EXTERN CONFERENCE
EXT. POLLACHAT SUKSANGDOW
PATIENT PROFILE
▪ ผู้ป่วยชายไทยอายุ 70 ปี
▪ ภูมิลาเนา จ.นครราชสีมา
▪ สัญชาติไทย นับถือศาสนาพุทธ
▪ สิทธิการรักษา บัตรทองผู้สูงอายุ
2
CHIEF COMPLANT
▪ ปวดข้อเท้าขวา 1 วันก่อนมาโรงพยาบาล
3
PRESENT ILLNESS
▪ 1 วันก่อนมาโรงพยาบาล ญาติพบผู้ป่วยล้มอยู่ในบ้านบริเวณโถงบ้าน ศีรษะ
กระแทกพื้น มีแผลที่ฉีกขาดด้านหลังศีรษะ มีเจ็บบริเวณข้อเท้าข้างขวาบวม
ปวดมาก ผู้ป่วยไม่สามารถเดินลงน้าหนักได้ จึงมาโรงพยาบาล
4
PRIMARY SURVEY MNRH
▪ A: Can speak, C-spine not tender
▪ B: Clear both lung, Equal breath sound
▪ C: BP HR no active bleeding
▪ D: E4V5M6, pupil 3 mm. RTLBE, motor IV+ all Extremities
▪ E: Sutured wound at Left side of Head ~ 3 cm.
Swelling at Left ankle, no external wound, no ecchimosis
5
SECONDARY SURVEY MNRH
▪ A: no hx of drug or food Allergy
▪ M: Simvastatin, ASA
▪ P: Old CVA
▪ L: 9.00 น.
▪ E: Falling 1 day PTA ญาติพบผู้ป่วยนั่งอยู่บนพื้นบ้านมี ลุกไม่ได้มีอาการปวด
บวมบริเวณข้อเท้าขวา
6
PHYSICAL EXAMINATION
▪ V/S : BP HR RR 20 T
▪ HEENT : not pale, no jaundice
▪ Heart : normal, S1 S2, no murmur
▪ Lung : clear both lungs
▪ Abdomen : not distend, soft, not tender
7
PHYSICAL EXAMINATION
▪ Extremities
Rt. Ankle Swelling, Mark tender medial malleolus area, Mild
tender lateral malleolus area, Limit ROM due to pain, normal
pinprick sensation, cap.refill < 2 sec, DPA, PTA 2+
8
ADJUNCTS to SECONDARY SURVEY
▪ Film : Rt. Ankle AP, LAT, Mortise
9
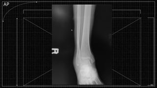
AP
10
LAT
11
Mortise
12
IMPRESSION
▪ Closed fracture bimalleolar of Right Ankle
13
MANAGEMENT
▪ Pain Control
▪ Immobilization : Posterior Short Leg Slab
▪ Admit
▪ Pre-operative
14
Ankle Fracture
Anatomy
16
CAUSE
▪ TWIST or Rotating of Ankle
▪ Falling
▪ Impact Force
17
Clinical Presentation
▪ Pain
▪ Swelling
▪ Bruise / Ecchymosis
▪ Tender on palpation
▪ Can’t weight bearing
▪ Deformity
18
19
Mechanism
20
Lauge-Hansen Class Sequence
Supination - Adduction
(SA)
1.Talofibular sprain or distal fibular avulsion
2.Vertical medial malleolus and impaction of anteromedial distal tibia
Supination - External
Rotation (SER)
1.Anterior tibiofibular ligament sprain
2.Lateral short oblique fibula fracture (anteroinferior to posterosuperior)
3.Posterior tibiofibular ligament rupture or avulsion of posterior malleolus
4.Medial malleolus transverse fracture or disruption of deltoid ligament
Pronation - Abduction
(PA)
1.Medial malleolus transverse fracture or disruption of deltoid ligament
2.Anterior tibiofibular ligament sprain
3.Transverse comminuted fracture of the fibula above the level of the
Syndesmosis
Pronation - External
Rotation (PER)
1.Medial malleolus transverse fracture or disruption of deltoid ligament
2.Anterior tibiofibular ligament disruption
3.Lateral short oblique or spiral fracture of fibula (anterosuperior to posteroinferior)
above the level of the joint
4.Posterior tibiofibular ligament rupture or avulsion of posterior malleolus
21
22
23
24
Classification
▪ Anatomic / Descriptive
▫ isolated medial malleolar
▫ isolated lateral malleolar
▫ bimalleolar
▫ trimalleolar
▫ Bosworth fracture-dislocation (posterior dislocation of the fibula
behind incisura fibularis)
25
Classification
▪ Danis-Weber (location of fibular fracture)
▫ A - infrasyndesmotic (generally not associated with
ankle instability)
▫ B - transsyndesmotic
▫ C - suprasyndesmotic
26
27
28
29
30
Investigation
▪ Plain Film
▫ AP
▫ LAT
▫ Mortise
31
Measurement
▪ Talocrural angle
8-15 o.
Smaller is
fibular shortening.
32
Measurement
▪ Tibiofibular
shortening,
rotation
lateral displacement
of the fibula.
33
Measurement
▪ Talar tilt
2 mm.
not parallel
instability of
the ankle joint.
34
Measurement
▪ Medial clear space
▫ lateral shift of the talus
35
Measurement
▪ Syndesmotic injury
36
Treatment
▪ Non-operative
▫ short-leg walking cast/boot
indications
▫ isolated nondisplaced medial malleolus fracture or tip avulsions
▫ isolated lateral malleolus fracture with < 3mm displacement
and no talar shift
▫ bimalleolar fracture if elderly or unable to undergo surgical intervention
▫ posterior malleolar fracture with < 25% joint involvement
or < 2mm step-off
37
Treatment
▪ Operative
▫ open reduction internal fixation
▪ indications
▫ any talar displacement
▫ displaced isolated medial malleolar fracture
▫ displaced isolated lateral malleolar fracture
▫ bimalleolar fracture and bimalleolar-equivalent fracture
▫ posterior malleolar fracture with > 25% or > 2mm step-off q
▫ Bosworth fracture-dislocations, Syndesmotic Injury
38
COMPLICATION
▪ Infection
▪ Post-Traumatic Arthritis
39
THANK YOU
40

Ext4

  • 1.
  • 2.
    PATIENT PROFILE ▪ ผู้ป่วยชายไทยอายุ70 ปี ▪ ภูมิลาเนา จ.นครราชสีมา ▪ สัญชาติไทย นับถือศาสนาพุทธ ▪ สิทธิการรักษา บัตรทองผู้สูงอายุ 2
  • 3.
    CHIEF COMPLANT ▪ ปวดข้อเท้าขวา1 วันก่อนมาโรงพยาบาล 3
  • 4.
    PRESENT ILLNESS ▪ 1วันก่อนมาโรงพยาบาล ญาติพบผู้ป่วยล้มอยู่ในบ้านบริเวณโถงบ้าน ศีรษะ กระแทกพื้น มีแผลที่ฉีกขาดด้านหลังศีรษะ มีเจ็บบริเวณข้อเท้าข้างขวาบวม ปวดมาก ผู้ป่วยไม่สามารถเดินลงน้าหนักได้ จึงมาโรงพยาบาล 4
  • 5.
    PRIMARY SURVEY MNRH ▪A: Can speak, C-spine not tender ▪ B: Clear both lung, Equal breath sound ▪ C: BP HR no active bleeding ▪ D: E4V5M6, pupil 3 mm. RTLBE, motor IV+ all Extremities ▪ E: Sutured wound at Left side of Head ~ 3 cm. Swelling at Left ankle, no external wound, no ecchimosis 5
  • 6.
    SECONDARY SURVEY MNRH ▪A: no hx of drug or food Allergy ▪ M: Simvastatin, ASA ▪ P: Old CVA ▪ L: 9.00 น. ▪ E: Falling 1 day PTA ญาติพบผู้ป่วยนั่งอยู่บนพื้นบ้านมี ลุกไม่ได้มีอาการปวด บวมบริเวณข้อเท้าขวา 6
  • 7.
    PHYSICAL EXAMINATION ▪ V/S: BP HR RR 20 T ▪ HEENT : not pale, no jaundice ▪ Heart : normal, S1 S2, no murmur ▪ Lung : clear both lungs ▪ Abdomen : not distend, soft, not tender 7
  • 8.
    PHYSICAL EXAMINATION ▪ Extremities Rt.Ankle Swelling, Mark tender medial malleolus area, Mild tender lateral malleolus area, Limit ROM due to pain, normal pinprick sensation, cap.refill < 2 sec, DPA, PTA 2+ 8
  • 9.
    ADJUNCTS to SECONDARYSURVEY ▪ Film : Rt. Ankle AP, LAT, Mortise 9
  • 10.
  • 11.
  • 12.
  • 13.
    IMPRESSION ▪ Closed fracturebimalleolar of Right Ankle 13
  • 14.
    MANAGEMENT ▪ Pain Control ▪Immobilization : Posterior Short Leg Slab ▪ Admit ▪ Pre-operative 14
  • 15.
  • 16.
  • 17.
    CAUSE ▪ TWIST orRotating of Ankle ▪ Falling ▪ Impact Force 17
  • 18.
    Clinical Presentation ▪ Pain ▪Swelling ▪ Bruise / Ecchymosis ▪ Tender on palpation ▪ Can’t weight bearing ▪ Deformity 18
  • 19.
  • 20.
    Mechanism 20 Lauge-Hansen Class Sequence Supination- Adduction (SA) 1.Talofibular sprain or distal fibular avulsion 2.Vertical medial malleolus and impaction of anteromedial distal tibia Supination - External Rotation (SER) 1.Anterior tibiofibular ligament sprain 2.Lateral short oblique fibula fracture (anteroinferior to posterosuperior) 3.Posterior tibiofibular ligament rupture or avulsion of posterior malleolus 4.Medial malleolus transverse fracture or disruption of deltoid ligament Pronation - Abduction (PA) 1.Medial malleolus transverse fracture or disruption of deltoid ligament 2.Anterior tibiofibular ligament sprain 3.Transverse comminuted fracture of the fibula above the level of the Syndesmosis Pronation - External Rotation (PER) 1.Medial malleolus transverse fracture or disruption of deltoid ligament 2.Anterior tibiofibular ligament disruption 3.Lateral short oblique or spiral fracture of fibula (anterosuperior to posteroinferior) above the level of the joint 4.Posterior tibiofibular ligament rupture or avulsion of posterior malleolus
  • 21.
  • 22.
  • 23.
  • 24.
  • 25.
    Classification ▪ Anatomic /Descriptive ▫ isolated medial malleolar ▫ isolated lateral malleolar ▫ bimalleolar ▫ trimalleolar ▫ Bosworth fracture-dislocation (posterior dislocation of the fibula behind incisura fibularis) 25
  • 26.
    Classification ▪ Danis-Weber (locationof fibular fracture) ▫ A - infrasyndesmotic (generally not associated with ankle instability) ▫ B - transsyndesmotic ▫ C - suprasyndesmotic 26
  • 27.
  • 28.
  • 29.
  • 30.
  • 31.
    Investigation ▪ Plain Film ▫AP ▫ LAT ▫ Mortise 31
  • 32.
    Measurement ▪ Talocrural angle 8-15o. Smaller is fibular shortening. 32
  • 33.
  • 34.
    Measurement ▪ Talar tilt 2mm. not parallel instability of the ankle joint. 34
  • 35.
    Measurement ▪ Medial clearspace ▫ lateral shift of the talus 35
  • 36.
  • 37.
    Treatment ▪ Non-operative ▫ short-legwalking cast/boot indications ▫ isolated nondisplaced medial malleolus fracture or tip avulsions ▫ isolated lateral malleolus fracture with < 3mm displacement and no talar shift ▫ bimalleolar fracture if elderly or unable to undergo surgical intervention ▫ posterior malleolar fracture with < 25% joint involvement or < 2mm step-off 37
  • 38.
    Treatment ▪ Operative ▫ openreduction internal fixation ▪ indications ▫ any talar displacement ▫ displaced isolated medial malleolar fracture ▫ displaced isolated lateral malleolar fracture ▫ bimalleolar fracture and bimalleolar-equivalent fracture ▫ posterior malleolar fracture with > 25% or > 2mm step-off q ▫ Bosworth fracture-dislocations, Syndesmotic Injury 38
  • 39.
  • 40.