Deri patolojisi pratik
Prof Dr Taner Akalın
Dermatopatoloji pratik olguları (Bilgisayar salonu)
• Epidermis Tümörleri
* Skuamöz hücreli karsinoma insitu (Bowen hastalığı)
* Skuamoz hücreli karsinom
* Bazal hücreli karsinom
• Melanositik tümörler
• Junctional (bileşke) nevus
• Kompound (bileşik) nevus
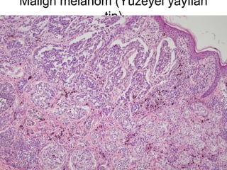
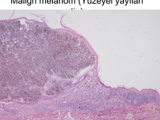
• Yüzeyel yayılan malign melanom
• Akral lentijinöz malign melanom
• Lentigo malign melanom
Bowen Hastalığı (Skuamöz hücreli karsinoma insitu)
Bowen Hastalığı (Skuamöz hücreli karsinoma insitu)
Skuamöz hücreli karsinom
Skuamöz hücreli karsinom
Skuamöz hücreli karsinom
Bazal hücreli karsinom
Bazal hücreli karsinom
Bazal hücreli karsinom
Bazal hücreli karsinom
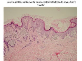
Junctional (bileşke) nevusta dermaepidermal bileşkede nevus hücre
yuvaları
Kompound (bileşik) nevusta dermaepidermal bileşkede ve dermada
nevus hücreleri
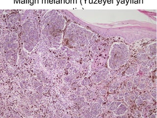
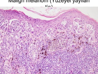
Yüzeyel yayılan malign melanomda pajetoid yayılım gösteren atipik
melanositler ve dermal invazyon
Yüzeyel yayılan malign melanomda pajetoid yayılım gösteren
atipik melanositler ve dermal invazyon
Akral lentijinöz melanomda yüzeyde kalın keratin tabakası, epidermiste
lentijinöz paternde atipik melanosit proliferasyonu ve dermal invazyon
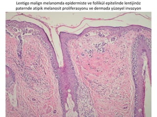
Lentigo malign melanomda epidermiste ve follikül epitelinde lentijinöz
paternde atipik melanosit proliferasyonu ve dermada yüzeyel invazyon
İnflamatur deri hastalıkları
1. Spongiotik (Egzematöz) dermatit
2. Psöriazis
3. Liken planus
4. Pemfigus
5. Büllöz pemfigoid
6. Dermatitis herpetiformis
Spongiotik (Egzematöz)
dermatit
Spongiotik dermatitte epidermiste spongioz, vezikül oluşumu ve lenfosit
ekzositozu
Spongiotik dermatitte epidermiste spongioz, vezikül oluşumu ve lenfosit
ekzositozu
Spongiotik dermatitte epidermiste spongioz ve lenfosit ekzositozu
Psöriazis
Psöriaziste yüzeyde parakeratoz, epidermiste psöriasiform hiperplazi,
papiller dermada damarlanmada artma
Psöriaziste, yüzeyde parakeratoz, epidermiste psöriasiform hiperplazi,
papiller dermada damarlanmada artma
Psöriaziste yüzeyde parakeratoz, parakeratoz tabakası içinde lökosit debrileri
(Munro mikroabsesi), epidermiste granüler tabaka kaybı
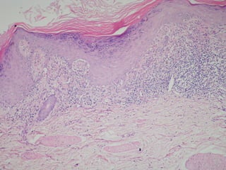
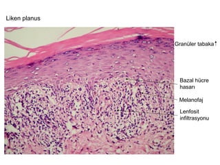
Liken Planus
Liken Planus
Granüler tabaka
Bazal hücre hasarı
Kolloid cisimler
Lenfositler
Granüler tabaka
Bazal hücre
hasarı
Lenfosit
infiltrasyonu
Liken planus
Melanofaj
HiperkeratozHipergranüloz
Testere dişi görünümü
Melanofajlar
LİKEN PLANUS
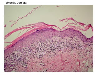
Likenoid dermatit
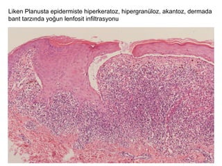
Liken Planusta epidermiste hiperkeratoz, hipergranüloz, akantoz, dermada
bant tarzında yoğun lenfosit infiltrasyonu
Liken planusta bazal sıralarda vakuoler değişiklik, nekrotik keratinositler
/kolloid cisimler, dermada bant tarzında yoğun lenfositler ve melanofajlar
Liken planusta bazal sıralarda vakuoler değişiklik,nekrotik keratinositler
/kolloid cisimler, dermada bant tarzında yoğun lenfositler ve melanofajlar
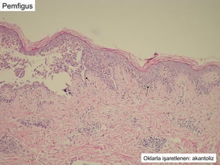
Pemfigus
Pemfigusta suprabazal akantoliz (DİF yöntemiyle
epidermiste balık ağı tarzında IgG ve C3 birikimi saptanır)
Pemfigusta suprabazal akantoliz (DİF yöntemiyle
epidermiste balık ağı tarzında IgG ve C3 birikimi saptanır)
Pemfigusta suprabazal akantoliz (DİF yöntemiyle
epidermiste balık ağı tarzında IgG ve C3 birikimi saptanır)
Pemfigusta DİF yöntemiyle epidermiste balık ağı tarzında
IgG ve C3 birikimi
Pemfigus
Oklarla işaretlenen: akantoliz
Pemfigus: Akantolitik bül
Suprabazal akantoliz
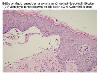
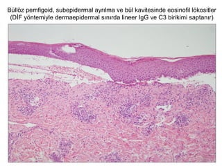
BÜLLÖZ PEMFİGOİD
Büllöz pemfigoid, subepidermal ayrılma ve bül kavitesinde eosinofil lökositler
(DİF yöntemiyle dermaepidermal sınırda lineer IgG ve C3 birikimi saptanır)
Büllöz pemfigoid, subepidermal ayrılma ve bül kavitesinde eosinofil lökositler
(DİF yöntemiyle dermaepidermal sınırda lineer IgG ve C3 birikimi saptanır)
Büllöz pemfigoid, DİF yöntemiyle dermaepidermal sınırda lineer IgG ve C3 birikimi
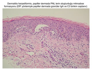
DERMATİTİS HERPİTİFORMİS
Dermatitis herpetiformis, papiller dermada PNL lerin oluşturduğu mikroabse
formasyonu (DİF yöntemiyle papiller dermada granüler IgA ve C3 birikim saptanır)
Dermatitis herpetiformis, DİF yöntemiyle papiller dermada granüler IgA ve C3 birikimi
Dermatopatoloji Pratik
Mikroskobi Salonu
Dermatopatoloji pratik, mikroskobi salonu
• Psöriazis, DP-1
• Spongiotik (Egzematöz) dermatit, DP-2
• Bazal hücreli karsinom, DP-3
• Skuamöz hücreli karsinom, DP-4
• Kompound (bileşik) nevus, DP-5
• Malign melanom (yüzeyel yayılan tip), DP-6
Psoriazis
• Parakeratoz
• Munro mikroabseleri
• Spongiform püstül
• Düzenli akantoz
• Papillomatoz
• Mitoz artışı
Psöriazis
Psöriazis
Psöriazis
Spongiotik (Egzematöz) dermatit
Spongiotik (Egzematöz) dermatit
Spongiotik (Egzematöz) dermatit
Bazal hücreli karsinom
Bazal hücreli karsinom
Bazal hücreli karsinom
Bazal hücreli karsinom
Bazal hücreli karsinom
Skuamöz hücreli karsinom
Skuamöz hücreli karsinom
Skuamöz hücreli karsinom
Skuamöz hücreli karsinom
Kompound (Bileşik ) nevus
Kompound (Bileşik ) nevus
Kompound (Bileşik ) nevus
Kompound (Bileşik ) nevus
Kompound (Bileşik ) nevus
Malign melanom (Yüzeyel yayılan
tip)
Malign melanom (Yüzeyel yayılan
tip)
Malign melanom (Yüzeyel yayılan
tip)
Malign melanom (Yüzeyel yayılan
tip)

3)deri patolojisi pratik 2015