Dr. Muhabat Salih Saeid
 MRCOG-London-UK
Definition : It is a clinical term used to
 indicate three closely related
 conditions characterized by active
 abnormal proliferation of
 trophoblastic cells : :
hydatidiform mole ,
invasive hydatidiform     mole and
Choriocarcinoma
 These neoplasm's retain
 certain characteristic of the
 normal placenta such as
 invasive tendencies and the
 ability to make hCG
 hormone
 Pathological classification :
 Hydatidiform mole = 80 % of cases.
 Invasive mole =12-15% of cases.
 Choriocarcenoma=5-8% of cases.
 Clinical classification : The course, and prognosis
  of the disease accurately reflected by hCG
  hormone
 Benign = 80%
 Malignant=20%
 The hydatidiform mole incidence ranges from 1
  in 522 pregnancies in Japan
 To 1 in 1500 pregnancies in USA,and Sweden, this
  variation is not understood, but ethnic factors
  have been suggested .
 The incidence is higher in the poorest
  socioeconomic classes than the semiprivate(4
  times), and (8 times) than the privet , and these
  mostly related to diet especially protein deficiency
  .
 The maternal age over 40 years
 found to have a 5.2-fold increased
 risk of trophoblastic disease in
 compression to the mothers below
 the age of 35 years.
 Hydatidiform mole can be
 subdivided into:
complete and
partial mole
 Based on:
1.Genetic    and
2.Histopathological
features
   Genetic features: One of the most remarkable
  discoveries about hydatidiform mole has been the
  demonstration that complete moles have
  chromosomes exclusively from the paternal side
  ,and the karyotype is nearly always 46,xx and
  only rarely is 46,XY observed.
 The normal mechanism is for a haploid
  sperm,23X,to fertilize an empty egg, and to
  duplicate itself to form a 46,XX complement.
  Much less commonly ,two spermatozoa, one being
  23,X, and the other,23,Y, can fertilize an empty
  egg, to give karyotype a 46,XY.
•10
Aretriploid in origin
with two sets of
paternal haploid genes
and one set of maternal
haploid genes
•12
 They   occur, in almost all
  cases, following dispermic
  fertilization of an ovum.
 There is usually evidence of
  a fetus or fetal red blood cells
   In the partial moles ,the normal
    finding is a triploid karyotype ,69
    chromosomes instead of normal 46.
    The most common mechanism appears
    to be fertilization of normal egg by two
    sperm, giving a complement of
    69,XXY.
Complete mole :
 there are numerous   edematous
 vesicles, which looks like a bunch
 of small clear grapes,
 usually no fetus, or membranes.,
      microscopically: there are:
    large oedematous enlarged villi ,
   a vascular ,
   with variable degree of trophoblastic hyperplasia.
   carries greater risk of malignancy and requires
    longer follow up than the partial mole.
•Partial mole




•Complete mole


                                 •17
•Partial mole




•Complete mole



                                 •18
   Partial mole:
 Shows  a less clear -cut picture ,with
  the formation of vesicles usually focal ,
 fetus and membranes may present,
 the vesicles have degree of vascularity.
 In general ,the more active
  trophoblastic appearance the
  greater the risk of malignancy.
 So the subsequent management
  depends more on the hCG results
  than the histological reports.
Bleeding   : Bleeding in early
 pregnancy after variable period of
 amenorrhea is the most common
 clinical sign of the mole (occurs in
 90% of cases), with the passage of
 the vesicles.
Hyperemesis    gravidarum :
 Occurs into 25% of cases of
 moles ,and appears more
 common when the uterus is
 much enlarged and hCG levels
 are very high.
 Uterine  enlargement: The uterus is
  commonly “large for date”in 50% of case of
  moles ,
 although, in a small proportion of cases the
  uterus corresponding to the gestational age
  or smaller than date.
 The uterus having a doughy consistency.
 The fetal parts are not palpable, and fetal
  heart is absent.
Large  theca lutein cysts of the
 ovary are present in “20%”of
 moles , these may be
 exaggerated the clinical picture
 of large for date uterus. These
 cysts are manifestation of
 excessive hCG.
•25
   Pre-eclampsia :Occur in association
    with the moles with range widely from
    12-54%,these due to differing times of
    diagnosis, the longer pregnancy
    progresses ,the greater chance to
    developing pre-eclampsia. If the signs
    of pre-eclampsia appears early in
    pregnancy , the possibility of
    hydatidiform mole should be looked
    for with out delay.
 Hyperthyrodism: Develop    in small
 proportion of women ,and this may be due
 to thyrotrophic effects of the human
 chorionic thyrotrophin , which may lead to
 goitre,fine tremor ,supra-ventricular
 tachycardia, and weight loss.
 DIC can develop in long-standing hydatidiform
 moles , when there is embolization of
 trophoblastic tissue to the lung, leads to
 thromboplastic substances which stimulate
 fibrin,and platelet deposition.
History and examination :
 From the history of
 amenorrhea ,passage of vesicles
 vaginally with bleeding ;the size
 and consistency of the uterus.
The increasing use of
ultrasound in early
pregnancy has probably
led to the earlier
diagnosis of molar
pregnancy
By the U/S examination can
be diagnosed from very early
pregnancy ,characterized by
“Snow-storm" appearance.
•31
By very high levels of serum
hCG than the normal singleton
pregnancy ,which is diagnostic
and prognostic to the course of
the disease ,with very short
dappling time.
The risks of hydatidiform mole are:
 Immediate hemorrhage ,sepsis, or pre-
  eclampsia; the treatment of these
  conditions has vastly improved
  recently.
 Molar metastases :
  Of a non proliferative ”benign” type
  can occur.
   Choriocarcinoma: The most important
    danger association with the
    hydatidiform mole is the development
    of malignant GTD(Invasive mole or
    choriocarcinoma) in about 10% of
    cases,
The aim of treatment is to eliminate
 all trophoblastic tissue from the
 maternal systems ;
 If the hydatidiform mole diagnosed
 ,steps should be taken to evacuate
 the uterus, and this achieved by:
Suction & curettage
(S&C): The method of
choice even when
evacuation large mole
   Under GA.
   Cervix dilation till 12mm.and S&C induced
    to the uterine cavity.
   I.V oxytocin infusion is started .
   S&C started by negative pressure of about
    60 to 70cmHg.
   The curette is genteelly rotated to ovoid
    perforation of the soft uterus, and the
    majority of the molar tissue is evacuated
    rapidly ,and the uterine size decreases
Uterine   stimulation.
Medical termination of complete
 molar pregnancies including
 cervical preparation prior to
 suction evacuation, should be
 avoided where possible.
 The contraction of the myometrium
  may force tissue into the venous spaces
  at the site of the placental bed.
 The dissemination of this tissue may
  lead to the profound deterioration in
  the woman, with embolic and
  metastases disease occurring in the
  lung
Surgical   evacuation:
   Surgical evacuation: Hysterectomy has been
    recommended as a suitable method of
    treating hydatidiform mole in older women
    who completed their family ,to reduce the
    risk of post-molar trophoblastic disease .
    .The hysterectomy should be carried out
    with little monopolization to ovoid
    precipitating mobilization of trophoblastic
    tissue.
 Inpartial molar pregnancies
 where the size of the fetal
 parts deters the use of
 suction curettage, medical
 termination can be used.
   After the uterus has been evacuated :
 About 90%    of cases ,the trophoblastic tissue
  die out completely.
 About 10% of cases the trophoblastic tissue
  does not die out completely and may persist
  or recur as : invasive mole or
  choriocarcinoma.
So it is important that women who
 have had a hydatidiform mole:
 should have close follow-up by serum
 hCG levels after the evacuation of the
 uterus,
To ensure early recognition of persistent
 trophoblastic tissue .
 After a molar pregnancy ,the hCG
  levels will usually have returned to non
  pregnant levels by 4 to 6 weeks after
  evacuation.
 The follow-up is recommended for 2
  years in cases of complete moles, and 6
  months of cases of partial moles after
  the evacuation of uterus.
 Serial  quantitative measurement of
 serum hCG level at weekly
 intervals, after evacuation of moles
 till 4 to 5 weeks when the hCG
 become normal. Then every other
 week .When the titer gets negative
 the measurements are done every
 month fore 1 year.
 Indicationof chemotherapy after
 the evacuation of the hydatidiform
 mole in:
Serum hCG >20000 i.u/L , at any
 time after evacuation of mole.
 Raised hCG at 4 to 6 weeks after
 evacuation of mole.
Evidence  of metastases
 ,hepatic,brain,and pulmonary.
Persistent uterine hemorrhage
 after evacuation of mole with
 raised hCG levels.
   To achieve effective follow-up ,the
    pregnancy is better to be avoided ,and also
    the use of oral contraceptive pills until the
    hCG levels returns to normal after the
    evacuation of the mole.
   Early diagnosis of persistent trophoblastic
    disease ensures a good prognosis and an
    effective system of follow-up.
Malignant trophoblastic disease can
 exist in two forms:
Invasive mole = non-metastatic form.
Choriocarcinoma = metastatic form .
 Both treated with the chemotherapy
  and monitored by hCG tumor marker.
 Choriocarcinoma subdivide into :
 good-prognosis (Low-risk) ,and
 poor- prognosis (High-risk).
 The diagnosis of invasive moles or
  “chorioadenoma destruens” is applied to
  the moles characterized by :
 Abnormal peneterativeness and,
 Extensive local invasion, along with
 Excessive trophoblastic proliferation ,
 With preserved villous pattern.
    The proliferative villi may invade the
    myomatrum ,paramatrum or the vaginal
    wall, although there is rarely evidence of
    metastasis.
   The morbidity and mortality of this disease
    results from the penetration of the tumar
    through the myomatrum and to the pelvic
    vessels with the resultant hemorrhage “the
    morbidity and mortality rate 10 %” .
 Choriocarcinoma subdivide
 into:
good-prognosis (low risk).
Poor- Prognosis (High risk).
•56
 The  incidence of choriocarcinoma
  in the West: 1 :10000 and 1:70000
  pregnancies; and
 In Asia between 1:250 and 1:6000
  pregnancies..
 The antecedent pregnancy is :
Hydatidiform mole in about 57%
 of cases.
Normal pregnancy in about 26%
 of cases.
Abortion and ectopic pregnancy in
 about 17% of cases.
 The risk of Choriocarcinoma
 after a hydatidiform mole is
 about 2-4% which is 1000 times
 greater than after a normal
 pregnancy.
 Choriocarcinoma     is more
  likely to occur after complete
  mole .
 The incidence is in excess in
  maternal blood group A, and
  deficit in group O.
 Site: In the uterus 90% of
 cases; 10 % of cases in the
 ovaries ,vagina, vulva, lung,
 liver, and brain.
 Macroscopically:
 Uterus: It may be localized in the form
 of hemorrhagic polyp or multiple
 hemorrhagic ,necrotic masses in the
 cavity.
 Some times it is present in the uterine
 wall (intramural) and the cavity is
 empty.
Ovaries : May show stormal lutein
 hyperplasia, and theca-lutein cysts.
 And may be site of secondaries.
 Microscopically:
 Malignant hyperplasia of both
  cytotrophoblasts,and syncytiotrophoblasts.
 Extensive hemorrhage.
 Absence of villi.
 Destruction of the surrounding
  myomatrum.
   Direct : Through the myomatrum and
    may end in uterine perforation
    ,internal hemorrhage, and peritonitis
    .Through the fallopian tubes to the
    ovaries.
•66
 Blood : The main method of spread ,and
  occurs to;
 Genital : Vagina, vulva, and ovary.
 Extra genital : Lung, liver, brain, and
  bones especially skull and spine.
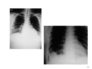
 The lung is the commonest site for
  secondaries and haemoptysis may be the
  presenting symptom.
 Lung
 Vagina
 Brain
 Liver




           •68
 Vaginal bleeding.
 Haemoptysis.
 Intraperitoneal hemorrhage.
 Peritonitis.
 Metastasis to the vital organs
  e.g,brain.
 Pulmonary complications.
 Symptoms :
 Recent history of expulsion of vesicular
  mole ,or abortion, or full term pregnancy.
 Persistent vaginal bleeding is the
  commonest presentation.
 Haemoptysis.
 Abdominal swelling (uterus or ovaries).
 PersistentGTD should be
 considered in any woman
 developing:
 acute respiratory or
 neurological symptoms
 after any pregnancy.
 Signs:
 Marked deterioration of the
 general condition.
 An abdominal swelling may be
 felt.
 Vaginally :
The uterus  symmetrically enlarged
 (less than 12 weeks).
The ovaries may be enlarged.
Hemorrhagic secondaries may be
 seen in the vagina or vulva
 Investigation:
 Serum hCG.
 Chest X-ray for pulmonary metastasis.
 L.F.T .
 Liver scan.
 CAT scan for the secondaries.
 EEG .
 U/S for abdomen and pelvis.
 Diagnostic D&C.
The clinical classification of gestational
   trophoblastic disease:
I.    Non-metastatic.
II.   Metastatic:
A.    Low risk: All patient of documented
      metastatic disease who do not have “high-
      risk factors”.
B. High risk:
1. B-hCG level higher than
   100.000miu/ml.
2. Associated pregnancy episode
   more than 4 months before the
   diagnosis.
3.   Following full-term pregnancy.
4.   Liver or brain metastasis.
5.   Failure of previous chemotherapy.
6.   Symptoms of malignancy more than 4
     months
    Prophylaxis: After care of vesicular
     mole;
    D&C after one week of the
     evacuation.
    Monitored for the signs and symptoms of
     trophoblastic neoplassmic by:.
I.   serial hCG.
II.   Diagnostic D&C is done if :
     The hCG levels remains high.
     The hCG levels rises after gets negative.
     Uterine sub involution.
     Persistence of theca lutein cysts in the ovaries.
     Every case of secondary postpartum
      haemorrhage.
     Every case of post abortive bleeding.
I.   Non metastatic GTD:
o    Methotrexate (antimetabolite) +folinic
     acid.
o    The cytotoxic therapy is controlled by
     doing CBC,platelet count and LFT.
o    After the the hCG level gets normal ;stop
     the therapy and follow-up by weekly
     estimation of hCG levels.
   Women scoring: Non metastatic
    GTD,and(low risk) GTD receive
    intramuscular methotrexate on alternate
    days, followed by six rest days, with each
    course consisting of four injections
o   Physical examination, chest x-
    ray, and LFT.
o   Total abdominal hysterectomy ,if the
    patient does not desire to maintain
    child-bearing, in the middle of the
    first treatment course .
II.   Low metastatic GTD:
o     Methotraxate , or Actinomycin D
      ,if there is resistance ,change to
      triple chemotherapy.
o   The criteria for initiation, and
    continuation of each methotraxate
    treatment ;
   Platelet count more than 100.000.
   WBC more than 3000.
   Absolute neutrophil count between 1000-
    1500.
   Normal LFT, renal function.
III.   High risk metastatic GTD :
o      Triple chemotherapy :
       Methotraxate, Actinomycin D,
       and Cytoxan.
o Surgery:
 TAH may    be done in patients not
  desirous of further reproduction.
 Surgical extirpation of isolated
  metastasis e.g. pulmonary if
  resistant to chemotherapy.
o Irradiation: Whole brain
 irradiation for cerebral
 metastases , The whole organ
 irradiation for hepatic
 metastases
 After successful therapy ,the hCG
  levels are obtained :
 every 2weeks for 3 months,
 every month for 3months,
 every 2months for 6 months then every
  sixes months indefinitely.
 If at any time hCG levels rises, repeat
  the evaluation , staging ,and
  chemotherapy.
 Physical examination, and chest x-ray
  follow-up at 6 weeks, then every
  3months for one year, then every 6
  months for one year.
 Pregnancy is not allowed except after
  one year of negative follow up but with
  danger of :
 Molar pregnancy (4-5 times greater
  risk).
 Spontaneous abortion.
 Premature delivery.
If a further molar
 pregnancy does
 occur,                 in
 68–80% of cases
 it will be of the
 same histological type
 Women  who undergo
chemotherapy are advised
not to concieve for one year
after completion of
treatment
THIS IS THE END OF THE
 LECTURE .
  HOPE YOU ENJOYED IT !


     THANK YOU ! ! !

Gestational trophoblastic disease 2

  • 1.
    Dr. Muhabat SalihSaeid MRCOG-London-UK
  • 2.
    Definition : Itis a clinical term used to indicate three closely related conditions characterized by active abnormal proliferation of trophoblastic cells : : hydatidiform mole , invasive hydatidiform mole and Choriocarcinoma
  • 3.
     These neoplasm'sretain certain characteristic of the normal placenta such as invasive tendencies and the ability to make hCG hormone
  • 4.
     Pathological classification:  Hydatidiform mole = 80 % of cases.  Invasive mole =12-15% of cases.  Choriocarcenoma=5-8% of cases.  Clinical classification : The course, and prognosis of the disease accurately reflected by hCG hormone  Benign = 80%  Malignant=20%
  • 5.
     The hydatidiformmole incidence ranges from 1 in 522 pregnancies in Japan  To 1 in 1500 pregnancies in USA,and Sweden, this variation is not understood, but ethnic factors have been suggested .  The incidence is higher in the poorest socioeconomic classes than the semiprivate(4 times), and (8 times) than the privet , and these mostly related to diet especially protein deficiency .
  • 6.
     The maternalage over 40 years found to have a 5.2-fold increased risk of trophoblastic disease in compression to the mothers below the age of 35 years.
  • 7.
     Hydatidiform molecan be subdivided into: complete and partial mole
  • 8.
     Based on: 1.Genetic and 2.Histopathological features
  • 9.
    Genetic features: One of the most remarkable discoveries about hydatidiform mole has been the demonstration that complete moles have chromosomes exclusively from the paternal side ,and the karyotype is nearly always 46,xx and only rarely is 46,XY observed.  The normal mechanism is for a haploid sperm,23X,to fertilize an empty egg, and to duplicate itself to form a 46,XX complement. Much less commonly ,two spermatozoa, one being 23,X, and the other,23,Y, can fertilize an empty egg, to give karyotype a 46,XY.
  • 10.
  • 11.
    Aretriploid in origin withtwo sets of paternal haploid genes and one set of maternal haploid genes
  • 12.
  • 13.
     They occur, in almost all cases, following dispermic fertilization of an ovum.  There is usually evidence of a fetus or fetal red blood cells
  • 14.
    In the partial moles ,the normal finding is a triploid karyotype ,69 chromosomes instead of normal 46. The most common mechanism appears to be fertilization of normal egg by two sperm, giving a complement of 69,XXY.
  • 15.
    Complete mole : there are numerous edematous vesicles, which looks like a bunch of small clear grapes,  usually no fetus, or membranes.,
  • 16.
    microscopically: there are:  large oedematous enlarged villi ,  a vascular ,  with variable degree of trophoblastic hyperplasia.  carries greater risk of malignancy and requires longer follow up than the partial mole.
  • 17.
  • 18.
  • 19.
    Partial mole:  Shows a less clear -cut picture ,with the formation of vesicles usually focal ,  fetus and membranes may present,  the vesicles have degree of vascularity.
  • 20.
     In general,the more active trophoblastic appearance the greater the risk of malignancy.  So the subsequent management depends more on the hCG results than the histological reports.
  • 21.
    Bleeding : Bleeding in early pregnancy after variable period of amenorrhea is the most common clinical sign of the mole (occurs in 90% of cases), with the passage of the vesicles.
  • 22.
    Hyperemesis gravidarum : Occurs into 25% of cases of moles ,and appears more common when the uterus is much enlarged and hCG levels are very high.
  • 23.
     Uterine enlargement: The uterus is commonly “large for date”in 50% of case of moles ,  although, in a small proportion of cases the uterus corresponding to the gestational age or smaller than date.  The uterus having a doughy consistency.  The fetal parts are not palpable, and fetal heart is absent.
  • 24.
    Large thecalutein cysts of the ovary are present in “20%”of moles , these may be exaggerated the clinical picture of large for date uterus. These cysts are manifestation of excessive hCG.
  • 25.
  • 26.
    Pre-eclampsia :Occur in association with the moles with range widely from 12-54%,these due to differing times of diagnosis, the longer pregnancy progresses ,the greater chance to developing pre-eclampsia. If the signs of pre-eclampsia appears early in pregnancy , the possibility of hydatidiform mole should be looked for with out delay.
  • 27.
     Hyperthyrodism: Develop in small proportion of women ,and this may be due to thyrotrophic effects of the human chorionic thyrotrophin , which may lead to goitre,fine tremor ,supra-ventricular tachycardia, and weight loss.  DIC can develop in long-standing hydatidiform moles , when there is embolization of trophoblastic tissue to the lung, leads to thromboplastic substances which stimulate fibrin,and platelet deposition.
  • 28.
    History and examination: From the history of amenorrhea ,passage of vesicles vaginally with bleeding ;the size and consistency of the uterus.
  • 29.
    The increasing useof ultrasound in early pregnancy has probably led to the earlier diagnosis of molar pregnancy
  • 30.
    By the U/Sexamination can be diagnosed from very early pregnancy ,characterized by “Snow-storm" appearance.
  • 31.
  • 32.
    By very highlevels of serum hCG than the normal singleton pregnancy ,which is diagnostic and prognostic to the course of the disease ,with very short dappling time.
  • 33.
    The risks ofhydatidiform mole are:  Immediate hemorrhage ,sepsis, or pre- eclampsia; the treatment of these conditions has vastly improved recently.  Molar metastases : Of a non proliferative ”benign” type can occur.
  • 34.
    Choriocarcinoma: The most important danger association with the hydatidiform mole is the development of malignant GTD(Invasive mole or choriocarcinoma) in about 10% of cases,
  • 35.
    The aim oftreatment is to eliminate all trophoblastic tissue from the maternal systems ; If the hydatidiform mole diagnosed ,steps should be taken to evacuate the uterus, and this achieved by:
  • 36.
    Suction & curettage (S&C):The method of choice even when evacuation large mole
  • 37.
    Under GA.  Cervix dilation till 12mm.and S&C induced to the uterine cavity.  I.V oxytocin infusion is started .  S&C started by negative pressure of about 60 to 70cmHg.  The curette is genteelly rotated to ovoid perforation of the soft uterus, and the majority of the molar tissue is evacuated rapidly ,and the uterine size decreases
  • 38.
    Uterine stimulation.
  • 39.
    Medical termination ofcomplete molar pregnancies including cervical preparation prior to suction evacuation, should be avoided where possible.
  • 40.
     The contractionof the myometrium may force tissue into the venous spaces at the site of the placental bed.  The dissemination of this tissue may lead to the profound deterioration in the woman, with embolic and metastases disease occurring in the lung
  • 41.
    Surgical evacuation:
  • 42.
    Surgical evacuation: Hysterectomy has been recommended as a suitable method of treating hydatidiform mole in older women who completed their family ,to reduce the risk of post-molar trophoblastic disease . .The hysterectomy should be carried out with little monopolization to ovoid precipitating mobilization of trophoblastic tissue.
  • 43.
     Inpartial molarpregnancies where the size of the fetal parts deters the use of suction curettage, medical termination can be used.
  • 44.
    After the uterus has been evacuated :  About 90% of cases ,the trophoblastic tissue die out completely.  About 10% of cases the trophoblastic tissue does not die out completely and may persist or recur as : invasive mole or choriocarcinoma.
  • 45.
    So it isimportant that women who have had a hydatidiform mole:  should have close follow-up by serum hCG levels after the evacuation of the uterus, To ensure early recognition of persistent trophoblastic tissue .
  • 46.
     After amolar pregnancy ,the hCG levels will usually have returned to non pregnant levels by 4 to 6 weeks after evacuation.  The follow-up is recommended for 2 years in cases of complete moles, and 6 months of cases of partial moles after the evacuation of uterus.
  • 47.
     Serial quantitative measurement of serum hCG level at weekly intervals, after evacuation of moles till 4 to 5 weeks when the hCG become normal. Then every other week .When the titer gets negative the measurements are done every month fore 1 year.
  • 48.
     Indicationof chemotherapyafter the evacuation of the hydatidiform mole in: Serum hCG >20000 i.u/L , at any time after evacuation of mole.  Raised hCG at 4 to 6 weeks after evacuation of mole.
  • 49.
    Evidence ofmetastases ,hepatic,brain,and pulmonary. Persistent uterine hemorrhage after evacuation of mole with raised hCG levels.
  • 50.
    To achieve effective follow-up ,the pregnancy is better to be avoided ,and also the use of oral contraceptive pills until the hCG levels returns to normal after the evacuation of the mole.  Early diagnosis of persistent trophoblastic disease ensures a good prognosis and an effective system of follow-up.
  • 51.
    Malignant trophoblastic diseasecan exist in two forms: Invasive mole = non-metastatic form. Choriocarcinoma = metastatic form .
  • 52.
     Both treatedwith the chemotherapy and monitored by hCG tumor marker.  Choriocarcinoma subdivide into :  good-prognosis (Low-risk) ,and  poor- prognosis (High-risk).
  • 53.
     The diagnosisof invasive moles or “chorioadenoma destruens” is applied to the moles characterized by :  Abnormal peneterativeness and,  Extensive local invasion, along with  Excessive trophoblastic proliferation ,  With preserved villous pattern.
  • 54.
    The proliferative villi may invade the myomatrum ,paramatrum or the vaginal wall, although there is rarely evidence of metastasis.  The morbidity and mortality of this disease results from the penetration of the tumar through the myomatrum and to the pelvic vessels with the resultant hemorrhage “the morbidity and mortality rate 10 %” .
  • 55.
     Choriocarcinoma subdivide into: good-prognosis (low risk). Poor- Prognosis (High risk).
  • 56.
  • 57.
     The incidence of choriocarcinoma in the West: 1 :10000 and 1:70000 pregnancies; and  In Asia between 1:250 and 1:6000 pregnancies..
  • 58.
     The antecedentpregnancy is : Hydatidiform mole in about 57% of cases. Normal pregnancy in about 26% of cases. Abortion and ectopic pregnancy in about 17% of cases.
  • 59.
     The riskof Choriocarcinoma after a hydatidiform mole is about 2-4% which is 1000 times greater than after a normal pregnancy.
  • 60.
     Choriocarcinoma is more likely to occur after complete mole .  The incidence is in excess in maternal blood group A, and deficit in group O.
  • 61.
     Site: Inthe uterus 90% of cases; 10 % of cases in the ovaries ,vagina, vulva, lung, liver, and brain.
  • 62.
     Macroscopically:  Uterus:It may be localized in the form of hemorrhagic polyp or multiple hemorrhagic ,necrotic masses in the cavity.  Some times it is present in the uterine wall (intramural) and the cavity is empty.
  • 63.
    Ovaries : Mayshow stormal lutein hyperplasia, and theca-lutein cysts. And may be site of secondaries.
  • 64.
     Microscopically:  Malignanthyperplasia of both cytotrophoblasts,and syncytiotrophoblasts.  Extensive hemorrhage.  Absence of villi.  Destruction of the surrounding myomatrum.
  • 65.
    Direct : Through the myomatrum and may end in uterine perforation ,internal hemorrhage, and peritonitis .Through the fallopian tubes to the ovaries.
  • 66.
  • 67.
     Blood :The main method of spread ,and occurs to;  Genital : Vagina, vulva, and ovary.  Extra genital : Lung, liver, brain, and bones especially skull and spine.  The lung is the commonest site for secondaries and haemoptysis may be the presenting symptom.
  • 68.
     Lung  Vagina Brain  Liver •68
  • 69.
     Vaginal bleeding. Haemoptysis.  Intraperitoneal hemorrhage.  Peritonitis.  Metastasis to the vital organs e.g,brain.  Pulmonary complications.
  • 70.
     Symptoms : Recent history of expulsion of vesicular mole ,or abortion, or full term pregnancy.  Persistent vaginal bleeding is the commonest presentation.  Haemoptysis.  Abdominal swelling (uterus or ovaries).
  • 71.
     PersistentGTD shouldbe considered in any woman developing: acute respiratory or neurological symptoms after any pregnancy.
  • 72.
     Signs:  Markeddeterioration of the general condition.  An abdominal swelling may be felt.
  • 73.
     Vaginally : Theuterus symmetrically enlarged (less than 12 weeks). The ovaries may be enlarged. Hemorrhagic secondaries may be seen in the vagina or vulva
  • 74.
     Investigation:  SerumhCG.  Chest X-ray for pulmonary metastasis.  L.F.T .  Liver scan.  CAT scan for the secondaries.  EEG .  U/S for abdomen and pelvis.  Diagnostic D&C.
  • 75.
    The clinical classificationof gestational trophoblastic disease: I. Non-metastatic. II. Metastatic: A. Low risk: All patient of documented metastatic disease who do not have “high- risk factors”.
  • 76.
    B. High risk: 1.B-hCG level higher than 100.000miu/ml. 2. Associated pregnancy episode more than 4 months before the diagnosis.
  • 77.
    3. Following full-term pregnancy. 4. Liver or brain metastasis. 5. Failure of previous chemotherapy. 6. Symptoms of malignancy more than 4 months
  • 78.
    Prophylaxis: After care of vesicular mole;  D&C after one week of the evacuation.  Monitored for the signs and symptoms of trophoblastic neoplassmic by:. I. serial hCG.
  • 79.
    II. Diagnostic D&C is done if :  The hCG levels remains high.  The hCG levels rises after gets negative.  Uterine sub involution.  Persistence of theca lutein cysts in the ovaries.  Every case of secondary postpartum haemorrhage.  Every case of post abortive bleeding.
  • 80.
    I. Non metastatic GTD: o Methotrexate (antimetabolite) +folinic acid. o The cytotoxic therapy is controlled by doing CBC,platelet count and LFT. o After the the hCG level gets normal ;stop the therapy and follow-up by weekly estimation of hCG levels.
  • 81.
    Women scoring: Non metastatic GTD,and(low risk) GTD receive intramuscular methotrexate on alternate days, followed by six rest days, with each course consisting of four injections
  • 82.
    o Physical examination, chest x- ray, and LFT. o Total abdominal hysterectomy ,if the patient does not desire to maintain child-bearing, in the middle of the first treatment course .
  • 83.
    II. Low metastatic GTD: o Methotraxate , or Actinomycin D ,if there is resistance ,change to triple chemotherapy.
  • 84.
    o The criteria for initiation, and continuation of each methotraxate treatment ;  Platelet count more than 100.000.  WBC more than 3000.  Absolute neutrophil count between 1000- 1500.  Normal LFT, renal function.
  • 85.
    III. High risk metastatic GTD : o Triple chemotherapy : Methotraxate, Actinomycin D, and Cytoxan.
  • 86.
    o Surgery:  TAHmay be done in patients not desirous of further reproduction.  Surgical extirpation of isolated metastasis e.g. pulmonary if resistant to chemotherapy.
  • 87.
    o Irradiation: Wholebrain irradiation for cerebral metastases , The whole organ irradiation for hepatic metastases
  • 88.
     After successfultherapy ,the hCG levels are obtained :  every 2weeks for 3 months,  every month for 3months,  every 2months for 6 months then every sixes months indefinitely.
  • 89.
     If atany time hCG levels rises, repeat the evaluation , staging ,and chemotherapy.  Physical examination, and chest x-ray follow-up at 6 weeks, then every 3months for one year, then every 6 months for one year.
  • 90.
     Pregnancy isnot allowed except after one year of negative follow up but with danger of :  Molar pregnancy (4-5 times greater risk).  Spontaneous abortion.  Premature delivery.
  • 91.
    If a furthermolar pregnancy does occur, in 68–80% of cases it will be of the same histological type
  • 92.
     Women who undergo chemotherapy are advised not to concieve for one year after completion of treatment
  • 93.
    THIS IS THEEND OF THE LECTURE . HOPE YOU ENJOYED IT ! THANK YOU ! ! !