients (64 men and 17 women) with 104 fractures were available for review, at an average follow-up of 13.6 months (range, 6–27 months). • Results : Twenty-eight patients (35%) and 33 fractures (32%) had one or more complications, including difficulty with fracture healing (12 patients [15%]), stiffness (eight patients [10%]), plate loosening or breakage (seven patients [8%]), complex regional pain syndrome (two patients), and one patient who developed a deep infection. • Conclusion : Despite technical advances in implant material, design, and instrumentation, plate fixation of metacarpal fractures remains fraught with complications and unsatisfactory results.

Editor's Notes

  • #14 Axial Loading -
  • #23 No acceptable classification.
  • #24 nonoperative treatment plays a significant role in the management of fractures and dislocations of the hand. even though fractures and dislocations are fundamentally skeletal injuries. The multiple joints of the hand are maintained in a delicate balance by the intrinsic and extrinsic tendon systems such that a disturbance in one set of tissues will often significantly affect others.
  • #29 Critical elements in selecting between nonoperative and operative
  • #30 than those created by high-energy trauma with large zones of injury.
  • #31 One controversial point concerns the need to immobilize the wrist. Setting appropriate length–tension relationships in the extrinsic motors (in cases where they are deforming forces) is most easily accomplished Wrist splinting in extension is extremely helpful in patients with low pain tolerance who tend to place the hand in a characteristic dysfunctional posture
  • #35 As the terminal point of contact with the environment, experiences stress loading with nearly every use of the hand. When fractures accompany a nail bed injury, hematoma can be seen beneath the nail plate Soft tissue injury is frequently of greater significance for long-term prognosis. When the seal between the nail plate and the hyponychium is also broken- the fracture is open.
  • #36 tuft is an anchoring point for the architecture of the digital pulp, a honeycomb structure of fibrous septae that contains pockets of fat in each compartment. The proximal portion of a tuft fracture may become entrapped in the septae of the pulp and prove irreducible. The dorsal surface of the distal phalanx is the direct support for the germinal matrix and sterile matrix of the nail. The bone volarly and the nail plate dorsally create a three-layered sandwich with the matrix in the middle.
  • #39 Crush fractures of the tuft are stable - fibrous network of the pulp volarly and the splinting effect of the nail plate dorsally. all fracture planes occurring distal to these tendon insertions have been separated from any internal deforming forces. volar and dorsal base fractures are unstable, with the entire force of a tendon pulling the small base fragment away from the remainder of the bone.
  • #51 Tendon insertions that play a role in fracture deformation include the central slip at the dorsal base and the terminal tendon acting through the DIP joint. The FDS has a long insertion along the volar lateral margins of the shaft of P2 from the proximal onefourth to the distal one-fourth. Fractures at the neck of P2 will usually angulate apex volar as the proximal fragment is flexed by the FDS. Those at the base will usually angulate apex dorsal as the distal fragment is flexed by the FDS and the proximal extended by the central slip. Actual P2 fracturesare less predictable and subject to any variety of displacement patterns.
  • #52 When the volar fragment constitutes greater than around 40% of the articular surface, this fragment carries the majority of the proper collateral ligament insertion in addition to the accessory ligament and volar plate insertions. The dorsal fragment and remainder of P2 will thus sublux proximally and dorsally with displacement being driven by the pull of the FDS and the central slip.
  • #54 Relatively intact periosteum- The inherent stability of the fracture is more related to the degree of displacement thanthe direction or number of fracture planes. The key to success with this treatment is absolute maintenance of a congruent reduction, avoiding the hinge motion that occurs with dorsal and proximal subluxation of the major fragment. Correct application of a dorsal extension block splint requires maintenance of contact between the dorsum of the proximal phalangeal segment and the splint. If the digit is allowed to “pull away” from the splint volarly, the PIP joint can extend beyond the safe range, sublux, and negate the desired effect of the splint.
  • #64 Dynamic traction / dorsal spring mechanism. The general principle is to establish a foundation at the center of rotation in the head of P1. From this foundation, traction (adjustable or elastic) is applied along the axis of P2 to hold the metaphyseal component of the fracture out to length while allowing early motion to remodel the articular surface
  • #72 Fracture patterns appearing in P1 include (A) complete articular fractures of the head, (B) subcapital fractures with impingement in the volar plate recess
  • #73 (C) transverse fractures of the shaft or base, (D) oblique fractures of the shaft, (E) articular fractures of the base.
  • #75 Lateral mid axial approach is preferred than the dorsal approach. As dorsal approach violates the permanently the extensor mechanism.
  • #76 Flexing the MP joints fully causes the extensor apparatus to function as a tension band to a transverse fracture in the P1 shaft, helping to reduce the deformityand stabilize the fracture when the PIP joint is actively flexed. Forms the basis of conservative management. Spiral and long oblique fractures tend to shorten and rotate rather than angulate, not easily controlled by the joined positioning.
  • #79 For long oblique and spiral fracture - three K-wires- perpendicular to the fracture For neck fractures-retrograde pinning may be necessary For short oblique and transverse fractures, -longitudinal K-wires
  • #80 Fractures of the proximal phalangeal neck angulated apex volarly (A), can be stabilized by (B) antegrade pinning with a rotational control crosswire if the fracture is sufficiently proximal, but very distal fractures (C, D) usually require retrograde pinning.
  • #81 Transverse shaft fractures of P1 are best stabilized by 0.045-inch K-wires passed longitudinally through the metacarpal head and removed at 3 weeks.
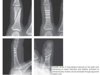
  • #83 Figure 30-50 In long oblique fractures of the shaft with shortening an exact reduction and stability sufficient to withstand early motion can be achieved through lag screw fixation only.
  • #84 Figure 30-51 More complex fractures of the shaft can be well stabilized by (B) lateral plating. Specific care should be taken to (C) contour the plate meticulously to fit the cortex and to place the hardware in (D) the true midlateral position.
  • #85 Figure 30-52 A: Unicondylar fractures of the head of P1 benefit from compression between the articular fragments through (B, C) lag screw fixation.
  • #88  Figure 30-58 Transverse P1 fractures without comminution should achieve sufficient interfragmentary stability to have axial rotational control with a single wire alone that targets the (A) intercondylar notch and going (B) all the way to the subchondral bone.
  • #89 Figure 30-59 Partial articular fractures that can be rendered stable by interfragmentary compression are excellent candidates for lag screw fixation.
  • #90 Figure 30-61 Small locking plates can span zones of comminution and obviate the need to use the fixed angle blade plate.
  • #104 When placing the splint, the PIP joints are held in nearly full extension to prevent the collateral ligament and volar plate contracture that occurs in flexion.
  • #105 The normal anatomic neck to shaft angle of 15 degrees should be recalled when assessing the amount of angulation in subcapital fractures.
  • #107 Pseudoclawing is a term used to describe a dynamic imbalance ,hyperextension deformity of the MP joint and a flexion deformity of the PIP joint (Fig. 30-68). This occurs as a compensatory response to the apex dorsal angulation of the metacarpal fracture (usually at the neck) and represents a clinical indication for correcting the fracture angulation.
  • #108 Figure 30-70 (A) the Brewerton view for the metacarpal bases, (B) the Mehara view for the index CMC relationships, (C) the reverse oblique view for angulation in the index metacarpal neck, and (D) The skyline view for vertical impaction fractures of the metacarpal head.
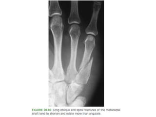
  • #109 Long oblique spiral fracture.
  • #116 Introduce a Kirschner wire at the fracture site, and drill it out through the skin at the metacarpal base; ■ Reduce the fracture, and drill the wire in the opposite direction into the distal fragment, stopping just proximalto the metacarpophalangeal joint. ■ Apply a splint holding the wrist in extension.
  • #121 For partial articular metacarpal head fractures, screw-only fixation is the treatment of choice with up to 79 degrees of ROM achieved.If sufficient interlock of bone spicules occurs, a single 1.2- to1.5-mm countersunk screw can control rotation
  • #131 of angulation increases for the more ulnar digits owing to the compensatory movement of the 4th and 5th carpometacarpal joints.
  • #137 ROBERT S VIEW, hand in pronation.
  • #138 Although the deep anterior obliquewas previously considered the primary stabilizer, more recent research has effectively demonstrated that the dorsoradial ligament is the prime restraint to dislocation.
  • #140 The distal metacarpal is adducted and supinated by the adductor pollicis. At the same time, the APL pulls the metacarpal radially and proximally.
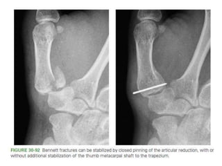
  • #143 (WAGNER) ■ Maintaining fracture reduction by manual traction and pressure, drill a 0.045- or 0.062-inch Kirschner wire into the base of the metacarpal across the joint and into the trapezium. Apply a forearm cast, holding the wrist in extension and the thumb in abduction; leave the thumb interphalangealjoint free.
  • #151 Infection. Segmental bone loss. Soft tissue injuries.