HERNII DIAFRAGMATICE
Anatomie diafragm
Structura musculotendinoasa
care separa cavitatea
toracica de cea
abdominala cu important
rol in procesul respirator
Componenta centrala
:structura aponevrotica
sau centru tendinos
Componenta musculara
situata periferic are 3
portiuni lombara,costala
sternala
componenta lombara :
de pe vertebrele lombare pornesc 2
pilieri:
• pilierul drept se insera pe L1,L2,L3
• pilierul stang se insera pe L1,L2
• marginile mediale tendinoase ale
pilierilor se unesc pe linie mediana si
formeaza ligamentul arcuat median
anterior de aorta
• cea de a doua componenta a
portiunii lombare ia nastere de pe 2
perechi de arcade aponevrotice
situate lateral de pilieri ,
 ligamentul arcuat medial de la L2 la
apofiza costiforma a primei vertebre
lombare,pe sub acest ligament trece
psoasul
 ligamentul arcuat lateral care
trece ca o punte peste patratul
lombelor,acest ligament se insera pe
apofiza costiforma a lui L1 si pe
coasta a XII –a
componenta costala
 isi are originea pe
fetele mediale ale
ultimelor 6 coaste
prin digitatii cu
muschiul transvers al
abdomenului
 componenta
sternala consta in 2
fascicule de pe
apendicele xifoid
1. Prin hiatusul esofagian –
hernia hiatala
2. Prin fanta parasternala
anterioara-hernia Larey-
Morgagni
3. Prin orificiul Bochdalek-
hernia Bochdalek
posterolaterala
4. prin ruptura de diafragm cu
herniere în torace a
organelor abdominale-
hernia traumatică
Hernia hiatală
• Hernie a unei portiuni de stomac in mediastin
prin hiatusul esofagian al diafragmului
• Prin rostogolire (paraesofagiana)fornixul
herniază paraesofagian, esofag de lungime
normală, cardia în abdomen.
• Prin alunecare-esofag cu lungime normala,
fornix si cardia în torace.
• Hernie hiatala cu esofag scurt(brahiesofag),
cardia intratoracic.
Hernia hiatală
• Radiografia toracica PA si profil
• Examen cu substanta de contrast tub
digestiv (clinostatism ,Trendelemburg)-
sediul orificiului cardial,dimensiunea
inelului hiatal ,pozitia esofagului
abdominal ,unghiul HIS)
• CT cu admininstrarea unei mici cantitati
de contrast oral in timpul examinarii
Investigatii imagistice
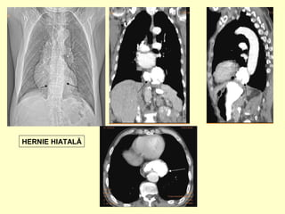
HERNIE HIATALĂ
HERNIE HIATALĂ
HERNIE HIATALĂ
hernie hiatală voluminoasă care
conţine şi o mare parte din corpul
gastric, înconjurată de o importantă
cantitate de grăsime abdominală
HERNIE HIATALĂ
• Defect persistent de dezvoltare la nivelul
diafragmului anterior între septum
transvers si inserţiile costale drepte si
stângi ale diafragmului.
• Se produce prin fanta Larrey (trigonul
sternocostal Larrey), sau foramen
Morgagni.
Hernie Morgagni-Larrey
• Hernia situată parasternal anterior se
numeşte Morgagni pe dreapta şi Larey
pe stânga.
• Dintre herniile diafragmatice anterioare
hernia Morgagni este de 10 ori mai
frecventă decât hernia Larey.
1. Radiografie PA: imagine opacă , aerică, mixtă în
funcţie de organul herniat care se situează în
unghiului cardiofrenic drept, rar pe stânga, pe
linie mediană ,excepţional bilateral- prezenţa
imaginilor aerice de anse intestinale este un
semn patognomonic.
2. Radiografia de profil: opacitate sau imagine
mixta retrocostoxifoidiană, (retrosternală)
3. Examen cu substanţă de contrast al
tubului digestiv (pentru organe herniate cu
lumen)
4. Computer-tomografie - foarte importante sunt
reconstrucţiile multiplanare în plan sagital şi
coronal pentru aprecierea defectului diafragmatic
Investigatii imagistice
Ce organe pot hernia ?
• grasime omentală
• colon transvers
• intestin subţire
• ficat
• splină
• mai puţin comun :stomac,veziculă biliară,
pancreas, cec, ileon terminal, colon ascendent
•radiologic imagine opacă la nivelul unghiului cardiofrenic drept
•radiografia de profil arată prezenţa unei opacităţi retrocostoxifoidiene
•diagnosticul se confirmă prin examen cu substanta de contrast al tubului digestiv
sau examen CT
•în acest caz intraoperator s-a confirmat o hernie de epiploon
Hernie Morgagni(Larrey)
Diagnostic diferential
• tumori pulmonare
• chist hidatic, chist pleuropericardic
• diverticul pericardic
• anevrism cardiac
• lipom, grăsime pericardică
Masă de densitate grăsoasă de
mari dimensiuni herniată în
torace, localizată paracardiac
drept si anterior de cord.
Masă grasă conţine fine
densităţi liniare şi arciforme
reprezentate de vase omentale;
în sacul herniar există şi o mică
porţiune din domul hepatic.
• Hernia Bochdalek apare printr-un defect
congenital în diafragm.
• Foramen Bochdalek este o deschidere
de 2-3 cm în regiunea posterioară a
diafragmului; hernia se produce în caz
de fuziune incompletă între partea
laterală şi posterioară a diafragmului, în
general comunicarea pe stânga se
închide mai tarziu ceea ce explică
prevalenţa pe stânga
Hernia Bochdalek
• Închiderea incompletă generează hernia
viscerelor abdominale în torace
• Hernia Bochdaleck este situată
posterolateral pe dreapta şi pe stânga
(pe stanga in aproximativ 90 din cazuri)
• Conţinutul herniei este de grăsime
retroperitoneală, intestin, uneori rinichi
• la nou nascut se poate asocia cu alte
malformaţii ale cordului, SNC, insuficienţa
de dezvoltare pulmonară sau anomalii
cromozomice
• la copil poate provoca detresă respira-
torie
• la adult de obicei asimptomatică este
descoperită întâmplator ca o masă media-
stinală posterolaterala , pe stânga în
general
1. Radiografie PA: imagine opacă , aerică, mixtă în
funcţie de organul herniat
2. Radiografia de profil
3. Examen cu substanţă de contrast al tubului
digestiv (pentru organe herniate cu lumen)
4. Computer-tomografie - foarte importante sunt
reconstrucţiile multiplanare în plan sagital şi
coronal pentru aprecierea defectului diafragmatic
Investigatii imagistice
imaginea localizată la baza
hemitoracelui stâng în unghiul
costodiafragmatic posterior care
determina ascensiunea;
hemidiafragmului stâng este data
de o herniere de grăsime;
retroperitoneală (perirenală) şi de
asemenea de pol renal stâng
superior –hernie Bochdalek;
Hernia Bochdalek
hernie printr-un defect diafragmatic posterior a unei porţiuni de colon în
torace (în sacul herniar colon cu conţinut aeric şi fluid, şi grăsime)-hernie
Bochdalek
hernie printr-un defect diafragmatic posterior a unei porţiuni de colon în
torace (în sacul herniar colon cu conţinut aeric şi fluid, şi grăsime)-hernie
Bochdalek
Hernia diafragmatică post traumatică
Radiografia toracică
+/_combinată cu
explorare cu substanţă
de contrast
• Ascensiune
hemidiafragm
• Viscere abdominale
(organe cu lumen:
stomac, intestin
deplasate în torace
• Modificări toracice
asociate de tip
pleurezie,pnemotorax
contuzie toracică ,
leziuni scheletice,etc
CT
• se poate vizualiza defectul
diafragmatic (reconstrucţii
frontale şi sagitale)
• aprecierea organelor
herniate (inclusiv a
organelor parenchimatoase
care nu s-au evidentiat
radiologic
În situaţii incerte RMN pentru
existenţa certă a unei
discontinuităţi diafragmatice
• imagine aerică de mari dimensiuni la
nivelul hemitoracelui stang; fracturi
costale stângi, revarsat lichidian bazal
stang
• ruptura de diafragm stâng şi
hernierea stomacului în torace
Caz clinic 1
bărbat ,45 ani, accident de masină, coma superficială, insuficienţă respiratorie
• ascensiune hemidiafragm stâng
• nivel hidroaeric în torace cu aspect variabil la explorări repetate
• mediastin deplasat controlateral
Caz clinic 2
femeie 79 ani, vechi traumatism în urmă cu 30 ani, fără simptome abdominale ,
insuficienţă respiratorie
Mediastin lărgit şi ştergerea conturului diafragmului stâng, voalarea
bazei pulmonare, pe fondul opacitatii hemitoracelui stâng se constată imagini
transparente şi mixte cu aspect variabil de la un examen la altul.
Examinarea cu substanţă de contrast arată deplsarea stomacului şi
intestinului subţire în torace.
• Clisma baritată arată şi deplasarea colonului în torace
Concluzii
• Patologie de granita intre abdomen si torace
• Radiografia toracica ca explorare de prima
intentie arata modificari care pot fi consecinta
hernierii unor organe din cavitatea abdominala
• Confirmarea diagnosticului necesita explorare
cu substanta de contrast a tubului digestiv
• CT cu reconstructii in plan frontal si sagital
(indica cu precizie organul herniat si evidentiaza
defectul diafragmatic)
BIBLIOGRAFIE
• Lesions of the Cardiophrenic Spaces :Findings at Cross-sectional
Imaging,Radiographics 2007;27:19-32-Victor Pineda ,MD.Jordi
Andreu,MD,Jose Caceres,MD,et all.
• Traumatic Diaphragmatic Injuries :Spectrum of radiographic
Findings,Radiographics 1998;18:49-59,Kristine L .Shackleton,MD,Edward
T. Stewart,MD,Andrew J.Taylor,MD
• The Diapragm :Anatomic pathologic,and radiologic
considerations,Radiographics,Volume 8,Number 3.May 1988-David
M.Panicek,MD,Carol B.Benson,MD
• Manifestations of Gastrointestinal Disease on Chest RadiographsTimothy
J.Cole,MD,Mary Ann Turner,MD,Radiographics 1993;13:1013-1034
• CT of Posterior Mediastinal Masses ,Radiographics 1991;11:1045-1067
• Multimodality Imaging of the Pediatric Diaphragm :Anatomy and Patologic
Conditions,Radiographics 2010 ;30;1797-1817,Govind B.Chavhan,MD,Paul
S Babyn,MD,Ronald A Cohen ,MD,Jacob C Langer,MD

Hernii diafragmatice

  • 1.
  • 2.
    Anatomie diafragm Structura musculotendinoasa caresepara cavitatea toracica de cea abdominala cu important rol in procesul respirator Componenta centrala :structura aponevrotica sau centru tendinos Componenta musculara situata periferic are 3 portiuni lombara,costala sternala
  • 3.
    componenta lombara : depe vertebrele lombare pornesc 2 pilieri: • pilierul drept se insera pe L1,L2,L3 • pilierul stang se insera pe L1,L2 • marginile mediale tendinoase ale pilierilor se unesc pe linie mediana si formeaza ligamentul arcuat median anterior de aorta • cea de a doua componenta a portiunii lombare ia nastere de pe 2 perechi de arcade aponevrotice situate lateral de pilieri ,  ligamentul arcuat medial de la L2 la apofiza costiforma a primei vertebre lombare,pe sub acest ligament trece psoasul  ligamentul arcuat lateral care trece ca o punte peste patratul lombelor,acest ligament se insera pe apofiza costiforma a lui L1 si pe coasta a XII –a
  • 4.
    componenta costala  isiare originea pe fetele mediale ale ultimelor 6 coaste prin digitatii cu muschiul transvers al abdomenului  componenta sternala consta in 2 fascicule de pe apendicele xifoid
  • 5.
    1. Prin hiatusulesofagian – hernia hiatala 2. Prin fanta parasternala anterioara-hernia Larey- Morgagni 3. Prin orificiul Bochdalek- hernia Bochdalek posterolaterala 4. prin ruptura de diafragm cu herniere în torace a organelor abdominale- hernia traumatică
  • 7.
    Hernia hiatală • Herniea unei portiuni de stomac in mediastin prin hiatusul esofagian al diafragmului • Prin rostogolire (paraesofagiana)fornixul herniază paraesofagian, esofag de lungime normală, cardia în abdomen. • Prin alunecare-esofag cu lungime normala, fornix si cardia în torace. • Hernie hiatala cu esofag scurt(brahiesofag), cardia intratoracic.
  • 8.
  • 9.
    • Radiografia toracicaPA si profil • Examen cu substanta de contrast tub digestiv (clinostatism ,Trendelemburg)- sediul orificiului cardial,dimensiunea inelului hiatal ,pozitia esofagului abdominal ,unghiul HIS) • CT cu admininstrarea unei mici cantitati de contrast oral in timpul examinarii Investigatii imagistice
  • 10.
  • 11.
  • 12.
    HERNIE HIATALĂ hernie hiatalăvoluminoasă care conţine şi o mare parte din corpul gastric, înconjurată de o importantă cantitate de grăsime abdominală
  • 13.
  • 14.
    • Defect persistentde dezvoltare la nivelul diafragmului anterior între septum transvers si inserţiile costale drepte si stângi ale diafragmului. • Se produce prin fanta Larrey (trigonul sternocostal Larrey), sau foramen Morgagni. Hernie Morgagni-Larrey
  • 16.
    • Hernia situatăparasternal anterior se numeşte Morgagni pe dreapta şi Larey pe stânga. • Dintre herniile diafragmatice anterioare hernia Morgagni este de 10 ori mai frecventă decât hernia Larey.
  • 17.
    1. Radiografie PA:imagine opacă , aerică, mixtă în funcţie de organul herniat care se situează în unghiului cardiofrenic drept, rar pe stânga, pe linie mediană ,excepţional bilateral- prezenţa imaginilor aerice de anse intestinale este un semn patognomonic. 2. Radiografia de profil: opacitate sau imagine mixta retrocostoxifoidiană, (retrosternală) 3. Examen cu substanţă de contrast al tubului digestiv (pentru organe herniate cu lumen) 4. Computer-tomografie - foarte importante sunt reconstrucţiile multiplanare în plan sagital şi coronal pentru aprecierea defectului diafragmatic Investigatii imagistice
  • 18.
    Ce organe pothernia ? • grasime omentală • colon transvers • intestin subţire • ficat • splină • mai puţin comun :stomac,veziculă biliară, pancreas, cec, ileon terminal, colon ascendent
  • 19.
    •radiologic imagine opacăla nivelul unghiului cardiofrenic drept •radiografia de profil arată prezenţa unei opacităţi retrocostoxifoidiene •diagnosticul se confirmă prin examen cu substanta de contrast al tubului digestiv sau examen CT •în acest caz intraoperator s-a confirmat o hernie de epiploon Hernie Morgagni(Larrey)
  • 20.
    Diagnostic diferential • tumoripulmonare • chist hidatic, chist pleuropericardic • diverticul pericardic • anevrism cardiac • lipom, grăsime pericardică
  • 21.
    Masă de densitategrăsoasă de mari dimensiuni herniată în torace, localizată paracardiac drept si anterior de cord. Masă grasă conţine fine densităţi liniare şi arciforme reprezentate de vase omentale; în sacul herniar există şi o mică porţiune din domul hepatic.
  • 24.
    • Hernia Bochdalekapare printr-un defect congenital în diafragm. • Foramen Bochdalek este o deschidere de 2-3 cm în regiunea posterioară a diafragmului; hernia se produce în caz de fuziune incompletă între partea laterală şi posterioară a diafragmului, în general comunicarea pe stânga se închide mai tarziu ceea ce explică prevalenţa pe stânga Hernia Bochdalek
  • 25.
    • Închiderea incompletăgenerează hernia viscerelor abdominale în torace • Hernia Bochdaleck este situată posterolateral pe dreapta şi pe stânga (pe stanga in aproximativ 90 din cazuri) • Conţinutul herniei este de grăsime retroperitoneală, intestin, uneori rinichi
  • 27.
    • la nounascut se poate asocia cu alte malformaţii ale cordului, SNC, insuficienţa de dezvoltare pulmonară sau anomalii cromozomice • la copil poate provoca detresă respira- torie • la adult de obicei asimptomatică este descoperită întâmplator ca o masă media- stinală posterolaterala , pe stânga în general
  • 28.
    1. Radiografie PA:imagine opacă , aerică, mixtă în funcţie de organul herniat 2. Radiografia de profil 3. Examen cu substanţă de contrast al tubului digestiv (pentru organe herniate cu lumen) 4. Computer-tomografie - foarte importante sunt reconstrucţiile multiplanare în plan sagital şi coronal pentru aprecierea defectului diafragmatic Investigatii imagistice
  • 29.
    imaginea localizată labaza hemitoracelui stâng în unghiul costodiafragmatic posterior care determina ascensiunea; hemidiafragmului stâng este data de o herniere de grăsime; retroperitoneală (perirenală) şi de asemenea de pol renal stâng superior –hernie Bochdalek; Hernia Bochdalek
  • 30.
    hernie printr-un defectdiafragmatic posterior a unei porţiuni de colon în torace (în sacul herniar colon cu conţinut aeric şi fluid, şi grăsime)-hernie Bochdalek
  • 31.
    hernie printr-un defectdiafragmatic posterior a unei porţiuni de colon în torace (în sacul herniar colon cu conţinut aeric şi fluid, şi grăsime)-hernie Bochdalek
  • 32.
    Hernia diafragmatică posttraumatică Radiografia toracică +/_combinată cu explorare cu substanţă de contrast • Ascensiune hemidiafragm • Viscere abdominale (organe cu lumen: stomac, intestin deplasate în torace • Modificări toracice asociate de tip pleurezie,pnemotorax contuzie toracică , leziuni scheletice,etc CT • se poate vizualiza defectul diafragmatic (reconstrucţii frontale şi sagitale) • aprecierea organelor herniate (inclusiv a organelor parenchimatoase care nu s-au evidentiat radiologic În situaţii incerte RMN pentru existenţa certă a unei discontinuităţi diafragmatice
  • 33.
    • imagine aericăde mari dimensiuni la nivelul hemitoracelui stang; fracturi costale stângi, revarsat lichidian bazal stang • ruptura de diafragm stâng şi hernierea stomacului în torace Caz clinic 1 bărbat ,45 ani, accident de masină, coma superficială, insuficienţă respiratorie
  • 34.
    • ascensiune hemidiafragmstâng • nivel hidroaeric în torace cu aspect variabil la explorări repetate • mediastin deplasat controlateral Caz clinic 2 femeie 79 ani, vechi traumatism în urmă cu 30 ani, fără simptome abdominale , insuficienţă respiratorie
  • 35.
    Mediastin lărgit şiştergerea conturului diafragmului stâng, voalarea bazei pulmonare, pe fondul opacitatii hemitoracelui stâng se constată imagini transparente şi mixte cu aspect variabil de la un examen la altul. Examinarea cu substanţă de contrast arată deplsarea stomacului şi intestinului subţire în torace.
  • 36.
    • Clisma baritatăarată şi deplasarea colonului în torace
  • 37.
    Concluzii • Patologie degranita intre abdomen si torace • Radiografia toracica ca explorare de prima intentie arata modificari care pot fi consecinta hernierii unor organe din cavitatea abdominala • Confirmarea diagnosticului necesita explorare cu substanta de contrast a tubului digestiv • CT cu reconstructii in plan frontal si sagital (indica cu precizie organul herniat si evidentiaza defectul diafragmatic)
  • 38.
    BIBLIOGRAFIE • Lesions ofthe Cardiophrenic Spaces :Findings at Cross-sectional Imaging,Radiographics 2007;27:19-32-Victor Pineda ,MD.Jordi Andreu,MD,Jose Caceres,MD,et all. • Traumatic Diaphragmatic Injuries :Spectrum of radiographic Findings,Radiographics 1998;18:49-59,Kristine L .Shackleton,MD,Edward T. Stewart,MD,Andrew J.Taylor,MD • The Diapragm :Anatomic pathologic,and radiologic considerations,Radiographics,Volume 8,Number 3.May 1988-David M.Panicek,MD,Carol B.Benson,MD • Manifestations of Gastrointestinal Disease on Chest RadiographsTimothy J.Cole,MD,Mary Ann Turner,MD,Radiographics 1993;13:1013-1034 • CT of Posterior Mediastinal Masses ,Radiographics 1991;11:1045-1067 • Multimodality Imaging of the Pediatric Diaphragm :Anatomy and Patologic Conditions,Radiographics 2010 ;30;1797-1817,Govind B.Chavhan,MD,Paul S Babyn,MD,Ronald A Cohen ,MD,Jacob C Langer,MD