FIBRO
CARTILAGE
Presented to:
Dr. Rabail
Presented by:
Hussan Ara
Contents
 Cartilage
 General features of cartilage
 Classification
 Fibro cartilage
 Structure
 Chemical compounds present
 Staining
 Occurrence in body
 Disorders
Cartilage
Cartilage is a specialized type
of dense collective tissue
designed to give support ,
bear weight and withstand
tension , torsion , and
bending.
General Features
 Cartilage supports regions of body
that requires flexibility.
 Non nervous structure
 Avascular
 Very poor regeneration power
 Usually surrounded by pericondrium
(dense irregular connective tissue
surrounding cartilage)except fibro
cartilage.
Classification
Hyaline cartilage
Elastic cartilage
Fibro cartilage
Fibro Cartilage
White colored , tough
cartilage containing
dense connective
tissue and collagen
fibers often known
as intervertebral
discs is called fibro cartilage.
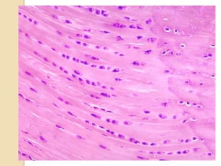
Structure
 Fibro cartilage consists of
chondrocytes dispersed
among bundles of type 1
collagen fibers.
 Chondrocytes are
present in lacunae
(cavity).
Continued…
 The arrangement of
cells is different from all
other type of cartilages.
 Chondrocytes are
arranged in parallel rows
of 2, 4 or 6 cells.
 These rows of cells
are called isogenous
cell groups.
Chemical Compounds
Present
 Proteoglycans rich in sulphated
glucosaminoglycans especially
Chondroiton sulphate
Dermatan sulphate
Stain
 Due to the abundance of collagen type
1 fibers , the matrix of fibrocartilage
stains intensely
acidophilic/eosinophilic. (since
collagen is basic in nature)
 Stained by EOSIN which is pink in
color.
 Chondrocytes are stained in purple
usually by HEMATOXYLIN and looks
purple in color due to acidic nature of
Occurrence in body
Intervertebral disc
Disc of pubic symphysis
Menisci of knee
joint
Occurrence
Sternoclavicular joint
Temporomandibular joint
Ligamentum teres
Occurrence
Labrum glenoidale
Labrum acetabulare
Fibrocartilage is also found at places
where tendons and ligaments attach
to bones.
Disorders
 Degeneration of
fibrocartilage is
seen in degenerative
disc disease.
Continued…
 A fibrocartilaginous embolism (FCE)
is an unusual cause of spinal cord and
cerebral ischemia (insufficient bloodsup
ply). Symptoms may include sudden
, severe pain in the neck and/or back;
progressive
weakening reduced sensation; and par
alysis. It may be caused by the blocking
of an artery interrupting vascular
supply.
Continued…
 A herniated disk is a disk that
ruptures. This allows the jelly-like
center of the disk to leak, irritating the
nearby nerves. This can
cause sciatica or back pain.
fibro cartilage

fibro cartilage